Expression of c-MET in Estrogen Receptor Positive and HER2 Negative Resected Breast Cancer Correlated with a Poor Prognosis
Abstract
1. Introduction
2. Materials and Methods
2.1. Study Population
2.2. Pathological Evaluation
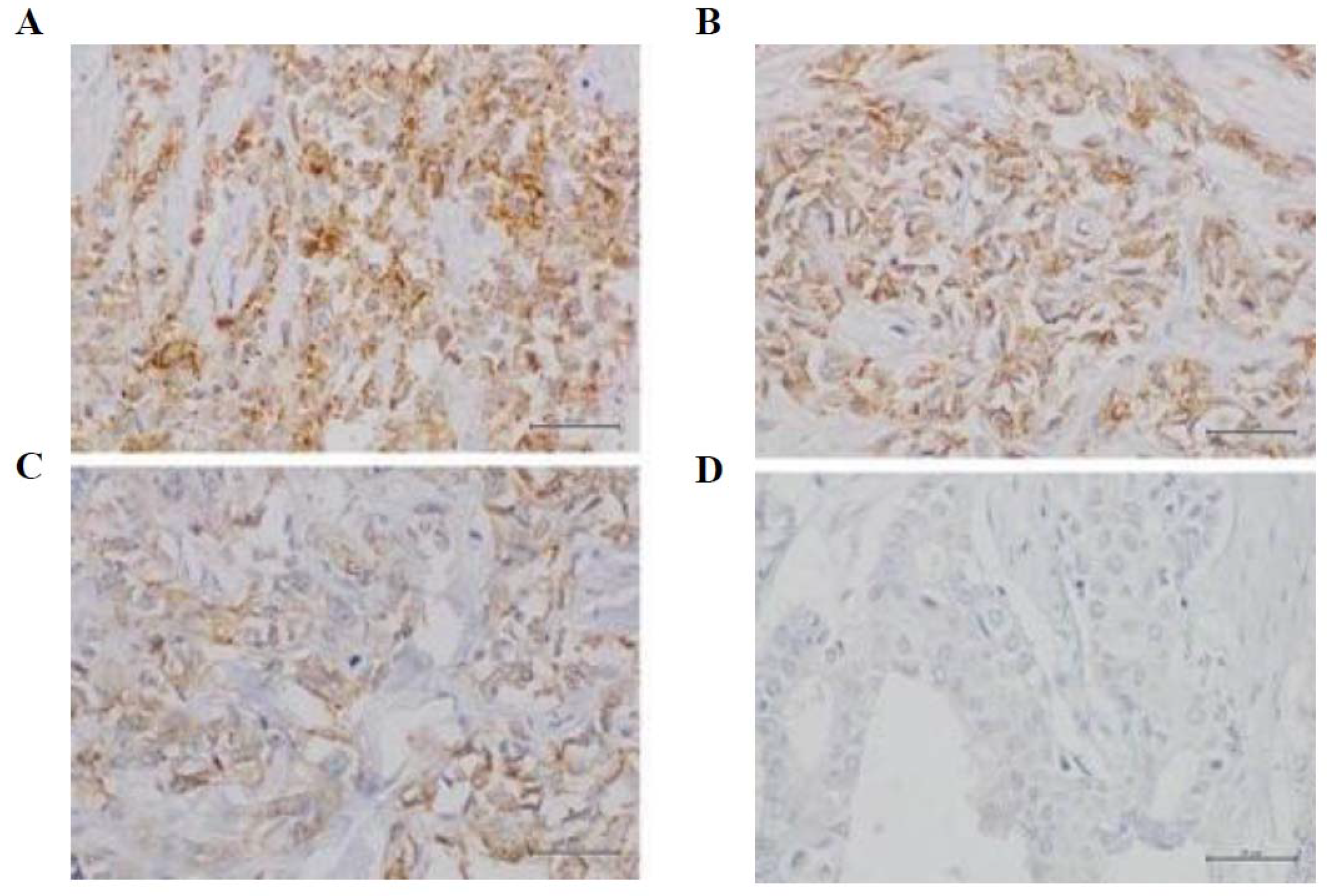
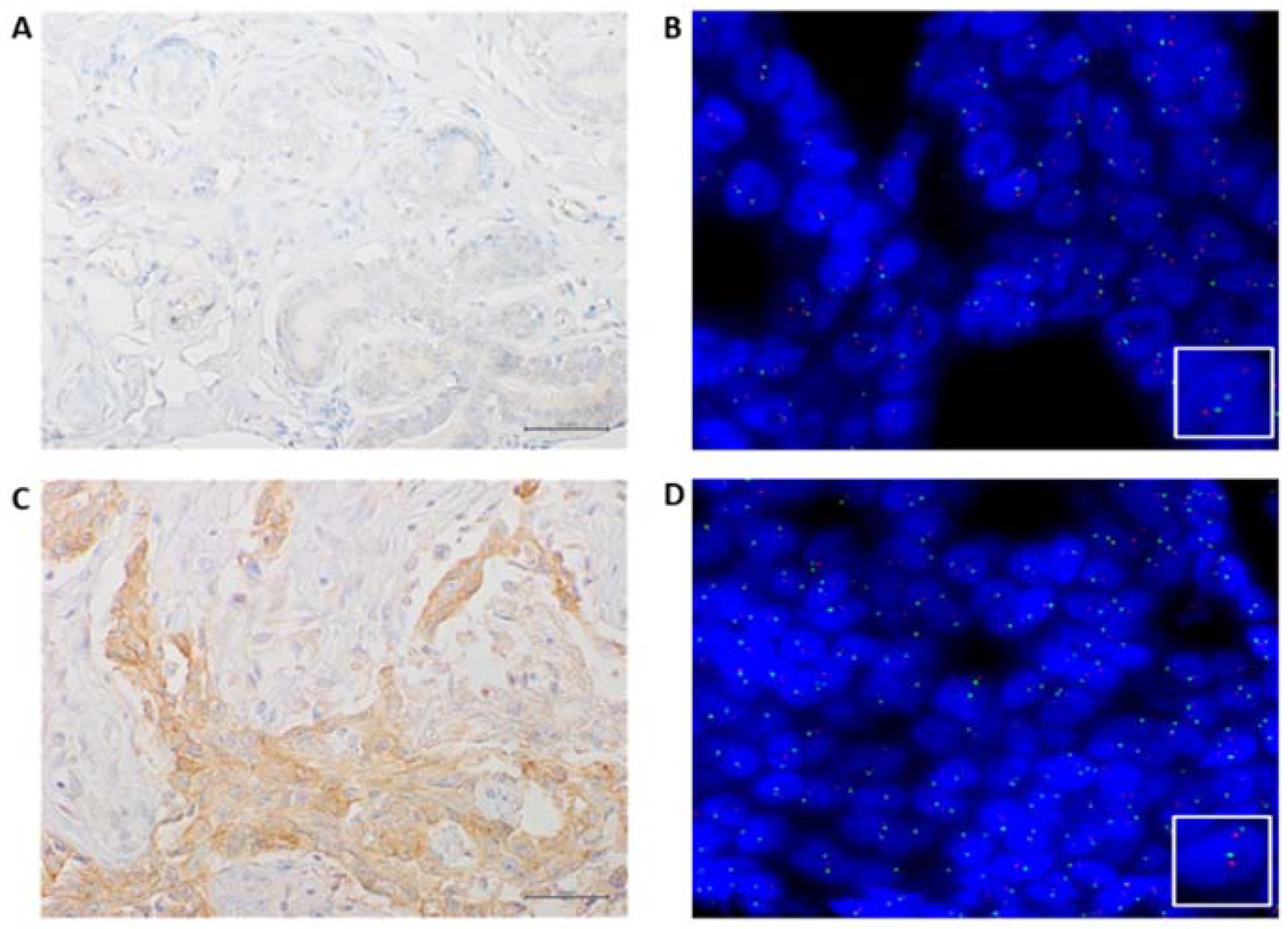
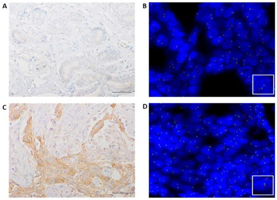
2.3. Immunohistochemistry Analysis
2.4. Fluorescence In Situ Hybridization (FISH)
2.5. Statistical Analysis
2.6. Pathway and Gene Ontology Enrichment Analysis
2.7. GEPIA2 Survival Analysis
2.8. Human Protein Atlas (HPA) Analysis
3. Results
3.1. Patient Characteristics
3.2. Correlation between High c-MET and Clinicopathological Variables
3.3. Survival Analysis
3.4. Pathway and Gene Ontology Enrichment Analysis
3.5. GEPIA2 Survival Analysis
3.6. Human Protein Atlas (HPA) Analysis
4. Discussion
Supplementary Materials
Author Contributions
Funding
Institutional Review Board Statement
Informed Consent Statement
Data Availability Statement
Conflicts of Interest
References
- Sorlie, T.; Perou, C.M.; Tibshirani, R.; Aas, T.; Geisler, S.; Johnsen, H.; Hastie, T.; Eisen, M.B.; van de Rijn, M.; Jeffrey, S.S.; et al. Gene expression patterns of breast carcinomas distinguish tumor subclasses with clinical implications. Proc. Natl. Acad. Sci. USA 2001, 98, 10869–10874. [Google Scholar] [CrossRef] [PubMed]
- Kwa, M.; Makris, A.; Esteva, F.J. Clinical utility of gene-expression signatures in early stage breast cancer. Nat. Rev. Clin. Oncol. 2017, 14, 595–610. [Google Scholar] [CrossRef]
- Condorelli, R.; Mosele, F.; Verret, B.; Bachelot, T.; Bedard, P.; Cortes, J.; Hyman, D.; Juric, D.; Krop, I.; Bieche, I.; et al. Genomic alterations in breast cancer: Level of evidence for actionability according to ESMO Scale for Clinical Actionability of molecular Targets (ESCAT). Ann. Oncol. 2019, 30, 365–373. [Google Scholar] [CrossRef]
- Birchmeier, C.; Birchmeier, W.; Gherardi, E.; Vande Woude, G.F. Met, metastasis, motility and more. Nat. Rev. Mol. Cell Biol. 2003, 4, 915–925. [Google Scholar] [CrossRef]
- Jardim, D.L.; Tang, C.; Gagliato, D.D.M.; Falchook, G.S.; Hess, K.; Janku, F.; Fu, S.; Wheler, J.J.; Zinner, R.G.; Naing, A.; et al. Analysis of 1,115 Patients Tested for MET Amplification and Therapy Response in the MD Anderson Phase I Clinic. Clin. Cancer Res. 2014, 20, 6336–6345. [Google Scholar] [CrossRef] [PubMed]
- Yan, S.; Jiao, X.; Zou, H.; Li, K. Prognostic significance of c-Met in breast cancer: A meta-analysis of 6010 cases. Diagn. Pathol. 2015, 10, 62. [Google Scholar] [CrossRef] [PubMed]
- Beviglia, L.; Matsumoto, K.; Lin, C.S.; Ziober, B.L.; Kramer, R.H. Expression of the c-Met/HGF receptor in human breast carcinoma: Correlation with tumor progression. Int. J. Cancer. 1997, 74, 301–309. [Google Scholar] [CrossRef] [PubMed]
- Gastaldi, S.; Comoglio, P.M.; Trusolino, L. The Met oncogene and basal-like breast cancer: Another culprit to watch out for? Breast Cancer Res. 2010, 12, 208. [Google Scholar] [CrossRef]
- Ho-Yen, C.M.; Green, A.; Rakha, E.A.; Brentnall, A.; Ellis, I.; Kermorgant, S.; Jones, J.L. C-Met in invasive breast cancer. Cancer 2013, 120, 163–171. [Google Scholar] [CrossRef]
- Ho-Yen, C.M.; Jones, J.L.; Kermorgant, S. The clinical and functional significance of c-Met in breast cancer: A review. Breast Cancer Res. 2015, 17, 52. [Google Scholar] [CrossRef]
- Moosavi, F.; Giovannetti, E.; Saso, L.; Firuzi, O. HGF/MET pathway aberrations as diagnostic, prognostic, and predictive biomarkers in human cancers. Crit. Rev. Clin. Lab. Sci. 2019, 56, 533–566. [Google Scholar] [CrossRef]
- Zagouri, F.; Bago-Horvath, Z.; Rössler, F.; Brandstetter, A.; Bartsch, R.; Papadimitriou, C.A.; Dimitrakakis, C.; Tsigginou, A.; Papaspyrou, I.; Giannos, A.; et al. High MET expression is an adverse prognostic factor in patients with triple-negative breast cancer. Br. J. Cancer 2013, 108, 1100–1105. [Google Scholar] [CrossRef]
- Zagouri, F.; Brandstetter, A.; Moussiolis, D.; Chrysikos, D.; Dimitrakakis, C.; Tsigginou, A.; Marinopoulos, S.; Zografos, G.C.; Sergentanis, T.N.; Dimopoulos, M.-A.; et al. Low protein expression of MET in ER-positive and HER2-positive breast cancer. Anticancer Res. 2014, 34, 1127–1231. [Google Scholar]
- Marino, F.Z.; Rossi, G.; Montella, M.; Botti, G.; De Cecio, R.; Morabito, A.; La Manna, C.; Ronchi, A.; Micheli, M.; Salatiello, G.; et al. Heterogeneity of PD-L1 Expression in Lung Mixed Adenocarcinomas and Adenosquamous Carcinomas. Am. J. Surg. Pathol. 2019, 44, 378–386. [Google Scholar] [CrossRef] [PubMed]
- Pozner-Moulis, S.; Cregger, M.; Camp, R.L.; Rimm, D.L. Antibody validation by quantitative analysis of protein expression using expression of Met in breast cancer as a model. Lab. Investig. 2007, 87, 251–260. [Google Scholar] [CrossRef] [PubMed]
- Marino, F.Z.; Rossi, G.; Cozzolino, I.; Montella, M.; Micheli, M.; Bogina, G.; Munari, E.; Brunelli, M.; Franco, R. Multiplex fluorescence in situ hybridisation to detect anaplastic lymphoma kinase and ROS proto-oncogene 1 receptor tyrosine kinase rearrangements in lung cancer cytological samples. J. Clin. Pathol. 2019, 73, 96–101. [Google Scholar] [CrossRef]
- Sierra, J.R.; Tsao, M.-S. c-MET as a potential therapeutic target and biomarker in cancer. Ther. Adv. Med. Oncol. 2011, 3, S21–S35. [Google Scholar] [CrossRef]
- Gherardi, E.; Birchmeier, W.; Birchmeier, C.; Woude, G.V. Targeting MET in cancer: Rationale and progress. Nat. Rev. Cancer 2012, 12, 89–103. [Google Scholar] [CrossRef]
- Ghiso, E.; Giordano, S. Targeting MET: Why, where and how? Curr. Opin. Pharmacol. 2013, 13, 511–518. [Google Scholar] [CrossRef] [PubMed]
- Lengyel, E.; Prechtel, D.; Resau, J.H.; Gauger, K.; Welk, A.; Lindemann, K.; Salanti, G.; Richter, T.; Knudsen, B.; Woude, G.F.V.; et al. C-Met overexpression in node-positive breast cancer identifies patients with poor clinical outcome independent of Her2/neu. Int. J. Cancer 2004, 113, 678–682. [Google Scholar] [CrossRef]
- Carracedo, A.; Egervari, K.; Salido, M.; Rojo, F.; Corominas, J.M.; Arumi, M.; Corzo, C.; Tusquets, I.; Espinet, B.; Rovira, A.; et al. FISH and immunohistochemical status of the hepatocyte growth factor receptor (c-Met) in 184 invasive breast tumors. Breast Cancer Res. 2009, 11, 402. [Google Scholar] [CrossRef] [PubMed]
- Della Corte, C.M.; Fasano, M.; Papaccio, F.; Ciardiello, F.; Morgillo, F. Role of HGF–MET Signaling in Primary and Acquired Resistance to Targeted Therapies in Cancer. Biomedicines 2014, 2, 345–358. [Google Scholar] [CrossRef] [PubMed]
- Raghav, K.P.; Wang, W.; Liu, S.; Chavez-MacGregor, M.; Meng, X.; Hortobagyi, G.N.; Mills, G.B.; Meric-Bernstam, F.; Blumenschein, G.R.; Gonzalez-Angulo, A.M. cMET and Phospho-cMET Protein Levels in Breast Cancers and Survival Outcomes. Clin. Cancer Res. 2012, 18, 2269–2277. [Google Scholar] [CrossRef] [PubMed]
- Baccelli, I.; Stenzinger, A.; Vogel, V.; Pfitzner, B.M.; Klein, C.; Wallwiener, M.; Scharpff, M.; Saini, M.; Holland-Letz, T.; Sinn, H.-P.; et al. Co-expression of MET and CD47 is a novel prognosticator for survival of luminal-type breast cancer patients. Oncotarget 2014, 5, 8147–8160. [Google Scholar] [CrossRef]
- Gonzalez-Angulo, A.; Blumenschein, G. Defining biomarkers to predict sensitivity to PI3K/Akt/mTOR pathway inhibitors in breast cancer. Cancer Treat. Rev. 2012, 39, 313–320. [Google Scholar] [CrossRef]
- Ghoussoub, R.A.D.; Dillon, D.A.; D’Aquila, T.; Rimm, E.B.; Fearon, E.R.; Rimm, D.L. Expression of c-met is a strong independent prognostic factor in breast carcinoma. Cancer 1998, 82, 1513–1520. [Google Scholar] [CrossRef]
- Wang, F.; Li, S.; Zhao, Y.; Yang, K.; Chen, M.; Niu, H.; Yang, J.; Luo, Y.; Tang, W.; Sheng, M. Predictive role of the overexpression for CXCR4, C-Met, and VEGF-C among breast cancer patients: A meta-analysis. Breast 2016, 28, 45–53. [Google Scholar] [CrossRef]
- Jia, L.; Yang, X.; Tian, W.; Guo, S.; Huang, W.; Zhao, W. Increased Expression of c-Met is Associated with Chemotherapy-Resistant Breast Cancer and Poor Clinical Outcome. Med. Sci. Monit. 2018, 24, 8239–8249. [Google Scholar] [CrossRef]
- Nakopoulou, L.; Gakiopoulou, H.; Keramopoulos, A.; Giannopoulou, I.; Athanassiadou, P.; Mavrommatis, J.; Davaris, P.S. c-met tyrosine kinase receptor expression is associated with abnormal β-catenin expression and favourable prognostic factors in invasive breast carcinoma. Histopathology 2000, 36, 313–325. [Google Scholar] [CrossRef]
- Papaccio, F.; Della Corte, C.M.; Viscardi, G.; Di Liello, R.; Esposito, G.; Sparano, F.; Ciardiello, F.; Morgillo, F. HGF/MET and the Immune System: Relevance for Cancer Immunotherapy. Int. J. Mol. Sci. 2018, 19, 3595. [Google Scholar] [CrossRef]
- Hiscox, S.; Gee, J.; Nicholson, R.I. Endocrine resistance and breast cancer invasion. In Metastasis of Breast Cancer: Cancer Metastasis—Biology and Treatment; Mansel, R.E., Fodstad, O., Jiang, W.G., Eds.; Springer: Dordrecht, The Netherlands, 2007; Volume 11, pp. 137–150. [Google Scholar] [CrossRef]
- Vendrell, J.A.; Robertson, K.E.; Ravel, P.; Bray, S.E.; Bajard, A.; Purdie, C.A.; Nguyen, C.; Hadad, S.M.; Bieche, I.; Chabaud, S.; et al. A candidate molecular signature associated with tamoxifen failure in primary breast cancer. Breast Cancer Res. 2008, 10, R88. [Google Scholar] [CrossRef] [PubMed]
- Hughes, V.S.; Siemann, D.W. Have Clinical Trials Properly Assessed c-Met Inhibitors? Trends Cancer 2017, 4, 94–97. [Google Scholar] [CrossRef] [PubMed]






| Cohort | |
|---|---|
| Patients | 105 |
| Age | |
| median(range) | 59 (49–72) |
| mean (standard deviation) | 60 (13.52) |
| <50 y | 30 |
| ≥50 y | 75 |
| Tumor size | |
| T1 | 66 |
| T2 | 30 |
| T3 | 9 |
| Lymph nodal status | |
| N0 | 65 |
| N1 | 23 |
| N2 | 17 |
| Tumor stage | |
| Stage I | 46 |
| Stage II | 39 |
| Stage III | 20 |
| Grade | |
| G1 | 9 |
| G2 | 74 |
| G3 | 22 |
| Ki67 | |
| <20% | 45 |
| ≥20% | 60 |
| Perineural invasion | |
| Absent | 87 |
| Present | 18 |
| Hystological type | |
| NST | 90 |
| Lobular | 11 |
| Other | 4 |
| ER | |
| Negative | 0 |
| Positive | 105 |
| PR | |
| Negative | 27 |
| Positive | 78 |
| HER2 | |
| Negative | 91 |
| Positive | 14 |
| c-Met | |
| <50% | 62 |
| ≥ 50% | 43 |
| Hormonotherapy | |
| Yes | 97 |
| No | 8 |
| Chemotherapy | |
| Yes | 60 |
| No | 45 |
| Characteristics | N (%) | High c-MET (N, %) | Low c-MET (N, %) | Χ2 | p-Value |
|---|---|---|---|---|---|
| Total | 105 | 43, (41) | 62, (59) | ||
| Age | 0.946 | 0.331 | |||
| <50 y | 30, (29) | 15, (14) | 15, (14) | ||
| ≥50 y | 75, (71) | 28, (27) | 47, (45) | ||
| Tumor size | 5.156 | 0.023 | |||
| T1 | 66, (63) | 21, (20) | 45, (43) | ||
| T2-T3 | 39, (37) | 22, (21) | 17, (16) | ||
| Lymph nodal status | 0.750 | 0.387 | |||
| N0 | 65, (62) | 24, (23) | 41, (39) | ||
| N1-N2 | 40, (38) | 19, (18) | 21, (20) | ||
| Tumor stage | 7.562 | 0.023 | |||
| Stage I | 46, (44) | 12, (26) | 34, (74) | ||
| Stage II | 39, (37) | 21, (54) | 18, (46) | ||
| Stage II | 20, (19) | 10, (50) | 10, (50) | ||
| Grade | 0.000 | 1 | |||
| G1-G2 | 83, (79) | 34, (32) | 49, (47) | ||
| G3 | 22, (21) | 9, (9) | 13, (12) | ||
| Ki67 | 15.853 | <0.001 | |||
| <20% | 45, (43) | 8, (8) | 37, (35) | ||
| ≥20% | 60, (57) | 35, (33) | 25, (24) | ||
| Perineural invasion | 0.005 | 0.796 | |||
| Absent | 87, (83) | 35, (33) | 52, (50) | ||
| Present | 18, (17) | 8, (8) | 10, (10) | ||
| Histological type | 4.079 | 0.131 | |||
| NST | 90, (86) | 40, (38) | 50, (48) | ||
| Lobular | 11, (10) | 3, (3) | 8, (8) | ||
| Other | 4, (4) | 0, (0) | 4, (4) | ||
| PR | 6.108 | 0.013 | |||
| <20% | 27, (26) | 17, (16) | 10, (9) | ||
| ≥20% | 78, (74) | 26, (25) | 52, (50) | ||
| CT | 7.720 | 0.005 | |||
| Yes | 60, (57) | 32, (30) | 28, (27) | ||
| No | 45, (43) | 11, (10) | 34, (32) |
| DFS | BCSS | |||
|---|---|---|---|---|
| HR (95% CI) | p-Value | HR (95%CI) | p-Value | |
| Age | 0.12 | 0.082 | ||
| <50 | 1 | 1 | ||
| ≥50 | 3.2 (0.74–14) | 3.7 (0.85–17) | ||
| PR | 0.38 | 0.46 | ||
| <20% | 1 | 1 | ||
| ≥20% | 0.64 (0.24–1.7) | 0.68 (0.25–1.9) | ||
| c-MET | 0.0027 | 0.0013 | ||
| Low c-MET <50% | 1 | 1 | ||
| High c-MET ≥50% | 9.6 (2.2–42) | 13 (1.7–99) | ||
| Ki67 | 0.017 | 0.021 | ||
| <20% | 1 | 1 | ||
| ≥20% | 6.1 (1.4–27) | 11 (1.4–83) | ||
| Lymph nodal status | 0.16 | 0.28 | ||
| N0 | 1 | 1 | ||
| N1-N2 | 2 (0.77–5.2) | 1.7 (0.65–4.6) | ||
| Tumor size | 0.0018 | 0.0024 | ||
| T1 | 1 | 1 | ||
| T2-T3 | 6 (2–18) | 7 (2–25) | ||
| Tumor stage | 0.0062 | 0.0058 | ||
| Stage I-II | 1 | 1 | ||
| Stage III | 3.9 (1.5–10) | 4.3 (0.44–4.3) | ||
| Grade | 0.76 | 0.59 | ||
| G1-G2 | 1 | 1 | ||
| G3 | 1.2 (0.39–3.6) | 1.4 (0.44–4.3) | ||
| Perineural invasion | 0.081 | 0.034 | ||
| Absent | 1 | 1 | ||
| Present | 2.5 (0.89–7.3) | 3.1 (1.1–9.1) | ||
| Histological Type | 0.69 | 1 | ||
| NST | 1 | 1 | ||
| Lobular/Other | 1.3 (0.37–4.5) | 1 (0.23–4.4) | ||
| CT | 0.076 | 0.17 | ||
| No | 1 | 1 | ||
| Yes | 2.8 (0.9–8.5) | 2.2 (0.71–6.9) | ||
Publisher’s Note: MDPI stays neutral with regard to jurisdictional claims in published maps and institutional affiliations. |
© 2022 by the authors. Licensee MDPI, Basel, Switzerland. This article is an open access article distributed under the terms and conditions of the Creative Commons Attribution (CC BY) license (https://creativecommons.org/licenses/by/4.0/).
Share and Cite
Iovino, F.; Diana, A.; Carlino, F.; Ferraraccio, F.; Antoniol, G.; Fisone, F.; Perrone, A.; Zito Marino, F.; Panarese, I.; Tathode, M.S.; et al. Expression of c-MET in Estrogen Receptor Positive and HER2 Negative Resected Breast Cancer Correlated with a Poor Prognosis. J. Clin. Med. 2022, 11, 6987. https://doi.org/10.3390/jcm11236987
Iovino F, Diana A, Carlino F, Ferraraccio F, Antoniol G, Fisone F, Perrone A, Zito Marino F, Panarese I, Tathode MS, et al. Expression of c-MET in Estrogen Receptor Positive and HER2 Negative Resected Breast Cancer Correlated with a Poor Prognosis. Journal of Clinical Medicine. 2022; 11(23):6987. https://doi.org/10.3390/jcm11236987
Chicago/Turabian StyleIovino, Francesco, Anna Diana, Francesca Carlino, Franca Ferraraccio, Giuliano Antoniol, Francesca Fisone, Alessandra Perrone, Federica Zito Marino, Iacopo Panarese, Madhura S. Tathode, and et al. 2022. "Expression of c-MET in Estrogen Receptor Positive and HER2 Negative Resected Breast Cancer Correlated with a Poor Prognosis" Journal of Clinical Medicine 11, no. 23: 6987. https://doi.org/10.3390/jcm11236987
APA StyleIovino, F., Diana, A., Carlino, F., Ferraraccio, F., Antoniol, G., Fisone, F., Perrone, A., Zito Marino, F., Panarese, I., Tathode, M. S., Caraglia, M., Gatta, G., Ruggiero, R., Parisi, S., De Vita, F., Ciardiello, F., Docimo, L., & Orditura, M. (2022). Expression of c-MET in Estrogen Receptor Positive and HER2 Negative Resected Breast Cancer Correlated with a Poor Prognosis. Journal of Clinical Medicine, 11(23), 6987. https://doi.org/10.3390/jcm11236987

