A Plant-Derived Maternal Vaccine against Porcine Epidemic Diarrhea Protects Piglets through Maternally Derived Immunity
Abstract
1. Introduction
2. Materials and Methods
2.1. Generating Plasmid
2.2. Production of NBH1:PEDV S1:pFc2
2.3. Size-Exclusion Chromatography
2.4. Endoglycosidase H Treatment Assay
2.5. Vaccine Preparation
2.6. Experimental Design
2.7. Sample Collection
2.8. Fecal Viral Antigen Detection
2.9. Serological Analysis: Virus Neutralizing (VN) Antibody and Antibody ELISA Titers
2.10. Histopathological Analysis
2.11. Immunohistochemistry (IHC) Analysis
2.12. Statistical Analysis
3. Results
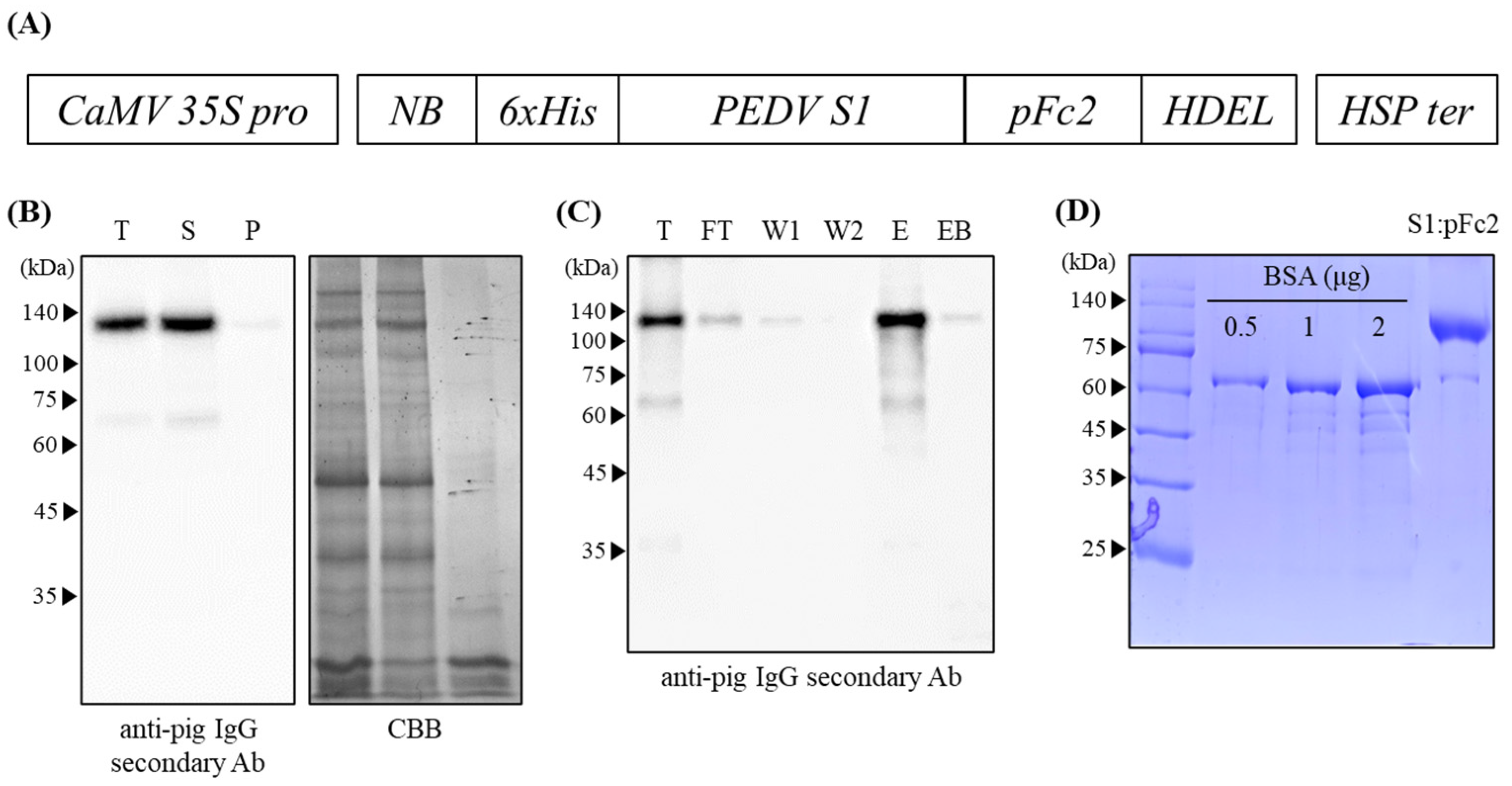
3.1. Expression and Purification of NBH1:PEDV S1:pFc2 from N. benthamiana
3.2. Trimeric Structure Characterization and Glycosylation Analysis
3.3. Sow Immunogenicity: VNT in Serum and Colostrum, Antibody ELISA Titer
3.4. Fecal Viral Shedding Detection Rate and Mortality
3.5. Histopathological and Immunohistochemical Analyses
4. Discussion
Author Contributions
Funding
Institutional Review Board Statement
Informed Consent Statement
Data Availability Statement
Conflicts of Interest
References
- Jung, K.; Saif, L.J.; Wang, Q. Porcine epidemic diarrhea virus (PEDV): An update on etiology, transmission, pathogenesis, and prevention and control. Virus Res. 2020, 286, 198045. [Google Scholar] [CrossRef]
- Wood, E.N. An apparently new syndrome of porcine epidemic diarrhoea. Vet. Rec. 1977, 100, 243–244. [Google Scholar] [CrossRef] [PubMed]
- Pensaert, M.B.; de Bouck, P. A new coronavirus-like particle associated with diarrhea in swine. Arch. Virol. 1978, 58, 243–247. [Google Scholar] [CrossRef] [PubMed]
- Cima, G. Fighting a deadly pig disease. Industry, veterinarians trying to contain PED virus, new to the US. J. Am. Vet. Med. Assoc. 2013, 243, 467–470. [Google Scholar]
- Jung, K.; Saif, L.J. Porcine epidemic diarrhea virus infection: Etiology, epidemiology, pathogenesis and immunoprophylaxis. Vet. J. 2015, 204, 134–143. [Google Scholar] [CrossRef]
- Makadiya, N.; Brownile, R.; van den Hurk, J.; Berube, N.; Allan, B.; Gerdts, V.; Zakhartchouk, A. S1 domain of the porcine epidemic diarrhea virus spike protein as a vaccine antigen. Virol. J. 2016, 13, 57. [Google Scholar] [CrossRef]
- Saif, L.J.; Pensaert, M.B.; Sestak, K.; Yeo, S.G.; Jung, K. Coronaviruses. In Diseases of Swine, 10th ed.; Zimmerman, J.J., Karriker, L.A., Ramirez, A., Schwartz, K.J., Stevenson, G.W., Eds.; John Wiley & Sons: Ames, IA, USA, 2012; pp. 501–524. ISBN 978-0-8138-2267-9. [Google Scholar]
- Chang, S.H.; Bae, J.L.; Kang, T.J.; Kim, J.; Chung, G.H.; Lim, C.W.; Laude, H.; Yang, M.S.; Jang, Y.S. Identification of the epitope region capable of inducing neutralizing antibodies against the porcine epidemic diarrhea virus. Mol. Cells 2002, 14, 295–299. [Google Scholar]
- Gallagher, T.M.; Buchmeier, M.J. Coronavirus spike proteins in viral entry and pathogenesis. Virology 2001, 279, 371–374. [Google Scholar] [CrossRef]
- Walls, A.C.; Tortorici, M.A.; Bosch, B.J.; Frenz, B.; Rottier, P.J.M.; DiMaio, F.; Rey, F.A.; Veesler, D. Cryoelectron microscopy structure of a coronavirus spike glycoprotein trimer. Nature 2016, 531, 114–117. [Google Scholar] [CrossRef]
- Bohl, E.H.; Saif, L.J. Passive immunity in transmissible gastroenteritis of swine: Immunoglobulin characteristics of antibodies in milk after inoculating virus by different routes. Infect. Immun. 1975, 11, 23–32. [Google Scholar] [CrossRef]
- Langel, S.N.; Wang, Q.; Vlasova, A.N.; Saif, L.J. Host factors affecting generation of immunity against porcine epidemic diarrhea virus in pregnant and lactating swine and passive protection of neonates. Pathogens 2020, 9, 130. [Google Scholar] [CrossRef] [PubMed]
- Gerdts, V.; Zakhartchouk, A. Vaccine for porcine epidemic diarrhea virus and other swine coronaviruses. Vet. Microbiol. 2017, 206, 45–51. [Google Scholar] [CrossRef] [PubMed]
- Topp, E.; Irwin, R.; McAllister, R.; Lessard, M.; Joensuu, J.J.; Kolotilin, I.; Conrad, U.; Steoger, E.; Mor, T.; Warzecha, H.; et al. The case for plantmade veterinary immunotherapeutics. Biotechnol. Adv. 2016, 34, 597–604. [Google Scholar] [CrossRef] [PubMed]
- Kang, T.H.; Jung, S.T. Boosting therapeutic potency of antibodies by taming Fc domain functions. Exp. Mol. Med. 2019, 51, 138. [Google Scholar] [CrossRef] [PubMed]
- Kim, H.; Kwon, K.W.; Park, J.; Kang, H.; Lee, Y.; Sohn, E.J.; Hwang, I.; Eum, S.Y.; Shin, S.J. Plant-produced N-glycosylated Ag85A exhibits enhanced vaccine efficacy against Mycobacterium tuberculosis HN878 through balanced multifunctional Th1 T cell immunity. Vaccines 2020, 8, 189. [Google Scholar] [CrossRef] [PubMed]
- Marillonnet, S.; Thoeringer, C.; Kandzia, R.; Klimyuk, V.; Gleba, Y. Systemic Agrobacterium tumefaciens–mediated transfection of viral replicons for efficient transient expression in plants. Nat. Biotechnol. 2005, 23, 718–723. [Google Scholar] [CrossRef]
- Lee, S.H.; Yang, D.K.; Kim, H.H.; Cho, I.S. Efficacy of inactivated variant porcine epidemic diarrhea virus vaccines in growing pigs. Clin. Exp. Vac. Res. 2018, 7, 61–69. [Google Scholar] [CrossRef]
- Qian, S.; Zhang, W.; Jia, X.; Sun, Z.; Zhang, Y.; Xiao, Y.; Li, Z. Isolation and identification of porcine epidemic diarrhea virus and its effect on host natural immune response. Front. Microbiol. 2019, 10, 2272. [Google Scholar] [CrossRef]
- Jung, K. Immunohistochemical staining for detection of porcine epidemic diarrhea virus in tissues. In Animal Coronaviruses, 1st ed.; Wang, L., Ed.; Humana Press: New York, NY, USA, 2016; pp. 15–24. ISBN 978-1-4939-3414-0. [Google Scholar]
- Levin, D.; Golding, B.; Strome, S.E.; Sauna, Z.E. Fc fusion as a platform technology: Potential for modulating immunogenicity. Trends Biotechnol. 2015, 33, 27–43. [Google Scholar] [CrossRef]
- Oh, J.; Lee, K.W.; Choi, H.W.; Lee, C. Immunogenicity and protective efficacy of recombinant S1 domain of the porcine epidemic diarrhea virus spike protein. Arch. Virol. 2014, 159, 2977–2987. [Google Scholar] [CrossRef]
- Zhao, Z.; Li, Z.; Zeng, X.; Zhang, G.; Niu, J.; Sun, B.; Ma, J. Sequence analysis of the spike gene of porcine epidemic diarrhea virus isolated from South China during 2011–2015. J. Vet. Sci. 2017, 18, 237–243. [Google Scholar] [CrossRef] [PubMed]
- Vollmers, H.P.; Brandlein, S. Natural IgM antibodies: The orphaned molecules in immune surveillance. Adv. Drug. Deliv. Rev. 2006, 58, 755–765. [Google Scholar] [CrossRef] [PubMed]
- Li, C.; Li, W.; de Esesarte, E.L.; Guo, H.; van den Elzen, P.; Aarts, E.; van den Born, E.; Rottier, P.J.M.; Bosch, B.J. Cell attachment domains of the porcine epidemic diarrhea virus spike protein are key targets of neutralizing antibodies. J. Virol. 2017, 91, e00273-17. [Google Scholar] [CrossRef]
- Tripathi, N.K.; Shrivastava, A. Recent developments in bioprocessing of recombinant protein: Expression hosts and process development. Front. Bioeng. Biotechnol. 2019, 7, 420. [Google Scholar] [CrossRef] [PubMed]
- Ho, T.T.; Nguyen, G.T.; Pham, N.B.; Le, V.P.; Trinh, T.B.N.; Vu, T.H.; Phan, H.T.; Conrad, U.; Chu, H.H. Plant-derived trimeric CO-26K-equivalent epitope induced neutralizing antibodies against porcine epidemic diarrhea virus. Front. Immunol. 2020, 11, 2152. [Google Scholar] [CrossRef]
- Thavorasak, T.; Chulanetra, M.; Glab-ampai, K.; Teeranitayatarn, K.; Songserm, T.; Yodsheewan, R.; Sae-lim, N.; Lekcharoensuk, P.; Sookrung, N.; Chaicumpa, W. Novel Neutralizing Epitope of PEDV S1 Protein Identified by IgM Monoclonal Antibody. Viruses 2022, 14, 125. [Google Scholar] [CrossRef]
- Tien, N.Q.D.; Yang, M.S.; Jang, Y.S.; Kwon, T.H.; Reljic, R.; Kim, M.Y. Systemic and oral immunogenicity of porcine epidemic diarrhea virus antigen fused to poly-Fc of immunoglobulin G and expressed in ΔXT/FT Nicotiana benthamiana plants. Front. Pharmacol. 2021, 12, 653064. [Google Scholar] [CrossRef]






| 1. Histopathological Classification | 2. Scoring System | ||||
|---|---|---|---|---|---|
| 0 | 1 | 2 | 3 | 4 | |
| Villous atrophy | Normal, villus height to crypt depth ratio at least 3:1 | Mild villus atrophy; villous height to crypt ratio less than 3:1 | Moderate villus atrophy; villous to crypt ratio 1:1 to 2:1 | Severe villus atrophy; villous height to crypt depth ratio less than 1:1 without villi or crypt damage | Severe villus atrophy; villous height to crypt depth ratio less than 1:1 with villi and crypt loss |
| Villous epithelial vacuolation | Absent | Vacuolation in <25% of villus epithelium | Vacuolation in 25% to 50% of villus epithelium | Vacuolation in >50% of villus epithelium | Necrotic villus epithelium with or without crypt loss |
| Necrotic cells | None to minimal necrotic cells (<10%) | Minimal necrotic cells (<25%) | Moderate necrotic cells (25% to 50%) | Marked necrotic cells (>50%) | |
| Hyperemia in lamina propria | None to minimal hyperemia (<10%) | Minimal hyperemia (<25%) | Moderate hyperemia (25% to 50%) | Marked hyperemia (>50%) | |
| Days Post Challenge | ||||||||||
|---|---|---|---|---|---|---|---|---|---|---|
| 0 | 1 | 2 | 3 | 4 | 5 | 7 | 9 | 12 | 15 | |
| Viral shedding | ||||||||||
| V-SOW-P | 0/24 † | 15/24 | 23/23 | 22/22 | 18/20 | 9/19 | 7/19 | 3/19 | 0/19 | 0/19 |
| Positive rate | 0% | 63% | 100% | 100% | 90% | 47% * | 37% * | 16% * | 0% * | 0% * |
| NV-SOW-P | 0/24 | 17/24 | 21/23 | 18/18 | 18/18 | 14/14 | 10/13 | 8/12 | 8/12 | 2/12 |
| Positive rate | 0% | 71% | 100% | 100% | 100% | 100% | 77% | 67% | 67% | 17% |
| Mortality | ||||||||||
| V-SOW-P | 0 | 0 | 1 | 1 | 2 | 1 | 0 | 0 | 0 | 0 |
| Total mortality rate: 19/24 (20%) * | ||||||||||
| NV-SOW-P | 0 | 0 | 1 | 5 | 0 | 4 | 1 | 1 | 0 | 0 |
| Total mortality rate: 12/24 (50%) | ||||||||||
| Group | Mean VH (µm) ± SD | Mean CD (µm) ± SD | VH:CD, Mean ± SD |
|---|---|---|---|
| V-SOW-P | 116.54 ± 44.05 * | 153.28 ± 27.62 * | 0.81 ± 0.38 * |
| NV-SOW-P | 71.56 ± 38.12 | 140.25 ± 51.18 | 0.50 ± 0.23 |
Disclaimer/Publisher’s Note: The statements, opinions and data contained in all publications are solely those of the individual author(s) and contributor(s) and not of MDPI and/or the editor(s). MDPI and/or the editor(s) disclaim responsibility for any injury to people or property resulting from any ideas, methods, instructions or products referred to in the content. |
© 2023 by the authors. Licensee MDPI, Basel, Switzerland. This article is an open access article distributed under the terms and conditions of the Creative Commons Attribution (CC BY) license (https://creativecommons.org/licenses/by/4.0/).
Share and Cite
Sohn, E.-J.; Kang, H.; Min, K.; Park, M.; Kim, J.-H.; Seo, H.-W.; Lee, S.-J.; Kim, H.; Tark, D.; Cho, H.-S.; et al. A Plant-Derived Maternal Vaccine against Porcine Epidemic Diarrhea Protects Piglets through Maternally Derived Immunity. Vaccines 2023, 11, 965. https://doi.org/10.3390/vaccines11050965
Sohn E-J, Kang H, Min K, Park M, Kim J-H, Seo H-W, Lee S-J, Kim H, Tark D, Cho H-S, et al. A Plant-Derived Maternal Vaccine against Porcine Epidemic Diarrhea Protects Piglets through Maternally Derived Immunity. Vaccines. 2023; 11(5):965. https://doi.org/10.3390/vaccines11050965
Chicago/Turabian StyleSohn, Eun-Ju, Hyangju Kang, Kyungmin Min, Minhee Park, Ju-Hun Kim, Hwi-Won Seo, Sang-Joon Lee, Heeyeon Kim, Dongseob Tark, Ho-Seong Cho, and et al. 2023. "A Plant-Derived Maternal Vaccine against Porcine Epidemic Diarrhea Protects Piglets through Maternally Derived Immunity" Vaccines 11, no. 5: 965. https://doi.org/10.3390/vaccines11050965
APA StyleSohn, E.-J., Kang, H., Min, K., Park, M., Kim, J.-H., Seo, H.-W., Lee, S.-J., Kim, H., Tark, D., Cho, H.-S., Choi, B.-H., & Oh, Y. (2023). A Plant-Derived Maternal Vaccine against Porcine Epidemic Diarrhea Protects Piglets through Maternally Derived Immunity. Vaccines, 11(5), 965. https://doi.org/10.3390/vaccines11050965

