Endovascular Recanalization and Carotid Stenting: The New Approach to Restore Cerebral Perfusion during Aortic Dissection
Abstract
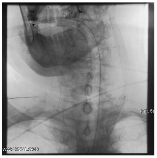
1. Introduction
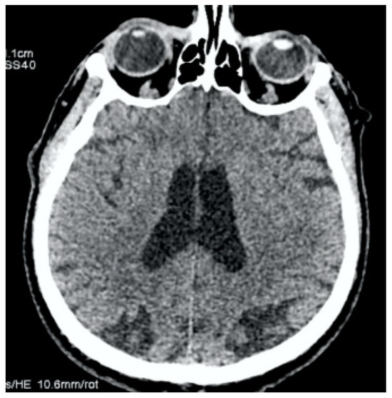
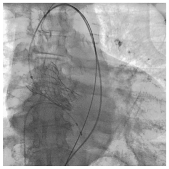
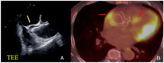
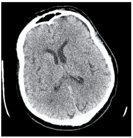
2. Discussion
3. Conclusions
Author Contributions
Funding
Institutional Review Board Statement
Informed Consent Statement
Data Availability Statement
Conflicts of Interest
References
- Harris, C.; Croce, B.; Cao, C. Type A Aortic Dissection. Ann. Cardiothorac. Surg. 2016, 5, 256. [Google Scholar] [CrossRef] [PubMed]
- Feng, Y.; Ma, X.-T.; Zhang, X.-X.; Wajeehullahi, A.; Chen, Z.-J.; Li, S.-L.; Cheng, C. Clinical Study of Reoperation for Acute Type A Aortic Dissection. Front. Cardiovasc. Med. 2024, 11, 1340687. [Google Scholar] [CrossRef]
- Norton, E.L.; Khaja, M.S.; Williams, D.M.; Yang, B. Type A Aortic Dissection Complicated by Malperfusion Syndrome. Curr. Opin. Cardiol. 2019, 34, 610–615. [Google Scholar] [CrossRef] [PubMed]
- Brown, J.A.; Aranda-Michel, E.; Navid, F.; Serna-Gallegos, D.; Thoma, F.; Sultan, I. Outcomes of Emergency Surgery for Acute Type A Aortic Dissection Complicated by Malperfusion Syndrome. J. Thorac. Cardiovasc. Surg. 2024, 167, 882–892.e2. [Google Scholar] [CrossRef] [PubMed]
- Geirsson, A.; Szeto, W.Y.; Pochettino, A.; McGarvey, M.L.; Keane, M.G.; Woo, Y.J.; Augoustides, J.G.; Bavaria, J.E. Significance of Malperfusion Syndromes Prior to Contemporary Surgical Repair for Acute Type A Dissection: Outcomes and Need for Additional Revascularizations. Eur. J. Cardiothorac. Surg. 2007, 32, 255–262. [Google Scholar] [CrossRef]
- Berretta, P.; Trimarchi, S.; Patel, H.J.; Gleason, T.G.; Eagle, K.A.; Di Eusanio, M. Malperfusion Syndromes in Type A Aortic Dissection: What We Have Learned from IRAD. J. Vis. Surg. 2018, 4, 65. [Google Scholar] [CrossRef] [PubMed]
- Berge, E.; Whiteley, W.; Audebert, H.; De Marchis, G.M.; Fonseca, A.C.; Padiglioni, C.; de la Ossa, N.P.; Strbian, D.; Tsivgoulis, G.; Turc, G. European Stroke Organisation (ESO) Guidelines on Intravenous Thrombolysis for Acute Ischaemic Stroke. Eur. Stroke J. 2021, 6, I–LXII. [Google Scholar] [CrossRef] [PubMed]
- Casana, R.; Tolva, V.; Majnardi, A.R.; Bianchi, P.G.; Addobati, L.; Bertoni, G.B.; Cireni, L.V.; Silani, V. Endovascular Management of Symptomatic Cerebral Malperfusion Due to Carotid Dissection after Type A Aortic Dissection Repair. Vasc. Endovasc. Surg. 2011, 45, 641–645. [Google Scholar] [CrossRef]
- Zhang, Q.; Ma, X.; Zhang, W.; Wang, Z.; Zhang, H.; Zhang, X.; Song, J.; Zou, C. Surgical Repair and Reconstruction of Aortic Arch in Debakey Type I Aortic Dissection: Recent Advances and Single-Center Experience in the Application of Branched Stent Graft. J. Cardiothorac. Surg. 2017, 12, 86. [Google Scholar] [CrossRef]
- Czerny, M.; Schoenhoff, F.; Etz, C.; Englberger, L.; Khaladj, N.; Zierer, A.; Weigang, E.; Hoffmann, I.; Blettner, M.; Carrel, T.P. The Impact of Pre-Operative Malperfusion on Outcome in Acute Type A Aortic Dissection: Results From the GERAADA Registry. J. Am. Coll. Cardiol. 2015, 65, 2628–2635. [Google Scholar] [CrossRef]
- Munir, W.; Chong, J.H.; Harky, A.; Bashir, M.; Adams, B. Type A Aortic Dissection: Involvement of Carotid Artery and Impact on Cerebral Malperfusion. Asian Cardiovasc. Thorac. Ann. 2021, 29, 635–642. [Google Scholar] [CrossRef] [PubMed]
- Popović, R.; Radovinović-Tasić, S.; Rusović, S.; Lepić, T.; Ilić, R.; Raičević, R.; Obradović, D. Urgent Carotid Stenting before Cardiac Surgery in a Young Male Patient with Acute Ischemic Stroke Caused by Aortic and Carotid Dissection. Vojn. Pregl. 2016, 73, 674–678. [Google Scholar] [CrossRef] [PubMed][Green Version]
- Funakoshi, Y.; Imamura, H.; Tokunaga, S.; Murakami, Y.; Tani, S.; Adachi, H.; Ohara, N.; Kono, T.; Fukumitsu, R.; Sunohara, T.; et al. Carotid Artery Stenting before Surgery for Carotid Artery Occlusion Associated with Acute Type A Aortic Dissection: Two Case Reports. Interv. Neuroradiol. 2020, 26, 814–820. [Google Scholar] [CrossRef] [PubMed]
- Wawak, M.; Tekieli, L.; Badacz, R.; Pieniążek, P.; Maciejewski, D.; Trystuła, M.; Przewłocki, T.; Kabłak-Ziembicka, A. Clinical Characteristics and Outcomes of Aortic Arch Emergencies: Takayasu Disease, Fibromuscular Dysplasia, and Aortic Arch Pathologies: A Retrospective Study and Review of the Literature. Biomedicines 2023, 11, 2207. [Google Scholar] [CrossRef] [PubMed]
- Tsivgoulis, G.; Safouris, A.; Alexandrov, A.V. Safety of intravenous thrombolysis for acute ischemic stroke in specific conditions. Expert Opin. Drug Saf. 2015, 14, 845–864. [Google Scholar] [CrossRef] [PubMed]
- Chemtob, R.A.; Fuglsang, S.; Geirsson, A.; Ahlsson, A.; Olsson, C.; Gunn, J.; Ahmad, K.; Hansson, E.C.; Pan, E.; Arnadottir, L.O.; et al. Stroke in Acute Type A Aortic Dissection: The Nordic Consortium for Acute Type A Aortic Dissection (NORCAAD). Eur. J. Cardiothorac. Surg. 2020, 58, 1027–1034. [Google Scholar] [CrossRef]
- Pollari, F.; Nardi, P.; Mikus, E.; Ferraro, F.; Gemelli, M.; Franzese, I.; Chirichilli, I.; Romagnoni, C.; Santarpino, G.; Nicolardi, S.; et al. Comparison of 4 Mortality Scores for Surgical Repair of Type A Aortic Dissection: A Multicentre External Validation. Eur. J. Cardiothorac. Surg. 2024, 65, ezae005. [Google Scholar] [CrossRef]
- Bossone, E.; Corteville, D.C.; Harris, K.M.; Suzuki, T.; Fattori, R.; Hutchison, S.; Ehrlich, M.P.; Pyeritz, R.E.; Steg, P.G.; Greason, K.; et al. Stroke and Outcomes in Patients with Acute Type A Aortic Dissection. Circulation 2013, 128, S175–S179. [Google Scholar] [CrossRef]
- Most, H.; Reinhard, B.; Gahl, B.; Englberger, L.; Kadner, A.; Weber, A.; Schmidli, J.; Carrel, T.P.; Huber, C. Is Surgery in Acute Aortic Dissection Type A Still Contraindicated in the Presence of Preoperative Neurological Symptoms? Eur. J. Cardiothorac. Surg. 2015, 48, 945–950; discussion 950. [Google Scholar] [CrossRef]
- Mai, D.T.; Vu, D.L.; Nguyen, Q.-A.; Huu, A.N.; Nguyen, M.A.; Dao, V.P. Simultaneous Mechanical Thrombectomy for Bilateral Acute Internal Carotid Artery Occlusion. Radiol. Case Rep. 2022, 17, 142–146. [Google Scholar] [CrossRef]
- Karki, M.; Devarakonda, P.K.; Dhulipalla, L.; Pattipati, M.; Ayala-Rodriguez, C. Bilateral Internal Carotid Artery Occlusion, an Unusual Clinical Entity in a Young Adult. Cureus 2021, 13, e15971. [Google Scholar] [CrossRef] [PubMed]
- Ogawa, S.; Sato, D.; Torazawa, S.; Ota, T. Acute Thrombectomy for Contralateral Internal Carotid Artery Occlusion after Revascularization Surgery for Quasi-Moyamoya Disease: A Case Report. NMC Case Rep. J. 2021, 8, 673–679. [Google Scholar] [CrossRef] [PubMed]
- Pop, R.; Manisor, M.; Wolff, V.; Habashy, M.; Rouyer, O.; Kehrli, P.; Marescaux, C.; Beaujeux, R. Endovascular Treatment in Two Cases of Bilateral Ischemic Stroke. Cardiovasc. Interv. Radiol. 2014, 37, 829–834. [Google Scholar] [CrossRef]
- Powers, W.J.; Rabinstein, A.A.; Ackerson, T.; Adeoye, O.M.; Bambakidis, N.C.; Becker, K.; Biller, J.; Brown, M.; Demaerschalk, B.M.; Hoh, B.; et al. Guidelines for the Early Management of Patients With Acute Ischemic Stroke: 2019 Update to the 2018 Guidelines for the Early Management of Acute Ischemic Stroke: A Guideline for Healthcare Professionals From the American Heart Association/American Stroke Association. Stroke 2019, 50, e344–e418. [Google Scholar] [CrossRef]
- Larrew, T.; Hubbard, Z.; Almallouhi, E.; Banerjee, C.; Moss, M.; Spiotta, A.M. Simultaneous Bilateral Carotid Thrombectomies: A Technical Note. Oper. Neurosurg. 2020, 18, E143–E148. [Google Scholar] [CrossRef]
- Jeromel, M.; Milosevic, Z.V.; Oblak, J.P. Mechanical Recanalization for Acute Bilateral Cerebral Artery Occlusion—Literature Overview with a Case. Radiol. Oncol. 2020, 54, 144–148. [Google Scholar] [CrossRef]
- Beutler, B.D.; Rangaswamy, R.; Bruno, A.J.; Tabaac, B.J. Acute Bilateral Internal Carotid Artery Occlusion: A Novel Approach to Management of a Catastrophic Clinical Entity. Clin. Imaging 2021, 76, 166–174. [Google Scholar] [CrossRef] [PubMed]
- Zubkov, A.Y.; Klassen, B.T.; Burnett, M.S.; Rabinstein, A.A. Bilateral Internal Carotid Artery Occlusions Resulting in near Total Acute Brain Infraction. Neurocrit. Care 2007, 7, 247–249. [Google Scholar] [CrossRef]
- Jadhav, A.P.; Ducruet, A.F.; Jankowitz, B.T.; Jovin, T.G. Management of Bilateral Carotid Occlusive Disease. Interv. Neurol. 2016, 4, 96–103. [Google Scholar] [CrossRef]
- Iida, Y. Acute Aortic Dissection Complicated by Lower Limb Ischemia: Evaluation of Ischemic Severity and Appropriate Surgical Technique. Kyobu Geka 2023, 76, 799–803. [Google Scholar]
- Chen, S.; Peng, H.; Zhuang, H.; Wang, J.; Yan, P.; Zhang, W.; Zheng, W.; Li, M.; Wu, X. Optimized Strategy to Improve the Outcomes of Acute Type A Aortic Dissection with Malperfusion Syndrome. J. Thorac. Cardiovasc. Surg. 2024, in press. [Google Scholar] [CrossRef] [PubMed]
- Mukherjee, D.; Lewis, E.; Spinosa, D.; Tang, D.; Ryan, L. Retrograde Carotid Stenting Using Newly Released Venous Stent for Cerebral Malperfusion in Type A Aortic Dissection. J. Endovasc. Ther. 2022, 29, 444–450. [Google Scholar] [CrossRef] [PubMed]














Disclaimer/Publisher’s Note: The statements, opinions and data contained in all publications are solely those of the individual author(s) and contributor(s) and not of MDPI and/or the editor(s). MDPI and/or the editor(s) disclaim responsibility for any injury to people or property resulting from any ideas, methods, instructions or products referred to in the content. |
© 2024 by the authors. Licensee MDPI, Basel, Switzerland. This article is an open access article distributed under the terms and conditions of the Creative Commons Attribution (CC BY) license (https://creativecommons.org/licenses/by/4.0/).
Share and Cite
Agarkov, M.; Kozlov, K.; Senkina, E.; Gornov, S.; Linkova, N.; Kechaeva, E.; Medvedev, D.; Krasichkov, A.; Dyatlova, A.; Polyakova, V. Endovascular Recanalization and Carotid Stenting: The New Approach to Restore Cerebral Perfusion during Aortic Dissection. J. Clin. Med. 2024, 13, 2716. https://doi.org/10.3390/jcm13092716
Agarkov M, Kozlov K, Senkina E, Gornov S, Linkova N, Kechaeva E, Medvedev D, Krasichkov A, Dyatlova A, Polyakova V. Endovascular Recanalization and Carotid Stenting: The New Approach to Restore Cerebral Perfusion during Aortic Dissection. Journal of Clinical Medicine. 2024; 13(9):2716. https://doi.org/10.3390/jcm13092716
Chicago/Turabian StyleAgarkov, Maxim, Kirill Kozlov, Ekaterina Senkina, Sergey Gornov, Natalia Linkova, Elena Kechaeva, Dmitrii Medvedev, Alexander Krasichkov, Anastasiia Dyatlova, and Victoria Polyakova. 2024. "Endovascular Recanalization and Carotid Stenting: The New Approach to Restore Cerebral Perfusion during Aortic Dissection" Journal of Clinical Medicine 13, no. 9: 2716. https://doi.org/10.3390/jcm13092716
APA StyleAgarkov, M., Kozlov, K., Senkina, E., Gornov, S., Linkova, N., Kechaeva, E., Medvedev, D., Krasichkov, A., Dyatlova, A., & Polyakova, V. (2024). Endovascular Recanalization and Carotid Stenting: The New Approach to Restore Cerebral Perfusion during Aortic Dissection. Journal of Clinical Medicine, 13(9), 2716. https://doi.org/10.3390/jcm13092716

