Diagnostic Value of Contrast-Enhanced Ultrasound in Differentiating Malignant from Benign Small Renal Masses After CT/MRI
Abstract
1. Introduction
2. Materials and Methods
2.1. Patient Criteria and Diagnostic Route
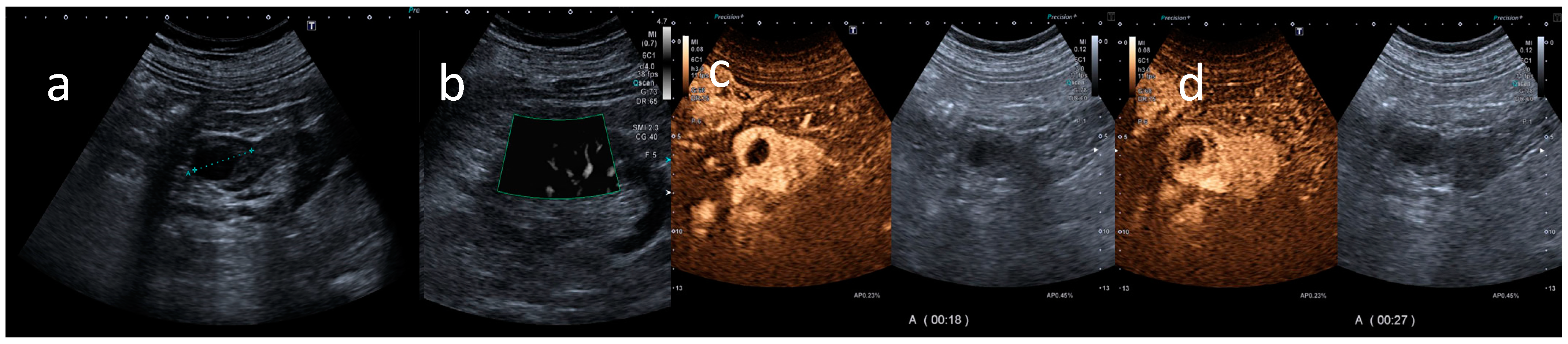
2.2. CEUS Assessment
2.3. Data Collection and Radiologic Assessment
2.4. Statistical Analysis
3. Results
4. Discussion
5. Conclusions
Author Contributions
Funding
Institutional Review Board Statement
Informed Consent Statement
Data Availability Statement
Conflicts of Interest
References
- Reginelli, A.; D’Andrea, A.; Clemente, A.; Izzo, A.; Urraro, F.; Scala, F.; Nardone, V.; Guida, C.; Scialpi, M.; Cappabianca, S. Does multiparametric US improve diagnostic accuracy in the characterization of small testicular masses? Gland Surg. 2019, 8 (Suppl. S3), S136–S141. [Google Scholar] [CrossRef] [PubMed]
- Faccioli, N.; Santi, E.; Foti, G.; D’onofrio, M. Cost-effectiveness analysis of including contrast-enhanced ultrasound in management of pancreatic cystic neoplasms. Radiol. Med. 2022, 127, 349–359. [Google Scholar] [CrossRef] [PubMed]
- Xu, H.X. Contrast-enhanced ultrasound: The evolving applications. World J. Radiol. 2009, 1, 15–24. [Google Scholar] [CrossRef] [PubMed]
- Back, S.J.; Acharya, P.T.; Bellah, R.D.; Cohen, H.L.; Darge, K.; Deganello, A.; Harkanyi, Z.; Ključevšek, D.; Ntoulia, A.; Paltiel, H.J.; et al. Contrast-enhanced ultrasound of the kidneys and adrenals in children. Pediatr. Radiol. 2021, 51, 2198–2213. [Google Scholar] [CrossRef]
- Padala, S.A.; Barsouk, A.; Thandra, K.C.; Saginala, K.; Mohammed, A.; Vakiti, A.; Rawla, P.; Barsouk, A. Epidemiology of Renal Cell Carcinoma. World J. Oncol. 2020, 11, 79–87. [Google Scholar] [CrossRef]
- Cao, H.; Fang, L.; Chen, L.; Zhan, J.; Diao, X.; Liu, Y.; Lu, C.; Zhang, Z.; Chen, Y. The Value of Contrast-Enhanced Ultrasound in Diagnosing Small Renal Cell Carcinoma Subtypes and Angiomyolipoma. J. Ultrasound Med. 2022, 41, 1415–1423. [Google Scholar] [CrossRef]
- Sebastià, C.; Corominas, D.; Musquera, M.; Paño, B.; Ajami, T.; Nicolau, C. Active surveillance of small renal masses. Insights Imaging 2020, 11, 63. [Google Scholar] [CrossRef]
- Campbell, S.C.; Faraday, M.; Uzzo, R.G. Small renal mass. N. Engl. J. Med. 2010, 362, 2334–2335. [Google Scholar]
- Yano, M.; Fowler, K.J.; Srisuwan, S.; Salter, A.; Siegel, C.L. Quantitative multiparametric MR analysis of small renal lesions: Correlation with surgical pathology. Abdom. Radiol. 2018, 43, 3390–3399. [Google Scholar] [CrossRef]
- Ha, S.C.; Zlomke, H.A.; Cost, N.; Wilson, S. The Past, Present, and Future in Management of Small Renal Masses. J. Oncol. 2015, 2015, 364807. [Google Scholar] [CrossRef]
- Hu, M.; Fan, J.Y.; Zhou, X.; Cao, G.W.; Tan, X. Global incidence and mortality of renal cell carcinoma in 2020. Zhonghua Liu Xing Bing Xue Za Zhi 2023, 44, 575–580. [Google Scholar] [PubMed]
- Jayson, M.; Sanders, H. Increased incidence of serendipitously discovered renal cell carcinoma. Urology 1998, 51, 203–205. [Google Scholar] [CrossRef]
- Cohen, H.T.; McGovern, F.J. Renal-cell carcinoma. N. Engl. J. Med. 2005, 353, 2477–2490. [Google Scholar] [CrossRef] [PubMed]
- Volpe, A. The role of surveillance in the management of small renal masses. Sci. World J. 2007, 7, 860–868. [Google Scholar] [CrossRef] [PubMed]
- Lee, C.T.; Katz, J.; Shi, W.; Thaler, H.T.; Reuter, V.E.; Russo, P. Surgical management of renal tumors 4 cm. or less in a contemporary cohort. J. Urol. 2000, 163, 730–736. [Google Scholar] [CrossRef] [PubMed]
- Schlomer, B.; Figenshau, R.S.; Yan, Y.; Venkatesh, R.; Bhayani, S.B. Pathological features of renal neoplasms classified by size and symptomatology. J. Urol. 2006, 176 Pt 1, 1317–1320; discussion 1320. [Google Scholar] [CrossRef]
- DeRoche, T.; Walker, E.; Magi-Galluzzi, C.; Zhou, M. Pathologic characteristics of solitary small renal masses: Can they be predicted by preoperative clinical parameters? Am. J. Clin. Pathol. 2008, 130, 560–564. [Google Scholar] [CrossRef]
- Tsui, K.-H.; Shvarts, O.; Smith, R.B.; Figlin, R.; de Kernion, J.B.; Belldegrun, A. Renal cell carcinoma: Prognostic significance of incidentally detected tumors. J. Urol. 2000, 163, 426–430. [Google Scholar] [CrossRef]
- Pahernik, S.; Ziegler, S.; Roos, F.; Melchior, S.W.; Thüroff, J.W. Small renal tumors: Correlation of clinical and pathological features with tumor size. J. Urol. 2007, 178, 414–417; discussion 416–417. [Google Scholar] [CrossRef]
- Nguyen, M.M.; Gill, I.S.; Ellison, L.M. The evolving presentation of renal carcinoma in the United States: Trends from the Surveillance, Epidemiology, and End Results program. J. Urol. 2006, 176 Pt 1, 2397–2400; discussion 2400. [Google Scholar] [CrossRef]
- Marzuillo, P.; Guarino, S.; Di Sessa, A.; Rambaldi, P.F.; Reginelli, A.; Vacca, G.; Cappabianca, S.; Capalbo, D.; Esposito, T.; De Luca Picione, C.; et al. Congenital Solitary Kidney from Birth to Adulthood. J. Urol. 2021, 205, 1466–1475. [Google Scholar] [CrossRef] [PubMed]
- Jenssen, C.; Gilja, O.H.; Serra, A.L.; Piscaglia, F.; Dietrich, C.F.; Rudd, L.; Sidhu, P.S. European Federation of Societies for Ultrasound in Medicine and Biology (EFSUMB) Policy Document Development Strategy—Clinical Practice Guidelines, Position Statements and Technological Reviews. Ultrasound Int. Open 2019, 5, E2–E10. [Google Scholar] [CrossRef] [PubMed]
- Capitanio, U.; Bensalah, K.; Bex, A.; Boorjian, S.A.; Bray, F.; Coleman, J.; Gore, J.L.; Sun, M.; Wood, C.; Russo, P. Epidemiology of Renal Cell Carcinoma. Eur. Urol. 2019, 75, 74–84. [Google Scholar] [CrossRef]
- Reginelli, A.; Russo, A.; Berritto, D.; Patane, V.; Cantisani, C.; Grassi, R. Ultra-High-Frequency Ultrasound: A Modern Diagnostic Technique for Studying Melanoma. Ultraschall Med. 2023, 44, 360–378. [Google Scholar] [CrossRef]
- Furrer, M.A.; Spycher, S.C.; Büttiker, S.M.; Gross, T.; Bosshard, P.; Thalmann, G.N.; Schneider, M.P.; Roth, B. Comparison of the Diagnostic Performance of Contrast-enhanced Ultrasound with That of Contrast-enhanced Computed Tomography and Contrast-enhanced Magnetic Resonance Imaging in the Evaluation of Renal Masses: A Systematic Review and Meta-analysis. Eur. Urol. Oncol. 2020, 3, 464–473. [Google Scholar] [CrossRef]
- Fetzer, D.T. Recent Advances in US Vascular Imaging: Highlighting an Important Use Case. Radiology 2021, 298, 91–92. [Google Scholar] [CrossRef] [PubMed]
- Tufano, A.; Antonelli, L.; Di Pierro, G.B.; Flammia, R.S.; Minelli, R.; Anceschi, U.; Leonardo, C.; Franco, G.; Drudi, F.M.; Cantisani, V. Diagnostic Performance of Contrast-Enhanced Ultrasound in the Evaluation of Small Renal Masses: A Systematic Review and Meta-Analysis. Diagnostics 2022, 12, 2310. [Google Scholar] [CrossRef]
- Ascenti, G.; Cicero, G.; Bertelli, E.; Papa, M.; Gentili, F.; Ciccone, V.; Manetta, R.; Gandolfo, N.; Cardone, G.; Miele, V. CT-urography: A nationwide survey by the Italian Board of Urogenital Radiology. Radiol. Med. 2022, 127, 577–588. [Google Scholar] [CrossRef]
- Tufano, A.; Drudi, F.M.; Angelini, F.; Polito, E.; Martino, M.; Granata, A.; Di Pierro, G.B.; Kutrolli, E.; Sampalmieri, M.; Canale, V.; et al. Contrast-Enhanced Ultrasound (CEUS) in the Evaluation of Renal Masses with Histopathological Validation-Results from a Prospective Single-Center Study. Diagnostics 2022, 12, 1209. [Google Scholar] [CrossRef]
- Reginelli, A.; Vanzulli, A.; Sgrazzutti, C.; Caschera, L.; Serra, N.; Raucci, A.; Urraro, F.; Cappabianca, S. Vascular microinvasion from hepatocellular carcinoma: CT findings and pathologic correlation for the best therapeutic strategies. Med. Oncol. 2017, 34, 93. [Google Scholar] [CrossRef]
- Liu, Y.; Kan, Y.; Zhang, J.; Li, N.; Wang, Y. Characteristics of contrast-enhanced ultrasound for diagnosis of solid clear cell renal cell carcinomas ≤ 4 cm: A meta-analysis. Cancer Med. 2021, 10, 8288–8299. [Google Scholar] [CrossRef]
- Barr, R.G. Use of lumason/sonovue in contrast-enhanced ultrasound of the kidney for characterization of renal masses-a meta-analysis. Abdom. Radiol. 2022, 47, 272–287. [Google Scholar] [CrossRef] [PubMed]
- Kazmierski, B.; Deurdulian, C.; Tchelepi, H.; Grant, E.G. Applications of contrast-enhanced ultrasound in the kidney. Abdom. Radiol. 2018, 43, 880–898. [Google Scholar] [CrossRef] [PubMed]
- Orlacchio, A.; Guastoni, C.; Beretta, G.D.; Cosmai, L.; Galluzzo, M.; Gori, S.; Grassedonio, E.; Incorvaia, L.; Marcantoni, C.; Netti, G.S.; et al. SIRM-SIN-AIOM: Appropriateness criteria for evaluation and prevention of renal damage in the patient undergoing contrast medium examinations-consensus statements from Italian College of Radiology (SIRM), Italian College of Nephrology (SIN) and Italian Association of Medical Oncology (AIOM). Radiol. Med. 2022, 127, 534–542. [Google Scholar] [PubMed]
- Rübenthaler, J.; Wilson, S.; Clevert, D.A. Multislice computed tomography/contrast-enhanced ultrasound image fusion as a tool for evaluating unclear renal cysts. Ultrasonography 2019, 38, 181–187. [Google Scholar] [CrossRef] [PubMed]
- Cappabianca, S.; Del Vecchio, W.; Giudice, A.; Colella, G. Vascular malformations of the tongue: MRI findings on three cases. Dentomaxillofac. Radiol. 2006, 35, 205–208. [Google Scholar] [CrossRef]
- Scialpi, M.; Cappabianca, S.; Rotondo, A.; Scalera, G.; Barberini, F.; Cagini, L.; Donato, S.; Brunese, L.; Piscioli, I.; Lupattelli, L. Pulmonary congenital cystic disease in adults. Spiral computed tomography findings with pathologic correlation and management. Radiol. Med. 2010, 115, 539–550. [Google Scholar] [CrossRef]
- Calderon, L.P.; Eismann, L.; Reese, S.W.; Reznik, E.; Hakimi, A.A. Advances in Imaging-Based Biomarkers in Renal Cell Carcinoma: A Critical Analysis of the Current Literature. Cancers 2023, 15, 354. [Google Scholar] [CrossRef]
- Marschner, C.A.; Ruebenthaler, J.; Schwarze, V.; de Figueiredo, G.N.; Zhang, L.; Clevert, D.A. Comparison of computed tomography (CT), magnetic resonance imaging (MRI) and contrast-enhanced ultrasound (CEUS) in the evaluation of unclear renal lesions. In RöFo-Fortschritte auf dem Gebiet der Röntgenstrahlen und der bildgebenden Verfahren; Georg Thieme Verlag KG: New York, NY, USA, 2020; Volume 192, pp. 1053–1059. [Google Scholar]
- Reginelli, A.; Di Grezia, G.; Izzo, A.; D’andrea, A.; Gatta, G.; Cappabianca, S.; Squillaci, E.; Grassi, R. Imaging of adrenal incidentaloma: Our experience. Int. J. Surg. 2014, 12 (Suppl. 1), S126–S131. [Google Scholar] [CrossRef]
- Gatta, G.; Di Grezia, G.; Cuccurullo, V.; Sardu, C.; Iovino, F.; Comune, R.; Ruggiero, A.; Chirico, M.; La Forgia, D.; Fanizzi, A.; et al. MRI in Pregnancy and Precision Medicine: A Review from Literature. J. Pers. Med. 2021, 12, 9. [Google Scholar] [CrossRef]
- Klezl, P.; Kaspar, M.; Klecka, J.; Richterova, R.; Stanc, O.; Burgetova, A.; Fischerova, D.; Dusek, L.; Popken, G.; Zatura, F. The role of contrast-enhanced pulse inversion harmonic imaging (CEUS) and contrast-enhanced computed tomography (CECT) in the preoperative diagnosis of renal lesions. Urologe A 2018, 57, 181–190. [Google Scholar] [CrossRef] [PubMed]
- Wei, S.-P.; Xu, C.-L.; Zhang, Q.; Zhang, Q.-R.; Zhao, Y.-E.; Huang, P.-F.; Xie, Y.-D.; Zhou, C.-S.; Tian, F.-L.; Yang, B. Contrast-enhanced ultrasound for differentiating benign from malignant solid small renal masses: Comparison with contrast-enhanced CT. Abdom. Radiol. 2017, 42, 2135–2145. [Google Scholar] [CrossRef] [PubMed]
- Najafi, A.; Wildt, M.; Hainc, N.; Hohmann, J. Evaluation of Cystic and Solid Renal Lesions with Contrast-Enhanced Ultrasound: A Retrospective Study. Ultrasound Int. Open 2021, 7, E25–E34. [Google Scholar] [CrossRef] [PubMed]
- Xue, L.-Y.; Lu, Q.; Huang, B.-J.; Li, C.-X.; Yan, L.-X.; Wang, W.-P. Differentiation of subtypes of renal cell carcinoma with contrast-enhanced ultrasonography. Clin. Hemorheol. Microcirc. 2016, 63, 361–371. [Google Scholar] [CrossRef]
- Pan, K.-H.; Jian, L.; Chen, W.-J.; Nikzad, A.A.; Kong, F.Q.; Bin, X.; Wang, Y.-L.; Chen, M. Diagnostic Performance of Contrast-Enhanced Ultrasound in Renal Cancer: A Meta-Analysis. Front. Oncol. 2020, 10, 586949. [Google Scholar] [CrossRef]
- Schwarze, V.; Marschner, C.; de Figueiredo, G.N.; Knösel, T.; Rübenthaler, J.; Clevert, D.-A. Single-center study: The diagnostic performance of contrast-enhanced ultrasound (CEUS) for assessing renal oncocytoma. Scand. J. Urol. 2020, 54, 135–140. [Google Scholar] [CrossRef]
- Vogel, D.W.T.; Kiss, B.; Heverhagen, J.T.; Benackova, K.; Burkhard, F.; Müller, M.; Uehlinger, D.; Arampatzis, S. Prospective Comparison of Contrast-Enhanced Ultrasound and Magnetic Resonance Imaging to Computer Tomography for the Evaluation of Complex Cystic Renal Lesions. Urology 2021, 154, 320–325. [Google Scholar] [CrossRef] [PubMed]
- Sanz, E.; Hevia, V.; Arias, F.; Fabuel, J.J.; Álvarez, S.; Rodríguez-Patrón, R.; Gómez, V.; Díez-Nicolás, V.; González-Gordaliza, C.; Burgos, F.J. Contrast-enhanced ultrasound (CEUS): An excellent tool in the follow-up of small renal masses treated with cryoablation. Curr. Urol. Rep. 2015, 16, 469. [Google Scholar] [CrossRef]
- Kasoji, S.K.; Chang, E.H.; Mullin, L.B.; Chong, W.K.; Rathmell, W.K.; Dayton, P.A. A Pilot Clinical Study in Characterization of Malignant Renal-cell Carcinoma Subtype with Contrast-enhanced Ultrasound. Ultrason. Imaging 2017, 39, 126–136. [Google Scholar] [CrossRef]
- Geyer, T.; Schwarze, V.; Marschner, C.; Schnitzer, M.L.; Froelich, M.F.; Rübenthaler, J.; Clevert, D.-A. Diagnostic Performance of Contrast-Enhanced Ultrasound (CEUS) in the Evaluation of Solid Renal Masses. Medicina 2020, 56, 624. [Google Scholar] [CrossRef]
- Thaiss, W.M.; Bedke, J.; Kruck, S.; Spira, D.; Stenzl, A.; Nikolaou, K.; Horger, M.; Kaufmann, S. Can contrast-enhanced ultrasound and acoustic radiation force impulse imaging characterize CT-indeterminate renal masses? A prospective evaluation with histological confirmation. World J. Urol. 2019, 37, 1339–1346. [Google Scholar] [CrossRef] [PubMed]
- Fang, L.; Bai, K.; Chen, Y.; Zhan, J.; Zhang, Y.; Qiu, Z.; Chen, L.; Wang, L. A comparative study of contrast-enhanced ultrasound and contrast-enhanced CT for the detection and characterization of renal masses. Biosci. Trends 2021, 15, 24–32. [Google Scholar] [CrossRef] [PubMed]
- He, M.; Gao, Q.; Xiang, J.; Mao, Q.; Jiang, T. Diagnostic Value of Qualitative and Quantitative Contrast-Enhanced Ultrasound for Pathological Subtypes of Small Solid Renal Masses. J. Ultrasound Med. 2023, 42, 1663–1673. [Google Scholar] [CrossRef]
- Bertolotto, M.; Cicero, C.; Catalano, O.; Currò, F.; Derchi, L.E. Solid Renal Tumors Isoenhancing to Kidneys on Contrast-Enhanced Sonography: Differentiation From Pseudomasses. J. Ultrasound Med. 2018, 37, 233–242. [Google Scholar] [CrossRef]




| Characteristic | Mean | Minimum | Maximum |
|---|---|---|---|
| Age | 62 years | 37 years | 87 years |
| Tumor Dimension | 23.5 mm | 10 mm | 30 mm |
| Characteristic | Number of Patients (n) |
|---|---|
| Study population | 44 patients |
| Small benign renal masses | 21 patients |
| Small malignant renal masses | 19 patients |
Previous to CEUS diagnostic imaging pathway:
| 18 patients 21 patients 4 patients |
| 19 patients |
Patients undergoing histological assessment
| 22 patients 6 patients 16 patients |
Disclaimer/Publisher’s Note: The statements, opinions and data contained in all publications are solely those of the individual author(s) and contributor(s) and not of MDPI and/or the editor(s). MDPI and/or the editor(s) disclaim responsibility for any injury to people or property resulting from any ideas, methods, instructions or products referred to in the content. |
© 2024 by the authors. Licensee MDPI, Basel, Switzerland. This article is an open access article distributed under the terms and conditions of the Creative Commons Attribution (CC BY) license (https://creativecommons.org/licenses/by/4.0/).
Share and Cite
Urraro, F.; Piscopo, M.; Giordano, N.; Russo, G.M.; Gallo, L.; Magliocchetti, S.; Giordano, D.S.; Patanè, V.; Arcaniolo, D.; Cozzolino, I.; et al. Diagnostic Value of Contrast-Enhanced Ultrasound in Differentiating Malignant from Benign Small Renal Masses After CT/MRI. J. Clin. Med. 2024, 13, 6478. https://doi.org/10.3390/jcm13216478
Urraro F, Piscopo M, Giordano N, Russo GM, Gallo L, Magliocchetti S, Giordano DS, Patanè V, Arcaniolo D, Cozzolino I, et al. Diagnostic Value of Contrast-Enhanced Ultrasound in Differentiating Malignant from Benign Small Renal Masses After CT/MRI. Journal of Clinical Medicine. 2024; 13(21):6478. https://doi.org/10.3390/jcm13216478
Chicago/Turabian StyleUrraro, Fabrizio, Marco Piscopo, Nicoletta Giordano, Gaetano Maria Russo, Luigi Gallo, Simona Magliocchetti, Diego Sandro Giordano, Vittorio Patanè, Davide Arcaniolo, Immacolata Cozzolino, and et al. 2024. "Diagnostic Value of Contrast-Enhanced Ultrasound in Differentiating Malignant from Benign Small Renal Masses After CT/MRI" Journal of Clinical Medicine 13, no. 21: 6478. https://doi.org/10.3390/jcm13216478
APA StyleUrraro, F., Piscopo, M., Giordano, N., Russo, G. M., Gallo, L., Magliocchetti, S., Giordano, D. S., Patanè, V., Arcaniolo, D., Cozzolino, I., Nardone, V., Cappabianca, S., & Reginelli, A. (2024). Diagnostic Value of Contrast-Enhanced Ultrasound in Differentiating Malignant from Benign Small Renal Masses After CT/MRI. Journal of Clinical Medicine, 13(21), 6478. https://doi.org/10.3390/jcm13216478

