Comparison of Ultrasound and MRI with Intraoperative Findings in the Diagnosis of Peroneal Tendinopathy, Tears, and Subluxation
Abstract
1. Introduction
2. Materials and Methods
2.1. Ultrasound
2.2. MRI
2.3. Intraoperative
2.4. Imaging Review
2.5. Data Analysis
3. Results
4. Discussion
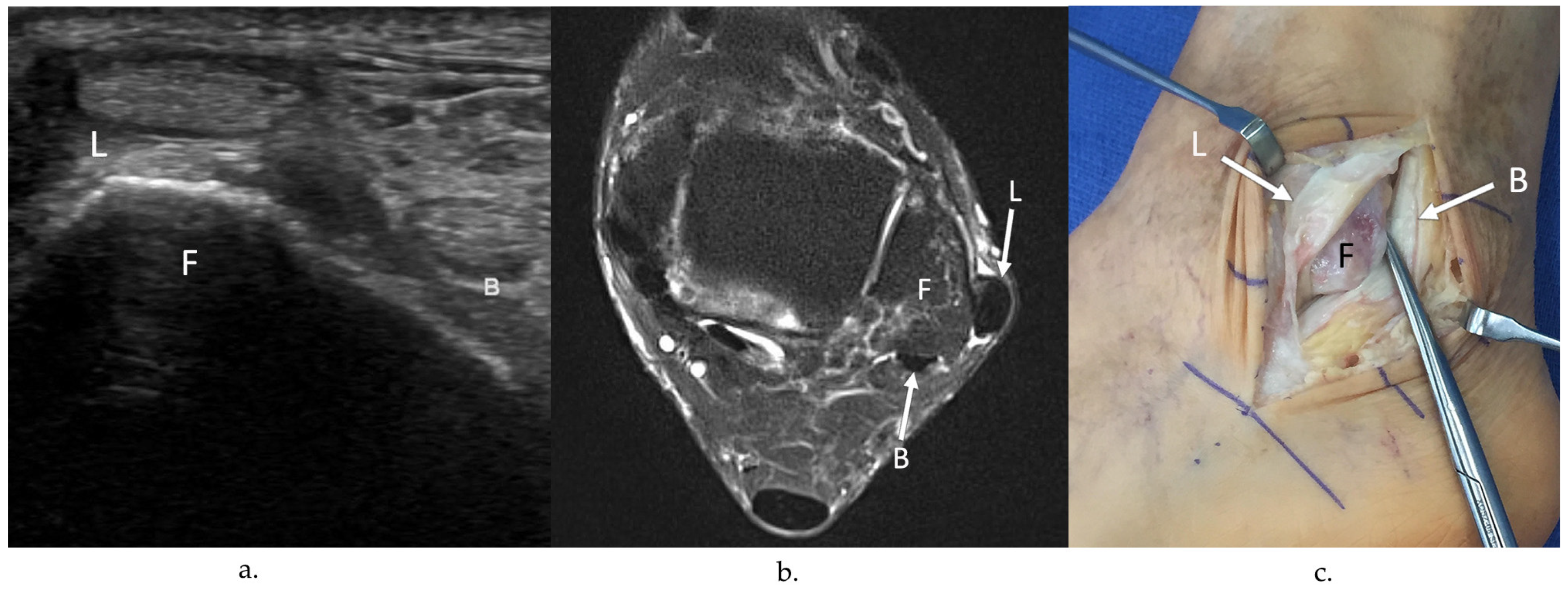
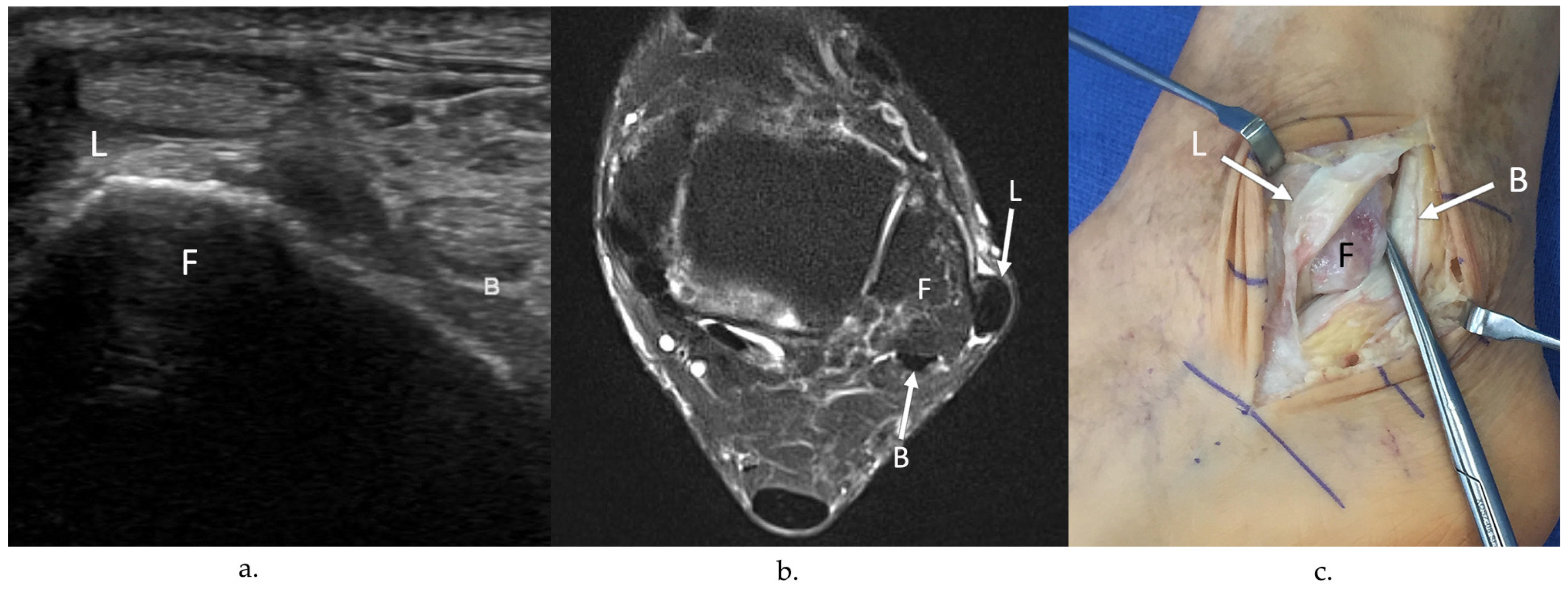
4.1. Peroneus Brevis Tear
4.2. Peroneus Longus Tears
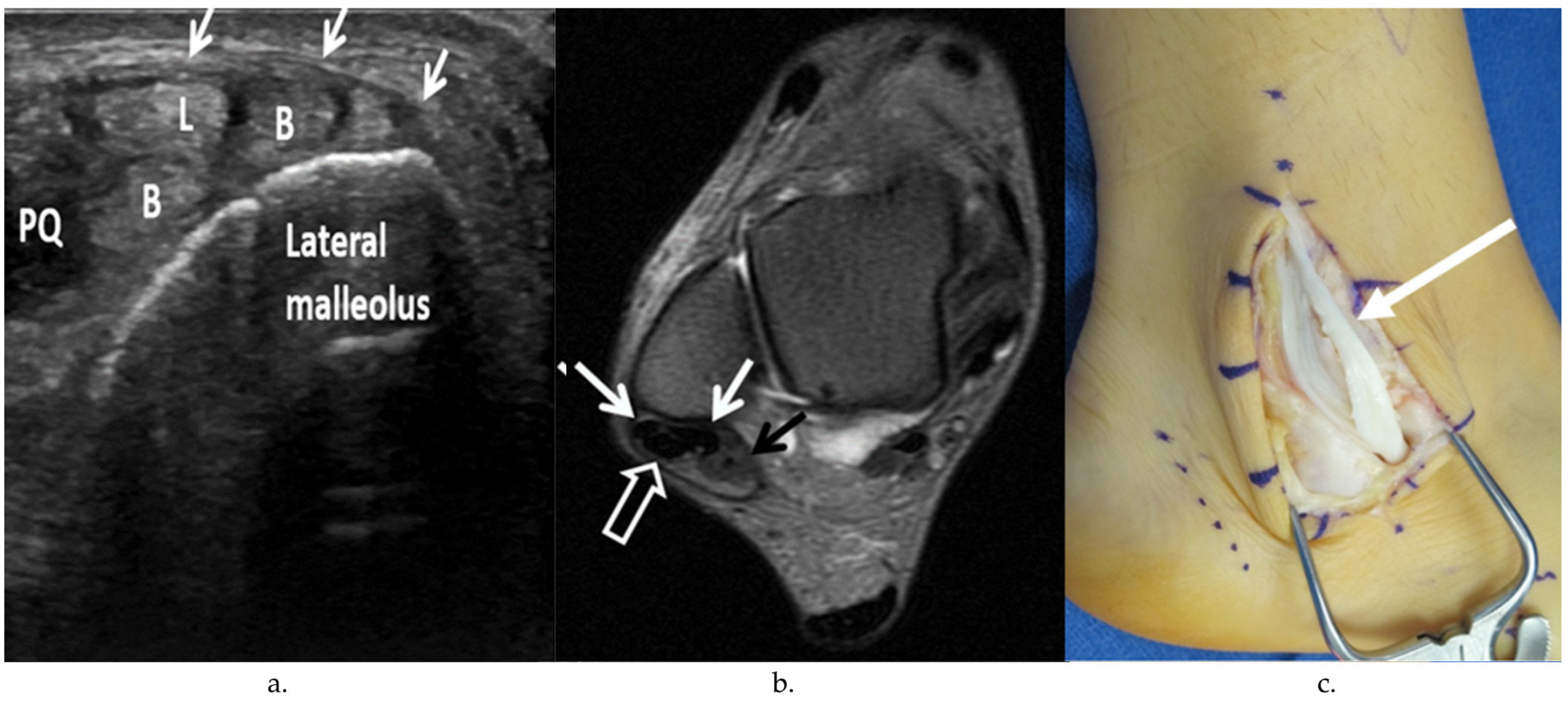
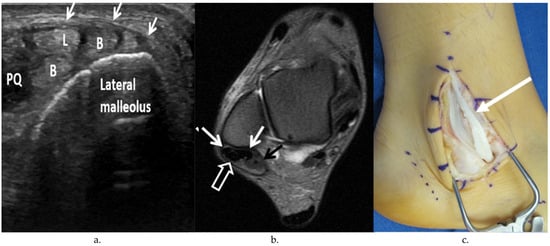
4.3. Peroneal Subluxation/Dislocation
4.4. Limitations
5. Conclusions
Author Contributions
Funding
Institutional Review Board Statement
Informed Consent Statement
Data Availability Statement
Conflicts of Interest
References
- van Dijk, P.A.D.; Kerkhoffs, G.M.M.J.; Chiodo, C.; DiGiovanni, C.W. Chronic Disorders of the Peroneal Tendons. J. Am. Acad. Orthop. Surg. 2019, 27, 590–598. [Google Scholar] [CrossRef]
- Dombek, M.F.; Lamm, B.M.; Saltrick, K.; Mendicino, R.W.; Catanzariti, A.R. Peroneal tendon tears: A retrospective review. J. Foot Ankle Surg. 2003, 42, 250–258. [Google Scholar] [CrossRef]
- Davda, K.; Malhotra, K.; O’Donnell, P.; Singh, D.; Cullen, N. Peroneal tendon disorders. EFORT Open Rev. 2017, 2, 281–292. [Google Scholar] [CrossRef]
- Willegger, M.; Hirtler, L.; Schwarz, G.M.; Windhager, R.H.; Chiari, C. Peroneal tendon pathologies: From the diagnosis to treatment. Orthopade 2021, 50, 589–604. [Google Scholar] [CrossRef]
- Taljanovic, M.S.; Alcala, J.N.; Gimber, L.H.; Rieke, J.D.; Chilvers, M.M.; Latt, L.D. High-resolution US and MR imaging of peroneal tendon injuries. Radiographics 2015, 35, 179–199. [Google Scholar] [CrossRef]
- Philbin, T.M.; Landis, G.S.; Smith, B. Peroneal tendon injuries. J. Am. Acad. Orthop. Surg. 2009, 17, 306–317. [Google Scholar] [CrossRef] [PubMed]
- Kannus, P.; Jozsa, L. Histopathological changes preceding spontaneous rupture of a tendon. A controlled study of 891 patients. J. Bone Joint Surg. Am. 1991, 73, 1507–1525. [Google Scholar] [CrossRef] [PubMed]
- Roth, J.A.; Taylor, W.C.; Whalen, J. Peroneal tendon subluxation: The other lateral ankle injury. Br. J. Sports Med. 2010, 44, 1047–1053. [Google Scholar] [CrossRef]
- Butler, B.W.; Lanthier, J.; Wertheimer, S.J. Subluxing peroneals: A review of the literature and case report. J. Foot Ankle Surg. 1993, 32, 134–139. [Google Scholar] [PubMed]
- Raikin, S.M. Intrasheath subluxation of the peroneal tendons. Surgical technique. J. Bone Joint Surg. Am. 2009, 91 Pt 1 (Suppl 2), 146–155. [Google Scholar] [CrossRef]
- Draghi, F.; Bortolotto, C.; Draghi, A.G.; Gitto, S. Intrasheath Instability of the Peroneal Tendons: Dynamic Ultrasound Imaging. J. Ultrasound Med. 2018, 37, 2753–2758. [Google Scholar] [CrossRef]
- Kumar, Y.; Alian, A.; Ahlawat, S.; Wukich, D.K.; Chhabra, A. Peroneal tendon pathology: Pre- and post-operative high resolution US and MR imaging. Eur. J. Radiol. 2017, 92, 132–144. [Google Scholar] [CrossRef]
- Molini, L.; Bianchi, S. US in peroneal tendon tear. J. Ultrasound 2014, 17, 125–134. [Google Scholar] [CrossRef] [PubMed]
- Lamm, B.M.; Myers, D.T.; Dombek, M.; Mendicino, R.W.; Catanzariti, A.R.; Saltrick, K. Magnetic resonance imaging and surgical correlation of peroneus brevis tears. J. Foot Ankle Surg. 2004, 43, 30–36. [Google Scholar] [CrossRef] [PubMed]
- Sobel, M.; Bohne, W.H.; Markisz, J.A. Cadaver correlation of peroneal tendon changes with magnetic resonance imaging. Foot Ankle 1991, 11, 384–388. [Google Scholar] [CrossRef] [PubMed]
- Khoury, N.J.; El-Khoury, G.Y.; Saltzman, C.L.; Kathol, M.H. Peroneus longus and brevis tendon tears: MR imaging evaluation. Radiology 1996, 200, 833–841. [Google Scholar] [CrossRef] [PubMed]
- Park, H.J.; Lee, S.Y.; Park, N.H.; Rho, M.H.; Chung, E.C.; Kwag, H.J. Accuracy of MR findings in characterizing peroneal tendons disorders in comparison with surgery. Acta Radiol. 2012, 53, 795–801. [Google Scholar] [CrossRef] [PubMed]
- Grant, T.H.; Kelikian, A.S.; Jereb, S.E.; McCarthy, R.J. Ultrasound diagnosis of peroneal tendon tears. A surgical correlation. J. Bone Jt. Surg. Am. Vol. 2005, 87, 1788–1794. [Google Scholar] [CrossRef]
- Rockett, M.S.; Waitches, G.; Sudakoff, G.; Brage, M. Use of ultrasonography versus magnetic resonance imaging for tendon abnormalities around the ankle. Foot Ankle Int. 1998, 19, 604–612. [Google Scholar] [CrossRef]
- Waitches, G.M.; Rockett, M.; Brage, M.; Sudakoff, G. Ultrasonographic-surgical correlation of ankle tendon tears. J. Ultrasound Med. 1998, 17, 249–256. [Google Scholar] [CrossRef]
- Redfern, D.; Myerson, M. The management of concomitant tears of the peroneus longus and brevis tendons. Foot Ankle Int. 2004, 25, 695–707. [Google Scholar] [CrossRef]
- Pesquer, L.; Guillo, S.; Poussange, N.; Pele, E.; Meyer, P.; Dallaudiere, B. Dynamic ultrasound of peroneal tendon instability. Br. J. Radiol. 2016, 89, 20150958. [Google Scholar] [CrossRef] [PubMed]
- Sobel, M.; Geppert, M.J.; Olson, E.J.; Bohne, W.H.; Arnoczky, S.P. The dynamics of peroneus brevis tendon splits: A proposed mechanism, technique of diagnosis, and classification of injury. Foot Ankle 1992, 13, 413–422. [Google Scholar] [CrossRef] [PubMed]
- Sharpe, J.; Feltner, M.; Carroll, P.; Harrington, T.; Walker, S.; Bala, V.; Logan, D. Comparison of Preoperative MRI With Intraoperative Findings for Peroneal Tendon Pathologies. J. Foot Ankle Surg. 2022, 61, 680–685. [Google Scholar] [CrossRef]
- Cerrato, R.A.; Myerson, M.S. Peroneal tendon tears, surgical management and its complications. Foot Ankle Clin. 2009, 14, 299–312. [Google Scholar] [CrossRef]
- Clair, B.L.; Winder, M.L.; Neubauer, E.F. Open Evaluation of the Peroneal Tendons Should Be Considered in Patients With Chronic Lateral Ankle Instability Undergoing Ankle Arthroscopy With Lateral Ankle Stabilization. J. Foot Ankle Surg. 2022, 61, 1177–1181. [Google Scholar] [CrossRef] [PubMed]
- Neustadter, J.; Raikin, S.M.; Nazarian, L.N. Dynamic sonographic evaluation of peroneal tendon subluxation. AJR Am. J. Roentgenol. 2004, 183, 985–988. [Google Scholar] [CrossRef]
- Rosenberg, Z.S.; Beltran, J.; Cheung, Y.Y.; Colon, E.; Herraiz, F. MR features of longitudinal tears of the peroneus brevis tendon. AJR Am. J. Roentgenol. 1997, 168, 141–147. [Google Scholar] [CrossRef][Green Version]
- Huuskonen, M.; Borkmann, S.; Bengtsson, A.; Sobecki, P.; Jozwiak, R.; Solidakis, N.; Szaro, P. Radiological features accompanying peroneus brevis split rupture revealed on magnetic resonance imaging—A cohort study. J. Foot Ankle Res. 2023, 16, 10. [Google Scholar] [CrossRef]
- Wang, X.T.; Rosenberg, Z.S.; Mechlin, M.B.; Schweitzer, M.E. Normal variants and diseases of the peroneal tendons and superior peroneal retinaculum: MR imaging features. Radiographics 2005, 25, 587–602. [Google Scholar] [CrossRef]
- Hallinan, J.; Wang, W.; Pathria, M.N.; Smitaman, E.; Huang, B.K. The peroneus longus muscle and tendon: A review of its anatomy and pathology. Skeletal Radiol. 2019, 48, 1329–1344. [Google Scholar] [CrossRef] [PubMed]
- Stockton, K.G.; Brodsky, J.W. Peroneus longus tears associated with pathology of the os peroneum. Foot Ankle Int. 2014, 35, 346–352. [Google Scholar] [CrossRef] [PubMed]
- Bianchi, S.; Delmi, M.; Molini, L. Ultrasound of peroneal tendons. Semin. Musculoskelet. Radiol. 2010, 14, 292–306. [Google Scholar] [CrossRef] [PubMed]
- Wu, C.H.; Shyu, S.G.; Ozcakar, L.; Wang, T.G. Dynamic ultrasound imaging for peroneal tendon subluxation. Am. J. Phys. Med. Rehabil. 2015, 94, e57–e58. [Google Scholar] [CrossRef]
- Taljanovic, M.S.; Gimber, L.H.; Becker, G.W.; Latt, L.D.; Klauser, A.S.; Melville, D.M.; Gao, L.; Witte, R.S. Shear-Wave Elastography: Basic Physics and Musculoskeletal Applications. Radiographics 2017, 37, 855–870. [Google Scholar] [CrossRef]
- Chen, S.Y.; Wang, Y.W.; Chen, W.S.; Hsiao, M.Y. Update of Contrast-enhanced Ultrasound in Musculoskeletal Medicine: Clinical Perspectives—A Review. J. Med. Ultrasound 2023, 31, 92–100. [Google Scholar] [CrossRef]
- Albano, D.; Basile, M.; Gitto, S.; Messina, C.; Longo, S.; Fusco, S.; Snoj, Z.; Gianola, S.; Bargeri, S.; Castellini, G.; et al. Shear-wave elastography for the evaluation of tendinopathies: A systematic review and meta-analysis. Radiol. Med. 2023. online ahead of print. [Google Scholar] [CrossRef]
- Chen, X.; Wang, Y.; Chen, J.; Zhang, F.; Xu, L.; Yan, X.; Zhu, Y.; Zhang, Q.; Tang, J. Clinical value of three-dimensional ultrasonography in the morphologic evaluation of rotator cuff tear: A prospective study. Eur. Radiol. 2023, 33, 2331–2339. [Google Scholar] [CrossRef]



| Pathology | Intraoperative Findings | MRI (Sensitivity/Specificity) | US (Sensitivity/Specificity) |
|---|---|---|---|
| Peroneus brevis tear | 16 | 100/100% | 88/100% |
| Peroneus longus tear | 2 | 100/100% | 100/100% |
| Tendinopathy | 18 | 100/100% | 100/100% |
| Tendon subluxation | 3 | 66/100% | 100/100% |
| Study | Sensitivity | Specificity |
|---|---|---|
| Present | 100% | 100% |
| Lamm [14] | 83% | 75% |
| Khoury [16] | 91% * | 50% * |
| Park [17] | 44% | 99% |
| Sharpe [24] | 62.9% ** | 93.3% ** |
Disclaimer/Publisher’s Note: The statements, opinions and data contained in all publications are solely those of the individual author(s) and contributor(s) and not of MDPI and/or the editor(s). MDPI and/or the editor(s) disclaim responsibility for any injury to people or property resulting from any ideas, methods, instructions or products referred to in the content. |
© 2024 by the authors. Licensee MDPI, Basel, Switzerland. This article is an open access article distributed under the terms and conditions of the Creative Commons Attribution (CC BY) license (https://creativecommons.org/licenses/by/4.0/).
Share and Cite
Melville, D.M.; Taljanovic, M.S.; Gimber, L.H.; Miller, M.; Ahmad, A.; Sepich, D.; Latt, L.D. Comparison of Ultrasound and MRI with Intraoperative Findings in the Diagnosis of Peroneal Tendinopathy, Tears, and Subluxation. J. Clin. Med. 2024, 13, 740. https://doi.org/10.3390/jcm13030740
Melville DM, Taljanovic MS, Gimber LH, Miller M, Ahmad A, Sepich D, Latt LD. Comparison of Ultrasound and MRI with Intraoperative Findings in the Diagnosis of Peroneal Tendinopathy, Tears, and Subluxation. Journal of Clinical Medicine. 2024; 13(3):740. https://doi.org/10.3390/jcm13030740
Chicago/Turabian StyleMelville, David M., Mihra S. Taljanovic, Lana H. Gimber, Matthew Miller, Aamir Ahmad, Dustin Sepich, and L. Daniel Latt. 2024. "Comparison of Ultrasound and MRI with Intraoperative Findings in the Diagnosis of Peroneal Tendinopathy, Tears, and Subluxation" Journal of Clinical Medicine 13, no. 3: 740. https://doi.org/10.3390/jcm13030740
APA StyleMelville, D. M., Taljanovic, M. S., Gimber, L. H., Miller, M., Ahmad, A., Sepich, D., & Latt, L. D. (2024). Comparison of Ultrasound and MRI with Intraoperative Findings in the Diagnosis of Peroneal Tendinopathy, Tears, and Subluxation. Journal of Clinical Medicine, 13(3), 740. https://doi.org/10.3390/jcm13030740
