Psoas Muscle Index and Density as Prognostic Predictors in Patients Hospitalized with Acute Pancreatitis
Abstract
1. Introduction
2. Materials and Methods
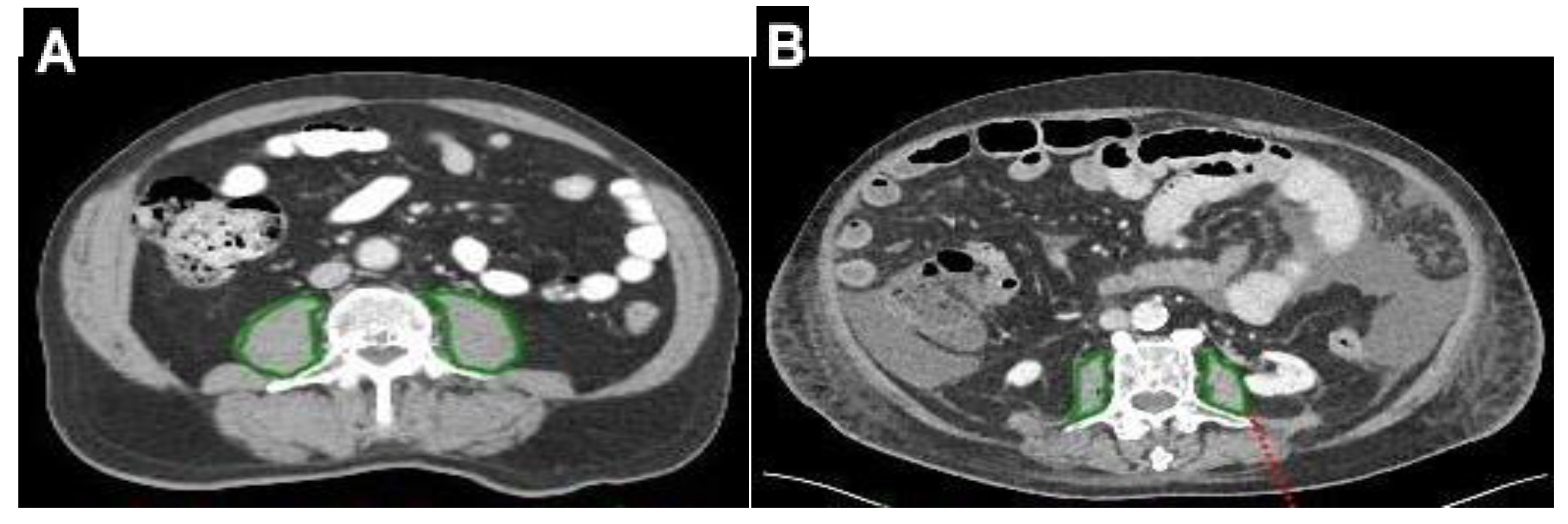
2.1. Study Design and Definitions
2.2. Data Collection
3. Statistical Analyses
4. Results
4.1. Patient Characteristics
4.2. Associations of PMI and PMD with Severity of Acute Pancreatitis
5. Discussion
6. Conclusions
Supplementary Materials
Author Contributions
Funding
Institutional Review Board Statement
Informed Consent Statement
Data Availability Statement
Conflicts of Interest
References
- Párniczky, A.; Kui, B.; Szentesi, A.; Balázs, A.; Szűcs, Á.; Mosztbacher, D.; Czimmer, J.; Sarlós, P.; Bajor, J.; Gódi, S.; et al. Hungarian Pancreatic Study Group. Prospective, Multicentre, Nationwide Clinical Data from 600 Cases of Acute Pancreatitis. PLoS ONE 2016, 11, e0165309. [Google Scholar] [CrossRef] [PubMed]
- Silva-Vaz, P.; Abrantes, A.M.; Castelo-Branco, M.; Gouveia, A.; Botelho, M.F.; Tralhão, J.G. Murine Models of Acute Pancreatitis: A Critical Appraisal of Clinical Relevance. Int. J. Mol. Sci. 2019, 20, 2794. [Google Scholar] [CrossRef] [PubMed]
- Hirota, M.; Takada, T.; Kawarada, Y.; Hirata, K.; Mayumi, T.; Yoshida, M.; Sekimoto, M.; Kimura, Y.; Takeda, K.; Isaji, S.; et al. JPN Guidelines for the management of acute pancreatitis: Severity assessment of acute pancreatitis. J. Hepatobiliary Pancreat. Surg. 2006, 13, 33–41. [Google Scholar] [CrossRef] [PubMed]
- Lankisch, P.G.; Apte, M.; Banks, P.A. Acute pancreatitis. Lancet 2015, 386, 85–96. [Google Scholar] [CrossRef]
- Santhi, S.V. Etiology of Acute Pancreatitis. 2024. Available online: https://www-uptodate-com.kaplanmc.idm.oclc.org/contents/etiology-of-acute-pancreatitis (accessed on 16 May 2024).
- Vipperla, K.; Papachristou, G.I.; Easler, J.; Muddana, V.; Slivka, A.; Whitcomb, D.C.; Yadav, D. Risk of and factors associated with readmission after a sentinel attack of acute pancreatitis. Clin. Gastroenterol. Hepatol. 2014, 12, 1911–1919. [Google Scholar] [CrossRef]
- Shah, I.; Yakah, W.; Ahmed, A.; Kandasamy, C.; Tintara, S.; Sorrento, C.; Freedman, S.D.; Kothari, D.J.; Sheth, S.G. Extrapancreatic Complications in Hospitalized Patients with Mild Acute Pancreatitis Are Associated with Poorer Outcomes: Results from a Single-Center Study. Pancreas 2022, 51, 177–182. [Google Scholar] [CrossRef]
- Wang, D.; Yang, J.; Zhang, J.; Zhang, S.; Wang, B.; Wang, R.; Liu, M. Red cell distribution width predicts deaths in patients with acute pancreatitis. J. Res. Med. Sci. 2015, 20, 424–428. [Google Scholar]
- Lee, D.W.; Cho, C.M. Predicting Severity of Acute Pancreatitis. Medicina 2022, 58, 787. [Google Scholar] [CrossRef]
- Crockett, S.D.; Wani, S.; Gardner, T.B.; Falck-Ytter, Y.; Barkun, A.N. American Gastroenterological Association Institute Clinical Guidelines Committee. American Gastroenterological Association Institute Guideline on Initial Management of Acute Pancreatitis. Gastroenterology 2018, 154, 1096–1101. [Google Scholar] [CrossRef]
- van Grinsven, J.; van Vugt, J.L.A.; Gharbharan, A.; Bollen, T.L.; Besselink, M.G.; van Santvoort, H.C.; van Eijck, C.H.J.; Boerma, D.; Dutch Pancreatitis Study Group. The Association of Computed Tomography-Assessed Body Composition with Mortality in Patients with Necrotizing Pancreatitis. J. Gastrointest. Surg. 2017, 21, 1000–1008. [Google Scholar] [CrossRef]
- Meza-Junco, J.; Montano-Loza, A.J.; Baracos, V.E.; Prado, C.M.; Bain, V.G.; Beaumont, C.; Esfandiari, N.; Lieffers, J.R.; Sawyer, M.B. Sarcopenia as a prognostic index of nutritional status in concurrent cirrhosis and hepatocellular carcinoma. J. Clin. Gastroenterol. 2013, 47, 861–870. [Google Scholar] [CrossRef] [PubMed]
- Joglekar, S.; Nau, P.N.; Mezhir, J.J. The impact of sarcopenia on survival and complications in surgical oncology: A review of the current literature. J. Surg. Oncol. 2015, 112, 503–509. [Google Scholar] [CrossRef] [PubMed]
- Joglekar, S.; Asghar, A.; Mott, S.L.; Johnson, B.E.; Button, A.M.; Clark, E.; Mezhir, J.J. Sarcopenia is an independent predictor of complications following pancreatectomy for adenocarcinoma. J. Surg. Oncol. 2015, 111, 771–775. [Google Scholar] [CrossRef]
- Xu, J.Y.; Li, C.; Zhang, H.; Liu, Y.; Wei, J.M. Total Psoas Area Index is Valuable to Assess Sarcopenia, Sarcopenic Overweight/Obesity and Predict Outcomes in Patients Undergoing Open Pancreatoduodenectomy. Risk Manag. Healthc. Policy 2020, 13, 761–770. [Google Scholar] [CrossRef]
- Weerink, L.B.M.; van der Hoorn, A.; van Leeuwen, B.L.; de Bock, G.H. Low skeletal muscle mass and postoperative morbidity in surgical oncology: A systematic review and meta-analysis. J. Cachexia Sarcopenia Muscle 2020, 11, 636–649. [Google Scholar] [CrossRef]
- Kofler, M.; Reinstadler, S.J.; Mayr, A.; Stastny, L.; Reindl, M.; Dumfarth, J.; Dachs, T.M.; Wachter, K.; Rustenbach, C.J.; Friedrich, G.; et al. Prognostic implications of psoas muscle area in patients undergoing transcatheter aortic valve implantation. Eur. J. Cardiothorac. Surg. 2019, 55, 210–216. [Google Scholar] [CrossRef]
- Yajima, T.; Arao, M.; Yajima, K. Psoas muscle index and psoas muscle density as predictors of mortality in patients undergoing hemodialysis. Sci. Rep. 2022, 12, 10496. [Google Scholar] [CrossRef]
- Fu, H.; Li, P.; Xing, Q.; Jiang, H.; Sui, H. Cutoff Value of Psoas Muscle Area as Reduced Muscle Mass and Its Association with Acute Pancreatitis in China. Int. J. Gen. Med. 2023, 16, 2733–2751. [Google Scholar] [CrossRef]
- Zhou, Y.; Hao, N.; Duan, Z.; Kong, M.; Xu, M.; Zhang, D.; Xu, X.; Yuan, Q.; Li, C. Assessment of Acute Pancreatitis Severity and Prognosis with CT-Measured Body Composition. Int. J. Gen. Med. 2021, 14, 3971–3980. [Google Scholar] [CrossRef]
- Yoon, S.B.; Choi, M.H.; Lee, I.S.; Lim, C.H.; Kim, J.S.; Cho, Y.K.; Park, J.M.; Lee, B.I.; Cho, Y.S.; Choi, M.G. Impact of body fat and muscle distribution on severity of acute pancreatitis. Pancreatology 2017, 17, 188–193. [Google Scholar] [CrossRef]
- Farquhar, R.; Matthews, S.; Baxter, N.; Rayers, G.; Ratnayake, C.B.; Robertson, F.P.; Nandhra, S.; Lim, W.B.; Witham, M.; Pandanaboyana, S. Sarcopenia and Sarcopenic Obesity on Body Composition Analysis is a Significant Predictor of Mortality in Severe Acute Pancreatitis: A Longitudinal Observational Study. World J. Surg. 2023, 47, 2825–2833. [Google Scholar] [CrossRef] [PubMed]
- Kaplan, M.; Ates, I.; Oztas, E.; Yuksel, M.; Akpinar, M.Y.; Coskun, O.; Kayacetin, E. A New Marker to Determine Prognosis of Acute Pancreatitis: PLR and NLR Combination. J. Med. Biochem. 2018, 37, 21–30. [Google Scholar] [CrossRef] [PubMed]
- Fox, T.; Brummit, P.S.; Ferguson-Wolf, M.; Abernethy, M. Position of the American Dietetic Association: Nutrition, aging, and the continuum of care. J. Am. Diet. Assoc. 2000, 100, 580–595. [Google Scholar]
- Trikudanathan, G.; Vantanasiri, K.; Faizi, N.; Munigala, S.; Vanek, P.; Schat, R.; Freeman, M.L.; Chauhan, A. Decreased skeletal muscle density is an independent predictor of mortality in necrotizing pancreatitis-A single tertiary center experience in 507 patients. Pancreatology 2021, 21, 1146–1151. [Google Scholar] [CrossRef]
- Isiklar, A.; Kuzan, T.Y. Initial values of skeletal muscle parameters in patients presenting with acute pancreatitis. DAHUDER MJ 2023, 3, 49–53. [Google Scholar] [CrossRef]
- O’Leary, D.P.; O’Neill, D.; McLaughlin, P.; O’Neill, S.; Myers, E.; Maher, M.M.; Redmond, H.P. Effects of abdominal fat distribution parameters on severity of acute pancreatitis. World J. Surg. 2012, 36, 1679–1685. [Google Scholar] [CrossRef]

| Characteristic | All Patients (n = 132) |
|---|---|
| Age, years, mean ± SD | 59 ± 13 |
| Male, n (%) | 84 (64) |
| BMI, mean ± SD | 28.4 ± 5.6 |
| Smoking, n (%) | 44 (33) |
| Etiology of AP, n (%): | |
| Unknown | 59 (45) |
| Biliary | 49 (37) |
| Hypertriglyceridemia | 9 (7) |
| Alcohol consumption | 7 (5) |
| Other | 8 (6) |
| Comorbidities, n (%): | |
| Hypertension | 71 (54) |
| Hyperlipidemia | 69 (53) |
| Diabetes | 50 (38) |
| Obesity | 47 (36) |
| Ischemic heart disease | 25 (19) |
| Metabolic-associated fatty liver disease | 10 (8) |
| Renal failure | 9 (7) |
| Ranson criteria *: | |
| Non-severe, n (%) | 37 (42) |
| Severe, n (%) | 51 (58) |
| Ranson score, mean ± SD | 3 ± 2 |
| Nutritional status, n (%): | |
| NRA > 8 | 31 (62) |
| NRA 3–7 | 17 (34) |
| NRA 0–2 | 2 (4) |
| Nutritional consultation in hospital, n (%) | 50 (38) |
| CT severity index of AP, n (%): | |
| No AP | 15 (11) |
| Mild | 79 (60) |
| Moderate | 24 (18) |
| Severe | 14 (11) |
| Data of CT, mean ± SD: | |
| Timing of CT, days | 3 ± 3 |
| PMA, cm2 | 15.6 ± 6.3 |
| PMD, HU | 42 ± 8 |
| PMI, cm2/m2 | 5.42 ± 1.88 |
| Outcomes, n (%): | |
| Extrapancreatic complications | 72 (55) |
| Infection | 24 (18) |
| Transfer to ICU | 8 (6) |
| In-hospital mortality | 7 (5) |
| LOH (days), mean ± SD | 6 (7) |
| Characteristic | PMI < 4.35 cm2/m2 (n = 44) | PMI = 4.35–6.29 cm2/m2 (n = 44) | PMI > 6.29 cm2/m2 (n = 43) | p Value | PMD < 39 HU (n = 46) | PMD = 39–45 HU (n = 44) | PMD > 45 HU (n = 42) | p Value |
|---|---|---|---|---|---|---|---|---|
| Age, years, mean ± SD | 63.2 ± 13.0 | 58.7 ± 12.6 | 55.5 ± 13.3 | 0.010 | 65.0 ± 11.0 | 57.0 ± 13.6 | 54.7 ± 13.0 | <0.001 |
| BMI, mean ± SD | 28.5 ± 7.5 | 27.8 ± 4.4 | 29.0 ± 4.2 | 0.471 | 29.9 ± 6.6 | 27.9 ± 5.4 | 27.4 ± 4.1 | 0.106 |
| Ranson criteria’s, n (%) *: | ||||||||
| Non-severe | 13 (30) | 12 (27) | 12 (28) | 0.823 | 10 (29) | 15 (50) | 12 (52) | 0.113 |
| Severe | 21 (48) | 16 (36) | 14 (33) | 25 (71) | 15 (50) | 11 (48) | ||
| Ranson score, mean ± SD | 2.9 ± 1.5 | 2.6 ± 1.9 | 2.4 ± 1.4 | 0.571 | 3.2 ± 1.7 | 2.2 ± 1.5 | 2.3 ± 1.5 | 0.038 |
| High-sensitivity CRP first, mg/dL, mean ± SD | 44.9 ± 85.0 | 45.6 ± 62.4 | 41.1 ± 83.7 | 0.794 | 38.1 ± 57.8 | 47.8 ± 87.9 | 44.0 ± 80.4 | 0.378 |
| High-sensitivity CRP second, mg/dL, mean ± SD | 25.7 ± 40.8 | 24.2 ± 40.5 | 81.9 ± 130.3 | 0.587 | 40.8 ± 52.0 | 23.1 ± 48.2 | 43.9 ± 98.7 | 0.076 |
| CT severity index of AP, n (%): | ||||||||
| Mild | 18 (49) | 28 (68) | 33 (87) | 0.006 | 23 (55) | 26 (72) | 30 (77) | 0.160 |
| Moderate | 10 (27) | 9 (22) | 4 (11) | 11 (26) | 8 (22) | 5 (13) | ||
| Severe | 9 (24) | 4 (10) | 1 (3) | 8 (19) | 2 (6) | 4 (10) | ||
| Extrapancreatic complications, n (%) | 30 (68) | 23 (52) | 18 (14) | 0.046 | 29 (63) | 24 (55) | 19 (45) | 0.246 |
| Infection, n (%) | 15 (34) | 6 (14) | 3 (7) | 0.003 | 10 (22) | 10 (23) | 4 (10) | 0.210 |
| Transfer to ICU, n (%) | 5 (11) | 2 (5) | 1 (2) | 0.185 | 5 (11) | 1 (2) | 2 (5) | 0.212 |
| In-hospital mortality, n (%) | 3 (7) | 4 (9) | 0 (0) | 0.209 | 3 (7) | 2 (5) | 2 (5) | 0.900 |
| LOH (days), mean ± SD | 9 ± 10 | 6 ± 7 | 4 ± 3 | 0.010 | 8 ± 9 | 6 ± 4 | 6 ± 8 | 0.044 |
Disclaimer/Publisher’s Note: The statements, opinions and data contained in all publications are solely those of the individual author(s) and contributor(s) and not of MDPI and/or the editor(s). MDPI and/or the editor(s) disclaim responsibility for any injury to people or property resulting from any ideas, methods, instructions or products referred to in the content. |
© 2024 by the authors. Licensee MDPI, Basel, Switzerland. This article is an open access article distributed under the terms and conditions of the Creative Commons Attribution (CC BY) license (https://creativecommons.org/licenses/by/4.0/).
Share and Cite
Kirzhner, A.; Rossels, A.; Sapojnik, D.; Zaharoni, H.; Cohen, R.; Lin, G.; Schiller, T. Psoas Muscle Index and Density as Prognostic Predictors in Patients Hospitalized with Acute Pancreatitis. J. Clin. Med. 2024, 13, 6314. https://doi.org/10.3390/jcm13216314
Kirzhner A, Rossels A, Sapojnik D, Zaharoni H, Cohen R, Lin G, Schiller T. Psoas Muscle Index and Density as Prognostic Predictors in Patients Hospitalized with Acute Pancreatitis. Journal of Clinical Medicine. 2024; 13(21):6314. https://doi.org/10.3390/jcm13216314
Chicago/Turabian StyleKirzhner, Alena, Anton Rossels, Danielle Sapojnik, Hilla Zaharoni, Ramon Cohen, Guy Lin, and Tal Schiller. 2024. "Psoas Muscle Index and Density as Prognostic Predictors in Patients Hospitalized with Acute Pancreatitis" Journal of Clinical Medicine 13, no. 21: 6314. https://doi.org/10.3390/jcm13216314
APA StyleKirzhner, A., Rossels, A., Sapojnik, D., Zaharoni, H., Cohen, R., Lin, G., & Schiller, T. (2024). Psoas Muscle Index and Density as Prognostic Predictors in Patients Hospitalized with Acute Pancreatitis. Journal of Clinical Medicine, 13(21), 6314. https://doi.org/10.3390/jcm13216314

