Assessment of the Adjuvant Effects of Lentinan on the Tuberculosis Subunit Vaccine BG
Abstract
1. Introduction
2. Materials and Methods
2.1. Animals
2.2. Reagent and Instrument
2.3. Preparation of Fusion Protein BG and Single Antigens BfrB and GrpE
2.4. Vaccine Preparation and Immunization Procedures
2.5. Detection of Antigen-Specific Antibody Levels in Rabbit Serum
2.6. Rabbit Skin Liquefaction Model and Evaluation of Vaccine Protective Effects
2.7. Quantification of Bacterial Load in the Skin Nodules
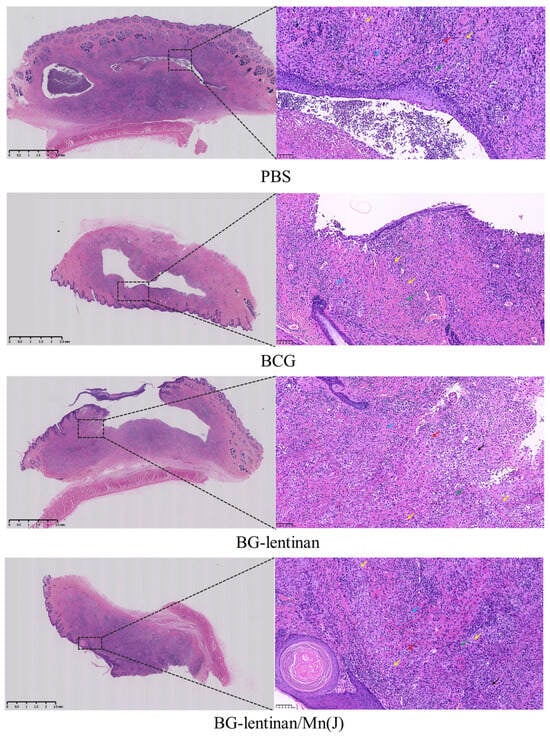
2.8. Pathological Examination of Tuberculosis Nodule Sections
2.9. Statistics and Analysis
3. Results
3.1. Both the BG–Lentinan Vaccine and BG–Lentinan/Mn(J) Vaccine Effectively Induce High Levels of IgG Antibodies in Rabbits
3.2. Both BG–Lentinan and BG–Lentinan/Mn(J) Vaccines Significantly Shorten the Immunopathological Process Following M. bovis BCG Challenge
3.3. Both the BG–Lentinan and BG–Lentinan/Mn(J) Vaccines Significantly Reduce the Bacterial Load at the Tuberculosis Infection Site
4. Discussion
Author Contributions
Funding
Institutional Review Board Statement
Informed Consent Statement
Data Availability Statement
Conflicts of Interest
References
- Bagcchi, S. WHO’s Global Tuberculosis Report 2022. Lancet Microbe 2023, 4, E20. [Google Scholar] [CrossRef] [PubMed]
- Nguipdop-Djomo, P.; Heldal, E.; Rodrigues, L.C.; Abubakar, I.; Mangtani, P. Duration of BCG protection against tuberculosis and change in effectiveness with time since vaccination in Norway: A retrospective population-based cohort study. Lancet Infect. Dis. 2016, 16, 219–226. [Google Scholar] [CrossRef] [PubMed]
- Ahsan, M.J. Recent advances in the development of vaccines for tuberculosis. Ther. Adv. Vaccines 2015, 3, 66–75. [Google Scholar] [CrossRef] [PubMed]
- Gong, W.P.; Liang, Y.; Wu, X.Q. The current status, challenges, and future developments of new tuberculosis vaccines. Hum. Vaccines Immunother. 2018, 14, 1697–1716. [Google Scholar] [CrossRef]
- Duong, V.T.; Skwarczynski, M.; Toth, I. Towards the development of subunit vaccines against tuberculosis: The key role of adjuvant. Tuberculosis 2023, 139, 102307. [Google Scholar] [CrossRef]
- Schrager, L.K.; Vekemens, J.; Drager, N.; Lewinsohn, D.M.; Olesen, O.F. The status of tuberculosis vaccine development. Lancet Infect. Dis. 2020, 20, E28–E37. [Google Scholar] [CrossRef]
- Wan, X.H.; Yin, Y.M.; Zhou, C.Z.; Hou, L.; Cui, Q.H.; Zhang, X.P.; Cai, X.Q.; Wang, Y.L.; Wang, L.Z.; Tian, J.Z. Polysaccharides derived from Chinese medicinal herbs: A promising choice of vaccine adjuvants. Carbohydr. Polym. 2022, 276, 118739. [Google Scholar] [CrossRef]
- Zhao, D.P.; Chen, X.H.; Wang, L.Y.; Zhang, J.J.; Zhao, Z.P.; Yue, N.; Zhu, Y.L.; Fei, W.T.; Li, X.Y.; Tan, L.Y.; et al. Bidirectional and persistent immunomodulation of polysaccharide as an adjuvant of influenza and recombinant SARS-CoV-2 vaccine. Int. J. Biol. Macromol. 2023, 234, 123635. [Google Scholar] [CrossRef]
- Liu, Z.; Yu, L.; Gu, P.; Bo, R.; Wusiman, A.; Liu, J.; Hu, Y.; Wang, D. Preparation of lentinan-calcium carbonate microspheres and their application as vaccine adjuvants. Carbohydr. Polym. 2020, 245, 116520. [Google Scholar] [CrossRef]
- Han, B.; Tang, S.; Zhu, D.; Li, H.; Feng, Y.; Su, C.; Xu, Y.; Leng, H.; Wang, Y.; Zhang, Y.; et al. Research Progress on Novel Vaccine Adjuvants. China Anim. Husb. Vet. Med. 2023, 50, 2460–2467. [Google Scholar]
- Wu, X.; Zheng, Z.; Guo, T.; Wang, K.; Zhang, Y. Molecular dynamics simulation of lentinan and its interaction with the innate receptor dectin-1. Int. J. Biol. Macromol. 2021, 171, 527–538. [Google Scholar] [CrossRef] [PubMed]
- Zhang, M.; Zhang, Y.; Zhang, L.; Tian, Q. Mushroom polysaccharide lentinan for treating different types of cancers: A review of 12 years clinical studies in China. Prog. Mol. Biol. Transl. Sci. 2019, 163, 297–328. [Google Scholar] [PubMed]
- He, W. Natural Human Immune Modulator—Lentinan. Guangxi Light Ind. 2000, 1, 28–30. [Google Scholar]
- Kupfahl, C.; Geginat, G.; Hof, H. Lentinan has a stimulatory effect on innate and adaptive immunity against murine Listeria monocytogenes infection. Int. Immunopharmacol. 2006, 6, 686–696. [Google Scholar] [CrossRef]
- Zhou, X.Y.; Wang, H.Z.; Zhang, J.C.; Guan, Y.; Zhang, Y.J. Single-injection subunit vaccine for rabies prevention using lentinan as adjuvant. Int. J. Biol. Macromol. 2024, 254, 128118. [Google Scholar] [CrossRef]
- Guo, Z.; Hu, Y.; Wang, D.; Ma, X.; Zhao, X.; Zhao, B.; Wang, J.; Liu, P. Sulfated modification can enhance the adjuvanticity of lentinan and improve the immune effect of ND vaccine. Vaccine 2009, 27, 660–665. [Google Scholar] [CrossRef]
- He, J.; Liu, Z.; Jiang, W.; Zhu, T.; Wusiman, A.; Gu, P.; Liu, J.; Wang, D. Immune-adjuvant activity of lentinan-modified calcium carbonate microparticles on a H5N1 vaccine. Int. J. Biol. Macromol. 2020, 163, 1384–1392. [Google Scholar] [CrossRef]
- Niu, H.; Cao, Q.; Zhang, T.; Du, Y.; He, P.; Jiao, L.; Wang, B.; Zhu, B.; Hu, L.; Zhang, Y. Construction and evaluation of a novel multi-antigenic Mycobacterium tuberculosis subunit vaccine candidate BfrB-GrpE/DPC. Int. Immunopharmacol. 2023, 124 Pt B, 111060. [Google Scholar] [CrossRef]
- Wang, C.; Guan, Y.; Lv, M.; Zhang, R.; Guo, Z.; Wei, X.; Du, X.; Yang, J.; Li, T.; Wan, Y.; et al. Manganese Increases the Sensitivity of the cGAS-STING Pathway for Double-Stranded DNA and Is Required for the Host Defense against DNA Viruses. Immunity 2018, 48, 675–687.e7. [Google Scholar] [CrossRef]
- Wang, Z.; Yuan, Y.; Chen, C.; Zhang, C.; Huang, F.; Zhou, M.; Chen, H.; Fu, Z.F.; Zhao, L. Colloidal Manganese Salt Improves the Efficacy of Rabies Vaccines in Mice, Cats, and Dogs. J. Virol. 2021, 95, e0141421. [Google Scholar] [CrossRef]
- Sheng, Y.; Li, Z.; Lin, X.; Wang, L.; Zhu, H.; Su, Z.; Zhang, S. In situ bio-mineralized Mn nanoadjuvant enhances anti-influenza immunity of recombinant virus-like particle vaccines. J. Control. Release 2024, 368, 275–289. [Google Scholar] [CrossRef] [PubMed]
- Zhou, S.; Cao, Q.; Zhang, Z.; Du, Y.; Hou, Y.; Zhang, X.; Xie, Z.; Zhou, Y.; Zhu, B.; Zhang, Y.; et al. The adjuvant effect of manganese on tuberculosis subunit vaccine Bfrb-GrpE. NPJ Vaccines 2024, 9, 248. [Google Scholar] [CrossRef] [PubMed]
- Ragupathi, G.; Yeung, K.S.; Leung, P.C.; Lee, M.; Lau, C.B.; Vickers, A.; Hood, C.; Deng, G.; Cheung, N.K.; Cassileth, B.; et al. Evaluation of widely consumed botanicals as immunological adjuvants. Vaccine 2008, 26, 4860–4865. [Google Scholar] [CrossRef] [PubMed]
- Du, X.; Chen, X.; Zhao, B.; Lv, Y.; Zhang, H.; Liu, H.; Chen, Z.; Chen, Y.; Zeng, X. Astragalus polysaccharides enhance the humoral and cellular immune responses of hepatitis B surface antigen vaccination through inhibiting the expression of transforming growth factor β and the frequency of regulatory T cells. FEMS Immunol. Med. Microbiol. 2011, 63, 228–235. [Google Scholar] [CrossRef]
- Ando, M.; Dannenberg, A.M., Jr. Macrophage accumulation, division, maturation, and digestive and microbicidal capacities in tuberculous lesions: IV. Macrophage turnover, lysosomal enzymes, and division in healing lesions. Lab. Investig. J. Tech. Methods Pathol. 1972, 27, 466–472. [Google Scholar]
- Chandrasekhar, S.; Shima, K.; Dannenberg, A.M.; Kambara, T.; Fabrikant, J.I.; Roessler, W.G. Radiation, Infection, and Macrophage Function IV. Effect of Radiation on the Proliferative Abilities of Mononuclear Phagocytes in Tuberculous Lesions of Rabbits. Infect. Immun. 1971, 3, 254–259. [Google Scholar] [CrossRef]
- Shuai, Z.; Hongxia, N. Research Progress on Adjuvants for Tuberculosis Protein Subunit Vaccines. Chin. J. Microbiol. Immunol. 2024, 44, 489–500. [Google Scholar]
- Meyer, J.; McShane, H. The next 10 years for tuberculosis vaccines: Do we have the right plans in place? Expert Rev. Vaccines 2013, 12, 443–451. [Google Scholar] [CrossRef]
- Das, G.; Vohra, H.; Saha, B.; Agrewala, J.N.; Mishra, G.C. Apoptosis of Th1-like cells in experimental tuberculosis (TB). Clin. Exp. Immunol. 1999, 115, 324–328. [Google Scholar] [CrossRef]
- Fratazzi, C.; Arbeit, R.D.; Carini, C.; Remold, H.G. Programmed cell death of Mycobacterium avium serovar 4-infected human macrophages prevents the mycobacteria from spreading and induces mycobacterial growth inhibition by freshly added, uninfected macrophages. J. Immunol. 1997, 158, 4320–4327. [Google Scholar] [CrossRef]
- Gutierrez, M.G.; Master, S.S.; Singh, S.B.; Taylor, G.A.; Colombo, M.I.; Deretic, V. Autophagy is a defense mechanism inhibiting BCG and Mycobacterium tuberculosis survival in infected macrophages. Cell 2004, 119, 753–766. [Google Scholar] [CrossRef] [PubMed]
- Dannenberg, A.M. Liquefaction and cavity formation in pulmonary TB: A simple method in rabbit skin to test inhibitors. Tuberculosis 2009, 89, 243–247. [Google Scholar] [CrossRef] [PubMed]
- Zhang, G.P.; Zhu, B.D.; Shi, W.L.; Wang, M.Z.; Da, Z.J.; Zhang, Y. Evaluation of mycobacterial virulence using rabbit skin liquefaction model. Virulence 2010, 1, 156–163. [Google Scholar] [CrossRef] [PubMed][Green Version]
- Lewinsohn, D.A.; Lewinsohn, D.M.; Scriba, T.J. Polyfunctional CD4+ T Cells As Targets for Tuberculosis Vaccination. Front. Immunol. 2017, 8, 1262. [Google Scholar] [CrossRef]
- Abebe, F. Synergy between Th1 and Th2 responses during Mycobacterium tuberculosis infection: A review of current understanding. Int. Rev. Immunol. 2019, 38, 172–179. [Google Scholar] [CrossRef]
- Hamasur, B.; Haile, M.; Pawlowski, A.; Schroder, U.; Kallenius, G.; Svenson, S.B. A mycobacterial lipoarabinomannan specific monoclonal antibody and its F(ab’)2 fragment prolong survival of mice infected with Mycobacterium tuberculosis. Clin. Exp. Immunol. 2004, 138, 30–38. [Google Scholar] [CrossRef]
- Teitelbaum, R.; Glatman-Freedman, A.; Chen, B.; Robbins, J.B.; Unanue, E.; Casadevall, A.; Bloom, B.R. A mAb recognizing a surface antigen of Mycobacterium tuberculosis enhances host survival. Proc. Natl. Acad. Sci. USA 1998, 95, 15688–15693. [Google Scholar] [CrossRef]
- Huygen, K.; Content, J.; Denis, O.; Montgomery, D.L.; Yawman, A.M.; Deck, R.R.; DeWitt, C.M.; Orme, I.M.; Baldwin, S.; D’Souza, C.; et al. Immunogenicity and protective efficacy of a tuberculosis DNA vaccine. Nat. Med. 1996, 2, 893–898. [Google Scholar] [CrossRef]
- Niu, H.; Hu, L.; Li, Q.; Da, Z.; Wang, B.; Tang, K.; Xin, Q.; Yu, H.; Zhang, Y.; Wang, Y.; et al. Construction and evaluation of a multistage Mycobacterium tuberculosis subunit vaccine candidate Mtb10.4-HspX. Vaccine 2011, 29, 9451–9458. [Google Scholar] [CrossRef]
- Coco, C.; Zannoni, G.F.; Caredda, E.; Sioletic, S.; Boninsegna, A.; Migaldi, M.; Rizzo, G.; Bonetti, L.R.; Genovese, G.; Stigliano, E.; et al. Increased expression of CD133 and reduced dystroglycan expression are strong predictors of poor outcome in colon cancer patients. J. Exp. Clin. Cancer Res. 2012, 31, 71. [Google Scholar] [CrossRef]
- Lemieszek, M.K.; Nunes, F.M.; Rzeski, W. Branched mannans from the mushroom Cantharellus cibarius enhance the anticancer activity of natural killer cells against human cancers of lung and colon. Food Funct. 2019, 10, 5816–5826. [Google Scholar] [CrossRef] [PubMed]
- Hu, T.; Meng, Y.; Shan, F. Effects of Lentinan on the Phenotype and Function of Mouse Bone Marrow Dendritic Cells. J. Microbiol. 2014, 34, 54–58. [Google Scholar]
- Liu, Q.; Dong, L.; Li, H.; Yuan, J.; Peng, Y.; Dai, S. Lentinan mitigates therarubicin-induced myelosuppression by activating bone marrow-derived macrophages in an MAPK/NF-κB-dependent manner. Oncol. Rep. 2016, 36, 315–323. [Google Scholar] [CrossRef] [PubMed]
- Li, X. Construction and Evaluation of SARS-CoV-2 N Protein Vaccine and the Adjuvant Effect of Lentinan. Master’s Thesis, Guangdong Medical University, Zhanjiang, China, 2022. [Google Scholar]
- Hao, H.; Nakayamada, S.; Yamagata, K.; Ohkubo, N.; Iwata, S.; Inoue, Y.; Zhang, M.; Zhang, T.; Kanda Satoh, Y.; Shan, Y.; et al. Conversion of T Follicular Helper Cells to T Follicular Regulatory Cells by Interleukin-2 Through Transcriptional Regulation in Systemic Lupus Erythematosus. Arthritis Rheumatol. 2021, 73, 132–142. [Google Scholar] [CrossRef]
- Pardi, N.; Hogan, M.J.; Naradikian, M.S.; Parkhouse, K.; Cain, D.W.; Jones, L.; Moody, M.A.; Verkerke, H.P.; Myles, A.; Willis, E.; et al. Nucleoside-modified mRNA vaccines induce potent T follicular helper and germinal center B cell responses. J. Exp. Med. 2018, 215, 1571–1588. [Google Scholar] [CrossRef]
- Liu, Z.; He, J.; Zhu, T.; Hu, C.; Bo, R.; Wusiman, A.; Hu, Y.; Wang, D. Lentinan-Functionalized Graphene Oxide Is an Effective Antigen Delivery System That Modulates Innate Immunity and Improves Adaptive Immunity. ACS Appl. Mater. Interfaces 2020, 12, 39014–39023. [Google Scholar] [CrossRef]






| Injection Route | Dose | Number of Immunizations | Challenge Time | Challenge Route | Challenge Site | Challenge Dose | |
|---|---|---|---|---|---|---|---|
| PBS | Subcutaneous injection | 1000 μL of PBS | 3 | 6 weeks post-immunization | Intradermal injection | Dorsal skin | 100 μL suspension of BCG containing 5 × 106 CFU |
| BCG | Subcutaneous injection | 1000 μL of BCG (1 × 107 CFU) | 1 | 6 weeks post-immunization | Intradermal injection | Dorsal skin | 100 μL suspension of BCG containing 5 × 106 CFU |
| BG–lentinan | Subcutaneous injection | 1000 μL (100 μg of fusion protein and 500 μg of lentinan) | 3 | 6 weeks post-immunization | Intradermal injection | Dorsal skin | 100 μL suspension of BCG containing 5 × 106 CFU |
| BG–lentinan/Mn(J) | Subcutaneous injection | 1000 μL (100 μg of fusion protein, 500 μg of lentinan, and 500 μg of Mn(J)) | 3 | 6 weeks post-immunization | Intradermal injection | Dorsal skin | 100 μL suspension of BCG containing 5 × 106 CFU |
| Maximal Granuloma Size (mm³) (Means ± SD) | Initiation of Liquefaction (Days Post-Infection) | Onset of Ulceration (Days Post-Infection) | Time when Liquefied Area was Maximum (Days Post-Infection) | Lesion Volume (mm³) when the Liquefied Area was Maximum (Means ± SD) | Healing (Days Post-Infection) | Complete Healing (Days Post-Infection) | |
|---|---|---|---|---|---|---|---|
| PBS | 794.19 ± 90.7 | 10 | 12 | 17 | 1268.29 ± 82.59 | 26 | 29 |
| BCG | 252.96 ± 81.3 | 6 | 8 | 15 | 1322.47 ± 302.4 | 23 | 28 |
| BG–lentinan | 415.69 ± 131.5 | 5 | 7 | 12 | 1465.43 ± 79.31 | 20 | 26 |
| BG–lentinan/Mn(J) | 301.64 ± 26.2 | 5 | 8 | 13 | 1662.64 ± 241 | 21 | 25 |
Disclaimer/Publisher’s Note: The statements, opinions and data contained in all publications are solely those of the individual author(s) and contributor(s) and not of MDPI and/or the editor(s). MDPI and/or the editor(s) disclaim responsibility for any injury to people or property resulting from any ideas, methods, instructions or products referred to in the content. |
© 2025 by the authors. Licensee MDPI, Basel, Switzerland. This article is an open access article distributed under the terms and conditions of the Creative Commons Attribution (CC BY) license (https://creativecommons.org/licenses/by/4.0/).
Share and Cite
Zhou, S.; Hou, Y.; Zhang, X.; Lv, Z.; Hu, Q.; Yang, X.; Niu, H. Assessment of the Adjuvant Effects of Lentinan on the Tuberculosis Subunit Vaccine BG. Vaccines 2025, 13, 597. https://doi.org/10.3390/vaccines13060597
Zhou S, Hou Y, Zhang X, Lv Z, Hu Q, Yang X, Niu H. Assessment of the Adjuvant Effects of Lentinan on the Tuberculosis Subunit Vaccine BG. Vaccines. 2025; 13(6):597. https://doi.org/10.3390/vaccines13060597
Chicago/Turabian StyleZhou, Shuai, Yilin Hou, Xiaojuan Zhang, Zhuoxuan Lv, Quanjie Hu, Xiaobing Yang, and Hongxia Niu. 2025. "Assessment of the Adjuvant Effects of Lentinan on the Tuberculosis Subunit Vaccine BG" Vaccines 13, no. 6: 597. https://doi.org/10.3390/vaccines13060597
APA StyleZhou, S., Hou, Y., Zhang, X., Lv, Z., Hu, Q., Yang, X., & Niu, H. (2025). Assessment of the Adjuvant Effects of Lentinan on the Tuberculosis Subunit Vaccine BG. Vaccines, 13(6), 597. https://doi.org/10.3390/vaccines13060597

