Axial Length Shortening and Choroid Thickening in Myopic Adults Treated with Repeated Low-Level Red Light
Abstract
1. Background
2. Materials and Methods
2.1. Subjects
2.2. Measurement
2.3. Repeated Low-Level Red Light Therapy (RLRL)
2.4. Ocular Biometric Parameters
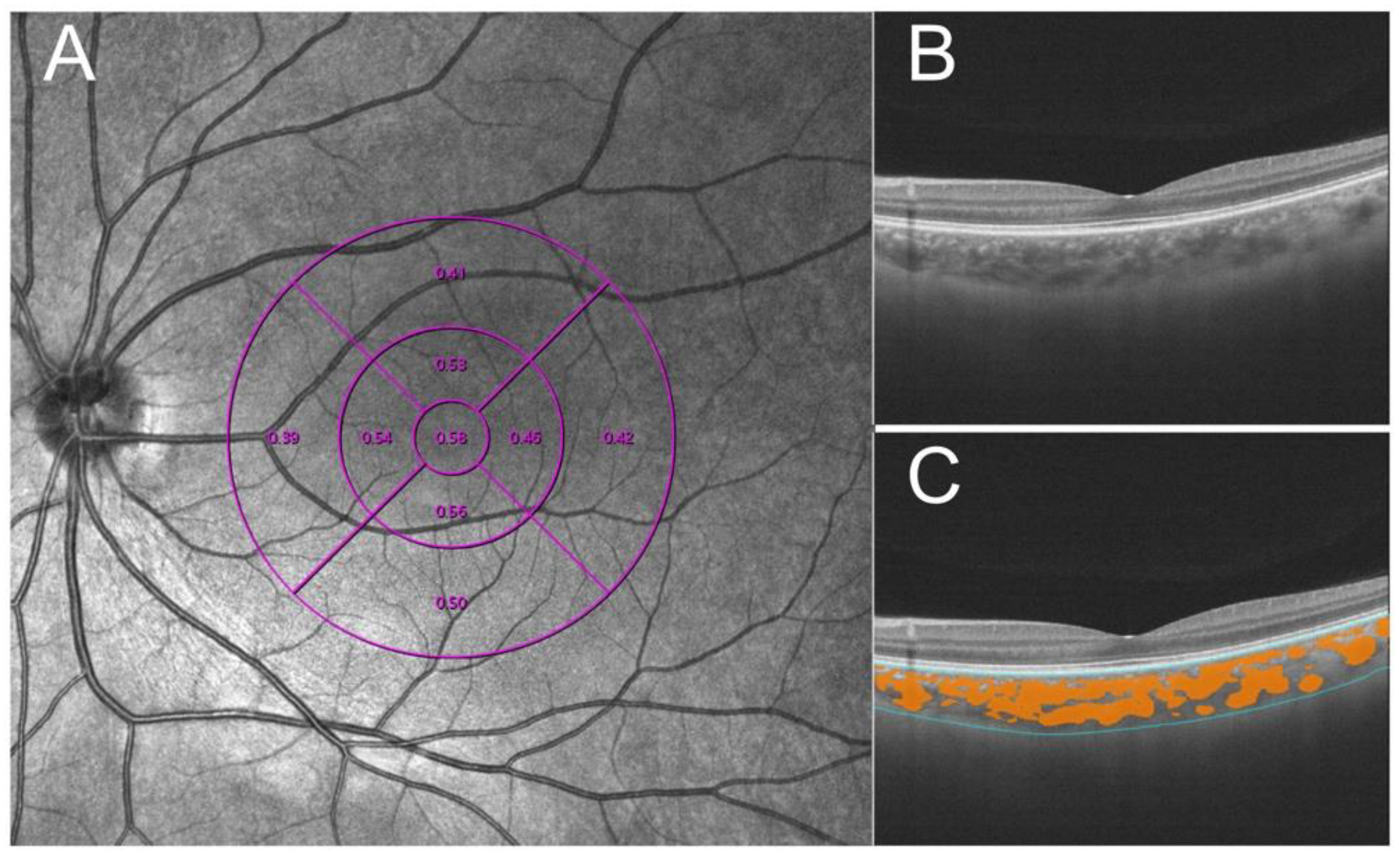
2.5. SS-OCT/OCTA
3. Statistics
4. Results
4.1. Change in Axial Length
4.2. Change in SChT
4.3. Change in CVI
4.4. Change in Other Ocular Biometric Parameters
4.5. Relationship between the AL Changes and Other Parameters
5. Discussion
5.1. Adult Vs. Children Findings
5.2. Choroid Thickened, but Not Enough
5.3. Alternative to Natural Outdoor Lights
5.4. Axial Length Shortening in Orthokeratology
5.5. Limitations
6. Conclusions
Author Contributions
Funding
Institutional Review Board Statement
Informed Consent Statement
Data Availability Statement
Conflicts of Interest
References
- Pan, C.W.; Dirani, M.; Cheng, C.Y.; Wong, T.Y.; Saw, S.M. The age-specific prevalence of myopia in Asia: A meta-analysis. Optom. Vis. Sci. 2015, 92, 258–266. [Google Scholar] [CrossRef]
- Holden, B.A.; Fricke, T.R.; Wilson, D.A.; Jong, M.; Naidoo, K.S.; Sankaridurg, P.; Wong, T.Y.; Naduvilath, T.J.; Resnikoff, S. Global Prevalence of Myopia and High Myopia and Temporal Trends from 2000 through 2050. Ophthalmology 2016, 123, 1036–1042. [Google Scholar] [CrossRef]
- Wong, T.Y.; Ferreira, A.; Hughes, R.; Carter, G.; Mitchell, P. Epidemiology and disease burden of pathologic myopia and myopic choroidal neovascularization: An evidence-based systematic review. Am. J. Ophthalmol. 2014, 157, 9–25 e12. [Google Scholar] [CrossRef] [PubMed]
- Tideman, J.W.; Snabel, M.C.; Tedja, M.S.; van Rijn, G.A.; Wong, K.T.; Kuijpers, R.W.; Vingerling, J.R.; Hofman, A.; Buitendijk, G.H.; Keunen, J.E.; et al. Association of Axial Length with Risk of Uncorrectable Visual Impairment for Europeans With Myopia. JAMA Ophthalmol. 2016, 134, 1355–1363. [Google Scholar] [CrossRef]
- Jiang, Y.; Zhu, Z.; Tan, X.; Kong, X.; Zhong, H.; Zhang, J.; Xiong, R.; Yuan, Y.; Zeng, J.; Morgan, I.G.; et al. Effect of Repeated Low-Level Red-Light Therapy for Myopia Control in Children: A Multicenter Randomized Controlled Trial. Ophthalmology 2022, 129, 509–519. [Google Scholar] [CrossRef]
- Zhou, L.; Xing, C.; Qiang, W.; Hua, C.; Tong, L. Low-intensity, long-wavelength red light slows the progression of myopia in children: An Eastern China-based cohort. Ophthalmic. Physiol. Opt. 2022, 42, 335–344. [Google Scholar] [CrossRef] [PubMed]
- Xiong, F.; Mao, T.; Liao, H.; Hu, X.; Shang, L.; Yu, L.; Lin, N.; Huang, L.; Yi, Y.; Zhou, R.; et al. Orthokeratology and Low-Intensity Laser Therapy for Slowing the Progression of Myopia in Children. Biomed. Res. Int. 2021, 2021, 8915867. [Google Scholar] [CrossRef] [PubMed]
- Xiong, R.; Zhu, Z.; Jiang, Y.; Kong, X.; Zhang, J.; Wang, W.; Kiburg, K.; Yuan, Y.; Chen, Y.; Zhang, S.; et al. Sustained and rebound effect of repeated low-level red-light therapy on myopia control: A 2-year post-trial follow-up study. Clin. Exp. Ophthalmol. 2022, 50, 1013–1024. [Google Scholar] [CrossRef]
- Chen, H.; Wang, W.; Liao, Y.; Zhou, W.; Li, Q.; Wang, J.; Tang, J.; Pei, Y.; Wang, X. Low-intensity red-light therapy in slowing myopic progression and the rebound effect after its cessation in Chinese children: A randomized controlled trial. Graefes Arch. Clin. Exp. Ophthalmol. 2022. [Google Scholar] [CrossRef]
- Hughes, R.P.J.; Read, S.A.; Collins, M.J.; Vincent, S.J. Axial Elongation During Short-Term Accommodation in Myopic and Nonmyopic Children. Investig. Ophthalmol. Vis. Sci. 2022, 63, 12. [Google Scholar] [CrossRef]
- Drexler, W.; Findl, O.; Schmetterer, L.; Hitzenberger, C.K.; Fercher, A.F. Eye elongation during accommodation in humans: Differences between emmetropes and myopes. Investig. Ophthalmol. Vis. Sci. 1998, 39, 2140–2147. [Google Scholar]
- Mallen, E.A.; Kashyap, P.; Hampson, K.M. Transient Axial Length Change during the Accommodation Response in Young Adults. Investig. Ophthalmol. Vis. Sci. 2006, 47, 1251–1254. [Google Scholar] [CrossRef] [PubMed]
- Ulaganathan, S.; Read, S.A.; Collins, M.J.; Vincent, S.J. Daily axial length and choroidal thickness variations in young adults: Associations with light exposure and longitudinal axial length and choroid changes. Exp. Eye Res. 2019, 189, 107850. [Google Scholar] [CrossRef] [PubMed]
- Rauscher, F.G.; Hiemisch, A.; Kiess, W.; Michael, R. Feasibility and repeatability of ocular biometry measured with Lenstar LS 900 in a large group of children and adolescents. Ophthalmic. Physiol. Opt. 2021, 41, 512–522. [Google Scholar] [CrossRef]
- Cruysberg, L.P.; Doors, M.; Verbakel, F.; Berendschot, T.T.; De Brabander, J.; Nuijts, R.M. Evaluation of the Lenstar LS 900 non-contact biometer. Br. J. Ophthalmol. 2010, 94, 106–110. [Google Scholar] [CrossRef]
- Sahin, A.; Gursoy, H.; Basmak, H.; Yildirim, N.; Usalp, Z.; Colak, E. Reproducibility of ocular biometry with a new noncontact optical low-coherence reflectometer in children. Eur. J. Ophthalmol. 2011, 21, 194–198. [Google Scholar] [CrossRef]
- Chakraborty, R.; Baranton, K.; Spiegel, D.; Lacan, P.; Guillon, M.; Barrau, C.; Villette, T. Effects of mild- and moderate-intensity illumination on short-term axial length and choroidal thickness changes in young adults. Ophthalmic. Physiol. Opt. 2022, 42, 762–772. [Google Scholar] [CrossRef]
- Yu, M.; Liu, W.; Wang, B.; Dai, J. Short Wavelength (Blue) Light Is Protective for Lens-Induced Myopia in Guinea Pigs Potentially Through a Retinoic Acid-Related Mechanism. Investig. Ophthalmol. Vis. Sci. 2021, 62, 21. [Google Scholar] [CrossRef]
- Zhang, Y.; Zhang, D.; Gao, Y.; Yang, L.; Tao, Y.; Xu, H.; Man, S.; Zhang, M.; Xu, Y. Retinal Flow Density Changes in Early-stage Parkinson’s Disease Investigated by Swept-Source Optical Coherence Tomography Angiography. Curr. Eye Res. 2021, 46, 1886–1891. [Google Scholar] [CrossRef]
- Wu, H.; Zhang, G.; Shen, M.; Xu, R.; Wang, P.; Guan, Z.; Xie, Z.; Jin, Z.; Chen, S.; Mao, X.; et al. Assessment of Choroidal Vascularity and Choriocapillaris Blood Perfusion in Anisomyopic Adults by SS-OCT/OCTA. Investig. Ophthalmol. Vis. Sci. 2021, 62, 8. [Google Scholar] [CrossRef]
- Truckenbrod, C.; Meigen, C.; Brandt, M.; Vogel, M.; Sanz Diez, P.; Wahl, S.; Jurkutat, A.; Kiess, W. Longitudinal analysis of axial length growth in a German cohort of healthy children and adolescents. Ophthalmic. Physiol. Opt. 2021, 41, 532–540. [Google Scholar] [CrossRef]
- Jin, P.; Li, M.; He, X.; Lu, L.; Zhu, J.; Chang, T.C.; Zou, H. Anterior-Chamber Angle and Axial Length Measurements in Normal Chinese Children. J. Glaucoma 2016, 25, 692–697. [Google Scholar] [CrossRef] [PubMed]
- Sanz Diez, P.; Yang, L.H.; Lu, M.X.; Wahl, S.; Ohlendorf, A. Growth curves of myopia-related parameters to clinically monitor the refractive development in Chinese schoolchildren. Graefes Arch. Clin. Exp. Ophthalmol. 2019, 257, 1045–1053. [Google Scholar] [CrossRef] [PubMed]
- Wu, H.; Chen, W.; Zhao, F.; Zhou, Q.; Reinach, P.S.; Deng, L.; Ma, L.; Luo, S.; Srinivasalu, N.; Pan, M.; et al. Scleral hypoxia is a target for myopia control. Proc. Natl. Acad. Sci. USA 2018, 115, E7091–E7100. [Google Scholar] [CrossRef] [PubMed]
- Metlapally, R.; Wildsoet, C.F. Scleral Mechanisms Underlying Ocular Growth and Myopia. Prog. Mol. Biol. Transl. Sci. 2015, 134, 241–248. [Google Scholar] [PubMed]
- He, M.; Xiang, F.; Zeng, Y.; Mai, J.; Chen, Q.; Zhang, J.; Smith, W.; Rose, K.; Morgan, I.G. Effect of Time Spent Outdoors at School on the Development of Myopia Among Children in China: A Randomized Clinical Trial. JAMA 2015, 314, 1142–1148. [Google Scholar] [CrossRef]
- Wu, P.C.; Chen, C.T.; Lin, K.K.; Sun, C.C.; Kuo, C.N.; Huang, H.M.; Poon, Y.C.; Yang, M.L.; Chen, C.Y.; Huang, J.C.; et al. Myopia Prevention and Outdoor Light Intensity in a School-Based Cluster Randomized Trial. Ophthalmology 2018, 125, 1239–1250. [Google Scholar] [CrossRef]
- Thakur, S.; Dhakal, R.; Verkicharla, P.K. Short-Term Exposure to Blue Light Shows an Inhibitory Effect on Axial Elongation in Human Eyes Independent of Defocus. Investig. Ophthalmol. Vis. Sci. 2021, 62, 22. [Google Scholar] [CrossRef] [PubMed]
- Hung, L.F.; Arumugam, B.; She, Z.; Ostrin, L.; Smith, E.L., 3rd. Narrow-band, long-wavelength lighting promotes hyperopia and retards vision-induced myopia in infant rhesus monkeys. Exp. Eye Res. 2018, 176, 147–160. [Google Scholar] [CrossRef] [PubMed]
- Lou, L.; Ostrin, L.A. Effects of Narrowband Light on Choroidal Thickness and the Pupil. Investig. Ophthalmol. Vis. Sci. 2020, 61, 40. [Google Scholar] [CrossRef]
- Jiang, L.; Zhang, S.; Schaeffel, F.; Xiong, S.; Zheng, Y.; Zhou, X.; Lu, F.; Qu, J. Interactions of chromatic and lens-induced defocus during visual control of eye growth in guinea pigs (Cavia porcellus). Vision Res. 2014, 94, 24–32. [Google Scholar] [CrossRef] [PubMed]
- Smith, E.L., 3rd; Hung, L.F.; Arumugam, B.; Holden, B.A.; Neitz, M.; Neitz, J. Effects of Long-Wavelength Lighting on Refractive Development in Infant Rhesus Monkeys. Investig. Ophthalmol. Vis. Sci. 2015, 56, 6490–6500. [Google Scholar] [CrossRef] [PubMed]
- Strickland, R.; Landis, E.G.; Pardue, M.T. Short-Wavelength (Violet) Light Protects Mice From Myopia Through Cone Signaling. Investig. Ophthalmol. Vis. Sci. 2020, 61, 13. [Google Scholar] [CrossRef] [PubMed]
- Ashby, R.; Ohlendorf, A.; Schaeffel, F. The effect of ambient illuminance on the development of deprivation myopia in chicks. Investig. Ophthalmol. Vis. Sci. 2009, 50, 5348–5354. [Google Scholar] [CrossRef] [PubMed]
- Karouta, C.; Ashby, R.S. Correlation between light levels and the development of deprivation myopia. Investig. Ophthalmol. Vis. Sci. 2014, 56, 299–309. [Google Scholar] [CrossRef]
- Norton, T.T.; Siegwart, J.T., Jr. Light levels, refractive development, and myopia—A speculative review. Exp. Eye Res. 2013, 114, 48–57. [Google Scholar] [CrossRef]
- Smith, E.L., 3rd; Hung, L.F.; Huang, J. Protective effects of high ambient lighting on the development of form-deprivation myopia in rhesus monkeys. Investig. Ophthalmol. Vis. Sci. 2012, 53, 421–428. [Google Scholar] [CrossRef]
- Chen, Z.; Xue, F.; Zhou, J.; Qu, X.; Zhou, X. Effects of Orthokeratology on Choroidal Thickness and Axial Length. Optom. Vis. Sci. 2016, 93, 1064–1071. [Google Scholar] [CrossRef]
- Lau, J.K.; Wan, K.; Cheung, S.W.; Vincent, S.J.; Cho, P. Weekly Changes in Axial Length and Choroidal Thickness in Children During and Following Orthokeratology Treatment with Different Compression Factors. Transl. Vis. Sci. Technol. 2019, 8, 9. [Google Scholar] [CrossRef]
- Swarbrick, H.A.; Alharbi, A.; Watt, K.; Lum, E.; Kang, P. Myopia control during orthokeratology lens wear in children using a novel study design. Ophthalmology 2015, 122, 620–630. [Google Scholar] [CrossRef]
- Wang, A.; Yang, C.; Shen, L.; Wang, J.; Zhang, Z.; Yang, W. Axial length shortening after orthokeratology and its relationship with myopic control. BMC Ophthalmol. 2022, 22, 243. [Google Scholar] [CrossRef] [PubMed]


| Characteristics | RLRL Group (n = 52) | Control Group (n = 46) | p |
|---|---|---|---|
| Age (years) | 26.08 ± 2.13 | 25.60 ± 2.42 | 0.43 |
| Sex (male/female) | 28/24 | 26/20 | 0.79 |
| SChT (μm) | 365.73 ± 81.74 | 358.13 ± 72.61 | 0.63 |
| CVI01 | 0.389 ± 0.054 | 0.384 ± 0.058 | 0.66 |
| CVI03 | 0.386 ± 0.050 | 0.387 ± 0.051 | 0.11 |
| CVI06 | 0.361 ± 0.049 | 0.365 ± 0.042 | 0.26 |
| CCT (μm) | 522.77 ± 47.96 | 519.65 ± 42.83 | 0.74 |
| ACD (mm) | 3.02 ± 0.24 | 3.05 ± 0.27 | 0.58 |
| LT (mm) | 3.72 ± 0.20 | 3.69 ± 0.15 | 0.49 |
| K1 (D) | 42.85 ± 1.60 | 42.68 ± 2.08 | 0.66 |
| K2 (D) | 44.01 ± 1.82 | 44.00 ± 2.19 | 0.97 |
| AL (mm) | 24.63 ± 1.04 | 24.63 ± 1.19 | 0.98 |
| Characteristics | RLRL Group (n = 52) | Control Group (n = 46) |
|---|---|---|
| CVI01 | ||
| Baseline | 0.389 ± 0.054 | 0.384 ± 0.058 |
| 7 days | 0.395 ± 0.052 | 0.383 ± 0.060 |
| 14 days | 0.403 ± 0.048 | 0.384 ± 0.061 |
| 21 days | 0.402 ± 0.053 | 0.385 ± 0.060 |
| 28 days | 0.404 ± 0.053 | 0.384 ± 0.061 |
| P-Group | 0.35 | |
| P-Time | 0.16 | |
| P-Group*Time interaction | 0.27 | |
| CVI03 | ||
| Baseline | 0.386 ± 0.050 | 0.387 ± 0.051 |
| 7 days | 0.390 ± 0.053 | 0.388 ± 0.050 |
| 14 days | 0.396 ± 0.053 | 0.390 ± 0.050 |
| 21 days | 0.398 ± 0.056 | 0.390 ± 0.048 |
| 28 days | 0.398 ± 0.056 | 0.388 ± 0.048 |
| P-Group | 0.62 | |
| P-Time | 0.10 | |
| P-Group*Time interaction | 0.07 | |
| CVI06 | ||
| Baseline | 0.361 ± 0.049 | 0.365 ± 0.042 |
| 7 days | 0.368 ± 0.052 | 0.365 ± 0.041 |
| 14 days | 0.369 ± 0.052 | 0.363 ± 0.042 |
| 21 days | 0.374 ± 0.055 | 0.362 ± 0.041 |
| 28 days | 0.375 ± 0.054 | 0.363 ± 0.042 |
| P-Group | 0.67 | |
| P-Time | 0.001 | |
| P-Group*Time interaction | 0.001 | |
| Characteristics | ||||||||||
|---|---|---|---|---|---|---|---|---|---|---|
| CCT (μm) | ACD (mm) | LT (mm) | K1 (D) | K2 (D) | ||||||
| RLRL | Control | RLRL | Control | RLRL | Control | RLRL | Control | RLRL | Control | |
| Baseline | 522.77 ± 47.96 | 519.65 ± 42.83 | 3.02 ± 0.24 | 3.05 ± 0.27 | 3.72 ± 0.20 | 3.69 ± 0.15 | 42.85 ± 1.60 | 42.68 ± 2.08 | 44.01 ± 1.82 | 44.00 ± 2.19 |
| 7 days | 521.71 ± 47.32 | 528.87 ± 42.92 | 3.01 ± 0.27 | 3.04 ± 0.27 | 3.72 ± 0.23 | 3.69 ± 0.17 | 42.87 ± 1.61 | 42.64 ± 2.07 | 44.01 ± 1.85 | 44.00 ± 2.10 |
| 14 days | 521.62 ± 47.40 | 522.11 ± 43.47 | 3.01 ± 0.25 | 3.05 ± 0.27 | 3.72 ± 0.21 | 3.69 ± 0.16 | 42.84 ± 1.64 | 42.58 ± 2.07 | 43.95 ± 1.85 | 43.91 ± 2.17 |
| 21 days | 522.04 ± 47.68 | 520.89 ± 42.48 | 3.02 ± 0.25 | 3.04 ± 0.27 | 3.72 ± 0.21 | 3.70 ± 0.17 | 42.83 ± 1.64 | 42.59 ± 2.06 | 43.96 ± 1.88 | 43.85 ± 2.15 |
| 28 days | 521.69 ± 48.07 | 516.57 ± 42.87 | 3.01 ± 0.24 | 3.04 ± 0.28 | 3.71 ± 0.20 | 3.69 ± 0.16 | 42.81 ± 1.62 | 42.66 ± 2.07 | 44.04 ± 1.80 | 43.91 ± 2.16 |
| P-Group | 0.94 | 0.97 | 0.74 | 0.38 | 0.64 | |||||
| P-Time | 0.49 | 0.22 | 0.72 | 0.63 | 0.49 | |||||
| P-Group * Time | 0.19 | 0.09 | 0.96 | 0.69 | 0.31 | |||||
Publisher’s Note: MDPI stays neutral with regard to jurisdictional claims in published maps and institutional affiliations. |
© 2022 by the authors. Licensee MDPI, Basel, Switzerland. This article is an open access article distributed under the terms and conditions of the Creative Commons Attribution (CC BY) license (https://creativecommons.org/licenses/by/4.0/).
Share and Cite
Liu, G.; Li, B.; Rong, H.; Du, B.; Wang, B.; Hu, J.; Zhang, B.; Wei, R. Axial Length Shortening and Choroid Thickening in Myopic Adults Treated with Repeated Low-Level Red Light. J. Clin. Med. 2022, 11, 7498. https://doi.org/10.3390/jcm11247498
Liu G, Li B, Rong H, Du B, Wang B, Hu J, Zhang B, Wei R. Axial Length Shortening and Choroid Thickening in Myopic Adults Treated with Repeated Low-Level Red Light. Journal of Clinical Medicine. 2022; 11(24):7498. https://doi.org/10.3390/jcm11247498
Chicago/Turabian StyleLiu, Guihua, Bingqin Li, Hua Rong, Bei Du, Biying Wang, Jiamei Hu, Bin Zhang, and Ruihua Wei. 2022. "Axial Length Shortening and Choroid Thickening in Myopic Adults Treated with Repeated Low-Level Red Light" Journal of Clinical Medicine 11, no. 24: 7498. https://doi.org/10.3390/jcm11247498
APA StyleLiu, G., Li, B., Rong, H., Du, B., Wang, B., Hu, J., Zhang, B., & Wei, R. (2022). Axial Length Shortening and Choroid Thickening in Myopic Adults Treated with Repeated Low-Level Red Light. Journal of Clinical Medicine, 11(24), 7498. https://doi.org/10.3390/jcm11247498
