Cleaning of Ultrafiltration Membranes: Long-Term Treatment of Car Wash Wastewater as a Case Study
Abstract
1. Introduction
2. Materials and Methods
2.1. Feed, Ultrafiltration Unit and Operating Conditions
2.2. Membrane Cleaning
2.3. Analytical Methods
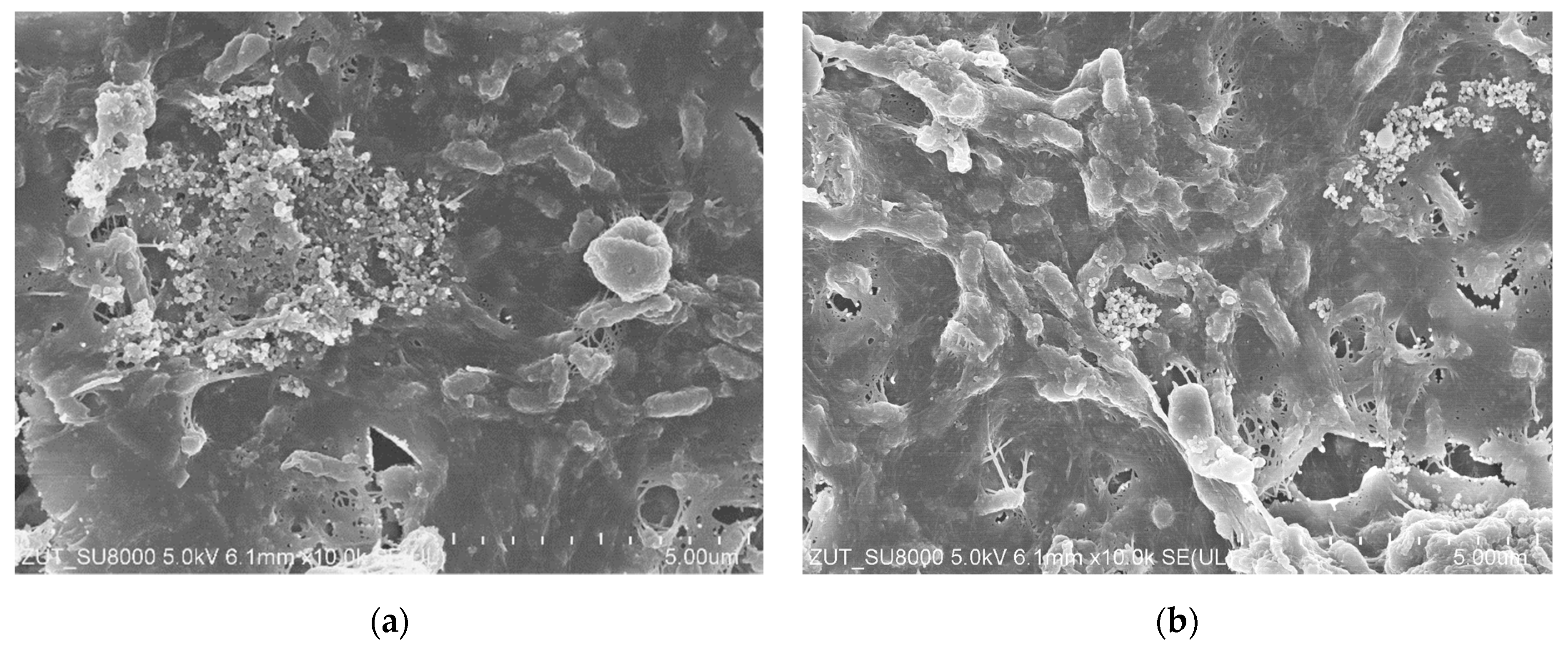
3. Results and Discussion
3.1. Characteristics of Real Wastewater
3.2. Separation of Synthetic Mixture
3.3. Wastewater Separation
4. Conclusions
Author Contributions
Funding
Institutional Review Board Statement
Informed Consent Statement
Data Availability Statement
Conflicts of Interest
Appendix A
| pH [-] | SS [mg/L] | Turbidity [NTU] | COD [mg/L] | TP [mg/L] | Oil and Grease [mg/L] | Conductivity [µS/cm] | Ref. |
|---|---|---|---|---|---|---|---|
| 8.5 | 4.2 | 1000 | 433 | 25.0 | NI | NI | [2] |
| 7.6 | 350 | NI | 460 | NI | NI | 604 | [4] |
| 6.5–8.0 | NI | 70–100 | 100–160 | NI | NI | NI | [14] |
| 6.3 | 114 | NI | 260 | NI | <5.0 ppm | 1070 | [15] |
| 7.3–7.6 | 3620 | 1590 | 4103 | NI | 1401 | NI | [17] |
| 7.3–7.6 | 5778 | 1920 | 4585 | NI | 2877 | NI | [17] |
| 8.0 | 5460 | 3770 | 8350 | NI | 4855 | NI | [17] |
| 7.3–7.6 | 3388 | 1500 | 2940 | NI | 1832 | NI | [17] |
| 7.9 | NI | 28.2 | 240 | 3.95 | NI | NI | [20] |
| 7.6 | NI | 19.1 | 181 | 4.61 | NI | NI | [20] |
| 7.3 ± 0.3 | NI | NI | 314.0 ± 9.4 | NI | NI | 729 ± 16 | [21] |
| 7.5 ± 0.2 | 260 ± 20 | 85 ± 8 | 85 ± 6 | NI | <0.1 | 300 ± 10 | [23] |
| 7.1 ± 0.1 | 170 ± 10 | 44 ± 4 | 64 ± 6 | NI | <0.1 | 370 ± 30 | [23] |
| 7.1 ± 0.1 | 100 ± 10 | 42 ± 4 | 59 ± 6 | NI | <0.1 | 290 ± 20 | [23] |
| 6.51–8.74 | NI | 34.7–86.0 | 75–738 | NI | NI | 150.7–260.7 | [24] |
| 6.3–7.5 | NI | 132–140 | 150–175 | NI | NI | 1450–1570 | [25] |
| NI | NI | 186.6 | 700 | NI | 36 | NI | [26] |
| 6.13 | 80 | 149 | 419 | NI | NI | 497 | [28] |
| 6.58 | 800 | 89.9 | 80.5 | NI | NI | 318 | [28] |
| 6.42 | NI | 522 | 295 | 0.32 | NI | 404 | [29] |
| 4.66 | NI | 763 | 471.5 | 11.3 | NI | 509 | [29] |
| 6.2–8.7 | 128.7 | 155.6 | NI | NI | NI | [30] | |
| 6.31 | NI | 58.5 | 387 | 12.2 | NI | 1232 | [33] |
| 7.45 | NI | 122 | 438 | 5.69 | NI | 2690 | [33] |
| 7.80 | NI | 60.4 | 871 | 2.59 | NI | 2495 | [33] |
| 8.4 ± 0.2 | NI | 388.3 ± 6.0 | NI | NI | 15.3 ± 3.1 | 124.7 ± 3.1 | [35] |
| 7.2 ± 0.2 | NI | 427.7 ± 35.7 | NI | NI | 49.7 ± 5.0 | 85.7 ± 2.5 | [35] |
| 7.4 ± 0.1 | NI | 137.3 ± 30.1 | NI | NI | 48 ± 5.6 | 30.0 ± 2.0 | [35] |
| 7.3 ± 0.1 | NI | 249 ± 3.6 | NI | NI | 25.7 ± 3.2 | 45.0 ± 4.1 | [35] |
| 7.3 ± 0.1 | NI | 253.3 ± 3.5 | NI | NI | 34.3 ± 1.5 | 49.7 ± 5.0 | [35] |
| 7.6 ± 0.1 | NI | 377.3 ± 5.0 | NI | NI | 36.7 ± 1.5 | 54.7 ± 2.5 | [35] |
| 7.4 ± 0.1 | NI | 234 ± 4.0 | NI | NI | 37.0 ± 1.0 | 60.3 ± 5.9 | [35] |
| 7.5 ± 0.2 | NI | 474.3 ± 17.5 | NI | NI | 30.3 ± 1.5 | 55.2 ± 4.3 | [35] |
| 7.5 ± 0.2 | NI | 263 ± 3.0 | NI | NI | 44.7 ± 1.5 | 51.7 ± 3.2 | [35] |
| 8.83 ± 0.22 | 1562.98 ± 3.01 | 88.19 ± 4.45 | 74.93 ± 2.70 | 2.58 ± 0.23 | 1394.81 ± 1.86 | 164.51 ± 3.59 | [40] |
| 8.98 ± 0.14 | 118.53 ± 0.54 | 61.19 ± 0.68 | 40.30 ± 0.08 | 2.18 ± 0.14 | 472.81 ± 1.31 | 153.60 ± 1.85 | [40] |
| 8.6 ± 0.2 | 3416.7 ± 1619.5 | 3649.2 ± 2149.7 | 1413.3 ± 327.6 | 7.0 ± 1.3 | NI | 376.1 ± 56.1 | [41] |
| 7.8 ± 0.4 | 1260.0 ± 910.7 | 1055.1 ± 731.8 | 990.0 ± 262.5 | 9.7 ± 2.6 | NI | 284.0 ± 53.4 | [41] |
| 7.6 ± 0.5 | 2929.2 ± 451.6 | 1912.5 ± 465.9 | 1337.3 ± 479.5 | 6.2 ± 3.3 | NI | 463.9 ± 89.6 | [41] |
| 6.96 | NI | 275.1 | 220 | NI | NI | NI | [42] |
| 8.0 | 2300 | NI | 560 | NI | 125 | 980 | [43] |
| 8.0 | 320 | NI | 500 | NI | 120 | 1000 | [44] |
| 7.08 ± 0.03 | NI | 170 ± 32.5 | (480–1560) ± 207.3 | NI | NI | 7600 ± 2400 | [50] |
| 10.5 | NI | 312–420 | 7960–8190 | NI | NI | 4300 | [51] |
| 7.73 ± 0.85 | 85.0 ± 1.2 | NI | 190.0 ± 1.0 | 7.05 ± 2.20 | 68.0 ± 0.4 | NI | [52] |
| 7.43 ± 0.37 | 100.00 ± 0.62 | NI | 232.0 ± 0.6 | 9.40 ± 1.55 | 80.0 ± 0.3 | NI | [52] |
| 8.20 ± 1.66 | 325.0 ± 0.6.0 | NI | 485.0 ± 0.3 | 30.93 ± 0.31 | 85.0 ± 0.6 | NI | [52] |
| 7.4 ± 0.8 | 89 ± 54 | 103 ± 57 | 191 ± 22 | NI | NI | 469 ± 39.5 | [53] |
| 7.7 ± 0.6 | 502 ± 90.5 | 89 ± 16.5 | 241 ± 23.5 | 1.0 ± 0.5 | 6 ± 1 | 633 ± 125 | [54] |
| 8.2 | 55 | 28.1 | 82 | NI | NI | NI | [55] |
| 7.88 ± 0.04 | NI | 67.5 ± 1.8 | 506 ± 12 | NI | NI | 44,130 ± 120 | [56] |
| NI | NI | 185.80 | 305.15 | 17.30 | NI | 1130.18 | [57] |
| 7.7 ± 0.3 | NI | 1526 ± 348 | 42,255 ± 18,288 | NI | 127,301 ± 88,618 | NI | [58] |
| 7.2–7.6 | NI | 118–1400 | 610–2619 | 11.4–38.2 | NI | 419–2200 | [59] |
| 7.5 | NI | NI | NI | NI | 915 | NI | [60] |
| 6.90 | 1000 | 253 | NI | NI | NI | NI | [61] |
| 6.92–7.67 | NI | 362–450 | NI | NI | NI | NI | [62] |
| 7.2 | 112 | NI | 976 | NI | 88 | NI | [63] |
| 7.30 ± 0.2 | NI | 333 ± 10 | 357 ± 8 | NI | NI | 1430 ± 100 | [64] |
| 8.6 ± 0.1 | 1058 ± 19.8 | 382 ± 3.5 | NI | NI | NI | 122 ± 2.1 | [65] |
| 7.2 ± 0.2 | 16,262 ± 7.8 | 4000 ± 29.7 | NI | NI | 43 | 83.2 ± 1.9 | [65] |
| 7.5 ± 0.1 | 818 ± 3.5 | 372 ± 7.8 | NI | NI | 36 | 52 ± 2.8 | [65] |
| 7.7 ± 0.2 | 756 ± 2.1 | 455 ± 8.5 | NI | NI | NI | 50.6 ± 1.7 | [65] |
| 7.3 ± 0.2 | 612 ± 6.4 | 246 ± 7.8 | NI | NI | NI | 40.9 ± 0.3 | [65] |
| 7.5 ± 0.3 | 892 ± 13.4 | 109 ± 0.7 | NI | NI | 42 | 28.1 ± 0.9 | [65] |
| 7.9 | 940 | NI | 795.6 | NI | 30 | NI | [66] |
| 8.2 | 102 | NI | 323.7 | NI | 35 | NI | [66] |
| 7.87 | 116 | NI | 425 | NI | 94.6 | NI | [66] |
| 8.5 | 580 | NI | 504 | NI | 85 | NI | [66] |
| 7.9 | 110 | NI | 280 | NI | 40 | NI | [66] |
| 7.5 | NI | NI | 699 | NI | 539 | NI | [67] |
| 6.1 ± 0.4 | NI | 156 ± 45 | 626 ± 125 | NI | NI | 596 ± 155 | [68] |
| 7.31 | NI | NI | 625 ± 5 | NI | NI | 125 | [69] |
| 6.4 | NI | NI | 572 | NI | NI | 1600 | [70,71] |
| 6.08 | NI | 559 | 2640 | NI | NI | 1854 | [72] |
| 6.43 | NI | 733 | 4160 | NI | NI | 4090 | [72] |
References
- Genuino, H.C.; Opembe, N.N.; Njagi, E.C.; McClain, S.; Suib, S.L. A Review of Hydrofluoric Acid and Its Use in the Car Wash Industry. J. Ind. Eng. Chem. 2012, 18, 1529–1539. [Google Scholar] [CrossRef]
- Rodriguez Boluarte, I.A.; Andersen, M.; Pramanik, B.K.; Chang, C.-Y.; Bagshaw, S.; Farago, L.; Jegatheesan, V.; Shu, L. Reuse of Car Wash Wastewater by Chemical Coagulation and Membrane Bioreactor Treatment Processes. Int. Biodeterior. Biodegrad. 2016, 113, 44–48. [Google Scholar] [CrossRef]
- Almeida, C.M.V.B.; Borges, D.; Bonilla, S.H.; Giannetti, B.F. Identifying Improvements in Water Management of Bus-Washing Stations in Brazil. Resour. Conserv. Recycl. 2010, 54, 821–831. [Google Scholar] [CrossRef]
- Davarnejad, R.; Sarvmeili, K.; Sabzehei, M. Car Wash Wastewater Treatment Using an Advanced Oxidation Process: A Rapid Technique for the COD Reduction of Water Pollutant Sources. J. Mex. Chem. Soc. 2019, 63, 164–175. [Google Scholar] [CrossRef]
- Saad, F.N.M.; Quan, O.C.; Izhar, T.N.T.; Hwidi, R.S.A.; Syafiuddin, A. Evaluation of the Use of Activated Carbon Derived from Coconut Shells to Treat Car Wash Wastewaters. Desalin. Water Treat. 2024, 319, 100452. [Google Scholar] [CrossRef]
- Elgaali, E.; Akram, M. Recycling and Reuse of Wastewater Generated in Car-Washing Facilities. Adv. Sci. Technol. Eng. Syst. J. 2021, 6, 521–525. [Google Scholar] [CrossRef]
- Awad, E.S.; Abdulla, S.M.; Sabirova, T.M.; Alsalhy, Q.F. Membrane Techniques for Removal Detergents and Petroleum Products from Carwash Effluents: A Review. Chim. Techno Acta 2023, 10, 202310107. [Google Scholar] [CrossRef]
- Car Wash Wastewater Treatment Market Size. Available online: https://www.linkedin.com/pulse/car-wash-wastewater-treatment-market-gldzc/ (accessed on 9 June 2024).
- Sarmadi, M.; Zarei, A.A.; Ghahrchi, M.; Sepehrnia, B.; Meshkinian, A.; Moein, H.; Nakhaei, S.; Bazrafshan, E. Carwash Wastewater Characteristics—A Systematic Review Study. Desalin. Water Treat. 2021, 225, 112–148. [Google Scholar] [CrossRef]
- Kuan, W.-H.; Hu, C.-Y.; Ke, L.-W.; Wu, J.-M. A Review of On-Site Carwash Wastewater Treatment. Sustainability 2022, 14, 5764. [Google Scholar] [CrossRef]
- Torkashvand, J.; Pasalari, H.; Gholami, M.; Younesi, S.; Oskoei, V.; Farzadkia, M. On-Site Carwash Wastewater Treatment and Reuse: A Systematic Review. Int. J. Environ. Anal. Chem. 2022, 102, 3613–3627. [Google Scholar] [CrossRef]
- Sarmadi, M.; Foroughi, M.; Najafi Saleh, H.; Sanaei, D.; Zarei, A.A.; Ghahrchi, M.; Bazrafshan, E. Efficient Technologies for Carwash Wastewater Treatment: A Systematic Review. Environ. Sci. Pollut. Res. 2020, 27, 34823–34839. [Google Scholar] [CrossRef] [PubMed]
- Dadebo, D.; Ibrahim, M.G.; Fujii, M.; Nasr, M. Transition towards Sustainable Carwash Wastewater Management: Trends and Enabling Technologies at Global Scale. Sustainability 2022, 14, 5652. [Google Scholar] [CrossRef]
- Tan, X.; Tang, L. Application of Enhanced Coagulation Aided by UF Membrane for Car Wash Wastewater Treatment. In Proceedings of the 2008 2nd International Conference on Bioinformatics and Biomedical Engineering, Shanghai, China, 16–18 May 2008; pp. 3653–3656. [Google Scholar]
- Gomes, A.J.; Das, K.K.; Jame, S.A.; Cocke, D.L. Treatment of Truck Wash Water Using Electrocoagulation. Desalin. Water Treat. 2016, 57, 25991–26002. [Google Scholar] [CrossRef]
- Do, K.-U.; Kim, J.-H.; Chu, X.-Q. Sludge Characteristics and Performance of a Membrane Bioreactor for Treating Oily Wastewater from a Car Wash Service Station. Desalin. Water Treat. 2018, 120, 166–172. [Google Scholar] [CrossRef]
- Rubí, H.; Fall, C.; Ortega, R.E. Pollutant Removal from Oily Wastewater Discharged from Car Washes through Sedimentation–Coagulation. Water Sci. Technol. 2009, 59, 2359–2369. [Google Scholar] [CrossRef] [PubMed]
- Afzal, M.; Arslan, M.; Younus, S.; Müller, J.A.; Usman, M.; Yasin, M.; Mehmood, M.A.; Mehdi, T.; Islam, E.; Tauseef, M.; et al. A Nature-Based Closed-Loop Wastewater Treatment System at Vehicle-Washing Facilities: From Linear to Circular Economy. iScience 2024, 27, 109361. [Google Scholar] [CrossRef] [PubMed]
- Jönsson, C.; Jönsson, A.-S. The Influence of Degreasing Agents Used at Car Washes on the Performance of Ultrafiltration Membranes. Desalination 1995, 100, 115–123. [Google Scholar] [CrossRef]
- Woźniak, P.; Gryta, M. Carwash Oily Wastewater Separated by Ultrafiltration. Separations 2024, 11, 164. [Google Scholar] [CrossRef]
- Uçar, D. Membrane Processes for the Reuse of Car Washing Wastewater. J. Water Reuse Desalin. 2018, 8, 169–175. [Google Scholar] [CrossRef]
- Tomczak, W.; Gryta, M. The Application of Polyethersulfone Ultrafiltration Membranes for Separation of Car Wash Wastewaters: Experiments and Modelling. Membranes 2023, 13, 321. [Google Scholar] [CrossRef]
- Pinto, A.C.S.; de Barros Grossi, L.; de Melo, R.A.C.; de Assis, T.M.; Ribeiro, V.M.; Amaral, M.C.S.; de Souza Figueiredo, K.C. Carwash Wastewater Treatment by Micro and Ultrafiltration Membranes: Effects of Geometry, Pore Size, Pressure Difference and Feed Flow Rate in Transport Properties. J. Water Process Eng. 2017, 17, 143–148. [Google Scholar] [CrossRef]
- Lau, W.J.; Ismail, A.F.; Firdaus, S. Car Wash Industry in Malaysia: Treatment of Car Wash Effluent Using Ultrafiltration and Nanofiltration Membranes. Sep. Purif. Technol. 2013, 104, 26–31. [Google Scholar] [CrossRef]
- Kiran, S.A.; Arthanareeswaran, G.; Thuyavan, Y.L.; Ismail, A.F. Influence of Bentonite in Polymer Membranes for Effective Treatment of Car Wash Effluent to Protect the Ecosystem. Ecotoxicol. Environ. Saf. 2015, 121, 186–192. [Google Scholar] [CrossRef]
- Istirokhatun, T.; Destianti, P.; Hargianintya, A.; Oktiawan, W.; Susanto, H. Treatment of Car Wash Wastewater by UF Membranes. In Proceedings of the International Conference of Chemical and Material Engineering (ICCME) 2015: Green Technology for Sustainable Chemical Products and Processes, Semarang, Indonesia, 29–30 September 2015; p. 060025. [Google Scholar]
- Panpanit, S.; Visvanathan, C.; Muttamara, S. Separation of Oil–Water Emulsion from Car Washes. Water Sci. Technol. 2000, 41, 109–116. [Google Scholar] [CrossRef]
- Wills, J.; Moazzem, S.; Jegatheesan, V. Treating Car Wash Wastewater by Ceramic Ultrafiltration Membranes for Reuse Purposes. In Water Scarcity and Ways to Reduce the Impact; Pannirselvam, M., Shu, L., Griffin, G., Philip, L., Natarajan, A., Hussain, S., Eds.; Springer International Publishing: Cham, Switzerland, 2019; pp. 63–73. ISBN 978-3-319-75198-6. [Google Scholar]
- Moazzem, S.; Wills, J.; Fan, L.; Roddick, F.; Jegatheesan, V. Performance of Ceramic Ultrafiltration and Reverse Osmosis Membranes in Treating Car Wash Wastewater for Reuse. Environ. Sci. Pollut. Res. 2018, 25, 8654–8668. [Google Scholar] [CrossRef] [PubMed]
- Chu, J.Y.; Li, Y.R.; Li, N.; Huang, W.H. Treatment of Car-Washing Wastewater by Electrocoagulation-Ultrasound Technique for Reuse. Adv. Mater. Res. 2012, 433–440, 227–232. [Google Scholar] [CrossRef]
- Thomas, M.; Drzewicz, P.; Więckol-Ryk, A.; Panneerselvam, B. Effectiveness of Potassium Ferrate (VI) as a Green Agent in the Treatment and Disinfection of Carwash Wastewater. Environ. Sci. Pollut. Res. 2022, 29, 8514–8524. [Google Scholar] [CrossRef]
- Moazzem, S.; Ravishankar, H.; Fan, L.; Roddick, F.; Jegatheesan, V. Application of Enhanced Membrane Bioreactor (eMBR) for the Reuse of Carwash Wastewater. J. Environ. Manag. 2020, 254, 109780. [Google Scholar] [CrossRef]
- Woźniak, P.; Dubicki, M.; Gryta, M. Microbiological Hazard Analysis of Car WashWastewater. Pol. J. Environ. Stud. 2023, 32, 3871–3882. [Google Scholar] [CrossRef]
- Nguegang, B.; Sibanda, T.; Tekere, M. Cultivable Bacterial Diversity, Physicochemical Profiles, and Toxicity Determination of Car Wash Effluents. Environ. Monit. Assess. 2019, 191, 478. [Google Scholar] [CrossRef]
- Sibanda, T.; Selvarajan, R.; Tekere, M. Targeted 16S rRNA Amplicon Analysis Reveals the Diversity of Bacterial Communities in Carwash Effluents. Int. Microbiol. 2019, 22, 181–189. [Google Scholar] [CrossRef]
- Gul, A.; Hruza, J.; Yalcinkaya, F. Fouling and Chemical Cleaning of Microfiltration Membranes: A Mini-Review. Polymers 2021, 13, 846. [Google Scholar] [CrossRef]
- Aghapour Aktij, S.; Taghipour, A.; Rahimpour, A.; Mollahosseini, A.; Tiraferri, A. A Critical Review on Ultrasonic-Assisted Fouling Control and Cleaning of Fouled Membranes. Ultrasonics 2020, 108, 106228. [Google Scholar] [CrossRef]
- Gryta, M.; Woźniak, P.; Mozia, S. Effects of Alkaline Cleaning Agents on the Long-Term Performance and Aging of Polyethersulfone Ultrafiltration Membranes Applied for Treatment of Car Wash Wastewater. Membranes 2024, 14, 122. [Google Scholar] [CrossRef]
- Tomczak, W. The Application of the Nanofiltration Membrane NF270 for Separation of Fermentation Broths. Membranes 2022, 12, 1263. [Google Scholar] [CrossRef]
- Rai, R.; Sharma, S.; Gurung, D.B.; Sitaula, B.K.; Shah, R.D.T. Assessing the Impacts of Vehicle Wash Wastewater on Surface Water Quality through Physico-Chemical and Benthic Macroinvertebrates Analyses. Water Sci. 2020, 34, 39–49. [Google Scholar] [CrossRef]
- Monney, I.; Donkor, E.A.; Buamah, R. Clean Vehicles, Polluted Waters: Empirical Estimates of Water Consumption and Pollution Loads of the Carwash Industry. Heliyon 2020, 6, e03952. [Google Scholar] [CrossRef]
- Al-Gheethi, A.A.; Mohamed, R.M.S.R.; Rahman, M.A.A.; Johari, M.R.; Kassim, A.H.M. Treatment of Wastewater From Car Washes Using Natural Coagulation and Filtration System. IOP Conf. Ser. Mater. Sci. Eng. 2016, 136, 012046. [Google Scholar] [CrossRef]
- Gönder, Z.B.; Balcıoğlu, G.; Vergili, I.; Kaya, Y. Electrochemical Treatment of Carwash Wastewater Using Fe and Al Electrode: Techno-Economic Analysis and Sludge Characterization. J. Environ. Manag. 2017, 200, 380–390. [Google Scholar] [CrossRef]
- Gönder, Z.B.; Balcıoğlu, G.; Kaya, Y.; Vergili, I. Treatment of Carwash Wastewater by Electrocoagulation Using Ti Electrode: Optimization of the Operating Parameters. Int. J. Environ. Sci. Technol. 2019, 16, 8041–8052. [Google Scholar] [CrossRef]
- Hilal, N.; Ogunbiyi, O.O.; Miles, N.J.; Nigmatullin, R. Methods Employed for Control of Fouling in MF and UF Membranes: A Comprehensive Review. Sep. Sci. Technol. 2005, 40, 1957–2005. [Google Scholar] [CrossRef]
- Saini, S.; Tewari, S.; Dwivedi, J.; Sharma, V. Biofilm-Mediated Wastewater Treatment: A Comprehensive Review. Mater. Adv. 2023, 4, 1415–1443. [Google Scholar] [CrossRef]
- Muhammad, M.H.; Idris, A.L.; Fan, X.; Guo, Y.; Yu, Y.; Jin, X.; Qiu, J.; Guan, X.; Huang, T. Beyond Risk: Bacterial Biofilms and Their Regulating Approaches. Front. Microbiol. 2020, 11, 928. [Google Scholar] [CrossRef]
- Vishwakarma, V. Impact of Environmental Biofilms: Industrial Components and Its Remediation. J. Basic Microbiol. 2020, 60, 198–206. [Google Scholar] [CrossRef]
- Li, L.; He, Z.; Liang, T.; Sheng, T.; Zhang, F.; Wu, D.; Ma, F. Colonization of Biofilm in Wastewater Treatment: A Review. Environ. Pollut. 2022, 293, 118514. [Google Scholar] [CrossRef]
- Mohammadi, M.J.; Salari, J.; Takdastan, A.; Farhadi, M.; Javanmard, P.; Yari, A.R.; Dobaradaran, S.; Almasi, H.; Rahimi, S. Removal of Turbidity and Organic Matter from Car Wash Wastewater by Electrocoagulation Process. Desalin. Water Treat. 2017, 68, 122–128. [Google Scholar] [CrossRef]
- Kara, S. Treatment of Transport Container Washing Wastewater by Electrocoagulation. Environ. Prog. Sustain. Energy 2013, 32, 249–256. [Google Scholar] [CrossRef]
- Hashim, N.H.; Zayadi, N. Pollutants Characterization of Car Wash Wastewater. MATEC Web Conf. 2016, 47, 05008. [Google Scholar] [CrossRef]
- Zaneti, R.N.; Etchepare, R.; Rubio, J. Car Wash Wastewater Treatment and Water Reuse—A Case Study. Water Sci. Technol. 2013, 67, 82–88. [Google Scholar] [CrossRef]
- Zaneti, R.; Etchepare, R.; Rubio, J. Car Wash Wastewater Reclamation. Full-Scale Application and Upcoming Features. Resour. Conserv. Recycl. 2011, 55, 953–959. [Google Scholar] [CrossRef]
- Tony, M.A.; Bedri, Z. Experimental Design of Photo-Fenton Reactions for the Treatment of Car Wash Wastewater Effluents by Response Surface Methodological Analysis. Adv. Environ. Chem. 2014, 2014, 958134. [Google Scholar] [CrossRef]
- Mallick, S.K.; Chakraborty, S. Bioremediation of Wastewater from Automobile Service Station in Anoxic-Aerobic Sequential Reactors and Microbial Analysis. Chem. Eng. J. 2019, 361, 982–989. [Google Scholar] [CrossRef]
- Mkilima, T.; Zharkenov, Y.; Utepbergenova, L.; Smagulova, E.; Fazylov, K.; Zhumadilov, I.; Kirgizbayeva, K.; Baketova, A.; Abdukalikova, G. Carwash Wastewater Treatment through the Synergistic Efficiency of Microbial Fuel Cells and Metal-Organic Frameworks with Graphene Oxide Integration. Case Stud. Chem. Environ. Eng. 2024, 9, 100582. [Google Scholar] [CrossRef]
- Fayed, M.; Shewitah, M.A.; Dupont, R.R.; Fayed, M.; Badr, M.M. Treatability Study of Car Wash Wastewater Using Upgraded Physical Technique with Sustainable Flocculant. Sustainability 2023, 15, 8581. [Google Scholar] [CrossRef]
- Mirshahghassemi, S.; Aminzadeh, B.; Torabian, A.; Afshinnia, K. Optimizing Electrocoagulation and Electro-Fenton Process for Treating Car Wash Wastewater. Environ. Health Eng. Manag. 2016, 4, 37–43. [Google Scholar] [CrossRef]
- Zrelli, A.; Bessadok, A.; Alsalhy, Q. Important Parameters of Ceramic Membranes Derived from Oasis Waste and Its Application for Car Wash Wastewater Treatment. J. Membr. Sci. Res. 2021, 8, 529855. [Google Scholar] [CrossRef]
- Syed, N.U.H.; Ahmad, J.; Khan, N.A.; Shafiq, M.A.; Khan, N. A Low-Cost Wastewater Treatment Unit for Reducing the Usage of Fresh Water at Car Wash Stations in Pakistan. Pak. J. Sci. Ind. Res. Ser. Phys. Sci. 2019, 62, 57–66. [Google Scholar] [CrossRef]
- Zhang, J.K.; Yang, Y.B.; Wang, H.Y.; Dong, Z.B. CFU Combined Process for the Treatment of Oily Car Washing Wastewater. Appl. Mech. Mater. 2012, 253–255, 999–1004. [Google Scholar] [CrossRef]
- Akram, M.; Elgaali, E. Recycling of Wastewater from Car-Washing Facilities for Landscaping Applications. In Proceedings of the 2019 Advances in Science and Engineering Technology International Conferences (ASET), Dubai, United Arab Emirates, 26 March–10 April 2019; pp. 1–4. [Google Scholar]
- Veréb, G.; Gayır, V.E.; Santos, E.N.; Fazekas, Á.; Kertész, S.; Hodúr, C.; László, Z. Purification of Real Car Wash Wastewater with Complex Coagulation/Flocculation Methods Using Polyaluminum Chloride, Polyelectrolyte, Clay Mineral and Cationic Surfactant. Water Sci. Technol. 2019, 80, 1902–1909. [Google Scholar] [CrossRef]
- Tekere, M.; Sibanda, T.; Maphangwa, K.W. An Assessment of the Physicochemical Properties and Toxicity Potential of Carwash Effluents from Professional Carwash Outlets in Gauteng Province, South Africa. Environ. Sci. Pollut. Res. 2016, 23, 11876–11884. [Google Scholar] [CrossRef]
- Singh, P.; Kadam, V.; Patil, Y. Isolation and Development of a Microbial Consortium for the Treatment of Automobile Service Station Wastewater. J. Appl. Microbiol. 2022, 132, 1048–1061. [Google Scholar] [CrossRef]
- Maqbool, F.; Kamal, R.; Bhatti, Z.A.; Pervez, S.; Sajid, M.; Haleem, K.; Faridullah, F. Effects of Hydrocarbon Degrading Inoculum for Carwash Effluent Treatment in a UASB Reactor. Desalin. Water Treat. 2019, 164, 31–38. [Google Scholar] [CrossRef]
- Subtil, E.L.; Rodrigues, R.; Hespanhol, I.; Mierzwa, J.C. Water Reuse Potential at Heavy-Duty Vehicles Washing Facilities—The Mass Balance Approach for Conservative Contaminants. J. Clean. Prod. 2017, 166, 1226–1234. [Google Scholar] [CrossRef]
- Ganiyu, S.O.; Vieira Dos Santos, E.; Tossi De Araújo Costa, E.C.; Martínez-Huitle, C.A. Electrochemical Advanced Oxidation Processes (EAOPs) as Alternative Treatment Techniques for Carwash Wastewater Reclamation. Chemosphere 2018, 211, 998–1006. [Google Scholar] [CrossRef]
- Panizza, M.; Cerisola, G. Applicability of Electrochemical Methods to Carwash Wastewaters for Reuse. Part 1: Anodic Oxidation with Diamond and Lead Dioxide Anodes. J. Electroanal. Chem. 2010, 638, 28–32. [Google Scholar] [CrossRef]
- Panizza, M.; Cerisola, G. Applicability of Electrochemical Methods to Carwash Wastewaters for Reuse. Part 2: Electrocoagulation and Anodic Oxidation Integrated Process. J. Electroanal. Chem. 2010, 638, 236–240. [Google Scholar] [CrossRef]
- Vaccari, M.; Gialdini, F.; Collivignarelli, C. Study of the Reuse of Treated Wastewater on Waste Container Washing Vehicles. Waste Manag. 2013, 33, 262–267. [Google Scholar] [CrossRef]









| Step | Cleaning Agent/Volume | Time | Comment |
|---|---|---|---|
| flushing | distilled water/1 L | 1 min | - |
| alkaline washing | Insect solution/1 L | 30 min | |
| rinsing | distilled water/1 L | 10 min | the installation filled with the portion of fresh distilled water |
| break | distilled water/1 L | 15 h | - |
| in the extended variant, washing was performed for 60 min | |||
| Additional cleaning | |||
| alkaline washing | P3 Ultrasil 11/1 L | 30 min | - |
| rinsing | distilled water/1 L | 30 min | - |
| acid washing | phosphoric acid/1 L | 30 min | - |
| rinsing | distilled water/1 L | 30 min | - |
Disclaimer/Publisher’s Note: The statements, opinions and data contained in all publications are solely those of the individual author(s) and contributor(s) and not of MDPI and/or the editor(s). MDPI and/or the editor(s) disclaim responsibility for any injury to people or property resulting from any ideas, methods, instructions or products referred to in the content. |
© 2024 by the authors. Licensee MDPI, Basel, Switzerland. This article is an open access article distributed under the terms and conditions of the Creative Commons Attribution (CC BY) license (https://creativecommons.org/licenses/by/4.0/).
Share and Cite
Tomczak, W.; Woźniak, P.; Gryta, M.; Grzechulska-Damszel, J.; Daniluk, M. Cleaning of Ultrafiltration Membranes: Long-Term Treatment of Car Wash Wastewater as a Case Study. Membranes 2024, 14, 159. https://doi.org/10.3390/membranes14070159
Tomczak W, Woźniak P, Gryta M, Grzechulska-Damszel J, Daniluk M. Cleaning of Ultrafiltration Membranes: Long-Term Treatment of Car Wash Wastewater as a Case Study. Membranes. 2024; 14(7):159. https://doi.org/10.3390/membranes14070159
Chicago/Turabian StyleTomczak, Wirginia, Piotr Woźniak, Marek Gryta, Joanna Grzechulska-Damszel, and Monika Daniluk. 2024. "Cleaning of Ultrafiltration Membranes: Long-Term Treatment of Car Wash Wastewater as a Case Study" Membranes 14, no. 7: 159. https://doi.org/10.3390/membranes14070159
APA StyleTomczak, W., Woźniak, P., Gryta, M., Grzechulska-Damszel, J., & Daniluk, M. (2024). Cleaning of Ultrafiltration Membranes: Long-Term Treatment of Car Wash Wastewater as a Case Study. Membranes, 14(7), 159. https://doi.org/10.3390/membranes14070159

