What Are the Key Factors of Functional Outcomes in Patients with Spinopelvic Dissociation Treated with Triangular Osteosynthesis?
Abstract
1. Introduction
2. Materials and Methods
2.1. Patient Selection and Classification
2.2. Radiographic Methods
| Authors | Methods | Description |
|---|---|---|
| Sagi et al., 2009 | Inlet and outlet ratio Method (Sagi Method) [11] | On the inlet view, we drew a line across the anterior border of the sacrum, perpendicular to the spinous processes. The perpendicular distance from this line to the subchondral bone of each acetabulum was measured, and a ratio was then calculated, with the affected side of pelvis set as the numerator. A similar ratio was obtained for the outlet view by drawing a line parallel to the superior end plate of S1, perpendicular to the spinous processes. The perpendicular distance from the reference line to the subchondral bone of each acetabulum was measured, and a ratio was then calculated, with the affected side of pelvis set as the numerator (Figure 3). |
| Keshishyan et al., 1995 | Cross measurement method (Keshishyan Method) [14] | The measurement method described by Keshishyan et al. for assessing the displacement of pelvic ring continuity in children used only the AP pelvic view. Originally, this method was applied for skeletally immature patients and measures the distance from the inferior aspect of the sacroiliac (SI) joint to the contralateral triradiate cartilage. We used the modified method described by Lefaivre et al. to assess our adult patients. Observers were instructed to measure from the inferior SI joint (iliac side) to the inferior aspect of the teardrop in the AP pelvic view. “Y” was the length from the left SI joint to the right teardrop, and “X” was the opposite. Observers were instructed to measure the distance using the measuring software. We then calculated the ratio (X/Y) to standardize the baseline of comparison of the displacement (Figure 4). |
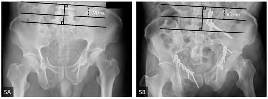
| Lefaivre et al., 2009 | Absolute displacement method (ADM) [13] | This method was initially proposed by Lefaivre et al. in 2009. Observers were instructed to use preoperative pelvic AP, inlet, and outlet views. In each view, a horizontal line was drawn across the superior end plate of L5 as a reference line. If this was not visible in the film, the observers were asked to use the inferior end plate of L5 as a reference. Measurements were either parallel or perpendicular to this reference line. This line was used as the direction for horizontal measurements, or a line 90 degrees to this reference line was used for vertical measurements. Maximum displacements in the anterior and posterior pelvic rings were measured in each plane film. After completing the six measurements of the three preoperative films (anterior and posterior rings in each of the AP, outlet, and inlet views), the observers were instructed to measure the same anatomic locations in the postoperative plane films. Finally, the largest single measurements from the six preoperative and postoperative measurements were considered the preoperative and postoperative maximum displacements, respectively (Figure 5A,B). |



2.3. Statistical Methods
3. Results
4. Discussion
5. Conclusions
Author Contributions
Funding
Institutional Review Board Statement
Informed Consent Statement
Data Availability Statement
Acknowledgments
Conflicts of Interest
References
- Yi, C.; Hak, D.J. Traumatic spinopelvic dissociation or U-shaped sacral fracture: A review of the literature. Injury 2012, 43, 402–408. [Google Scholar] [CrossRef]
- Strange-Vognsen, H.H.; Lebech, A. An unusual type of fracture in the upper sacrum. J. Orthop. Trauma 1991, 5, 200–203. [Google Scholar] [CrossRef] [PubMed]
- Quacinella, M.A.; Morrissey, P.B.; Parry, J.A.; Mauffrey, C. Spinopelvic Dissociation: Assessment, Reduction Strategies, and Fixation Techniques. J. Am. Acad. Orthop. Surg. 2020, 28, e1086–e1096. [Google Scholar] [CrossRef]
- Petryla, G.; Bobina, R.; Uvarovas, V.; Kurtinaitis, J.; Sveikata, T.; Ryliškis, S.; Kvederas, G.; Šatkauskas, I. Functional outcomes and quality of life after surgical treatment of spinopelvic dissociation: A case series with one-year follow-up. BMC Musculoskelet. Disord. 2021, 22, 795. [Google Scholar] [CrossRef] [PubMed]
- Erkan, S.; Cetinarslan, O.; Okcu, G. Traumatic spinopelvic dissociation managed with bilateral triangular osteosynthesis: Functional and radiological outcomes, health related quality of life and complication rates. Injury 2021, 52, 95–101. [Google Scholar] [CrossRef] [PubMed]
- Sakti, Y.M.; Mafaza, A.; Lanodiyu, Z.A.; Sakadewa, G.P.; Magetsari, R. Management of complex pelvic fracture and sacral fracture Denis type 2 using spanning unilateral fixation of L5 to S2AI screw. Int. J. Surg. Case Rep. 2020, 77, 543–548. [Google Scholar] [CrossRef]
- Tisano, B.K.; Kelly, D.P.; Starr, A.J.; Sathy, A.K. Vertical shear pelvic ring injuries: Do transsacral screws prevent fixation failure? OTA Int. 2020, 3, e084. [Google Scholar] [CrossRef]
- Berber, O.; Amis, A.A.; Day, A.C. Biomechanical testing of a concept of posterior pelvic reconstruction in rotationally and vertically unstable fractures. J. Bone Jt. Surg. 2011, 93, 237–244. [Google Scholar] [CrossRef][Green Version]
- Wanner, J.P.; Tatman, L.; Stephens, B.; Mitchell, P. Team Approach: Spinopelvic Dissociation. JBJS Rev. 2021, 9, e20. [Google Scholar] [CrossRef]
- Santolini, E.; Kanakaris, N.K.; Giannoudis, P.V. Sacral fractures: Issues, challenges, solutions. EFORT Open Rev. 2020, 5, 299–311. [Google Scholar] [CrossRef]
- Sagi, H.C.; Militano, U.; Caron, T.; Lindvall, E. A Comprehensive Analysis With Minimum 1-Year Follow-up of Vertically Unstable Transforaminal Sacral Fractures Treated With Triangular Osteosynthesis. J. Orthop. Trauma 2009, 23, 313–319. [Google Scholar] [CrossRef] [PubMed]
- Tian, D.; Guo, X.; Liu, N.; Wang, B.; He, H.; Xiong, M. A Modified Triangular Osteosynthesis Protocol for the Rod and Pedicle Screw Fixation of Vertical Unstable Sacral Fractures. Int. J. Spine Surg. 2021, 15, 485–493. [Google Scholar] [CrossRef]
- Lefaivre, K.A.; Starr, A.J.; Barker, B.; Overturf, S.; Reinert, C.M. Early experience with reduction of displaced disruption of the pelvic ring using a pelvic reduction frame. J. Bone Jt. Surg. 2009, 91, 1201–1207. [Google Scholar] [CrossRef] [PubMed]
- Keshishyan, R.A.; Rozinov, V.M.; Malakhov, O.A.; Kuznetsov, L.E.; Strunin, E.G.; Chogovadze, G.A.; Tsukanov, V.E. Pelvic polyfractures in children. Radiographic diagnosis and treatment. Clin. Orthop. Relat. Res. 1995, 320, 28–33. [Google Scholar]
- Zhao, Y.; Yuan, B.; Han, Y.; Zhang, B. Radiographic analysis of the sacral-2-alar screw trajectory. J. Orthop. Surg. Res. 2021, 16, 522. [Google Scholar] [CrossRef]
- Denis, F.; Davis, S.; Comfort, T. Sacral fractures: An important problem. Retrospective analysis of 236 cases. Clin. Orthop. Relat. Res. 1988, 227, 67–81. [Google Scholar] [CrossRef]
- Roy-Camille, R.; Saillant, G.; Gagna, G.; Mazel, C. Transverse fracture of the upper sacrum. Suicidal jumper’s fracture. Spine (Phila Pa 1976) 1985, 10, 838–845. [Google Scholar] [CrossRef]
- Devlin, N.J.; Brooks, R. EQ-5D and the EuroQol Group: Past, Present and Future. Appl. Health Econ. Health Policy 2017, 15, 127–137. [Google Scholar] [CrossRef]
- Bajada, S.; Mohanty, K. Psychometric properties including reliability, validity and responsiveness of the Majeed pelvic score in patients with chronic sacroiliac joint pain. Eur. Spine J. 2016, 25, 1939–1944. [Google Scholar] [CrossRef]
- Lin, Y.C.; Gfoehler, M.; Pandy, M.G. Quantitative evaluation of the major determinants of human gait. J. Biomech. 2014, 47, 1324–1331. [Google Scholar] [CrossRef]
- Gordon, K.E.; Ferris, D.P.; Kuo, A.D. Metabolic and mechanical energy costs of reducing vertical center of mass movement during gait. Arch. Phys. Med. Rehabil. 2009, 90, 136–144. [Google Scholar] [CrossRef] [PubMed]
- Kubota, M.; Uchida, K.; Kokubo, Y.; Shimada, S.; Matsuo, H.; Yayama, T.; Miyazaki, T.; Sugita, D.; Watanabe, S.; Baba, H. Post-operative gait analysis and hip muscle strength in patients with pelvic ring fracture. Gait Posture 2013, 38, 385–390. [Google Scholar] [CrossRef] [PubMed]
- Kubota, M.; Uchida, K.; Kokubo, Y.; Shimada, S.; Matsuo, H.; Yayama, T.; Miyazaki, T.; Takeura, N.; Yoshida, A.; Baba, H. Changes in gait pattern and hip muscle strength after open reduction and internal fixation of acetabular fracture. Arch. Phys. Med. Rehabil. 2012, 93, 2015–2021. [Google Scholar] [CrossRef] [PubMed]
- Dean, C.S.; Nadeau, J.; Strage, K.E.; Tucker, N.J.; Chambers, L.; Worster, K.; Rojas, D.; Schneider, G.; Johnson, T.; Hunt, K.; et al. Analysis of Post-operative Gait, Hip Strength, and Patient-Reported Outcomes After OTA/AO 61-B and 61-C Pelvic Ring Injuries. J. Orthop. Trauma 2022, 36, 432–438. [Google Scholar] [CrossRef]
- Lefaivre, K.A.; Blachut, P.A.; Starr, A.J.; Slobogean, G.P.; O’Brien, P.J. Radiographic Displacement in Pelvic Ring Disruption: Reliability of 3 Previously Described Measurement Techniques. J. Orthop. Trauma 2014, 28, 160–166. [Google Scholar] [CrossRef]
- Hashmi, S.Z.; Butler, B.; Johnson, D.; Wun, K.; Sherman, A.; Summers, H.; Stover, M. Accuracy of Radiographic Displacement Measurement in a Pelvic Ring Injury Model. J. Am. Acad. Orthop. Surg. 2022, 30, e173–e181. [Google Scholar] [CrossRef]




| Variable | n (%) | |
|---|---|---|
| Men | 15 (65.2%) | |
| Women | 8 (34.8%) | |
| AO 2018 classification | ||
| 61C1 | 14 (60.9%) | |
| 61C2 | 2 (8.70%) | |
| 61C3 | 6 (26.1%) | |
| 62C2 | 1 (4.35%) | |
| Denis zone | ||
| I | 10 (43.5%) | |
| II | 10 (43.5%) | |
| III | 3 (13.0%) | |
| Mean (SD) | Median (IQR) | |
| Age (years) | 47.8 (19.3) | 47.0 (32.0) |
| Preoperative | ||
| Inlet ratio | 0.90 (0.07) | 0.91 (0.11) |
| Outlet ratio | 0.96 (0.10) | 0.85 (0.10) |
| Deformity index | 0.04 (0.04) | 0.04 (0.05) |
| Asymmetry | 12.6 (11.0) | 10.6 (13.1) |
| Deformity ratio | 0.94 (0.10) | 0.94 (0.10) |
| VD | 14.9 (14.7) | 12.6 (13.3) |
| HD | 13.0 (13.7) | 6.65 (18.3) |
| Postoperative | ||
| Inlet ratio | 0.92 (0.07) | 0.92 (0.06) |
| Outlet ratio | 0.91 (0.08) | 0.92 (0.11) |
| Deformity index | 0.05 (0.06) | 0.04 (0.05) |
| Asymmetry | 11.9 (9.71) | 10.1 (15.0) |
| Deformity ratio | 0.91 (0.10) | 0.93 (0.10) |
| VD | 6.99 (11.1) | 4.33 (9.90) |
| HD | 7.33 (8.75) | 3.81 (13.4) |
| VD change | 7.46 (5.22) | 7.73 (7.12) |
| HD change | 7.63 (5.25) | 7.95 (7.33) |
| EQ−5D−5L | EQ−VAS | Majeed Pelvic Score | |
|---|---|---|---|
| Variable | Mean (SD) | Mean (SD) | Mean (SD) |
| Time window | |||
| 6–8 weeks | 0.14 (0.43) | 51.2 (11.7) | 49.2 (9.32) |
| 3 months | 0.46 (0.28) | 63.7 (15.9) | 60.1 (13.2) |
| 6 months | 0.74 (0.16) | 77.5 (15.9) | 77.5 (15.2) |
| 1 year | 0.94 (0.09) | 92.3 (9.32) | 94.5 (8.12) |
| Crude estimated (95% CI) | 0.32 (0.25, 0.39) | 0.17 (0.14, 0.20) | 0.20 (0.18, 0.22) |
| p-value | <0.0001 | <0.0001 | <0.0001 |
| * Adjusted estimated (95% CI) | 0.31 (0.25, 0.37) | 0.17 (0.14, 0.20) | 0.20 (0.18, 0.22) |
| * p-value | <0.0001 | <0.0001 | <0.0001 |
| Variable | Crude Estimated (95% CI) | p-Value | * Adjusted Estimated (95% CI) | ** p-Value |
|---|---|---|---|---|
| Preoperative | ||||
| Inlet ratio | 0.948 (−1.492, 3.388) | 0.446 | 1.013 (−0.275, 2.300) | 0.123 |
| Outlet ratio | 2.409 (0.838, 3.981) | 0.003 | 2.141 (0.041, 4.241) | 0.046 ** |
| Deformity index | 1.530 (−0.359, 3.419) | 0.112 | 0.614 (−1.428, 2.656) | 0.556 |
| Asymmetry | 0.005 (−0.005, 0.014) | 0.327 | 0.002 (−0.007, 0.010) | 0.728 |
| Deformity ratio | 0.344 (−0.936, 1.623) | 0.599 | −0.314 (−1.121, 0.493) | 0.446 |
| VD | 0.002 (−0.002, 0.007) | 0.371 | −0.002 (−0.006, 0.003) | 0.461 |
| HD | −0.001 (−0.009, 0.008) | 0.845 | −0.002 (−0.010, 0.007) | 0.673 |
| Postoperative | ||||
| Inlet ratio | 1.157 (−1.204, 3.519) | 0.337 | 1.359 (0.144, 2.574) | 0.028 ** |
| Outlet ratio | 1.605 (0.184 3.026) | 0.027 | 1.804 (1.301, 2.307) | <0.0001 ** |
| Deformity index | 0.755 (−0.219, 1.728) | 0.129 | −0.994 (−2.093, 0.106) | 0.077 |
| Asymmetry | −0.007 (−0.019, 0.006) | 0.321 | −0.008 (−0.019, 0.003) | 0.144 |
| Deformity ratio | −0.350 (−1.105, 0.405) | 0.363 | 0.651 (−0.005, 1.301) | 0.052 |
| VD | 0.003 (−0.003, 0.009) | 0.365 | −0.004 (−0.010, 0.002) | 0.215 |
| HD | −0.009 (−0.020, 0.002) | 0.105 | −0.010 (−0.018, −0.002) | 0.010 ** |
| VD change | 0.009 (−0.011, 0.029) | 0.388 | 0.008 (−0.008, 0.023) | 0.331 |
| HD change | 0.006 (−0.014, 0.027) | 0.544 | 0.007 (−0.009, 0.022) | 0.402 |
| Variable | Crude Estimated (95% CI) | p-Value | * Adjusted Estimated (95% CI) | ** p-Value |
|---|---|---|---|---|
| Preoperative | ||||
| Inlet ratio | 0.733 (−1.173, 2.640) | 0.451 | 0.463 (−0.393, 1.318) | 0.289. |
| Outlet ratio | 1.299 (0.591, 2.008) | 0.0003 | 0.330 (−0.240, 0.900) | 0.256 |
| Deformity index | 1.122 (−0.830, 3.073) | 0.260 | 0.623 (−1.076, 2.322) | 0.472 |
| Asymmetry | 0.002 (−0.009, 0.013) | 0.700 | 0.001 (−0.008, 0.009) | 0.822 |
| Deformity ratio | 0.464 (−0.881, 1.810) | 0.499 | −0.308 (−0.957, 0.341) | 0.353 |
| VD | 0.003 (−0.004, 0.009) | 0.453 | −0.0007 (−0.004, 0.03) | 0.693 |
| HD | −0.002 (−0.008, 0.005) | 0.593 | −0.002 (−0.007, 0.003) | 0.377 |
| Postoperative | ||||
| Inlet ratio | 1.233 (−0.879, 3.345) | 0.252 | 1.270 (0.093, 2.447) | 0.034 ** |
| Outlet ratio | 0.551 (−0.047, 1.549) | 0.279 | 0.455 (−0.365, 1.274) | 0.277 |
| Deformity index | 1.027 (0.017, 2.037) | 0.046 | −0.383 (−1.042, 0.276) | 0.255 |
| Asymmetry | −0.004 (−0.014, 0.006) | 0.432 | −0.003 (−0.009, 0.004) | 0.459 |
| Deformity ratio | −0.460 (−1.316, 0.396) | 0.292 | 0.203 (−0.184, 0.590) | 0.303 |
| VD | 0.005 (−0.002, 0.011) | 0.197 | −0.0002 (−0.004, 0.003) | 0.927 |
| HD | −0.003 (−0.009, 0.004) | 0.436 | −0.004 (−0.010, 0.001) | 0.130 |
| VD change | −0.003 (−0.026, 0.019) | 0.779 | −0.005 (−0.022, 0.012) | 0.572 |
| HD change | −0.005 (−0.027, 0.018) | 0.688 | −0.005 (−0.023, 0.012) | 0.555 |
| Variable | Crude Estimated (95% CI) | p-Value | * Adjusted Estimated (95% CI) | ** p-Value |
|---|---|---|---|---|
| Preoperative | ||||
| Inlet ratio | 0.937 (−0.463, 2.337) | 0.190 | 0.714 (−0.134, 1.562) | 0.099 |
| outlet ratio | 0.790 (0.038, 1.542) | 0.040 | 0.009 (−0.579, 0.600) | 0.977 |
| Deformity index | 0.618 (−1.354, 2.589) | 0.539 | 0.030 (−1.932, 1.991) | 0.976 |
| Asymmetry | 0.0004 (−0.010, 0.011) | 0.942 | −0.001 (−0.010, 0.008) | 0.763 |
| Deformity ratio | 0.168 (−0.772, 1.108) | 0.726 | −0.207 (−0.811, 0.396) | 0.501 |
| VD | 0.0004 (−0.004, 0.004) | 0.856 | −0.001 (−0004, 0.003) | 0.586 |
| HD | −0.001 (−0.008, 0.006) | 0.868 | −0.001 (−0.007, 0.005) | 0.716 |
| Postoperative | ||||
| Inlet ratio | 1.126 (−0.414, 2.665) | 0.152 | 0.871 (−0.376, 2.117) | 0.171 |
| outlet ratio | 0.528 (−0.238, 1.294) | 0.177 | 0.342 (−0.422, 1.105) | 0.381 |
| Deformity index | 0.186 (−0.628, 1.000) | 0.654 | −0.641 (−1.415, 0.133) | 0.105 |
| Asymmetry | −0.005 (−0.013, 0.003) | 0.201 | −0.003 (−0.010, 0.003) | 0.322 |
| Deformity ratio | −0.038 (−0.612, 0.535) | 0.896 | 0.365 (−0.090, 0.820) | 0.115 |
| VD | 0.001 (−0.003, 0.005) | 0.582 | −0.001 (−0.005, 0.002) | 0.441 |
| HD | −0.004 (−0.010, 0.002) | 0.171 | −0.004 (−0.010, 0.002) | 0.199 |
| VD change | −0.002 (−0.025, 0.021) | 0876 | −0.003 (−0.023, 0.017) | 0.794 |
| HD change | −0.003 (−0.026, 0.020) | 0.814 | −0.003 (−0.023, 0.018) | 0.798 |
Publisher’s Note: MDPI stays neutral with regard to jurisdictional claims in published maps and institutional affiliations. |
© 2022 by the authors. Licensee MDPI, Basel, Switzerland. This article is an open access article distributed under the terms and conditions of the Creative Commons Attribution (CC BY) license (https://creativecommons.org/licenses/by/4.0/).
Share and Cite
Su, P.-H.; Huang, Y.-H.; Yeh, C.-W.; Chen, C.-Y.; Lo, Y.-S.; Chen, H.-T.; Tsai, C.-H. What Are the Key Factors of Functional Outcomes in Patients with Spinopelvic Dissociation Treated with Triangular Osteosynthesis? J. Clin. Med. 2022, 11, 6715. https://doi.org/10.3390/jcm11226715
Su P-H, Huang Y-H, Yeh C-W, Chen C-Y, Lo Y-S, Chen H-T, Tsai C-H. What Are the Key Factors of Functional Outcomes in Patients with Spinopelvic Dissociation Treated with Triangular Osteosynthesis? Journal of Clinical Medicine. 2022; 11(22):6715. https://doi.org/10.3390/jcm11226715
Chicago/Turabian StyleSu, Po-Han, Yi-Hsun Huang, Chen-Wei Yeh, Chun-Yen Chen, Yuan-Shun Lo, Hsien-Te Chen, and Chun-Hao Tsai. 2022. "What Are the Key Factors of Functional Outcomes in Patients with Spinopelvic Dissociation Treated with Triangular Osteosynthesis?" Journal of Clinical Medicine 11, no. 22: 6715. https://doi.org/10.3390/jcm11226715
APA StyleSu, P.-H., Huang, Y.-H., Yeh, C.-W., Chen, C.-Y., Lo, Y.-S., Chen, H.-T., & Tsai, C.-H. (2022). What Are the Key Factors of Functional Outcomes in Patients with Spinopelvic Dissociation Treated with Triangular Osteosynthesis? Journal of Clinical Medicine, 11(22), 6715. https://doi.org/10.3390/jcm11226715

