Precision Neuromodulation Treatment Reverses Motor and Cognitive Slowing After Stroke: Clinical and Neurophysiological Evidence
Abstract
1. Introduction
2. Materials and Methods
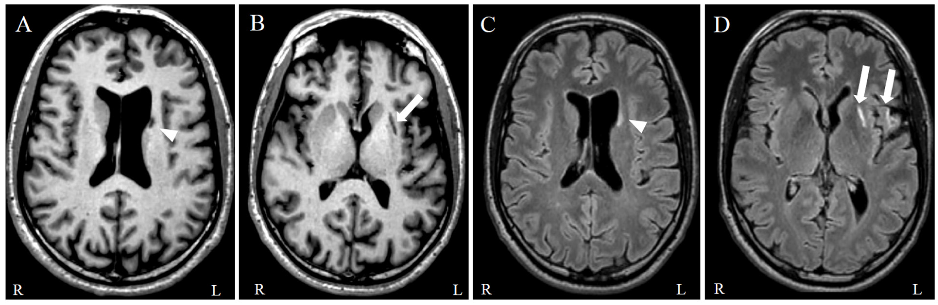
2.1. Case Description
2.2. Outcome Measures
2.2.1. Dexterity and Coordination
2.2.2. Attentional, Speed and Flexibility
2.3. Neurophysiological Assessment
2.4. Intervention
2.4.1. Non-Invasive Brain Stimulation: rTMS
2.4.2. Cognitive Rehabilitation: CCT
3. Results
3.1. Movement and Cognitive Findings Pre-NT
3.2. Clinical, Motor and Cognitive Changes Post-NT
3.3. qEEG Findings Pre and Post NT
4. Discussion
5. Conclusions
Supplementary Materials
Author Contributions
Funding
Institutional Review Board Statement
Informed Consent Statement
Data Availability Statement
Conflicts of Interest
References
- Shimizu, M.; Kasai, T.; Naito, R.; Sato, A.; Ishiwata, S.; Yatsu, S.; Shitara, J.; Matsumoto, H.; Murata, A.; Kato, T.; et al. Overnight changes in uric acid, xanthine oxidoreductase and oxidative stress levels and their relationships with sleep-disordered breathing in patients with coronary artery disease. Hypertens. Res. 2023, 46, 2293–2301. [Google Scholar] [CrossRef]
- Yahya, T.; Jilani, M.H.; Khan, S.U.; Mszar, R.; Hassan, S.Z.; Blaha, M.J.; Blankstein, R.; Virani, S.S.; Johansen, M.C.; Vahidy, F.; et al. Stroke in young adults: Current trends, opportunities for prevention and pathways forward. Am. J. Prev. Cardiol. 2020, 3, 100085. [Google Scholar] [CrossRef]
- Li, X.; He, Y.; Wang, D.; Rezaei, M.J. Stroke rehabilitation: From diagnosis to therapy. Front. Neurol. 2024, 15, 1402729. [Google Scholar] [CrossRef] [PubMed]
- Weterings, R.P.; Kessels, R.P.; de Leeuw, F.E.; Piai, V. Cognitive impairment after a stroke in young adults: A systematic review and meta-analysis. Int. J. Stroke 2023, 18, 888–897. [Google Scholar] [CrossRef]
- Kuriakose, D.; Xiao, Z. Pathophysiology and Treatment of Stroke: Present Status and Future Perspectives. Int. J. Mol. Sci. 2020, 21, 7609. [Google Scholar] [CrossRef]
- Gao, Y.; Qiu, Y.; Yang, Q.; Tang, S.; Gong, J.; Fan, H.; Wu, Y.; Lu, X. Repetitive transcranial magnetic stimulation combined with cognitive training for cognitive function and activities of daily living in patients with post-stroke cognitive impairment: A systematic review and meta-analysis. Ageing Res. Rev. 2023, 87, 101919. [Google Scholar] [CrossRef]
- Katri, S.; Tolvanen, A.; Poutiainen, E.; Tuija, A. Returning to work after stroke: Associations with cognitive performance, motivation, perceived working ability and barriers. J. Rehabil. Med. 2023, 55, 2576. [Google Scholar]
- Bushnell, C.; Kernan, W.N.; Sharrief, A.Z.; Chaturvedi, S.; Cole, J.W.; Cornwell, W.K., 3rd; Cosby-Gaither, C.; Doyle, S.; Goldstein, L.B.; Lennon, O.; et al. 2024 Guideline for the Primary Prevention of Stroke: A Guideline From the American Heart Association/American Stroke Association. Stroke 2024, 55, e344–e424. [Google Scholar] [CrossRef] [PubMed]
- Hamada, M.; Ugawa, Y.; Tsuji, S. Effectiveness of rTms on Parkinson’s Disease Study Group, Japan. High-frequency rTMS over the supplementary motor area improves bradykinesia in Parkinson’s disease: Subanalysis of double-blind sham-controlled study. J. Neurol. Sci. 2009, 287, 143–146. [Google Scholar] [CrossRef] [PubMed]
- Zhang, J.J.Y.; Ang, J.; Saffari, S.E.; Tor, P.C.; Lo, Y.L.; Wan, K.R. Repetitive Transcranial Magnetic Stimulation for Motor Recovery After Stroke: A Systematic Review and Meta-Analysis of Randomized Controlled Trials With Low Risk of Bias. Neuromodulation 2025, 28, 16–42. [Google Scholar] [CrossRef]
- Fu, W.; Cao, L.; Zhang, Y.; Huo, S.; Du, J.; Zhu, L.; Song, W. Continuous theta-burst stimulation may improve visuospatial neglect via modulating the attention network: A randomized controlled study. Top. Stroke Rehabil. 2017, 24, 236–241. [Google Scholar] [CrossRef]
- Rossi, S.; Antal, A.; Bestmann, S.; Bikson, M.; Brewer, C.; Brockmöller, J.; Carpenter, L.L.; Cincotta, M.; Chen, R.; Daskalakis, J.D.; et al. Safety and recommendations for TMS use in healthy subjects and patient populations, with updates on training, ethical and regulatory issues: Expert Guidelines. Clin. Neurophysiol. 2021, 132, 269–306. [Google Scholar] [CrossRef] [PubMed]
- Lezak, M.D. Neuropsychological Assessment; Oxford University Press: New York, NY, USA, 2004. [Google Scholar]
- Heaton, A.; Gooding, A.; Cherner, M.; Umlauf, A.; Franklin, D.R.; Rivera Mindt, M.; Suárez, P.; Artiola i Fortuni, L.; Heaton, R.K.; Marquine, M.J. Demographically-adjusted norms for the Grooved Pegboard and Finger Tapping tests in Spanish-speaking adults: Results from the Neuropsychological Norms for the U.S.-Mexico Border Region in Spanish (NP-NUMBRS) Project. Clin. Neuropsychol. 2021, 35, 396–418. [Google Scholar] [CrossRef] [PubMed]
- Ruff, R.M.; Parker, S.B. Gender-and age-specific changes in motor speed and eye-hand coordination in adults: Normative values for the Finger Tapping and Grooved Pegboard Tests. Percept. Mot. Ski. 1993, 76, 1219–1230. [Google Scholar] [CrossRef] [PubMed]
- Reitan, R.M.; Davison, L.A. Clinical Neuropsychology: Current Status and Applications; VH Winston & Sons: Washington, DC, USA, 1974. [Google Scholar]
- Temprado, J.-J.; Julien-Vintrou, M.; Loddo, E.; Laurin, J.; Sleimen-Malkoun, R. Cognitive functioning enhancement in older adults: Is. there an advantage of multicomponent training over Nordic walking? Clin. Interv. Aging 2019, 14, 1503–1514. [Google Scholar] [CrossRef]
- Zimmermann, P.; Fimm, B. A test battery for attentional performance. In Applied Neuropsychology of Attention; Psychology Press: Hove, UK, 2004; pp. 124–165. [Google Scholar]
- Acharya, J.N.; Hani, A.J.; Cheek, J.; Thirumala, P.; Tsuchida, T.N. American Clinical Neurophysiology Society Guideline 2: Guidelines for Standard Electrode Position Nomenclature. Neurodiagn. J. 2016, 56, 245–252. [Google Scholar] [CrossRef]
- Delorme, A.; Makeig, S. EEGLAB: An open source toolbox for analysis of single-trial EEG dynamics including independent component analysis. J. Neurosci. Methods 2004, 134, 9–21. [Google Scholar] [CrossRef]
- Pion-Tonachini, L.; Kreutz-Delgado, K.; Makeig, S. ICLabel: An automated electroencephalographic independent component classifier, dataset, and website. NeuroImage 2019, 198, 181–197. [Google Scholar] [CrossRef]
- Kavcic, V.; Daugherty, A.M.; Giordani, B. Post-task modulation of resting state EEG differentiates MCI patients from controls. Alzheimer’s Dement. Diagn. Assess. Dis. Monit. 2021, 13, e12153. [Google Scholar]
- Naoyuki, N.; Tada, T.; Toshima, M.; Matsuo, Y.; Ikoma, K. Repetitive transcranial magnetic stimulation over bilateral hemispheres enhances motor function and training effect of paretic hand in patients after stroke. J. Rehabil. Med. 2009, 41, 1049–1054. [Google Scholar]
- Rossini, P.M.; Burke, D.; Chen, R.; Cohen, L.G.; Daskalakis, Z.; Di Iorio, R.; Di Lazzaro, V.; Ferreri, F.; Fitzgerald, P.B.; George, M.S.; et al. Non-invasive electrical and magnetic stimulation of the brain, spinal cord, roots and peripheral nerves: Basic principles and procedures for routine clinical and research application. An updated report from an I.F.C.N. Committee. Clin. Neurophysiol. 2015, 126, 1071–1107. [Google Scholar] [CrossRef]
- Reynolds, G.P. The neurochemical pathology of schizophrenia: Post-mortem studies from dopamine to parvalbumin. J. Neural Transm. 2022, 129, 643–647. [Google Scholar] [CrossRef]
- Seo, J.P.; Ryu, H.J. Aging of reward dopamine tracts in the human brain: A diffusion tensor imaging study. Medicine 2023, 102, e36112. [Google Scholar] [CrossRef]
- Finnigan, S.; van Putten, M.J. EEG in ischaemic stroke: Quantitative EEG can uniquely inform (sub-)acute prognoses and clinical management. Clin. Neurophysiol. 2013, 124, 10–19. [Google Scholar] [CrossRef]
- Milani, G.; Antonioni, A.; Baroni, A.; Malerba, P.; Straudi, S. Relation Between EEG Measures and Upper Limb Motor Recovery in Stroke Patients: A Scoping Review. Brain Topogr. 2022, 35, 651–666. [Google Scholar] [CrossRef]
- Strafella, A.P.; Ko, J.H.; Grant, J.; Fraraccio, M.; Monchi, O. Corticostriatal functional interactions in Parkinson’s disease: A rTMS/[11C]raclopride PET study. Eur. J. Neurosci. 2005, 22, 2946–2952. [Google Scholar] [CrossRef] [PubMed]
- Caballero-Insaurriaga, J.; Pineda-Pardo, J.A.; Obeso, I.; Oliviero, A.; Foffani, G. Noninvasive modulation of human corticostriatal activity. Proc. Natl. Acad. Sci. USA 2023, 120, e2219693120. [Google Scholar] [CrossRef]
- Gonzalez-Garcia, N.; Armony, J.L.; Soto, J.; Trejo, D.; Alegria, M.A.; Drucker-Colin, R. Effects of rTMS on Parkinson’s disease: A longitudinal fMRI study. J. Neurol. 2011, 258, 1268–1280. [Google Scholar] [CrossRef] [PubMed]
- Krall, S.C.; Volz, L.J.; Oberwelland, E.; Grefkes, C.; Fink, G.R.; Konrad, K. The right temporoparietal junction in attention and social interaction: A transcranial magnetic stimulation study. Hum. Brain Mapp. 2016, 37, 796–807. [Google Scholar] [CrossRef]
- Pedrazzini, E.; Ptak, R. Damage to the right temporoparietal junction, but not lateral prefrontal or insular cortex, amplifies the role of goal-directed attention. Sci. Rep. 2019, 9, 306. [Google Scholar] [CrossRef] [PubMed]
- Wilterson, A.I.; Nastase, S.A.; Bio, B.J.; Guterstam, A.; Graziano, M.S.A. Attention, awareness, and the right temporoparietal junction. Proc. Natl. Acad. Sci. USA 2021, 118, e2026099118. [Google Scholar] [CrossRef]
- Kamada, H.; Takeuchi, N. Transcranial Direct Current Stimulation over the Temporoparietal Junction Modulates Posture Control in Unfamiliar Environments. Brain Sci. 2023, 13, 1514. [Google Scholar] [CrossRef]
- Kheradmand, A.; Lasker, A.; Zee, D.S. Transcranial magnetic stimulation (TMS) of the supramarginal gyrus: A window to perception of upright. Cereb. Cortex 2015, 25, 765–771. [Google Scholar] [CrossRef]
- Goh, K.K.; Chen, C.H.; Wu, T.H.; Chiu, Y.H.; Lu, M.L. Efficacy and safety of intermittent theta-burst stimulation in patients with schizophrenia: A meta-analysis of randomized sham-controlled trials. Front. Pharmacol. 2022, 13, 944437. [Google Scholar] [CrossRef]
- Lefaucheur, J.P.; Aleman, A.; Baeken, C.; Benninger, D.H.; Brunelin, J.; Di Lazzaro, V.; Filipović, S.R.; Grefkes, C.; Hasan, A.; Hummel, F.C.; et al. Evidence-based guidelines on the therapeutic use of repetitive transcranial magnetic stimulation (rTMS): An update (2014-2018). Clin. Neurophysiol. 2020, 131, 474–528. [Google Scholar] [CrossRef] [PubMed]
- Mi, T.M.; Garg, S.; Ba, F.; Liu, A.P.; Wu, T.; Gao, L.L.; Dan, X.J.; Chan, P.; McKeown, M.J. High-frequency rTMS over the supplementary motor area improves freezing of gait in Parkinson’s disease: A randomized controlled trial. Park. Relat. Disord. 2019, 68, 85–90. [Google Scholar] [CrossRef] [PubMed]
- Sabbagh, M.; Sadowsky, C.; Tousi, B.; Agronin, M.E.; Alva, G.; Armon, C.; Bernick, C.; Keegan, A.P.; Karantzoulis, S.; Baror, E.; et al. Effects of a combined transcranial magnetic stimulation (TMS) and cognitive training intervention in patients with Alzheimer’s disease. Alzheimers Dement. 2020, 16, 641–650. [Google Scholar] [CrossRef] [PubMed]
- Bagattini, C.; Zanni, M.; Barocco, F.; Caffarra, P.; Brignani, D.; Miniussi, C.; Defanti, C.A. Enhancing cognitive training effects in Alzheimer’s disease: rTMS as an add-on treatment. Brain Stimul. 2020, 13, 1655–1664. [Google Scholar] [CrossRef]
- Jin, J.N.; Wang, X.; Li, Y.; Jin, F.; Liu, Z.P.; Yin, T. The Effects of rTMS Combined with Motor Training on Functional Connectivity in Alpha Frequency Band. Front. Behav. Neurosci. 2017, 11, 234. [Google Scholar] [CrossRef]
- Tsagaris, K.Z.; Labar, D.R.; Edwards, D.J. A Framework for Combining rTMS with Behavioral Therapy. Front. Syst. Neurosci. 2016, 10, 82. [Google Scholar] [CrossRef]
- Tong, Y.; Ding, Y.; Han, Z.; Duan, H.; Geng, X. Optimal rehabilitation strategies for early postacute stroke recovery: An ongoing inquiry. Brain Circ. 2023, 9, 201–204. [Google Scholar] [CrossRef]
- Kuipers, J.A.; Hoffman, N.H.; Carrick, F.R.; Jemni, M. Reconnecting Brain Networks After Stroke: A Scoping Review of Conventional, Neuromodulatory, and Feedback-Driven Rehabilitation Approaches. Brain Sci. 2025, 15, 1217. [Google Scholar] [CrossRef]
- Lin, J.; Jin, S.; You, Y.; Liu, J.; Lu, J.; Shu, Z.; Feng, Y.; Zhang, Y.; Xiao, H.; Zhang, Y.; et al. EEG-fNIRS multilayer brain network analysis revealed functional neural reorganization of rTMS with motor training in stroke. IEEE Trans. Biomed. Eng. 2025, 73, 269–280. [Google Scholar] [CrossRef] [PubMed]
- Keser, Z.; Buchl, S.C.; Seven, N.A.; Markota, M.; Clark, H.M.; Jones, D.T.; Lanzino, G.; Brown, R.D., Jr.; Worrell, G.A.; Lundstrom, B.N. Electroencephalogram (EEG) With or Without Transcranial Magnetic Stimulation (TMS) as Biomarkers for Post-stroke Recovery: A Narrative Review. Front. Neurol. 2022, 13, 827866. [Google Scholar] [CrossRef]
- Grefkes, C.; Fink, G.R. Recovery from stroke: Current concepts and future perspectives. Neurol. Res. Pract. 2020, 2, 17. [Google Scholar] [CrossRef] [PubMed]
- Rizzi, B.; Nuresi, C.; Rovacchi, C.; Bacchini, M.; Savi, F.; Falco, L.; Schianchi, L.; Scaglioni, A.; Ciracì, C.; Costantino, C.; et al. Motor imagery and action-observation in neurorehabilitation: A study protocol in Parkinson’s disease patients. Front. Neurol. 2022, 13, 990618. [Google Scholar] [CrossRef] [PubMed]


| Domain | Test | Score Type | Pre-NT Mean (SD), [Min–Max] | Post-NT Mean (SD), [Min–Max] | Delta (Absolute Change) § | Percentage Change # |
|---|---|---|---|---|---|---|
| Motor | Finger Tapping (Right, Dominant hand) | Number taps | 15.7 (2.08) [14–18] | 26 (2.00) [24–28] | 10 | +66% |
| Finger Tapping (Left, Non-dominant hand) | Number taps | 15.3 (1.53) [14–17] | 26.7 (0.58) [26–27] | 11 | +74% | |
| Nine-Hole Peg Test (Right, Dominant hand) | Time (s) | 158.5 (7.78) [153–164] | 118.5 (7.78) [113–124] | −40 | −25% | |
| Nine-Hole Peg Test (Left, Non-Dominant hand) | Time (s) | 126 (14.14) [116–136] | 102.5 (4.95) [99–106] | −24 | −19% | |
| Cognitive | TAP-alertness | Reaction time (ms) | 762 (154) | 320 (58) | −442 | −58% |
| TAP-visual exploration | Reaction time (ms) | 8468 (2374) | 6339 (1910) | −2129 | −25% | |
| TAP-flexibility | Reaction time (ms) | 671 (129) | 511 (87) | −160 | −24% | |
| TAP-divided attention | Reaction time (ms) | 844 (188) | 913 (215) | 69 | +8% |
Disclaimer/Publisher’s Note: The statements, opinions and data contained in all publications are solely those of the individual author(s) and contributor(s) and not of MDPI and/or the editor(s). MDPI and/or the editor(s) disclaim responsibility for any injury to people or property resulting from any ideas, methods, instructions or products referred to in the content. |
© 2026 by the authors. Licensee MDPI, Basel, Switzerland. This article is an open access article distributed under the terms and conditions of the Creative Commons Attribution (CC BY) license.
Share and Cite
Riccitelli, G.C.; Gironi, R.; Ricci, E.; Agazzi, P.; Distefano, D.; Zecca, C.; Gobbi, C.; Kaelin-Lang, A. Precision Neuromodulation Treatment Reverses Motor and Cognitive Slowing After Stroke: Clinical and Neurophysiological Evidence. J. Clin. Med. 2026, 15, 713. https://doi.org/10.3390/jcm15020713
Riccitelli GC, Gironi R, Ricci E, Agazzi P, Distefano D, Zecca C, Gobbi C, Kaelin-Lang A. Precision Neuromodulation Treatment Reverses Motor and Cognitive Slowing After Stroke: Clinical and Neurophysiological Evidence. Journal of Clinical Medicine. 2026; 15(2):713. https://doi.org/10.3390/jcm15020713
Chicago/Turabian StyleRiccitelli, Gianna Carla, Riccardo Gironi, Edoardo Ricci, Pamela Agazzi, Daniela Distefano, Chiara Zecca, Claudio Gobbi, and Alain Kaelin-Lang. 2026. "Precision Neuromodulation Treatment Reverses Motor and Cognitive Slowing After Stroke: Clinical and Neurophysiological Evidence" Journal of Clinical Medicine 15, no. 2: 713. https://doi.org/10.3390/jcm15020713
APA StyleRiccitelli, G. C., Gironi, R., Ricci, E., Agazzi, P., Distefano, D., Zecca, C., Gobbi, C., & Kaelin-Lang, A. (2026). Precision Neuromodulation Treatment Reverses Motor and Cognitive Slowing After Stroke: Clinical and Neurophysiological Evidence. Journal of Clinical Medicine, 15(2), 713. https://doi.org/10.3390/jcm15020713

