Bone Regeneration After Nail Distraction Osteogenesis: Review of Current Knowledge and Application Combined with a Case Report with Radiological, Histological, and Electron Microscopic Analysis
Abstract
1. Introduction
2. Case Report
2.1. Preoperative Considerations and Decision-Making
2.2. Surgical Interventions
Femoral Lengthening (February 2019)
2.3. Early Postoperative Care
Tibial Lengthening (June 2020)
2.4. Post-Lengthening Adjustments and Femoral Shortening
Femoral Shortening (January 2021)
2.5. Further Course
3. Materials and Methods
4. Results
4.1. Results of Bone Analysis
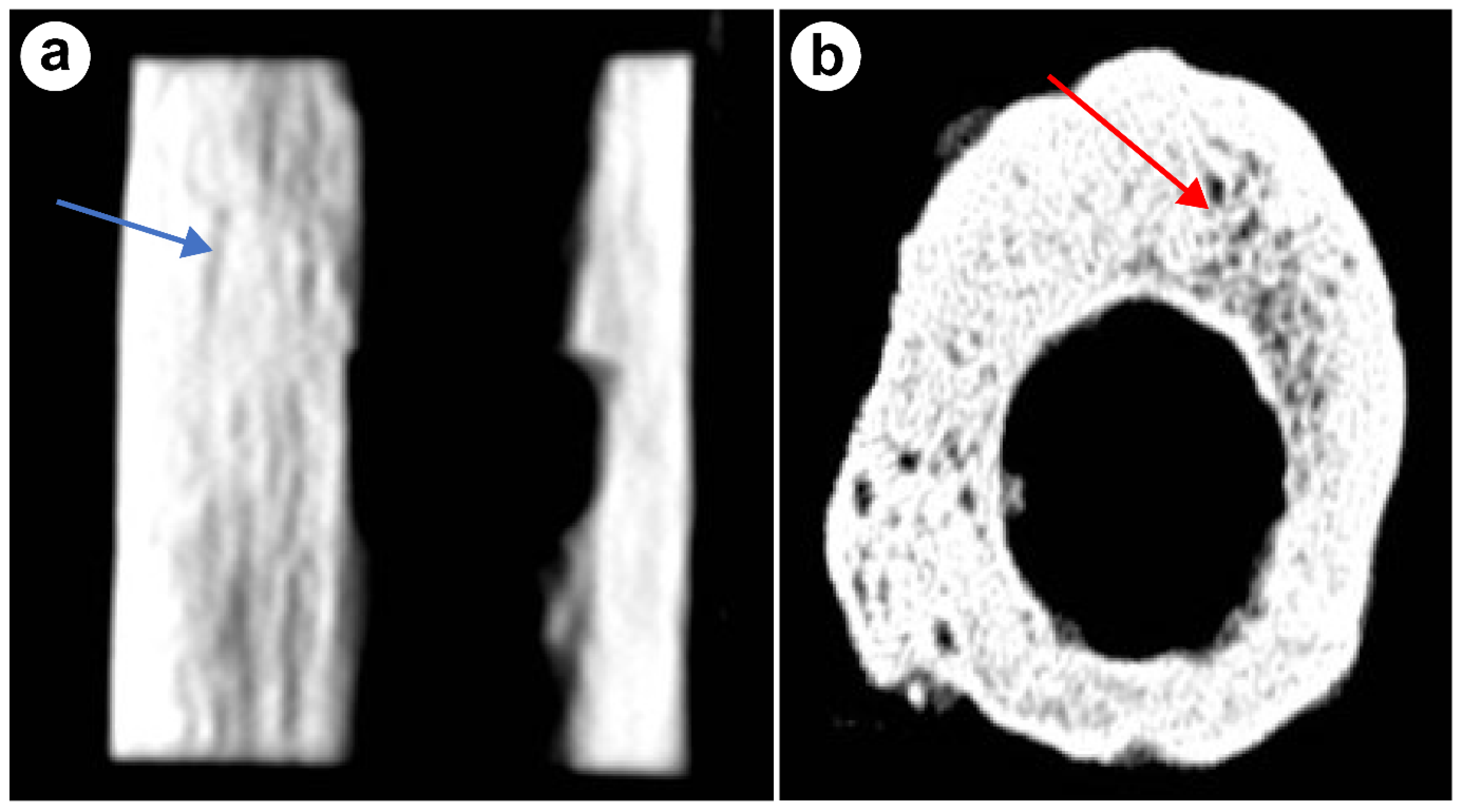
4.1.1. CT Scan Results
4.1.2. Histological Examination
4.1.3. Electron Microscopy Results
5. Discussion
6. Conclusions
Author Contributions
Funding
Institutional Review Board Statement
Informed Consent Statement
Data Availability Statement
Conflicts of Interest
References
- Langenbeck, B.v. Über krankhaftes Längenwachstum der Röhrenknochen und seine Verwertung für die chirurgische Praxis. Berl. Klin. Wochenschr. 1869, 6, 265–270. [Google Scholar]
- Codivilla, A. On the means of lengthening, in the lower limbs, the muscles and tissues which are shortened through deformity. JBJS 1905, 2, 353–369. [Google Scholar] [CrossRef] [PubMed]
- Ilizarov, G.; Ledyaev, V. The replacement of long tubular bone defects by lengthening distraction osteotomy of one of the fragments. Clin. Orthop. Relat. Res. 1992, 280, 7–10. [Google Scholar] [CrossRef]
- Ilizarov, G.A. The tension-stress effect on the genesis and growth of tissues: Part I. The influence of stability of fixation and soft-tissue preservation. Clin. Orthop. Relat. Res. 1989, 238, 249–281. [Google Scholar] [CrossRef]
- Paley, D. Problems, obstacles, and complications of limb lengthening by the Ilizarov technique. Clin. Orthop. Relat. Res. 1990, 250, 81–104. [Google Scholar] [CrossRef]
- Bliskunov, A. Intramedullary distraction of the femur (preliminary report). Ortop. Travmatol. I Protez. 1983, 10, 59–62. [Google Scholar]
- Maai, N.; Bernstorff, M.A.; Koenigshausen, M.; Schildhauer, T.A.; Ferreira, N. Intramedullary limb lengthening: Comparative mechanical testing of different devices. J. Limb Lengthening Reconstr. 2022, 8, 73–77. [Google Scholar] [CrossRef]
- Paley, D. PRECICE intramedullary limb lengthening system. Expert Rev. Med. Devices 2015, 12, 231–249. [Google Scholar] [CrossRef]
- Paley, D.; Harris, M.; Debiparshad, K.; Prince, D. Limb lengthening by implantable limb lengthening devices. Tech. Orthop. 2014, 29, 72–85. [Google Scholar] [CrossRef]
- Robbins, C.; Paley, D. Stryde weight-bearing internal lengthening nail. Tech. Orthop. 2020, 35, 201–208. [Google Scholar] [CrossRef]
- Accadbled, F.; Pailhé, R.; Cavaignac, E.; de Gauzy, J.S. Bone lengthening using the Fitbone® motorized intramedullary nail: The first experience in France. Orthop. Traumatol. Surg. Res. 2016, 102, 217–222. [Google Scholar] [CrossRef] [PubMed]
- Lecoanet, P.; Legallois, Y.; Ribes, C.; Lefevre, Y.; Cadennes, A.; Fabre, T. Medium-term evaluation of leg lengthening by ISKD® intramedullary nail in 28 patients: Should we still use this lengthening system? Orthop. Traumatol. Surg. Res. 2020, 106, 1433–1440. [Google Scholar] [CrossRef] [PubMed]
- Sato, M.; Ochi, T.; Nakase, T.; Hirota, S.; Kitamura, Y.; Nomura, S.; Yasui, N. Mechanical tension-stress induces expression of bone morphogenetic protein (BMP)-2 and BMP-4, but not BMP-6, BMP-7, and GDF-5 mRNA, during distraction osteogenesis. J. Bone Miner. Res. 1999, 14, 1084–1095. [Google Scholar] [CrossRef] [PubMed]
- Choi, I.H.; Chung, C.Y.; Cho, T.J.; Yoo, W.J. Angiogenesis and mineralization during distraction osteogenesis. J. Korean Med Sci. 2002, 17, 435–447. [Google Scholar] [CrossRef] [PubMed]
- DenOtter, T.D.; Schubert, J. Hounsfield Unit; National Library of Medicine: Bethesda, MD, USA, 2019. [Google Scholar]
- Narayanan, A.; Cai, A.; Xi, Y.; Maalouf, N.M.; Rubin, C.; Chhabra, A. CT bone density analysis of low-impact proximal femur fractures using Hounsfield units. Clin. Imaging 2019, 57, 15–20. [Google Scholar] [CrossRef]
- Bouletreau, P.J.; Warren, S.M.; Longaker, M.T. The molecular biology of distraction osteogenesis. J. Cranio-Maxillofac. Surg. 2002, 30, 1–11. [Google Scholar] [CrossRef]
- Runyan, C.M.; Gabrick, K.S. Biology of bone formation, fracture healing, and distraction osteogenesis. J. Craniofac. Surg. 2017, 28, 1380–1389. [Google Scholar] [CrossRef]
- Ai-Aql, Z.; Alagl, A.S.; Graves, D.T.; Gerstenfeld, L.C.; Einhorn, T.A. Molecular mechanisms controlling bone formation during fracture healing and distraction osteogenesis. J. Dent. Res. 2008, 87, 107–118. [Google Scholar] [CrossRef]
- Jazrawi, L.M.; Majeska, R.J.; Klein, M.L.; Kagel, E.; Stromberg, L.; Einhorn, T.A. Bone and cartilage formation in an experimental model of distraction osteogenesis. J. Orthop. Trauma 1998, 12, 111–116. [Google Scholar] [CrossRef]
- Dorozhkin, S.V. Calcium orthophosphates in nature, biology and medicine. Materials 2009, 2, 399–498. [Google Scholar] [CrossRef]
- Bragdon, B.; Lybrand, K.; Gerstenfeld, L. Overview of biological mechanisms and applications of three murine models of bone repair: Closed fracture with intramedullary fixation, distraction osteogenesis, and marrow ablation by reaming. Curr. Protoc. Mouse Biol. 2015, 5, 21–34. [Google Scholar] [CrossRef] [PubMed]
- Li, Y.; Pan, Q.; Xu, J.; He, X.; Li, H.A.; Oldridge, D.A.; Li, G.; Qin, L. Overview of methods for enhancing bone regeneration in distraction osteogenesis: Potential roles of biometals. J. Orthop. Transl. 2021, 27, 110–118. [Google Scholar] [CrossRef] [PubMed]
- Barakat, A.H.; Sayani, J.; O’Dowd-Booth, C.; Guryel, E. Lengthening nails for distraction osteogenesis: A review of current practice and presentation of extended indications. Strateg. Trauma Limb Reconstr. 2020, 15, 54. [Google Scholar] [CrossRef] [PubMed]
- Degen, N.; de Almeida Lopes, N.; Wolf, F.; Fürmetz, J.; Euler, E.; Böcker, W.; Thaller, P. Pain levels during distraction osteogenesis with lengthening nails in 168 cases. Eur. J. Orthop. Surg. Traumatol. 2023, 33, 1167–1172. [Google Scholar] [CrossRef]
- Dvorzhinskiy, A.; Zhang, D.T.; Fragomen, A.T.; Rozbruch, S.R. Cost comparison of tibial distraction osteogenesis using external lengthening and then nailing vs internal magnetic lengthening nails. Strateg. Trauma Limb Reconstr. 2021, 16, 14. [Google Scholar]
- Richardson, S.S.; Schairer, W.W.; Fragomen, A.T.; Rozbruch, S.R. Cost comparison of femoral distraction osteogenesis with external lengthening over a nail versus internal magnetic lengthening nail. JAAOS J. Am. Acad. Orthop. Surg. 2019, 27, e430–e436. [Google Scholar] [CrossRef]
- Frommer, A.; Roedl, R.; Gosheger, G.; Niemann, M.; Turkowski, D.; Toporowski, G.; Theil, C.; Laufer, A.; Vogt, B. What are the potential benefits and risks of using magnetically driven antegrade intramedullary lengthening nails for femoral lengthening to treat leg length discrepancy? Clin. Orthop. Relat. Res. 2022, 480, 790–803. [Google Scholar] [CrossRef]
- Dahl, M.T.; Morrison, S.G.; Laine, J.C.; Novotny, S.A.; Georgiadis, A.G. Extramedullary motorized lengthening of the femur in young children. J. Pediatr. Orthop. 2020, 40, e978–e983. [Google Scholar] [CrossRef]
- Merchan, N.; Narvel, R.I.; Gitajn, I.L.; Henderson, E.R. Use of the PRECICE nail for distraction osteogenesis after tumor resection. Expert Rev. Med. Devices 2022, 19, 469–475. [Google Scholar] [CrossRef]
- Vale, F.; Francisco, I.; Cavaleiro, J.; Caramelo, F.; Guimarães, A.; Brochado, J. Distraction osteogenesis in dog with a tooth-borne device: Histological and histomorphometric analysis. J. Clin. Exp. Dent. 2020, 12, e52. [Google Scholar] [CrossRef]
- Hvid, I.; Horn, J.; Huhnstock, S.; Steen, H. The biology of bone lengthening. J. Child. Orthop. 2016, 10, 487–492. [Google Scholar] [CrossRef] [PubMed]
- Zapata, U.; Halvachs, E.K.; Dechow, P.C.; Elsalanty, M.E.; Opperman, L.A. Architecture and microstructure of cortical bone in reconstructed canine mandibles after bone transport distraction osteogenesis. Calcif. Tissue Int. 2011, 89, 379–388. [Google Scholar] [CrossRef]
- Datarkar, A.; Valvi, B.; Parmar, S.; Patil, J. Qualitative assesement of newly formed bone after distraction osteogenesis of mandible in patients with facial asymmetry using 3 dimensional computed tomography. J. Oral Biol. Craniofac. Res. 2021, 11, 410–414. [Google Scholar] [CrossRef]
- Campisi, P.; Hamdy, R.; Lauzier, D.; Amako, M.; Schloss, M.; Lessard, M. Overview of Radiology, Histology, and Bone Morphogenetic Protein Expression during Distraction Osteogenesis of the Mandible. J. Otolaryngol. 2002, 31, 281–286. [Google Scholar] [CrossRef]
- Bigi, M.M.P.; Lewicki, M.; Ubios, A.M.; Mandalunis, P.M. Experimental model of distraction osteogenesis in edentulous rats. Braz. Oral Res. 2011, 25, 217–224. [Google Scholar] [CrossRef]
- Jochymek, J.; Gal, P. Evaluation of bone healing in femurs lengthened via the gradual distraction method. Biomed. Pap. Med. Fac. Palacky Univ. Olomouc 2007, 151, 137–141. [Google Scholar] [CrossRef]
- Jochymek, J.; Škvařil, J.; Ondruš, Š. Analýza výsledků kostního hojení prodlužovaných femurů metodou postupné distrakce u dětí a dospívajících. Acta Chir. Orthop. Traum. Čech. 2009, 76, 399–403. [Google Scholar] [CrossRef]
- Han, Z.; Zhang, C. The histomorphological changes of tubular bone following widening distraction osteogenesis. Zhonghua Zheng Xing Wai Ke Za Zhi = Zhonghua Zhengxing Waike Zazhi = Chin. J. Plast. Surg. 2006, 22, 374–378. [Google Scholar]
- Mastrangelo, F.; Parma-Benfenati, S.; Quaresima, R. Biologic Bone Behavior During the Osseointegration Process: Histologic, Histomorphometric, and SEM-EDX Evaluations. Int. J. Periodontics Restor. Dent. 2023, 43, 65–72. [Google Scholar] [CrossRef]








Disclaimer/Publisher’s Note: The statements, opinions and data contained in all publications are solely those of the individual author(s) and contributor(s) and not of MDPI and/or the editor(s). MDPI and/or the editor(s) disclaim responsibility for any injury to people or property resulting from any ideas, methods, instructions or products referred to in the content. |
© 2024 by the authors. Licensee MDPI, Basel, Switzerland. This article is an open access article distributed under the terms and conditions of the Creative Commons Attribution (CC BY) license (https://creativecommons.org/licenses/by/4.0/).
Share and Cite
Maai, N.; Frank, F.A.; Schildhauer, T.A.; Königshausen, M. Bone Regeneration After Nail Distraction Osteogenesis: Review of Current Knowledge and Application Combined with a Case Report with Radiological, Histological, and Electron Microscopic Analysis. J. Clin. Med. 2024, 13, 6504. https://doi.org/10.3390/jcm13216504
Maai N, Frank FA, Schildhauer TA, Königshausen M. Bone Regeneration After Nail Distraction Osteogenesis: Review of Current Knowledge and Application Combined with a Case Report with Radiological, Histological, and Electron Microscopic Analysis. Journal of Clinical Medicine. 2024; 13(21):6504. https://doi.org/10.3390/jcm13216504
Chicago/Turabian StyleMaai, Nader, Florian A. Frank, Thomas A. Schildhauer, and Matthias Königshausen. 2024. "Bone Regeneration After Nail Distraction Osteogenesis: Review of Current Knowledge and Application Combined with a Case Report with Radiological, Histological, and Electron Microscopic Analysis" Journal of Clinical Medicine 13, no. 21: 6504. https://doi.org/10.3390/jcm13216504
APA StyleMaai, N., Frank, F. A., Schildhauer, T. A., & Königshausen, M. (2024). Bone Regeneration After Nail Distraction Osteogenesis: Review of Current Knowledge and Application Combined with a Case Report with Radiological, Histological, and Electron Microscopic Analysis. Journal of Clinical Medicine, 13(21), 6504. https://doi.org/10.3390/jcm13216504

