Abstract
Background: The aim of this study was to analyze the outcome of emergency thoracic endovascular aortic repair (TEVAR) in the treatment of “primary aortic” (aneurysm, aortic dissection, penetrating aortic ulcer (PAU)) and “secondary aortic” (iatrogenic, trauma, and aortoesophageal fistula) pathologies. Methods: Retrospective review of a cohort of patients treated at a single tertiary referral center from 2015 to 2021. The primary end point was postoperative in-hospital mortality. Secondary end points were the duration of the procedure, duration of postoperative intensive care treatment, length of hospital stay, and the nature and severity of postoperative complications according to the Dindo–Clavien classification. Results: A total of 34 patients underwent TEVAR for emergency indications. Twenty-two patients were treated for primary and twelve patients for secondary aortic pathologies. Concerning in-hospital mortality, no statistically significant difference could be observed between the primary and secondary aortic groups (27.3% vs. 33.3%, p = 0.711). Patients with an aortoesophageal fistula had a mortality rate of 66.7%. Postoperative morbidity (Dindo–Clavien > 3) was also not statistically significantly different between the primary and secondary aortic groups (36.4% vs. 33.3%, p = 0.86). Preoperative hemoglobin level (p < 0.001 for mortality, p = 0.002 for morbidity), hemoglobin level difference (p = 0.022, p = 0.032), postoperative creatinine level (p = 0.009, p = 0.035), and pre- and postoperative lactate levels (p < 0.001 for both mortality and morbidity) were found to be independent factors associated with postoperative mortality and morbidity (Dindo–Clavien > 3), respectively. The preoperative creatinine level was found to be associated with mortality (p = 0.024) but not morbidity. Conclusions: Morbidity and in-hospital mortality are still considerable after emergency TEVAR for both primary and secondary aortic indications. Pre- and postoperative levels of hemoglobin, creatinine, and lactate may be valuable to predict patient outcomes.
1. Introduction
In 1987 in Ukraine, Volodos et al. performed the first thoracic endovascular aortic repair (TEVAR) to treat a traumatic thoracic aortic aneurysm. Later, Parodi et al. and Dake et al. reported on successful TEVAR procedures [1,2,3]. Thoracic aortic emergencies involve several etiologies, including rupture of thoracic aneurysms, complicated acute Stanford type B dissections, penetrating aortic ulcers (PAU), injury, and iatrogenic, aortoesophageal, and aortobronchial fistulas [4].
With the improvement of endovascular stent grafts and growing expertise in endovascular surgery, emergency surgery for pathologies of the thoracic aorta is nowadays dominated by TEVAR procedures.
In particular, the use of endografts in traumatic aortic rupture was a revolution in the treatment of these patients, with large multicentric studies showing a clear advantage over open surgery in terms of in-hospital mortality [5,6,7]. Despite the absence of RCTs comparing open and endovascular surgery, TEVAR is nowadays considered the gold standard for treating traumatic thoracic aortic lesions [8,9,10]. Lower in-hospital mortality rates for TEVAR over open surgery were also observed regarding ruptured thoracic aortic aneurysms and aortic dissections [11,12,13,14,15,16,17,18]. Regarding complicated type B aortic dissections, the evidence is scarce, and no RCTs have been published comparing open with endovascular therapy [19]. A meta-analysis from 2021 compared TEVAR for complicated and uncomplicated aortic dissections. No differences in in-hospital mortality (OR 0.01 (0–0.05), p = 0.007) were observed between the groups [20].
Aortoesophageal fistula is a rare and frequently fatal condition, even with early diagnosis and treatment. A primary aortoesophageal fistula arises from thoracic aortic aneurysms, presence of a foreign body, or tumor. Secondary fistulas are related to endovascular or esophagectomy procedures [21]. TEVAR also presents advantages compared to open repair in terms of mortality and morbidity, despite only data from small cohort studies being available [22,23,24,25,26,27,28,29,30,31]. Some authors also suggest the use of TEVAR as a bridging procedure in the treatment of locally advanced esophageal cancer with aortic affection to facilitate chemoradiotherapy and, eventually, subsequent resection [32,33]. Lastly, case reports and small case series reported on the feasibility of TEVAR for radiogenic and iatrogenic lesions of the aorta [17,30,34].
The aim of this study was to analyze the outcome of endovascular interventions in the emergency treatment of thoracic aortic pathology in a single tertiary referral centre in Germany, comparing “primary aortic” (aneurysm, aortic dissection, PAU) with “secondary aortic” (iatrogenic, trauma, and aortoesophageal fistula) lesions.
2. Methods
All patients 18 years and older at the time of surgery who were treated for an aortoesophageal fistula, trauma, iatrogenic thoracic aortic lesions, and thoracic aortic aneurysms, dissections, or PAU and who underwent endovascular treatment in an emergency setting at the Department for Visceral, Vascular, and Endocrine Surgery at the University Hospital Halle (Saale), Germany from 2015 to 2021 were included in the study.
The primary outcome of the study was postoperative in-hospital mortality. Secondary outcomes were the duration of the procedure, duration of postoperative intensive care treatment, length of hospital stay, and the nature and severity of postoperative complications according to the Dindo–Clavien classification [35]. All outcomes and patients’ demographic characteristics and co-morbidities (hypertension, diabetes mellitus, chronic heart disease, renal insufficiency, and chronic obstructive pulmonary disease, all defined as patients having chronic medication) were collected by retrospective chart review and entered into a study database following anonymization. As all data were processed fully anonymously, the need for ethical approval and informed consent of patients was waived by the competent ethical committee (Ethics Committee of the Medical Faculty of the Martin-Luther-University Halle-Wittenberg) according to Section 17 of the Hospital Act of the Federal State of Saxony-Anhalt and Section 15 of the Saxony-Anhalt Medical Association’s professional code of conduct. Pearson’s X2 test was used to identify independent factors associated with early death and postoperative morbidity. The Mann–Whitney test was used to compare continuous and ordinal variables, and the Chi-square test was used to compare categorical variables. A p-value of 0.05 determined statistical significance. IBM SPSS Statistics 27 (IBM, Chicago, IL, USA) was used to perform the analysis.
3. Results
3.1. Demographics and Clinical Characteristics
A total of 34 patients, 22 with primary aortic and 12 with secondary aortic indications, underwent emergency TEVAR during the study period. In the “primary aortic” (aneurysm, aortic dissection, PAU) and “secondary aortic” (iatrogenic, trauma, aortoesophageal fistula) groups, 72.7% and 83.3% were male, respectively (p = 0.486). The mean age was 71.4 and 51.9 years (p = 0.002) in the primary aortic and secondary aortic groups, respectively. Patients in the aortic group had a higher prevalence of high blood pressure (77.2% vs. 66.7%, p = 0.003), diabetes mellitus (13.6% vs. 0%, p = 0.18), chronic heart disease (27.3% vs. 16.7%, p = 0.49), hyperlipidemia (13.6% vs. 0%, p = 0.18), renal insufficiency (27.3% vs. 0%, p = 0.046), and COPD (18.2 vs. 0%, p = 0.116). A summary of relevant demographics and co-morbidities is presented in Table 1.
Table 1.
Summary of the baseline and clinicopathologic features in 34 patients undergoing emergency TEVAR from 2015–2021 (Mann–Whitney test for continuous and ordinal variables and Chi-square test to the categorical variables used to compared primary and secondary Aortic groups).
3.2. Etiology, Classification, Laboratory Values and Outcomes
In the primary aortic group, 64% had an aneurysm (Figure 1), 18% had an aortic dissection, and 18% a PAU. In the secondary aortic group, 17% had an iatrogenic aortic lesion after spine surgery, 58% a trauma, and 25% an aortoesophageal fistula (Figure 2 and Figure 3). All patients underwent CT scan for diagnosis and after the surgery (Figure 4). Percutaneous access was performed in 31.8% of the patients in the primary aortic and 41.7% in the secondary aortic group (p = 0.566). An operation in local anesthesia was performed in 31.8% of the patients in the primary aortic group and 25% in the secondary aortic group (p = 0.677). Median duration of hospital stay was longer in the primary aortic group compared to the secondary aortic group (14.5 vs. 8 days, p = 0.746). Simultaneous surgery was similarly frequent in both groups (22.7% vs. 25%, p = 0.881). Procedures included: hepatic artery bypass, aortic arch debranching, surgical treatment of a pelvic fracture, thoracotomy, bowel resection, trepanation, ECMO implantation, and splenectomy.
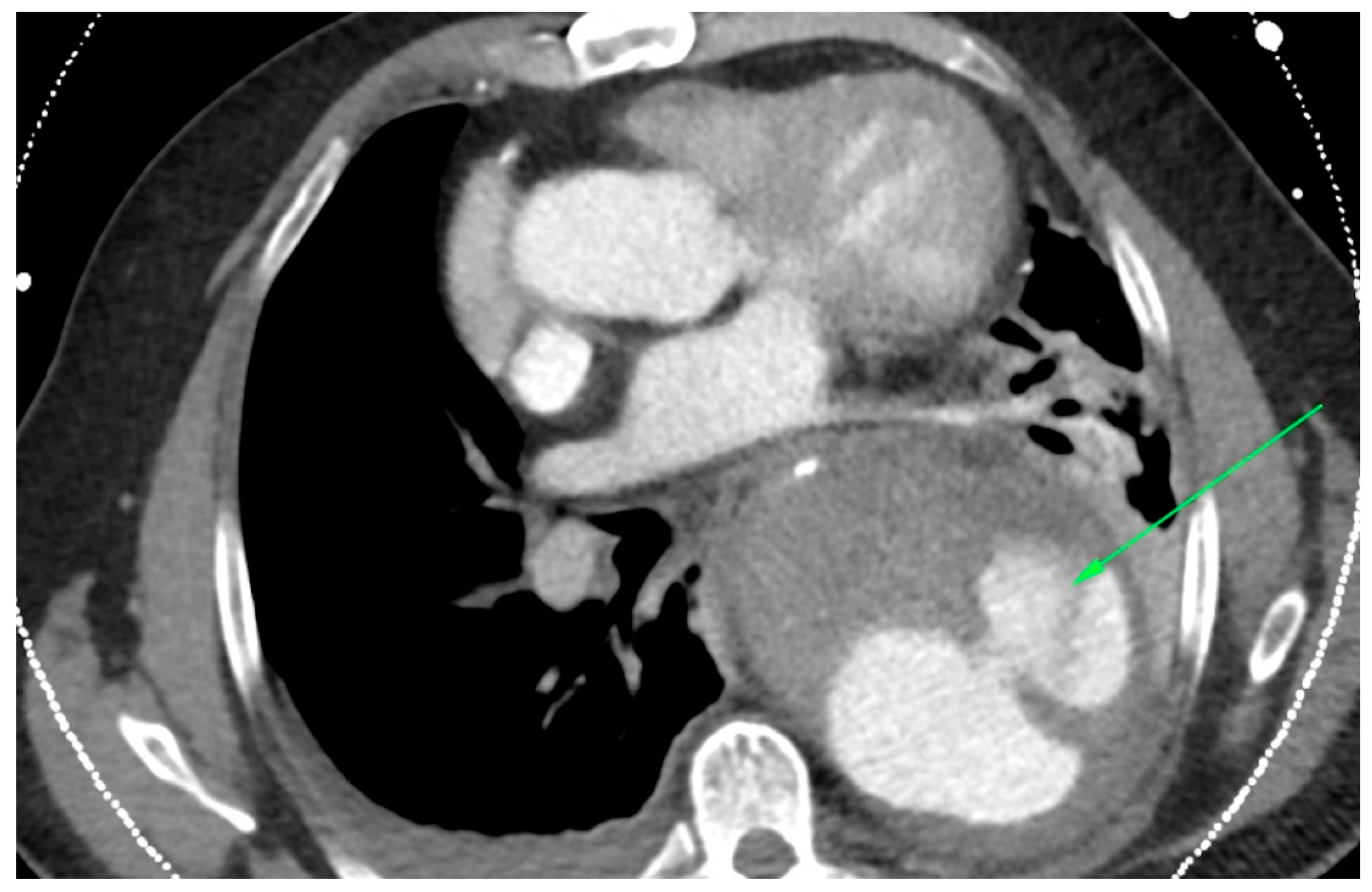
Figure 1.
CT-scan of a thoracic aortic aneurysm rupture (green arrow).
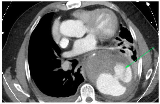
Figure 2.
CT-scan of a thoracic aortic aneurysm rupture with an aortoesophageal fistula (green arrow).
Figure 3.
Intraoperative image of an aortoesophageal fistula.
Figure 4.
Intraoperative image of an aortoesophageal fistula.
Regarding the preoperative laboratory values, anemia and elevated lactate and creatinine levels were more frequent in the secondary aortic group when compared to the primary aortic group (Hb 6.36 (±1.1) vs. 6.62 (±1.1) mmol/L, p = 0.942, 92.1 (±43.6) vs. 80.46 (±29.1) mmol/L, p = 0.528, and 5.2 (±5.57) vs. 1.35 (±0.21) umol/L, p = 0.029). Regarding the postoperative laboratory values, anemia and elevated lactate and creatinine levels were also more frequent in the secondary aortic group when compared to the primary aortic group (Hb 5.93 (±0.9) vs. 5.65 (±0.071) mmol/L, p = 0.9, 97.2 (±47.8) vs. 44.5 (±20.5), p = 0.614, and 4.1 (±4.7) vs. 1.15 (±1.43) umol/L, p = 0.233).
Concerning in-hospital mortality, no statistically significant difference could be observed between the primary and secondary aortic groups (27.3% vs. 33.3%, p = 0.711). No patient died after treatment for PAU or iatrogenic lesions. Mortality rates after TEVAR for aneurysm, dissection and traumatic lesions were 35.7%, 25% and 28.6%, respectively. Patients with aortoesophageal fistula had the highest mortality rate (66.7%). Morbidity (Dindo–Clavien grade > 3) was not significantly different between the primary and secondary aortic groups (36.4% vs. 33.3%, p = 0.86). Morbidity included groin hematoma, thoracic bleeding, and multiple organ dysfunction. Two patients underwent a second TEVAR procedure for endoleak type I during the hospital stay. A summary is presented in Table 2.
Table 2.
Preoperative laboratory values, technical details, and postoperative outcomes in 34 patients undergoing emergency TEVAR from 2015–2021 (Mann–Whitney test for continuous and ordinal variables and Chi-square test to the categorical variables used to compared primary and secondary aortic groups).
3.3. Independent Factors Associated with Early Death and Postoperative Morbidity
Preoperative hemoglobin level (p < 0.001 for mortality and p = 0.002 for morbidity), hemoglobin level difference (p = 0.022 and p = 0.032), postoperative creatinine level (p = 0.009 and p = 0.035), and pre- and postoperative lactate levels (p < 0.001 for both mortality and morbidity) were found to be independent factors associated with postoperative mortality and morbidity (Dindo–Clavien > 3), respectively. Preoperative creatinine level was found to be associated with mortality (p = 0.024) but not morbidity. A summary is presented in Table 3.
Table 3.
Pearson’s X2 test analysis of independent factors associated with in-hospital mortality and postoperative morbidity (Dindo–Clavien ≥ 3) in the study population.
4. Discussion
In this retrospective study, we report our single center experience with emergency TEVAR for primary and secondary aortic lesions. Despite patients with secondary aortic pathology being younger and having fewer co-morbidities, no statistically significant difference could be observed concerning mortality and morbidity when compared to the primary aortic group. This could be related to the more unstable condition of these patients, mirrored by higher lactate levels. In other studies, patients with primary aortic pathologies such as aneurysms were also found to have more co-morbidities [36]. Our data are comparable to a recent multicentric VASCUNET register study from 11 countries involving 9,518 TEVAR procedures for thoracic aortic aneurysms, type B aortic dissections, and traumatic aortic injuries. After repair for ruptured thoracic aneurysm, perioperative mortality was 26.8% [37]. Data from centers in the UK and Germany concerning emergency repair for thoracic aortic aneurysms also showed similar death rates of 30% and 44%, respectively [38,39].
Concerning traumatic aortic injuries, our small patient collective (n = 7) had a mortality rate of 26.8%. We did not include patients undergoing delayed repair, which may explain this relatively high mortality rate. In a retrospective review of a US National Trauma Database, 2821 patients with blunt traumatic aortic injury were included. Mortality was higher in patients undergoing early TEVAR compared to delayed TEVAR across injury severity groups and was independent of serious extra-thoracic injuries (9.8% vs. 4.4%, p = 0.001) [40].
In the patients included in our analysis, there were three patients treated for an aortoesophageal fistula. Only one patient, treated for primary fistula with esophagectomy and TEVAR in the same procedure, survived (Figure 2, Figure 3, Figure 4 and Figure 5). This patient is still alive and in follow-up. The other two patients treated for a secondary fistula due to anastomotic leak after esophagectomy for esophageal cancer died after TEVAR. The incidence of an aortoesophageal fistula after TEVAR for primary aortic pathologies is low, as demonstrated in the European Registry of Endovascular Aortic Repair Complications (1.5%). In this cohort, the highest 1-year survival (46%) could be achieved via an aggressive treatment, including radical esophagectomy and aortic graft replacement [41]. In our patient population, we did not treat patients with a secondary fistula after TEVAR. In a 2014 review, 55 articles were included which reported on 72 patients treated with TEVAR for aortoesophageal fistula. Similar to our data (100% technical success rate), the technical success rate was 87.3%. Nevertheless, the overall 30-day mortality was significantly lower (19.4%) than in our series [42]. In a 2009 meta-analysis, 43 patients with aortoesophageal fistula were identified. Mortality after TEVAR was 19%. Patients who underwent esophageal surgery in the first month after TEVAR had lower fistula-related mortality during 6 months of follow-up compared to the other patients (p = 0.018) [43].
Figure 5.
Postoperative CT scan after TEVAR.
In our patient collective, we did not perform routine simultaneous hemothorax decompression. In a small case series of 17 patients, lower rates of respiratory failure (50.0% vs. 16.7%, p = 0.198) and 90-day mortality (62.5% vs. 33.3%, p = 0.280) were observed for patients with immediate hemothorax decompression [44]. We opted to perform a CT scan and then perform a staged decompression after surgery if needed.
The second finding is related to the independent predictors of mortality and morbidity identified in our patient population: preoperative hemoglobin level, hemoglobin level difference (p = 0.022), postoperative creatinine level, and pre- and postoperative lactate levels, confirming the importance of the perioperative blood, fluid, and electrolyte management of these patients. These results must be carefully interpreted as we could not assess data regarding transfusion of blood products. How far these findings are relevant in clinical practice should be assessed in future prospective studies. Developing a risk score may be helpful in defining the prognosis of these patients.
This study has some limitations. The main drawback is that it is based on a small number of patients. Its retrospective design is another significant limitation, increasing the risk of bias considerably. It was not possible to collect data on operation timing and blood transfusion, for example. Therefore, the data should be carefully interpreted and applied. Nevertheless, the findings of this work may provide useful information for clinicians treating thoracic aortic emergencies.
Thoracic aortic emergencies are a challenge for vascular surgeons. In a small patient collective, we showed that endovascular techniques were feasible with acceptable morbidity and in-hospital mortality for pathologies which a priori have a limited prognosis. Early referral to vascular and surgical oncology centers with expertise in thoracic endovascular treatments and esophageal surgery may be critical for these patients. Multidisciplinary teams are needed for the treatment of these complex pathologies. In order to more thoroughly assess, and to possibly improve, outcomes of these procedures, multicentric trials and international databases and clinical registries seem desirable. Such larger-scale research endeavors providing real-world data on these procedures may paint a clearer picture of relevant outcomes and how we may be able to positively influence them.
Author Contributions
A.R. outlined, wrote, and drafted the manuscript. J.P., U.R., E.J., J.K. and J.U. critically revised the manuscript. All authors have read and agreed to the published version of the manuscript.
Funding
This work was partially supported by the Advanced Clinician Scientist Program of the Medical Faculty of the Martin-Luther-University Halle-Wittenberg, Halle (Saale), Germany. The content is solely the responsibility of the authors and does not represent the official views of the funding agencies. We also acknowledge the financial support of the Open Access Publication Fund of the Martin-Luther-University Halle-Wittenberg.
Institutional Review Board Statement
The study was performed in accordance with the Declaration of Helsinki. As all data were processed fully anonymously, the need for ethical approval and informed consent of patients was waived by the competent ethical committee (Ethics Committee of the Medical Faculty of the Martin-Luther-University Halle-Wittenberg) according to Section 17 of the Hospital Act of the Federal State of Saxony-Anhalt and Section 15 of the Saxony-Anhalt Medical Association’s professional code of conduct.
Informed Consent Statement
Not applicable.
Data Availability Statement
The data that support the findings of this study are available from the corresponding author, but restrictions apply to the availability of these data, which were used under license for the current study and so are not publicly available. Data are, however, available from the corresponding author upon reasonable request and with permission of the ethics committee of the University Hospital Halle (Saale).
Conflicts of Interest
The authors declare no conflict of interest.
References
- Volodos, N.L.; Karpovich, I.P.; Shekhanin, V.E.; Troian, V.I.; Iakovenko, L.F. A case of distant transfemoral endoprosthesis of the thoracic artery using a self-fixing synthetic prosthesis in traumatic aneurysm. Grud. Khir. 1988, 84–86. [Google Scholar]
- Parodi, J.C. Endovascular repair of aortic aneurysms, arteriovenous fistulas, and false aneurysms. World J. Surg. 1996, 20, 655–663. [Google Scholar] [CrossRef] [PubMed]
- Dake, M.D.; Miller, D.C.; Semba, C.P.; Mitchell, R.S.; Walker, P.J.; Liddell, R.P. Transluminal placement of endovascular stent-grafts for the treatment of descending thoracic aortic aneurysms. N. Engl. J. Med. 1994, 331, 1729–1734. [Google Scholar] [CrossRef]
- Vilacosta, I.; Roman, J.A. Acute aortic syndrome. Heart 2001, 85, 365–368. [Google Scholar] [CrossRef]
- Demetriades, D.; Velmahos, G.C.; Scalea, T.M.; Jurkovich, G.J.; Karmy-Jones, R.; Teixeira, P.G.; Hemmila, M.R.; O’Connor, J.V.; McKenney, M.O.; Moore, F.O.; et al. Operative Repair or Endovascular Stent Graft in Blunt Traumatic Thoracic Aortic Injuries: Results of an American Association for the Surgery of Trauma Multicenter Study. J. Trauma 2008, 64, 561–571. [Google Scholar] [CrossRef]
- Dubose, J.J.; Leake, S.S.; Brenner, M.; Pasley, J.; Callaghan, T.O.; Luo-Owen, X.; Trust, M.D.; Mooney, J.; Zhao, F.Z.; Azizzadeh, A.; et al. Contemporary management and outcomes of blunt thoracic aortic injury: A multicenter retrospective study. J. Trauma Acute Care Surg. 2015, 78, 360–369. [Google Scholar] [CrossRef]
- Pang, D.; Hildebrand, D.; Bachoo, P. Thoracic endovascular repair (TEVAR) versus open surgery for blunt traumatic thoracic aortic injury. Cochrane Database Syst. Rev. 2019, 2019, CD006642. [Google Scholar] [CrossRef]
- Mousa, A.Y.; Dombrovskiy, V.Y.; Haser, P.B.; Graham, A.M.; Vogel, T.R. Thoracic Aortic Trauma: Outcomes and Hospital Resource Utilization after Endovascular and Open Repair. Vascular 2010, 18, 250–255. [Google Scholar] [CrossRef]
- Lee, W.A.; Matsumura, J.S.; Mitchell, R.S.; Farber, M.A.; Greenberg, R.K.; Azizzadeh, A.; Murad, M.H.; Fairman, R.M. Society for vascular surgery® documents endovascular repair of traumatic thoracic aortic injury: Clinical practice guidelines of the Society for Vascular Surgery. J. Vasc. Surg. 2011, 53, 187–192. [Google Scholar] [CrossRef] [PubMed]
- Murad, M.H.; Rizvi, A.Z.; Malgor, R.; Carey, J.; Alkatib, A.A.; Erwin, P.J.; Lee, W.A.; Fairman, R.M. Comparative effectiveness of the treatments for thoracic aortic transaction. J. Vasc. Surg. 1997, 53, 193–199.e21. [Google Scholar] [CrossRef]
- Jonker FH, W.; Verhagen HJ, M.; Mojibian, H.; Davis, K.A.; Moll, F.L.; Muhs, B.E.; Haven, N. Aortic endograft sizing in trauma patients with hemodynamic instability. J. Vasc. Surg. 2009, 52, 39–44. [Google Scholar] [CrossRef] [PubMed]
- Xenos, E.S.; Abedi, N.N.; Davenport, D.L.; Minion, D.J.; Hamdallah, O.; Sorial, E.E.; Endean, E.D. From the Southern Association for Vascular Surgery Meta-analysis of endovascular vs open repair for traumatic descending thoracic aortic rupture. J. Vasc. Surg. 2007, 48, 1343–1351. [Google Scholar] [CrossRef] [PubMed]
- Xenos, E.S.; Minion, D.J.; Davenport, D.L.; Hamdallah, O.; Abedi, N.N.; Sorial, E.E.; Endean, E.D. Endovascular versus open repair for descending thoracic aortic rupture: Institutional experience and meta-analysis. Eur. J. Cardio-Thorac. Surg. 2009, 35, 282–286. [Google Scholar] [CrossRef] [PubMed]
- Jonker, F.H.; Trimarchi, S.; Verhagen, H.J.; Moll, F.L.; Sumpio, B.E.; Muhs, B.E. Meta-analysis of open versus endovascular repair for ruptured descending thoracic aortic aneurysm. J. Vasc. Surg. 2010, 51, 1026–1032. [Google Scholar] [CrossRef]
- Harky, A.; Bleetman, D.; Chan, J.S.; Eriksen, P.; Chaplin, G.; MacCarthy-Ofosu, B.; Theologou, T.; Ambekar, S.; Roberts, N.; Oo, A. A systematic review and meta-analysis of endovascular versus open surgical repair for the traumatic ruptured thoracic aorta. J. Vasc. Surg. 2020, 71, 270–282. [Google Scholar] [CrossRef]
- Zhang, H.; Wang, Z.-W.; Zhou, Z.; Hu, X.-P.; Wu, H.-B.; Guo, Y. Endovascular Stent-Graft Placement or Open Surgery for the Treatment of Acute Type B Aortic Dissection: A Meta-Analysis. Ann. Vasc. Surg. 2012, 26, 454–461. [Google Scholar] [CrossRef]
- Hajibandeh, S.; Hajibandeh, S.; Antoniou, S.A.; Torella, F.; Antoniou, G.A. Revascularisation of the left subclavian artery for thoracic endovascular aortic repair. Cochrane Database Syst. Rev. 2016, 2016, CD011738. [Google Scholar] [CrossRef]
- Salsano, A.; Salsano, G.; Spinella, G.; Zaottini, F.; Mavilio, N.; Perocchio, G.; Pane, B.; Ricci, D.; Pratesi, G.; Castellan, L.; et al. Endovascular Versus Open Surgical Repair for Ruptured Descending Aortic Pathologies: A Systematic Review and Meta-Analysis of Observational Studies. CardioVascular Interv. Radiol. 2021, 44, 1709–1719. [Google Scholar] [CrossRef]
- Jordan, F.; FitzGibbon, B.; Kavanagh, E.P.; McHugh, P.; Veerasingam, D.; Sultan, S.; Hynes, N. Endovascular versus open surgical repair for complicated chronic Type B aortic dissection. Cochrane Database Syst. Rev. 2021, 12, CD012992. [Google Scholar] [CrossRef]
- Howard, C.; Sheridan, J.; Picca, L.; Reza, S.; Smith, T.; Ponnapalli, A.; Calow, R.; Cross, O.; Iddawela, S.; George, M.; et al. TEVAR for complicated and uncomplicated type B aortic dissection—Systematic review and meta-analysis. J. Card. Surg. 2021, 36, 3820–3830. [Google Scholar] [CrossRef]
- Chiesa, R.; Melissano, G.; Marone, E.M.; Marrocco-Trischitta, M.M.; Kahlberg, A. Aorto-oesophageal and aortobronchial fistulae following thoracic endovascular aortic repair: A national survey. Eur. J. Vasc. Endovasc. Surg. Off. J. Eur. Soc. Vasc. Surg. 2010, 39, 273–279. [Google Scholar] [CrossRef] [PubMed]
- Takeno, S.; Ishii, H.; Nanashima, A.; Nakamura, K. Aortoesophageal fistula: Review of trends in the last decade. Surg. Today 2020, 50, 1551–1559. [Google Scholar] [CrossRef] [PubMed]
- Luehr, M.; Etz, C.D.; Nozdrzykowski, M.; Garbade, J.; Lehmkuhl, L.; Schmidt, A.; Misfeld, M.; Borger, M.A.; Mohr, F.W. Emergency open surgery for aorto-oesophageal and aorto-bronchial fi stulae after thoracic endovascular aortic repair: A single-centre experience. Eur. J. Cardio-Thorac. Surg. 2015, 47, 374–383. [Google Scholar] [CrossRef]
- Kahlberg, A.; Tshomba, Y.; Marone, E.M.; Castellano, R.; Melissano, G.; Chiesa, R. Current Results of a Combined Endovascular and Open Approach for the Treatment of Aortoesophageal and Aortobronchial Fistulae. Ann. Vasc. Surg. 2014, 28, 1782–1788. [Google Scholar] [CrossRef]
- Kaushik, S.; Quencer, K.; Kraiss, L.W. Aortoesophageal fistula treated with emergent thoracic stent grafting. J. Vasc. Surg. Cases Innov. Tech. 2021, 7, 396–398. [Google Scholar] [CrossRef] [PubMed]
- Matono, S.; Fujita, H.; Tanaka, T.; Nagano, T.; Nishimura, K.; Murata, K.; Onitsuka, S.; Tanaka, A.; Akashi, H.; Shirouzu, K. Thoracic endovascular aortic repair for aortic complications after esophagectomy for cancer: Report of three cases. Dis. Esophagus 2011, 24, E36–E40. [Google Scholar] [CrossRef]
- Matsumoto, A.; Kanaoka, Y.; Baba, T.; Takizawa, R.; Hara, M.; Maeda, K.; Nishikawa, K.; Suzuki, Y.; Yanaga, K.; Ohki, T. Result of Thoracic Endovascular Aortic Repair for Patients with Esophageal Cancer. World J. Surg. 2018, 42, 1551–1558. [Google Scholar] [CrossRef]
- Mezzetto, L.; Treppiedi, E.; Scorsone, L.; Giacopuzzi, S.; Perandini, S.; Macrì, M.; Veraldi, G.F. Thoracic Aortic Pseudoaneurysm after Esophageal Perforation and Mediastinitis Caused by Accidental Ingestion of a Mutton Bone: A Case Report on Staged Endoscopic and Endovascular Treatments. Ann. Vasc. Surg. 2016, 30, 307.e15–307.e19. [Google Scholar] [CrossRef]
- Omran, S.; Ardalani, L.; Beyer, K.; De Bucourt, M.; Gombert, A.; Buerger, M.; Frese, J.P.B.; Greiner, A. Management of Tumor- and Nontumor-related Aorto-esophageal and Aorto-bronchial Fistulas. Ann. Vasc. Surg. 2021, 72, 419–429. [Google Scholar] [CrossRef]
- Parikh, M.P.; Sherid, M.; Panginikkod, S.; Rawal, H.A.; Gopalakrishnan, V. Radiation therapy-induced aortoesophageal fistula: A case report and review of literature. Gastroenterol. Rep. 2014, 4, 165–167. [Google Scholar] [CrossRef]
- Watanabe, M.; Nakajima, M.; Nishikawa, K.; Kato, H.; Matsubara, H. Thoracic endovascular aortic repair for esophageal cancer invading the thoracic aorta: A questionnaire survey study. Esophagus 2020, 17, 74–80. [Google Scholar] [CrossRef]
- Chen, K.-C.; Wu, I.-H.; Chang, C.-Y.; Huang, P.-M.; Lin, M.-W.; Lee, J.-M. ASO Author Reflections: The Evolution of Treatment for Advanced Esophageal Cancer Invading the Aorta: The Impact of thoracic Endovascular Aortic Repair (TEVAR) on Clinical Outcome. Ann. Surg. Oncol. 2021, 28, 8385–8386. [Google Scholar] [CrossRef]
- Mezzetto, L.; Scorsone, L.; De Pasqual, C.A.; Weindelmayer, J.; Giacopuzzi, S.; de Manzoni, G.; Veraldi, G.F. Preliminary Experience with Prophylactic Thoracic Endovascular Aortic Repair in Patients Affected by Advanced Esophageal Cancer. Ann. Vasc. Surg. 2019, 61, 142–147. [Google Scholar] [CrossRef]
- Lo, C.; Galvin, S.D.; Barnett, S.; Seevanayagam, S. Endovascular repair of iatrogenic aortic rupture. J. Card. Surg. 2013, 28, 561–563. [Google Scholar] [CrossRef]
- Dindo, D.; Demartines, N.; Clavien, P.A. Classification of surgical complications: A new proposal with evaluation in a cohort of 6336 patients and results of a survey. Ann. Surg. 2004, 240, 205–213. [Google Scholar] [CrossRef] [PubMed]
- Belkin, N.; Jackson, B.M.; Foley, P.J.; Scott, M.; Kalapatapu, V.; Golden, M.A.; Fairman, R.M.; Kelz, R.R.; Wang, G.J. Length of Stay after Thoracic Endovascular Aortic Repair Depends on Indication and Acuity. Ann. Vasc. Surg. 2018, 55, 157–165. [Google Scholar] [CrossRef]
- Hellgren, T.; Beck, A.W.; Behrendt, C.A.; Becker, D.; Beiles, B.; Boyle, J.R.; Jormalainen, M.; Koncar, I.; Espada, C.L.; Setacci, C.; et al. Thoracic endovascular aortic repair practice in 13 countries: A report from VASCUNET and the International Consortium of Vascular Registries. Ann. Surg. 2020, 276, e598–e604. [Google Scholar] [CrossRef] [PubMed]
- Von Allmen, R.S.; Anjum, A.; Powell, J.T. Outcomes after endovascular or open repair for degenerative descending thoracic aortic aneurysm using linked hospital data. J. Br. Surg. 2014, 101, 1244–1251. [Google Scholar] [CrossRef] [PubMed]
- Bischoff, M.S.; Ante, M.; Meisenbacher, K.; Böckler, D. Outcome of thoracic endovascular aortic repair in patients with thoracic and thoracoabdominal aortic aneurysms. J. Vasc. Surg. 2016, 63, 1170–1181.e1. [Google Scholar] [CrossRef]
- Alarhayem, A.Q.; Rasmussen, T.E.; Farivar, B.; Lim, S.; Braverman, M.; Hardy, D.; Jenkins, D.J.; Eastridge, B.J.; Cestero, R.F. Timing of Repair of Blunt Thoracic Aortic Injuries in the TEVAR era. J. Vasc. Surg. 2021, 73, 896–902. [Google Scholar] [CrossRef] [PubMed]
- Czerny, M.; Eggebrecht, H.; Sodeck, G.; Weigang, E.; Livi, U.; Verzini, F. New insights regarding the incidence, presentation and treatment options of aorto-oesophageal fi stulation after thoracic endovascular aortic repair: The European Registry of Endovascular Aortic Repair Complications. Eur. J. Cardio-Thorac. Surg. 2014, 45, 452–457. [Google Scholar] [CrossRef] [PubMed]
- Canaud, L.; Ozdemir, B.A.; Bee, W.W.; Bahia, S.; Holt, P.; Thompson, M. Thoracic endovascular aortic repair in management of aortoesophageal fistulas. J. Vasc. Surg. 2014, 59, 248–254. [Google Scholar] [CrossRef] [PubMed]
- Jonker, F.H.; Schlösser, F.J.; Moll, F.L.; Van Herwaarden, J.A.; Indes, J.E.; Verhagen, H.J.; Muhs, B.E. Outcomes of Thoracic Endovascular Aortic Repair for Aortobronchial and Aortoesophageal Fistulas. J. Endovasc. Ther. 2009, 16, 428–440. [Google Scholar] [CrossRef]
- Ju, M.H.; Nooromid, M.J.; Rodriguez, H.E.; Eskandari, M.K. Management of hemothorax after thoracic endovascular aortic repair for ruptured aneurysms. Vascular 2018, 26, 39–46. [Google Scholar] [CrossRef] [PubMed]
Disclaimer/Publisher’s Note: The statements, opinions and data contained in all publications are solely those of the individual author(s) and contributor(s) and not of MDPI and/or the editor(s). MDPI and/or the editor(s) disclaim responsibility for any injury to people or property resulting from any ideas, methods, instructions or products referred to in the content. |
© 2023 by the authors. Licensee MDPI, Basel, Switzerland. This article is an open access article distributed under the terms and conditions of the Creative Commons Attribution (CC BY) license (https://creativecommons.org/licenses/by/4.0/).




