Spectrum and Outcome of Prenatally Diagnosed Fetal Primary Cardiomyopathies—A Twenty-Year Overview
Abstract
1. Introduction
2. Materials and Methods
2.1. Patients
2.2. Definitions
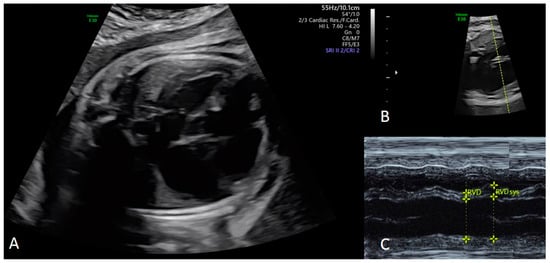
2.3. Ultrasound Assessment
2.4. Outcome
2.5. Data Analysis
3. Results
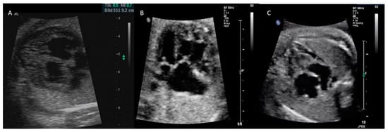
3.1. Prenatal CM Phenotype
3.2. Additional Cardiac, Extracardiac and Genetic Anomalies
3.3. Outcome
4. Discussion
4.1. Categorization System
4.2. Echocardiographic Evaluation
4.3. Genetic
4.4. Outcome
4.5. Limitations
5. Conclusions
Author Contributions
Funding
Institutional Review Board Statement
Informed Consent Statement
Data Availability Statement
Conflicts of Interest
References
- Maron, B.J.; Towbin, J.A.; Thiene, G.; Antzelevitch, C.; Corrado, D.; Arnett, D.; Moss, A.J.; Seidman, C.E.; Young, J.B. Contemporary definitions and classification of the cardiomyopathies: An American Heart Association Scientific Statement from the Council on Clinical Cardiology, Heart Failure and Transplantation Committee; Quality of Care and Outcomes Research and Functional Genomics and Translational Biology Interdisciplinary Working Groups; and Council on Epidemiology and Prevention. Circulation 2006, 113, 1807–1816. [Google Scholar]
- Davey, B.; Szwast, A.; Rychik, J. Diagnosis and management of heart failure in the fetus. Minerva Pediatr. 2012, 64, 471–492. [Google Scholar] [PubMed]
- Pfitzer, C.; Helm, P.C.; Ferentzi, H.; Rosenthal, L.-M.; Bauer, U.M.M.; Berger, F.; Schmitt, K.R.L. Changing prevalence of severe congenital heart disease: Results from the National Register for Congenital Heart Defects in Germany. Congenit. Heart Dis. 2017, 12, 787–793. [Google Scholar] [CrossRef] [PubMed]
- Aurora, P.; Boucek, M.M.; Christie, J.; Dobbels, F.; Edwards, L.B.; Keck, B.M.; Rahmel, A.O.; Taylor, D.O.; Trulock, E.P.; Hertz, M.I. Registry of the International Society for Heart and Lung Transplantation: Tenth official pediatric lung and heart/lung transplantation report. J. Heart Lung Transplant. 2007, 26, 1223–1228. [Google Scholar] [CrossRef] [PubMed]
- Weber, R.; Kantor, P.; Chitayat, D.; Friedberg, M.; Golding, F.; Mertens, L.; Nield, L.E.; Ryan, G.; Seed, M.; Yoo, S.-J.; et al. Spectrum and outcome of primary cardiomyopathies diagnosed during fetal life. JACC Heart Fail. 2014, 2, 403–411. [Google Scholar] [CrossRef]
- Ezon, D.S.; Ayres, N.A.; Altman, C.A.; Denfield, S.W.; Morris, S.A.; Maskatia, S.A. Echocardiographic parameters and outcomes in primary fetal cardiomyopathy. J. Ultrasound Med. 2016, 35, 1949–1955. [Google Scholar] [CrossRef]
- Trakmulkichkarn, T.; Ghadiry-Tavi, R.; Fruitman, D.; Niederhoffer, K.Y.; Caluseriu, O.; Lauzon, J.L.; Wewala, G.; Hornberger, L.K.; Urschel, S.; Conway, J.; et al. Clinical presentation, genetic etiology and outcome associated with fetal cardiomyopathy: Comparison of two eras. Ultrasound Obstet. Gynecol. 2022, 59, 325–334. [Google Scholar] [CrossRef]
- Pedra, S.R.; Smallhorn, J.F.; Ryan, G.; Chitayat, D.; Taylor, G.P.; Khan, R.; Abdolell, M.; Hornberger, L.K. Fetal cardiomyopathies: Pathogenic mechanisms, hemodynamic findings, and clinical outcome. Circulation 2002, 106, 585–591. [Google Scholar] [CrossRef]
- Honda, T.; Kanai, Y.; Ohno, S.; Ando, H.; Honda, M.; Niwano, S.; Ishii, M. Fetal arrhythmogenic right ventricular cardiomyopathy with double mutations in TMEM. Pediatr. Int. 2016, 58, 409–411. [Google Scholar] [CrossRef]
- Jefferies, J.L.; Wilkinson, J.D.; Sleeper, L.A.; Colan, S.D.; Lu, M.; Pahl, E.; Kantor, P.F.; Everitt, M.D.; Webber, S.A.; Kaufman, B.D.; et al. Cardiomyopathy phenotypes and outcomes for children with left ventricular myocardial noncompaction: Results from the pediatric cardiomyopathy registry. J. Card. Fail. 2015, 21, 877–884. [Google Scholar] [CrossRef]
- McKenna, W.J.; Maron, B.J.; Thiene, G. Classification, Epidemiology, and Global Burden of Cardiomyopathies. Circ. Res. 2017, 121, 722–730. [Google Scholar] [CrossRef] [PubMed]
- Mongiovi, M.; Fesslova, V.; Fazio, G.; Barbaro, G. Pipitone, Diagnosis and prognosis of fetal cardiomyopathies: A review. Curr. Pharm. Des. 2010, 16, 2929–2934. [Google Scholar] [CrossRef]
- Ellepola, C.D.; Knight, L.M.; Fischbach, P.; Deshpande, S.R. Genetic testing in pediatric cardiomyopathy. Pediatr. Cardiol. 2018, 39, 491–500. [Google Scholar] [CrossRef]
- Schmidt, K.G.; Birk, E.; Silverman, N.H.; Scagnelli, S.A. Echocardiographic evaluation of dilated cardiomyopathy in the human fetus. Am. J. Cardiol. 1989, 63, 599–605. [Google Scholar] [CrossRef] [PubMed]
- Crispi, F.; Gratacós, E. Fetal cardiac function: Technical considerations and potential research and clinical applications. Fetal Diagn. Ther. 2012, 32, 47–64. [Google Scholar] [CrossRef] [PubMed]
- Gagnon, C.; Bigras, J.-L.; Fouron, J.-C.; Dallaire, F. Reference values and z scores for pulsed-wave Doppler and M-Mode measurements in fetal echocardiography. J. Am. Soc. Echocardiogr. 2016, 29, 448–460.e9. [Google Scholar] [CrossRef] [PubMed]
- Tan, J.; Silverman, N.H.; Hoffman, J.I.; Villegas, M.; Schmidt, K.G. Cardiac dimensions determined by cross-sectional echocardiography in the normal human fetus from 18 weeks to term. Am. J. Cardiol. 1992, 70, 1459–1467. [Google Scholar] [CrossRef]
- Simpson, J.M.; Cook, A. Repeatability of echocardiographic measurements in the human fetus. Ultrasound Obstet. Gynecol. 2002, 20, 332–339. [Google Scholar] [CrossRef]
- Jenni, R.; Oechslin, E.; Schneider, J.; Jost, C.A.; Kaufmann, P. Echocardiographic and pathoanatomical characteristics of isolated left ventricular non-compaction: A step towards classification as a distinct cardiomyopathy. Heart 2001, 86, 666–671. [Google Scholar] [CrossRef]
- International Society of Ultrasound in Obstetrics and Gynecology; Carvalho, J.S.; Allan, L.D.; Chaoui, R.; Copel, J.A.; DeVore, G.R.; Hecher, K.; Lee, W.; Munoz, H.; Paladini, D.; et al. ISUOG Practice Guidelines (updated): Sonographic screening examination of the fetal heart. Ultrasound Obstet. Gynecol. 2013, 41, 348–359. [Google Scholar] [CrossRef]
- Bhide, A.; Acharya, G.; Baschat, A.; Bilardo, C.M.; Brezinka, C.; Cafici, D.; Ebbing, C.; Hernandez-Andrade, E.; Kalache, K.; Kingdom, J.; et al. ISUOG Practice Guidelines (updated): Use of Doppler velocimetry in obstetrics. Ultrasound Obstet. Gynecol. 2021, 58, 331–339. [Google Scholar] [CrossRef]
- Chaoui, R.; Bollmann, R.; Göldner, B.; Heling, K.; Tennstedt, C. Fetal cardiomegaly: Echocardiographic findings and outcome in 19 cases. Fetal Diagn. Ther. 1994, 9, 92–104. [Google Scholar] [CrossRef]
- García-Otero, L.; Soveral, I.; Sepúlveda-Martínez; Rodriguez-López, M.; Torres, X.; Guirado, L.; Nogué, L.; Valenzuela-Alcaraz, B.; Martínez, J.M.; Gratacós, E.; et al. Reference ranges for fetal cardiac, ventricular and atrial relative size, sphericity, ventricular dominance, wall asymmetry and relative wall thickness from 18 to 41 gestational weeks. Ultrasound Obstet. Gynecol. 2021, 58, 388–397. [Google Scholar] [CrossRef]
- Lopes, L.M.; Pacheco, J.T.; Schultz, R.; Francisco, R.P.V.; Zugaib, M. A prenatal case of arrhythmogenic right ventricular dysplasia. Arq. Bras. Cardiol. 2018, 110, 201–202. [Google Scholar] [CrossRef]
- Rustico, M.; Benettoni, A.; Fontaliran, F.; Fontaine, G. Prenatal echocardiographic appearance of arrhythmogenic right ventricle dysplasia: A case report. Fetal Diagn. Ther. 2001, 16, 433–436. [Google Scholar] [CrossRef] [PubMed]
- Anderson, H.N.; Cetta, F.; Driscoll, D.J.; Olson, T.M.; Ackerman, M.J.; Johnson, J.N. Idiopathic restrictive cardiomyopathy in children and young adults. Am. J. Cardiol. 2018, 121, 1266–1270. [Google Scholar] [CrossRef] [PubMed]
- Weller, R.J.; Weintraub, R.; Addonizio, L.J.; Chrisant, M.R.; Gersony, W.M.; Hsu, D.T. Outcome of idiopathic restrictive cardiomyopathy in children. Am. J. Cardiol. 2002, 90, 501–506. [Google Scholar] [CrossRef]
- Stöllberger, C.; Wegner, C.; Finsterer, J. Fetal ventricular hypertrabeculation/noncompaction: Clinical presentation, genetics, associated cardiac and extracardiac abnormalities and outcome. Pediatr. Cardiol. 2015, 36, 1319–1326. [Google Scholar] [CrossRef] [PubMed]
- Rath, A.; Weintraub, R. Overview of cardiomyopathies in childhood. Front. Pediatr. 2021, 9, 708732. [Google Scholar] [CrossRef]
- Hershberger, R.E.; Givertz, M.M.; Ho, C.Y.; Judge, D.P.; Kantor, P.F.; McBride, K.L.; Morales, A.; Taylor, M.R.G.; Vatta, M.; Ware, S.M.; et al. Genetic evaluation of cardiomyopathy: A clinical practice resource of the American College of Medical Genetics and Genomics (ACMG). Genet. Med. 2018, 20, 899–909. [Google Scholar] [CrossRef]
- Zaban, N.B.; Darragh, R.K.; Parent, J.J. Fetal echocardiography is useful for screening fetuses with a family history of cardiomyopathy. Pediatr. Cardiol. 2020, 41, 1766–1772. [Google Scholar] [CrossRef] [PubMed]
- Sun, H.; Hao, X.; Wang, X.; Zhou, X.; Zhang, Y.; Liu, X.; Han, J.; Gu, X.; Sun, L.; Zhao, Y.; et al. Genetics and clinical features of noncompaction cardiomyopathy in the fetal population. Front. Cardiovasc. Med. 2020, 7, 617561. [Google Scholar] [CrossRef] [PubMed]
- Singh, R.K.; Canter, C.E.; Shi, L.; Colan, S.D.; Dodd, D.A.; Everitt, M.D.; Hsu, D.T.; Jefferies, J.L.; Kantor, P.F.; Pahl, E.; et al. Survival without cardiac transplantation among children with dilated cardiomyopathy. J. Am. Coll. Cardiol. 2017, 70, 2663–2673. [Google Scholar] [CrossRef] [PubMed]





| Parameter | Over all n = 21 | DCM n = 8 | HCM n = 9 | Isolated NCCM n = 3 | RCM n = 1 | p-Value |
|---|---|---|---|---|---|---|
| Fetal hydrops | 9 | 3 | 6 | 0 | 0 | 0.141 |
| Arrhythmia | 2 | 1 | 1 | 0 | 0 | 0.912 |
| FHR | 21 | 146.4 ± 13.4 | 132.3 ± 8.0 | 139.7± 10.8 | 137 | 0.190 |
| EFE | 1 | 1 | 0 | 0 | 0 | 0.636 |
| TI | 13 | 5 | 4 | 3 | 1 | 0.234 |
| TI Vmax m/s | 1.4 ± 1.4 | 2.4 ± 1.0 | 2.4 ± 1.2 | 1 | 2.1 | 0.276 |
| MI | 6 | 1 | 4 | 0 | 1 | 0.121 |
| CTR | 0.55 ± 0.1 | 0.62 ± 0.1 | 0.48 ± 0.1 | 0.57 ± 0.1 | 0.51 | 0.323 |
| DV REDF | 6 | 3 | 2 | 0 | 1 | 0.645 |
| Pulsatile UV flow | 7 | 2 | 2 | 2 | 1 | 0.329 |
| Associated anomalies | 7 | 2 | 5 | 0 | 0 | 0.496 |
| Uni-/Bi-ventricular involvement | 7/14 | 5/3 | 0/9 | 2/1 | 0/1 | 0.023 |
| GSI (LCD/TCD) | 1.17 ± 0.10 | 1.16 ± 0.13 | 1.12 ± 0.12 | 1.06 ± 0.12 | 1.3 | 0.579 |
| LVLD/LVMTD | 2.55 ± 0.96 | 2.21 ± 0.53 | 2.64 ± 1.23 | 2.88 ± 1.17 | 3.54 | 0.509 |
| RVLD/RVMTD | 2.23 ± 0.96 | 2.05 ± 0.67 | 2.63 ± 1.26 | 1.51 ± 0.22 | 2.55 | 0.487 |
| LVLD/LVBD | 1.81 ± 0.46 | 1.72 ± 0.22 | 1.74 ± 0.57 | 2.19 ± 0.68 | 1.91 | 0.497 |
| RVLD/RVBD | 1.66 ± 0.66 | 1.74 ± 0.36 | 1.71 ± 0.98 | 1.37 ± 0.23 | 1.39 | 0.843 |
| DCM n = 8 | HCM n = 9 | NCCM n = 3 | RCM n = 1 | ||||
|---|---|---|---|---|---|---|---|
| n | n | n | n | ||||
| 1 | Marfan syndrome | 2 | Barth syndrome | 3 | none identified | 1 | none identified |
| 1 | Wolf-Hirschhorn syndrome | 1 | Noonan syndrome | ||||
| 3 | Uhl’s anomaly | 1 | LEOPARD syndrome | ||||
| 1 | Long-QT syndrome | 2 | MYBPC3 gene mutation | ||||
| 2 | None identified | 3 | None identified | ||||
| Parameter | Total (n = 15) | Alive (n = 8) | Death (n = 7) | p-Value |
|---|---|---|---|---|
| GA at delivery (wks) | 35.0 (±3.6) | 36.4 (±3.6) | 33.8 (±3.4) | 0.176 |
| Birth weight (g) | 2325.3 (±807.8) | 2652.1(±778.4) | 2039.2 (±765.2) | 0.149 |
| Gender (f/m) | 6/9 | 4/3 | 2/6 | 0.315 |
| Univentricular involvement | 7 | 6 | 1 | 0.035 |
| Associated anomalies | 6 | 2 | 4 | 0.378 |
| Hydrops fetalis | 7 | 2 | 5 | 0.214 |
| MI | 3 | 0 | 3 | 0.200 |
| TI | 9 | 5 | 4 | 0.378 |
| TI vmax m/s | 2.0 (±1.2) | 1.5 (±0.6) | 2.5 (±0.5) | 0.207 |
| Total (%) | IUFD | TOP | ICHD | NND | HTX | Still Alive | |
|---|---|---|---|---|---|---|---|
| HCM | 9 (42.9) | 0 | 2 | 1 | 3 | 0 | 2 * |
| DCM | 8 (38.1) | 1 | 2 | 0 | 2 | 1 | 3 |
| NCCM | 3 (14.3) | 0 | 0 | 0 | 0 | 1 | 3 |
| RCM | 1 (4.8) | 0 | 0 | 0 | 1 | 0 | 0 |
Disclaimer/Publisher’s Note: The statements, opinions and data contained in all publications are solely those of the individual author(s) and contributor(s) and not of MDPI and/or the editor(s). MDPI and/or the editor(s) disclaim responsibility for any injury to people or property resulting from any ideas, methods, instructions or products referred to in the content. |
© 2023 by the authors. Licensee MDPI, Basel, Switzerland. This article is an open access article distributed under the terms and conditions of the Creative Commons Attribution (CC BY) license (https://creativecommons.org/licenses/by/4.0/).
Share and Cite
Walter, A.; Calite, E.; Geipel, A.; Strizek, B.; Recker, F.; Herberg, U.; Berg, C.; Gembruch, U. Spectrum and Outcome of Prenatally Diagnosed Fetal Primary Cardiomyopathies—A Twenty-Year Overview. J. Clin. Med. 2023, 12, 4366. https://doi.org/10.3390/jcm12134366
Walter A, Calite E, Geipel A, Strizek B, Recker F, Herberg U, Berg C, Gembruch U. Spectrum and Outcome of Prenatally Diagnosed Fetal Primary Cardiomyopathies—A Twenty-Year Overview. Journal of Clinical Medicine. 2023; 12(13):4366. https://doi.org/10.3390/jcm12134366
Chicago/Turabian StyleWalter, Adeline, Elina Calite, Annegret Geipel, Brigitte Strizek, Florian Recker, Ulrike Herberg, Christoph Berg, and Ulrich Gembruch. 2023. "Spectrum and Outcome of Prenatally Diagnosed Fetal Primary Cardiomyopathies—A Twenty-Year Overview" Journal of Clinical Medicine 12, no. 13: 4366. https://doi.org/10.3390/jcm12134366
APA StyleWalter, A., Calite, E., Geipel, A., Strizek, B., Recker, F., Herberg, U., Berg, C., & Gembruch, U. (2023). Spectrum and Outcome of Prenatally Diagnosed Fetal Primary Cardiomyopathies—A Twenty-Year Overview. Journal of Clinical Medicine, 12(13), 4366. https://doi.org/10.3390/jcm12134366

