Role of Vitrectomy in Nontractional Refractory Diabetic Macular Edema
Abstract
1. Introduction
2. Materials and Methods
2.1. Surgical Procedure
2.2. Statistical Analysis
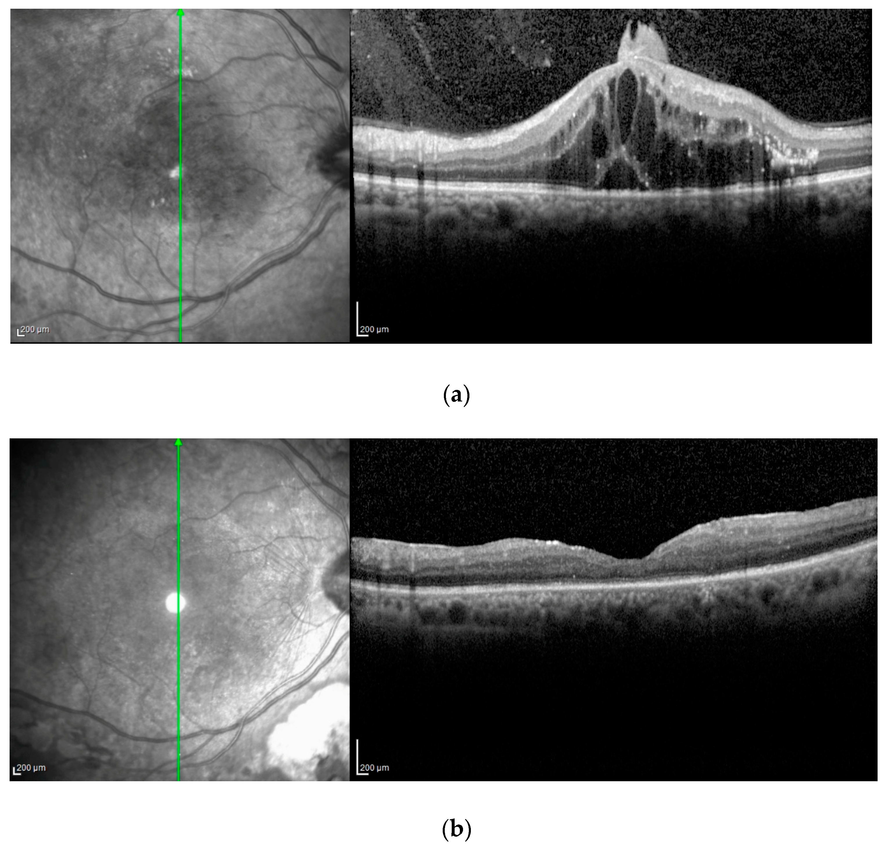
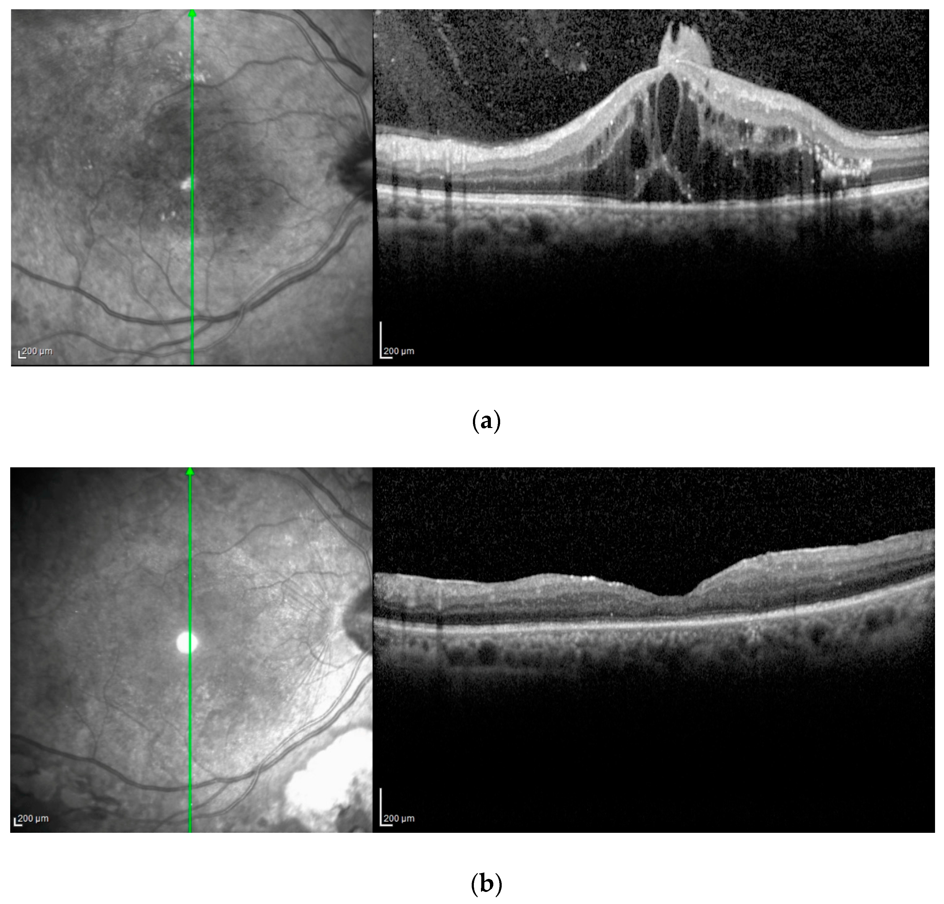
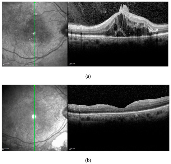
3. Results
4. Discussion
Author Contributions
Funding
Institutional Review Board Statement
Informed Consent Statement
Data Availability Statement
Conflicts of Interest
References
- Romero-Aroca, P. Managing diabetic macular edema: The leading cause of diabetes blindness. World J. Diabetes 2011, 2, 98–104. [Google Scholar] [CrossRef] [PubMed]
- Kiire, C.A.; Porta, M.; Chong, V. Medical management for the prevention and treatment of diabetic macular edema. Surv. Ophthalmol. 2013, 58, 459–465. [Google Scholar] [CrossRef] [PubMed]
- The Early Treatment Diabetic Retinopathy Study Research Group. Photocoagulation for diabetic macular edema. Early treatment diabetic retinopathy study report number 1. Arch Ophthalmol. 1985, 103, 1796e1806. [Google Scholar]
- Scott, I.U.; Danis, R.P.; Bressler, S.B.; Bressler, N.M.; Browning, D.J.; Qin, H. Diabetic Retinopathy Clinical Research Network. Effect of focal/grid photocoagulation on visual acuity and retinal thickening in eyes with non-center-involved diabetic macular edema. Retina 2009, 29, 613–617. [Google Scholar] [CrossRef] [PubMed]
- Zhang, X.; Bao, S.; Lai, D.; Rapkins, R.W.; Gillies, M.C. Intravitreal triamcinolone acetonide inhibits breakdown of the blood-retinal barrier through differential regulation of VEGF-A and its receptors in early diabetic rat retinas. Diabetes 2008, 57, 1026–1033. [Google Scholar] [CrossRef]
- Schmidt-Erfurth, U.; Garcia-Arumi, J.; Bandello, F.; Berg, K.; Chakravarthy, U.; Gerendas, B.S.; Jonas, J.; Larsen, M.; Tadayoni, R.; Loewenstein, A. Guidelines for the Management of Diabetic Macular Edema by the European Society of Retina Specialists (EURETINA). Ophthalmologica 2017, 237, 185–222. [Google Scholar] [CrossRef]
- Smiddy, W.E. Economic Considerations of macular edema therapies. Ophthalmology 2011, 118, 1827–1833. [Google Scholar] [CrossRef]
- Lewis, H.; Abrams, G.W.; Blumenkranz, M.S.; Campo, R.V. Vitrectomy for diabetic macular traction and edema associated with posterior hyaloidal traction. Ophthalmology 1992, 99, 753–759. [Google Scholar] [CrossRef]
- Kumar, A.; Sinha, S.; Azad, R.; Sharma, Y.R.; Vohra, R. Comparative evaluation of vitrectomy and dye-enhanced ILM peel with grid laser in diffuse diabetic macular edema. Graefes Arch. Clin. Exp. Ophthalmol. 2007, 245, 360–368. [Google Scholar] [CrossRef]
- Santos, A.R.; Gomes, S.C.; Figueira, J.; Nunes, S.; Lobo, C.L.; Cunha-Vaz, J.G. Degree of decrease in central retinal thickness predicts visual acuity response to intravitrealranibizumab in diabetic macular edema. Ophthalmologica 2014, 231, 16–22. [Google Scholar] [CrossRef]
- Otani, T.; Kishi, S. A controlled study of vitrectomy for diabetic macular edema. Am. J. Ophthalmol. 2002, 134, 214–219. [Google Scholar] [CrossRef] [PubMed]
- Adelman, R.; Parnes, A.; Michalewska, Z.; Parolini, B.; Boscher, C.; Ducournau, D. Strategy for the management of diabetic macular edema: The European vitreo-retinal society macular edema study. Biomed Res. Int. 2015, 2015, 352487. [Google Scholar] [PubMed]
- Kumagai, K.; Ogino, N.; Furukawa, M.; Demizu, S.; Atsumi, K.; Kurihara, H.; Iwaki, M.; Ishigooka, H.; Tachi, N. Internal limiting membrane peeling in vitreous surgery for diabetic macular edema. Nippon Ganka Gakkai Zasshi 2002, 106, 590–594. [Google Scholar] [CrossRef] [PubMed]
- Kumagai, K.; Hangai, M.; Ogino, N.; Larson, E. Effect of Internal Limiting Membrane Peeling on Long-Term Visual Outcomes for Diabetic Macular Edema. Retina 2015, 35, 1422–1428. [Google Scholar] [CrossRef]
- Bonnin, S.; Sandali, O.; Bonnel, S.; Monin, C.; El Sanharawi, M. Vitrectomy with internal limiting membrane peeling for tractional and nontractional diabetic macular edema: Long-term Results of a Comparative Study. Retina 2015, 35, 921–928. [Google Scholar] [CrossRef]
- Diabetic Retinopathy Clinical Research Network Writing Committee. Vitrectomy outcomes in eyes with diabetic macular edema and vitreomacular traction. Ophthalmology 2010, 117, 1087–1093.e3. [Google Scholar] [CrossRef]
- Stefánsson, E. Ocular oxygenation and the treatment of diabetic retinopathy. Surv. Ophthalmol. 2006, 51, 364–380. [Google Scholar] [CrossRef]
- Kadonosono, K.; Itoh, N.; Ohno, S. Perifoveal microcirculation before and after vitrectomy for diabetic cystoid macular edema. Am. J. Ophthalmol. 2000, 130, 740–744. [Google Scholar] [CrossRef]
- Antonetti, D.A.; Barber, A.J.; Khin, S.; Lieth, E.; Tarbell, J.M.; Gardner, T.W. Vascular permeability in experimental diabetes is associated with reduced endothelial occludin content: Vascular endothelial growth factor decreases occludin in retinal endothelial cells. Penn State Retina Research Group. Diabetes 1998, 47, 1953–1959. [Google Scholar]
- Christoforidis, J.B.; D’Amico, D.J. Surgical and other treatments of diabetic macular edema: An update. Int. Ophthalmol. Clin. 2004, 44, 139–160. [Google Scholar] [CrossRef]
- Gandorfer, A.; Messmer, E.M.; Ulbig, M.W.; Kampik, A. Resolution of diabetic macular edema after surgical removal of the posterior hyaloid and the inner limiting membrane. Retina 2000, 20, 126–133. [Google Scholar] [CrossRef]
- Kumagai, K.; Furukawa, M.; Ogino, N.; Larson, E.; Iwaki, M.; Tachi, N. Long-term follow-up of vitrectomy for diffuse nontractional diabetic macular edema. Retina 2009, 29, 464–472. [Google Scholar] [CrossRef] [PubMed]
- La Heij, E.C.; Hendrikse, F.; Kessels, A.G.; Derhaag, P.J. Vitrectomy results in diabetic macular oedema without evident vitreomacular traction. Graefes Arch. Clin. Exp. Ophthalmol. 2001, 239, 264–270. [Google Scholar] [CrossRef] [PubMed]
- Yamamoto, T.; Hitani, K.; Tsukahara, I.; Yamamoto, S.; Kawasaki, R.; Yamashita, H.; Takeuchi, S. Early postoperative retinal thickness changes and complications after vitrectomy for diabetic macular edema. Am. J. Ophthalmol. 2003, 135, 14–19. [Google Scholar] [CrossRef]
- Ikeda, T.; Sato, K.; Katano, T.; Hayashi, Y. Improved visual acuity following pars plana vitrectomy for diabetic cystoid macular edema and detached posterior hyaloid. Retina 2000, 20, 220–222. [Google Scholar] [CrossRef]
- Dillinger, P.; Mester, U. Vitrectomy with removal of the internal limiting membrane in chronic diabetic macular oedema. Graefes Arch. Clin. Exp. Ophthalmol. 2004, 242, 630–637. [Google Scholar] [CrossRef] [PubMed]
- Figueroa, M.S.; Contreras, I.; Noval, S. Surgical and anatomical outcomes of pars plana vitrectomy for diffuse nontractional diabetic macular edema. Retina 2008, 28, 420–426. [Google Scholar] [CrossRef] [PubMed]
- Hoerauf, H.; Brüggemann, A.; Muecke, M.; Lüke, J.; Müller, M.; Stefánsson, E.; Hammes, H.-P.; Weiss, C. Pars plana vitrectomy for diabetic macular edema. Internal limiting membrane delamination vs posterior hyaloid removal. A prospective randomized trial. Graefes Arch. Clin. Exp. Ophthalmol. 2011, 249, 997–1008. [Google Scholar] [CrossRef]
- Patel, J.I.; Hykin, P.G.; Schadt, M.; Luong, V.; Bunce, C.; Fitzke, F.; Gregor, Z.J. Diabetic macular oedema: Pilot randomised trial of pars plana vitrectomy vs macular argon photocoagulation. Eye 2006, 20, 873–881. [Google Scholar] [CrossRef] [PubMed]
- Iglicki, M.; Lavaque, A.; Ozimek, M.; Negri, H.P.; Okada, M.; Chhablani, J.; Busch, C.; Loewenstein, A.; Zur, D. Biomarkers and predictors for functional and anatomic outcomes for small gauge pars plana vitrectomy and peeling of the internal limiting membrane in naïve diabetic macular edema: The VITAL Study. PLoS ONE 2018, 13, e0200365. [Google Scholar] [CrossRef]
- Michalewska, Z.; Stewart, M.W.; Landers, M.B.; Bednarski, M.; Adelman, R.A.; Nawrocki, J. Vitrectomy in the management of diabetic macular edema in treatment-naïve patients. Can. J. Ophthalmol. 2017, 53, 402–407. [Google Scholar] [CrossRef] [PubMed]
- Ichiyama, Y.; Sawada, O.; Mori, T.; Fujikawa, M.; Kawamura, H.; Ohji, M. The effectiveness of vitrectomy for diffuse diabetic macular edema may depend on its preoperative optical coherence tomography pattern. Graefes Arch. Clin. Exp. Ophthalmol. 2016, 254, 1545–1551. [Google Scholar] [CrossRef] [PubMed]
- Guerra, M.H.; Yumnamcha, T.; Ebrahim, A.S.; Berger, E.A.; Singh, L.P.; Ibrahim, A.S. Real-Time Monitoring the Effect of Cytopathic Hypoxia on Retinal Pigment Epithelial Barrier Functionality Using Electric Cell-Substrate Impedance Sensing (ECIS) Biosensor Technology. Int. J. Mol. Sci. 2021, 22, 4568. [Google Scholar] [CrossRef] [PubMed]
- Vujosevic, S.; Toma, C.; Villani, E.; Muraca, A.; Torti, E.; Florimbi, G.; Leporati, F.; Brambilla, M.; Nucci, P.; De Cilla’, S. Diabetic macular edema with neuroretinal detachment: OCT and OCT-angiography biomarkers of treatment response to anti-VEGF and steroids. Acta Diabetol. 2020, 57, 287–296. [Google Scholar] [CrossRef] [PubMed]
- Simó-Servat, O.; Hernández, C.; Simó, R. Usefulness of the vitreous fluid analysis in the translational research of diabetic retinopathy. Mediat. Inflamm. 2012, 2012, 872978. [Google Scholar] [CrossRef] [PubMed]
- Rinaldi, M.; Dell’Omo, R.; Morescalchi, F.; Semeraro, F.; Gambicorti, E.; Cacciatore, F.; Chiosi, F.; Costagliola, C. ILM peeling in nontractional diabetic macular edema: Review and metanalysis. Int. Ophthalmol. 2018, 38, 2709–2714. [Google Scholar] [CrossRef]
- Bahadir, M.; Ertan, A.; Mertoglu, Ö. Visual acuity comparison of vitrectomy with and without internal limiting membrane removal in the treatment of diabetic macular edema. Int. Ophthalmol. 2005, 26, 3–8. [Google Scholar] [CrossRef]
- Matsunaga, N.; Ozeki, H.; Hirabayashi, Y.; Shimada, S.; Ogura, Y. Histopathologic evaluation of the internal limiting membrane surgically excised from eyes with diabetic maculopathy. Retina 2005, 25, 311–316. [Google Scholar] [CrossRef]



| Patients Undergoing PPV (n 28) | |
|---|---|
| Age (years) | 73.6 ± 9.4 |
| Sex (M/F) | 16/12 |
| HbA1c, % | 6.7 ± 1.9 |
| Diabetes duration (years) | 12.7 ± 4.6 |
| Macular Edema duration (years) | 3.5 ± 1.8 |
| Visual acuity at baseline (logMAR) | 0.6 ± 0.2 |
| Central macular thickness at baseline (microns) | 413.1 ± 84.4 |
| Baseline | 6 Months | p | 12 Months | p | 2 Years | p | |
|---|---|---|---|---|---|---|---|
| BCVA | 0.6 ± 0.2 | 0.3 ± 0.1 | <0.0001 | 0.2 ± 0.1 | <0.0001 | 0.2 ± 0.1 | <0.0001 |
| CMT | 413.1 ± 84.4 | 308.4 ± 64.3 | <0.0001 | 297.3 ± 48.1 | <0.0001 | 291.3 ± 57.6 | <0.0001 |
Disclaimer/Publisher’s Note: The statements, opinions and data contained in all publications are solely those of the individual author(s) and contributor(s) and not of MDPI and/or the editor(s). MDPI and/or the editor(s) disclaim responsibility for any injury to people or property resulting from any ideas, methods, instructions or products referred to in the content. |
© 2023 by the authors. Licensee MDPI, Basel, Switzerland. This article is an open access article distributed under the terms and conditions of the Creative Commons Attribution (CC BY) license (https://creativecommons.org/licenses/by/4.0/).
Share and Cite
Ranno, S.; Vujosevic, S.; Mambretti, M.; Metrangolo, C.; Alkabes, M.; Rabbiolo, G.; Govetto, A.; Carini, E.; Nucci, P.; Radice, P. Role of Vitrectomy in Nontractional Refractory Diabetic Macular Edema. J. Clin. Med. 2023, 12, 2297. https://doi.org/10.3390/jcm12062297
Ranno S, Vujosevic S, Mambretti M, Metrangolo C, Alkabes M, Rabbiolo G, Govetto A, Carini E, Nucci P, Radice P. Role of Vitrectomy in Nontractional Refractory Diabetic Macular Edema. Journal of Clinical Medicine. 2023; 12(6):2297. https://doi.org/10.3390/jcm12062297
Chicago/Turabian StyleRanno, Stefano, Stela Vujosevic, Manuela Mambretti, Cristian Metrangolo, Micol Alkabes, Giovanni Rabbiolo, Andrea Govetto, Elisa Carini, Paolo Nucci, and Paolo Radice. 2023. "Role of Vitrectomy in Nontractional Refractory Diabetic Macular Edema" Journal of Clinical Medicine 12, no. 6: 2297. https://doi.org/10.3390/jcm12062297
APA StyleRanno, S., Vujosevic, S., Mambretti, M., Metrangolo, C., Alkabes, M., Rabbiolo, G., Govetto, A., Carini, E., Nucci, P., & Radice, P. (2023). Role of Vitrectomy in Nontractional Refractory Diabetic Macular Edema. Journal of Clinical Medicine, 12(6), 2297. https://doi.org/10.3390/jcm12062297

