Normative Values for Sternoclavicular Joint and Clavicle Anatomy Based on MR Imaging: A Comprehensive Analysis of 1591 Healthy Participants
Abstract
1. Background and Introduction
2. Material and Methods
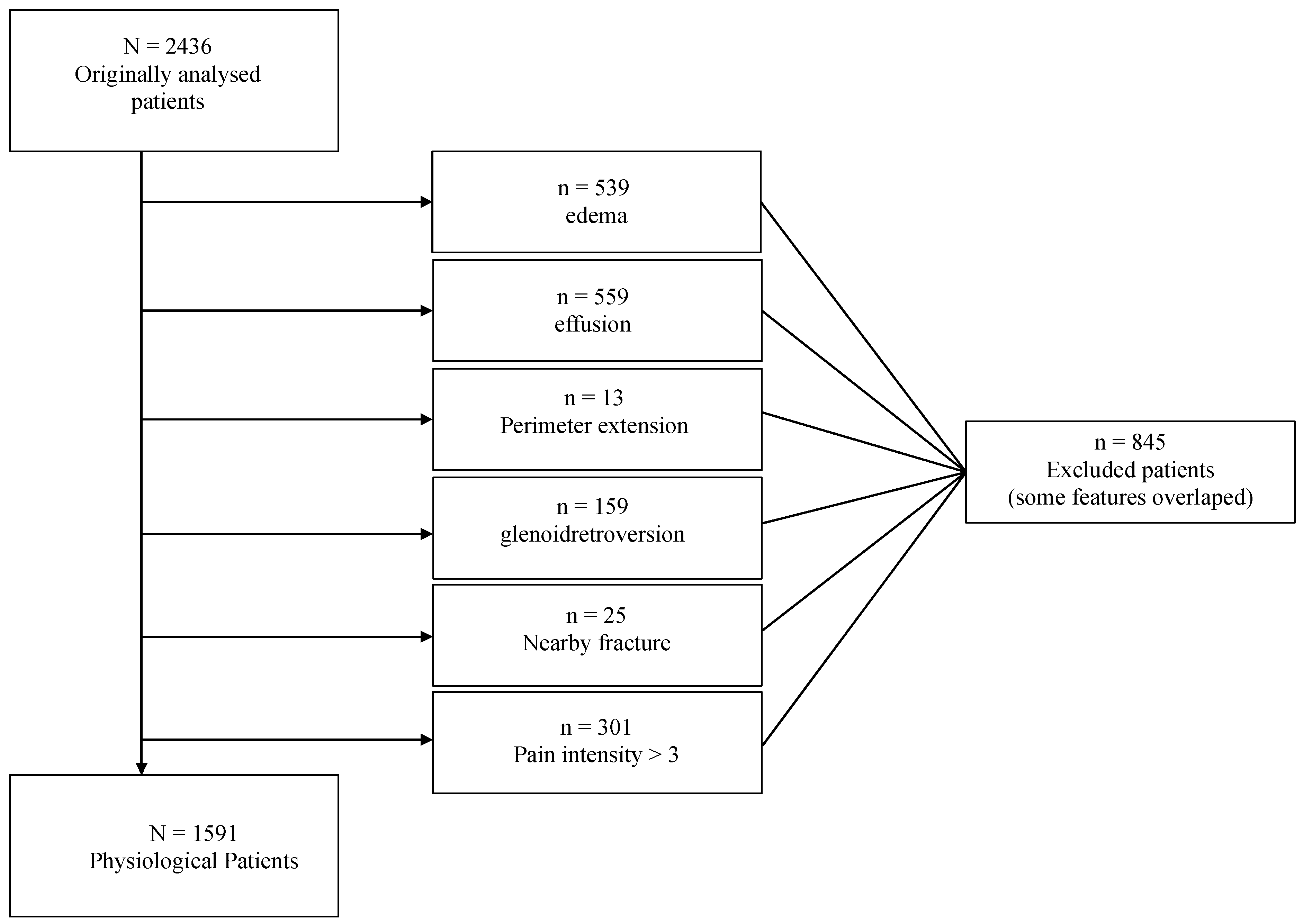
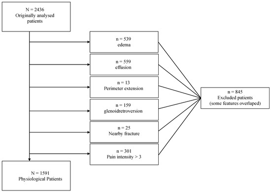
2.1. Design and Sample
2.2. Measurement Parameters
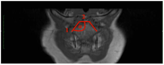
- Sternal angle: The sternal angle alpha was measured by the plug-in after the two tangents were drawn. Tangent 1 aligns at the sternal articular surface of the sternoclavicular joint, and tangent 2 is at the cranial end of the manubrium (Figure 1).
- 2.
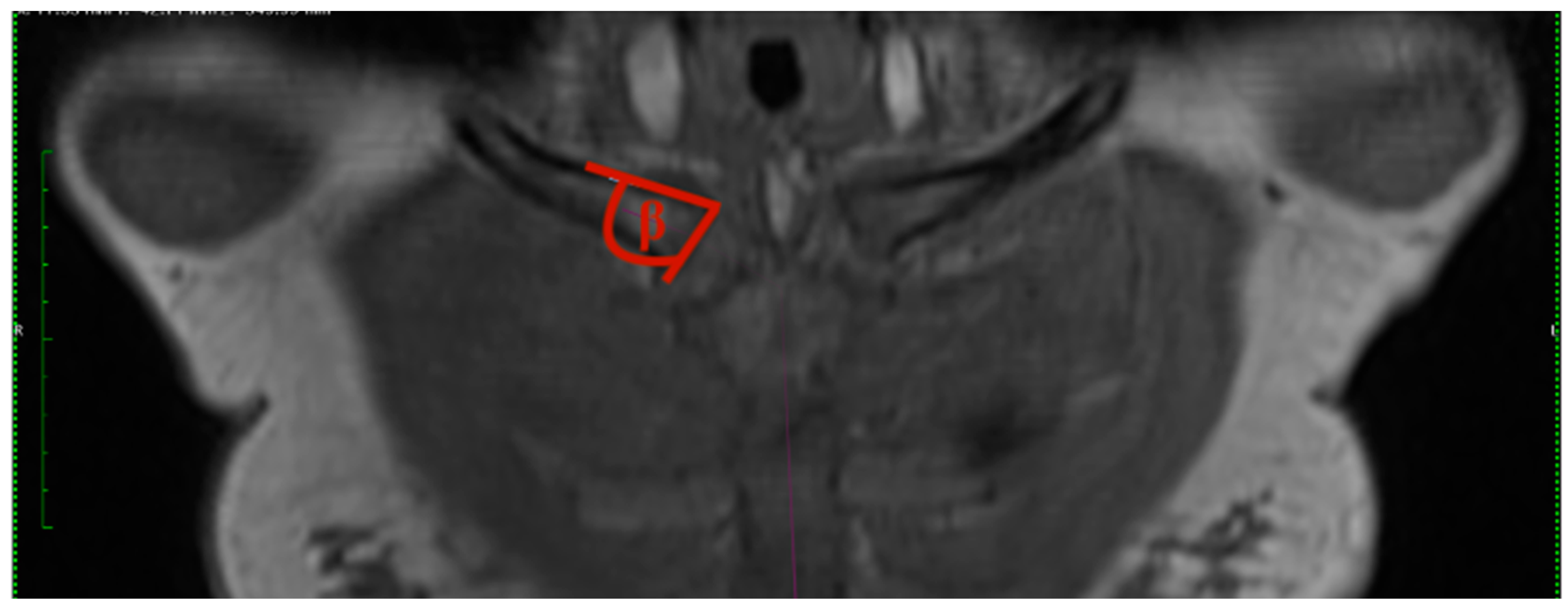
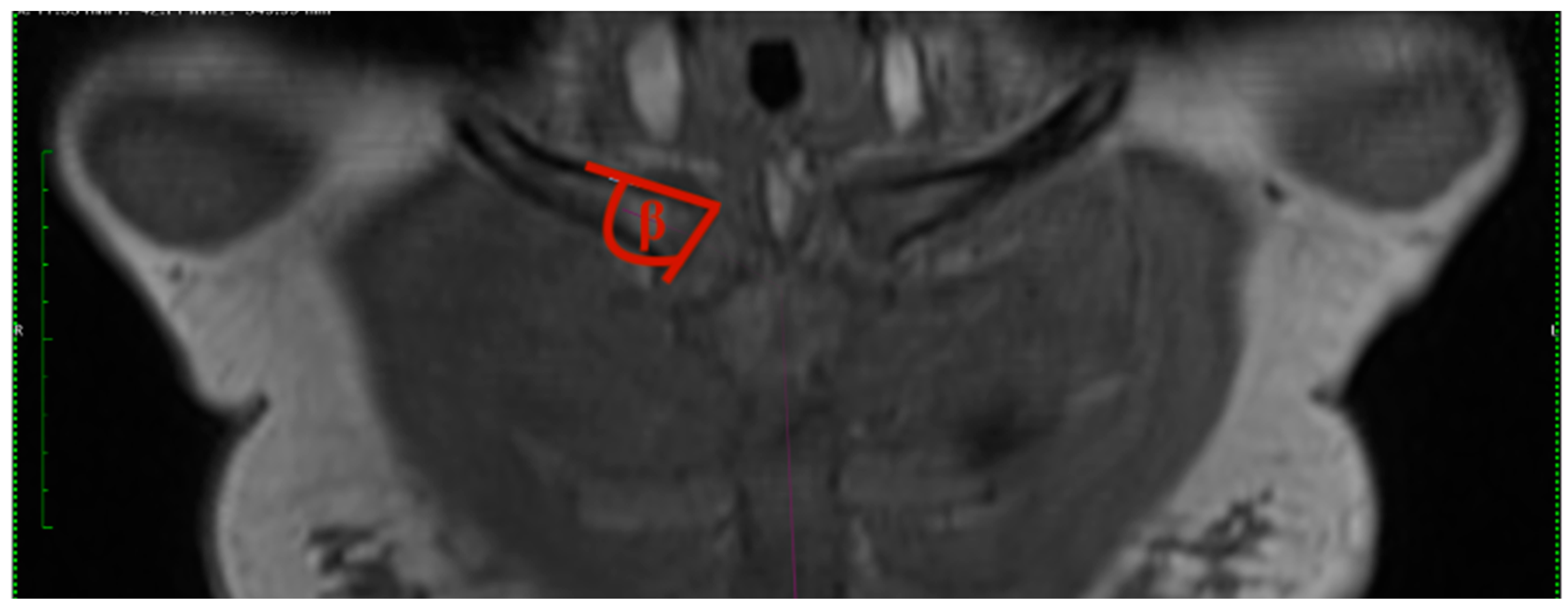
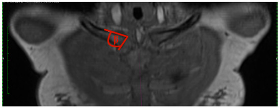
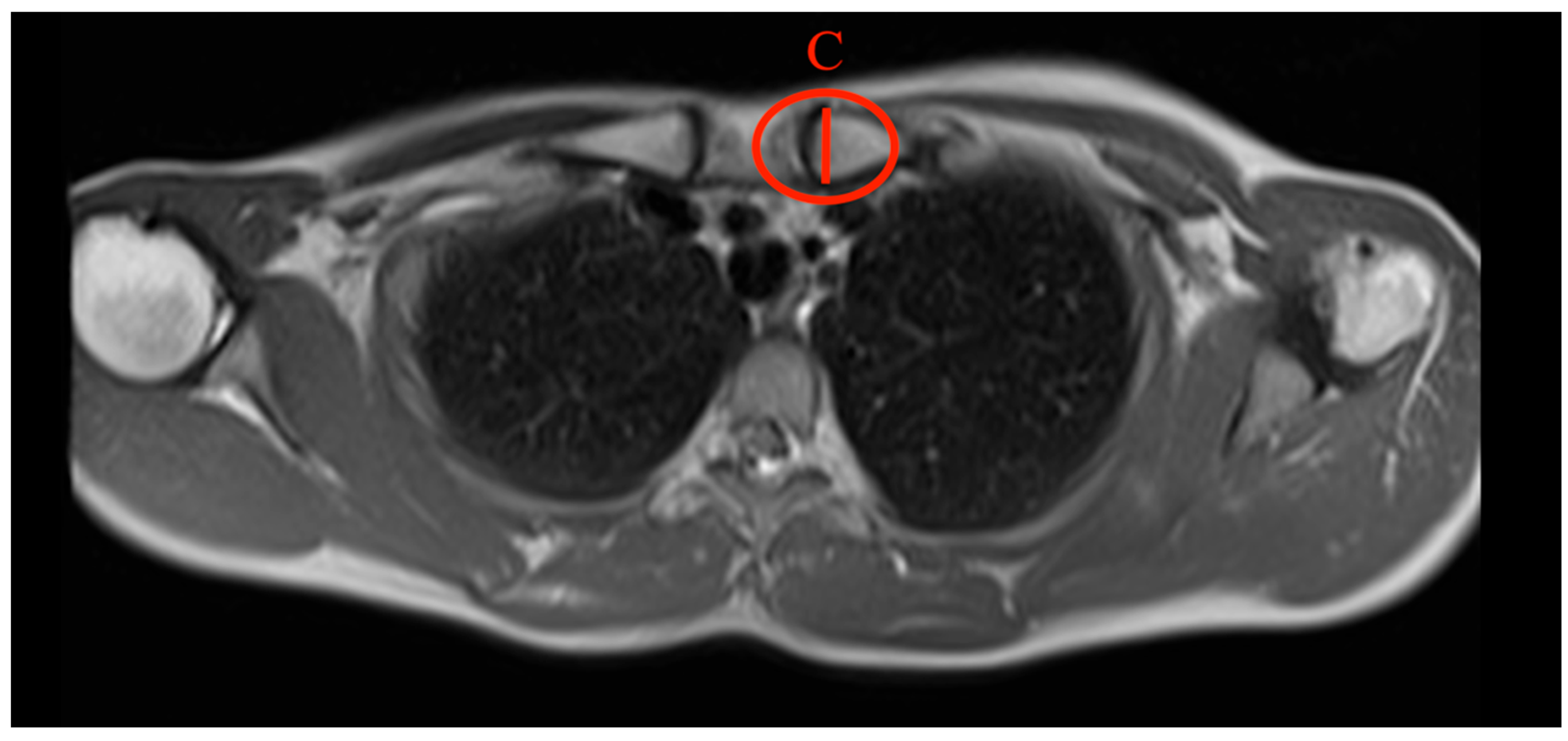
- Clavicular angle: The clavicular angle was measured by the plug-in after two tangents were drawn. One aligns at the articular surface of the clavicular end of the sternoclavicular joint, and the other one at the cranial border of the medial end of the clavicle (Figure 2).
- 3.
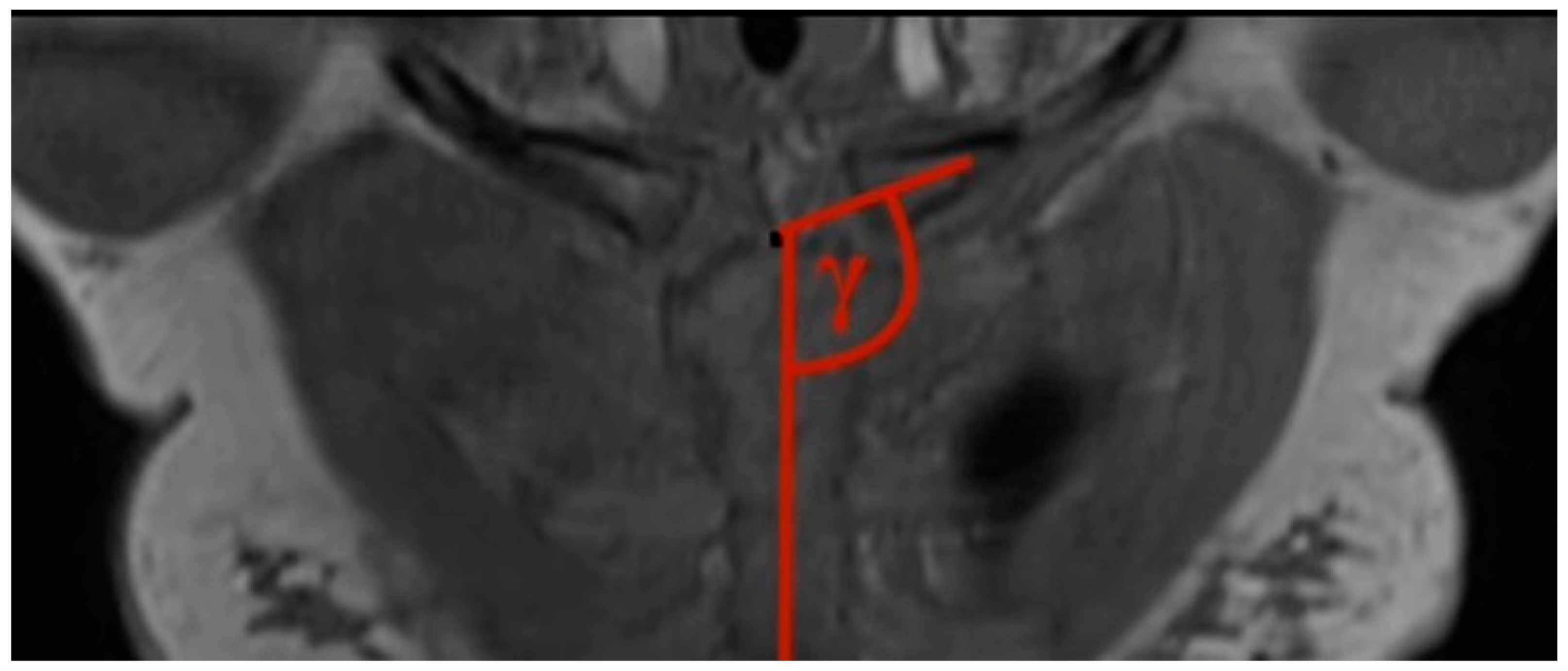
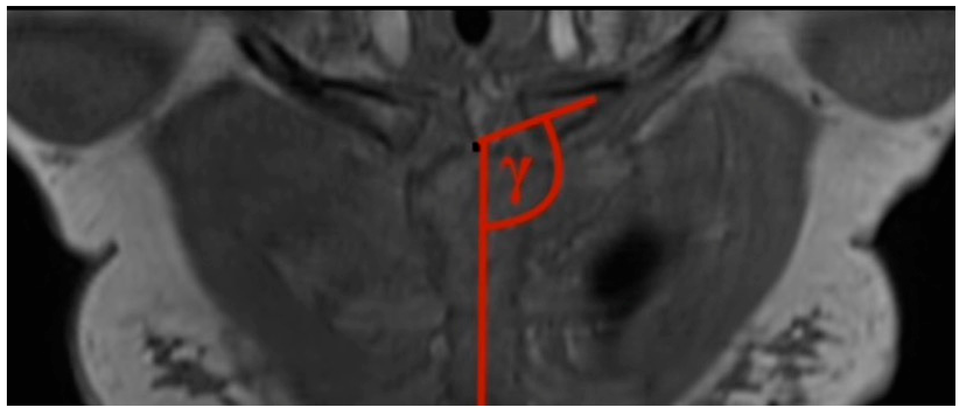
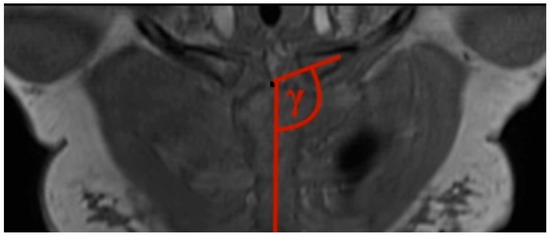
- Clavicular–sternal angle: The lengthwise axis of the clavicle is determined by a line, which is drawn from the middle of the lateral clavicle to the middle of the medial clavicle. The vertical axis of the sternum is drawn from the middle of the cranial end of the sternum to the xiphoid process of the sternum. Those two axes created the obtuse angle gamma (Figure 3).
- 4.
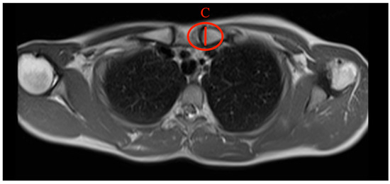
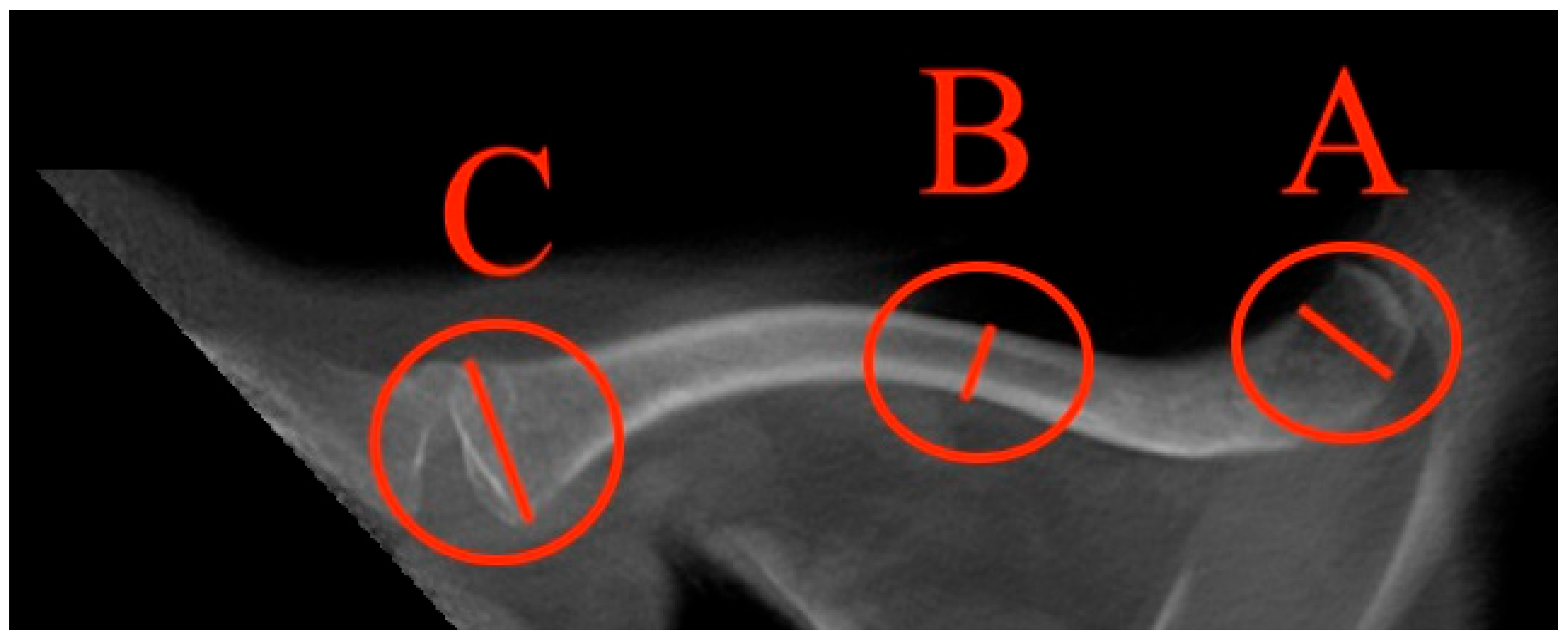
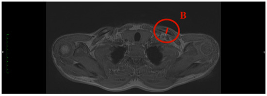
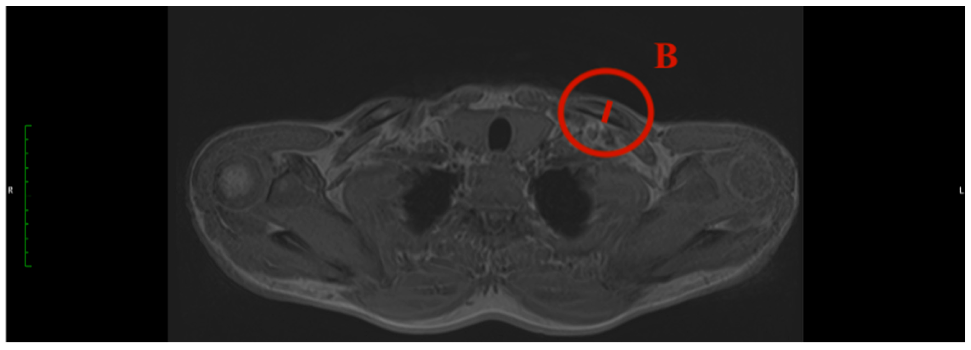
- Max. medial diameter: The distance was measured by drawing a line between the most dorsal and the most ventral points of the medial end of the clavicle (Figure 5).
- 5.
- Min. diameter: The distance was measured by drawing a line between the least ventral and least dorsal points of the clavicle (Figure 6).
- 6.
- Max. lateral diameter: The distance was measured by drawing a line between the most ventral and most dorsal points of the lateral clavicula (Figure 7).
2.3. Statistics
2.4. Ethics
3. Results
4. Discussion
Comparative Analysis
5. Conclusions
Author Contributions
Funding
Institutional Review Board Statement
Informed Consent Statement
Data Availability Statement
Acknowledgments
Conflicts of Interest
References
- OECD and European Union. Availability and Use of Diagnostic Technologies; OECD: Paris, France, 2018. [Google Scholar] [CrossRef]
- Guglielmi, G.; Cascavilla, A.; Scalzo, G.; Salaffi, F.; Grassi, W. Imaging of sternocostoclavicular joint in spondyloarthropaties and other rheumatic conditions. Clin. Exp. Rheumatol. 2009, 27, 402–408. Available online: http://www.ncbi.nlm.nih.gov/pubmed/19604431 (accessed on 2 June 2024).
- Restrepo, C.S.; Martinez, S.; Lemos, D.F.; Washington, L.; McAdams, H.P.; Vargas, D.; Lemos, J.A.; Carrillo, J.A.; Diethelm, L. Imaging Appearances of the Sternum and Sternoclavicular Joints. RadioGraphics 2009, 29, 839–859. [Google Scholar] [CrossRef]
- Farpour, F.; Phan, S.J.; Burns, J.; Tehranzadeh, J. Enhanced MR imaging of the shoulder, and sternoclavicular and acromioclavicular joint arthritis in primary hemochromatosis. Rheumatol. Int. 2011, 31, 395–398. [Google Scholar] [CrossRef]
- Johnson, M.C.; Jacobson, J.A.; Fessell, D.P.; Kim, S.M.; Brandon, C.; Caoili, E. The sternoclavicular joint: Can imaging differentiate infection from degenerative change? Skelet. Radiol. 2010, 39, 551–558. [Google Scholar] [CrossRef]
- Vahlensieck, M.; Resendes, M.; Genant, H.K. MRI of the shoulder. Bildgebung 1992, 59, 123–132. [Google Scholar] [CrossRef]
- Dhawan, R.; Singh, R.A.; Tins, B.; Hay, S.M. Sternoclavicular joint. Shoulder Elb. 2018, 10, 296–305. [Google Scholar] [CrossRef]
- Siewert and Stein. Chirurgie; Springer: Berlin/Heidelberg, Germany, 2012. [Google Scholar]
- Melenevsky, Y.; Yablon, C.M.; Ramappa, A.; Hochman, M.G. Clavicle and acromioclavicular joint injuries: A review of imaging, treatment, and complications. Skelet. Radiol. 2011, 40, 831–842. [Google Scholar] [CrossRef]
- Yousaf, T.; Dervenoulas, G.; Politis, M. Advances in MRI Methodology. Int. Rev. Neurobiol. 2018, 141, 31–76. [Google Scholar]
- Katz, T.H.; Hasan, O.H.; Miller, B.J. Accuracy of X-Ray and Magnetic Resonance Imaging in Defining the Tumor Margin in Primary Bone Sarcoma. Iowa Orthop. J. 2021, 41, 27–33. [Google Scholar]
- SinghSehrawatat, J. Variability in anatomical features of human clavicle: Its forensic anthropological and clinical significance (Discrimination of bony anatomy and sex). Transl. Res. Anat. 2016, 3–4, 5–14. [Google Scholar]
- Akhlaghi, M.; Moradi, B.; Hajibeygi, M. Sex determination using anthropometric dimensions of the clavicle in Iranian population. J. Forensic Leg. Med. 2012, 19, 381–385. [Google Scholar] [CrossRef]
- Bernat, A.; Huysmans, T.; Van Glabbeek, F.; Sijbers, J.; Gielen, J.; Van Tongel, A. The anatomy of the clavicle. Clin. Anat. 2014, 27, 712–723. [Google Scholar] [CrossRef]
- Andermahr, J.; Jubel, A.; Elsner, A.; Johann, J.; Prokop, A.; Rehm, K.E.; Koebke, J. Anatomy of the clavicle and the intramedullary nailing of midclavicular fractures. Clin. Anat. 2007, 20, 48–56. [Google Scholar] [CrossRef]
- Yang, J.C.-S.; Lin, K.-J.; Wei, H.-W.; Tsai, C.-L.; Lin, K.-P.; Lee, P.-Y. Morphometric Analysis of the Clavicles in Chinese Population. Biomed. Res. Int. 2017, 2017, 1–5. [Google Scholar] [CrossRef]
- Liu, H.; Peng, C.; Zhang, Z.; Yuan, B.; Ren, G.; Yu, J.; Wu, D. Single-center experience in the treatment of extremely medial clavicle fractures with vertical fixation of double-plate. Medicine 2020, 99, e19605. [Google Scholar] [CrossRef]
- Axelrod, D.E.; Ekhtiari, S.; Bozzo, A.; Bhandari, M.; Johal, H. What Is the Best Evidence for Management of Displaced Midshaft Clavicle Fractures? A Systematic Review and Network Meta-analysis of 22 Randomized Controlled Trials. Clin. Orthop. Relat. Res. 2020, 478, 392–402. [Google Scholar] [CrossRef]
- Van Tongel, A.; Huysmans, T.; Amit, B.; Sijbers, J.; Vanglabbeek, F.; De Wilde, L. Evaluation of prominence of straight plates and precontoured clavicle plates using automated plate-to-bone alignment. Acta Orthop. Belg. 2014, 80, 301–308. Available online: http://www.ncbi.nlm.nih.gov/pubmed/26280602 (accessed on 2 June 2024).
- Huang, J.I.; Toogood, P.; Chen, M.R.; Wilber, J.H.; Cooperman, D.R. Clavicular Anatomy and the Applicability of Precontoured Plates. J. Bone Jt. Surg. 2007, 89, 2260–2265. [Google Scholar] [CrossRef]
- Harden, S.P.; Argent, J.D.; Blaquiere, R.M. Painful sclerosis of the medial end of the clavicle. Clin. Radiol. 2004, 59, 992–999. [Google Scholar] [CrossRef]
- Kang, B.S.; Shim, H.S.; Kwon, W.J.; Lim, S.; Park, G.M.; Lee, T.Y.; Bang, M. MRI findings for unilateral sternoclavicular arthritis: Differentiation between infectious arthritis and spondyloarthritis. Skelet. Radiol. 2019, 48, 259–266. [Google Scholar] [CrossRef]
- Völzke, H. Study of Health in Pomerania (SHIP). Bundesgesundheitsblatt Gesundheitsforsch. Gesundheitsschutz 2012, 55, 790–794. [Google Scholar] [CrossRef]
- Hegenscheid, K.; Kühn, J.P.; Völzke, H.; Biffar, R.; Hosten, N.; Puls, R. Whole-body magnetic resonance imaging of healthy volunteers: Pilot study results from the population-based SHIP study. Rofo 2009, 181, 748–759. [Google Scholar] [CrossRef]
- Völzke, H.; Alte, D.; Schmidt, C.O.; Radke, D.; Lorbeer, R.; Friedrich, N.; Aumann, N.; Lau, K.; Piontek, M.; Born, G.; et al. Cohort profile: The study of health in Pomerania. Int. J. Epidemiol. 2011, 40, 294–307. [Google Scholar] [CrossRef]
- Prietzel, A.; Languth, T.; Bülow, R.; Ittermann, T.; Laqua, R.; Haralambiev, L.; Wassilew, G.I.; Ekkernkamp, A.; Bakir, M.S. Establishing Normative Values for Acromion Anatomy: A Comprehensive MRI-Based Study in a Healthy Population of 996 Participants. Diagnostics 2024, 14, 107. [Google Scholar] [CrossRef]
- Altman, D.G.; Bland, J.M. Statistics notes: The normal distribution. BMJ 1995, 310, 298. [Google Scholar] [CrossRef]
- Akoglu, H. User’s guide to correlation coefficients. Turk. J. Emerg. Med. 2018, 18, 91–93. [Google Scholar] [CrossRef]
- Ellis, H. Clinical Anatomy: A Revision and Applied Anatomy for Clinical Students; Blackwell Synergy Publishing: Hoboken, NJ, USA, 2002; pp. 181–182. [Google Scholar]
- Merriman, J.A.; Villacis, D.; Wu, B.; Patel, D.; Yi, A.; Hatch, G.F.R. Does Patient Sex Affect the Anatomic Relationships Between the Sternoclavicular Joint and Posterior Vascular Structures? Clin. Orthop. Relat. Res. 2014, 472, 3495–3506. [Google Scholar] [CrossRef]
- Mays, S.; Steele, J.; Ford, M. Directional asymmetry in the human clavicle. Int. J. Osteoarchaeol. 1999, 9, 18–28. [Google Scholar] [CrossRef]
- Cunningham, B.P.; McLaren, A.; Richardson, M.; McLemore, R. Clavicular Length: The Assumption of Symmetry. Orthopedics 2013, 36, e343–e347. [Google Scholar] [CrossRef][Green Version]
- Von Rüden, C.; Rehme-Röhrl, J.; Augat, P.; Friederichs, J.; Hackl, S.; Stuby, F.; Trapp, O. Evidence on treatment of clavicle fractures. Injury 2023, 54, 110818. [Google Scholar] [CrossRef]
- Annicchiarico, N.; Latta, A.; Santolini, E. Plate osteosynthesis for mid-shaft clavicle fractures: An update. Injury 2023, 54, S53–S57. [Google Scholar] [CrossRef]
- Jit, I.; Singh, S. The sexing of the adult clavicles. Indian J. Med. Res. 1966, 54, 551–571. Available online: http://www.ncbi.nlm.nih.gov/pubmed/5947020 (accessed on 2 June 2024).
- Sun, Y.-X.; Zhao, G.-C.; Yan, W. Age estimation on the female sternum by quantification theory I and stepwise regression analysis. Forensic Sci. Int. 1995, 74, 57–62. [Google Scholar] [CrossRef]
- Papaioannou, V.A.; Kranioti, E.F.; Joveneaux, P.; Nathena, D.; Michalodimitrakis, M. Sexual dimorphism of the scapula and the clavicle in a contemporary Greek population: Applications in forensic identification. Forensic Sci. Int. 2012, 217, 231.e1–231.e7. [Google Scholar] [CrossRef]
- Martínez-Mesa, J.; González-Chica, D.A.; Bastos, J.L.; Bonamigo, R.R.; Duquia, R.P. Sample size: How many participants do I need in my research? An. Bras. Dermatol. 2014, 89, 609–615. [Google Scholar] [CrossRef]
- Adam, G. Radiology: Technology for people. Rofo 2014, 186, 748–750. [Google Scholar] [CrossRef]
- Wetzke, M.; Behrens, L. Basics Bildgebende Verfahren; Elsevier: Amsterdam, The Netherlands, 2017. [Google Scholar]
- Compston, J.E.; Flahive, J.; Hosmer, D.W.; Watts, N.B.; Siris, E.S.; Silverman, S.; Saag, K.G.; Roux, C.; Rossini, M.; Pfeilschifter, J.; et al. Relationship of Weight, Height, and Body Mass Index with Fracture Risk at Different Sites in Postmenopausal Women: The Global Longi-tudinal Study of Osteoporosis in Women (GLOW). J. Bone Miner. Res. 2014, 29, 487–493. [Google Scholar] [CrossRef]
- Duprey, S.; Bruyere, K.; Verriest, J.-P. Influence of geometrical personalization on the simulation of clavicle fractures. J. Biomech. 2008, 41, 200–207. [Google Scholar] [CrossRef]












| Variable | n | ICC | 95% Konf. Interval | Mean Value | Inter Absolut | Inter % | |||||
|---|---|---|---|---|---|---|---|---|---|---|---|
| R1 | R2 | Both | R1 | R2 | Mean | SD | Mean | SD | |||
| med_sa | 182 | 182 | 177 | <0.001 | na | 137.00 | 137.89 | −0.89 | 6.47 | −0.66 | 4.75 |
| med_ca | 180 | 178 | 174 | 0.013 | 0.001; 0.178 | 67.83 | 65.39 | 2.44 | 6.28 | 3.85 | 9.63 |
| med_csb | 176 | 181 | 176 | 0.007 | 0.000; 0.200 | 70.64 | 72.34 | −1.70 | 5.81 | −2.35 | 8.28 |
| med_maxmcl | 189 | 198 | 189 | 0.154 | 0.024; 0.579 | 23.03 | 20.19 | 2.84 | 2.01 | 13.64 | 9.84 |
| MaxClavRlateral | 104 | 105 | 104 | 0.034 | 0.003; 0.300 | 21.61 | 20.14 | 1.47 | 2.09 | 7.55 | 10.36 |
| med_maxcl | 196 | 198 | 196 | 0.105 | 0.015; 0.478 | 23.46 | 21.17 | 2.29 | 2.09 | 10.67 | 10.00 |
| med_mincl | 174 | 177 | 174 | <0.001 | na | 7.59 | 7.44 | 0.16 | 1.10 | 2.99 | 15.45 |
| Variable | N | Male | Female | P50 | P25 | P75 | Min. | Max. |
|---|---|---|---|---|---|---|---|---|
| Sa_r | 1249 | 610 | 639 | 133.77 | 127.71 | 140.89 | 113.72 | 171.21 |
| Sa_l | 1249 | 610 | 639 | 132.95 | 126.79 | 138.77 | 102.19 | 159.29 |
| Ca_r | 1181 | 572 | 609 | 61.99 | 54.24 | 70.72 | 35.41 | 89.9 |
| Ca_l | 1199 | 580 | 619 | 68.53 | 60.39 | 76.3 | 35.03 | 89.85 |
| Csb_r | 1172 | 570 | 602 | 64.66 | 57.73 | 70.69 | 42.15 | 88.5 |
| Csb_l | 1185 | 576 | 609 | 69.46 | 63.42 | 74.71 | 45.19 | 88.53 |
| Maxmcl_r | 1261 | 612 | 649 | 20.84 | 18.56 | 22.98 | 13.32 | 30.16 |
| Maxmcl_l | 1262 | 614 | 648 | 20 | 18.01 | 22.22 | 12.42 | 30.56 |
| Maxlcl_r | 410 | 150 | 260 | 20.86 | 18.46 | 23.32 | 12.05 | 29.95 |
| Maxlcl_l | 283 | 90 | 193 | 20.19 | 17.98 | 22.84 | 10.38 | 30.67 |
| Maxcl_r | 1261 | 612 | 649 | 21.46 | 19.31 | 23.55 | 13.32 | 30.16 |
| Maxcl_l | 1263 | 614 | 649 | 20.49 | 18.45 | 22.76 | 12.42 | 30.67 |
| Mincl_r | 1206 | 576 | 630 | 8.37 | 6.95 | 9.74 | 3.25 | 15.51 |
| Mincl_l | 1195 | 570 | 625 | 8.05 | 6.75 | 9.39 | 3.52 | 13.70 |
| Parameter | Right Side | Left Side | ||
|---|---|---|---|---|
| N | β for Age (95%—CI) | N | β for Age (95%—CI) | |
| SA | 2420 | −0.07 (−0.10; −0.04) | 2420 | −0.06 (−0.09; −0.03) |
| CA | 2275 | −0.2 (−0.24; −0.15) | 2308 | −0.21 (−0.25; −0.17) |
| CSB | 2250 | −0.00 (−0.04; 0.03) | 2274 | 0.03 (−0.00; 0.06) |
| MaxMCL | 2446 | 0.02 (0.01; 0.03) | 2447 | 0.01 (0.00; 0.02) |
| MaxLCL | 753 | 0.01 (−0.01; 0.03) | 512 | 0.01 (−0.01; 0.04) |
| MaxCL | 2447 | 0.02 (0.01; 0.03) | 2449 | 0.01 (0.00; 0.02) |
| MinCL | 2325 | −0.01 (−0.02; −0.00) | 2303 | −0.01 (−0.01; −0.00) |
| Parameter | Right Side | Left Side | ||
|---|---|---|---|---|
| N | β for Women vs. Men (95%—CI) | N | β for Women vs. Men (95%—CI) | |
| SA | 2420 | −0.26 (−1.18; 0.66) | 2420 | 0.82 (−0.02; 1.67) |
| CA | 2275 | −2.28 (−3.49; −1.08) | 2308 | −1.18 (−2.36; −0.01) |
| CSB | 2250 | −1.76 (−2.79; −0.72) | 2274 | 0.28 (−0.49; 1.06) |
| MaxMCL | 2446 | −2.93 (−3.22; −2.63) | 2447 | −2.91 (−3.19; −2.64) |
| MaxLCL | 753 | −2.89 (−3.53; −2.25) | 512 | −2.65 (−3.44; −1.86) |
| MaxCL | 2447 | −2.60 (−2.88; −2.32) | 2449 | −2.58 (−2.88; −2.29) |
| MinCL | 2325 | −2.23 (−2.42; −2.04) | 2303 | −1.99 (−2.16; −1.82) |
| Variables | Height Coefficient | Weight Coefficient | BMI Coefficient |
|---|---|---|---|
| Sa r | −0.02 | 0.05 | 0.2 * |
| Sa l | −0.001 | 0.05 | 0.21 * |
| Ca r | 0.08 | 0.01 | −0.04 |
| Ca l | −0.10 * | −0.05 | −0.09 |
| Csb r | −0.05 | −0.01 | −0.01 |
| Csb l | −0.14 * | −0.02 | 0.01 |
| Maxmcl r | 0.08 | 0.05 | 0.09 * |
| Maxmcl l | 0.07 | 0.04 | 0.08 * |
| Maxlcl r | 0.14 * | 0.06 | 0.11 |
| Maxlcl l | 0.14 * | 0.05 | 0.08 |
| Maxcl r | 0.07 * | 0.03 | 0.04 |
| Maxcl l | 0.07 * | 0.03 | 0.06 |
| Mincl r | 0.03 | 0.04 | 0.11 * |
| Mincl l | 0.04 | 0.04 | 0.08 * |
| Parameters | Our Research N = 1591 | Our Q1–Q3 | Jesse Chieh Szu Yang [16] N = 100 | Andermahr [15] N = 196 | Duprey [42] N = 6 | Jagmahender Singh Sehrawat [12] N = 263 | Amit Bernat [14] N = 34 |
|---|---|---|---|---|---|---|---|
| Diagnostic tool | MRI | MRI | CT | Cadaver | X-Ray | Cadaver | Cadaver |
| MD male | 22.21 r 21.52 l | 20.34–24.47 r 19.4–23.5 l | 25 ± 3, | 26 ± 4 | - | 22.09 ± 3.30 r 21.32 ± 2.93 l | 24.7 ± 2.8 |
| MD female | 19.64 r 18.73 l | 17.53–21.27 r 16.89–29.66 l | 23 ± 3 | 24 ± 4 | - | 18.82 ± 2.72 r 18.12 ± 2.63 l | 22.8 ± 2.8 |
| MD right | 20.84 | 18.56–22.98 | - | 25 ± 4 | - | - | 24.3 ± 3 |
| MD left | 20 | 18–22.22 | - | 25 ± 4 | - | - | 23.2 ± 2.8 |
| MD total | - | 24 ± 3 | 25 ± 4 | 26 ± 3 | - | 23.8 ± 3 | |
| LD male | 22.82 r 22.88 l | 26 ± 4 | 24 ± 4 | - | 23.5 ± 3.46 r 23.76 ± 3.50 l | 25.9 ± 4.1 | |
| LD female | 19.94 r 19.39 l | 22 ± 3 | 21 ± 4 | - | 20.71 ± 3.01 r 20.82 ± 3.26 l | 23.5 ± 3 | |
| LD right | 20.86 | 18.46–23.32 | - | 23 ± 4 | - | - | 24.8 ± 3.7 |
| LD left | 20.19 | 17.98–22.84 | - | 23 ± 4 | - | - | 24.7 ± 3.9 |
| LD total | - | 24 ± 4 | 22 ± 4 | 27 ± 4 | - | 24.7 ± 3.8 | |
| MinD right | 8.37 | 6.95–9.74 | - | - | - | - | 10.9 ± 1.6 |
| MinD left | 8.05 | 6.75–9.39 | - | - | - | - | 10.8 ± 1.5 |
Disclaimer/Publisher’s Note: The statements, opinions and data contained in all publications are solely those of the individual author(s) and contributor(s) and not of MDPI and/or the editor(s). MDPI and/or the editor(s) disclaim responsibility for any injury to people or property resulting from any ideas, methods, instructions or products referred to in the content. |
© 2024 by the authors. Licensee MDPI, Basel, Switzerland. This article is an open access article distributed under the terms and conditions of the Creative Commons Attribution (CC BY) license (https://creativecommons.org/licenses/by/4.0/).
Share and Cite
Languth, T.M.; Prietzel, A.; Bülow, R.; Ittermann, T.; Laqua, R.; Haralambiev, L.; Ekkernkamp, A.; Bakir, M.S. Normative Values for Sternoclavicular Joint and Clavicle Anatomy Based on MR Imaging: A Comprehensive Analysis of 1591 Healthy Participants. J. Clin. Med. 2024, 13, 3598. https://doi.org/10.3390/jcm13123598
Languth TM, Prietzel A, Bülow R, Ittermann T, Laqua R, Haralambiev L, Ekkernkamp A, Bakir MS. Normative Values for Sternoclavicular Joint and Clavicle Anatomy Based on MR Imaging: A Comprehensive Analysis of 1591 Healthy Participants. Journal of Clinical Medicine. 2024; 13(12):3598. https://doi.org/10.3390/jcm13123598
Chicago/Turabian StyleLanguth, Theo Morgan, Anne Prietzel, Robin Bülow, Till Ittermann, René Laqua, Lyubomir Haralambiev, Axel Ekkernkamp, and Mustafa Sinan Bakir. 2024. "Normative Values for Sternoclavicular Joint and Clavicle Anatomy Based on MR Imaging: A Comprehensive Analysis of 1591 Healthy Participants" Journal of Clinical Medicine 13, no. 12: 3598. https://doi.org/10.3390/jcm13123598
APA StyleLanguth, T. M., Prietzel, A., Bülow, R., Ittermann, T., Laqua, R., Haralambiev, L., Ekkernkamp, A., & Bakir, M. S. (2024). Normative Values for Sternoclavicular Joint and Clavicle Anatomy Based on MR Imaging: A Comprehensive Analysis of 1591 Healthy Participants. Journal of Clinical Medicine, 13(12), 3598. https://doi.org/10.3390/jcm13123598

