Aseptic Meningitis, Mucocutaneous Lesions and Arthritis after COVID-19 Vaccination in a 15-Year-Old Boy
Abstract
:1. Introduction
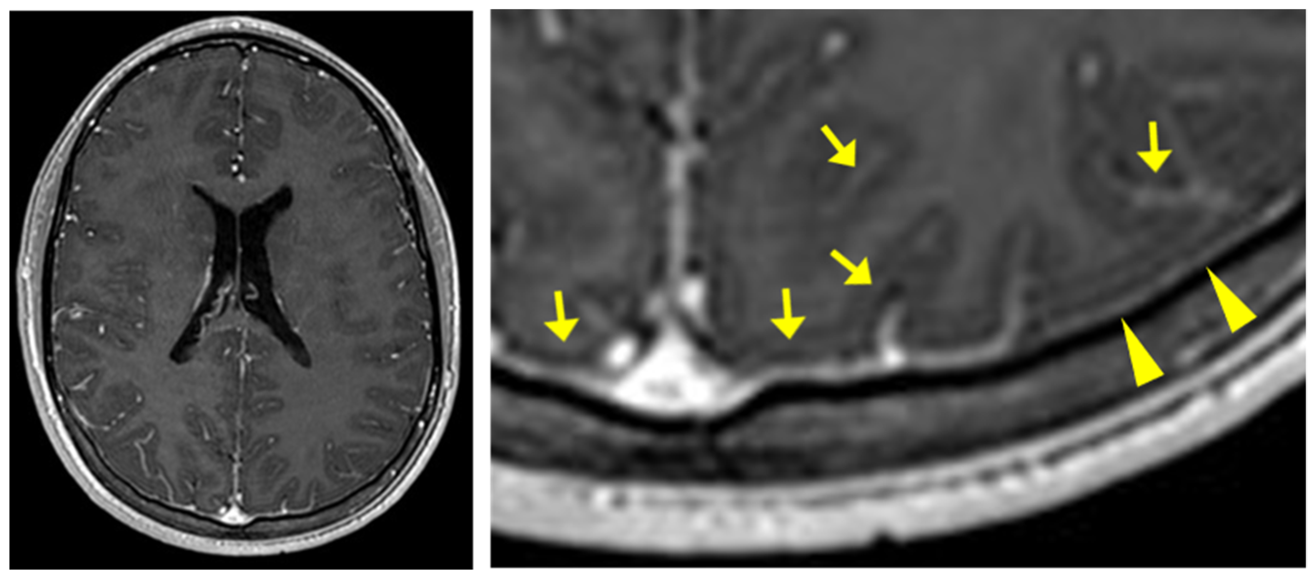
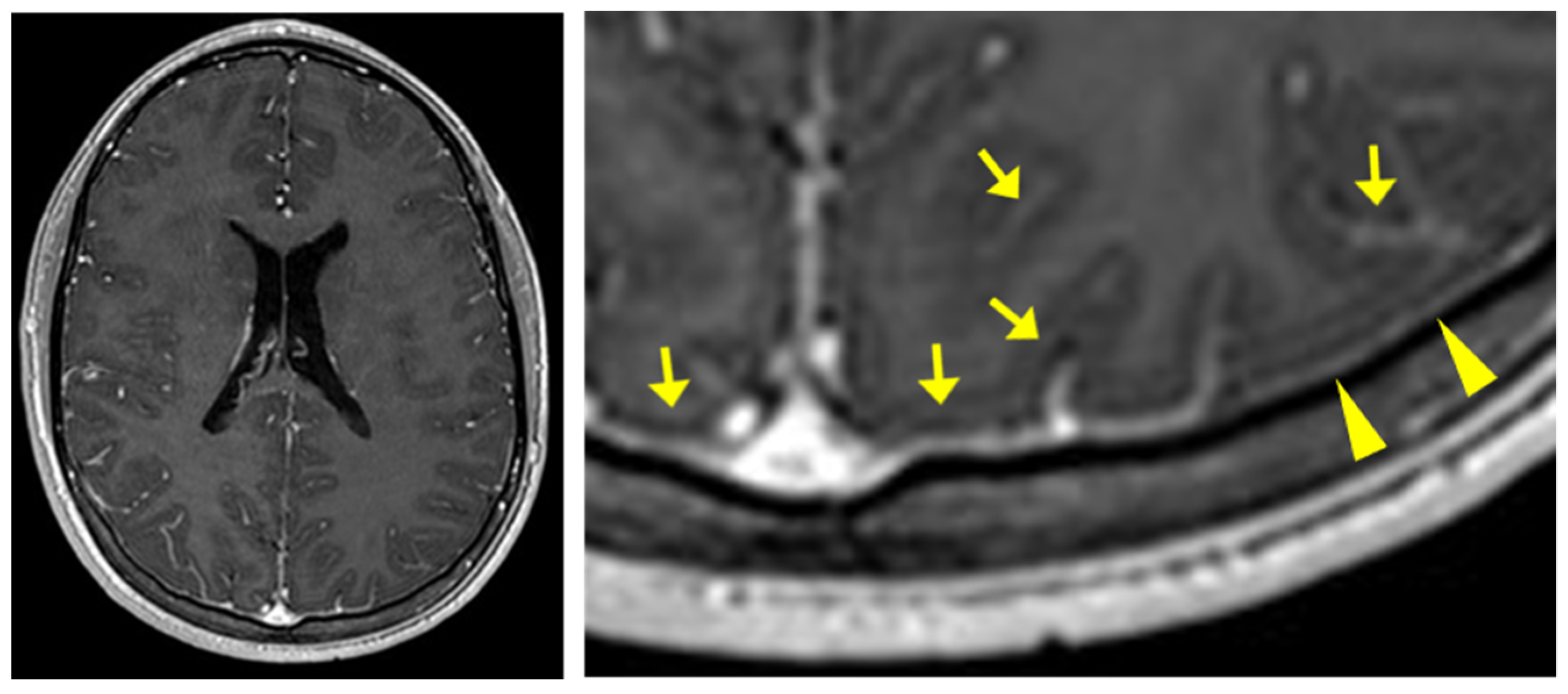
2. Case Report
3. Discussion
4. Conclusions
Author Contributions
Funding
Institutional Review Board Statement
Informed Consent Statement
Data Availability Statement
Conflicts of Interest
References
- Finsterer, J. Neurological side effects of SARS-CoV-2 vaccinations. Acta Neurol. Scand. 2021, 145, 5–9. [Google Scholar] [CrossRef]
- Patone, M.; Handunnetthi, L.; Saatci, D.; Pan, J.; Katikireddi, S.V.; Razvi, S.; Hunt, D.; Mei, X.W.; Dixon, S.; Zaccardi, F.; et al. Neurological complications after first dose of COVID-19 vaccines and SARS-CoV-2 infection. Nat. Med. 2021, 27, 2144–2153. [Google Scholar] [CrossRef] [PubMed]
- Dupon, V.; Arnaert, S.; Van Haute, E.; Vulsteke, F.; Diet, G.; De Schoenmakere, G. Aseptic meningitis after SARS-CoV-2 Pfizer/BioNTech vaccination. Acta Clin. Belg. 2021, 11, 1–4. [Google Scholar] [CrossRef] [PubMed]
- Lee, J.K. Aseptic Meningitis Following the Second Dose of Comirnaty Vaccination in an Adolescent Patient. Pediatr. Infect. Dis. J. 2021, 41, 172–174. [Google Scholar] [CrossRef]
- Carneiro, D.R.; Matos, A.; Morgadinho, A.S. Steroid-responsive aseptic meningitis after BNT162b2 SARS-CoV-2 vaccine. Rev. Neurol. 2021, 178, 160–161. [Google Scholar] [CrossRef]
- Saito, K.; Shimizu, T.; Suzuki-Inoue, K.; Ishida, T.; Wada, Y. Aseptic meningitis after vaccination of the BNT162b2 mRNA COVID-19 vaccine. Neurol. Sci. 2021, 42, 4433–4435. [Google Scholar] [CrossRef] [PubMed]
- Tagini, F.; Carrel, L.; Fallet, B.; Gachoud, D.; Ribi, C.; Monti, M. Behçet’s-like adverse event or inaugural Behçet’s disease after SARS-CoV-2 mRNA-1273 vaccination? Rheumatology 2021. [Google Scholar] [CrossRef] [PubMed]
- United States Department of Health and Human Services (HHS); Centers for Disease Control (CDC); Food and Drug Administration (FDA). Vaccine Adverse Event Report (VAERS)/CDC WONDER Online Database. Available online: http://wonder.cdc.gov/vaers.html (accessed on 18 December 2021).
- Barkana, Y.; Levin, N.; Goldhammer, Y.; Steiner, I. Chronic Intracranial Hypertension with Unexplained Cerebrospinal Fluid Pleocytosis. J. Neuro-Ophthalmol. 2004, 24, 106–108. [Google Scholar] [CrossRef] [PubMed]
- International Team for the Revision of the International Criteria for Behçet’s Disease (ITR-ICBD); Davatchi, F.; Assaad-Khalil, S.; Calamia, K.; Crook, J.; Sadeghi-Abdollahi, B.; Schirmer, M.; Tzellos, T.; Zouboulis, C.; Akhlagi, M.; et al. The International Criteria for Behçet’s Disease (ICBD): A collaborative study of 27 countries on the sensitivity and specificity of the new criteria. J. Eur. Acad. Dermatol. Venereol. 2013, 28, 338–347. [Google Scholar] [CrossRef]
- Criteria for diagnosis of Behcet’s disease. International Study Group for Behçet’s Disease. Lancet 1990, 335, 1078–1080. [Google Scholar] [CrossRef]
- Maldini, C.; LaValley, M.P.; Cheminant, M.; de Menthon, M.; Mahr, A. Relationships of HLA-B51 or B5 genotype with Behçet’s disease clinical characteristics: Systematic review and meta-analyses of observational studies. Rheumatology 2012, 51, 887–900. [Google Scholar] [CrossRef] [PubMed] [Green Version]
- Riad, A.; Pokorná, A.; Attia, S.; Klugarová, J.; Koščík, M.; Klugar, M. Prevalence of COVID-19 Vaccine Side Effects among Healthcare Workers in the Czech Republic. J. Clin. Med. 2021, 10, 1428. [Google Scholar] [CrossRef] [PubMed]
- Drucker, A.; Corrao, K.; Gandy, M. Vulvar Aphthous Ulcer Following Pfizer-BioNTech COVID-19 Vaccine—A Case Report. J. Pediatr. Adolesc. Gynecol. 2021; in press. [Google Scholar] [CrossRef] [PubMed]
- Wojcicki, A.V.; O’Brien, K.L.O. Vulvar Aphthous Ulcer in an Adolescent After Pfizer-BioNTech (BNT162b2) COVID-19 Vaccination. J. Pediatr. Adolesc. Gynecol. 2021; in press. [Google Scholar] [CrossRef] [PubMed]
- Popatia, S.; Chiu, Y.E. Vulvar aphthous ulcer after COVID-19 vaccination. Pediatr. Dermatol. 2021, 39, 153–154. [Google Scholar] [CrossRef] [PubMed]
- Watad, A.; De Marco, G.; Mahajna, H.; Druyan, A.; Eltity, M.; Hijazi, N.; Haddad, A.; Elias, M.; Zisman, D.; Naffaa, M.; et al. Immune-Mediated Disease Flares or New-Onset Disease in 27 Subjects Following mRNA/DNA SARS-CoV-2 Vaccination. Vaccines 2021, 9, 435. [Google Scholar] [CrossRef] [PubMed]


| Saito et al. | Lee | Reis Carneiro et al. | Tagini et al. | Dupon et al. | Current Case | |
|---|---|---|---|---|---|---|
| Age/sex | 42 y/female | 18 y/male | 62 y/female | late 20s/female | 34 y/female | 15 y/male |
| Vaccine | BNT162b2 | BNT162b2 | BNT162b2 | mRNA-1273 | BNT162b2 | BNT162b2 |
| Onset of symptoms # | 7 days | 3 weeks | 1 day | 1–2 weeks | 6–8 h | 10 days |
| Vaccine dose | 1st | 2nd | 1st | 2nd | 2nd | 2nd |
| Preexisting conditions | migraine | - | dyslipidemia, anxiety | polycystic ovary syndrome | - | knee surgery 1 month ago |
| Accompanying Symptoms | - | - | - | oral and genital aphthous ulcers, pseudofolliculitis, intracranial hypertension | joint pain in wrists, ankles and knees, petechiae on lower extremities | oral aphthous ulcers, pustular skin lesion, erythema nodosum-like lesions, joint effusion, vitreous floaters |
| C-reactive protein | 9.85 mg/dL | 0.74 mg/dL | n.r. | 10.9 mg/dL | 16.9 mg/dL | 5.34 mg/dL |
| CSF pleocytosis | 176/µL (64.1% mononuclear, 34.8% granular) | 115/µL (99.1% mononuclear) | 1st LP: 101/µL 2nd LP: 301/µL (100% lymphocytes) | 27/µL (98% lymphocytes, 2% monocytes) | 188/µL (lymphocytic pattern) | 242/µL (55% mononuclear, 45% granular) |
| CSF protein level | 35.7 mg/dL (ref. 0–45) | 67.2 mg/dL (ref. 20–45) | 1st LP: 154 (ref. 15–40) 2nd LP: 208 (ref. 15–40) | 55.1 mg/dL (ref. 15–45) | n.r. | 69.4 mg/dL (ref. 15–40) |
| CSF/serum Ig-indices | IgG normal (IgA and IgM n.r.) | n.r. | n.r. | n.r. | n.r. | IgA and IgM elevated IgG normal |
| cMRI | normal | subtle leptomeningeal enhancement | normal | intracranial hypertension | normal | subtle leptomeningeal enhancement |
| Immunusuppressive treatment | methylprednisolone | no | dexamethasone | colchicine, prednisone, (after 1.5 months AZA) | methylprednisolone | no |
| Recovery | complete | complete | complete | incomplete, persistent intracranial hypertension, retinitis after 1.5 months | complete | complete |
Publisher’s Note: MDPI stays neutral with regard to jurisdictional claims in published maps and institutional affiliations. |
© 2022 by the authors. Licensee MDPI, Basel, Switzerland. This article is an open access article distributed under the terms and conditions of the Creative Commons Attribution (CC BY) license (https://creativecommons.org/licenses/by/4.0/).
Share and Cite
Bogs, T.; Saleh, N.; Yavuz, S.T.; Fazeli, W.; Ganschow, R.; Schreiner, F. Aseptic Meningitis, Mucocutaneous Lesions and Arthritis after COVID-19 Vaccination in a 15-Year-Old Boy. Vaccines 2022, 10, 325. https://doi.org/10.3390/vaccines10020325
Bogs T, Saleh N, Yavuz ST, Fazeli W, Ganschow R, Schreiner F. Aseptic Meningitis, Mucocutaneous Lesions and Arthritis after COVID-19 Vaccination in a 15-Year-Old Boy. Vaccines. 2022; 10(2):325. https://doi.org/10.3390/vaccines10020325
Chicago/Turabian StyleBogs, Thomas, Nadia Saleh, Suleyman Tolga Yavuz, Walid Fazeli, Rainer Ganschow, and Felix Schreiner. 2022. "Aseptic Meningitis, Mucocutaneous Lesions and Arthritis after COVID-19 Vaccination in a 15-Year-Old Boy" Vaccines 10, no. 2: 325. https://doi.org/10.3390/vaccines10020325
APA StyleBogs, T., Saleh, N., Yavuz, S. T., Fazeli, W., Ganschow, R., & Schreiner, F. (2022). Aseptic Meningitis, Mucocutaneous Lesions and Arthritis after COVID-19 Vaccination in a 15-Year-Old Boy. Vaccines, 10(2), 325. https://doi.org/10.3390/vaccines10020325

