Evaluating the Immunogenicity and Protective Efficacy of a Novel Vaccine Candidate Against Salmonella in Poultry
Abstract
1. Introduction
2. Materials and Methods
2.1. Bacterial Strains, Plasmids, and Media
2.2. Determination of InvG Conservation Across NTS Serovars
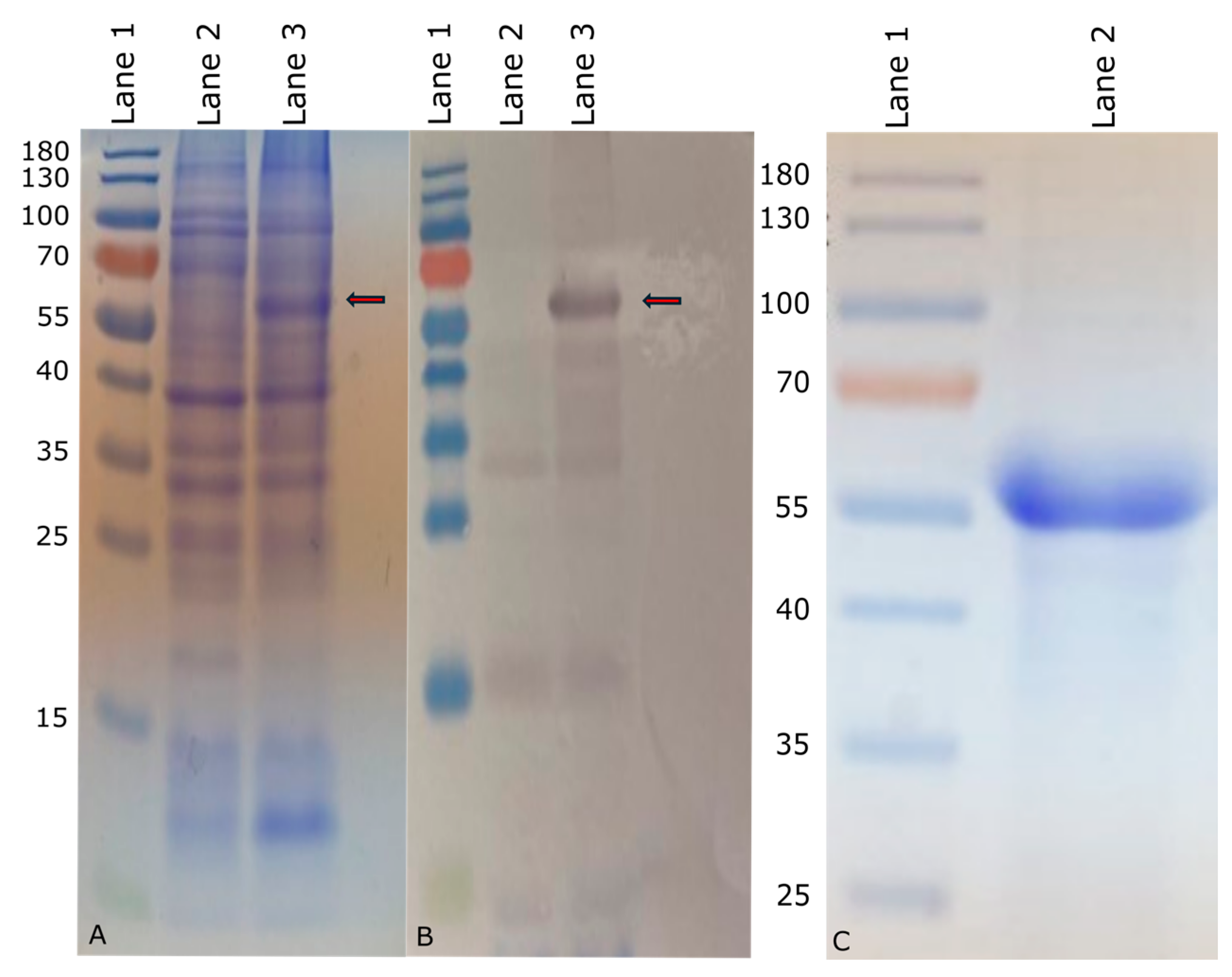
2.3. Cloning and Expression of InvG in Escherichia coli
2.4. Purification of InvG
2.5. Chickens
2.6. Sample Collection
2.7. Measurement of Antibodies in Chicken Sera, Egg Yolk, and Intestinal Washings
2.8. Chicken Vaccination and Salmonella Challenge Procedures
2.9. RNA Extraction and rRNA Depletion
2.10. Library Preparation and RNA Sequencing
2.11. RNA Sequence Analysis
2.12. Enumeration of Salmonella
2.13. Experimental Design
2.14. Statistical Analysis
3. Results
3.1. Conservation of InvG Protein Across NTS Serovars
3.2. Experiment I—Immunogenicity and Protective Efficacy of Intramuscularly Administered InvG Against Salmonella Challenge in Chickens
3.2.1. Immune Response to InvG Recombinant Protein Vaccination
3.2.2. Reduction of Cecal Salmonella Colonization
3.3. Transcriptomic Analysis of Chicken Immune Response
3.3.1. Enrichment Analysis
3.3.2. Immune Response in Tissues
3.4. Experiment II—Efficacy of Maternally Acquired Anti-InvG Antibodies in Protecting Progeny Chicks Against Salmonella Challenge
3.4.1. Transfer of Anti-InvG Antibodies to Progeny
3.4.2. Reduction of Salmonella Colonization
3.5. Experiment III—Persistence of Maternal Anti-InvG Antibodies in Serum and Egg Yolk
4. Discussion
5. Conclusions
Supplementary Materials
Author Contributions
Funding
Institutional Review Board Statement
Data Availability Statement
Conflicts of Interest
Abbreviations
| NTS | Non-typhoidal Salmonella |
| ELISA | Enzyme Linked Immunosorbent Assay |
| BPW | Buffered Peptone Water |
| MDR | Multi Drug Resistance |
| T3SS | Type 3 Secretion System |
| SPF | Specific Pathogen Free |
| sIgA | Secretory IgA |
| LB | Luria-Bertani |
| XLT-4 | Xylose Lysine Tergitol-4 |
| PBS | Phosphate-buffered Saline |
| OMP | Outer Membrane Protein |
| PM | Postmortem |
| SE | Salmonella Enteritidis |
| ST | Salmonella Typhimurium |
| IACUC | Institutional Animal Care and Use Committee |
| TLR | Toll-Like Receptor |
References
- Sher, A.A.; Mustafa, B.E.; Grady, S.C.; Gardiner, J.C.; Saeed, A.M. Outbreaks of foodborne Salmonella enteritidis in the United States between 1990 and 2015: An analysis of epidemiological and spatial-temporal trends. Int. J. Infect. Dis. 2021, 105, 54–61. [Google Scholar] [CrossRef]
- Gast, R.K. Serotype-Specific and Serotype-Independent Strategies for Preharvest Control of Food-Borne Salmonella in Poultry. Avian Dis. 2007, 51, 817–828. [Google Scholar] [CrossRef] [PubMed]
- Carpenter, J.W. Diseases of Poultry, 11th ed. J. Avian Med. Surg. 2003, 17, 109. [Google Scholar] [CrossRef]
- Chousalkar, K.K.; Willson, N.L. Nontyphoidal Salmonella infections acquired from poultry. Curr. Opin. Infect. Dis. 2022, 35, 431–435. [Google Scholar] [CrossRef] [PubMed]
- Hendriksen, R.S.; Vieira, A.R.; Karlsmose, S.; Lo Fo Wong, D.M.A.; Jensen, A.B.; Wegener, H.C.; Aarestrup, F.M. Global monitoring of Salmonella serovar distribution from the world health organization global foodborne infections network country data bank: Results of quality assured laboratories from 2001 to 2007. Foodborne Pathog. Dis. 2011, 8, 887–900. [Google Scholar] [CrossRef]
- The European Union Summary Report on Trends and Sources of Zoonoses, Zoonotic Agents and Food-borne Outbreaks in 2012. EFSA J. 2014, 16, 5500. [CrossRef]
- Berghaus, R.D.; Thayer, S.G.; Maurer, J.J.; Hofacre, C.L. Effect of vaccinating breeder chickens with a killed Salmonella vaccine on Salmonella prevalences and loads in breeder and broiler chicken flocks. J. Food Prot. 2011, 74, 727–734. [Google Scholar] [CrossRef]
- Cogan, T.A.; Humphrey, T.J. The rise and fall of Salmonella Enteritidis in the UK. J. Appl. Microbiol. 2003, 94, 114–119. [Google Scholar] [CrossRef]
- Dórea, F.C.; Cole, D.J.; Hofacre, C.; Zamperini, K.; Mathis, D.; Doyle, M.P.; Lee, M.D.; Maurer, J.J. Effect of Salmonella vaccination of breeder chickens on contamination of broiler chicken carcasses in integrated poultry operations. Appl. Environ. Microbiol. 2010, 76, 7820–7825. [Google Scholar] [CrossRef]
- Raccoursier, M.; Siceloff, A.T.; Shariat, N.W. In silico and PCR Screening for a Live Attenuated Salmonella Typhimurium Vaccine Strain. Avian Dis. 2024, 68, 18–24. [Google Scholar] [CrossRef]
- Howard, A.J.; Chousalkar, K.K.; McWhorter, A.R. In vitro and in vivo efficacy of a live attenuated Salmonella Typhimurium vaccine at preventing intestinal colonization in chicks. Zoonoses Public Health 2018, 65, 736–741. [Google Scholar] [CrossRef]
- Alderton, M.R.; Fahey, K.J.; Coloe, P.J. Humoral responses and salmonellosis protection in chickens given a vitamin-dependent Salmonella typhimurium mutant. Avian Dis. 1991, 35, 435–442. [Google Scholar]
- Desin, T.S.; Köster, W.; Potter, A.A. Salmonella vaccines in poultry: Past, present and future. Expert Rev. Vaccines 2013, 12, 87–96. [Google Scholar] [CrossRef]
- Ferrari, R.G.; Rosario, D.K.A.; Cunha-Neto, A.; Mano, S.B.; Figueiredo, E.E.S.; Conte-Juniora, C.A. Worldwide epidemiology of Salmonella serovars in animal-based foods: A meta-analysis. Appl. Environ. Microbiol. 2019, 85, 1–21. [Google Scholar] [CrossRef]
- Mattock, J.; Chattaway, M.A.; Hartman, H.; Dallman, T.J.; Smith, A.M.; Keddy, K.; Petrovska, L.; Manners, E.J.; Duze, S.T.; Smouse, S.; et al. A One Health Perspective on Salmonella enterica Serovar Infantis, an Emerging Human Multidrug-Resistant Pathogen. Emerg. Infect. Dis. 2024, 30, 701–710. [Google Scholar] [CrossRef] [PubMed]
- MacLennan, C.A.; Martin, L.B.; Micoli, F. Vaccines against invasive Salmonella disease. Hum. Vaccin Immunother. 2014, 10, 1478–1493. [Google Scholar] [CrossRef] [PubMed]
- Liu, Q.; Liu, Q.; Zhao, X.; Liu, T.; Yi, J.; Liang, K.; Kong, Q. Immunogenicity and Cross-Protective Efficacy Induced by Outer Membrane Proteins from Salmonella Typhimurium Mutants with Truncated LPS in Mice. Int. J. Mol. Sci. 2016, 17, 416. [Google Scholar] [CrossRef]
- Cason, J.A.; Cox, N.A.; Bailey, J.S. Transmission of Salmonella typhimurium during hatching of broiler chicks. Avian Dis. 1994, 38, 583–588. [Google Scholar] [CrossRef]
- Bar-Shira, E.; Sklan, D.; Friedman, A. Establishment of immune competence in the avian GALT during the immediate post-hatch period. Dev. Comp. Immunol. 2003, 27, 147–157. [Google Scholar] [CrossRef] [PubMed]
- Mast, J.; Goddeeris, B.M. Development of immunocompetence of broiler chickens. Vet. Immunol. Immunopathol. 1999, 70, 245–256. [Google Scholar] [CrossRef]
- Friedman, A.; Elad, O.; Cohen, I.; Bar Shira, E. The gut associated lymphoid system in the post-hatch chick: Dynamics of maternal IgA. Isr. J. Vet. Med. 2012, 67, 75–81. [Google Scholar]
- Hassan, J.O.; Curtiss, R.I.I.I. Virulent Salmonella typhimurium-induced lymphocyte depletion and immunosuppression in chickens. Infect. Immun. 1994, 62, 2027–2036. [Google Scholar] [CrossRef]
- Van Immerseel, F.; De Buck, J.; Pasmans, F.; Bohez, L.; Boyen, F.; Haesebrouck, F.; Ducatelle, R. Intermittent long-term shedding and induction of carrier birds after infection of chickens early posthatch with a low or high dose of Salmonella enteritidis. Poult. Sci. 2004, 83, 1911–1916. [Google Scholar] [CrossRef]
- UniProt Consortium. UniProt: The Universal Protein Knowledgebase in 2023. Nucleic Acids Res. 2023, 51, D523–D531. [Google Scholar] [CrossRef]
- Sievers, F.; Wilm, A.; Dineen, D.; Gibson, T.J.; Karplus, K.; Li, W.; Lopez, R.; McWilliam, H.; Remmert, M.; Söding, J.; et al. Fast, scalable generation of high-quality protein multiple sequence alignments using Clustal Omega. Mol. Syst. Biol. 2011, 7, 539. [Google Scholar] [CrossRef]
- Ashkenazy, H.; Abadi, S.; Martz, E.; Chay, O.; Mayrose, I.; Pupko, T.; Ben-Tal, N. ConSurf 2016: An improved methodology to estimate and visualize evolutionary conservation in macromolecules. Nucleic Acids Res. 2016, 44, W344–W350. [Google Scholar] [CrossRef] [PubMed]
- QIAGEN. The QIAexpressionist: A Handbook for High-Level Expression and Purification of 6xHis-Tagged Proteins, 5th ed.; QIAGEN: Hilden, Germany, 2003. [Google Scholar]
- Robinson, M.D.; McCarthy, D.J.; Smyth, G.K. EdgeR: A Bioconductor package for differential expression analysis of digital gene expression data. Bioinformatics 2009, 26, 139. [Google Scholar] [CrossRef] [PubMed]
- Ge, S.X.; Son, E.W.; Yao, R. iDEP: An integrated web application for differential expression and pathway analysis of RNA-Seq data. BMC Bioinform. 2018, 19, 1–24. [Google Scholar] [CrossRef]
- OpenEpi Menu. Available online: https://www.openepi.com/Menu/OE_Menu.htm (accessed on 22 July 2025).
- Borowska, D.; Kuo, R.; Bailey, R.A.; Watson, K.A.; Kaiser, P.; Vervelde, L.; Stevens, M.P. Highly multiplexed quantitative PCR-based platform for evaluation of chicken immune responses. PLoS ONE 2019, 14, e0225658. [Google Scholar] [CrossRef]
- Yao, M.; Wang, B.; Li, Z.; Wu, S.; Zhao, B.; Sun, N.; Xiao, H.; Wang, J.; Liu, G.; Huang, T. Se-methylselenocysteine inhibits inflammatory response in an LPS-stimulated chicken HD11 macrophage-like cell model through the NFKB2 pathway. Front. Vet. Sci. 2024, 11, 1503436. [Google Scholar]
- Sadr, A.S.; Nassiri, M.; Ghaderi-Zefrehei, M.; Heidari, M.; Smith, J.; Muhaghegh Dolatabady, M. RNA-Seq Profiling between Commercial and Indigenous Iranian Chickens Highlights Differences in Innate Immune Gene Expression. Genes 2023, 14, 793. [Google Scholar] [CrossRef] [PubMed]
- Lee, M.O.; Jang, H.J.; Rengaraj, D.; Yang, S.Y.; Han, J.Y.; Lamont, S.J.; Womack, J.E. Tissue expression and antibacterial activity of host defense peptides in chicken. BMC Vet. Res. 2016, 12, 231. [Google Scholar] [CrossRef]
- van Harten, R.M.; van Woudenbergh, E.; van Dijk, A.; Haagsman, H.P. Cathelicidins: Immunomodulatory Antimicrobials. Vaccines 2018, 6, 63. [Google Scholar] [CrossRef]
- Kim, W.H.; Lillehoj, H.S.; Min, W. Evaluation of the Immunomodulatory Activity of the Chicken NK-Lysin-Derived Peptide cNK-2. Sci. Rep. 2017, 7, 1–11. [Google Scholar] [CrossRef]
- Díaz-Alvarez, L.; Ortega, E. The Many Roles of Galectin-3, a Multifaceted Molecule, in Innate Immune Responses against Pathogens. Mediat. Inflamm. 2017, 2017, 9247574. [Google Scholar] [CrossRef]
- Lee, J.; Geddes, K.; Streutker, C.; Philpott, D.J.; Girardin, S.E. Role of Mouse Peptidoglycan Recognition Protein PGLYRP2 in the Innate Immune Response to Salmonella enterica Serovar Typhimurium Infection In Vivo. Infect. Immun. 2012, 80, 2645. [Google Scholar] [CrossRef]
- Fabriek, B.O.; Bruggen RVan Deng, D.M.; Ligtenberg, A.J.M.; Nazmi, K.; Schornagel, K.; Vloet, R.P.M.; Dijkstra, C.D.; Van Den Berg, T.K. The macrophage scavenger receptor CD163 functions as an innate immune sensor for bacteria. Blood 2009, 113, 887–892. [Google Scholar] [CrossRef]
- Feuillet, V.; Medjane, S.; Mondor, I.; Demaria, O.; Pagni, P.P.; Galán, J.E.; Flavell, R.A.; Alexopoulou, L. Involvement of Toll-like receptor 5 in the recognition of flagellated bacteria. Proc. Natl. Acad. Sci. USA 2006, 103, 12487. [Google Scholar] [PubMed]
- LY96 Lymphocyte Antigen 96 [Homo Sapiens (Human)]-Gene-NCBI. Available online: https://www.ncbi.nlm.nih.gov/gene?Db=gene&Cmd=DetailsSearch&Term=23643 (accessed on 9 October 2025).
- Biragyn, A.; Ruffini, P.A.; Leifer, C.A.; Klyushnenkova, E.; Shakhov, A.; Chertov, O.; Shirakawa, A.K.; Farber, J.M.; Segal, D.M.; Oppenheim, J.J.; et al. Toll-like receptor 4-dependent activation of dendritic cells by beta-defensin 2. Science 2002, 298, 1025–1029. [Google Scholar] [CrossRef] [PubMed]
- Ito, T.; Carson, W.F.; Cavassani, K.A.; Connett, J.M.; Kunkel, S.L. CCR6 as a mediator of immunity in the lung and gut. Exp. Cell Res. 2011, 317, 613. [Google Scholar] [CrossRef]
- Ranasinghe, R.; Eri, R. Pleiotropic Immune Functions of Chemokine Receptor 6 in Health and Disease. Medicines 2018, 5, 69. [Google Scholar] [CrossRef]
- McDonald, K.G.; McDonough, J.S.; Wang, C.; Kucharzik, T.; Williams, I.R.; Newberry, R.D. CC Chemokine Receptor 6 Expression by B Lymphocytes Is Essential for the Development of Isolated Lymphoid Follicles. Am. J. Pathol. 2007, 170, 1229. [Google Scholar] [CrossRef] [PubMed]
- Correnti, C.; Clifton, M.C.; Abergel, R.J.; Allred, B.; Hoette, T.M.; Ruiz, M.; Cancedda, R.; Raymond, K.N.; Descalzi, F.; Strong, R.K. Galline Ex-FABP is an Antibacterial Siderocalin and a Lysophosphatidic Acid Sensor Functioning through Dual Ligand Specificities. Structure 2011, 19, 1796. [Google Scholar] [CrossRef]
- EXFABP-Extracellular Fatty Acid-Binding Protein-Gallus Gallus (Chicken)|Publications|UniProtKB|UniProt. Available online: https://www.uniprot.org/uniprotkb/P21760/entry (accessed on 10 October 2025).
- Matulova, M.; Rajova, J.; Vlasatikova, L.; Volf, J.; Stepanova, H.; Havlickova, H.; Sisak, F.; Rychlik, I. Characterization of Chicken Spleen Transcriptome after Infection with Salmonella enterica Serovar Enteritidis. PLoS ONE 2012, 7, e48101. [Google Scholar] [CrossRef] [PubMed]
- Yu, X.; Rehman, A.U.; Dang, L.; Zhang, X.; Liu, J.; Xiong, X.; Chen, G.; Jian, Z. Interferon regulatory factor 5: A potential target for therapeutic intervention in inflammatory diseases. Front. Immunol. 2025, 16, 1535823. [Google Scholar] [CrossRef]
- Krausgruber, T.; Blazek, K.; Smallie, T.; Alzabin, S.; Lockstone, H.; Sahgal, N.; Hussell, T.; Feldmann, M.; Udalova, I.A. IRF5 promotes inflammatory macrophage polarization and T H1-TH17 responses. Nat. Immunol. 2011, 12, 231–238. [Google Scholar] [CrossRef]
- Goenka, S.; Kaplan, M.H. Transcriptional regulation by STAT6. Immunol. Res. 2011, 50, 87. [Google Scholar] [CrossRef] [PubMed]
- Delmonte, O.M.; Bergerson, J.R.E.; Kawai, T.; Kuehn, H.S.; McDermott, D.H.; Cortese, I.; Zimmermann, M.T.; Dobbs, A.K.; Bosticardo, M.; Fink, D.; et al. SASH3 variants cause a novel form of X-linked combined immunodeficiency with immune dysregulation. Blood 2021, 138, 1019. [Google Scholar] [CrossRef]
- Baranova, I.N.; Kurlander, R.; Bocharov, A.V.; Vishnyakova, T.G.; Chen, Z.; Remaley, A.T.; Csako, G.; Patterson, A.P.; Eggerman, T.L. Role of Human CD36 in Bacterial Recognition, Phagocytosis and Pathogen-Induced C-Jun N-Terminal Kinase (JNK)—Mediated Signaling. J. Immunol. 2008, 181, 7147. [Google Scholar] [CrossRef]
- Silverstein, R.L.; Febbraio, M. CD36, a Scavenger Receptor Involved in Immunity, Metabolism, Angiogenesis, and Behavior. Sci. Signal 2009, 2, re3. [Google Scholar] [CrossRef]
- Sharif, O.; Matt, U.; Saluzzo, S.; Lakovits, K.; Haslinger, I.; Furtner, T.; Doninger, B.; Knapp, S. The Scavenger Receptor CD36 Downmodulates the Early Inflammatory Response while Enhancing Bacterial Phagocytosis during Pneumococcal Pneumonia. J. Immunol. 2013, 190, 5640–5648. [Google Scholar] [CrossRef]
- Schutyser, E.; Richmond, A.; Van Damme, J. Involvement of CC chemokine ligand 18 (CCL18) in normal and pathological processes. J. Leukoc. Biol. 2005, 78, 14. [Google Scholar] [CrossRef] [PubMed]
- Sutton, K.; Nash, T.; Sives, S.; Borowska, D.; Mitchell, J.; Vohra, P.; Stevens, M.P.; Vervelde, L. Disentangling the innate immune responses of intestinal epithelial cells and lamina propria cells to Salmonella Typhimurium infection in chickens. Front. Microbiol. 2023, 14, 1258796. [Google Scholar] [CrossRef]
- Hrabia, A.; Miska, K.B.; Schreier, L.L.; Proszkowiec-Weglarz, M. Altered gene expression of selected matrix metalloproteinase system proteins in the broiler chicken gastrointestinal tract during post-hatch development and coccidia infection. Poult. Sci. 2022, 101, 101915. [Google Scholar] [CrossRef] [PubMed]
- Dar, M.A.; Ahmad, S.M.; Bhat, B.A.; Dar, T.A.; Haq, Z.U.; Wani, B.A.; Shabir, N.; Kashoo, Z.A.; Shah, R.A.; Ganai, N.A.; et al. Comparative RNA-Seq analysis reveals insights in Salmonella disease resistance of chicken; and database development as resource for gene expression in poultry. Genomics 2022, 114, 110475. [Google Scholar] [CrossRef]
- Liu, Y.; Feng, Y.; Yang, X.; Lv, Z.; Li, P.; Zhang, M.; Wei, F.; Jin, X.; Hu, Y.; Guo, Y.; et al. Mining chicken ileal microbiota for immunomodulatory microorganisms. ISME J. 2023, 17, 758. [Google Scholar] [CrossRef] [PubMed]
- Stutte, S.; Quast, T.; Gerbitzki, N.; Savinko, T.; Novak, N.; Reifenberger, J.; Homey, B.; Kolanus, W.; Alenius, H.; Förster, I. Requirement of CCL17 for CCR7- and CXCR4-dependent migration of cutaneous dendritic cells. Proc. Natl. Acad. Sci. USA 2010, 107, 8736–8741. [Google Scholar] [CrossRef] [PubMed]
- Avram, D.; Califano, D. The multifaceted roles of Bcl11b in thymic and peripheral T cells—Impact on immune diseases. J. Immunol. 2014, 193, 2059. [Google Scholar] [CrossRef]
- Surai, P.F.; Kochish, I.I.; Kidd, M.T. Redox Homeostasis in Poultry: Regulatory Roles of NF-κB. Antioxidants 2021, 10, 186. [Google Scholar] [CrossRef]
- Neelawala, R.N.; Edison, L.K.; Kariyawasam, S. Pre-Harvest Non-Typhoidal Salmonella Control Strategies in Commercial Layer Chickens. Animals 2024, 14, 3578. [Google Scholar] [CrossRef]
- Can Laying Hens Be Vaccinated Against Salmonella During the Laying Period?|Calier. Available online: https://www.calier.com/en/blog/can-laying-hens-be-vaccinated-against-Salmonella-during-laying-period (accessed on 11 October 2025).
- Foley, S.L.; Nayak, R.; Hanning, I.B.; Johnson, T.J.; Han, J.; Ricke, S.C. Population Dynamics of Salmonella enterica Serotypes in Commercial Egg and Poultry Production. Appl. Environ. Microbiol. 2011, 77, 4273. [Google Scholar] [CrossRef]
- Jeong, J.; Chae, M.; Kang, M.-S.; Lee, J.-Y.; Kwon, Y.-K.; Lee, H.-J.; Lee, S.-H.; Son, H.-B.; Moon, J.-S.; Cho, S. Emergence and characteristics of multidrug-resistant Salmonella enterica subspecies enterica serovar Infantis harboring the pESI plasmid in chicken slaughterhouses in South Korea. Microbiol. Spectr. 2025, 13, e02955-24. [Google Scholar] [CrossRef] [PubMed]
- Siddique, A.; Wang, Z.; Zhou, H.; Huang, L.; Jia, C.; Wang, B.; Ed-Dra, A.; Teng, L.; Li, Y.; Yue, M. The Evolution of Vaccines Development across Salmonella Serovars among Animal Hosts: A Systematic Review. Vaccines 2024, 12, 1067. [Google Scholar] [CrossRef]
- Guidance for Industry: Questions and Answers Regarding the Final Rule on Prevention of Salmonella Enteritidis in Shell Eggs During Production, Storage, and Transportation (Layers with Access to Areas Outside the Poultry House)|FDA. Available online: https://www.fda.gov/regulatory-information/search-fda-guidance-documents/guidance-industry-questions-and-answers-regarding-final-rule-prevention-Salmonella-enteritidis-shell-0 (accessed on 12 October 2025).
- USDA-FSIS to Exclude Salmonella Vaccine Strains from Performance Categorization–California Poultry Federation Official Website. Available online: https://cpif.org/usda-fsis-to-exclude-Salmonella-vaccine-strains-from-performance-categorization/ (accessed on 12 October 2025).
- Miller, J.M.; Ozyck, R.G.; Pagano, P.L.; Hernandez, E.F.; Davis, M.E.; Karam, A.Q.; Malek, J.B.; Mara, A.B.; Tulman, E.R.; Szczepanek, S.M.; et al. Rationally designed Mycoplasma gallisepticum vaccine using a recombinant subunit approach. npj Vaccines 2024, 9, 1–12. [Google Scholar] [CrossRef]
- Meenakshi, M.; Bakshi, C.S.; Butchaiah, G.; Bansal, M.P.; Siddiqui, M.Z.; Singh, V.P. Adjuvanted Outer Membrane Protein Vaccine Protects Poultry against Infection with Salmonella enteriditis. Vet. Res. Commun. 1999, 23, 81–90. [Google Scholar] [PubMed]
- Khan, M.I.; Fadl, A.A.; Venkitanarayanan, K.S. Reducing colonization of Salmonella Enteritidis in chicken by targeting outer membrane proteins. J. Appl. Microbiol. 2003, 95, 142–145. [Google Scholar] [CrossRef] [PubMed]
- Renu, S.; Markazi, A.D.; Dhakal, S.; Lakshmanappa, Y.S.; Gourapura, S.R.; Shanmugasundaram, R.; Senapati, S.; Narasimhan, B.; Selvaraj, R.K.; Renukaradhya, G.J. Surface engineered polyanhydride-based oral Salmonella subunit nanovaccine for poultry. Int. J. Nanomed. 2018, 13, 8195–8215. [Google Scholar] [CrossRef]
- Okamura, M.; Ueda, M.; Noda, Y.; Kuno, Y.; Kashimoto, T.; Takehara, K.; Nakamura, M. Immunization with outer membrane protein A from Salmonella enterica serovar Enteritidis induces humoral immune response but no protection against homologous challenge in chickens. Poult. Sci. 2012, 91, 2444–2449. [Google Scholar] [CrossRef]
- Bian, X.; Liu, Q.; Chen, Y.; Zhang, W.; Li, M.; Zhang, X.; Yang, L.; Liao, Y.; Kong, Q. Immunogenicity and cross-protective efficacy induced by delayed attenuated Salmonella with regulated length of lipopolysaccharide in mice. Gut Microbes 2024, 16, 2424983. [Google Scholar] [CrossRef]
- Hassan, J.O.; Curtiss, R., 3rd. Effect of vaccination of hens with an avirulent strain of Salmonella typhimurium on immunity of progeny challenged with wild-Type Salmonella strains. Infect. Immun. 1996, 64, 938–944. [Google Scholar] [CrossRef]
- Hamal, K.R.; Burgess, S.C.; Pevzner, I.Y.; Erf, G.F. Maternal antibody transfer from dams to their egg yolks, egg whites, and chicks in meat lines of chickens. Poult. Sci. 2006, 85, 1364–1372. [Google Scholar] [CrossRef]
- Sun, H.; Chen, S.; Cai, X.; Xu, G.; Qu, L. Correlation analysis of the total IgY level in hen serum, egg yolk and offspring serum. J. Anim. Sci. Biotechnol. 2013, 4, 1–4. [Google Scholar] [CrossRef] [PubMed]
- Lammers, A.; Wieland, W.H.; Kruijt, L.; Jansma, A.; Straetemans, T.; Schots, A.; den Hartog, G.; Parmentier, H.K. Successive immunoglobulin and cytokine expression in the small intestine of juvenile chicken. Dev. Comp. Immunol. 2010, 34, 1254–1262. [Google Scholar] [CrossRef] [PubMed]
- Toyota-Hanatani, Y.; Kyoumoto, Y.; Baba, E.; Ekawa, T.; Ohta, H.; Tani, H.; Sasai, K. Importance of subunit vaccine antigen of major Fli C antigenic site of Salmonella enteritidis II: A challenge trial. Vaccine 2009, 27, 1680–1684. [Google Scholar] [CrossRef]
- Chou, W.K.; Chen, C.H.; Vuong, C.N.; Abi-Ghanem, D.; Waghela, S.D.; Mwangi, W.; Bielke, L.R.; Hargis, B.M.; Berghman, L.R. Significant mucosal sIgA production after a single oral or parenteral administration using in vivo CD40 targeting in the chicken. Res. Vet. Sci. 2016, 108, 112–115. [Google Scholar] [PubMed]
- Tomaiuolo, S.; Jansen, W.; Soares Martins, S.; Devriendt, B.; Cox, E.; Mori, M. QuilA® adjuvanted Coxevac® sustains Th1-CD8+-type immunity and increases protection in Coxiella burnetii-challenged goats. npj Vaccines 2023, 8, 1–14. [Google Scholar]
- Armwood, B.T.; Rieth, A.; Baldwin, L.; Stephen Roney, C.; Barbieri, N.L.; Logue, C.M. Assessing the Ability of Maternal Antibodies to Protect Broiler Chicks Against Colonization by Salmonella Heidelberg. Avian Dis. 2019, 63, 289–293. [Google Scholar] [CrossRef]
- Liu, M.; Shen, X.; Yu, Y.; Li, J.; Fan, J.; Jia, X.; Dai, Y. Effect of Different Levels of Maternally Derived Genotype VII Newcastle Disease Virus-Specific Hemagglutination Inhibition Antibodies on Protection against Virulent Challenge in Chicks. Viruses 2023, 15, 1840. [Google Scholar] [CrossRef]
- Papazisi, L.; Silbart, L.K.; Frasca, S.; Rood, D.; Liao, X.; Gladd, M.; Javed, M.A.; Geary, S.J. A modified live Mycoplasma gallisepticum vaccine to protect chickens from respiratory disease. Vaccine 2002, 20, 3709–3719. [Google Scholar] [CrossRef]
- Cuperus, T.; Coorens, M.; van Dijk, A.; Haagsman, H.P. Avian host defense peptides. Dev. Comp. Immunol. 2013, 41, 352–369. [Google Scholar] [CrossRef]
- Goitsuka, R.; Chen, C.L.H.; Benyon, L.; Asano, Y.; Kitamura, D.; Cooper, M.D. Chicken cathelicidin-B1, an antimicrobial guardian at the mucosal M cell gateway. Proc. Natl. Acad. Sci. USA 2007, 104, 15063. [Google Scholar] [CrossRef]
- Van Gorp, H.; Delputte, P.L.; Nauwynck, H.J. Scavenger receptor CD163, a Jack-of-all-trades and potential target for cell-directed therapy. Mol. Immunol. 2010, 47, 1650–1660. [Google Scholar] [CrossRef] [PubMed]
- Brownlie, R.; Allan, B. Avian toll-like receptors. Cell Tissue Res. 2011, 343, 121–130. [Google Scholar]
- Lee, E.J.; Kim, H.S. The anti-inflammatory role of tissue inhibitor of metalloproteinase-2 in lipopolysaccharide-stimulated microglia. J. Neuroinflamm. 2014, 11, 116. [Google Scholar] [CrossRef]
- Kanwal, Z.; Zakrzewska, A.; den Hertog, J.; Spaink, H.P.; Schaaf, M.J.M.; Meijer, A.H. Deficiency in Hematopoietic Phosphatase Ptpn6/Shp1 Hyperactivates the Innate Immune System and Impairs Control of Bacterial Infections in Zebrafish Embryos. J. Immunol. 2013, 190, 1631–1645. [Google Scholar] [CrossRef]
- Liu-Chittenden, Y.; Jain, M.; Gaskins, K.; Wang, S.; Merino, M.J.; Kotian, S.; Kumar Gara, S.; Davis, S.; Zhang, L.; Kebebew, E. RARRES2 functions as a tumor suppressor by promoting β-catenin phosphorylation/degradation and inhibiting p38 phosphorylation in adrenocortical carcinoma. Oncogene 2017, 36, 3541. [Google Scholar] [PubMed]
- Reggio, A.; Fuoco, C.; Deodati, R.; Palma, A. SPP1 macrophages across diseases: A call for reclassification? FASEB J. 2025, 39, e70448. [Google Scholar] [CrossRef]
- Wallis, R. Interactions between mannose-binding lectin and MASPs during complement activation by the lectin pathway. Immunobiology 2007, 212, 289. [Google Scholar] [CrossRef]
- Zheng, M.; Tian, Z. Liver-Mediated Adaptive Immune Tolerance. Front. Immunol. 2019, 10, 2525. [Google Scholar] [CrossRef] [PubMed]
- Mauri, M.; Sannasiddappa, T.H.; Vohra, P.; Corona-Torres, R.; Smith, A.A.; Chintoan-Uta, C.; Bremner, A.; Terra, V.S.; Abouelhadid, S.; Stevens, M.P.; et al. Multivalent poultry vaccine development using Protein Glycan Coupling Technology. Microb. Cell Fact. 2021, 20, 193. [Google Scholar] [CrossRef]
- La Ragione, R.M.; Woodward, M.J.; Kumar, M.; Rodenberg, J.; Fan, H.; Wales, A.D.; Karaca, K. Efficacy of a live attenuated Escherichia coli O78:K80 vaccine in chickens and Turkeys. Avian Dis. 2013, 57, 273–279. [Google Scholar] [PubMed]
- Mastroeni, P.; Chabalgoity, J.A.; Dunstan, S.J.; Maskell, D.J.; Dougan, G. Salmonella: Immune responses and vaccines. Vet. J. 2001, 161, 132–164. [Google Scholar] [CrossRef] [PubMed]









Disclaimer/Publisher’s Note: The statements, opinions and data contained in all publications are solely those of the individual author(s) and contributor(s) and not of MDPI and/or the editor(s). MDPI and/or the editor(s) disclaim responsibility for any injury to people or property resulting from any ideas, methods, instructions or products referred to in the content. |
© 2026 by the authors. Licensee MDPI, Basel, Switzerland. This article is an open access article distributed under the terms and conditions of the Creative Commons Attribution (CC BY) license.
Share and Cite
Neelawala, R.N.; Bommineni, V.; Gottapu, C.; Edison, L.K.; Gunathilaka, K.K.; Butcher, G.D.; Roberts, J.F.; Kariyawasam, S. Evaluating the Immunogenicity and Protective Efficacy of a Novel Vaccine Candidate Against Salmonella in Poultry. Vaccines 2026, 14, 68. https://doi.org/10.3390/vaccines14010068
Neelawala RN, Bommineni V, Gottapu C, Edison LK, Gunathilaka KK, Butcher GD, Roberts JF, Kariyawasam S. Evaluating the Immunogenicity and Protective Efficacy of a Novel Vaccine Candidate Against Salmonella in Poultry. Vaccines. 2026; 14(1):68. https://doi.org/10.3390/vaccines14010068
Chicago/Turabian StyleNeelawala, Roshen N., Varsha Bommineni, Chaitanya Gottapu, Lekshmi K. Edison, Krishni K. Gunathilaka, Gary D. Butcher, John F. Roberts, and Subhashinie Kariyawasam. 2026. "Evaluating the Immunogenicity and Protective Efficacy of a Novel Vaccine Candidate Against Salmonella in Poultry" Vaccines 14, no. 1: 68. https://doi.org/10.3390/vaccines14010068
APA StyleNeelawala, R. N., Bommineni, V., Gottapu, C., Edison, L. K., Gunathilaka, K. K., Butcher, G. D., Roberts, J. F., & Kariyawasam, S. (2026). Evaluating the Immunogenicity and Protective Efficacy of a Novel Vaccine Candidate Against Salmonella in Poultry. Vaccines, 14(1), 68. https://doi.org/10.3390/vaccines14010068

