Is Steatotic Liver Disease Related to Poor Outcome in COVID-19-Hospitalized Patients?
Abstract
1. Introduction
2. Materials and Methods
2.1. Study Design and Population
2.2. Data Collection and Follow-up
2.3. Statistical Analysis
3. Results
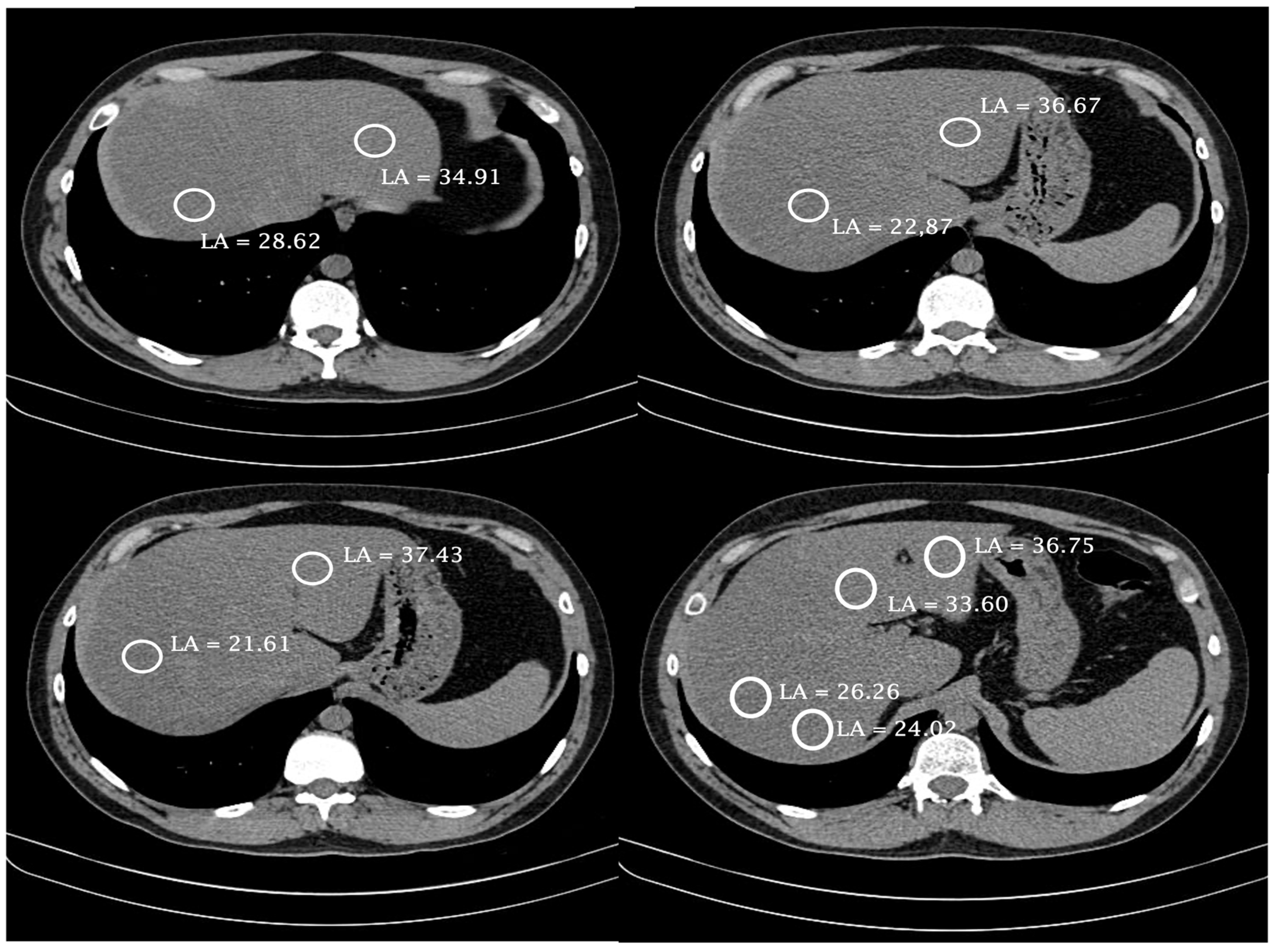
3.1. Steatotic Liver Disease
3.2. Mortality
4. Discussion
5. Conclusions
Author Contributions
Funding
Institutional Review Board Statement
Informed Consent Statement
Data Availability Statement
Acknowledgments
Conflicts of Interest
References
- Reaven, G.M. Role of Insulin Resistance in Human Disease. Diabetes 1988, 37, 1595–1607. [Google Scholar] [CrossRef] [PubMed]
- Ford, E.S.; Giles, W.H.; Dietz, W.H. Prevalence of the Metabolic Syndrome among Us Adults: Findings from the Third National Health and Nutrition Examination Survey. JAMA 2002, 287, 356–359. [Google Scholar] [CrossRef] [PubMed]
- Hirode, G.; Wong, R.J. Trends in the Prevalence of Metabolic Syndrome in the United States, 2011–2016. JAMA 2020, 323, 2526–2528. [Google Scholar] [CrossRef] [PubMed]
- Neves, C.V.B.; de Melo Mambrini, J.V.; Torres, K.C.L.; Teixeira-Carvalho, A.; Martins-Filho, O.A.; Lima-Costa, M.F.; Peixoto, S.V. Associação Entre Síndrome Metabólica E Marcadores Inflamatórios Em Idosos Residentes Na Comunidade. Cad. Saúde Pública 2019, 35, e00129918. [Google Scholar] [CrossRef] [PubMed]
- Wang, H.; Dai, Y.; Huang, S.; Rong, S.; Qi, Y.; Li, B. A New Perspective on Special Effective Interventions for Metabolic Syndrome Risk Factors: A Systematic Review and Meta-Analysis. Front. Public Health 2023, 11, 1133614. [Google Scholar] [CrossRef] [PubMed]
- Dietrich, C.G.; Geier, A.; Merle, U. Non-Alcoholic Fatty Liver Disease and COVID-19: Harmless Companions or Disease Intensifier? World J. Gastroenterol. 2023, 29, 367. [Google Scholar] [CrossRef] [PubMed]
- Rinella, M.E.; Lazarus, J.V.; Ratziu, V.; Francque, S.M.; Sanyal, A.J.; Kanwal, F.; Romero, D.; Abdelmalek, M.F.; Anstee, Q.M.; Arab, J.P. A Multi-Society Delphi Consensus Statement on New Fatty Liver Disease Nomenclature. Ann. Hepatol. 2023, 78, 1966–1986. [Google Scholar] [CrossRef] [PubMed]
- Staufer, K.; Stauber, R.E. Steatotic Liver Disease: Metabolic Dysfunction, Alcohol, or Both? Biomedicines 2023, 11, 2108. [Google Scholar] [CrossRef]
- Moreira, R.O.; Valerio, C.M.; Villela-Nogueira, C.A.; Cercato, C.; Gerchman, F.; Lottenberg, A.M.P.; Godoy-Matos, A.F.; de Andrade Oliveira, R.; Mello, C.E.B.; Álvares-da-Silva, M.R. Brazilian Evidence-Based Guideline for Screening, Diagnosis, Treatment, and Follow-up of Metabolic Dysfunction-Associated Steatotic Liver Disease (Masld) in Adult Individuals with Overweight or Obesity: A Joint Position Statement from the Brazilian Society of Endocrinology and Metabolism (Sbem), Brazilian Society of Hepatology (Sbh), and Brazilian Association for the Study of Obesity and Metabolic Syndrome (Abeso). Arch. Endocrinol. Metab. 2023, 67, e230123. [Google Scholar] [CrossRef]
- Thoppil, J.J.; Stewart, L.K.; Pung, L.; Nordenholz, K.E.; Camargo, C.A., Jr.; Courtney, D.M.; Kline, J.A.; RECOVER Network. Increased Body Mass Index and Metabolic Syndrome Are Associated with Poor Outcomes in Sars-Cov-2-Positive Emergency Department Patients. J. Obes. Metab. Syndr. 2022, 31, 245. [Google Scholar] [CrossRef]
- Chen, V.L.; Hawa, F.; Berinstein, J.A.; Reddy, C.A.; Kassab, I.; Platt, K.D.; Hsu, C.-Y.; Steiner, C.A.; Louissaint, J.; Gunaratnam, N.T. Hepatic Steatosis Is Associated with Increased Disease Severity and Liver Injury in Coronavirus Disease-19. Dig. Dis. Sci. 2021, 66, 3192–3198. [Google Scholar] [CrossRef] [PubMed]
- Huang, R.; Zhu, L.; Wang, J.; Xue, L.; Liu, L.; Yan, X.; Huang, S.; Li, Y.; Yan, X.; Zhang, B. Clinical Features of Patients with COVID-19 with Nonalcoholic Fatty Liver Disease. Hepatol. Commun. 2020, 4, 1758–1768. [Google Scholar] [CrossRef]
- Lopez-Mendez, I.; Aquino-Matus, J.; Gall, S.M.-B.; Prieto-Nava, J.D.; Juarez-Hernandez, E.; Uribe, M.; Castro-Narro, G. Association of Liver Steatosis and Fibrosis with Clinical Outcomes in Patients with Sars-Cov-2 Infection (COVID-19). Ann. Hepatol. 2021, 20, 100271. [Google Scholar] [CrossRef]
- Moctezuma-Velazquez, P.; Miranda-Zazueta, G.; Ortiz-Brizuela, E.; Garay-Mora, J.A.; González-Lara, M.F.; Tamez-Torres, K.M.; Román-Montes, C.M.; Díaz-Mejía, B.A.; Perez-Garcia, E.; Villanueva-Reza, M. Nafld Determined by Dallas Steatosis Index Is Associated with Poor Outcomes in COVID-19 Pneumonia: A Cohort Study. Intern. Emerg. Med. 2022, 17, 1355–1362. [Google Scholar] [CrossRef] [PubMed]
- Mushtaq, K.; Khan, M.U.; Iqbal, F.; Alsoub, D.H.; Chaudhry, H.S.; Ata, F.; Iqbal, P.; Elfert, K.; Balaraju, G.; Almaslamani, M. Nafld Is a Predictor of Liver Injury in COVID-19 Hospitalized Patients but Not of Mortality, Disease Severity on the Presentation or Progression–the Debate Continues. J. Hepatol. 2021, 74, 482–484. [Google Scholar] [CrossRef]
- Tripon, S.; Bilbault, P.; Fabacher, T.; Lefebvre, N.; Lescuyer, S.; Andres, E.; Schmitt, E.; Garnier-KepKA, S.; Le Borgne, P.; Muller, J. Abnormal Liver Tests and Non-Alcoholic Fatty Liver Disease Predict Disease Progression and Outcome of Patients with COVID-19. Clin. Res. Hepatol. Gastroenterol. 2022, 46, 101894. [Google Scholar] [CrossRef]
- Zhou, Y.-J.; Zheng, K.I.; Wang, X.-B.; Sun, Q.-F.; Pan, K.-H.; Wang, T.-Y.; Ma, H.-L.; Chen, Y.-P.; George, J.; Zheng, M.-H. Metabolic-Associated Fatty Liver Disease Is Associated with Severity of COVID-19. Liver Int. 2020, 40, 2160–2163. [Google Scholar] [CrossRef]
- Ziaee, A.; Azarkar, G.; Ziaee, M. Role of Fatty Liver in Coronavirus Disease 2019 Patients’ Disease Severity and Hospitalization Length: A Case–Control Study. Eur. J. Med. Res. 2021, 26, 115. [Google Scholar] [CrossRef] [PubMed]
- Chang, Y.; Jeon, J.; Song, T.-J.; Kim, J. Association between the Fatty Liver Index and the Risk of Severe Complications in COVID-19 Patients: A Nationwide Retrospective Cohort Study. BMC Infect. Dis. 2022, 22, 384. [Google Scholar] [CrossRef]
- Hayat, U.; Ashfaq, M.Z.; Johnson, L.; Ford, R.; Wuthnow, C.; Kadado, K.; El Jurdi, K.; Okut, H.; Kilgore, W.R.; Assi, M. The Association of Metabolic-Associated Fatty Liver Disease with Clinical Outcomes of COVID-19: A Systematic Review and Meta-Analysis. Kans. J. Med. 2022, 15, 241. [Google Scholar] [CrossRef]
- Ji, D.; Qin, E.; Xu, J.; Zhang, D.; Cheng, G.; Wang, Y.; Lau, G. Non-Alcoholic Fatty Liver Diseases in Patients with COVID-19: A Retrospective Study. J. Hepatol. 2020, 73, 451–453. [Google Scholar] [CrossRef] [PubMed]
- Nath, P.; Kumar, R.; Mallick, B.; Das, S.; Anand, A.; Panigrahi, S.C.; Duseja, A.; Acharya, S.K.; Chawla, Y.K.; Praharaj, D.L. Effect of Nonalcoholic Fatty Liver Disease (Nafld) on COVID-19: A Single-Center Study of 3983 Patients with Review of Literature. Cureus 2022, 14, e26683. [Google Scholar] [CrossRef] [PubMed]
- Forlano, R.; Mullish, B.H.; Mukherjee, S.K.; Nathwani, R.; Harlow, C.; Crook, P.; Judge, R.; Soubieres, A.; Middleton, P.; Daunt, A. In-Hospital Mortality Is Associated with Inflammatory Response in Nafld Patients Admitted for COVID-19. PLoS ONE 2020, 15, e0240400. [Google Scholar] [CrossRef] [PubMed]
- Parlak, S.; Çıvgın, E.; Beşler, M.S.; Kayıpmaz, A.E. The Effect of Hepatic Steatosis on COVID-19 Severity: Chest Computed Tomography Findings. Saudi J. Gastroenterol. 2021, 27, 105. [Google Scholar] [CrossRef] [PubMed]
- Williams, R. Global Challenges in Liver Disease. Hepatology 2006, 44, 521–526. [Google Scholar] [CrossRef] [PubMed]
- ABESO. Diretrizes Brasileiras de Obesidade 2016; ABESO: São Paulo, Brazil, 2016. [Google Scholar]
- Boyce, C.J.; Pickhardt, P.J.; Kim, D.H.; Taylor, A.J.; Winter, T.C.; Bruce, R.J.; Lindstrom, M.J.; Hinshaw, J.L. Hepatic Steatosis (Fatty Liver Disease) in Asymptomatic Adults Identified by Unenhanced Low-Dose CT. Am. J. Roentgenol. 2010, 194, 623–628. [Google Scholar] [CrossRef]
- Tahtabasi, M.; Hosbul, T.; Karaman, E.; Akin, Y.; Kilicaslan, N.; Gezer, M.; Sahiner, F. Frequency of Hepatic Steatosis and Its Association with the Pneumonia Severity Score on Chest Computed Tomography in Adult COVID-19 Patients. World J. Crit. Care Med. 2021, 10, 47. [Google Scholar] [CrossRef] [PubMed]
- Simpson, S.; Kay, F.U.; Abbara, S.; Bhalla, S.; Chung, J.H.; Chung, M.; Henry, T.S.; Kanne, J.P.; Kligerman, S.; Ko, J.P. Radiological Society of North America Expert Consensus Document on Reporting Chest CT Findings Related to COVID-19: Endorsed by the Society of Thoracic Radiology, the American College of Radiology, and RSNA. Radiol. Cardiothorac. Imaging 2020, 2, e200152. [Google Scholar] [CrossRef]
- Singh, S.; Bilal, M.; Pakhchanian, H.; Raiker, R.; Kochhar, G.S.; Thompson, C.C. Impact of Obesity on Outcomes of Patients with Coronavirus Disease 2019 in the United States: A Multicenter Electronic Health Records Network Study. Gastroenterology 2020, 159, 2221–2225.e6. [Google Scholar] [CrossRef]
- Soeroto, A.Y.; Soetedjo, N.N.; Purwiga, A.; Santoso, P.; Kulsum, I.D.; Suryadinata, H.; Ferdian, F. Effect of Increased Bmi and Obesity on the Outcome of COVID-19 Adult Patients: A Systematic Review and Meta-Analysis. Diabetes Metab. Syndr. Clin. Res. Rev. 2020, 14, 1897–1904. [Google Scholar] [CrossRef]
- Gao, F.; Zheng, K.I.; Wang, X.-B.; Sun, Q.-F.; Pan, K.-H.; Wang, T.-Y.; Chen, Y.-P.; Targher, G.; Byrne, C.D.; George, J. Obesity Is a Risk Factor for Greater COVID-19 Severity. Diabetes Care 2020, 43, e72–e74. [Google Scholar] [CrossRef] [PubMed]
- Dana, R.; Bannay, A.; Bourst, P.; Ziegler, C.; Losser, M.-R.; Gibot, S.; Levy, B.; Audibert, G.; Ziegler, O. Obesity and Mortality in Critically Ill COVID-19 Patients with Respiratory Failure. Int. J. Obes. 2021, 45, 2028–2037. [Google Scholar] [CrossRef] [PubMed]
- Kim, J. Does Obesity Paradox Exist in COVID-19 Mortality? J. Obes. Metab. Syndr. 2022, 31, 199–200. [Google Scholar] [CrossRef] [PubMed]
- Targher, G.; Mantovani, A.; Byrne, C.D.; Wang, X.-B.; Yan, H.-D.; Sun, Q.-F.; Pan, K.-H.; Zheng, K.I.; Chen, Y.-P.; Eslam, M. Risk of Severe Illness from COVID-19 in Patients with Metabolic Dysfunction-Associated Fatty Liver Disease and Increased Fibrosis Scores. Gut 2020, 69, 1545–1547. [Google Scholar] [CrossRef] [PubMed]
- Gao, F.; Zheng, K.I.; Yan, H.-D.; Sun, Q.-F.; Pan, K.-H.; Wang, T.-Y.; Chen, Y.-P.; Targher, G.; Byrne, C.D.; George, J. Association and Interaction between Serum Interleukin-6 Levels and Metabolic Dysfunction-Associated Fatty Liver Disease in Patients with Severe Coronavirus Disease 2019. Front. Endocrinol. 2021, 12, 604100. [Google Scholar] [CrossRef] [PubMed]
- Mahamid, M.; Nseir, W.; Khoury, T.; Mahamid, B.; Nubania, A.; Sub-Laban, K.; Schifter, J.; Mari, A.; Sbeit, W.; Goldin, E. Nonalcoholic Fatty Liver Disease Is Associated with COVID-19 Severity Independently of Metabolic Syndrome: A Retrospective Case-Control Study. Eur. J. Gastroenterol. Hepatol. 2021, 33, 1578–1581. [Google Scholar] [CrossRef] [PubMed]
- Oliveira, L.V.A.; Santos, B.N.S.D.; Machado, Í.E.; Malta, D.C.; Velasquez-Melendez, G.; Felisbino-Mendes, M.S. Prevalência Da Síndrome Metabólica E Seus Componentes Na População Adulta Brasileira. Ciência Saúde Coletiva 2020, 25, 4269–4280. [Google Scholar] [CrossRef]
- Younossi, Z.; Tacke, F.; Arrese, M.; Sharma, B.C.; Mostafa, I.; Bugianesi, E.; Wong, V.W.-S.; Yilmaz, Y.; George, J.; Fan, J. Global Perspectives on Nonalcoholic Fatty Liver Disease and Nonalcoholic Steatohepatitis. Hepatology 2019, 69, 2672–2682. [Google Scholar] [CrossRef] [PubMed]
- Guan, W.-J.; Ni, Z.-Y.; Hu, Y.; Liang, W.-H.; Ou, C.-Q.; He, J.-X.; Liu, L.; Shan, H.; Lei, C.-L.; Hui, D.S.C. Clinical Characteristics of Coronavirus Disease 2019 in China. N. Engl. J. Med. 2020, 382, 1708–1720. [Google Scholar] [CrossRef]
- Lei, F.; Liu, Y.-M.; Zhou, F.; Qin, J.-J.; Zhang, P.; Zhu, L.; Zhang, X.-J.; Cai, J.; Lin, L.; Ouyang, S. Longitudinal Association between Markers of Liver Injury and Mortality in COVID-19 in China. Hepatology 2020, 72, 389–398. [Google Scholar] [CrossRef]
- Mantovani, A.; Beatrice, G.; Dalbeni, A. Coronavirus Disease 2019 and Prevalence of Chronic Liver Disease: A Meta-Analysis. Liver Int. 2020, 40, 1316–1320. [Google Scholar] [CrossRef] [PubMed]
- Pozzobon, F.M.; Perazzo, H.; Bozza, F.A.; Rodrigues, R.S.; de Mello Perez, R.; Chindamo, M.C. Liver Injury Predicts Overall Mortality in Severe COVID-19: A Prospective Multicenter Study in Brazil. Hepatol. Int. 2021, 15, 493–501. [Google Scholar] [CrossRef] [PubMed]
- Grasselli, G.; Zangrillo, A.; Zanella, A.; Antonelli, M.; Cabrini, L.; Castelli, A.; Cereda, D.; Coluccello, A.; Foti, G.; Fumagalli, R. Baseline Characteristics and Outcomes of 1591 Patients Infected with Sars-Cov-2 Admitted to Icus of the Lombardy Region, Italy. JAMA 2020, 323, 1574–1581. [Google Scholar] [CrossRef] [PubMed]
- Gupta, S.; Hayek, S.S.; Wang, W.; Chan, L.; Mathews, K.S.; Melamed, M.L.; Brenner, S.K.; Leonberg-Yoo, A.; Schenck, E.J.; Radbel, J. Factors Associated with Death in Critically Ill Patients with Coronavirus Disease 2019 in the US. JAMA Intern. Med. 2020, 180, 1436–1447. [Google Scholar] [CrossRef] [PubMed]
- Wang, D.; Hu, B.; Hu, C.; Zhu, F.; Liu, X.; Zhang, J.; Wang, B.; Xiang, H.; Cheng, Z.; Xiong, Y. Clinical Characteristics of 138 Hospitalized Patients with 2019 Novel Coronavirus–Infected Pneumonia in Wuhan, China. JAMA 2020, 323, 1061–1069. [Google Scholar] [CrossRef] [PubMed]
- Yang, X.; Yu, Y.; Xu, J.; Shu, H.; Liu, H.; Wu, Y.; Zhang, L.; Yu, Z.; Fang, M.; Yu, T. Clinical Course and Outcomes of Critically Ill Patients with Sars-Cov-2 Pneumonia in Wuhan, China: A Single-Centered, Retrospective, Observational Study. Lancet Respir. Med. 2020, 8, 475–481. [Google Scholar] [CrossRef] [PubMed]
- Portela, M.C.; Martins, M.; Lima, S.M.L.; de Andrade, C.L.T.; de Aguiar Pereira, C.C. COVID-19 Inpatient Mortality in Brazil from 2020 to 2022: A Cross-Sectional Overview Study Based on Secondary Data. Int. J. Equity Health 2023, 22, 238. [Google Scholar] [CrossRef] [PubMed]
- Medeiros, A.K.; Barbisan, C.C.; Cruz, I.R.; de Araújo, E.M.; Libânio, B.B.; Albuquerque, K.S.; Torres, U.S. Higher Frequency of Hepatic Steatosis at CT among COVID-19-Positive Patients. Abdom. Radiol. 2020, 45, 2748–2754. [Google Scholar] [CrossRef] [PubMed]
- Zeb, I.; Li, D.; Nasir, K.; Katz, R.; Larijani, V.N.; Budoff, M.J. Computed Tomography Scans in the Evaluation of Fatty Liver Disease in a Population Based Study: The Multi-Ethnic Study of Atherosclerosis. Acad. Radiol. 2012, 19, 811–818. [Google Scholar] [CrossRef]
- Bohte, A.E.; Van Werven, J.R.; Bipat, S.; Stoker, J. The Diagnostic Accuracy of Us, Ct, Mri and 1 H-Mrs for the Evaluation of Hepatic Steatosis Compared with Liver Biopsy: A Meta-Analysis. Eur. Radiol. 2011, 21, 87–97. [Google Scholar] [CrossRef]



| Total (n = 610) | With SLD (n = 181) | Without SLD (n = 429) | p | |
|---|---|---|---|---|
| Male sex (%) | 388 (64%) | 139 (76%) | 249 (58%) | <0.001 |
| Age (years) | 62 ± 16 | 58 ± 13 | 64 ± 16 | <0.001 |
| Arterial hypertension (%) | 317 (52%) | 99 (55%) | 218 (51%) | 0.25 |
| Diabetes mellitus (%) | 183 (30%) | 63 (35%) | 120 (28%) | 0.08 |
| COPD (%) | 29 (5%) | 8 (4%) | 21 (5%) | 0.80 |
| Heart disease (%) | 89 (15%) | 22 (12%) | 67 (16%) | 0.26 |
| Kidney failure (%) | 40 (7%) | 8 (4%) | 32 (7%) | 0.16 |
| Obesity (%) | 231 (38%) | 107 (59%) | 124 (29%) | <0.001 |
| BMI (kg/m2) | 29 ± 5 | 32 ± 5 | 28 ± 4 | 0.014 |
| D-dimer (ng/mL) | 1696 ± 7186 | 1112 ± 2147 | 1959 ± 8509 | 0.07 |
| CRP (mg/dL) | 11 ± 8.7 | 12 ± 9 | 11 ± 8 | 0.27 |
| Leukocytes (/mm3) | 6972 ± 3337 | 7156 ± 2856 | 6894 ± 3521 | 0.11 |
| Lymphocytes (/mm3) | 1212 ± 1745 | 1182 ± 501 | 1224 ± 2059 | 0.21 |
| AST (U/L) | 59 ± 191 | 82 ± 339 | 50 ± 37 | 0.02 |
| ALT (U/L) | 53 ± 118 | 67 ±163 | 47 ± 90 | 0.11 |
| ALP (U/L) | 96 ± 107 | 83 ± 52 | 102 ± 125 | 0.27 |
| GGT (U/L) | 110 ± 139 | 123 ± 125 | 104 ± 146 | 0.61 |
| INR | 1.14 ± 0.36 | 1.16 ± 0.5 | 1.13 ± 0.2 | 0.60 |
| Total (n = 610) | With SLD (n = 181) | Without SLD (n = 429) | p | ||
|---|---|---|---|---|---|
| Hospital length of stay (days) | 16 ± 22 | 14 ± 19 | 16 ± 23 | 0.20 | |
| ICU admission (n, %) | 420 (69%) | 137 (76%) | 283 (66%) | 0.01 | |
| ICU length of stay (days) | 13 ± 17 | 12 ± 15 | 14 ± 18 | 0.16 | |
| Hemodialysis (n, %) | 92 (15%) | 25 (14%) | 67 (16%) | 0.57 | |
| Mechanical ventilation (n, %) | 122 (20%) | 36 (20%) | 86 (20%) | 0.96 | |
| Mortality (n, %) | 116 (19%) | 31 (17%) | 85 (20%) | 0.40 | |
| D-dimer ≥ 500 ng/mL (%) | 87% | 87% | 88% | 0.73 | |
| CRP (mg/dL) | 7 ± 9 | 20 ± 13 | 19 ± 13 | 0.98 | |
| AST (U/L) | 902 ± 3600 | 266 ± 1388 | 319 ± 1970 | 0.60 | |
| ALT (U/L) | 385 ± 1567 | 155 ± 495 | 163 ± 880 | 0.67 | |
| ALP (U/L) | 167 ± 127 | 114 ± 106 | 140 ± 137 | 0.18 | |
| GGT (U/L) | 190 ± 261 | 200 ± 298 | 186 ± 242 | 0.76 | |
| Chest CT | Lung involvement < 25%, or normal or atypical findings | 225 (37%) | 58 (32%) | 167 (39%) | 0.25 |
| Lung involvement of 25–50% | 277 (45%) | 87 (48%) | 190 (44%) | ||
| Lung involvement > 50% | 108 (18%) | 36 (20%) | 72 (17%) | ||
| Characteristics | Univariate Logistic Regression Model | Multivariate Logistic Regression Model | Final Multivariate Logistic Regression Model | ||||
|---|---|---|---|---|---|---|---|
| OR | p-Value | OR | p-Value | OR | p-Value | 95% CI | |
| Sex | 0.88 | 0.56 | 0.52 | 0.19 | |||
| Age | 1.07 | <0.001 | 1.13 | <0.001 | 1.10 | <0.001 | 1.06–1.14 |
| SLD | 0.83 | 0.43 | 1.16 | 0.81 | 1.25 | 0.65 | 0.48–3.27 |
| Arterial hypertension | 2.08 | <0.001 | 0.42 | 0.14 | |||
| Diabetes mellitus | 1.77 | 0.008 | 0.91 | 0.86 | |||
| Obesity | 0.94 | 0.77 | 1.93 | 0.21 | |||
| COPD | 3.76 | <0.001 | 0.65 | 0.58 | |||
| Heart disease | 2.41 | <0.001 | 0.74 | 0.62 | |||
| Kidney failure | 3.13 | <0.001 | 1.65 | 0.49 | |||
| >2 comorbidities | 5.95 | <0.001 | 1.46 | 0.63 | |||
| Peak D-dimer ≥ 500 ng/mL | 19.54 | 0.003 | 3.73 | 0.61 | |||
| Peak AST ≥ 40 U/L | 5.96 | <0.001 | 3.25 | 0.08 | |||
| Peak ALT ≥ 40 U/L | 2.63 | <0.001 | 1.28 | 0.68 | |||
| Need for HD | 62.92 | <0.001 | 27.24 | <0.001 | 20.40 | <0.001 | 7.13–58.41 |
| Mechanical ventilation | 119.00 | <0.001 | 27.87 | <0.001 | 38.83 | <0.001 | 16.21–114.30 |
| Lung involvement > 50% | 6.00 | <0.001 | 6.05 | 0.001 | 6.23 | <0.001 | 2.51–15.45 |
| ICU admission | 13.33 | <0.001 | 1.58 | 0.53 | |||
| Hospital length of stay | 1.03 | <0.001 | 0.98 | 0.007 | 0.98 | 0.012 | 0.96–0.99 |
Disclaimer/Publisher’s Note: The statements, opinions and data contained in all publications are solely those of the individual author(s) and contributor(s) and not of MDPI and/or the editor(s). MDPI and/or the editor(s) disclaim responsibility for any injury to people or property resulting from any ideas, methods, instructions or products referred to in the content. |
© 2024 by the authors. Licensee MDPI, Basel, Switzerland. This article is an open access article distributed under the terms and conditions of the Creative Commons Attribution (CC BY) license (https://creativecommons.org/licenses/by/4.0/).
Share and Cite
Pozzobon, F.M.; Luiz, R.R.; Parente, J.G.; Guarilha, T.M.; Fontes, M.P.R.C.; de Mello Perez, R.; Chindamo, M.C. Is Steatotic Liver Disease Related to Poor Outcome in COVID-19-Hospitalized Patients? J. Clin. Med. 2024, 13, 2687. https://doi.org/10.3390/jcm13092687
Pozzobon FM, Luiz RR, Parente JG, Guarilha TM, Fontes MPRC, de Mello Perez R, Chindamo MC. Is Steatotic Liver Disease Related to Poor Outcome in COVID-19-Hospitalized Patients? Journal of Clinical Medicine. 2024; 13(9):2687. https://doi.org/10.3390/jcm13092687
Chicago/Turabian StylePozzobon, Fernanda Manhães, Ronir Raggio Luiz, Júlia Gomes Parente, Taísa Melo Guarilha, Maria Paula Raymundo Cunha Fontes, Renata de Mello Perez, and Maria Chiara Chindamo. 2024. "Is Steatotic Liver Disease Related to Poor Outcome in COVID-19-Hospitalized Patients?" Journal of Clinical Medicine 13, no. 9: 2687. https://doi.org/10.3390/jcm13092687
APA StylePozzobon, F. M., Luiz, R. R., Parente, J. G., Guarilha, T. M., Fontes, M. P. R. C., de Mello Perez, R., & Chindamo, M. C. (2024). Is Steatotic Liver Disease Related to Poor Outcome in COVID-19-Hospitalized Patients? Journal of Clinical Medicine, 13(9), 2687. https://doi.org/10.3390/jcm13092687

