Targeting Dendritic Cells with Virus-like Particles: Toward Safer and More Immunogenic Vaccines
Abstract
1. Introduction
2. Materials and Methods
2.1. Ethical Approval
2.2. Animals
2.3. Vaccination Schedule
2.4. Clinical Observations
2.5. Toxicology Studies
2.6. Hematological and Biochemical Analysis
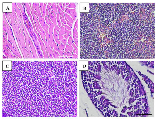
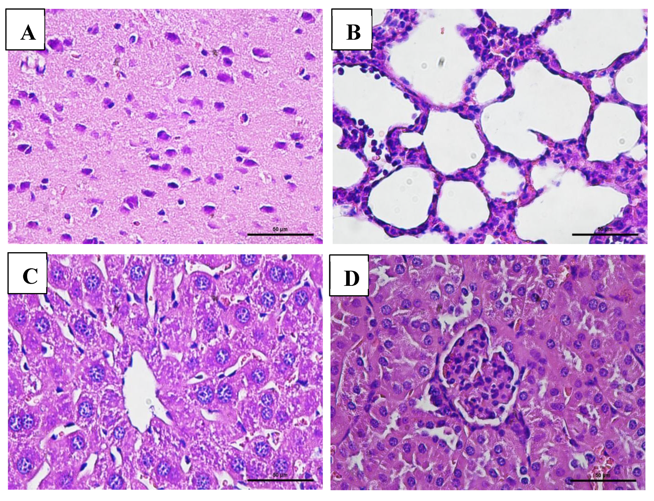
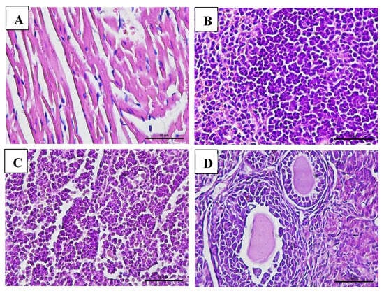
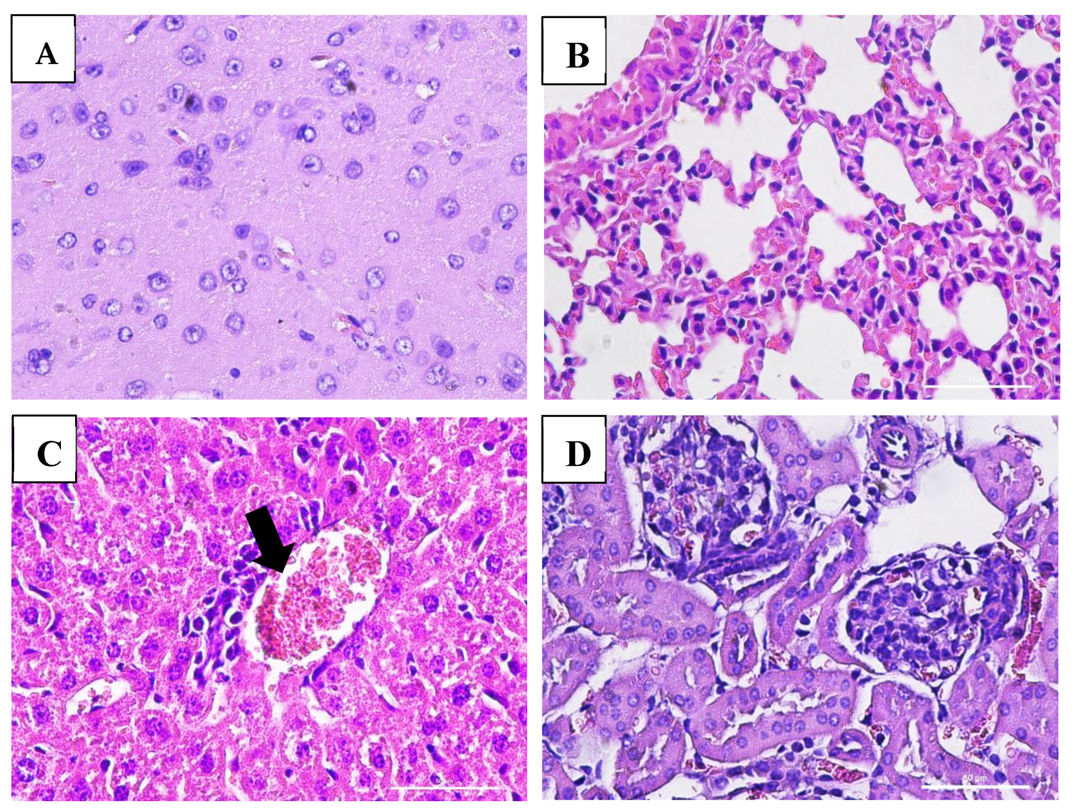
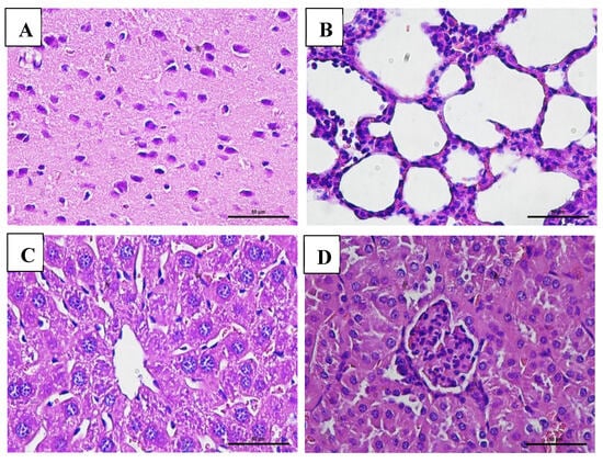
2.7. Histopathological Analysis
2.8. Statistical Analysis
3. Results
3.1. Body Temperature
3.2. Body Weight and Food Consumption
3.3. Clinical Observations
3.4. Hematological
3.5. Biochemical Analysis
3.6. Organ Weight
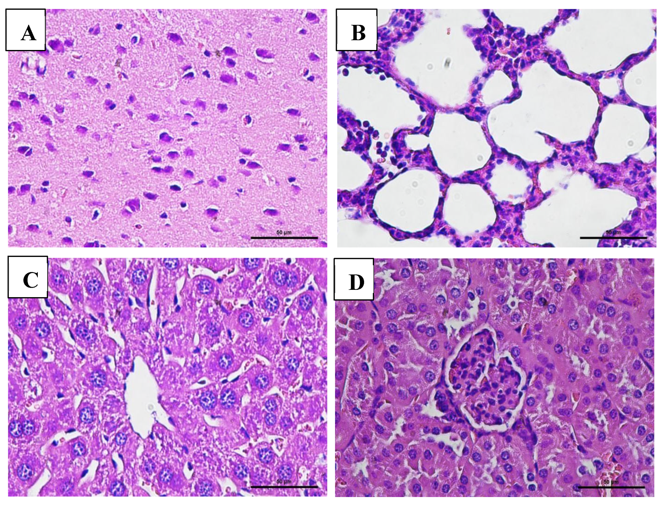
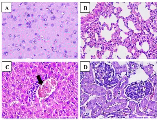
3.7. Effect of VLP Dengue Vaccine on Clinical Pathology and Histopathology Changes
4. Discussion
5. Conclusions
5.1. Limitations
5.2. Future Research
Supplementary Materials
Author Contributions
Funding
Institutional Review Board Statement
Informed Consent Statement
Data Availability Statement
Acknowledgments
Conflicts of Interest
Abbreviations
| DENV | Dengue Virus |
| VLP | Virus-Like Particle |
| ABSL-3 | Animal Biosafety Level-3 |
| BUN | Blood Urea Nitrogen |
| CBC | Complete Blood Count |
| SGPT | Serum Glutamic Pyruvic Transaminase |
| SGOT | Serum Glutamic Oxaloacetic Transaminase |
| AST | Aspartate Aminotransferase |
| ALT | Alanine Aminotransferase |
| Nab | Neutralizing Antibodies |
| ADE | Antibody-Dependent Enhancement |
| IACUC | Institutional Animal Care and Use Committee |
| WHO | World Health Organization |
| PBS | Phosphate-Buffered Saline |
References
- World Health Organization. Disease Outbreak News: Dengue—Global Situation. 2024. Available online: https://www.who.int/emergencies/disease-outbreak-news/item/2024-DON518 (accessed on 10 June 2025).
- Thoresen, D.; Matsuda, K.; Urakami, A.; Tun, M.M.N.; Nomura, T.; Moi, M.L.; Watanabe, Y.; Ishikawa, M.; Hau, T.T.T.; Yamamoto, H.; et al. A tetravalent dengue virus-like particle vaccine induces high levels of neutralizing antibodies and reduces dengue replication in non-human primates. J. Virol. 2024, 98, e0023924. [Google Scholar] [CrossRef]
- Guzman, M.G.; Harris, E. Dengue. Lancet 2015, 385, 453–465. [Google Scholar] [CrossRef]
- Simmons, C.P.; Farrar, J.J.; Nguyen, V.V.; Wills, B. Current Concepts: Dengue. N. Engl. J. Med. 2012, 366, 1423–1432. [Google Scholar] [CrossRef] [PubMed]
- Iwamura, T.; Guzman-Holst, A.; Murray, K.A. Accelerating invasion potential of disease vector Aedes aegypti under climate change. Nat. Commun. 2020, 11, 2130. [Google Scholar] [CrossRef]
- Wang, W.-H.; Urbina, A.N.; Lin, C.-Y.; Yang, Z.-S.; Assavalapsakul, W.; Thitithanyanont, A.; Lu, P.-L.; Chen, Y.-H.; Wang, S.-F. Targets and strategies for vaccine development against dengue viruses. Biomed. Pharmacother. 2021, 144, 112304. [Google Scholar] [CrossRef] [PubMed]
- Kularatne, S.A.; Dalugama, C. Dengue infection: Global importance, immunopathology and management. Clin. Med. 2022, 22, 9–13. [Google Scholar] [CrossRef]
- Aynekulu Mersha, D.G.; van der Sterren, I.; van Leeuwen, L.P.M.; Langerak, T.; Hakim, M.S.; Martina, B.; van Lelyveld, S.F.L.; van Gorp, E.C.M. The role of antibody dependent enhancement in dengue vaccination. Trop. Dis. Travel Med. Vaccines 2024, 10, 22. [Google Scholar] [CrossRef]
- Sridhar, S.; Luedtke, A.; Langevin, E.; Zhu, M.; Bonaparte, M.; Machabert, T.; Savarino, S.; Zambrano, B.; Moureau, A.; Khromava, A.; et al. Effect of Dengue Serostatus on Dengue Vaccine Safety and Efficacy. N. Engl. J. Med. 2018, 379, 327–340. [Google Scholar] [CrossRef]
- Tariq, H.; Batool, S.; Asif, S.; Ali, M.; Abbasi, B.H. Virus-Like Particles: Revolutionary Platforms for Developing Vaccines Against Emerging Infectious Diseases. Front. Microbiol. 2022, 12, 790121. [Google Scholar] [CrossRef]
- Urakami, A.; Ngwe Tun, M.M.; Moi, M.L.; Sakurai, A.; Ishikawa, M.; Kuno, S.; Ueno, R.; Morita, K.; Akahata, W. An Envelope-Modified Tetravalent Dengue Virus-Like-Particle Vaccine Has Implications for Flavivirus Vaccine Design. J. Virol. 2017, 91, 10–1128. [Google Scholar] [CrossRef] [PubMed]
- Tang, Y.-X.; Jiang, L.-F.; Zhou, J.-M.; Yin, Y.; Yang, X.-M.; Liu, W.-Q.; Fang, D.-Y. Induction of virus-neutralizing antibodies and T cell responses by dengue virus type 1 virus-like particles prepared from Pichia pastoris. Chin. Med. J. 2012, 125, 1986–1992. [Google Scholar] [PubMed]
- Zhang, S.; Liang, M.; Gu, W.; Li, C.; Miao, F.; Wang, X.; Jin, C.; Zhang, L.; Zhang, F.; Zhang, Q.; et al. Vaccination with dengue virus-like particles induces humoral and cellular immune responses in mice. Virol. J. 2011, 8, 333. [Google Scholar] [CrossRef]
- Ramasamy, V.; Arora, U.; Shukla, R.; Poddar, A.; Shanmugam, R.K.; White, L.J.; Mattocks, M.M.; Raut, R.; Perween, A.; Tyagi, P.; et al. A tetravalent virus-like particle vaccine designed to display domain III of dengue envelope proteins induces multi-serotype neutralizing antibodies in mice and macaques which confer protection against antibody dependent enhancement in AG129 mice. PLoS Neglected Trop. Dis. 2018, 12, e0006191. [Google Scholar] [CrossRef]
- Packialakshmi, B.; Burmeister, D.M.; Anderson, J.A.; Morgan, J.; Cannon, G.; Kiang, J.G.; Feng, Y.; Lee, S.; Stewart, I.J.; Zhou, X. A clinically-relevant mouse model that displays hemorrhage exacerbates tourniquet-induced acute kidney injury. Front. Physiol. 2023, 14, 1240352. [Google Scholar] [CrossRef]
- Momtazi-Borojeni, A.A.; Banach, M.; Tabatabaei, S.A.; Sahebkar, A. Preclinical toxicity assessment of a peptide-based antiPCSK9 vaccine in healthy mice. Biomed. Pharmacother. 2022, 158, 114170. [Google Scholar] [CrossRef]
- Utama, I.M.S.; Lukman, N.; Sukmawati, D.D.; Alisjahbana, B.; Alam, A.; Murniati, D.; Puspitasari, D.; Kosasih, H.; Laksono, I.; Karyana, M.; et al. Dengue viral infection in Indonesia: Epidemiology, diagnostic challenges, and mutations from an observational cohort study. PLoS Neglected Trop. Dis. 2019, 13, e0007785. [Google Scholar] [CrossRef]
- National Institutes of Health. Rigor and Reproducibility in NIH Applications: Resource Chart. 2024. Available online: https://grants.nih.gov/policy-and-compliance/policy-topics/reproducibility (accessed on 9 June 2025).
- Russell, L.N.; Hyatt, W.S.; Gannon, B.M.; Simecka, C.M.; Randolph, M.M.; Fantegrossi, W.E. Effects of Laboratory Housing Conditions on Core Temperature and Locomotor Activity in Mice. J. Am. Assoc. Lab Anim. Sci. 2021, 60, 272–280. [Google Scholar] [CrossRef] [PubMed]
- de Sousa Barbosa, B.; Praxedes, É.A.; Lima, M.A.; Pimentel, M.M.L.; Santos, F.A.; Brito, P.D.; Lelis, I.C.N.G.; de Macedo, M.F.; Bezerra, M.B. Haematological and Biochemical Profile of Balb-c Mice. Acta Sci. Vet. 2017, 45, 1477. [Google Scholar]
- Silva-Santana, G.; Bax, J.C.; Fernandes, D.C.S.; Bacellar, D.T.L.; Hooper, C.; Dias, A.A.S.O.; Silva, C.B.; de Souza, A.M.; Ramos, S.; Santos, R.A.; et al. Clinical hematological and biochemical parameters in Swiss, BALB/c, C57BL/6 and B6D2F1 Mus musculus. Anim. Model Exp. Med. 2020, 3, 304–315. [Google Scholar] [CrossRef]
- Nurrahman, N.; Mariyam, M. Status Hematologi, Kadar IgG dan IgA Tikus yang Mengonsumsi berbagai Variasi Jumlah Tempe Kedelai Hitam. Agritech 2019, 39, 215. [Google Scholar] [CrossRef]
- Sundayani, L.; Maswan, M.; Satmiko, F.S.; Hanafi, F. Analisis Jumlah Eritrosit pada Darah Hewan Coba Tikus Putih Jantan (Rattus novergicus) Strain Wistar sebelum dan setelah Pemberian Filtrat Tanaman Pakis Sayur (Diplazium esculentum). J. Kedokt. Univ. Islam Al-Azhar. Mataram. 2016, 1, 203–213. [Google Scholar]
- Widyastuti, D.A. Blood Profile of Wistar Rats due to Subcronic Condition Caused by Sodium Nitrite. J. Sain Vet. 2014, 31, 201–215. [Google Scholar] [CrossRef]
- Weiss, A.D.J.; Wardrop, K.J.; Schalm, O.W. Schalm’s Veterinary Hematology, 6th ed.; Wiley-Blackwell: Ames, IA, USA, 2010. [Google Scholar]
- Everds, N.E. Hematology of the Laboratory Mouse. In The Mouse in Biomedical Research History, Wild Mice, and Genetics, 2nd ed.; Academic Press: Cambridge, MA, USA, 2006; Volume 1–4, pp. 133–170. [Google Scholar]
- O’Connell, K.E.; Mikkola, A.M.; Stepanek, A.M.; Vernet, A.; Hall, C.D.; Sun, C.C.; Yildirim, E.; Staropoli, J.F.; Lee, J.T.; Brown, D.E. Practical murine hematopathology: A comparative review and implications for research. Comp. Med. 2015, 65, 96–113. [Google Scholar]
- Mus, S.; Maryam, F.; Utami, Y.P.; Fatimah, R. Uji Toksisitas Subkronis Ekstrak Etanol Daun Sembukan (Paederia foetida L.) dengan Parameter Kadar Kreatinin dan BUN pada Mencit (Mus musculus) Jantan. J. Mandala Pharmacon Indones. 2023, 9, 221–227. [Google Scholar] [CrossRef]
- Ahmed, B.M.; Ali, M.E.; Masud, M.M.; Azad, M.R.; Naznin, M. After-meal blood glucose level prediction for type-2 diabetic patients. Heliyon 2024, 10, e28855. [Google Scholar] [CrossRef]
- Saulahirwan, R.; Sinay, H.; Karuwal, R.L. Transaminase Enzyme and Liver Histopatological Structure of Mice Facing to Smoke Cigarettes After Administerred with Enhalus acoroides Peel Extract. Biosaintifika 2023, 15, 97–104. [Google Scholar] [CrossRef]
- Yadav, S.; Jangra, R.; Sharma, B.R.; Sharma, M. Current Advancement in Biosensing techniques for determination of Alanine aminotransferase and Aspartate aminotransferase-a Mini Review. Process Biochem. 2022, 114, 71–76. [Google Scholar] [CrossRef]
- Milo, L.M.A.O.; Widi, A.Y.; Tangkonda, E. Gambaran Histopatologi Sinus Infraorbitalis Dan Trakea Ayam Yang Menunjukkan Gejala Snot Pada Peternakan Ayam Di Kabupaten Kupang. J. Vet. Nusant. 2020, 3, 145–155. [Google Scholar]









| Hematology Indices | Gender | Control Group (Mean ± SD) | VLP Group (Mean ± SD) | p-Value |
|---|---|---|---|---|
| Hematocrit (%) | Male | 40.30 ± 1.06 | 39.98 ± 1.15 | 0.65 |
| Female | 39.95 ± 0.60 | 35.86 ± 8.56 | 0.32 | |
| Hb (g/dL) | Male | 12.40 ± 0.35 | 12.24 ± 0.29 | 0.45 |
| Female | 14.35 ± 0.67 | 12.12 ± 3.03 | 0.15 | |
| RBC (106/mm3) | Male | 8.51 ± 0.43 | 8.34 ± 0.26 | 0.47 |
| Female | 8.62 ± 0.27 | 8.07 ± 1.41 | 0.42 | |
| WBC/Leucocyte (103/mm3) | Male | 6.65 ± 1.67 | 6.67 ± 1.72 | 0.98 |
| Female | 14.55 ± 1.31 | 10.70 ± 6.43 | 0.23 | |
| Thrombocyte (103/mm3) | Male | 613.00 ± 3.54 | 655.00 ± 165.68 | 0.58 |
| Female | 545.50 ± 74.63 | 552.00 ± 103.73 | 0.91 |
| Hematology Indices | Gender | Control Group (Mean ± SD) | VLP Group (Mean ± SD) | p-Value |
|---|---|---|---|---|
| Hematocrit (%) | Male | 33.63 ± 3.01 | 31.20 ± 4.46 | 0.3 |
| Female | 37.43 ± 1.54 | 33.17 ± 5.23 | 0.12 | |
| Hb (g/dL) | Male | 10.83 ± 1.11 | 10.32 ± 1.21 | 0.5 |
| Female | 12.50 ± 0.75 | 11.20 ± 1.78 | 0.17 | |
| RBC (106/mm3) | Male | 7.76 ± 0.40 | 7.59 ± 0.61 | 0.6 |
| Female | 8.21 ± 0.31 | 8.22 ± 0.67 | 0.98 | |
| WBC/Leucocyte (103/mm3) | Male | 7.77 ± 2.73 | 10.56 ± 5.57 | 0.34 |
| Female | 7.13 ± 1.02 | 7.93 ± 0.60 | 0.17 | |
| Thrombocyte (103/mm3) | Male | 971.00 ± 294.77 | 889.67 ± 125.72 | 0.58 |
| Female | 527.33 ± 111.41 | 702.00 ± 175.17 | 0.1 |
| Biochemical Markers | Gender | Control Group (Mean ± SD) | VLP Group (Mean ± SD) | p-Value |
|---|---|---|---|---|
| Creatinine (mg/dL) | Male | 0.47 ± 0.04 | 0.41 ± 0.15 | 0.42 |
| Female | 0.46 ± 0.15 | 0.47 ± 0.15 | 0.87 | |
| BUN (mg/dL) | Male | 17.80 ± 0.85 | 17.73 ± 0.97 | 0.9 |
| Female | 17.10 ± 1.72 | 16.64 ± 0.83 | 0.6 | |
| Albumin/Globulin Ratio (g/dL) | Male | 2.05 ± 0.24 | 1.90 ± 0.37 | 0.47 |
| Female | 1.91 ± 0.24 | 2.08 ± 0.46 | 0.48 | |
| Albumin | Male | 3.30 ± 0.07 | 3.18 ± 0.30 | 0.41 |
| Female | 3.10 ± 0.14 | 3.04 ± 0.18 | 0.57 | |
| Globulin | Male | 1.67 ± 0.23 | 1.53 ± 0.24 | 0.37 |
| Female | 1.70 ± 0.29 | 1.51 ± 0.29 | 0.33 | |
| Total Protein (g/dL) | Male | 4.97 ± 0.30 | 4.91 ± 0.39 | 0.8 |
| Female | 4.80 ± 0.43 | 4.57 ± 0.33 | 0.37 | |
| Glucose (mg/dL) | Male | 232.50 ± 8.84 | 215.75 ± 49.67 | 0.48 |
| Female | 126.00 ± 36.77 | 127.80 ± 29.23 | 0.9 | |
| SGOT (U/L) | Male | 216.50 ± 27.22 | 203.75 ± 50.17 | 0.72 |
| Female | 262.50 ± 79.55 | 197.00 ± 30.12 | 0.12 | |
| SGPT (U/L) | Male | 52.50 ± 5.30 | 53.75 ± 20.12 | 0.63 |
| Female | 65.00 ± 3.54 | 53.00 ± 19.24 | 0.2 |
| Biochemical Markers | Gender | Control Group (Mean ± SD) | VLP Group (Mean ± SD) | p-Value |
|---|---|---|---|---|
| Creatinine (mg/dL) | Male | 0.42 ± 0.07 | 0.45 ± 0.11 | 0.9 |
| Female | 0.42 ± 0.08 | 0.43 ± 0.02 | 0.8 | |
| BUN (mg/dL) | Male | 19.30 ± 0.54 | 18.70 ± 1.86 | 0.5 |
| Female | 19.93 ± 0.54 | 20.83 ± 0.77 | 0.67 | |
| Albumin/Globulin Ratio (g/dL) | Male | 1.89 ± 0.36 | 1.88 ± 0.39 | 0.3 |
| Female | 1.74 ± 0.24 | 1.86 ± 0.02 | 0.3 | |
| Albumin | Male | 3.10 ± 0.07 | 2.99 ± 0.14 | 0.16 |
| Female | 2.97 ± 0.16 | 3.10 ± 0.19 | 0.27 | |
| Globulin | Male | 1.70 ± 0.25 | 1.92 ± 0.16 | 0.14 |
| Female | 1.73 ± 0.16 | 1.67 ± 0.11 | 0.49 | |
| Total Protein (g/dL) | Male | 4.81 ± 0.18 | 4.92 ± 0.17 | 0.34 |
| Female | 4.67 ± 0.01 | 4.76 ± 0.28 | 0.5 | |
| Glucose (mg/dL) | Male | 297.33 ± 44.66 | 282.67 ± 44.18 | 0.61 |
| Female | 263.67 ± 11.58 | 271.33 ± 14.51 | 0.38 | |
| SGOT (U/L) | Male | 242.00 ± 51.40 | 202.00 ± 14.56 | 0.13 |
| Female | 261.33 ± 41.21 | 248.00 ± 37.52 | 0.6 | |
| SGPT (U/L) | Male | 40.67 ± 7.79 | 49.33 ± 4.55 | 0.06 |
| Female | 96.00 ± 34.32 | 93.33 ± 49.40 | 0.9 |
Disclaimer/Publisher’s Note: The statements, opinions and data contained in all publications are solely those of the individual author(s) and contributor(s) and not of MDPI and/or the editor(s). MDPI and/or the editor(s) disclaim responsibility for any injury to people or property resulting from any ideas, methods, instructions or products referred to in the content. |
© 2025 by the authors. Licensee MDPI, Basel, Switzerland. This article is an open access article distributed under the terms and conditions of the Creative Commons Attribution (CC BY) license (https://creativecommons.org/licenses/by/4.0/).
Share and Cite
Jonny, J.; Nidom, C.A.; Putranto, T.A.; Wirjopranoto, S.; Sudiana, I.K.; Pratiwi, E.D.; Mawaddah, T.W.; Nidom, A.N.; Nidom, R.V.; Indrasari, S.; et al. Targeting Dendritic Cells with Virus-like Particles: Toward Safer and More Immunogenic Vaccines. Vaccines 2025, 13, 1142. https://doi.org/10.3390/vaccines13111142
Jonny J, Nidom CA, Putranto TA, Wirjopranoto S, Sudiana IK, Pratiwi ED, Mawaddah TW, Nidom AN, Nidom RV, Indrasari S, et al. Targeting Dendritic Cells with Virus-like Particles: Toward Safer and More Immunogenic Vaccines. Vaccines. 2025; 13(11):1142. https://doi.org/10.3390/vaccines13111142
Chicago/Turabian StyleJonny, Jonny, Chairul A. Nidom, Terawan A. Putranto, Soetojo Wirjopranoto, I Ketut Sudiana, Elisa D. Pratiwi, Tiza W. Mawaddah, Astria N. Nidom, Reviany V. Nidom, Setyarina Indrasari, and et al. 2025. "Targeting Dendritic Cells with Virus-like Particles: Toward Safer and More Immunogenic Vaccines" Vaccines 13, no. 11: 1142. https://doi.org/10.3390/vaccines13111142
APA StyleJonny, J., Nidom, C. A., Putranto, T. A., Wirjopranoto, S., Sudiana, I. K., Pratiwi, E. D., Mawaddah, T. W., Nidom, A. N., Nidom, R. V., Indrasari, S., Rosytania, I. Y., & Larasati, A. D. (2025). Targeting Dendritic Cells with Virus-like Particles: Toward Safer and More Immunogenic Vaccines. Vaccines, 13(11), 1142. https://doi.org/10.3390/vaccines13111142

