The Impact of Body Mass Composition on Outcome in Multiple Traumatized Patients—Results from the Fourth Thoracic and Third Lumbar Vertebrae: A Single-Center Retrospective Observational Study
Abstract
1. Introduction
2. Materials and Methods
2.1. Study Design
2.2. The Comprehensive Complication Index (CCI) Score
2.3. Injury Severity Score (ISS)
2.4. Definition of Complications
2.5. The Clavien–Dindo (CD) Classification
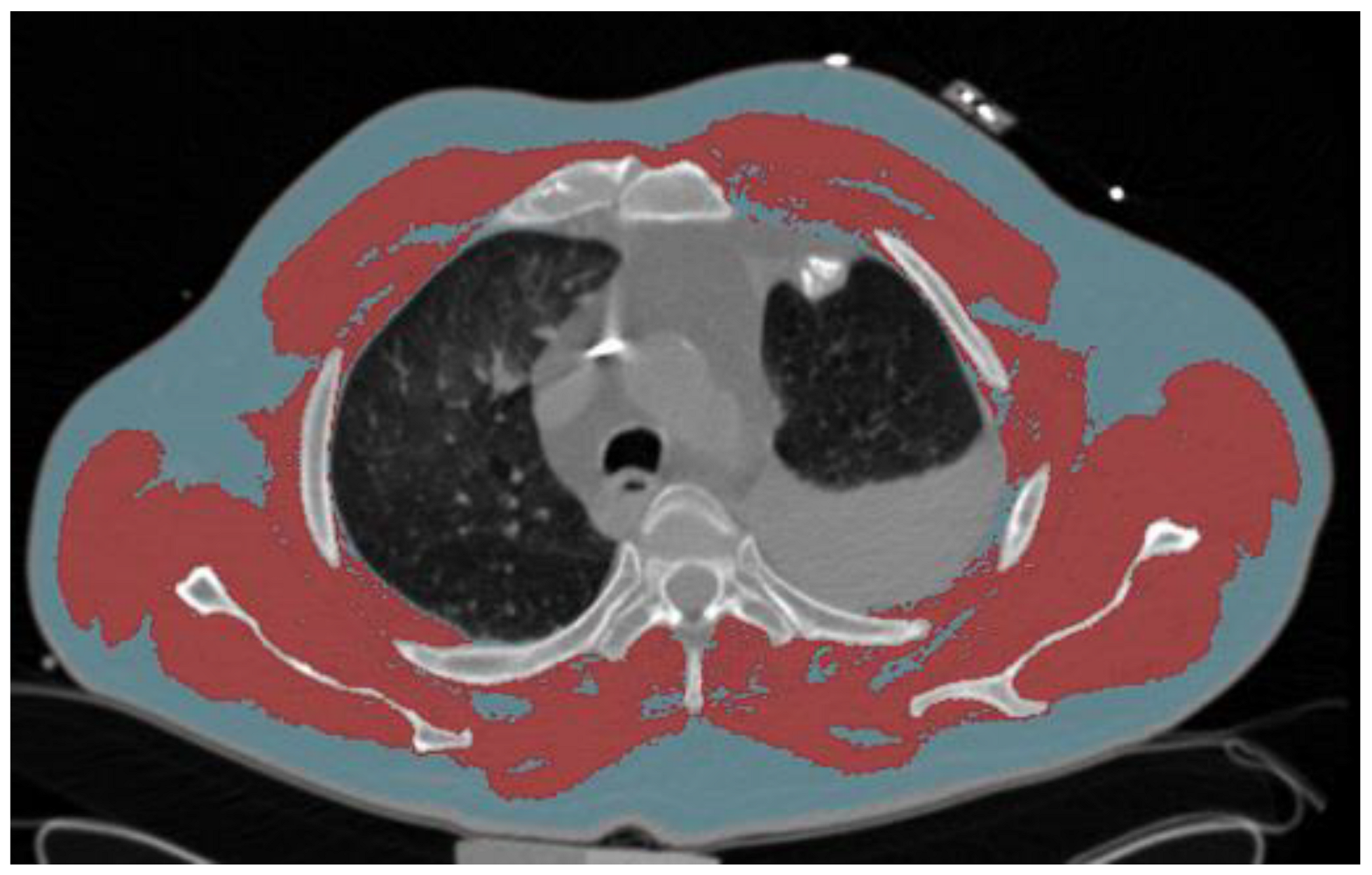
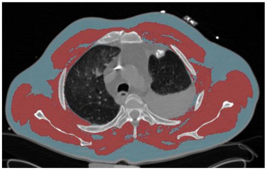
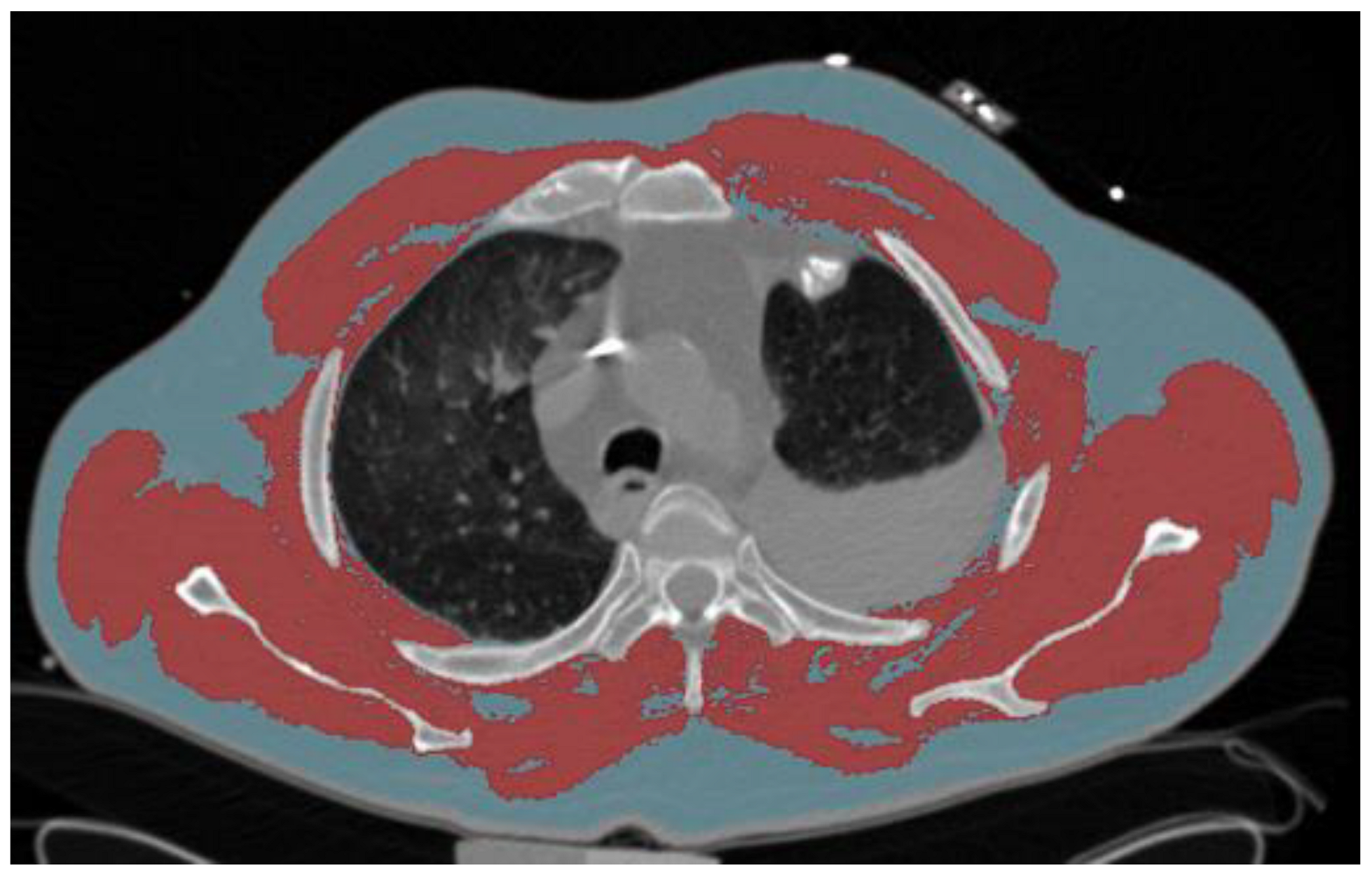
2.6. BC Analysis Using CT
2.7. Statistical Analysis
3. Results
3.1. Demographic Data
3.2. Correlations
3.3. Linear Regression
3.4. Multivariable Analysis
4. Discussion
- Increased SMI and SATI at both the T4 and L3 level were significantly associated with the occurrence of systemic infections. Local infections showed an association with increased T4 SMI. Information from both levels provides complementary information.
- Severity of posttraumatic complications negatively correlated with SMI at both, the L3 and T4 level. BC variables at both levels predicted the severity of overall complications in roughly the same way.
- SATI at T4 allowed us to make an estimation about the duration of ventilation, length of stay in the ICU, and total hospital stay.
- Increased SMI at the L3 level significantly correlated with overall survival.
4.1. Development and Severity of Complications
4.2. L3 vs. T4
4.3. Hospital Stay and Mortality
4.4. Strengths and Limitations
5. Outlook
6. Conclusions
Supplementary Materials
Author Contributions
Funding
Institutional Review Board Statement
Informed Consent Statement
Data Availability Statement
Conflicts of Interest
References
- van Breugel, J.M.M.; Niemeyer, M.J.S.; Houwert, R.M.; Groenwold, R.H.H.; Leenen, L.P.H.; van Wessem, K.J.P. Global changes in mortality rates in polytrauma patients admitted to the ICU-a systematic review. World J. Emerg. Surg. 2020, 15, 55. [Google Scholar] [CrossRef] [PubMed]
- Prado, C.M.; Purcell, S.A.; Alish, C.; Pereira, S.L.; Deutz, N.E.; Heyland, D.K.; Goodpaster, B.H.; Tappenden, K.A.; Heymsfield, S.B. Implications of low muscle mass across the continuum of care: A narrative review. Ann. Med. 2018, 50, 675–693. [Google Scholar] [CrossRef] [PubMed]
- Pothirat, C.; Chaiwong, W.; Phetsuk, N.; Liwsrisakun, C.; Bumroongkit, C.; Deesomchok, A.; Theerakittikul, T.; Limsukon, A. The relationship between body composition and clinical parameters in chronic obstructive pulmonary dsease. J. Med. Assoc. Thai. 2016, 99, 386–393. [Google Scholar] [PubMed]
- Wahlen, B.M.; Mekkodathil, A.; Al-Thani, H.; El-Menyar, A. Impact of sarcopenia in trauma and surgical patient population: A literature review. Asian J. Surg. 2020, 43, 647–653. [Google Scholar] [CrossRef] [PubMed]
- Zumsteg, D.M.; Chu, C.E.; Midwinter, M.J. Radiographic assessment of sarcopenia in the trauma setting: A systematic review. Trauma Surg. Acute Care Open 2020, 5, e000414. [Google Scholar] [CrossRef]
- Mourtzakis, M.; Prado, C.M.; Lieffers, J.R.; Reiman, T.; McCargar, L.J.; Baracos, V.E. A practical and precise approach to quantification of body composition in cancer patients using computed tomography images acquired during routine care. Appl. Physiol. Nutr. Metab. 2008, 33, 997–1006. [Google Scholar] [CrossRef]
- Shen, W.; Punyanitya, M.; Wang, Z.; Gallagher, D.; St-Onge, M.P.; Albu, J.; Heymsfield, S.B.; Heshka, S. Total body skeletal muscle and adipose tissue volumes: Estimation from a single abdominal cross-sectional image. J. Appl. Physiol. 2004, 97, 2333–2338. [Google Scholar] [CrossRef]
- Fosbøl, M.Ø.; Zerahn, B. Contemporary methods of body composition measurement. Clin. Physiol. Funct. Imaging 2015, 5, 81–97. [Google Scholar] [CrossRef]
- Mathur, S.; Rodrigues, N.; Mendes, P.; Rozenberg, D.; Singer, L.G. Computed tomographyderived thoracic muscle size as an indicator of sarcopenia in people with advanced lung disease. Cardiopulm. Phys. Ther. J. 2017, 28, 99–105. [Google Scholar] [CrossRef]
- Available online: https://www.german-hospital-directory.com/app/portrait/473b97578b7c2d47/start (accessed on 7 January 2023).
- Kim, T.H.; Suh, Y.S.; Huh, Y.J.; Son, Y.G.; Park, J.H.; Yang, J.Y.; Kong, S.H.; Ahn, H.S.; Lee, H.J.; Slankamenac, K.; et al. The comprehensive complication index (CCI) is a more sensitive complication index than the conventional Clavien-Dindo classification in radical gastric cancer surgery. Gastric Cancer 2018, 21, 171–181. [Google Scholar] [CrossRef]
- Slankamenac, K.; Graf, R.; Barkun, J.; Puhan, M.A.; Clavien, P.A. The comprehensive complication index: A novel continuous scale to measure surgical morbidity. Ann. Surg. 2013, 258, 1–7. [Google Scholar] [CrossRef] [PubMed]
- NSW Institute of Trauma and Injury Management, Injury Severity Score. Available online: https://aci.health.nsw.gov.au/networks/institute-of-trauma-and-injury-management/data/injury-scoring/injury_severity_score (accessed on 7 January 2023).
- Clavien, P.A.; Barkun, J.; de Oliveira, M.L.; Vauthey, J.N.; Dindo, D.; Schulick, R.D.; de Santibañes, E.; Pekolj, J.; Slankamenac, K.; Bassi, C.; et al. The Clavien-Dindo classification of surgical complications: Five-year experience. Ann. Surg. 2009, 250, 187–196. [Google Scholar] [CrossRef] [PubMed]
- The Clavien-Dindo Classification. Available online: https://www.assessurgery.com/clavien-dindo-classification/ (accessed on 10 January 2022).
- Dindo, D.; Demartines, N.; Clavien, P.A. Classification of surgical complications: A new proposal with evaluation in a cohort of 6336 patients and results of a survey. Ann. Surg. 2004, 240, 205–213. [Google Scholar] [CrossRef] [PubMed]
- Lee, J.; Chang, C.L.; Lin, J.B.; Wu, M.H.; Sun, F.J.; Jan, Y.T.; Hsu, S.M.; Chen, Y.J. Skeletal Muscle Loss Is an Imaging Biomarker of Outcome after Definitive Chemoradiotherapy for Locally Advanced Cervical Cancer. Clin. Cancer Res. 2018, 24, 5028–5036. [Google Scholar] [CrossRef]
- Aubrey, J.; Esfandiari, N.; Baracos, V.E.; Buteau, F.A.; Frenette, J.; Putman, C.T.; Mazurak, V.C. Measurement of skeletal muscle radiation attenuation and basis of its biological variation. Acta Physiol. 2014, 210, 489–497. [Google Scholar] [CrossRef] [PubMed]
- Injuries and Violence. Available online: https://www.who.int/news-room/fact-sheets/detail/injuries-and-violence (accessed on 9 October 2021).
- Teixeira, P.G.; Inaba, K.; Hadjizacharia, P.; Brown, C.; Salim, A.; Rhee, P.; Browder, T.; Noguchi, T.T.; Demetriades, D. Preventable or potentially preventable mortality at a mature trauma center. J. Trauma Acute Care Surg. 2007, 63, 1338–1347; discussion 1346–1347. [Google Scholar] [CrossRef]
- Paris, M.; Mourtzakis, M. Assessment of skeletal muscle mass in critically ill patients: Considerations for the utility of computed tomography imaging and ultrasonography. Curr. Opin. Clin. Nutr. Metab. Care 2016, 19, 125–130. [Google Scholar] [CrossRef]
- Czigany, Z.; Kramp, W.; Bednarsch, J.; van der Kroft, G.; Boecker, J.; Strnad, P.; Zimmermann, M.; Koek, G.; Neumann, U.P.; Lurje, G. Myosteatosis to predict inferior perioperative outcome in patients undergoing orthotopic liver transplantation. Am. J. Transplant. 2020, 20, 493–503. [Google Scholar] [CrossRef]
- Carvalho, A.L.M.; Gonzalez, M.C.; Sousa, I.M.; das Virgens, I.P.A.; Medeiros, G.O.C.; Oliveira, M.N.; Dantas, J.C.A.S.; Trussardi Fayh, A.P. Low skeletal muscle radiodensity is the best predictor for short-term major surgical complications in gastrointestinal surgical cancer: A cohort study. PLoS ONE 2021, 16, e0247322. [Google Scholar] [CrossRef]
- Looijaard, S.M.L.M.; Maier, A.B.; Voskuilen, A.F.; Van Zanten, T.; Bouman, D.E.; Klaase, J.M.; Meskers, C.G.M. Are computed tomography-based measures of specific abdominal muscle groups predictive of adverse outcomes in older cancer patients? Heliyon 2020, 6, e05437. [Google Scholar] [CrossRef]
- Poros, B.; Irlbeck, T.; Probst, P.; Volkmann, A.; Paprottka, P.; Böcker, W.; Irlbeck, M.; Weig, T. Impact of pathologic body composition assessed by CT-based anthropometric measurements in adult patients with multiple trauma: A retrospective analysis. Eur. J. Trauma Emerg. Surg. 2021, 47, 1089–1103. [Google Scholar] [CrossRef] [PubMed]
- Andruszkow, H.; Veh, J.; Mommsen, P.; Zeckey, C.; Hildebrand, F.; Frink, M. Impact of the body mass on complications and outcome in multiple trauma patients: What does the weight weigh? Mediat. Inflamm. 2013, 2013, 345702. [Google Scholar] [CrossRef]
- Wrba, L.; Halbgebauer, R.; Roos, J.; Huber-Lang, M.; Fischer-Posovszky, P. Adipose tissue: A neglected organ in the response to severe trauma? Cell. Mol. Life Sci. 2022, 79, 207. [Google Scholar] [CrossRef] [PubMed]
- Pfeifer, R.; Darwiche, S.; Kohut, L.; Billiar, T.R.; Pape, H.C. Cumulative effects of bone and soft tissue injury on systemic inflammation: A pilot study. Clin. Orthop. Relat. Res. 2013, 471, 2815–2821. [Google Scholar] [CrossRef] [PubMed]
- Lenz, A.; Franklin, G.A.; Cheadle, W.G. Systemic inflammation after trauma. Injury 2007, 38, 1336–1345. [Google Scholar] [CrossRef]
- Mas-Celis, F.; Olea-López, J.; Parroquin-Maldonado, J.A. Sepsis in Trauma: A Deadly Complication. Arch. Med. Res. 2021, 52, 808–816. [Google Scholar] [CrossRef]
- van Griensven, M.; Krettek, C.; Pape, H.C. Immune reactions after trauma. Eur. J. Trauma 2003, 29, 181–192. [Google Scholar] [CrossRef]
- Huber-Lang, M.; Lambris, J.D.; Ward, P.A. Innate immune responses to trauma. Nat. Immunol. 2018, 19, 327–341. [Google Scholar] [CrossRef]
- van der Kroft, G.; van Dijk, D.P.J.; Rensen, S.S.; Van Tiel, F.H.; de Greef, B.; West, M.; Ostridge, K.; Dejong, C.H.C.; Neumann, U.P.; Olde Damink, S.W.M. Low thoracic muscle radiation attenuation is associated with postoperative pneumonia following partial hepatectomy for colorectal metastasis. HPB (Oxford) 2020, 22, 1011–1019. [Google Scholar] [CrossRef]
- Weerink, L.B.M.; van der Hoorn, A.; van Leeuwen, B.L.; de Bock, G.H. Low skeletal muscle mass and postoperative morbidity in surgical oncology: A systematic review and meta-analysis. J. Cachexia Sarcopenia Muscle 2020, 11, 636–649. [Google Scholar] [CrossRef]
- Ong, A.W.; Omert, L.A.; Vido, D.; Goodman, B.M.; Protetch, J.; Rodriguez, A.; Jeremitsky, E. Characteristics and outcomes of trauma patients with ICU lengths of stay 30 days and greater: A seven-year retrospective study. Crit. Care 2009, 13, R154. [Google Scholar] [CrossRef] [PubMed]
- Böhmer, A.B.; Just, K.S.; Lefering, R.; Paffrath, T.; Bouillon, B.; Joppich, R.; Wappler, F.; Gerbershagen, M.U. Factors influencing lengths of stay in the intensive care unit for surviving trauma patients: A retrospective analysis of 30,157 cases. Crit. Care 2014, 18, R143. [Google Scholar] [CrossRef]
- Moon, S.W.; Choi, J.S.; Lee, S.H.; Jung, K.S.; Jung, J.Y.; Kang, Y.A.; Park, M.S.; Kim, Y.S.; Chang, J.; Kim, S.Y. Thoracic skeletal muscle quantification: Low muscle mass is related with worse prognosis in idiopathic pulmonary fibrosis patients. Respir. Res. 2019, 20, 35. [Google Scholar] [CrossRef] [PubMed]
- Mundi, M.S.; Patel, J.J.; Martindale, R. Body Composition technology: Implications for the ICU. Nutr. Clin. Pract. 2019, 34, 48–58. [Google Scholar] [CrossRef]
- Moisey, L.L.; Mourtzakis, M.; Cotton, B.A.; Premji, T.; Heyland, D.K.; Wade, C.E.; Bulger, E.; Kozar, R.A.; Nutrition and Rehabilitation Investigators Consortium (NUTRIC). Skeletal muscle predicts ventilator-free days, ICU-free days, and mortality in elderly ICU patients. Crit. Care 2013, 17, R206. [Google Scholar] [CrossRef]
- Bouillanne, O.; Dupont-Belmont, C.; Hay, P.; Hamon-Vilcot, B.; Cynober, L.; Aussel, C. Fat mass protects hospitalized elderly persons against morbidity and mortality. Am. J. Clin. Nutr. 2009, 90, 505–510. [Google Scholar] [CrossRef]
- Stassen, R.C.; Reisinger, K.W.; Al-Ali, M.; Poeze, M.; Ten Bosch, J.A.; Blokhuis, T.J. High prevalence of sarcopenia in older trauma patients: A pilot study. J. Clin. Med. 2020, 9, 2046. [Google Scholar] [CrossRef]
- Childs, B.R.; Nahm, N.J.; Dolenc, A.J.; Vallier, H.A. Obesity is associated with more complications and longer hospital stays After orthopaedic trauma. J. Orthop. Trauma 2015, 29, 504–509. [Google Scholar] [CrossRef]
- Eckhardt, T.; Horst, K.; Störmann, P.; Bläsius, F.; Hofman, M.; Herren, C.; Kobbe, P.; Hildebrand, F.; Andruszkow, H. Impact of chest trauma and overweight on mortality and outcome in severely injured patients. J. Clin. Med. 2020, 9, 2752. [Google Scholar] [CrossRef]
- Covarrubias, J.; Grigorian, A.; Schubl, S.; Gambhir, S.; Dolich, M.; Lekawa, M.; Nguyen, N.; Nahmias, J. Obesity associated with increased postoperative pulmonary complications and mortality after trauma laparotomy. Eur. J. Trauma Emerg. Surg. 2021, 47, 1561–1568. [Google Scholar] [CrossRef]
- Weston, A.D.; Korfiatis, P.; Kline, T.L.; Philbrick, K.A.; Kostandy, P.; Sakinis, T.; Sugimoto, M.; Takahashi, N.; Erickson, B.J. Automated abdominal segmentation of CT scans for body composition analysis using deep learning. Radiology 2019, 290, 669–679. [Google Scholar] [CrossRef] [PubMed]



| Demography | Frequency | Mean | Minimum | Maximum | SD | Variance |
|---|---|---|---|---|---|---|
| Total (n) | 297 | |||||
| Male (n) | 220 (74.07%) | |||||
| Death (n) | 68 (22.9%) | |||||
| Age (y) | 49.01 | 18 | 93 | 19.99 | 399.39 | |
| BMI | 26.02 | 16.89 | 55.80 | 4.22 | 17.81 | |
| Height (cm) | 176.28 | 150 | 202 | 8.792 | 77.30 | |
| Weight (kg) | 81.18 | 38 | 165 | 15.69 | 246.08 |
| Type of Injury | Frequency |
|---|---|
| Neurotrauma | 165 (55.56%) |
| Chest trauma | 193 (64.98%) |
| Abdominal trauma | 105 (35.35%) |
| Pelvic trauma | 84 (28.28%) |
| Trauma Etiology | Frequency |
| Car/Truck accident | 59 |
| Motorcycle accident | 54 |
| Bicycle accident | 16 |
| Fall < 3 m | 39 |
| Fall > 3 m | 53 |
| Hit pedestrians | 30 |
| Burn and blast trauma | 8 |
| Other or unknown | 38 |
| Clinical Course | Mean | Minimum | Maximum | SD | Variance |
|---|---|---|---|---|---|
| Frequency of complication | 3.05 | 0 | 20 | 3.169 | 10.041 |
| Hospital stay (d) | 23.15 | 1 | 263 | 26.144 | 683.503 |
| Length of stay in the ICU (d) | 15.03 | 1 | 263 | 23.595 | 556.715 |
| Survival days | 283.30 | 1 | 365 | 150.357 | 22,607.373 |
| Ventilation duration (h) | 222.72 | 0 | 5496 | 443.52 | 8196.432 |
| GCS | 9.62 | 3 | 15 | 5.139 | 26.41 |
| CD | 3.52 | 0 | 7 | 2.372 | 5.629 |
| CCI | 51.0178 | 0 | 100 | 51.43245 | 2645.297 |
| ISS | 25.17 | 8 | 75 | 8.341 | 69.575 |
| AIS skull and cervical spine | 2.05 | 0 | 5 | 1.862 | 3.468 |
| AIS thorax | 1,98 | 0 | 5 | 1.529 | 2.338 |
| AIS abdomen | 0.92 | 0 | 5 | 1.257 | 1.581 |
| AIS extremities | 1.66 | 0 | 5 | 1.443 | 2.081 |
| AIS soft tissue | 0.46 | 0 | 6 | 0.912 | 0.832 |
| RR systolic on admission | 128.1 | 0 | 233 | 33.042 | 1091.759 |
| RR diastolic on admission | 71.08 | 0 | 130 | 19.574 | 383.132 |
| Complication | Frequency | Percentage |
|---|---|---|
| Intraoperative bleeding | 8 | 2.7% |
| Intraoperative damage to nerves or vessels | 0 | 0% |
| SIRS | 48 | 16.2% |
| ARDS | 52 | 17.5% |
| MODS | 3 | 1% |
| Myocardial infarction | 91 | 30.6% |
| Apoplexy | 7 | 2.4% |
| Thrombosis | 6 | 2% |
| Pulmonary embolism | 5 | 1.7% |
| Compartment syndrome | 7 | 2.4% |
| Wound infection | 31 | 10.4% |
| Wound healing disorder | 16 | 5.4% |
| UTI | 20 | 6.7% |
| Pseudarthrosis | 5 | 1.7% |
| Pneumonia | 62 | 20.9% |
| Hemothorax | 30 | 10.1% |
| Pneumothorax | 78 | 26.3% |
| Tension pneumothorax | 12 | 4% |
| Univariable | Multivariable | |||||
|---|---|---|---|---|---|---|
| Hazard Ratio | 95% CI | p | Hazard Ratio | 95% CI | p | |
| L3 SMRA | 0.966 | 0.947–0.986 | 0.001 | 0.982 | 0.952–1.013 | 0.247 |
| L3 VATI | 1.002 | 1.000–1.005 | 0.092 | |||
| L3 SMI | 0.990 | 0.981–0.999 | 0.022 | 0.988 | 0.978–0.998 | 0.022 |
| L3 SATI | 0.999 | 0.996–1.001 | 0.268 | |||
| T4 SMRA | 0.962 | 0.934–0.990 | 0.009 | 1.005 | 0.967–1.045 | 0.790 |
| T4 SMI | 0.997 | 0.992–1.002 | 0.209 | |||
| T4 SATI | 1.000 | 0.997–1.002 | 0.772 | |||
| Age | 1.029 | 1.016–1.042 | 0.000 | 1.033 | 1.021–1.046 | 0.000 |
| ISS | 1.042 | 1.019–1.064 | 0.000 | 1.058 | 1.029–1.087 | 0.000 |
| Clavien-Dindo | 6.224 | 3.808–10.175 | 0.000 | 207.429 | 0.000–9.521 × 109 | 0.533 |
| CCI | 1.005 | 1.003–1.006 | 0.000 | 1.009 | 1.007–1.011 | 0.000 |
| Occurrence of complication | 0.433 | 0.266–0.707 | 0.001 | 0.437 | 0.256–0.746 | 0.002 |
| Local complications | 0.289 | 0.152–0.552 | 0.000 | 0.163 | 0.069–0.386 | 0.000 |
| Systemic complications | 0.804 | 0.422–1.534 | 0.509 | |||
| GCS | 0.879 | 0.810–0.954 | 0.002 | 0.884 | 0.811–0.964 | 0.005 |
| Hospital stay | 0.844 | 0.808–0.882 | 0.000 | 0.836 | 0.793–0.882 | 0.000 |
| ICU stay | 0.943 | 0.914–0.972 | 0.000 | 0.899 | 0.855–0.946 | 0.000 |
| Duration of ventilation | 0.999 | 0.998–1.000 | 0.063 | |||
| Height (cm) | 0.968 | 0.943–0.994 | 0.015 | 1.006 | 00.976–1.037 | 0.698 |
| BMI | 0.989 | 0.933–1.048 | 0.711 | |||
| Weight (kg) | 0.987 | 0.972–1.003 | 0.123 |
Disclaimer/Publisher’s Note: The statements, opinions and data contained in all publications are solely those of the individual author(s) and contributor(s) and not of MDPI and/or the editor(s). MDPI and/or the editor(s) disclaim responsibility for any injury to people or property resulting from any ideas, methods, instructions or products referred to in the content. |
© 2023 by the authors. Licensee MDPI, Basel, Switzerland. This article is an open access article distributed under the terms and conditions of the Creative Commons Attribution (CC BY) license (https://creativecommons.org/licenses/by/4.0/).
Share and Cite
Belger, E.; Truhn, D.; Weber, C.D.; Neumann, U.P.; Hildebrand, F.; Horst, K. The Impact of Body Mass Composition on Outcome in Multiple Traumatized Patients—Results from the Fourth Thoracic and Third Lumbar Vertebrae: A Single-Center Retrospective Observational Study. J. Clin. Med. 2023, 12, 2520. https://doi.org/10.3390/jcm12072520
Belger E, Truhn D, Weber CD, Neumann UP, Hildebrand F, Horst K. The Impact of Body Mass Composition on Outcome in Multiple Traumatized Patients—Results from the Fourth Thoracic and Third Lumbar Vertebrae: A Single-Center Retrospective Observational Study. Journal of Clinical Medicine. 2023; 12(7):2520. https://doi.org/10.3390/jcm12072520
Chicago/Turabian StyleBelger, Esref, Daniel Truhn, Christian David Weber, Ulf Peter Neumann, Frank Hildebrand, and Klemens Horst. 2023. "The Impact of Body Mass Composition on Outcome in Multiple Traumatized Patients—Results from the Fourth Thoracic and Third Lumbar Vertebrae: A Single-Center Retrospective Observational Study" Journal of Clinical Medicine 12, no. 7: 2520. https://doi.org/10.3390/jcm12072520
APA StyleBelger, E., Truhn, D., Weber, C. D., Neumann, U. P., Hildebrand, F., & Horst, K. (2023). The Impact of Body Mass Composition on Outcome in Multiple Traumatized Patients—Results from the Fourth Thoracic and Third Lumbar Vertebrae: A Single-Center Retrospective Observational Study. Journal of Clinical Medicine, 12(7), 2520. https://doi.org/10.3390/jcm12072520

