MELAS Syndrome Presenting with Hypertrophic Cardiomyopathy and Advanced Heart Failure: A Multisystem Diagnostic Challenge
Abstract
1. Introduction
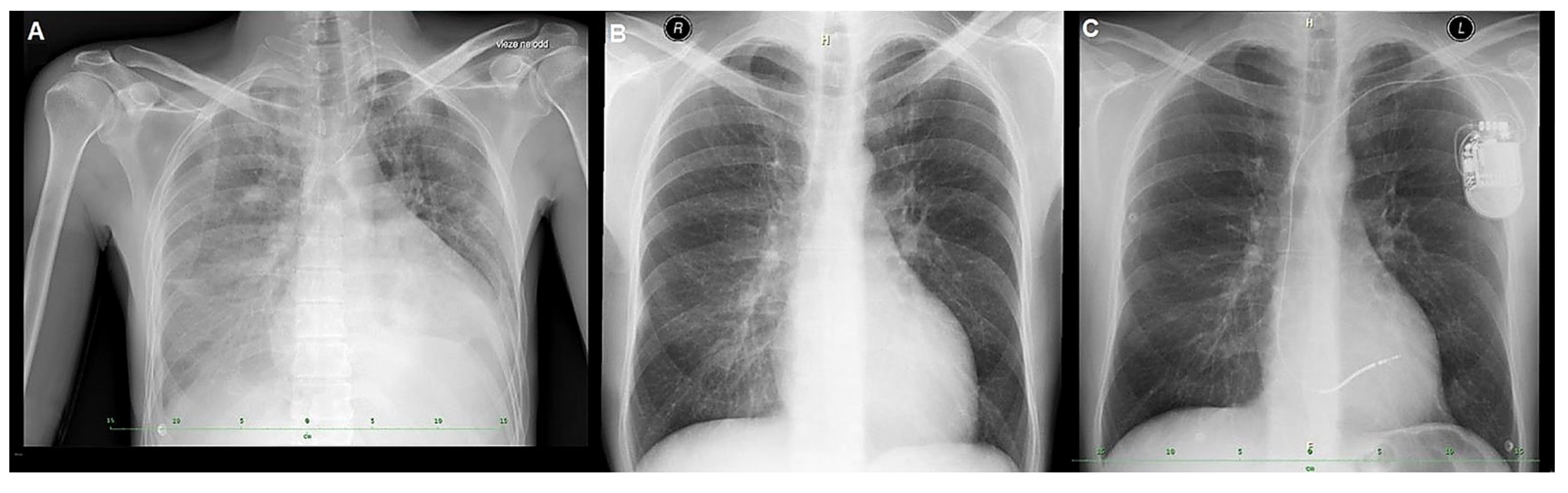
2. Case Presentation
3. Discussion
4. Conclusions
Author Contributions
Funding
Institutional Review Board Statement
Informed Consent Statement
Data Availability Statement
Acknowledgments
Conflicts of Interest
Abbreviations
| A4C | Apical 4 chamber |
| BB | beta-blockers |
| CKD | chronic kidney disease |
| CMR | cardiac magnetic resonance |
| EF | ejection fraction |
| EMB | endomyocardial biopsy |
| HCM | hypertrophic cardiomyopathy |
| HF | heart failure |
| HTx | heart transplantation |
| ICD | implantable cardioverter-defibrillator |
| LGE | late gadolinium enhancement |
| LV | left ventricular |
| LVH | left ventricular hypertrophy |
| MELAS | Mitochondrial encephalomyopathy with lactic acidosis and stroke-like episodes |
| MRA | mineralocorticoid receptor antagonists |
| mtDNA | mitochondrial DNA |
| PLAX | Parasternal Long Axis |
| PSA | Parasternal Short Axis |
| SCD | sudden cardiac death |
| SGLTi | sodium-glucose co-transporter 2 inhibitors |
| TTE | Transthoracic echocardiography |
References
- Hirano, M.; Pavlakis, S.G. Mitochondrial myopathy, encephalopathy, lactic acidosis, and strokelike episodes (MELAS): Current concepts. J. Child. Neurol. 1994, 9, 4–13. [Google Scholar] [CrossRef] [PubMed]
- Chinnery, P.F.; Elliott, H.R.; Hudson, G.; Samuels, D.C.; Relton, C.L. Epigenetics, epidemiology and mitochondrial DNA diseases. Int. J. Epidemiol. 2012, 41, 177–187. [Google Scholar] [CrossRef] [PubMed] [PubMed Central]
- Sproule, D.M.; Kaufmann, P. Mitochondrial encephalopathy, lactic acidosis, and strokelike episodes: Basic concepts, clinical phenotype, and therapeutic management of MELAS syndrome. Ann. N. Y. Acad. Sci. 2008, 1142, 133–158, Erratum in Ann. N. Y. Acad. Sci. 2009, 1161, 601. PMID: 18990125. [Google Scholar] [CrossRef] [PubMed]
- Arbelo, E.; Protonotarios, A.; Gimeno, J.R.; Arbustini, E.; Barriales-Villa, R.; Basso, C.; Bezzina, C.R.; Biagini, E.; A Blom, N.; A de Boer, R.; et al. ESC Scientific Document Group. 2023 ESC Guidelines for the management of cardiomyopathies. Eur. Heart J. 2023, 44, 3503–3626. [Google Scholar] [CrossRef] [PubMed]
- Gorman, G.S.; Chinnery, P.F.; DiMauro, S.; Hirano, M.; Koga, Y.; McFarland, R.; Suomalainen, A.; Thorburn, D.R.; Zeviani, M.; Turnbull, D.M. Mitochondrial diseases. Nat. Rev. Dis. Primers 2016, 2, 16080. [Google Scholar] [CrossRef] [PubMed]
- Teresi, L.; Trimarchi, G.; Licordari, R.; Restelli, D.; Taverna, G.; Liotta, P.; Micari, A.; Smecca, I.; Dendramis, G.; Turturiello, D.; et al. Hypertrophic Cardiomyopathy Phenocopies: Classification, Key Features, and Differential Diagnosis. Biomedicines 2025, 13, 3062. [Google Scholar] [CrossRef] [PubMed]
- Finsterer, J.; Scorza, F.A. Renal manifestations of primary mitochondrial disorders. Biomed. Rep. 2017, 6, 487–494. [Google Scholar] [CrossRef] [PubMed] [PubMed Central]
- Parikh, S.; Goldstein, A.; Koenig, M.K.; Scaglia, F.; Enns, G.M.; Saneto, R.; Anselm, I.; Cohen, B.H.; Falk, M.J.; Greene, C.; et al. Diagnosis and management of mitochondrial disease: A consensus statement from the Mitochondrial Medicine Society. Genet. Med. 2015, 17, 689–701. [Google Scholar] [CrossRef] [PubMed] [PubMed Central]
- Linhart, A.; Germain, D.P.; Olivotto, I.; Akhtar, M.M.; Anastasakis, A.; Hughes, D.; Namdar, M.; Pieroni, M.; Hagège, A.; Cecchi, F.; et al. An expert consensus document on the management of cardiovascular manifestations of Fabry disease. Eur. J. Heart Fail. 2020, 22, 1076–1096. [Google Scholar] [CrossRef] [PubMed]
- Sperry, E.; Leslie, N.; Berry, L.; Pena, L. Pompe Disease. In GeneReviews® [Internet]; Adam, M.P., Feldman, J., Mirzaa, G.M., Eds.; University of Washington: Seattle WA, USA, 2025. Available online: https://www.ncbi.nlm.nih.gov/books/NBK1261/ (accessed on 28 December 2025).
- Marshall, J.D.; Maffei, P.; Collin, G.B.; Naggert, J.K. Alström syndrome: Genetics and clinical overview. Curr. Genom. 2011, 12, 225–235. [Google Scholar] [CrossRef] [PubMed] [PubMed Central]
- McDonagh, T.A.; Metra, M.; Adamo, M.; Gardner, R.S.; Baumbach, A.; Böhm, M.; Burri, H.; Butler, J.; Čelutkienė, J.; Chioncel, O.; et al. ESC Scientific Document Group. 2021 ESC Guidelines for the diagnosis and treatment of acute and chronic heart failure. Eur. Heart J. 2021, 42, 3599–3726, Erratum in Eur. Heart J. 2021, 42, 4901. https://doi.org/10.1093/eurheartj/ehab670. PMID: 34447992. [Google Scholar] [CrossRef] [PubMed]
- El-Hattab, A.W.; Almannai, M.; Scaglia, F. Arginine and citrulline for the treatment of MELAS syndrome. J. Inborn Errors Metab. Screen. 2017, 5, 2326409817697399. [Google Scholar] [CrossRef] [PubMed] [PubMed Central]
- Smeitink, J.; van Maanen, R.; de Boer, L.; Ruiterkamp, G.; Renkema, H. A randomised placebo-controlled, double-blind phase II study to explore the safety, efficacy, and pharmacokinetics of sonlicromanol in children with genetically confirmed mitochondrial disease and motor symptoms (“KHENERGYC”). BMC Neurol. 2022, 22, 158. [Google Scholar] [CrossRef] [PubMed] [PubMed Central]
- Wallace, D.C. Mitochondrial genetic medicine. Nat. Genet. 2018, 50, 1642–1649. [Google Scholar] [CrossRef] [PubMed]
- Kitaura, A.; Kosumi, R.; Iwamoto, T.; Nakao, S. Remimazolam anesthesia for transcatheter mitral valve repair in a patient with mitochondrial myopathy, encephalopathy, lactic acidosis, and stroke-like episodes (MELAS) syndrome: A case report. JA Clin. Rep. 2022, 8, 38. [Google Scholar] [CrossRef] [PubMed] [PubMed Central]
- Maron, B.J.; Rowin, E.J.; Casey, S.A.; Link, M.S.; Lesser, J.R.; Chan, R.H.; Garberich, R.F.; Udelson, J.E.; Maron, M.S. Hypertrophic cardiomyopathy in adulthood associated with low cardiovascular mortality with contemporary management strategies. J. Am. Coll. Cardiol. 2015, 65, 1915–1928. [Google Scholar] [CrossRef] [PubMed]




| Timepoint | Key Findings | Diagnostic Procedures | Treatment/Decision |
|---|---|---|---|
| Baseline/prior history | CKD stage 3a; long-standing bilateral sensorineural hearing loss | - | - |
| Admission (Day 0) | Hypotension, tachycardia; HF decompensation; lactate mildly elevated | ECG, labs incl NT-proBNP, TTE | IV diuretics/vasoactive support (as applicable) |
| Early hospitalization | LV hypertrophy + systolic dysfunction; pericardial effusion | TTE (details), CMR | Guideline-directed HF therapy as tolerated |
| Etiologic work-up | Exclusion of CAD; suspicion of systemic disorder | Coronary angiography; Fabry testing (α-galactosidase A); EMB | - |
| Additional diagnostics | Nondiagnostic EMB (performed at a tertiary center) | EMB | - |
| Genetic confirmation | Pathogenic mtDNA variant consistent with MELAS | Whole-exome sequencing (peripheral blood) | MELAS diagnosis established |
| SCD prevention | Advanced HF with narrow QRS | Device selection | Single-chamber ICD implanted |
| Advanced HF pathway | Persistent severe LV dysfunction | Multidisciplinary evaluation | Evaluated for HTx |
| Family implications | Maternal inheritance possible | Counseling | Further family testing not feasible (no sibling; father unknown) |
Disclaimer/Publisher’s Note: The statements, opinions and data contained in all publications are solely those of the individual author(s) and contributor(s) and not of MDPI and/or the editor(s). MDPI and/or the editor(s) disclaim responsibility for any injury to people or property resulting from any ideas, methods, instructions or products referred to in the content. |
© 2026 by the authors. Licensee MDPI, Basel, Switzerland. This article is an open access article distributed under the terms and conditions of the Creative Commons Attribution (CC BY) license.
Share and Cite
Dodulík, J.; Lazárová, M.; Kapsová, E.; Václavík, J. MELAS Syndrome Presenting with Hypertrophic Cardiomyopathy and Advanced Heart Failure: A Multisystem Diagnostic Challenge. J. Clin. Med. 2026, 15, 1109. https://doi.org/10.3390/jcm15031109
Dodulík J, Lazárová M, Kapsová E, Václavík J. MELAS Syndrome Presenting with Hypertrophic Cardiomyopathy and Advanced Heart Failure: A Multisystem Diagnostic Challenge. Journal of Clinical Medicine. 2026; 15(3):1109. https://doi.org/10.3390/jcm15031109
Chicago/Turabian StyleDodulík, Jozef, Marie Lazárová, Eva Kapsová, and Jan Václavík. 2026. "MELAS Syndrome Presenting with Hypertrophic Cardiomyopathy and Advanced Heart Failure: A Multisystem Diagnostic Challenge" Journal of Clinical Medicine 15, no. 3: 1109. https://doi.org/10.3390/jcm15031109
APA StyleDodulík, J., Lazárová, M., Kapsová, E., & Václavík, J. (2026). MELAS Syndrome Presenting with Hypertrophic Cardiomyopathy and Advanced Heart Failure: A Multisystem Diagnostic Challenge. Journal of Clinical Medicine, 15(3), 1109. https://doi.org/10.3390/jcm15031109

