Endoportal Radiofrequency Ablation and Stent Placement in Patients with Portal Vein Tumor Thrombosis from Hepatocellular Carcinoma: A Study on Feasibility and Safety
Abstract
1. Introduction
2. Materials and Methods
2.1. Study Design
2.2. Eligibility Criteria
2.3. Portal Vein Tumor Thrombus Imaging Diagnosis
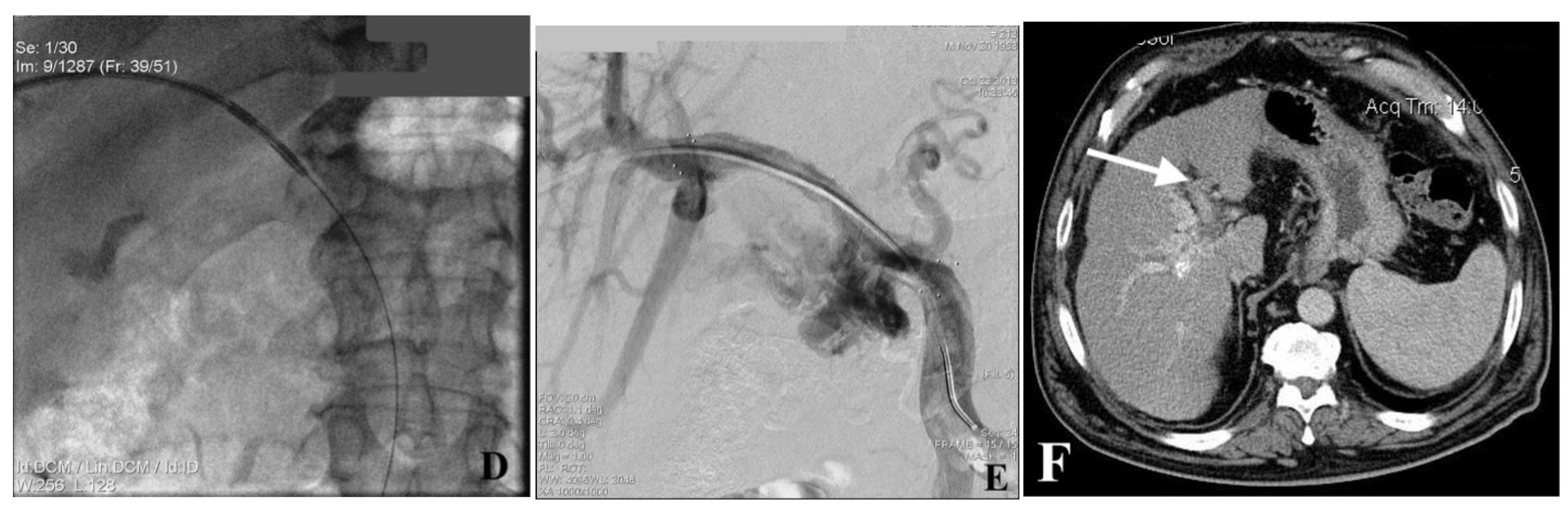
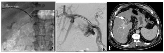
2.4. Portal Vein Access, Venogram, and Recanalization (PVR)
2.5. Endoportal Radiofrequency Ablation
2.6. Portal Vein Stent Placement
2.7. Definition of Technical and Clinical Success
2.8. Safety and Adverse Events
2.9. Parameters Analyzed and Correlated with PVR-EPRFA-ST
2.10. Statistical Analysis
3. Results
3.1. Technical Success and Clinical Outcome
3.2. Univariate and Multivariate Analyses
3.3. Adverse Events
4. Discussion
5. Conclusions
Author Contributions
Funding
Institutional Review Board Statement
Informed Consent Statement
Data Availability Statement
Acknowledgments
Conflicts of Interest
References
- Lu, J.; Zhang, X.-P.; Zhong, B.-Y.; Lau, W.Y.; Madoff, D.C.; Davidson, J.C.; Qi, X.; Cheng, S.-Q.; Teng, G.-J. Management of patients with hepatocellular carcinoma and portal vein tumour thrombosis: Comparing east and west. Lancet Gastroenterol. Hepatol. 2019, 4, 721–730. [Google Scholar] [CrossRef] [PubMed]
- Qadan, M.; Kothary, N.; Sangro, B.; Palta, M. The treatment of hepatocellular carcinoma with portal vein tumor thrombosis. Am. Soc. Clin. Oncol. Educ. Book 2020, 40, 174–185. [Google Scholar] [CrossRef] [PubMed]
- Zhang, Z.-M.; Lai, E.C.H.; Zhang, C.; Yu, H.-W.; Liu, Z.; Wan, B.-J.; Liu, L.-M.; Tian, Z.-H.; Deng, H.; Sun, Q.-H.; et al. The strategies for treating primary hepatocellular carcinoma with portal vein tumor thrombus. Int. J. Surg. 2015, 20, 8–16. [Google Scholar] [CrossRef] [PubMed]
- Wang, L.; Guo, X.; Xu, X.; De Stefano, V.; Plessier, A.; Noronha Ferreira, C.; Qi, X. Anticoagulation favors thrombus recanalization and survival in patients with liver cirrhosis and portal vein thrombosis: Results of a meta-analysis. Adv. Ther. 2021, 38, 495–520. [Google Scholar] [CrossRef] [PubMed]
- Zheng, K.; Zhu, X.; Fu, S.; Cao, G.; Li, W.-Q.; Xu, L.; Chen, H.; Wu, D.; Yang, R.; Wang, K.; et al. Sorafenib plus hepatic arterial infusion chemotherapy versus sorafenib for hepatocellular carcinoma with major portal vein tumor thrombosis: A randomized trial. Radiology 2022, 303, 455–464. [Google Scholar] [CrossRef] [PubMed]
- Hu, J.; Bao, Q.; Cao, G.; Zhu, X.; Yang, R.; Ji, X.; Xu, L.; Zheng, K.; Li, W.; Xing, B.; et al. Hepatic arterial infusion chemotherapy using oxaliplatin plus 5-fluorouracil versus transarterial chemoembolization/embolization for the treatment of advanced hepatocellular carcinoma with major portal vein tumor thrombosis. CardioVascular Interv. Radiol. 2020, 43, 996–1005. [Google Scholar] [CrossRef] [PubMed]
- Chow, P.K.H.; Gandhi, M.; Tan, S.-B.; Khin, M.W.; Khasbazar, A.; Ong, J.; Choo, S.P.; Cheow, P.C.; Chotipanich, C.; Lim, K.; et al. SIRveNIB: Selective internal radiation therapy versus sorafenib in Asia-Pacific patients with hepatocellular carcinoma. J. Clin. Oncol. 2018, 36, 1913–1921. [Google Scholar] [CrossRef] [PubMed]
- Mizandari, M.; Ao, G.; Zhang, Y.; Feng, X.; Shen, Q.; Chen, M.; Lau, W.; Nicholls, J.; Jiao, L.; Habib, N. Novel percutaneous radiofrequency ablation of portal vein tumor thrombus: Safety and feasibility. Cardiovasc. Interv. Radiol. 2013, 36, 245–248. [Google Scholar] [CrossRef] [PubMed]
- Lazoura, O.; Zacharoulis, D.; Kanavou, T.; Rountas, C.; Katsimboulas, M.; Tzovaras, G.; Habib, N. A novel experimental animal model of arterial stenosis based on endovascular radiofrequency energy application. J. Investig. Surg. 2011, 24, 123–128. [Google Scholar] [CrossRef]
- Wu, T.T.; Li, H.C.; Zheng, F.; Ao, G.K.; Lin, H.; Li, W.M. Percutaneous endovascular radiofrequency ablation for malignant portal obstruction: An initial clinical experience. Cardiovasc. Interv. Radiol. 2016, 39, 994–1000. [Google Scholar] [CrossRef]
- Chen, Z.W.; Lin, Z.Y.; Chen, Y.P.; Chen, J.; Chen, J. Clinical efficacy of endovascular radiofrequency ablation in the treatment of portal vein tumor thrombus of primary hepatocellular carcinoma. J. Cancer Res. Ther. 2018, 14, 145. [Google Scholar] [CrossRef] [PubMed]
- Zhang, L.; Fu, J.; Song, P.; Yuan, K.; Yan, J.; Duan, F.; Wang, M.; Liu, F. The safety of Habib VesOpen bipolar radiofrequency ablation catheter used in the treatment of portal vein tumor thrombus: An experimental study in miniature pig models. J. Interv. Radiol. 2015, 12, 515–519. [Google Scholar]
- Mizandari, M.; Azrumelashvili, T.; Paksashvili, N.; Kikodze, N.; Pantsulaia, I.; Janikashvili, N.; Chikovani, T. Tumor regression in HCC patient with portal vein tumor thrombosis after intraportal radiofrequency thermal ablation. Case Rep. Hepatol. 2016, 2016, 6843121. [Google Scholar] [CrossRef] [PubMed]
- Honglu, L.; Changqing, L.; Jiang, G.; Dong, Z.; Jian, W.; Liang, C.; Youjia, D.; Xiaopu, H.; Zhengguan, C. Endovascular radiofrequency ablation of portal vein tumor thrombus with Habib TM VesOpen catheter combined with covered-stent placement: A pilot clinical study. J. Diagn. Imaging Interv. Radiol. 2016, 25, 360–363. [Google Scholar]
- Ding, W.; Wang, W. Abstract No. 493 Percutaneous endovascular radiofrequency ablation for portal vein tumor thrombosis in patients with hepatocellular carcinoma: A single-center experience. J. Vasc. Interv. Radiol. 2018, 29, S208. [Google Scholar] [CrossRef]
- Baerlocher, M.O.; Nikolic, B.; Sze, D.Y. Adverse event classification: Clarification and validation of the Society of Interventional Radiology specialty–specific system. J. Vasc. Interv. Radiol. 2023, 34, 1–3. [Google Scholar] [CrossRef]
- Li, X.; Ye, Z.; Lin, S.; Pang, H. Predictive factors for survival following stereotactic body radiotherapy for hepatocellular carcinoma with portal vein tumour thrombosis and construction of a nomogram. BMC Cancer 2021, 21, 1–11. [Google Scholar] [CrossRef] [PubMed]
- Kudo, M.; Kitano, M.; Sakurai, T.; Nishida, N. General rules for the clinical and pathological study of primary liver cancer, nationwide follow-up survey and clinical practice guidelines: The outstanding achievements of the Liver Cancer Study Group of Japan. Dig. Dis. 2015, 33, 765–770. [Google Scholar] [CrossRef] [PubMed]
- Kokudo, T.; Hasegawa, K.; Matsuyama, Y.; Takayama, T.; Izumi, N.; Kadoya, M.; Kudo, M.; Ku, Y.; Sakamoto, M.; Nakashima, O.; et al. Survival benefit of liver resection for hepatocellular carcinoma associated with portal vein invasion. J. Hepatol. 2016, 65, 938–943. [Google Scholar] [CrossRef]
- Wang, K.; Guo, W.X.; Chen, M.S.; Mao, Y.L.; Sun, B.C.; Shi, J.; Zhang, Y.J.; Meng, Y.; Yang, Y.F.; Cong, W.M.; et al. Multimodality treatment for hepatocellular carcinoma with portal vein tumor thrombus: A large-scale, multicenter, propensity mathching score analysis. Medicine 2016, 95, e3015. [Google Scholar] [CrossRef] [PubMed]
- Zhang, X.-P.; Gao, Y.-Z.; Chen, Z.-H.; Wang, K.; Cheng, Y.-Q.; Guo, W.-X.; Shi, J.; Zhong, C.-Q.; Zhang, F.; Cheng, S.-Q.; et al. In-hospital mortality after surgical resection in hepatocellular carcinoma patients with portal vein tumor thrombus. J. Cancer 2019, 10, 72. [Google Scholar] [CrossRef] [PubMed]
- Roayaie, S.; Jibara, G.; Taouli, B.; Schwartz, M. Resection of hepatocellular carcinoma with macroscopic vascular invasion. Ann. Surg. Oncol. 2013, 20, 3754–3760. [Google Scholar] [CrossRef] [PubMed]
- Ge, N.; Yang, Y.; Shen, S.; Yu, X.; Zhang, Y.; Wu, L.; Liang, J.; Zhu, J.; Cheng, S.; Shen, F.; et al. Percutaneous radiofrequency ablation for the treatment of portal vein tumor thrombus: Experience of 15 cases. J. Interv. Radiol. 2014, 12, 883–886. [Google Scholar]



| Variables | Number (%)/Mean ± SD |
|---|---|
| Age (years) | 57.9 ± 8.4 |
| Sex (male/female) | 54/6 |
| Hepatitis B | 6 (10%) |
| Hepatitis C | 54 (90%) |
| Cirrhotic-positive | 54 (90%) |
| Child–Pugh classification | |
| A | 14 (23.3%) |
| B | 30 (50%) |
| C | 16 (26.4%) |
| Tumor number (solitary/multiple) | 21/39 |
| Tumor size | 8.6 ± 3.4 cm |
| PVTT location | |
| Complete main PVTT | 10 (16.6%) |
| Partial main with left PVTT | 17 (28.4%) |
| Partial main with right PVTT | 33 (55%) |
| PVTT classification (Vp4 PVTT) * | 60 (100%) |
| PVTT tumor length | 4.1 ± 2.1 cm |
| EP-RFA procedure session | |
| One session | 46 (76.6%) |
| Two sessions | 11 (18.3%) |
| Three sessions | 3 (5%) |
| EP-RFA procedure time | 38 ± 36.4 min |
| Follow-up time (month) | 5.6 (3 weeks to 23.1 months) |
| Variables | Mean ± SD (Pre/Post/Change)/Number(%) |
|---|---|
| Serology | |
| AST (U/L) | 111.2/94.4/−16.8 |
| ALT (U/L) | 63.1/52.6/−10.5 |
| Total bilirubin (mg/dL) | 1.8/2.1/+0.3 |
| Albumin (g/dL) | 4.0/3.9/−0.1 |
| AFP level (mg/L) * | 1206(26.6, 7261)/1187(28–6943) |
| Ascites | 54(100)/31(54.4)/−23(−42.6) |
| MELD score * | 8(6–13)/9(7–15) |
| Post-procedure AE # | |
| Mild | 10(18.5%) |
| Moderate | 3(5.5%) |
| Severe | 0 |
| Life-threatening | 0 |
| Patient death | 3(5.5%) |
| Length of stay (days) | 1.4 ± 0.8 |
| Post-EP-RFA luminal diameter | 10.3 ± 1.8 mm |
| Duration of the recanalized PV | 13.4 months (3 weeks to 22 months) |
| First Author, Year, Country | Study Type (No. of Cases) | Population | Summary of Results |
|---|---|---|---|
| Mizandari 2013, Georgia [8] | Technical note (n = 6) | HCC with PVTT |
|
| GE 2014, China [23] | Original research (n = 15) | HCC with PVTT |
|
| Zhang 2015, China [12] | Experimental study (n = 10) | HCC with PVTT (miniature pig models) |
|
| Mizandari 2016, Georgia [13] | Case report (n = 1) | HCC with PVTT |
|
| Wu 2016, China [10] | Clinical investigation (n = 31) | HCC with malignant PV obstruction |
|
| Li 2016, China [14] | Original research (n = 13) | HCC with PVTT |
|
| Chen 2018, China [11] | Original research (n = 44) | HCC with PVTT |
|
| Ding 2018, China [15] | JVIR abstract (n = 10) | HCC with PVTT |
|
Disclaimer/Publisher’s Note: The statements, opinions and data contained in all publications are solely those of the individual author(s) and contributor(s) and not of MDPI and/or the editor(s). MDPI and/or the editor(s) disclaim responsibility for any injury to people or property resulting from any ideas, methods, instructions or products referred to in the content. |
© 2024 by the authors. Licensee MDPI, Basel, Switzerland. This article is an open access article distributed under the terms and conditions of the Creative Commons Attribution (CC BY) license (https://creativecommons.org/licenses/by/4.0/).
Share and Cite
Mizandari, M.; Gotsiridze, E.; Keshavarz, P.; Nezami, N.; Azrumelashvili, T.; Nejati, S.F.; Habib, N.; Chiang, J.; Raman, S.S. Endoportal Radiofrequency Ablation and Stent Placement in Patients with Portal Vein Tumor Thrombosis from Hepatocellular Carcinoma: A Study on Feasibility and Safety. J. Clin. Med. 2024, 13, 2128. https://doi.org/10.3390/jcm13072128
Mizandari M, Gotsiridze E, Keshavarz P, Nezami N, Azrumelashvili T, Nejati SF, Habib N, Chiang J, Raman SS. Endoportal Radiofrequency Ablation and Stent Placement in Patients with Portal Vein Tumor Thrombosis from Hepatocellular Carcinoma: A Study on Feasibility and Safety. Journal of Clinical Medicine. 2024; 13(7):2128. https://doi.org/10.3390/jcm13072128
Chicago/Turabian StyleMizandari, Malkhaz, Elene Gotsiridze, Pedram Keshavarz, Nariman Nezami, Tamta Azrumelashvili, Seyed Faraz Nejati, Nagy Habib, Jason Chiang, and Steven S. Raman. 2024. "Endoportal Radiofrequency Ablation and Stent Placement in Patients with Portal Vein Tumor Thrombosis from Hepatocellular Carcinoma: A Study on Feasibility and Safety" Journal of Clinical Medicine 13, no. 7: 2128. https://doi.org/10.3390/jcm13072128
APA StyleMizandari, M., Gotsiridze, E., Keshavarz, P., Nezami, N., Azrumelashvili, T., Nejati, S. F., Habib, N., Chiang, J., & Raman, S. S. (2024). Endoportal Radiofrequency Ablation and Stent Placement in Patients with Portal Vein Tumor Thrombosis from Hepatocellular Carcinoma: A Study on Feasibility and Safety. Journal of Clinical Medicine, 13(7), 2128. https://doi.org/10.3390/jcm13072128

