Factors Associated with Vascular Changes at the Level of Retinal Ganglion Cell Axon versus Soma/Dendrite in Glaucoma Patients
Abstract
1. Introduction
2. Materials and Methods
2.1. Participants
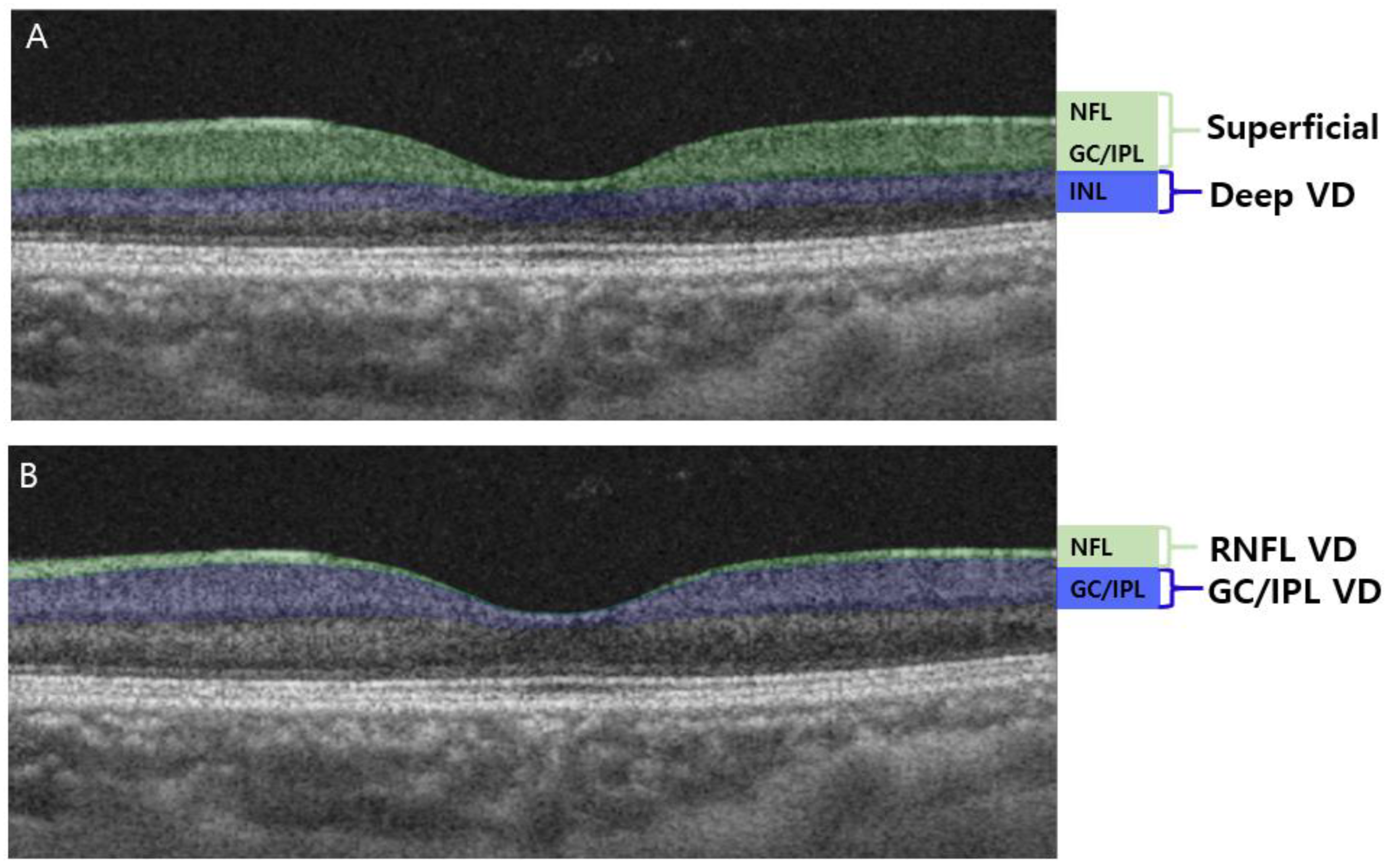
2.2. OCTA and VD Measurement
2.3. Statistical Analysis
3. Results
4. Discussion
Author Contributions
Funding
Institutional Review Board Statement
Informed Consent Statement
Data Availability Statement
Conflicts of Interest
References
- Quigley, H.; Anderson, D.R. Distribution of axonal transport blockade by acute intraocular pressure elevation in the primate optic nerve head. Investig. Ophthalmol. Vis. Sci. 1977, 16, 640–644. [Google Scholar]
- Quigley, H.A.; Addicks, E.M.; Green, W.R.; Maumenee, A. Optic nerve damage in human glaucoma: II. The site of injury and susceptibility to damage. Arch. Ophthalmol. 1981, 99, 635–649. [Google Scholar] [CrossRef]
- Casson, R.J.; Chidlow, G.; Crowston, J.G.; Williams, P.A.; Wood, J.P. Retinal energy metabolism in health and glaucoma. Prog. Retin. Eye Res. 2021, 81, 100881. [Google Scholar] [CrossRef]
- Hayreh, S. Anatomy and physiology of the optic nerve head. Trans. Am. Acad. Ophthalmol. Otolaryngol. 1974, 78, OP240–OP254. [Google Scholar] [PubMed]
- Radius, R.L. Anatomy of the optic nerve head and glaucomatous optic neuropathy. Surv. Ophthalmol. 1987, 32, 35–44. [Google Scholar] [CrossRef] [PubMed]
- Burgoyne, C.F.; Morrison, J.C. The anatomy and pathophysiology of the optic nerve head in glaucoma. J. Glaucoma 2001, 10, S16–S18. [Google Scholar] [CrossRef] [PubMed]
- Whitmore, A.V.; Libby, R.T.; John, S.W. Glaucoma: Thinking in new ways—A role for autonomous axonal self-destruction and other compartmentalised processes? Prog. Retin. Eye Res. 2005, 24, 639–662. [Google Scholar] [CrossRef]
- Yu, D.-Y.; Cringle, S.J.; Balaratnasingam, C.; Morgan, W.H.; Paula, K.Y.; Su, E.-N. Retinal ganglion cells: Energetics, compartmentation, axonal transport, cytoskeletons and vulnerability. Prog. Retin. Eye Res. 2013, 36, 217–246. [Google Scholar] [CrossRef]
- Dandona, L.; Hendrickson, A.; Quigley, H.A. Selective effects of experimental glaucoma on axonal transport by retinal ganglion cells to the dorsal lateral geniculate nucleus. Investig. Ophthalmol. Vis. Sci. 1991, 32, 1593–1599. [Google Scholar]
- Jeon, S.J.; Jung, K.I.; Park, C.K.; Park, H.-Y.L. Macular Blood Flow and Pattern Electroretinogram in Normal Tension Glaucoma. J. Clin. Med. 2022, 11, 1790. [Google Scholar] [CrossRef]
- El-Nimri, N.W.; Manalastas, P.I.C.; Zangwill, L.M.; Proudfoot, J.A.; Bowd, C.; Hou, H.; Moghimi, S.; Penteado, R.C.; Rezapour, J.; Ekici, E. Superficial and deep macula vessel density in healthy, glaucoma suspect, and glaucoma eyes. J. Glaucoma 2021, 30, e276–e284. [Google Scholar] [CrossRef] [PubMed]
- Jeon, S.J.; Shin, D.Y.; Park, H.L.; Park, C.K. Association of Retinal Blood Flow with Progression of Visual Field in Glaucoma. Sci. Rep. 2019, 9, 16813. [Google Scholar] [CrossRef]
- Jeon, S.J.; Park, H.L.; Park, C.K. Effect of Macular Vascular Density on Central Visual Function and Macular Structure in Glaucoma Patients. Sci. Rep. 2018, 8, 16009. [Google Scholar] [CrossRef] [PubMed]
- Oba, T.; Solmaz, N.; Onder, F. Peripapillary and Macular Vascular Density in Patients With Preperimetric and Early Primary Open Angle Glaucoma. J. Glaucoma 2022, 31, 724–733. [Google Scholar] [CrossRef] [PubMed]
- Subasi, S.; Yuksel, N.; Basaran, E.; Pirhan, D. Comparison of vessel density in macular and peripapillary regions between primary open-angle glaucoma and pseudoexfoliation glaucoma using OCTA. Int. Ophthalmol. 2021, 41, 173–184. [Google Scholar] [CrossRef] [PubMed]
- Lu, P.; Xiao, H.; Liang, C.; Xu, Y.; Ye, D.; Huang, J. Quantitative analysis of microvasculature in macular and peripapillary regions in early primary open-angle glaucoma. Curr. Eye Res. 2020, 45, 629–635. [Google Scholar] [CrossRef] [PubMed]
- Köse, H.C.; Tekeli, O. Optical coherence tomography angiography of the peripapillary region and macula in normal, primary open angle glaucoma, pseudoexfoliation glaucoma and ocular hypertension eyes. Int. J. Ophthalmol. 2020, 13, 744. [Google Scholar] [CrossRef]
- Cornelius, A.; Pilger, D.; Riechardt, A.; Reitemeyer, E.; Rübsam, A.; Winterhalter, S.; Maier, A.-K.B. Macular, papillary and peripapillary perfusion densities measured with optical coherence tomography angiography in primary open angle glaucoma and pseudoexfoliation glaucoma. Graefes Arch. Clin. Exp. Ophthalmol. 2022, 260, 957–965. [Google Scholar] [CrossRef]
- Lommatzsch, C.; Rothaus, K.; Koch, J.; Heinz, C.; Grisanti, S. OCTA vessel density changes in the macular zone in glaucomatous eyes. Graefes Arch. Clin. Exp. Ophthalmol. 2018, 256, 1499–1508. [Google Scholar] [CrossRef]
- Akil, H.; Chopra, V.; Al-Sheikh, M.; Falavarjani, K.G.; Huang, A.S.; Sadda, S.R.; Francis, B.A. Swept-source OCT angiography imaging of the macular capillary network in glaucoma. Br. J. Ophthalmol. 2018, 102, 515–519. [Google Scholar] [CrossRef]
- Khayrallah, O.; Mahjoub, A.; Mahjoub, A.; Ghorbel, M.; Mahjoub, H.; Knani, L.; Krifa, F. Optical coherence tomography angiography vessel density parameters in primary open-angle glaucoma. Ann. Med. Surg. 2021, 69, 102671. [Google Scholar] [CrossRef]
- Park, H.-Y.L.; Hong, K.E.; Jung, Y.; Kim, E.K.; Park, C.K. Microvasculature Recovery Detected Using Optical Coherence Tomography Angiography and the Rate of Visual Field Progression After Glaucoma Surgery. Investig. Ophthalmol. Vis. Sci. 2021, 62, 17. [Google Scholar] [CrossRef] [PubMed]
- Shin, D.Y.; Jeon, S.J.; Kim, E.K.; Jung, K.I.; Park, H.Y.L.; Park, C.K. Association between peripapillary scleral deformation and choroidal microvascular circulation in glaucoma. Sci. Rep. 2019, 9, 18503. [Google Scholar] [CrossRef] [PubMed]
- Park, H.Y.; Shin, D.Y.; Jeon, S.J.; Park, C.K. Association Between Parapapillary Choroidal Vessel Density Measured With Optical Coherence Tomography Angiography and Future Visual Field Progression in Patients With Glaucoma. JAMA Ophthalmol. 2019, 137, 681–688. [Google Scholar] [CrossRef] [PubMed]
- Park, H.-Y.L.; Kim, J.W.; Park, C.K. Choroidal microvasculature dropout is associated with progressive retinal nerve fiber layer thinning in glaucoma with disc hemorrhage. Ophthalmology 2018, 125, 1003–1013. [Google Scholar] [CrossRef] [PubMed]
- Shin, D.Y.; Hong, K.E.; Lee, N.Y.; Park, C.K.; Park, H.Y.L. Association of choroidal blood flow with autonomic dysfunction in patients with normal tension glaucoma. Sci. Rep. 2022, 12, 5136. [Google Scholar] [CrossRef]
- Kim, S.A.; Park, C.K.; Park, H.L. Comparison between frequency-doubling technology perimetry and standard automated perimetry in early glaucoma. Sci. Rep. 2022, 12, 10173. [Google Scholar] [CrossRef]
- Moghimi, S.; Zangwill, L.M.; Penteado, R.C.; Hasenstab, K.; Ghahari, E.; Hou, H.; Christopher, M.; Yarmohammadi, A.; Manalastas, P.I.C.; Shoji, T. Macular and optic nerve head vessel density and progressive retinal nerve fiber layer loss in glaucoma. Ophthalmology 2018, 125, 1720–1728. [Google Scholar] [CrossRef]
- Yarmohammadi, A.; Zangwill, L.M.; Diniz-Filho, A.; Saunders, L.J.; Suh, M.H.; Wu, Z.; Manalastas, P.I.C.; Akagi, T.; Medeiros, F.A.; Weinreb, R.N. Peripapillary and macular vessel density in patients with glaucoma and single-hemifield visual field defect. Ophthalmology 2017, 124, 709–719. [Google Scholar] [CrossRef]
- Shoji, T.; Zangwill, L.M.; Akagi, T.; Saunders, L.J.; Yarmohammadi, A.; Manalastas, P.I.C.; Penteado, R.C.; Weinreb, R.N. Progressive macula vessel density loss in primary open-angle glaucoma: A longitudinal study. Am. J. Ophthalmol. 2017, 182, 107–117. [Google Scholar] [CrossRef]
- Campbell, J.; Zhang, M.; Hwang, T.; Bailey, S.; Wilson, D.; Jia, Y.; Huang, D. Detailed vascular anatomy of the human retina by projection-resolved optical coherence tomography angiography. Sci. Rep. 2017, 7, 42201. [Google Scholar] [CrossRef] [PubMed]
- Penteado, R.C.; Zangwill, L.M.; Daga, F.B.; Saunders, L.J.; Manalastas, P.I.C.; Shoji, T.; Akagi, T.; Christopher, M.; Yarmohammadi, A.; Moghimi, S. Optical coherence tomography angiography macular vascular density measurements and the central 10-2 visual field in glaucoma. J. Glaucoma 2018, 27, 481. [Google Scholar] [CrossRef] [PubMed]
- Harris, J.J.; Attwell, D. The energetics of CNS white matter. J. Neurosci. 2012, 32, 356–371. [Google Scholar] [CrossRef] [PubMed]
- Yu, D.-Y.; Cringle, S.J. Oxygen distribution and consumption within the retina in vascularised and avascular retinas and in animal models of retinal disease. Prog. Retin. Eye Res. 2001, 20, 175–208. [Google Scholar] [CrossRef] [PubMed]
- Hennis, A.; Wu, S.-Y.; Nemesure, B.; Leske, M.C.; Group, B.E.S. Hypertension, diabetes, and longitudinal changes in intraocular pressure. Ophthalmology 2003, 110, 908–914. [Google Scholar] [CrossRef] [PubMed]
- Mitchell, P.; Lee, A.J.; Rochtchina, E.; Wang, J.J. Open-angle glaucoma and systemic hypertension: The blue mountains eye study. J. Glaucoma 2004, 13, 319–326. [Google Scholar] [CrossRef] [PubMed]
- Barry, C.; Cooper, R.; Eikelboom, R. Optic disc haemorrhages and vascular abnormalities in a glaucoma population. Aust. N. Z. J. Ophthalmol. 1997, 25, 137–143. [Google Scholar] [CrossRef]




| Variables | 66 Eyes |
|---|---|
| Age, years | 53.73 ± 12.22 |
| Sex, male/female | 23/43 |
| BCVA, decimals | 0.94 ± 0.12 |
| Baseline IOP, mmHg | 15.33 ± 2.51 |
| Mean IOP, mmHg | 14.01 ± 2.67 |
| CCT, µm | 534.29 ± 35.38 |
| Spherical equivalent, D | −2.06 ± 2.64 |
| RNFL thickness, µm | 89.94 ± 11.17 |
| GC/IPL thickness, µm | 63.36 ± 5.51 |
| PP VD | 45.56 ± 1.30 |
| RNFL VD (%) | 40.92 ± 1.26 |
| GC/IPL VD (%) | 44.80 ± 1.64 |
| Disc hemorrhage, n (%) | 16 (24.2%) |
| Microvasculature dropout, n (%) | 30 (46.2%) |
| MD, dB | −2.39 ± 1.99 |
| PSD, dB | 4.37 ± 2.85 |
| Paracentral scotoma, n (%) | 38 (57.6%) |
| Diabetes mellitus, n (%) | 6 (9.1%) |
| Systemic hypertension, n (%) | 8 (12.1%) |
| Variables | High GC/IPL VD Ratio | Low GC/IPL VD Ratio | p-Value |
|---|---|---|---|
| (n = 33) | (n = 33) | ||
| Age, years | 54.42 ± 11.63 | 53.03 ± 12.93 | 0.647 |
| BCVA, decimals | 0.95 ± 0.10 | 0.92 ± 0.14 | 0.190 |
| Baseline IOP, mmHg | 15.33 ± 2.52 | 15.34 ± 2.59 | 0.987 |
| Mean IOP, mmHg | 14.50 ± 2.72 | 13.53 ± 2.55 | 0.141 |
| CCT, µm | 535.91 ± 34.78 | 532.61 ± 36.50 | 0.715 |
| Spherical equivalent, D | −2.00 ± 2.44 | −2.12 ± 2.86 | 0.856 |
| RNFL thickness, µm | 90.91 ± 9.78 | 88.97 ± 12.48 | 0.485 |
| GC/IPL thickness, µm | 63.92 ± 5.33 | 62.81 ± 5.71 | 0.415 |
| PP VD | 45.67 ± 1.42 | 45.44 ± 1.16 | 0.457 |
| PP VD ratio | 0.82 ± 0.10 | 0.74 ± 0.14 | 0.015 |
| RNFL VD (%) | 41.44 ± 1.14 | 40.41 ± 1.17 | 0.001 |
| RNFL VD ratio | 0.83 ± 0.15 | 0.65 ± 0.13 | <0.001 |
| Disc hemorrhage, n (%) | 6 (18.2%) | 10 (30.3%) | 0.251 |
| Microvasculature dropout, n (%) | 13 (39.4%) | 17 (53.1%) | 0.267 |
| MD, dB | −1.84 ± 1.90 | −2.95 ± 1.96 | 0.022 |
| PSD, dB | 3.63 ± 2.57 | 5.16 ± 2.96 | 0.035 |
| Paracentral scotoma, n (%) | 15 (45.5%) | 23 (69.7%) | 0.046 |
| Diabetes mellitus, n (%) | 2 (6.1%) | 4 (12.1%) | 0.392 |
| Systemic hypertension, n (%) | 1 (3.0%) | 7 (21.2%) | 0.024 |
| RNFL VD Ratio | GC/IPL VD Ratio | |||
|---|---|---|---|---|
| R | p-Value * | R | p-Value * | |
| Mean IOP, mmHg | 0.081 | 0.52 | 0.14 | 0.262 |
| CCT, µm | 0.062 | 0.627 | 0.022 | 0.866 |
| Spherical equivalent, D | 0.078 | 0.541 | −0.13 | 0.304 |
| PP VD | 0.125 | 0.318 | 0.128 | 0.306 |
| PP VD ratio | 0.341 | 0.005 | 0.451 | 0.000 |
| RNFL thickness, µm | 0.343 | 0.005 | 0.067 | 0.596 |
| GC/IPL thickness, µm | 0.409 | 0.001 | 0.034 | 0.783 |
| MD, dB | 0.284 | 0.021 | 0.243 | 0.049 |
| PSD, dB | −0.519 | 0.000 | −2.226 | 0.067 |
| Variables | Univariate Model | Multivariate Model | ||
|---|---|---|---|---|
| Odds Ratio, (95% CI) | p-Value | Odds Ratio (95% CI) | p-Value | |
| Age, years | 0.000, (−0.004 to 0.003) | 0.815 | ||
| Baseline IOP, mmHg | −0.003, (−0.019 to 0.012) | 0.677 | ||
| Mean IOP, mmHg | 0.008, (−0.006 to 0.023) | 0.262 | ||
| CCT, µm | 9.810E-5, (−0.001 to 0.001) | 0.866 | ||
| Spherical equivalent, D | −0.008, (−0.023 to 0.007) | 0.304 | ||
| RNFL thickness, µm | 0.001, (−0.003 to 0.004) | 0.596 | ||
| GC/IPL thickness, µm | 0.001, (−0.006 to 0.008) | 0.783 | ||
| PP VD | 0.016, (−0.015 to 0.046) | 0.306 | ||
| RNFL VD | 0.043, (0.013 to 0.072) | 0.005 | 0.038, (0.007 to 0.069) | 0.017 |
| Disc hemorrhage | −0.043, (−0.134 to 0.048) | 0.348 | ||
| Microvasculature dropout | −0.04, (−0.119 to 0.039) | 0.319 | ||
| MD, dB | 0.019, (0.000 to 0.038) | 0.049 | 0.016, (−0.009 to 0.041) | 0.2 |
| PSD, dB | −0.013, (−0.026 to 0.001) | 0.067 | −0.002, (−0.020 to 0.016) | 0.847 |
| Paracentral scotoma | −0.076, (−0.153 to 0.001) | 0.053 | −0.07, (−0.092 to 0.078) | 0.878 |
| Diabetes mellitus | −0.005, (−0.191 to 0.080) | 0.417 | ||
| Systemic hypertension | −0.145, (−0.260 to −0.031) | 0.014 | −0.124, (−0.235 to −0.012) | 0.03 |
| Variables | Univariate Model | Multivariate Model | ||
|---|---|---|---|---|
| Odds Ratio, (95% CI) | p-Value | Odds Ratio, (95% CI) | p-Value | |
| Age, years | −0.001, (−0.003 to 0.002) | 0.645 | ||
| Baseline IOP, mmHg | 0.007, (−0.004 to 0.018) | 0.196 | ||
| Mean IOP, mmHg | 0.002, (−0.008 to 0.013) | 0.671 | ||
| CCT, µm | 0.000, (−0.001 to 0.001) | 0.54 | ||
| Spherical equivalent, D | 0.006, (−0.004 to 0.017) | 0.235 | ||
| RNFL thickness, µm | 0.002, (0.000 to 0.005) | 0.089 | 0.002, (−0.001 to 0.004) | 0.13 |
| GC/IPL thickness, µm | 0.006, (0.001 to 0.010) | 0.021 | −0.001, (−0.006 to 0.005) | 0.801 |
| GC/IPL VD | 0.002, (−0.014 to 0.019) | 0.778 | ||
| Disc hemorrhage | −0.054, (−0.117 to 0.008) | 0.087 | −0.027, (−0.083 to 0.029) | 0.338 |
| Microvasculature dropout | −0.043, (−0.097 to 0.012) | 0.125 | ||
| MD, dB | 0.008, (−0.006 to 0.021) | 0.265 | ||
| PSD, dB | −0.012, (−0.021 to −0.002) | 0.015 | −0.002, (−0.012 to 0.007) | 0.605 |
| Paracentral scotoma | −0.125, (−0.171 to −0.079) | <0.001 | −0.115, (−0.167 to −0.064) | <0.001 |
| Diabetes mellitus | 0.004, (−0.092 to 0.099) | 0.938 | ||
| Systemic hypertension | −0.015, (−0.099 to 0.069) | 0.717 | ||
| Variables | Univariate Model | Multivariate Model | ||
|---|---|---|---|---|
| Odds Ratio, (95% CI) | p-Value | Odds Ratio, (95% CI) | p-Value | |
| Age, years | −0.001, (−0.003 to 0.002) | 0.63 | ||
| Baseline IOP, mmHg | 0.004, (−0.007 to 0.016) | 0.466 | ||
| Mean IOP, mmHg | 0.002, (−0.008 to 0.013) | 0.671 | ||
| CCT, µm | 0.000, (−0.001 to 0.001) | 0.952 | ||
| Spherical equivalent, D | 0.001, (−0.010 to 0.012) | 0.88 | ||
| RNFL thickness, µm | −0.001, (−0.004 to 0.001) | 0.39 | ||
| GC/IPL thickness, µm | −0.002, (−0.007 to 0.003) | 0.507 | ||
| RNFL VD | 0.014, (−0.009 to 0.036) | 0.232 | 0.011, (−0.013 to 0.034) | 0.365 |
| Disc hemorrhage | 0.004, (−0.063 to 0.070) | 0.915 | ||
| Microvasculature dropout | −0.007, (−0.066 to 0.051) | 0.801 | ||
| MD, dB | 0.004, (−0.010 to 0.019) | 0.543 | ||
| PSD, dB | 0.003, (−0.007 to 0.013) | 0.502 | ||
| Paracentral scotoma | −0.03, (−0.087 to 0.028) | 0.308 | 0.002, (−0.058 to 0.061) | 0.952 |
| Diabetes mellitus | −0.029, (−0.128 to 0.070) | 0.558 | ||
| Systemic hypertension | −0.142, (−0.222 to −0.061) | 0.001 | −0.138, (−0.211 to −0.055) | 0.001 |
Disclaimer/Publisher’s Note: The statements, opinions and data contained in all publications are solely those of the individual author(s) and contributor(s) and not of MDPI and/or the editor(s). MDPI and/or the editor(s) disclaim responsibility for any injury to people or property resulting from any ideas, methods, instructions or products referred to in the content. |
© 2023 by the authors. Licensee MDPI, Basel, Switzerland. This article is an open access article distributed under the terms and conditions of the Creative Commons Attribution (CC BY) license (https://creativecommons.org/licenses/by/4.0/).
Share and Cite
Oh, S.-E.; Shin, H.-J.; Park, C.-K.; Park, H.-Y.L. Factors Associated with Vascular Changes at the Level of Retinal Ganglion Cell Axon versus Soma/Dendrite in Glaucoma Patients. J. Clin. Med. 2023, 12, 4221. https://doi.org/10.3390/jcm12134221
Oh S-E, Shin H-J, Park C-K, Park H-YL. Factors Associated with Vascular Changes at the Level of Retinal Ganglion Cell Axon versus Soma/Dendrite in Glaucoma Patients. Journal of Clinical Medicine. 2023; 12(13):4221. https://doi.org/10.3390/jcm12134221
Chicago/Turabian StyleOh, Si-Eun, Hee-Jong Shin, Chan-Kee Park, and Hae-Young Lopilly Park. 2023. "Factors Associated with Vascular Changes at the Level of Retinal Ganglion Cell Axon versus Soma/Dendrite in Glaucoma Patients" Journal of Clinical Medicine 12, no. 13: 4221. https://doi.org/10.3390/jcm12134221
APA StyleOh, S.-E., Shin, H.-J., Park, C.-K., & Park, H.-Y. L. (2023). Factors Associated with Vascular Changes at the Level of Retinal Ganglion Cell Axon versus Soma/Dendrite in Glaucoma Patients. Journal of Clinical Medicine, 12(13), 4221. https://doi.org/10.3390/jcm12134221

