Beyond the Gender Binarism: Neural Correlates of Trans Men in a Functional Connectivity–Resting-State fMRI Pilot Study
Abstract
1. Introduction
2. Materials and Methods
2.1. Study Procedure and Participants
2.2. Measures
2.2.1. Screening Measures
2.2.2. Neuropsychological Assessment
2.2.3. MRI Acquisition
2.3. Resting-State fMRI Data
2.4. Statistical Analyses
3. Results
3.1. Sociodemographic Variables
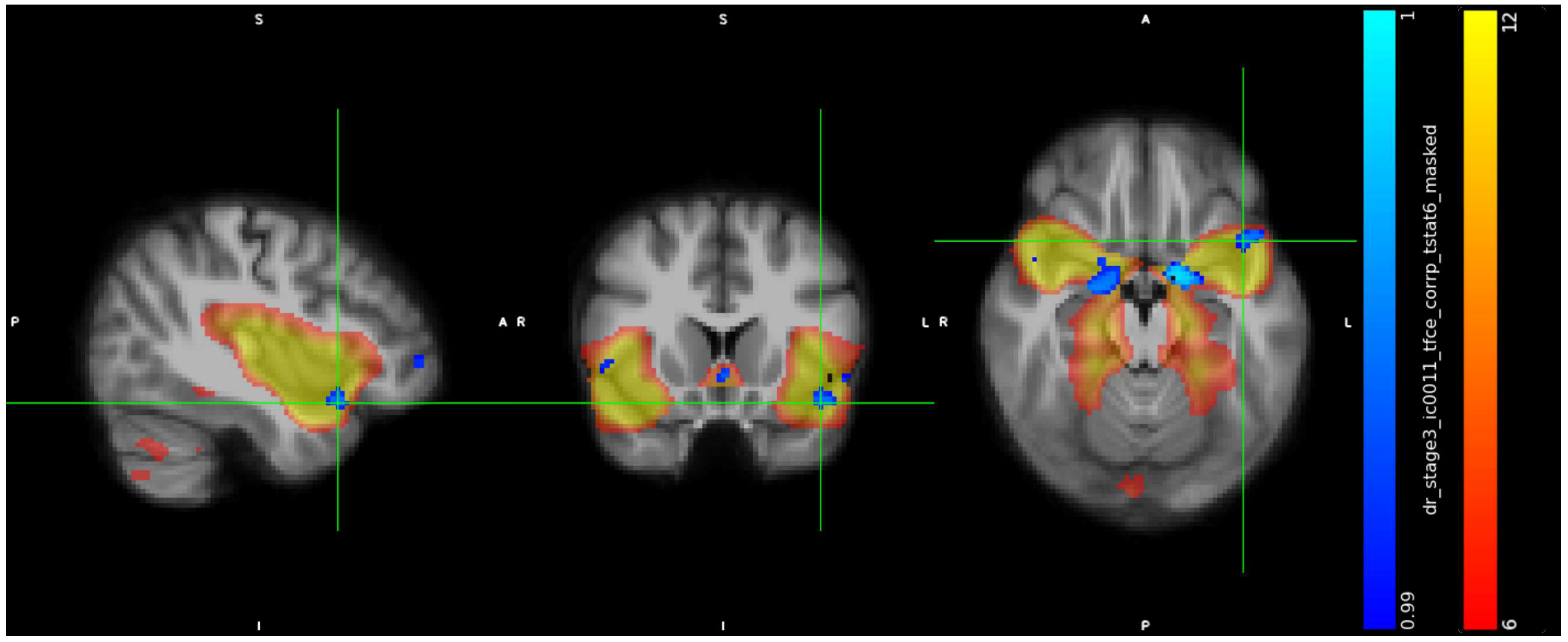
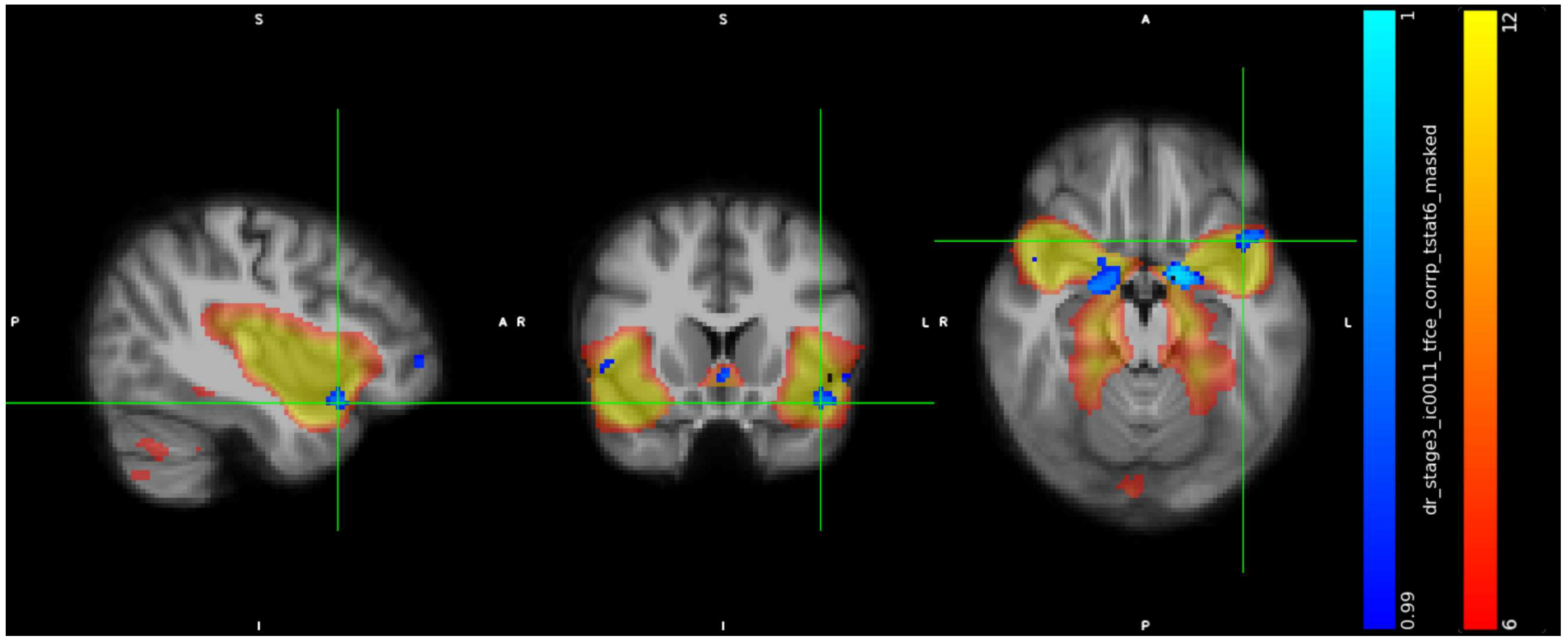
3.2. IC Analysis and Dual Regression
3.3. Neuropsychological Data
3.4. ICA, Neuropsychological Data, and Hormones
4. Discussion
5. Conclusions
Author Contributions
Funding
Institutional Review Board Statement
Informed Consent Statement
Data Availability Statement
Conflicts of Interest
References
- American Psychological Association. Guidelines for Psychological Practice with Transgender and Gender Nonconforming People. Am. Psychol. 2015, 70, 832–864. [Google Scholar] [CrossRef] [PubMed]
- American Psychiatric Association (Ed.) Diagnostic and Statistical Manual of Mental Disorders: DSM-5, 5th ed.; American Psychiatric Association: Washington, DC, USA, 2013. [Google Scholar]
- Sadr, M.; Khorashad, B.S.; Talaei, A.; Fazeli, N.; Hönekopp, J. 2D:4D Suggests a Role of Prenatal Testosterone in Gender Dysphoria. Arch. Sex. Behav. 2020, 49, 421–432. [Google Scholar] [CrossRef] [PubMed]
- Siegmann, E.-M.; Müller, T.; Dziadeck, I.; Mühle, C.; Lenz, B.; Kornhuber, J. Digit Ratio (2D:4D) and Transgender Identity: New Original Data and a Meta-Analysis. Sci. Rep. 2020, 10, 19326. [Google Scholar] [CrossRef] [PubMed]
- Schnarrs, P.W.; Stone, A.L.; Salcido, R.; Baldwin, A.; Georgiou, C.; Nemeroff, C.B. Differences in Adverse Childhood Experiences (ACEs) and Quality of Physical and Mental Health between Transgender and Cisgender Sexual Minorities. J. Psychiatr. Res. 2019, 119, 1–6. [Google Scholar] [CrossRef]
- Spizzirri, G.; Duran, F.L.S.; Chaim-Avancini, T.M.; Serpa, M.H.; Cavallet, M.; Pereira, C.M.A.; Santos, P.P.; Squarzoni, P.; da Costa, N.A.; Busatto, G.F.; et al. Grey and White Matter Volumes Either in Treatment-Naïve or Hormone-Treated Transgender Women: A Voxel-Based Morphometry Study. Sci. Rep. 2018, 8, 736. [Google Scholar] [CrossRef]
- Luders, E.; Sánchez, F.J.; Gaser, C.; Toga, A.W.; Narr, K.L.; Hamilton, L.S.; Vilain, E. Regional Gray Matter Variation in Male-to-Female Transsexualism. NeuroImage 2009, 46, 904–907. [Google Scholar] [CrossRef]
- Zubiaurre-Elorza, L.; Junque, C.; Gomez-Gil, E.; Segovia, S.; Carrillo, B.; Rametti, G.; Guillamon, A. Cortical Thickness in Untreated Transsexuals. Cereb. Cortex 2013, 23, 2855–2862. [Google Scholar] [CrossRef]
- Skorska, M.N.; Chavez, S.; Devenyi, G.A.; Patel, R.; Thurston, L.T.; Lai, M.-C.; Zucker, K.J.; Chakravarty, M.M.; Lobaugh, N.J.; VanderLaan, D.P. A Multi-Modal MRI Analysis of Cortical Structure in Relation to Gender Dysphoria, Sexual Orientation, and Age in Adolescents. J. Clin. Med. 2021, 10, 345. [Google Scholar] [CrossRef]
- Simon, L.; Kozák, L.R.; Simon, V.; Czobor, P.; Unoka, Z.; Szabó, Á.; Csukly, G. Regional Grey Matter Structure Differences between Transsexuals and Healthy Controls—A Voxel Based Morphometry Study. PLoS ONE 2014, 8, e83947. [Google Scholar] [CrossRef]
- Gizewski, E.R.; Krause, E.; Schlamann, M.; Happich, F.; Ladd, M.E.; Forsting, M.; Senf, W. Specific Cerebral Activation Due to Visual Erotic Stimuli in Male-to-Female Transsexuals Compared with Male and Female Controls: An fMRI Study. J. Sex. Med. 2009, 6, 440–448. [Google Scholar] [CrossRef]
- Burke, S.M.; Kreukels, B.P.C.; Cohen-Kettenis, P.T.; Veltman, D.J.; Klink, D.T.; Bakker, J. Male-Typical Visuospatial Functioning in Gynephilic Girls with Gender Dysphoria—Organizational and Activational Effects of Testosterone. J. Psychiatry Neurosci. 2016, 41, 395–404. [Google Scholar] [CrossRef]
- Karalexi, M.A.; Georgakis, M.K.; Dimitriou, N.G.; Vichos, T.; Katsimpris, A.; Petridou, E.T.; Papadopoulos, F.C. Gender-Affirming Hormone Treatment and Cognitive Function in Transgender Young Adults: A Systematic Review and Meta-Analysis. Psychoneuroendocrinology 2020, 119, 104721. [Google Scholar] [CrossRef] [PubMed]
- Giannouli, V.; Milienos, F.S. Do Sex and Handedness Influence General Cognition and Financial Capacity in Patients with aMCI and Healthy Older Adults? Emphasis on Women’s Performance. Porto Biomed. J. 2024, 9, 258. [Google Scholar] [CrossRef] [PubMed]
- Kheloui, S.; Jacmin-Park, S.; Larocque, O.; Kerr, P.; Rossi, M.; Cartier, L.; Juster, R.-P. Sex/Gender Differences in Cognitive Abilities. Neurosci. Biobehav. Rev. 2023, 152, 105333. [Google Scholar] [CrossRef] [PubMed]
- Schneider, M.A.; Spritzer, P.M.; Suh, J.S.; Minuzzi, L.; Frey, B.N.; Schwarz, K.; Costa, A.B.; da Silva, D.C.; Garcia, C.C.G.; Fontanari, A.M.V.; et al. The Link between Estradiol and Neuroplasticity in Transgender Women after Gender-Affirming Surgery: A Bimodal Hypothesis. Neuroendocrinology 2019, 110, 489–500. [Google Scholar] [CrossRef]
- Gómez-Gil, E.; Cañizares, S.; Torres, A.; de la Torre, F.; Halperin, I.; Salamero, M. Androgen Treatment Effects on Memory in Female-to-Male Transsexuals. Psychoneuroendocrinology 2009, 34, 110–117. [Google Scholar] [CrossRef]
- Van Heesewijk, J.O.; Dreijerink, K.M.A.; Wiepjes, C.M.; Kok, A.A.L.; Geurtsen, G.J.; Van Schoor, N.M.; Huisman, M.; Den Heijer, M.; Kreukels, B.P.C. Cognitive Functioning in Older Transgender Individuals Receiving Long-Term Gender-Affirming Hormone Therapy. Int. J. Transgender Health 2023, 1–17. [Google Scholar] [CrossRef]
- Miles, C.; Green, R.; Hines, M. Estrogen Treatment Effects on Cognition, Memory and Mood in Male-to-Female Transsexuals. Horm. Behav. 2006, 50, 708–717. [Google Scholar] [CrossRef]
- Haraldsen, I.R.; Egeland, T.; Haug, E.; Finset, A.; Opjordsmoen, S. Cross-Sex Hormone Treatment Does Not Change Sex-Sensitive Cognitive Performance in Gender Identity Disorder Patients. Psychiatry Res. 2005, 137, 161–174. [Google Scholar] [CrossRef]
- Manzouri, A.; Savic, I. Possible Neurobiological Underpinnings of Homosexuality and Gender Dysphoria. Cereb. Cortex 2018, 29, 2084–2101. [Google Scholar] [CrossRef]
- Lin, C.-S.; Ku, H.-L.; Chao, H.-T.; Tu, P.-C.; Li, C.-T.; Cheng, C.-M.; Su, T.-P.; Lee, Y.-C.; Hsieh, J.-C. Neural Network of Body Representation Differs between Transsexuals and Cissexuals. PLoS ONE 2014, 9, e85914. [Google Scholar] [CrossRef] [PubMed]
- Khorashad, B.; Manzouri, A.; Feusner, J.; Savic, I. Cross-Sex Hormone Treatment and Own-Body Perception: Behavioral and Brain Connectivity Profiles. Sci. Rep. 2021, 11, 2799. [Google Scholar] [CrossRef] [PubMed]
- Feusner, J.D.; Lidström, A.; Moody, T.D.; Dhejne, C.; Bookheimer, S.Y.; Savic, I. Intrinsic Network Connectivity and Own Body Perception in Gender Dysphoria. Brain Imaging Behav. 2017, 11, 964–976. [Google Scholar] [CrossRef] [PubMed]
- Kilpatrick, L.A.; Holmberg, M.; Manzouri, A.; Savic, I. Cross Sex Hormone Treatment Is Linked with a Reversal of Cerebral Patterns Associated with Gender Dysphoria to the Baseline of Cisgender Controls. Eur. J. Neurosci. 2019, 50, 3269–3281. [Google Scholar] [CrossRef]
- Manzouri, A.; Kosidou, K.; Savic, I. Anatomical and Functional Findings in Female-to-Male Transsexuals: Testing a New Hypothesis. Cereb. Cortex 2015, 27, 998–1010. [Google Scholar] [CrossRef]
- Clemens, B.; Junger, J.; Pauly, K.; Neulen, J.; Neuschaefer-Rube, C.; Frölich, D.; Mingoia, G.; Derntl, B.; Habel, U. Male-to-Female Gender Dysphoria: Gender-Specific Differences in Resting-State Networks. Brain Behav. 2017, 7, e00691. [Google Scholar] [CrossRef]
- Santarnecchi, E.; Vatti, G.; Déttore, D.; Rossi, A. Intrinsic Cerebral Connectivity Analysis in an Untreated Female-to-Male Transsexual Subject: A First Attempt Using Resting-State fMRI. Neuroendocrinology 2012, 96, 188–193. [Google Scholar] [CrossRef]
- Rametti, G.; Carrillo, B.; Gómez-Gil, E.; Junque, C.; Zubiaurre-Elorza, L.; Segovia, S.; Gomez, Á.; Karadi, K.; Guillamon, A. Effects of Androgenization on the White Matter Microstructure of Female-to-Male Transsexuals. A Diffusion Tensor Imaging Study. Psychoneuroendocrinology 2012, 37, 1261–1269. [Google Scholar] [CrossRef]
- Kranz, G.S.; Hahn, A.; Kaufmann, U.; Tik, M.; Ganger, S.; Seiger, R.; Hummer, A.; Windischberger, C.; Kasper, S.; Lanzenberger, R. Effects of Testosterone Treatment on Hypothalamic Neuroplasticity in Female-to-Male Transgender Individuals. Brain Struct. Funct. 2018, 223, 321–328. [Google Scholar] [CrossRef]
- Burke, S.M.; Manzouri, A.H.; Dhejne, C.; Bergström, K.; Arver, S.; Feusner, J.D.; Savic-Berglund, I. Testosterone Effects on the Brain in Transgender Men. Cereb. Cortex 2018, 28, 1582–1596. [Google Scholar] [CrossRef]
- Sommer, I.E.C.; Cohen-Kettenis, P.T.; van Raalten, T.; vd Veer, A.J.; Ramsey, L.E.; Gooren, L.J.G.; Kahn, R.S.; Ramsey, N.F. Effects of Cross-Sex Hormones on Cerebral Activation during Language and Mental Rotation: An fMRI Study in Transsexuals. Eur. Neuropsychopharmacol. 2008, 18, 215–221. [Google Scholar] [CrossRef] [PubMed]
- Ye, Z.; Kopyciok, R.; Mohammadi, B.; Krämer, U.M.; Brunnlieb, C.; Heldmann, M.; Samii, A.; Münte, T.F. Androgens Modulate Brain Networks of Empathy in Female-to-Male Transsexuals: An fMRI Study. Z. Für Neuropsychol. 2011, 22, 263–277. [Google Scholar] [CrossRef]
- Oldfield, R.C. Edinburgh Handedness Inventory. J. Abnorm. Psychol. 1971. [Google Scholar] [CrossRef]
- Salmaso, D.; Longoni, A.M. Hand Preference in an Italian Sample. Percept. Mot. Ski. 1983, 57 (Suppl. S3), 1039–1042. [Google Scholar] [CrossRef]
- Velthorst, E.; Levine, S.Z.; Henquet, C.; De Haan, L.; Van Os, J.; Myin-Germeys, I.; Reichenberg, A. To Cut a Short Test Even Shorter: Reliability and Validity of a Brief Assessment of Intellectual Ability in Schizophrenia—A Control-Case Family Study. Cogn. Neuropsychiatry 2013, 18, 574–593. [Google Scholar] [CrossRef]
- Wechsler, D.A. Wechsler Adult Intelligence Scale-Revised: Manual; Psychological Corporation: New York, NY, USA, 1981. [Google Scholar]
- Cuéllar-Flores, I.; Martín-Bejarano, M.; García-Ron, A.; Villanueva, S.; Arias-Vivas, E.; López-de Lara, D. Androgen Treatment Effects on Neurocognition in Female-to-Male Transgender Adolescents. Rev. Neurol. 2024, 78, 83–89. [Google Scholar] [CrossRef]
- Monaco, M.; Costa, A.; Caltagirone, C.; Carlesimo, G.A. Forward and Backward Span for Verbal and Visuo-Spatial Data: Standardization and Normative Data from an Italian Adult Population. Neurol. Sci. 2013, 34, 749–754. [Google Scholar] [CrossRef]
- Giovagnoli, A.R.; Del Pesce, M.; Mascheroni, S.; Simoncelli, M.; Laiacona, M.; Capitani, E. Trail Making Test: Normative Values from 287 Normal Adult Controls. Ital. J. Neuro Sci. 1996, 17, 305–309. [Google Scholar] [CrossRef]
- Caffarra, P.; Vezzadini, G.; Dieci, F.; Zonato, F.; Venneri, A. A Short Version of the Stroop Test: Normative Data in an Italian Population Sample. Nuova Riv. Di Neurol. 2002, 12, 111–115. [Google Scholar]
- Sala, S.D.; Laiacona, M.; Trivelli, C.; Spinnler, H. Poppelreuter-Ghent’s Overlapping Figures Test: Its Sensitivity to Age, and Its Clinical Use. Arch. Clin. Neuropsychol. 1995, 10, 511–534. [Google Scholar] [CrossRef]
- Zappalà, G.; Measso, G.; Cavarzeran, F.; Grigoletto, F.; Lebowitz, B.; Pirozzolo, F.; Amaducci, L.; Massari, D.; Crook, T. Aging and Memory: Corrections for Age, Sex and Education for Three Widely Used Memory Tests. Ital. J. Neuro Sci. 1995, 16, 177–184. [Google Scholar] [CrossRef] [PubMed]
- Piccoli, T.; Valente, G.; Linden, D.E.J.; Re, M.; Esposito, F.; Sack, A.T.; Salle, F.D. The Default Mode Network and the Working Memory Network Are Not Anti-Correlated during All Phases of a Working Memory Task. PLoS ONE 2015, 10, e0123354. [Google Scholar] [CrossRef] [PubMed]
- Piccoli, T.; Maniaci, G.; Collura, G.; Gagliardo, C.; Brancato, A.; Tona, G.L.; Gangitano, M.; Cascia, C.L.; Picone, F.; Marrale, M.; et al. Increased Functional Connectivity in Gambling Disorder Correlates with Behavioural and Emotional Dysregulation: Evidence of a Role for the Cerebellum. Behav. Brain Res. 2020, 390, 112668. [Google Scholar] [CrossRef] [PubMed]
- Esposito, F.; Scarabino, T.; Hyvarinen, A.; Himberg, J.; Formisano, E.; Comani, S.; Tedeschi, G.; Goebel, R.; Seifritz, E.; Di Salle, F. Independent Component Analysis of fMRI Group Studies by Self-Organizing Clustering. NeuroImage 2005, 25, 193–205. [Google Scholar] [CrossRef]
- Tragantzopoulou, P.; Giannouli, V. A Review of The Literature On Hiv And Neuropsychological Functioning in Older Adults: Is More Research Needed? Probl. Psychol. 21st Century 2023, 17, 47–56. [Google Scholar] [CrossRef]
- Joel, D.; Berman, Z.; Tavor, I.; Wexler, N.; Gaber, O.; Stein, Y.; Shefi, N.; Pool, J.; Urchs, S.; Margulies, D.S.; et al. Sex beyond the Genitalia: The Human Brain Mosaic. Proc. Natl. Acad. Sci. USA 2015, 112, 15468–15473. [Google Scholar] [CrossRef]
- Smith, E.S.; Junger, J.; Derntl, B.; Habel, U. The Transsexual Brain—A Review of Findings on the Neural Basis of Transsexualism. Neurosci. Biobehav. Rev. 2015, 59, 251–266. [Google Scholar] [CrossRef]
- Kreukels, B.P.C.; Guillamon, A. Neuroimaging Studies in People with Gender Incongruence. Int. Rev. Psychiatry 2016, 28, 120–128. [Google Scholar] [CrossRef]
- Savic, I.; Arver, S. Sex Dimorphism of the Brain in Male-to-Female Transsexuals. Cereb. Cortex 2011, 21, 2525–2533. [Google Scholar] [CrossRef]
- Mueller, S.C.; Guillamon, A.; Zubiaurre-Elorza, L.; Junque, C.; Gomez-Gil, E.; Uribe, C.; Khorashad, B.S.; Khazai, B.; Talaei, A.; Habel, U.; et al. The Neuroanatomy of Transgender Identity: Mega-Analytic Findings from the ENIGMA Transgender Persons Working Group. J. Sex. Med. 2021, 18, 1122–1129. [Google Scholar] [CrossRef]
- Fisher, A.D.; Ristori, J.; Castellini, G.; Cocchetti, C.; Cassioli, E.; Orsolini, S.; Sensi, C.; Romani, A.; Mazzoli, F.; Cipriani, A.; et al. Neural Correlates of Gender Face Perception in Transgender People. J. Clin. Med. 2020, 9, 1731. [Google Scholar] [CrossRef] [PubMed]
- Ritchie, S.J.; Cox, S.R.; Shen, X.; Lombardo, M.V.; Reus, L.M.; Alloza, C.; Harris, M.A.; Alderson, H.L.; Hunter, S.; Neilson, E.; et al. Sex Differences in the Adult Human Brain: Evidence from 5216 UK Biobank Participants. Cereb. Cortex 2018, 28, 2959–2975. [Google Scholar] [CrossRef] [PubMed]
- Gavazzi, G.; Fisher, A.D.; Orsolini, S.; Bianchi, A.; Romani, A.; Giganti, F.; Giovannelli, F.; Ristori, J.; Mazzoli, F.; Maggi, M.; et al. The fMRI Correlates of Visuo-Spatial Abilities: Sex Differences and Gender Dysphoria. Brain Imaging Behav. 2022, 16, 955–964. [Google Scholar] [CrossRef] [PubMed]
- Morales, S.; Bowman, L.C.; Velnoskey, K.R.; Fox, N.A.; Redcay, E. An fMRI Study of Action Observation and Action Execution in Childhood. Dev. Cogn. Neurosci. 2019, 37, 100655. [Google Scholar] [CrossRef]
- Beck, A.; Franz, C.E.; Xian, H.; Vuoksimaa, E.; Tu, X.; Reynolds, C.A.; Panizzon, M.S.; McKenzie, R.M.; Lyons, M.J.; Toomey, R.; et al. Mediators of the Effect of Childhood Socioeconomic Status on Late Midlife Cognitive Abilities: A Four Decade Longitudinal Study. Innov. Aging 2018, 2, igy003. [Google Scholar] [CrossRef]
- Voelcker-Rehage, C.; Niemann, C. Structural and Functional Brain Changes Related to Different Types of Physical Activity across the Life Span. Neurosci. Biobehav. Rev. 2013, 37 Pt B, 2268–2295. [Google Scholar] [CrossRef]
- Hugdahl, K.; Thomsen, T.; Ersland, L. Sex Differences in Visuo-Spatial Processing: An fMRI Study of Mental Rotation. Neuropsychologia 2006, 44, 1575–1583. [Google Scholar] [CrossRef]
- Popa, I.; Barborica, A.; Scholly, J.; Donos, C.; Bartolomei, F.; Lagarde, S.; Hirsch, E.; Valenti-Hirsch, M.-P.; Maliia, M.D.; Arbune, A.A.; et al. Illusory Own Body Perceptions Mapped in the Cingulate Cortex—An Intracranial Stimulation Study. Hum. Brain Mapp. 2019, 40, 2813–2826. [Google Scholar] [CrossRef]
- Mayberg, H.S.; Lozano, A.M.; Voon, V.; McNeely, H.E.; Seminowicz, D.; Hamani, C.; Schwalb, J.M.; Kennedy, S.H. Deep Brain Stimulation for Treatment-Resistant Depression. Neuron 2005, 45, 651–660. [Google Scholar] [CrossRef]
- Schneider, M.A.; Spritzer, P.M.; Minuzzi, L.; Frey, B.N.; Syan, S.K.; Fighera, T.M.; Schwarz, K.; Costa, Â.B.; da Silva, D.C.; Garcia, C.C.G.; et al. Effects of Estradiol Therapy on Resting-State Functional Connectivity of Transgender Women After Gender-Affirming Related Gonadectomy. Front. Neurosci. 2019, 13, 817. [Google Scholar] [CrossRef]
- Majid, D.S.A.; Burke, S.M.; Manzouri, A.; Moody, T.D.; Dhejne, C.; Feusner, J.D.; Savic, I. Neural Systems for Own-Body Processing Align with Gender Identity Rather Than Birth-Assigned Sex. Cereb. Cortex 2019, 30, 2897–2909. [Google Scholar] [CrossRef] [PubMed]
- Gong, G.; He, Y.; Evans, A.C. Brain Connectivity: Gender Makes a Difference. The Neuroscientist 2011, 17, 575–591. [Google Scholar] [CrossRef]
- O’Dea, R.E.; Lagisz, M.; Jennions, M.D.; Nakagawa, S. Gender Differences in Individual Variation in Academic Grades Fail to Fit Expected Patterns for STEM. Nat. Commun. 2018, 9, 3777. [Google Scholar] [CrossRef] [PubMed]
- Palmiero, M.; Nori, R.; Rogolino, C.; D’amico, S.; Piccardi, L. Sex Differences in Visuospatial and Navigational Working Memory: The Role of Mood Induced by Background Music. Exp. Brain Res. 2016, 234, 2381–2389. [Google Scholar] [CrossRef] [PubMed]
- Nguyen, T.-V. Developmental Effects of Androgens in the Human Brain. J. Neuroendocrinol. 2018, 30, e12486. [Google Scholar] [CrossRef]
- Rametti, G.; Carrillo, B.; Gómez-Gil, E.; Junque, C.; Segovia, S.; Gomez, Á.; Guillamon, A. White Matter Microstructure in Female to Male Transsexuals before Cross-Sex Hormonal Treatment. A Diffusion Tensor Imaging Study. J. Psychiatr. Res. 2011, 45, 199–204. [Google Scholar] [CrossRef]
- Reed, M.B.; Handschuh, P.A.; Klöbl, M.; Konadu, M.E.; Kaufmann, U.; Hahn, A.; Kranz, G.S.; Spies, M.; Lanzenberger, R. The Influence of Sex Steroid Treatment on Insular Connectivity in Gender Dysphoria. Psychoneuroendocrinology 2023, 155, 106336. [Google Scholar] [CrossRef]
- van de Grift, T.C.; Elaut, E.; Cerwenka, S.C.; Cohen-Kettenis, P.T.; De Cuypere, G.; Richter-Appelt, H.; Kreukels, B.P.C. Effects of Medical Interventions on Gender Dysphoria and Body Image: A Follow-Up Study. Psychosom. Med. 2017, 79, 815–823. [Google Scholar] [CrossRef]





| Factor | Trans Men (N = 18) M (SD) | Cis Men (N = 11) M (SD) | Cis Women (N = 12) M (SD) | ANOVA | p Value |
|---|---|---|---|---|---|
| Age | 26.22 (10.28) | 23.54 (2.97) | 23.91 (2.46) | 0.613 | 0.547 |
| IQ | 91.50 (17.41) | 91.90 (8.40) | 99.54 (9.34) | 1.388 | 0.263 |
| Testosterone | 5.95 (5.18) | 6.27 (2.48) | 0.36 (0.09) | 10.325 | 0.000 |
| Estradiol | 80.11 (74.76) | 29.11 (9.01) | 95.35 (73.25) | 3.448 | 0.042 |
| Progesterone | 1.59 (2.53) | 0.39 (0.14) | 4.57 (7.19) | 3.028 | 0.061 |
| Trans Men (N = 16) Frequency (%) | Cis Men (N = 11) Frequency (%) | Cis Women (N = 12) Frequency (%) | χ2 of Pearson | pValue | |
| Marital Status | |||||
| Single | 7 (46.7%) | 5 (45.5%) | 2 (16.7%) | ||
| In a stable relationship | 6 (40%) | 6 (54.5%) | 10 (83.3%) | 7.199 | 0.303 |
| Married | 1 (6.7%) | - | - | ||
| Separated | 1 (6.7%) | - | - | ||
| Sexual orientation | |||||
| Homosexual | - | 1 (9.1%) | - | ||
| Heterosexual | 13 (81.2%) | 10 (90.9%) | 12 (100%) | 7.129 | 0.129 |
| Bisexual | 3 (18.8%) | - | - | ||
| Level of education | |||||
| Middle school diploma | 6 (37.5%) | - | 1 (8.3%) | ||
| High school diploma | 10 (62.5%) | 11 (100%) | 9 (75%) | 11.700 | 0.069 |
| Bachelor’s degree | - | - | 1 (8.3%) | ||
| Master’s degree | - | - | 1 (8.3%) | ||
| Employment status | |||||
| Student | 7 (46.7%) | 9 (81.8%) | 12 (100%) | ||
| Unemployed | 4 (26.7%) | - | - | 11.904 | 0.018 |
| Employed | 4 (26.7%) | 2 (18.2%) | - | ||
| Handedness | |||||
| Left-handed | 1 (6.2%) | 1 (9.1%) | 1 (8.3%) | 0.084 | 0.959 |
| Right-handed | 15 (96.8%) | 10 (90.9%) | 11 (91.7%) |
| Factor | Trans Men (N = 17) M (SD) | Cis Men (N = 11) M (SD) | Cis Women (N = 12) M (SD) | df | ANOVA (p Value) | Partial η² | Post hoc Bonferroni |
|---|---|---|---|---|---|---|---|
| PGT_MF | 35.91 (0.28) | 36.00 (0.00) | 35.9 (0.31) | 2, 30 | F = 0.513 (0.604) | 0.033 | - |
| PGT_ML | 33.75 (1.76) | 34.81(0.40) | 34.6 (0.96) | 2, 30 | F = 2.489 (0.100) | 0.142 | - |
| PGT_TOT | 69.66 (1.82) | 70.81 (0.40) | 70.5 (0.84) | 2, 30 | F = 2.734 (0.08) | 0.154 | - |
| PGT_CFA | 0.75 (0.62) | 0.54 (0.52) | 0.50 (0.97) | 2, 30 | F = 0.389 (0.681) | 0.025 | - |
| Trail Making Test (A) | 50.00 (14.75) | 37.18 (11.0) | 39.8 (13.89) | 2, 30 | F = 2.971 (0.066) | 0.165 | - |
| Trail Making Test (B) | 91.33 (38.77) | 73.45 (27.28) | 73.2 (22.62) | 2, 30 | F = 1.298 (0.288) | 0.080 | - |
| Trail Making Test (B-A) | 41.33 (33.39) | 36.27 (23.12) | 33.4 (20.95) | 2, 30 | F = 0.250 (0.781) | 0.016 | - |
| Verbal Fluency Test | 37.91 (8.03) | 38.90 (10.16) | 45.8 (11.75) | 2, 30 | F = 1.949 (0.160) | 0.115 | - |
| Stroop Test (IT) | 8.08 (8.20) | 9.25 (7.08) | 9.5 (6.38) | 2, 30 | F = 0.121 (0.886) | 0.008 | - |
| Stroop Test (IE) | 0.33 (0.91) | 0.09 (0.30) | 0.20 (0.42) | 2, 30 | F = 0.436 (0.651) | 0.028 | - |
| Digit Span—Forward | 6.25 (0.75) | 6.63 (1.12) | 5.6 (0.96) | 2, 30 | F = 3.151 (0.057) | 0.174 | - |
| Digit Span—Backward | 4.75 (1.13) | 6.09 (1.22) | 4.40 (0.96) | 2, 30 | F = 6.856 (0.004) | 0.314 | CisM > transM, cisM > cisW |
| Corsi Span—Forward | 5.66 (0.88) | 6.72 (0.90) | 5.5 (0.97) | 2, 30 | F = 5.693 (0.008) | 0.275 | CisM > tansM, cisM > cisW |
| Corsi Span—Backward | 4.66 (0.65) | 5.63 (0.80) | 5.4 (0.84) | 2, 30 | F = 5.028 (0.013) | 0.251 | CisM > transM, cisM > cisW |
| Testosterone | 5.95 (5.18) | 6.27 (2.48) | 0.36 (0.09) | 2, 30 | F = 10.325 (0.000) | - | CisM > cisW, transM > cisW |
| Progesterone | 1.59 (2.53) | 0.39 (0.14) | 4.57 (7.19) | 2, 30 | F = 3.028 (0.061) | - | - |
| Estradiol | 80.11 (74.76) | 29.11 (9.01) | 95.35 (73.25) | 2, 30 | F = 3.448 (0.042) | - | - |
Disclaimer/Publisher’s Note: The statements, opinions and data contained in all publications are solely those of the individual author(s) and contributor(s) and not of MDPI and/or the editor(s). MDPI and/or the editor(s) disclaim responsibility for any injury to people or property resulting from any ideas, methods, instructions or products referred to in the content. |
© 2024 by the authors. Licensee MDPI, Basel, Switzerland. This article is an open access article distributed under the terms and conditions of the Creative Commons Attribution (CC BY) license (https://creativecommons.org/licenses/by/4.0/).
Share and Cite
Maniaci, G.; Collura, G.; La Cascia, C.; Piccoli, T.; Bongiorno, E.; Barresi, I.; Marrale, M.; Gagliardo, C.; Giammanco, A.; Blandino, V.; et al. Beyond the Gender Binarism: Neural Correlates of Trans Men in a Functional Connectivity–Resting-State fMRI Pilot Study. J. Clin. Med. 2024, 13, 5856. https://doi.org/10.3390/jcm13195856
Maniaci G, Collura G, La Cascia C, Piccoli T, Bongiorno E, Barresi I, Marrale M, Gagliardo C, Giammanco A, Blandino V, et al. Beyond the Gender Binarism: Neural Correlates of Trans Men in a Functional Connectivity–Resting-State fMRI Pilot Study. Journal of Clinical Medicine. 2024; 13(19):5856. https://doi.org/10.3390/jcm13195856
Chicago/Turabian StyleManiaci, Giuseppe, Giorgio Collura, Caterina La Cascia, Tommaso Piccoli, Eleonora Bongiorno, Ilaria Barresi, Maurizio Marrale, Cesare Gagliardo, Alessandra Giammanco, Valeria Blandino, and et al. 2024. "Beyond the Gender Binarism: Neural Correlates of Trans Men in a Functional Connectivity–Resting-State fMRI Pilot Study" Journal of Clinical Medicine 13, no. 19: 5856. https://doi.org/10.3390/jcm13195856
APA StyleManiaci, G., Collura, G., La Cascia, C., Piccoli, T., Bongiorno, E., Barresi, I., Marrale, M., Gagliardo, C., Giammanco, A., Blandino, V., Sartorio, C., Radellini, S., Ferraro, L., Toia, F., Zabbia, G., Bivona, G., Midiri, M., Ciaccio, M., La Barbera, D., ... Quattrone, D. (2024). Beyond the Gender Binarism: Neural Correlates of Trans Men in a Functional Connectivity–Resting-State fMRI Pilot Study. Journal of Clinical Medicine, 13(19), 5856. https://doi.org/10.3390/jcm13195856

