Acute Ischaemic Mitral Valve Regurgitation
Abstract
1. Introduction
2. Epidemiology
3. Pathophysiology
4. Clinical Presentation
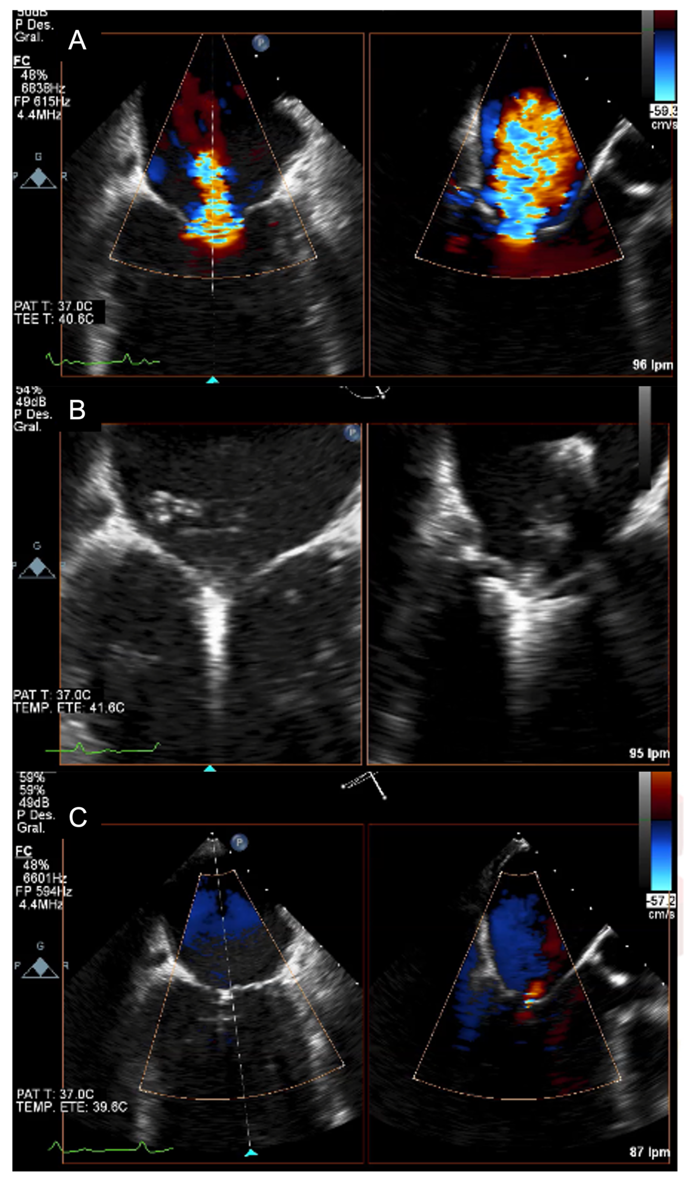
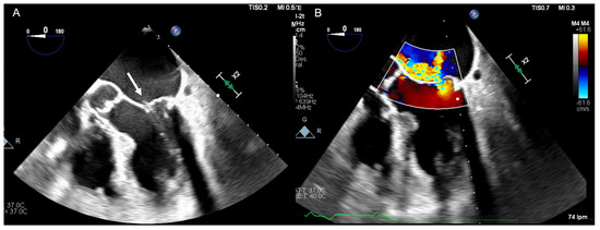
5. Diagnosis
6. Treatment
6.1. Clinical Management: Pharmacotherapies and Mechanical Circulatory Support
6.2. Treatment: Surgical Management
6.2.1. Mitral Valve Replacement
6.2.2. Mitral Valve Repair
6.3. Treatment: Percutaneous Management
7. Conclusions
Funding
Conflicts of Interest
References
- Vahanian, A.; Beyersdorf, F.; Praz, F.; Milojevic, M.; Baldus, S.; Bauersachs, J.; Capodanno, D.; Conradi, L.; De Bonis, M.; De Paulis, R.; et al. 2021 ESC/EACTS Guidelines for the Management of Valvular Heart Disease: Developed by the Task Force for the Management of Valvular Heart Disease of the European Society of Cardiology (ESC) and the European Association for Cardio-Thoracic Surgery (EACTS). Eur. Heart J. 2022, 43, 561–632. [Google Scholar] [CrossRef] [PubMed]
- McInerney, A.; Marroquin-Donday, L.; Tirado-Conte, G.; Hennessey, B.; Espejo, C.; Pozo, E.; de Agustín, A.; Gonzalo, N.; Salinas, P.; Núñez-Gil, I.; et al. Transcatheter Treatment of Mitral Regurgitation. J. Clin. Med. 2022, 11, 2921. [Google Scholar] [CrossRef] [PubMed]
- Varma, P.K.; Krishna, N.; Jose, R.L.; Madkaiker, A.N. Ischemic Mitral Regurgitation. Ann. Card Anaesth. 2017, 20, 432–439. [Google Scholar] [CrossRef] [PubMed]
- Grigioni, F.; Enriquez-Sarano, M.; Zehr, K.J.; Bailey, K.R.; Tajik, A.J. Ischemic Mitral Regurgitation: Long-Term Outcome and Prognostic Implications with Quantitative Doppler Assessment. Circulation 2001, 103, 1759–1764. [Google Scholar] [CrossRef]
- Nishino, S.; Watanabe, N.; Kimura, T.; Enriquez-Sarano, M.; Nakama, T.; Furugen, M.; Koiwaya, H.; Ashikaga, K.; Kuriyama, N.; Shibata, Y. The Course of Ischemic Mitral Regurgitation in Acute Myocardial Infarction After Primary Percutaneous Coronary Intervention: From Emergency Room to Long-Term Follow-Up. Circ. Cardiovasc. Imaging 2016, 9, e004841. [Google Scholar] [CrossRef]
- Elbadawi, A.; Elgendy, I.Y.; Mahmoud, K.; Barakat, A.F.; Mentias, A.; Mohamed, A.H.; Ogunbayo, G.O.; Megaly, M.; Saad, M.; Omer, M.A.; et al. Temporal Trends and Outcomes of Mechanical Complications in Patients With Acute Myocardial Infarction. JACC Cardiovasc. Interv. 2019, 12, 1825–1836. [Google Scholar] [CrossRef]
- Russo, A.; Suri, R.M.; Grigioni, F.; Roger, V.L.; Oh, J.K.; Mahoney, D.W.; Schaff, H.V.; Enriquez-Sarano, M. Clinical Outcome after Surgical Correction of Mitral Regurgitation Due to Papillary Muscle Rupture. Circulation 2008, 118, 1528–1534. [Google Scholar] [CrossRef]
- French, J.K.; Hellkamp, A.S.; Armstrong, P.W.; Cohen, E.; Kleiman, N.S.; O’Connor, C.M.; Holmes, D.R.; Hochman, J.S.; Granger, C.B.; Mahaffey, K.W. Mechanical Complications after Percutaneous Coronary Intervention in ST-Elevation Myocardial Infarction (from APEX-AMI). Am. J. Cardiol. 2010, 105, 59–63. [Google Scholar] [CrossRef]
- Bajaj, A.; Sethi, A.; Rathor, P.; Suppogu, N. Acute Complications of Myocardial Infarction in the Current Era: Diagnosis and Management. J Investig Med 2015, 63, 844–855. [Google Scholar] [CrossRef]
- Goldberg, R.J.; Gore, J.M.; Alpert, J.S.; Osganian, V.; de Groot, J.; Bade, J.; Chen, Z.; Frid, D.; Dalen, J.E. Cardiogenic Shock after Acute Myocardial Infarction. Incidence and Mortality from a Community-Wide Perspective, 1975 to 1988. N. Engl. J. Med. 1991, 325, 1117–1122. [Google Scholar] [CrossRef]
- Goldberg, R.J.; Samad, N.A.; Yarzebski, J.; Gurwitz, J.; Bigelow, C.; Gore, J.M. Temporal Trends in Cardiogenic Shock Complicating Acute Myocardial Infarction. N. Engl. J. Med. 1999, 340, 1162–1168. [Google Scholar] [CrossRef] [PubMed]
- Patel, M.R.; Meine, T.J.; Lindblad, L.; Griffin, J.; Granger, C.B.; Becker, R.C.; Van de Werf, F.; White, H.; Califf, R.M.; Harrington, R.A. Cardiac Tamponade in the Fibrinolytic Era: Analysis of >100,000 Patients with ST-Segment Elevation Myocardial Infarction. Am. Heart J. 2006, 151, 316–322. [Google Scholar] [CrossRef] [PubMed]
- Birnbaum, Y.; Fishbein, M.C.; Blanche, C.; Siegel, R.J. Ventricular Septal Rupture after Acute Myocardial Infarction. N. Engl. J. Med. 2002, 347, 1426–1432. [Google Scholar] [CrossRef]
- Figueras, J.; Alcalde, O.; Barrabés, J.A.; Serra, V.; Alguersuari, J.; Cortadellas, J.; Lidón, R.-M. Changes in Hospital Mortality Rates in 425 Patients with Acute ST-Elevation Myocardial Infarction and Cardiac Rupture over a 30-Year Period. Circulation 2008, 118, 2783–2789. [Google Scholar] [CrossRef] [PubMed]
- Moreno, R.; López-Sendón, J.; García, E.; Pérez de Isla, L.; López de Sá, E.; Ortega, A.; Moreno, M.; Rubio, R.; Soriano, J.; Abeytua, M.; et al. Primary Angioplasty Reduces the Risk of Left Ventricular Free Wall Rupture Compared with Thrombolysis in Patients with Acute Myocardial Infarction. J. Am. Coll. Cardiol. 2002, 39, 598–603. [Google Scholar] [CrossRef]
- Bursi, F.; Enriquez-Sarano, M.; Nkomo, V.T.; Jacobsen, S.J.; Weston, S.A.; Meverden, R.A.; Roger, V.L. Heart Failure and Death after Myocardial Infarction in the Community: The Emerging Role of Mitral Regurgitation. Circulation 2005, 111, 295–301. [Google Scholar] [CrossRef]
- Fazlinezhad, A.; Dorri, M.; Azari, A.; Bigdelu, L. Frequency of Ischemic Mitral Regurgitation after First-Time Acute Myocardial Infarction and Its Relation to Infarct Location and in-Hospital Mortality. J. Tehran Heart Cent 2014, 9, 160–165. [Google Scholar]
- Kishon, Y.; Oh, J.K.; Schaff, H.V.; Mullany, C.J.; Tajik, A.J.; Gersh, B.J. Mitral Valve Operation in Postinfarction Rupture of a Papillary Muscle: Immediate Results and Long-Term Follow-up of 22 Patients. Mayo Clin. Proc. 1992, 67, 1023–1030. [Google Scholar] [CrossRef]
- Tavakoli, R.; Weber, A.; Vogt, P.; Brunner, H.P.; Pretre, R.; Turina, M. Surgical Management of Acute Mitral Valve Regurgitation Due to Post-Infarction Papillary Muscle Rupture. J. Heart Valve Dis. 2002, 11, 20–25; discussion 26. [Google Scholar]
- Gaasch, W.H.; Meyer, T.E. Left Ventricular Response to Mitral Regurgitation: Implications for Management. Circulation 2008, 118, 2298–2303. [Google Scholar] [CrossRef]
- Stout, K.K.; Verrier, E.D. Acute Valvular Regurgitation. Circulation 2009, 119, 3232–3241. [Google Scholar] [CrossRef] [PubMed]
- Nishino, S.; Watanabe, N.; Kimura, T.; Kuriyama, N.; Shibata, Y. Acute Versus Chronic Ischemic Mitral Regurgitation: An Echocardiographic Study of Anatomy and Physiology. Circ. Cardiovasc. Imaging 2009, 11, e007028. [Google Scholar] [CrossRef]
- Kim, D.H.; Dal-Bianco, J.P.; Aikawa, E.; Bischoff, J.; Levine, R.A. Mitral Valve Adaptation: Can We Win the Race? Circ. Cardiovasc. Imaging 2018, 11, e007642. [Google Scholar] [CrossRef] [PubMed]
- Kimura, T.; Roger, V.L.; Watanabe, N.; Barros-Gomes, S.; Topilsky, Y.; Nishino, S.; Shibata, Y.; Enriquez-Sarano, M. The Unique Mechanism of Functional Mitral Regurgitation in Acute Myocardial Infarction: A Prospective Dynamic 4D Quantitative Echocardiographic Study. Eur. Heart J. Cardiovasc. Imaging 2018, 20, 396–406. [Google Scholar] [CrossRef] [PubMed]
- Guvenç, R.Ç. Clinical Presentation, Diagnosis and Management of Acute Mitral Regurgitation Following Acute Myocardial Infarction. J. Acute Dis. 2016, 5, 96–101. [Google Scholar] [CrossRef]
- Glasson, J.R.; Komeda, M.; Daughters, G.T.; Bolger, A.F.; Karlsson, M.O.; Foppiano, L.E.; Hayase, M.; Oesterle, S.N.; Ingels, N.B.; Miller, D.C. Early Systolic Mitral Leaflet “Loitering” during Acute Ischemic Mitral Regurgitation. J. Thorac. Cardiovasc. Surg. 1998, 116, 193–205. [Google Scholar] [CrossRef]
- Inoue, T.; Iemura, J.; Saga, T. Successful Surgical Treatment of Mitral Regurgitation for Complete Rupture of the Anterior Papillary Muscle after Acute MyocardiAl Infarction. Jpn J.Thorac. Caridovasc. Surg 2003, 51, 565–568. [Google Scholar] [CrossRef]
- Kutty, R.S.; Jones, N.; Moorjani, N. Mechanical Complications of Acute Myocardial Infarction. Cardiol. Clin. 2013, 31, 519–531; vii–viii. [Google Scholar] [CrossRef]
- Lang, R.M.; Bierig, M.; Devereux, R.B.; Flachskampf, F.A.; Foster, E.; Pellikka, P.A.; Picard, M.H.; Roman, M.J.; Seward, J.; Shanewise, J.S.; et al. Recommendations for Chamber Quantification: A Report from the American Society of Echocardiography’s Guidelines and Standards Committee and the Chamber Quantification Writing Group, Developed in Conjunction with the European Association of Echocardiography, a Branch of the European Society of Cardiology. J. Am. Soc. Echocardiogr. 2005, 18, 1440–1463. [Google Scholar] [CrossRef]
- Lamas, G.A.; Mitchell, G.F.; Flaker, G.C.; Smith, S.C.; Gersh, B.J.; Basta, L.; Moyé, L.; Braunwald, E.; Pfeffer, M.A. Clinical Significance of Mitral Regurgitation After Acute Myocardial Infarction. Circulation 1997, 96, 827–833. [Google Scholar] [CrossRef]
- Nishimura, R.A.; Otto, C.M.; Bonow, R.O.; Carabello, B.A.; Erwin, J.P.; Fleisher, L.A.; Jneid, H.; Mack, M.J.; McLeod, C.J.; O’Gara, P.T.; et al. 2017 AHA/ACC Focused Update of the 2014 AHA/ACC Guideline for the Management of Patients With Valvular Heart Disease: A Report of the American College of Cardiology/American Heart Association Task Force on Clinical Practice Guidelines. Circulation 1997, 135, e1159–e1195. [Google Scholar] [CrossRef] [PubMed]
- Jain, S.K.; Larsen, T.R.; Darda, S.; Saba, S.; David, S. A Forgotten Devil; Rupture of Mitral Valve Papillary Muscle. Am. J. Case Rep. 2013, 14, 38–42. [Google Scholar] [CrossRef] [PubMed]
- Czarnecki, A.; Thakrar, A.; Fang, T.; Lytwyn, M.; Ahmadie, R.; Pascoe, E.; Jassal, D.S. Acute Severe Mitral Regurgitation: Consideration of Papillary Muscle Architecture. Cardiovasc Ultrasound 2008, 6, 5. [Google Scholar] [CrossRef] [PubMed]
- Colombo, P.C.; Wu, R.H.; Weiner, S.; Marinaccio, M.; Brofferio, A.; Banchs, J.; Malla, S.; Frater, R.; Shirani, J.; Nanna, M. Value of Quantitative Analysis of Mitral Regurgitation Jet Eccentricity by Color Flow Doppler for Identification of Flail Leaflet. Am. J. Cardiol. 2001, 88, 534–540. [Google Scholar] [CrossRef]
- Pouch, A.M.; Jackson, B.M.; Yushkevich, P.A.; Gorman, J.H.; Gorman, R.C. 4D-Transesophageal Echocardiography and Emerging Imaging Modalities for Guiding Mitral Valve Repair. Ann. Cardiothorac. Surg. 2015, 4, 461–462. [Google Scholar] [CrossRef] [PubMed]
- Ibanez, B.; James, S.; Agewall, S.; Antunes, M.J.; Bucciarelli-Ducci, C.; Bueno, H.; Caforio, A.L.P.; Crea, F.; Goudevenos, J.A.; Halvorsen, S.; et al. 2017 ESC Guidelines for the Management of Acute Myocardial Infarction in Patients Presenting with ST-Segment Elevation: The Task Force for the Management of Acute Myocardial Infarction in Patients Presenting with ST-Segment Elevation of the European Society of Cardiology (ESC). Eur. Heart J. 2018, 39, 119–177. [Google Scholar] [CrossRef]
- Briosa e Gala, A.; Hinton, J.; Sirohi, R. Cardiogenic Shock Due to Acute Severe Ischemic Mitral Regurgitation. Am. J. Emerg. Med. 2021, 43, 292.e1–292.e3. [Google Scholar] [CrossRef] [PubMed]
- Bhardwaj, A.; Kumar, S.; Salas de Armas, I.A.; Nascimbene, A.; Nathan, S.; Kar, B.; Gregoric, I.D. Pre- and Post-Operative Mechanical Circulatory Support in Surgical Repair of Post-Acute Myocardial Infarction Mechanical Complications. Ann. Cardiothorac. Surg. 2022, 11, 304–309. [Google Scholar] [CrossRef]
- Chatterjee, K.; Parmley, W.W.; Swan, H.J.; Berman, G.; Forrester, J.; Marcus, H.S. Beneficial Effects of Vasodilator Agents in Severe Mitral Regurgitation Due to Dysfunction of Subvalvar Apparatus. Circulation 1973, 48, 684–690. [Google Scholar] [CrossRef]
- Harshaw, C.W.; Grossman, W.; Munro, A.B.; McLaurin, L.P. Reduced Systemic Vascular Resistance as Therapy for Severe Mitral Regurgitation of Valvular Origin. Ann. Intern. Med. 1975, 83, 312–316. [Google Scholar] [CrossRef]
- McLintic, A.J.; Metcalfe, M.J.; Ingram, K.S.; Dougall, J.R. Acute Mitral Regurgitation: Physiological and Pharmacological Considerations in the Management of a Critically Ill Patient. Anaesth. Intensive Care 1992, 20, 373–376. [Google Scholar] [CrossRef] [PubMed]
- Yoran, C.; Yellin, E.L.; Becker, R.M.; Gabbay, S.; Frater, R.W.; Sonnenblick, E.H. Dynamic Aspects of Acute Mitral Regurgitation: Effects of Ventricular Volume, Pressure and Contractility on the Effective Regurgitant Orifice Area. Circulation 1979, 60, 170–176. [Google Scholar] [CrossRef] [PubMed]
- Tasouli, A.; Papadopoulos, K.; Antoniou, T.; Kriaras, I.; Stavridis, G.; Degiannis, D.; Geroulanos, S. Efficacy and Safety of Perioperative Infusion of Levosimendan in Patients with Compromised Cardiac Function Undergoing Open-Heart Surgery: Importance of Early Use. Eur. J. Cardiothorac. Surg. 2007, 32, 629–633. [Google Scholar] [CrossRef]
- Freixa, X.; Hernandez, M.; Farrero, M.; Sitges, M.; Jimenez, G.; Regueiro, A.; Fita, G.; Tatjer, I.; Andrea, R.; Martin-Yuste, V.; et al. Levosimendan as an Adjunctive Therapy to MitraClip Implantation in Patients with Severe Mitral Regurgitation and Left Ventricular Dysfunction. Int J. Cardiol. 2016, 202, 517–518. [Google Scholar] [CrossRef]
- Bhardwaj, B.; Sidhu, G.; Balla, S.; Kumar, V.; Kumar, A.; Aggarwal, K.; Dohrmann, M.L.; Alpert, M.A. Outcomes and Hospital Utilization in Patients With Papillary Muscle Rupture Associated With Acute Myocardial Infarction. Am. J. Cardiol. 2020, 125, 1020–1025. [Google Scholar] [CrossRef]
- Dekker, A.L.A.J.; Reesink, K.D.; van der Veen, F.H.; van Ommen, G.V.A.; Geskes, G.G.; Soemers, A.C.M.; Maessen, J.G. Intra-Aortic Balloon Pumping in Acute Mitral Regurgitation Reduces Aortic Impedance and Regurgitant Fraction. Shock 2003, 19, 334–338. [Google Scholar] [CrossRef]
- Argiriou, M.; Patris, V.; Lama, N.; Argiriou, O.; Charitos, C. Off Pump Repair of Left Ventricular Rupture Following Mitral Valve Replacement: The Crucial Assistance of the IntraAortic Balloon Pump. Int. J. Surg. Case Rep. 2013, 4, 5–6. [Google Scholar] [CrossRef][Green Version]
- Massimi, G.; Matteucci, M.; Kowalewski, M.; Ronco, D.; Jiritano, F.; Beghi, C.; Severgnini, P.; Lorusso, R. Surgical Treatment of Post-Infarction Papillary Muscle Rupture: Systematic Review and Meta-Analysis. Ann. Cardiothorac. Surg. 2022, 11, 25260. [Google Scholar] [CrossRef]
- Vandenbriele, C.; Balthazar, T.; Wilson, J.; Adriaenssens, T.; Davies, S.; Droogne, W.; Dubois, C.; Caetano, A.F.; Goetschalckx, K.; Jacobs, S.; et al. Left Impella®-Device as Bridge from Cardiogenic Shock with Acute, Severe Mitral Regurgitation to MitraClip®-Procedure: A New Option for Critically Ill Patients. Eur. Heart J. Acute Cardiovasc. Care 2021, 10, 415–421. [Google Scholar] [CrossRef]
- DiVita, M.; Visveswaran, G.K.; Makam, K.; Naji, P.; Cohen, M.; Kapoor, S.; Saunders, C.R.; Zucker, M.J. Emergent TandemHeart-ECMO for Acute Severe Mitral Regurgitation with Cardiogenic Shock and Hypoxaemia: A Case Series. Eur. Heart J. Case Rep. 2020, 4, 1–6. [Google Scholar] [CrossRef]
- Lorusso, R.; Gelsomino, S.; De Cicco, G.; Beghi, C.; Russo, C.; De Bonis, M.; Colli, A.; Sala, A. Mitral Valve Surgery in Emergency for Severe Acute Regurgitation: Analysis of Postoperative Results from a Multicentre Study. Eur J. Cardiothorac Surg 2008, 33, 573–582. [Google Scholar] [CrossRef] [PubMed]
- Bouchard, D.; Pellerin, M.; Carrier, M.; Perrault, L.P.; Page, P.; Hebert, Y.; Cartier, R.; Dyrda, I.; Pelletier, L.C. Results Following Valve Replacement for Ischemic Mitral Regurgitation. Can. J. Cardiol. 2001, 17, 427–431. [Google Scholar] [PubMed]
- Glower, D.D.; Tuttle, R.H.; Shaw, L.K.; Orozco, R.E.; Rankin, J.S. Patient Survival Characteristics after Routine Mitral Valve Repair for Ischemic Mitral Regurgitation. J. Thorac. Cardiovasc. Surg. 2005, 129, 860–868. [Google Scholar] [CrossRef] [PubMed]
- Rankin, J.S.; Grau-Sepulveda, M.; Shahian, D.M.; Gillinov, A.M.; Suri, R.; Gammie, J.S.; Bolling, S.F.; McCarthy, P.M.; Thourani, V.H.; Ad, N.; et al. The Impact of Mitral Disease Etiology on Operative Mortality after Mitral Valve Operations. Ann. Thorac. Surg. 2005, 106, 1406–1413. [Google Scholar] [CrossRef]
- Chevalier, P.; Burri, H.; Fahrat, F.; Cucherat, M.; Jegaden, O.; Obadia, J.F.; Kirkorian, G.; Touboul, P. Perioperative Outcome and Long-Term Survival of Surgery for Acute Post-Infarction Mitral Regurgitation. Eur. J. Cardiothorac. Surg. 2004, 26, 330–335. [Google Scholar] [CrossRef]
- Bouma, W.; Wijdh-den Hamer, I.J.; Klinkenberg, T.J.; Kuijpers, M.; Bijleveld, A.; van der Horst, I.C.; Erasmus, M.E.; Gorman, J.H.; Gorman, R.C.; Mariani, M.A. Mitral Valve Repair for Post-Myocardial Infarction Papillary Muscle Rupture. Eur J. Cardiothorac Surg 2013, 44, 1063–1069. [Google Scholar] [CrossRef]
- Sultan, I.; Aranda-Michel, E.; Gleason, T.G.; Navid, F.; Kilic, A. Mitral Valve Surgery for Acute Papillary Muscle Rupture. J. Card Surg 2018, 33, 484–488. [Google Scholar] [CrossRef]
- de Cannière, D.; Vandenbossche, J.L.; Nouar, E.; Faict, S.; Falchetti, A.; Unger, P. Clinical Implications of Preserving Subvalvular Apparatus During Mitral Valve Replacement for Acute Ischemic Papillary Muscle Rupture. Ann. Thorac. Surg. 2016, 102, 305–308. [Google Scholar] [CrossRef]
- Schroeter, T.; Lehmann, S.; Misfeld, M.; Borger, M.; Subramanian, S.; Mohr, F.W.; Bakthiary, F. Clinical Outcome after Mitral Valve Surgery Due to Ischemic Papillary Muscle Rupture. Ann. Thorac Surg 2013, 95, 820–824. [Google Scholar] [CrossRef]
- Kettner, J.; Sramko, M.; Holek, M.; Pirk, J.; Kautzner, J. Utility of Intra-Aortic Balloon Pump Support for Ventricular Septal Rupture and Acute Mitral Regurgitation Complicating Acute Myocardial Infarction. Am. J. Cardiol 2013, 112, 1709–1713. [Google Scholar] [CrossRef]
- Ternus, B.W.; Mankad, S.; Edwards, W.D.; Mankad, R. Clinical Presentation and Echocardiographic Diagnosis of Postinfarction Papillary Muscle Rupture: A Review of 22 Cases. Echocardiography 2017, 34, 973–977. [Google Scholar] [CrossRef]
- Figueras, J.; Calvo, F.; Cortadellas, J.; Soler-Soler, J. Comparison of Patients with and without Papillary Muscle Rupture during Acute Myocardial Infarction. Am. J. Cardiol 1997, 80, 625–627. [Google Scholar] [CrossRef]
- Tepe, N.A.; Edmunds, L.H. Operation for Acute Postinfarction Mitral Insufficiency and Cardiogenic Shock. J. Thorac. Cardiovasc. Surg. 1985, 89, 525–530. [Google Scholar] [CrossRef]
- Yun-Dan, D.; Wen-Jing, D.; Xi-Jun, X. Comparison of Outcomes Following Mitral Valve Repair versus Replacement for Chronic Ischemic Mitral Regurgitation: A Meta-Analysis. Thorac Cardiovasc Surg 2017, 65, 432–441. [Google Scholar] [CrossRef]
- Goldstein, D.; Moskowitz, A.J.; Gelijns, A.C.; Ailawadi, G.; Parides, M.K.; Perrault, L.P.; Hung, J.W.; Voisine, P.; Dagenais, F.; Gillinov, A.M.; et al. Two-Year Outcomes of Surgical Treatment of Severe Ischemic Mitral Regurgitation. N. Engl. J. Med. 2016, 374, 344–353. [Google Scholar] [CrossRef] [PubMed]
- Natsuaki, M.; Itoh, T.; Tomita, S.; Furukawa, K.; Yoshikai, M.; Suda, H.; Ohteki, H. Importance of Preserving the Mitral Subvalvular Apparatus in Mitral Valve Replacement. Ann. Thorac. Surg. 1996, 61, 585–590. [Google Scholar] [CrossRef]
- Rozich, J.D.; Carabello, B.A.; Usher, B.W.; Kratz, J.M.; Bell, A.E.; Zile, M.R. Mitral Valve Replacement with and without Chordal Preservation in Patients with Chronic Mitral Regurgitation. Mechanisms for Differences in Postoperative Ejection Performance. Circulation 1992, 86, 1718–1726. [Google Scholar] [CrossRef]
- Ozdemir, A.C.; Emrecan, B.; Baltalarli, A. Bileaflet versus Posterior-Leaflet-Only Preservation in Mitral Valve Replacement. Tex. Heart Inst. J. 2014, 41, 165–169. [Google Scholar] [CrossRef]
- Yun, K.L.; Sintek, C.F.; Miller, D.C.; Pfeffer, T.A.; Kochamba, G.S.; Khonsari, S.; Zile, M.R. Randomized Trial Comparing Partial versus Complete Chordal-Sparing Mitral Valve Replacement: Effects on Left Ventricular Volume and Function. J. Thorac. Cardiovasc. Surg. 2002, 123, 707–714. [Google Scholar] [CrossRef]
- Athanasiou, T.; Chow, A.; Rao, C.; Aziz, O.; Siannis, F.; Ali, A.; Darzi, A.; Wells, F. Preservation of the Mitral Valve Apparatus: Evidence Synthesis and Critical Reappraisal of Surgical Techniques. Eur. J. Cardiothorac. Surg. 2008, 33, 391–401. [Google Scholar] [CrossRef]
- Gomes, O.M.; Gome, E.S.; Santana Filho, G.P.; Pontes, J.C.D.V.; Benfatti, R.A. New Technical Approach for Crossed Papillopexy in Mitral Valve Replacement Surgery: Short Term Results. Braz. J. Cardiovasc. Surg. 2005, 20, 340–345. [Google Scholar] [CrossRef]
- Hamid, U.I.; Aksoy, R.; Sardari Nia, P. Mitral Valve Repair in Papillary Muscle Rupture. Ann. Cardiothorac. Surg. 2022, 11, 281–289. [Google Scholar] [CrossRef] [PubMed]
- Reece, T.B.; Tribble, C.G.; Ellman, P.I.; Maxey, T.S.; Woodford, R.L.; Dimeling, G.M.; Wellons, H.A.; Crosby, I.K.; Kern, J.A.; Kron, I.L. Mitral Repair Is Superior to Replacement When Associated with Coronary Artery Disease. Ann. Surg 2004, 239, 671–675; discussion 675–677. [Google Scholar] [CrossRef] [PubMed]
- Nishimura, R.A.; Otto, C.M.; Bonow, R.O.; Carabello, B.A.; Erwin, J.P.; Guyton, R.A.; O’Gara, P.T.; Ruiz, C.E.; Skubas, N.J.; Sorajja, P.; et al. 2014 AHA/ACC Guideline for the Management of Patients with Valvular Heart Disease: A Report of the American College of Cardiology/American Heart Association Task Force on Practice Guidelines. J. Am. Coll. Cardiol. 2014, 63, e57–e185. [Google Scholar] [CrossRef]
- Chikwe, J.; Toyoda, N.; Anyanwu, A.C.; Itagaki, S.; Egorova, N.N.; Boateng, P.; El-Eshmawi, A.; Adams, D.H. Relation of Mitral Valve Surgery Volume to Repair Rate, Durability, and Survival. J. Am. Coll Cardiol 2017. [Google Scholar] [CrossRef] [PubMed]
- Ashikhmina, E.; Schaff, H.V.; Daly, R.C.; Stulak, J.M.; Greason, K.L.; Michelena, H.I.; Fatima, B.; Lahr, B.D.; Dearani, J.A. Risk Factors and Progression of Systolic Anterior Motion after Mitral Valve Repair. J. Thorac. Cardiovasc. Surg. 2021, 162, 567–577. [Google Scholar] [CrossRef]
- Gerosa, G.; Nadali, M.; Longinotti, L.; Ponzoni, M.; Caraffa, R.; Fiocco, A.; Pradegan, N.; Besola, L.; D’Onofrio, A.; Bizzotto, E.; et al. Transapical Off-Pump Echo-Guided Mitral Valve Repair with Neochordae Implantation Mid-Term Outcomes. Ann. Cardiothorac Surg 2021, 10, 131–140. [Google Scholar] [CrossRef]
- Quinn, R.W.; Pasrija, C.; Gammie, J.S. Secondary Mitral Regurgitation Repair Techniques and Outcomes: Initial Clinical Experience with Mitral Valve Translocation. JTCVS Tech. 2022, 13, 53–57. [Google Scholar] [CrossRef]
- Gammie, J.S.; Bartus, K.; Gackowski, A.; Szymanski, P.; Bilewska, A.; Kusmierczyk, M.; Kapelak, B.; Rzucidlo-Resil, J.; Duncan, A.; Yadav, R.; et al. Safety and Performance of a Novel Transventricular Beating Heart Mitral Valve Repair System: 1-Year Outcomes. Eur. J. Cardio-Thorac. Surg. 2021, 59, 199–206. [Google Scholar] [CrossRef]
- Bahlmann, E.; Frerker, C.; Kreidel, F.; Thielsen, T.; Ghanem, A.; van der Schalk, H.; Grahn, H.; Kuck, K.-H. MitraClip Implantation after Acute Ischemic Papillary Muscle Rupture in a Patient with Prolonged Cardiogenic Shock. Ann. Thorac. Surg 2015, 99, e41–e42. [Google Scholar] [CrossRef]
- Bilge, M.; Alemdar, R.; Yasar, A.S. Successful Percutaneous Mitral Valve Repair with the MitraClip System of Acute Mitral Regurgitation Due to Papillary Muscle Rupture as Complication of Acute Myocardial Infarction. Catheter Cardiovasc Interv 2014, 83, E137-40. [Google Scholar] [CrossRef] [PubMed]
- Wolff, R.; Cohen, G.; Peterson, C.; Wong, S.; Hockman, E.; Lo, J.; Strauss, B.H.; Cohen, E.A. MitraClip for Papillary Muscle Rupture in Patient with Cardiogenic Shock. Can. J. Cardiol 2014, 30, 1461.e13-4. [Google Scholar] [CrossRef] [PubMed]
- Estévez-Loureiro, R.; Arzamendi, D.; Freixa, X.; Cardenal, R.; Carrasco-Chinchilla, F.; Serrador-Frutos, A.; Pan, M.; Sabaté, M.; Diaz, J.; Hernández, J.M.; et al. Percutaneous Mitral Valve Repair for Acute Mitral Regurgitation After an Acute Myocardial Infarction. J. Am. Coll. Cardiol. 2015, 66, 91–92. [Google Scholar] [CrossRef] [PubMed]
- Haberman, D.; Taramasso, M.; Czarnecki, A.; Kerner, A.; Chrissoheris, M.; Spargias, K.; Poles, L.; Agmon, Y.; Scianna, S.; Beeri, R.; et al. Salvage MitraClip in Severe Secondary Mitral Regurgitation Complicating Acute Myocardial Infarction: Data from a Multicentre International Study. Eur. J. Heart Fail. 2019, 21, 1161–1164. [Google Scholar] [CrossRef]
- Estevez-Loureiro, R.; Adamo, M.; Arzamendi, D.; Denti, P.; Freixa, X.; Nombela-Franco, L.; Pascual, I.; Melica, B.; Attias, D.; Serrador, A.; et al. Transcatheter Mitral Valve Repair in Patients with Acute Myocardial Infarction: Insights from the European Registry of MitraClip in Acute Mitral Regurgitation Following an Acute Myocardial Infarction (EREMMI). EuroIntervention 2020, 15, 1248–1250. [Google Scholar] [CrossRef]
- Haberman, D.; Estévez-Loureiro, R.; Benito-Gonzalez, T.; Denti, P.; Arzamendi, D.; Adamo, M.; Freixa, X.; Nombela-Franco, L.; Villablanca, P.; Krivoshei, L.; et al. Conservative, Surgical, and Percutaneous Treatment for Mitral Regurgitation Shortly after Acute Myocardial Infarction. Eur. Heart J. 2022, 43, 641–650. [Google Scholar] [CrossRef]
- Mack, M.; Carroll, J.D.; Thourani, V.; Vemulapalli, S.; Squiers, J.; Manandhar, P.; Deeb, G.M.; Batchelor, W.; Herrmann, H.C.; Cohen, D.J.; et al. Transcatheter Mitral Valve Therapy in the United States: A Report from the STS-ACC TVT Registry. J. Am. Coll Cardiol 2021, 78, 2326–2353. [Google Scholar] [CrossRef]



Publisher’s Note: MDPI stays neutral with regard to jurisdictional claims in published maps and institutional affiliations. |
© 2022 by the authors. Licensee MDPI, Basel, Switzerland. This article is an open access article distributed under the terms and conditions of the Creative Commons Attribution (CC BY) license (https://creativecommons.org/licenses/by/4.0/).
Share and Cite
Hennessey, B.; Sabatovicz, N., Jr.; Del Trigo, M. Acute Ischaemic Mitral Valve Regurgitation. J. Clin. Med. 2022, 11, 5526. https://doi.org/10.3390/jcm11195526
Hennessey B, Sabatovicz N Jr., Del Trigo M. Acute Ischaemic Mitral Valve Regurgitation. Journal of Clinical Medicine. 2022; 11(19):5526. https://doi.org/10.3390/jcm11195526
Chicago/Turabian StyleHennessey, Breda, Nestor Sabatovicz, Jr., and Maria Del Trigo. 2022. "Acute Ischaemic Mitral Valve Regurgitation" Journal of Clinical Medicine 11, no. 19: 5526. https://doi.org/10.3390/jcm11195526
APA StyleHennessey, B., Sabatovicz, N., Jr., & Del Trigo, M. (2022). Acute Ischaemic Mitral Valve Regurgitation. Journal of Clinical Medicine, 11(19), 5526. https://doi.org/10.3390/jcm11195526

