Arterial Complications in Patients Undergoing Liver Transplantation After Previous TACE Treatment
Abstract
1. Introduction
2. Materials and Methods
2.1. Study Definitions
2.2. Population
2.3. TACE Procedure
2.4. Imaging in the Framework of Transplantation
2.5. Statistical Analysis
3. Results
3.1. Population
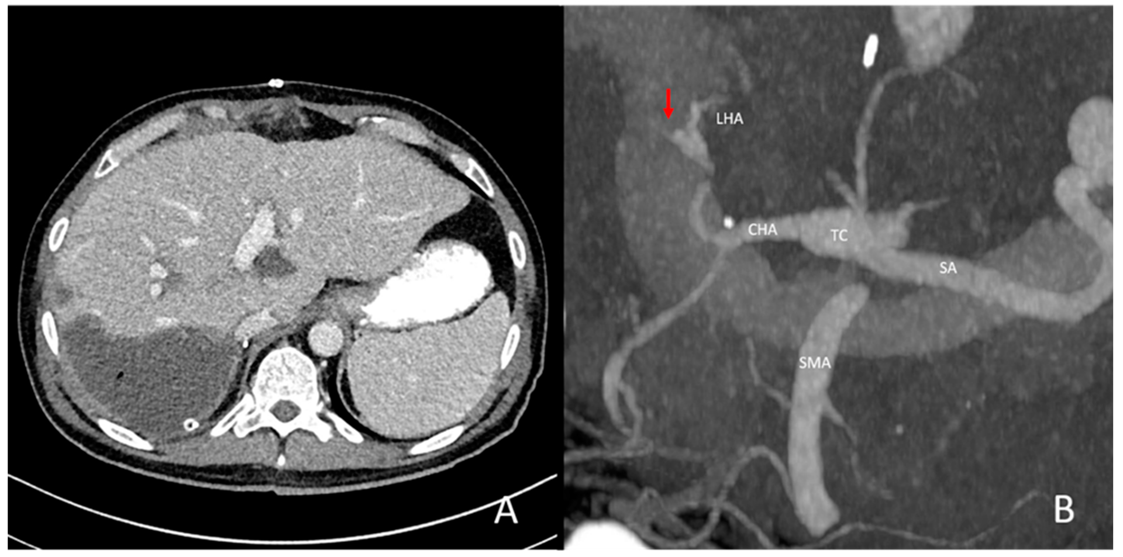
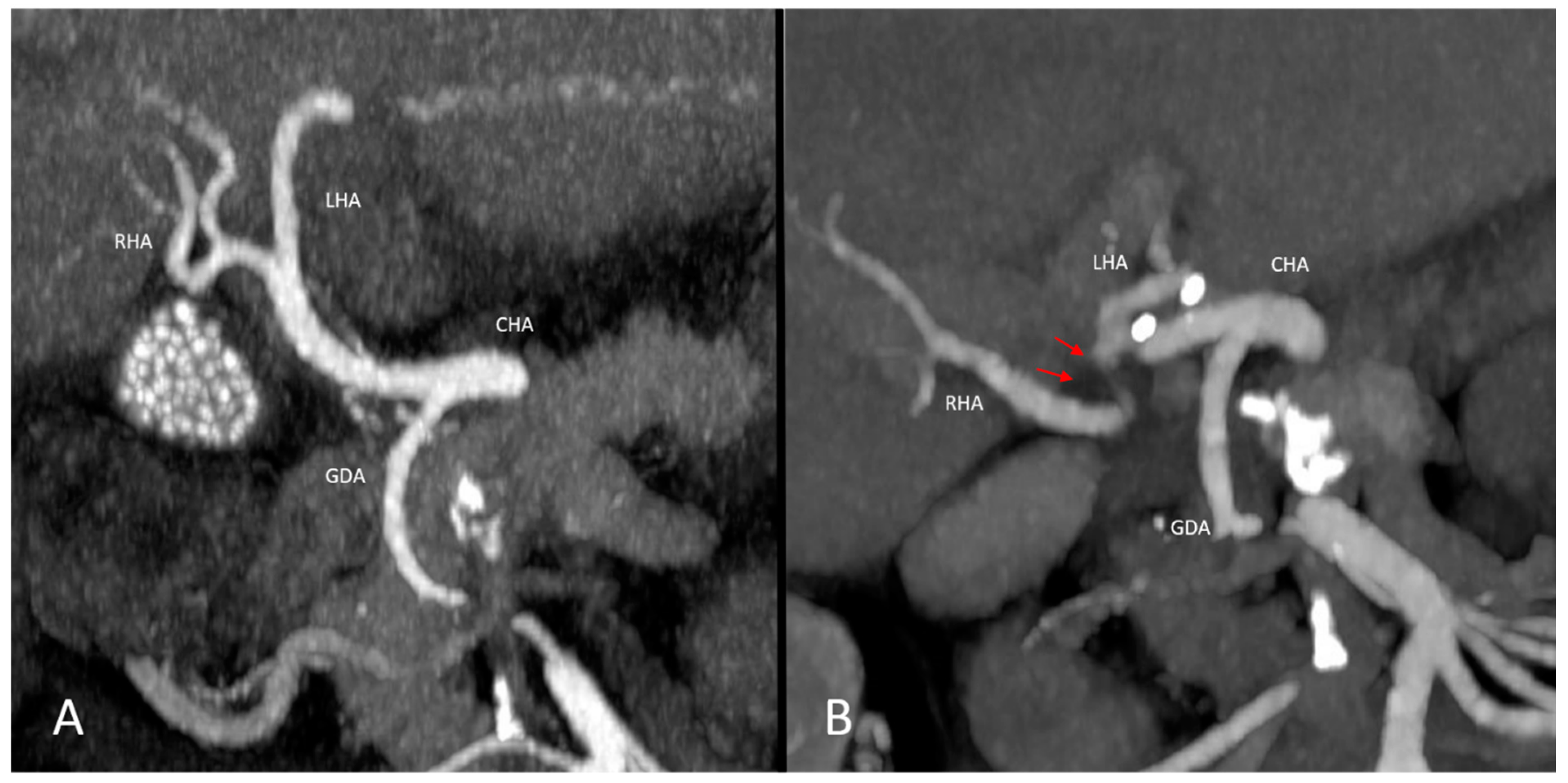
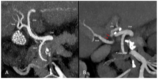
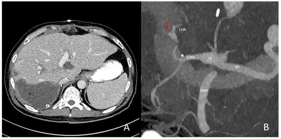
3.2. Vascular Findings—Anatomic Variants and Pre-Existing Pathologies of the Hepatic Vasculature
3.3. Analysis of Types and Occurrences of Arterial Complications
3.4. Direct and Delayed Retransplantations
3.5. Analysis of Risk Factors for Arterial Complications
4. Discussion
4.1. TACE and Arterial Complications After Transplantation
4.2. Direct and Delayed Retransplantations
4.3. Considerations on the Application of TACE Prior to Liver Transplantation
4.4. Clinical Implications
4.5. Limitations
5. Conclusions
Author Contributions
Funding
Institutional Review Board Statement
Informed Consent Statement
Data Availability Statement
Conflicts of Interest
Abbreviations
| CT | Computed tomography |
| HCC | Hepatocellular carcinoma |
| LIRADS | Liver Imaging Reporting and Data System |
| MRI | Magnetic resonance imaging |
| TACE | Transarterial chemoembolization |
References
- Kwong, A.J.; Ebel, N.H.; Kim, W.R.; Lake, J.R.; Smith, J.M.; Schladt, D.P.; Schnellinger, E.M.; Handarova, D.; Weiss, S.; Cafarella, M.; et al. OPTN/SRTR 2021 Annual Data Report: Liver. Am. J. Transplant. Off. J. Am. Soc. Transplant. Am. Soc. Transpl. Surg. 2023, 23, S178–S263. [Google Scholar] [CrossRef] [PubMed]
- de Morais, B.G.; Horbe, A.F.; Coral, G.P.; Jotz, R.d.F.; Fontana, P.C.; Mattos, A.A. Results of hepatocellular carcinoma downstaging through hepatic transarterial chemoembolization in liver transplantation. Eur. J. Gastroenterol. Hepatol. 2025, 37, 77–82. [Google Scholar] [CrossRef] [PubMed]
- International Society of Multidisciplinary Interventional Oncology (ISMIO); Lu, J.; Zhao, M.; Arai, Y.; Zhong, B.-Y.; Zhu, H.-D.; Qi, X.-L.; de Baere, T.; Pua, U.; Yoon, H.K.; et al. Clinical practice of transarterial chemoembolization for hepatocellular carcinoma: Consensus statement from an international expert panel of International Society of Multidisciplinary Interventional Oncology (ISMIO). HepatoBiliary Surg. Nutr. 2021, 10, 661–671. [Google Scholar] [CrossRef]
- Minici, R.; Serra, R.; Giurdanella, M.; Talarico, M.; Siciliano, M.A.; Carrafiello, G.; Laganà, D. Efficacy and Safety of Distal Radial Access for Transcatheter Arterial Chemoembolization (TACE) of the Liver. J. Pers. Med. 2023, 13, 640. [Google Scholar] [CrossRef] [PubMed]
- Sneiders, D.; Houwen, T.; Pengel, L.H.; Polak, W.G.; Dor, F.J.M.F.; Hartog, H. Systematic Review and Meta-Analysis of Posttransplant Hepatic Artery and Biliary Complications in Patients Treated with Transarterial Chemoembolization Before Liver Transplantation. Transplantation 2018, 102, 88–96. [Google Scholar] [CrossRef] [PubMed]
- Panaro, F.; Ramos, J.; Gallix, B.; Mercier, G.; Herrero, A.; Niampa, H.; Pageaux, G.; Navarro, F. Hepatic artery complications following liver transplantation. Does preoperative chemoembolization impact the postoperative course? Clin. Transplant. 2014, 28, 598–605. [Google Scholar] [CrossRef] [PubMed]
- Li, H.; Li, B.; Wei, Y.; Yan, L.; Wen, T.; Wang, W.; Yang, J.; Lu, W.; Xu, M. Preoperative transarterial chemoembolization does not increase hepatic artery complications after liver transplantation: A single center 12-year experience. Clin. Res. Hepatol. Gastroenterol. 2015, 39, 451–457. [Google Scholar] [CrossRef]
- Casadaban, L.; Malespin, M.; Cheung, A.; McGuffey, R.; Boulay, B.; Halline, A.; Brown, R.; Cotler, S.; Jeon, H.; Bui, J.; et al. Presurgical Transarterial Chemoembolization Does Not Increase Biliary Stricture Incidence in Orthotopic Liver Transplant Patients. Transplant. Proc. 2014, 46, 1413–1419. [Google Scholar] [CrossRef] [PubMed]
- Goel, A.; Mehta, N.; Guy, J.; Fidelman, N.; Yao, F.; Roberts, J.; Terrault, N. Hepatic Artery and Biliary Complications in Liver Transplant Recipients Undergoing Pretransplant Transarterial Chemoembolization. Liver Transplant. 2014, 20, 1221–1228. [Google Scholar] [CrossRef] [PubMed]
- Malagari, K.; Pomoni, M.; Spyridopoulos, T.N.; Moschouris, H.; Kelekis, A.; Dourakis, S.; Alexopoulou, E.; Koskinas, J.; Angelopoulos, M.; Kornezos, J.; et al. Safety Profile of Sequential Transcatheter Chemoembolization with DC Bead™: Results of 237 Hepatocellular Carcinoma (HCC) Patients. Cardiovasc. Interv. Radiol. 2011, 34, 774–785. [Google Scholar] [CrossRef] [PubMed]
- Michels, N.A. Newer anatomy of the liver and its variant blood supply and collateral circulation. Am. J. Surg. 1966, 112, 337–347. [Google Scholar] [CrossRef] [PubMed]
- Chernyak, V.; Fowler, K.J.; Kamaya, A.; Kielar, A.Z.; Elsayes, K.M.; Bashir, M.R.; Kono, Y.; Do, R.K.; Mitchell, D.G.; Singal, A.G.; et al. Liver Imaging Reporting and Data System (LI-RADS) Version 2018: Imaging of Hepatocellular Carcinoma in At-Risk Patients. Radiology 2018, 289, 816–830. [Google Scholar] [CrossRef] [PubMed]
- Gundlach, J.-P.; Günther, R.; Both, M.; Trentmann, J.; Schäfer, J.P.; Cremer, J.T.; Röcken, C.; Becker, T.; Braun, F.; Bernsmeier, A. Inferior Vena Cava Constriction After Liver Transplantation Is a Severe Complication Requiring Individually Adapted Treatment: Report of a Single-Center Experience. Ann. Transplant. 2020, 25, e925194. [Google Scholar] [CrossRef] [PubMed]
- Linecker, M.; Braun, F.; Gundlach, J.-P.; Ellrichmann, M.; van Rosmalen, M.; Vogelaar, S.; Eimer, C.; Rheinbay, C.; Rösgen, S.; Schäfer, J.-P.; et al. Lebertransplantation bei HCC: Sind Milan-Kriterien überholt? Z. Fur Gastroenterol. 2024, 62, 43–49. [Google Scholar] [CrossRef]
- Gundlach, J.-P.; Linecker, M.; Dobbermann, H.; Wadle, F.; Becker, T.; Braun, F. Patients Benefit from Liver Transplantation for Hepatocellular Carcinoma beyond Milan Criteria without Harming the Health Care System. Cancers 2022, 14, 1136. [Google Scholar] [CrossRef] [PubMed]
- Bryce, K.; Tsochatzis, E.A. Downstaging for hepatocellular cancer: Harm or benefit? Transl. Gastroenterol. Hepatol. 2017, 2, 106. [Google Scholar] [CrossRef]
- Chua, T.C.; Liauw, W.; Saxena, A.; Chu, F.; Glenn, D.; Chai, A.; Morris, D.L. Systematic review of neoadjuvant transarterial chemoembolization for resectable hepatocellular carcinoma. LiverInt. Off. J. Int. Assoc. Study Liver 2009, 30, 166–174. [Google Scholar] [CrossRef] [PubMed]
- Di Martino, M.; Vitale, A.; Ferraro, D.; Maniscalco, M.; Pisaniello, D.; Arenga, G.; Falaschi, F.; Terrone, A.; Iacomino, A.; Lanza, A.G.; et al. Downstaging Therapies for Patients with Hepatocellular Carcinoma Awaiting Liver Transplantation: A Systematic Review and Meta-Analysis on Intention-to-Treat Outcomes. Cancers 2022, 14, 5102. [Google Scholar] [CrossRef] [PubMed]
- Butcher, D.A.; Brandis, K.J.; Wang, H.; Spannenburg, L.; Bridle, K.R.; Crawford, D.H.; Liang, X. Long-term survival and postoperative complications of pre-liver transplantation transarterial chemoembolisation in hepatocellular carcinoma: A systematic review and meta-analysis. Eur. J. Surg. Oncol. (EJSO) 2021, 48, 621–631. [Google Scholar] [CrossRef]
- Ince, V.; Ersan, V.; Karakas, S.; Kutluturk, K.; Karadag, N.; Kutlu, R.; Yilmaz, S. Does Preoperative Transarterial Chemoembolization for Hepatocellular Carcinoma Increase the Incidence of Hepatic Artery Thrombosis After Living-Donor Liver Transplant? Exp. Clin. Transplant. Off. J. Middle East Soc. Organ Transplant. 2017, 15, 21–24. [Google Scholar] [CrossRef]
- Kallini, J.R.; Gabr, A.; Ali, R.; Abouchaleh, N.; Riaz, A.; Baker, T.; Kulik, L.; Caicedo, J.; Salem, R.; Lewandowski, R.J. Pretransplant Intra-arterial Liver-Directed Therapy Does Not Increase the Risk of Hepatic Arterial Complications in Liver Transplantation: A Single-Center 10-Year Experience. Cardiovasc. Interv. Radiol. 2017, 41, 231–238. [Google Scholar] [CrossRef]
- Richard, H.M.; Silberzweig, J.E.; Mitty, H.A.; Lou, W.Y.W.; Ahn, J.; Cooper, J.M. Hepatic Arterial Complications in Liver Transplant Recipients Treated with Pretransplantation Chemoembolization for Hepatocellular Carcinoma. Radiology 2000, 214, 775–779. [Google Scholar] [CrossRef] [PubMed]
- Boteon, A.P.C.d.S.; Boteon, Y.L.; Vinuela, E.F.; Derosas, C.; Mergental, H.; Isaac, J.R.; Muiesan, P.; Mehzard, H.; Ma, Y.T.; Shah, T.; et al. The impact of transarterial chemoembolization induced complications on outcomes after liver transplantation: A propensity-matched study. Clin. Transplant. 2018, 32, e13255. [Google Scholar] [CrossRef]
- Gilbo, N.; Van Praet, L.; Jochmans, I.; Sainz-Barriga, M.; Verslype, C.; Maleux, G.; Laleman, W.; van der Merwe, S.; Cassiman, D.; Nevens, F.; et al. Pre-operative trans-catheter arterial chemo-embolization increases hepatic artery thrombosis after liver transplantation—A retrospective study. Transpl. Int. 2017, 31, 71–81. [Google Scholar] [CrossRef] [PubMed]
- Selim, M.; Hohenwalter, E.J.; Rilling, W.S.; Hong, J.C. Risk of Hepatic Artery Complications After Liver Transplantation in Patients Who Received Pretransplant Transarterial Chemoembolization Therapy: A Single-Center Experience. Transplant. Proc. 2023, 55, 1631–1637. [Google Scholar] [CrossRef] [PubMed]
- Sneiders, D.; Boteon, A.P.C.S.; Lerut, J.; Iesari, S.; Gilbo, N.; Blasi, F.; Laureiro, Z.L.; Orlacchio, A.; Tisone, G.; Lai, Q.; et al. Transarterial chemoembolization of hepatocellular carcinoma before liver transplantation and risk of post-transplant vascular complications: A multicentre observational cohort and propensity score-matched analysis. Br. J. Surg. 2021, 108, 1323–1331. [Google Scholar] [CrossRef]
- Pfitzmann, R.; Benscheidt, B.; Langrehr, J.M.; Schumacher, G.; Neuhaus, R.; Neuhaus, P. Trends and Experiences in Liver Retransplantation Over 15 Years. Liver Transplant. 2007, 13, 248–257. [Google Scholar] [CrossRef] [PubMed]
- Lin, T.-S.; Chiang, Y.-C.; Chen, C.-L.; Concejero, A.M.; Cheng, Y.-F.; Wang, C.-C.; Wang, S.-H.; Liu, Y.-W.; Yang, C.-H.; Yong, C.-C. Intimal dissection of the hepatic artery following transarterial embolization for hepatocellular carcinoma: An intraoperative problem in adult living donor liver transplantation. Liver Transplant. Off. Publ. Am. Assoc. Study Liver Dis. Int. Liver Transplant. Soc. 2009, 15, 1553–1556. [Google Scholar] [CrossRef] [PubMed]
- Baccarani, U.; Pravisani, R.; Adani, G.L.; Lorenzin, D.; Risaliti, A. Transarterial chemoembolization does not harm the hepatic artery at transplantation. Liver Transplant. Off. Publ. Am. Assoc. Study Liver Dis. Int. Liver Transplant. Soc. 2014, 21, 564. [Google Scholar] [CrossRef]
- De Baere, T.; Arai, Y.; Lencioni, R.; Geschwind, J.-F.; Rilling, W.; Salem, R.; Matsui, O.; Soulen, M.C. Treatment of Liver Tumors with Lipiodol TACE: Technical Recommendations from Experts Opinion. Cardiovasc. Interv. Radiol. 2016, 39, 334–343. [Google Scholar] [CrossRef]
- Imai, N.; Ishigami, M.; Ishizu, Y.; Kuzuya, T.; Honda, T.; Hayashi, K.; Hirooka, Y.; Goto, H. Transarterial chemoembolization for hepatocellular carcinoma: A review of techniques. World J. Hepatol. 2014, 6, 844–850. [Google Scholar] [CrossRef]
- Hatanaka, T.; Arai, H.; Kakizaki, S. Balloon-occluded transcatheter arterial chemoembolization for hepatocellular carcinoma. World J. Hepatol. 2018, 10, 485–495. [Google Scholar] [CrossRef] [PubMed]
- Wallace, D.; Cowling, T.E.; Walker, K.; Suddle, A.; Gimson, A.; Rowe, I.; Callaghan, C.; Sapisochin, G.; Mehta, N.; Heaton, N.; et al. Liver transplantation outcomes after transarterial chemotherapy for hepatocellular carcinoma. Br. J. Surg. 2020, 107, 1183–1191. [Google Scholar] [CrossRef] [PubMed]
- Parikh, N.D.; Waljee, A.K.; Singal, A.G. Downstaging hepatocellular carcinoma: A systematic review and pooled analysis. Liver Transplant. Off. Publ. Am. Assoc. Study Liver Dis. Int. Liver Transplant. Soc. 2015, 21, 1142–1152. [Google Scholar] [CrossRef] [PubMed]
- Jiang, G.; Ling, S.; Zhan, Q.; Zhuang, L.; Xu, X. Downstaging treatment for patients with hepatocelluar carcinoma before transplantation. Transplant. Rev. 2021, 35, 100606. [Google Scholar] [CrossRef] [PubMed]
- Mehta, N.; Frenette, C.; Tabrizian, P.; Hoteit, M.; Guy, J.; Parikh, N.; Ghaziani, T.T.; Dhanasekaran, R.; Dodge, J.L.; Natarajan, B.; et al. Downstaging Outcomes for Hepatocellular Carcinoma: Results From the Multicenter Evaluation of Reduction in Tumor Size before Liver Transplantation (MERITS-LT) Consortium. Gastroenterology 2021, 161, 1502–1512. [Google Scholar] [CrossRef]
- Clavien, P.-A.; Lesurtel, M.; Bossuyt, P.M.; Gores, G.J.; Langer, B.; Perrier, A.; OLT for HCC Consensus Group. Recommendations for liver transplantation for hepatocellular carcinoma: An international consensus conference report. Lancet Oncol. 2012, 13, e11–e22. [Google Scholar] [CrossRef] [PubMed]
- Goldberg, D.; French, B.; Newcomb, C.; Liu, Q.; Sahota, G.; Wallace, A.E.; Forde, K.A.; Lewis, J.D.; Halpern, S.D. Patients With Hepatocellular Carcinoma Have Highest Rates of Wait-listing for Liver Transplantation Among Patients With End-Stage Liver Disease. Clin. Gastroenterol. Hepatol. Off. Clin. Pract. J. Am. Gastroenterol. Assoc. 2016, 14, 1638–1646.e2. [Google Scholar] [CrossRef] [PubMed]
- Benkö, T.; König, J.; Theysohn, J.M.; Schotten, C.; Saner, F.H.; Treckmann, J.; Radunz, S. Bridging treatment prior to liver transplantation for hepatocellular carcinoma: Radioembolization or transarterial chemoembolization? Eur. J. Med. Res. 2022, 27, 74. [Google Scholar] [CrossRef]





| TACE Received (80) | TACE Not Received (29) | p-Value | |
|---|---|---|---|
| Sex (f/m) (n) | 16/64 (80%) | 9/20 (69%) | 0.302 |
| Mean age at LTx (yrs) | 62.06 (32–75) | 59.94 (45–70) | 0.055 |
| AFP-positive HCC (n) | 43 | 9 | 0.050 |
| Milan In (n) | 51 | 15 | 0.275 |
| UCSF In (n) | 9 | 2 | 0.724 |
| Mean waiting time (d) | 229 | 165 | 0.747 |
| Predictors | |||
| Size of largest tumor (cm) | 3.6 (1.1–14) | 2.5 (0.4–11.9) | 0.002 |
| Number of lesions (n) | 1.88 | 1.62 | 0.205 |
| Vascular invasion radiologic (V+) (n) | 11 | 3 | 0.755 |
| Max. AFP value (ng/dL) | 258.35 | 273.93 | 0.023 |
| Comorbidities | |||
| Diabetes (n) | 33 | 17 | 0.130 |
| pAD (n) | 7 | 1 | 0.678 |
| Hypertony (n) | 43 | 15 | 1 |
| Smoker (n) | 8 | 4 | 0.729 |
| cHD (n) | 12 | 2 | 0.345 |
| I.v. dr(n) | 4 | 1 | 1 |
| Etiology of Cirrhosis | |||
| C2-toxic | 28 | 18 | 0.052 |
| Hepatitis A | 3 | 2 | 0.621 |
| Hepatitis B | 17 | 3 | 0.176 |
| Hepatitis C | 31 | 4 | 0.019 |
| Hepatitis D | 1 | 1 | 0.489 |
| Hepatitis E | 0 | 1 | 0.284 |
| NASH | 8 | 6 | 0.215 |
| Alpha-1 antitrypsin deficiency | 0 | 1 | 0.284 |
| Autoimmune-related | 0 | 1 | 0.284 |
| MELD at transplantation (median, range) | 16 (7–34) | 22 (6–36) | 0.034 |
| Postop. Complications | |||
| CD-I | 27 | 6 | 0.241 |
| CD-II | 5 | 4 | 0.242 |
| CD-IIIa | 5 | 4 | 0.242 |
| CD-IIIb | 7 | 3 | 0.724 |
| CD-IVa | 6 | 2 | 1 |
| CD-IVb | 8 | 4 | 0.729 |
| CD-V | 8 | 2 | 1 |
| Retransplantations | |||
| <14 d to Tx | 5 | 0 | 0.322 |
| >14 d to Tx | 2 | 1 | 1 |
| Arterial Complications (n) | 8 | 6 | 0.193 |
| Dissection (n) | 1 | 1 | 0.462 |
| Stenosis (n) | 4 | 5 | 0.051 |
| Occlusions (n) | 3 | 0 | 0.561 |
| Overall (n = 109) | TACE (n = 80) | Control (n = 29) | |
|---|---|---|---|
| Michels 1 | 83 (76.1%) | 61 (76.3%) | 22 (75.9%) |
| Michels 2 | 12 (11.0%) | 11 (13.8%) | 1 (3.4%) |
| Michels 3 | 6 (5.5%) | 3 (3.8%) | 3 (10.3%) |
| Michels 4 | 1 (0.9%) | 0 | 1 (3.4%) |
| Michels 6 | 1 (0.9%) | 0 | 1 (3.4%) |
| Michels 9 | 2 (1.8%) | 1 (1.3%) | 1 (3.4%) |
| Michels 10 | 2 (1.8%) | 2 (2.6%) | 0 |
| Overall (n = 109) | TACE (n = 80) | Control (n = 29) | p-Value | |
|---|---|---|---|---|
| Celiac Aneurysm | 3 (2.8%) | 3 (3.8%) | 0 | 0.500 |
| Celiac Stenosis | 6 (5.5%) | 5 (6.3%) | 1 (3.5%) | 1 |
| Hepatic Artery Aneurysm | 1 (0.9%) | 1 (1.3%) | 0 | 1 |
| Hepatic Artery Stenosis | 1 (0.9%) | 0 | 1 (3.5%) | 0.260 |
| Overall | 11 (10.1%) | 9 (11.3%) | 2 (7.0%) | 0.720 |
| Overall (n = 109) | TACE (n = 80) | Control (n = 29) | p-Value | |
|---|---|---|---|---|
| Arterial Complications | 14 (11.7%) | 8 (10.0%) | 6 (20.7%) | 0.193 |
| Arterial Occlusion | 3 (2.7%) | 3 (3.8%) | 0 | 0.561 |
| Stenosis | 9 (8.3%) | 4 (5.0%) | 5 (17.2%) | 0.050 |
| Dissection | 2 (1.8%) | 1 (1.3%) | 1 (3.5%) | 0.460 |
| Arterial Complication | Days | Management | Outcome |
|---|---|---|---|
| TACE Group, n = 8 | |||
| Stenosis | 87 | Surgical revision | Death after revision due to transplant failure |
| Celiac dissection | 84 | Conservative (ASS) | Good |
| Arterial thrombosis | 47 | Stenting of upstream celiac stenosis | Good, compensated arterial occlusion |
| Arterial thrombosis | 12 | Surgical revision | Good, intraoperative no thrombosis detected |
| Arterial thrombosis | 5 | Planned retransplant | Death prior to retransplant |
| Stenosis | 110 | Conservative | Good |
| Stenosis | 12 | Conservative | Good |
| Stenosis | 17 | Retransplantation due to severe infarction | Good |
| Control Group, n = 6 | |||
| Stenosis | 137 | Conservative | Chronic transplant dysfunction |
| Dissection | 85 | Conservative | Good |
| Stenosis | 46 | Retransplantation due to biliary complication | Good |
| Stenosis | 10 | Conservative | Good |
| Stenosis | 8 | Conservative | Good |
| Stenosis | 5 | Retransplantation | Multi-organ failure, death |
Disclaimer/Publisher’s Note: The statements, opinions and data contained in all publications are solely those of the individual author(s) and contributor(s) and not of MDPI and/or the editor(s). MDPI and/or the editor(s) disclaim responsibility for any injury to people or property resulting from any ideas, methods, instructions or products referred to in the content. |
© 2025 by the authors. Licensee MDPI, Basel, Switzerland. This article is an open access article distributed under the terms and conditions of the Creative Commons Attribution (CC BY) license (https://creativecommons.org/licenses/by/4.0/).
Share and Cite
Weiße, S.; Mostafa, K.; Andersson, J.; Gundlach, J.-P.; Becker, T.; Schäfer, J.P.; Braun, F. Arterial Complications in Patients Undergoing Liver Transplantation After Previous TACE Treatment. J. Clin. Med. 2025, 14, 1262. https://doi.org/10.3390/jcm14041262
Weiße S, Mostafa K, Andersson J, Gundlach J-P, Becker T, Schäfer JP, Braun F. Arterial Complications in Patients Undergoing Liver Transplantation After Previous TACE Treatment. Journal of Clinical Medicine. 2025; 14(4):1262. https://doi.org/10.3390/jcm14041262
Chicago/Turabian StyleWeiße, Sebastian, Karim Mostafa, Julian Andersson, Jan-Paul Gundlach, Thomas Becker, Jost Philipp Schäfer, and Felix Braun. 2025. "Arterial Complications in Patients Undergoing Liver Transplantation After Previous TACE Treatment" Journal of Clinical Medicine 14, no. 4: 1262. https://doi.org/10.3390/jcm14041262
APA StyleWeiße, S., Mostafa, K., Andersson, J., Gundlach, J.-P., Becker, T., Schäfer, J. P., & Braun, F. (2025). Arterial Complications in Patients Undergoing Liver Transplantation After Previous TACE Treatment. Journal of Clinical Medicine, 14(4), 1262. https://doi.org/10.3390/jcm14041262

