Primary Orbital Extranodal Natural Killer/T-Cell Lymphoma, Nasal Type, without Nasal Involvement
Abstract
1. Introduction
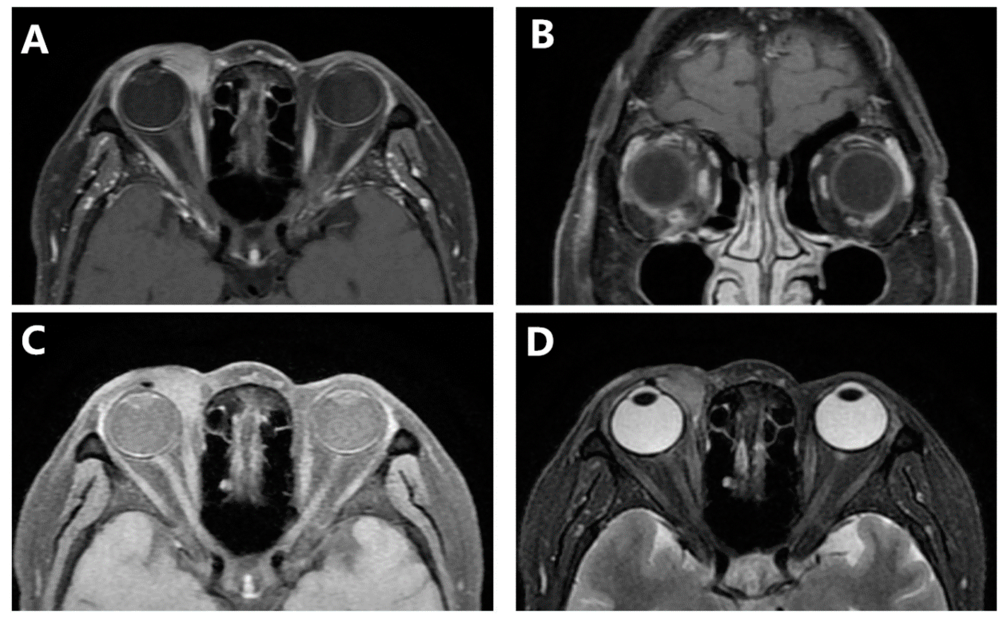
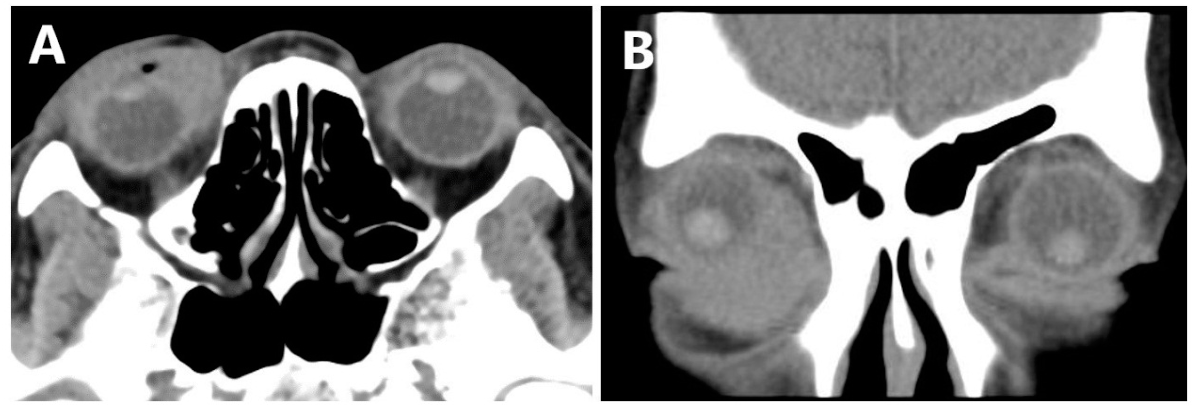
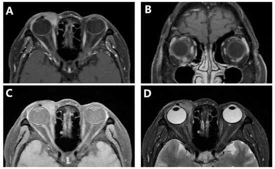
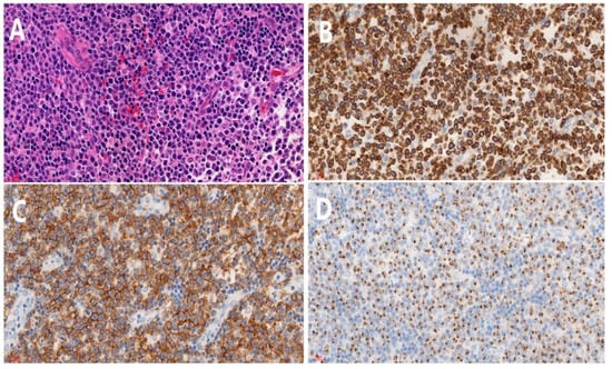
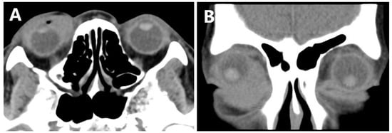
2. Case Presentation
3. Discussion and Conclusions
Author Contributions
Funding
Institutional Review Board Statement
Informed Consent Statement
Data Availability Statement
Acknowledgments
Conflicts of Interest
Abbreviations
| ENKTL | extranodal natural killer/T-cell lymphoma |
| NKTCL | natural killer/T-cell lymphoma |
| MRI | magnetic resonance imaging |
| NHL | Non-Hodgkin lymphoma |
| IOP | intraocular pressure |
| CT | Computed tomography |
| 18F-FDG | 18F-fluorodeoxyglucose |
| EBER | Epstein-Barr virus-encoded small RNA |
| CR | complete remission |
| MALT | mucosa-associated lymphoid tissue lymphoma |
References
- Cimino, L.; Chan, C.C.; Shen, D.; Masini, L.; Ilariucci, F.; Masetti, M.; Asioli, S.; Sartori, A.; Cappuccini, L. Ocular involvement in nasal natural killer t-cell lymphoma. Int. Ophthalmol. 2009, 29, 275–279. [Google Scholar] [CrossRef] [PubMed]
- Jaffe, E.S.; Nicolae, A.; Pittaluga, S. Peripheral t-cell and nk-cell lymphomas in the who classification: Pearls and pitfalls. Mod. Pathol. 2013, 26 (Suppl. 1), S71–S87. [Google Scholar] [CrossRef] [PubMed]
- Hon, C.; Kwok, A.K.; Shek, T.W.; Chim, J.C.; Au, W.Y. Vision-threatening complications of nasal t/nk lymphoma. Am. J. Ophthalmol. 2002, 134, 406–410. [Google Scholar] [CrossRef] [PubMed]
- Woog, J.J.; Kim, Y.D.; Yeatts, R.P.; Kim, S.; Esmaeli, B.; Kikkawa, D.; Lee, H.B.; Korn, B.S.; Punja, K.; Habermann, T.M.; et al. Natural killer/t-cell lymphoma with ocular and adnexal involvement. Ophthalmology 2006, 113, 140–147. [Google Scholar] [CrossRef] [PubMed]
- Maruyama, K.; Kunikata, H.; Sugita, S.; Mochizuki, M.; Ichinohasama, R.; Nakazawa, T. First case of primary intraocular natural killer t-cell lymphoma. Bmc Ophthalmol. 2015, 15, 169. [Google Scholar] [CrossRef] [PubMed]
- Ely, A.; Evans, J.; Sundstrom, J.M.; Malysz, J.; Specht, C.S.; Wilkinson, M. Orbital involvement in extranodal natural killer t cell lymphoma: An atypical case presentation and review of the literature. Orbit 2012, 31, 267–269. [Google Scholar] [CrossRef] [PubMed]
- Dai, W.; Zhong, M.; Shen, W.; Zou, K.; Bai, C.G. Natural killer t-cell lymphoma originating from the orbit. Chin. Med. J. 2012, 125, 1677–1680. [Google Scholar] [PubMed]
- Yang, Y.; Luo, Q.; He, W.; Tang, L. Primary ocular natural killer/t-cell lymphomas: Clinicopathologic features and diagnosis. Ophthalmologica 2007, 221, 173–179. [Google Scholar] [CrossRef] [PubMed]
- Marchino, T.; Ibanez, N.; Prieto, S.; Novelli, S.; Szafranska, J.; Mozos, A.; Graell, X.; Buil, J.A. An aggressive primary orbital natural killer/t-cell lymphoma case: Poor response to chemotherapy. Ophthalmic Plast. Reconstr. Surg. 2014, 30, e131–e134. [Google Scholar] [CrossRef] [PubMed]
- Au, W.Y.; Weisenburger, D.D.; Intragumtornchai, T.; Nakamura, S.; Kim, W.S.; Sng, I.; Vose, J.; Armitage, J.O.; Liang, R. Clinical differences between nasal and extranasal natural killer/t-cell lymphoma: A study of 136 cases from the international peripheral t-cell lymphoma project. Blood 2009, 113, 3931–3937. [Google Scholar] [CrossRef] [PubMed]
- Coupland, S.E.; Foss, H.D.; Assaf, C.; Auw-Haedrich, C.; Anastassiou, G.; Anagnostopoulos, I.; Hummel, M.; Karesh, J.W.; Lee, W.R.; Stein, H. T-cell and t/natural killer-cell lymphomas involving ocular and ocular adnexal tissues: A clinicopathologic, immunohistochemical, and molecular study of seven cases. Ophthalmology 1999, 106, 2109–2120. [Google Scholar] [CrossRef] [PubMed]
- Meel, R.; Dhiman, R.; Wadhwani, M.; Kashyap, S.; Sharma, S.; Gogia, A. Isolated extranodal natural killer t-cell lymphoma of the orbit in a young patient: Complete regression with the smile regimen. Ocul. Oncol. Pathol. 2017, 3, 45–48. [Google Scholar] [CrossRef]
- Okada, A.; Harada, Y.; Inoue, T.; Okikawa, Y.; Ichinohe, T.; Kiuchi, Y. A case of primary extranodal natural killer/t-cell lymphoma in the orbit and intraocular tissues with cerebrospinal fluid involvement. Am J Ophthalmol Case Rep 2018, 11, 37–40. [Google Scholar] [CrossRef]
- Ooi, G.C.; Chim, C.S.; Liang, R.; Tsang, K.W.; Kwong, Y.L. Nasal t-cell/natural killer cell lymphoma: Ct and mr imaging features of a new clinicopathologic entity. Am. J. Roentgenol. 2000, 174, 1141–1145. [Google Scholar] [CrossRef] [PubMed]
- Jimenez-Perez, J.C.; Yoon, M.K. Natural killer t-cell lymphoma of the orbit: An evidence-based approach. Semin. Ophthalmol. 2017, 32, 116–124. [Google Scholar] [CrossRef] [PubMed]




Publisher’s Note: MDPI stays neutral with regard to jurisdictional claims in published maps and institutional affiliations. |
© 2022 by the authors. Licensee MDPI, Basel, Switzerland. This article is an open access article distributed under the terms and conditions of the Creative Commons Attribution (CC BY) license (https://creativecommons.org/licenses/by/4.0/).
Share and Cite
Jing, D.; You, D.; Liu, Z.; Wang, W. Primary Orbital Extranodal Natural Killer/T-Cell Lymphoma, Nasal Type, without Nasal Involvement. J. Clin. Med. 2022, 11, 7010. https://doi.org/10.3390/jcm11237010
Jing D, You D, Liu Z, Wang W. Primary Orbital Extranodal Natural Killer/T-Cell Lymphoma, Nasal Type, without Nasal Involvement. Journal of Clinical Medicine. 2022; 11(23):7010. https://doi.org/10.3390/jcm11237010
Chicago/Turabian StyleJing, Dalan, Debo You, Ziyuan Liu, and Wei Wang. 2022. "Primary Orbital Extranodal Natural Killer/T-Cell Lymphoma, Nasal Type, without Nasal Involvement" Journal of Clinical Medicine 11, no. 23: 7010. https://doi.org/10.3390/jcm11237010
APA StyleJing, D., You, D., Liu, Z., & Wang, W. (2022). Primary Orbital Extranodal Natural Killer/T-Cell Lymphoma, Nasal Type, without Nasal Involvement. Journal of Clinical Medicine, 11(23), 7010. https://doi.org/10.3390/jcm11237010

