Cardioprotective Peptides from Dry-Cured Ham in Primary Endothelial Cells and Human Plasma: An Omics Approach
Abstract
1. Introduction
2. Materials and Methods
2.1. Isolation and Culture of Endothelial Cells
2.2. In Vitro Studies and Bioactive Compound Treatments
2.3. Western Blot
2.4. RNA Isolation and Quantitative PCR
2.5. RNA Sequencing and Analysis
2.6. Human Plasma Samples
2.7. Plasma Treatment and Protein Extraction
2.8. Liquid Chromatography in Reverse Phase Coupled to Mass Spectrometry (LC-MS)
2.9. Database Searching
2.10. Bioinformatics Analysis of Proteomics Data
2.11. Enzyme-Linked Immunosorbent Assay (ELISA)
2.12. Functional Enrichment Analysis
2.13. Statistical Analysis
3. Results
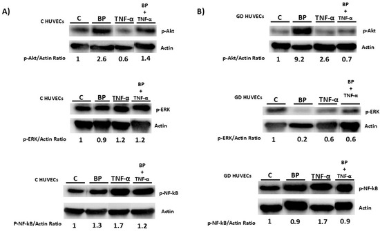
3.1. Impact of Bioactive Peptides and Hydroxytyrosol on Inflammatory and Oxidative Pathways in Healthy and Diabetic HUVECs
3.2. Differential Gene Expression Analysis Induced by BT and HT
3.3. Proteomic Analysis of Plasma Samples Following BP Consumption
3.4. Functional Enrichment Analysis of Proteomics Data
3.5. Analysis of Protein–Protein Interactions (PPIs) via STRING
4. Discussion
5. Conclusions
Supplementary Materials
Author Contributions
Funding
Institutional Review Board Statement
Informed Consent Statement
Data Availability Statement
Conflicts of Interest
Abbreviations
| ACE | Angiotensin-converting Enzyme. |
| AKT | Protein Kinase B. |
| APO | Apolipoprotein. |
| BP | Bioactive Peptides. |
| COL13A1 | Collagen Type XII Alpha Chain. |
| CV | Cardiovascular. |
| DGE | Differential Gene Expression. |
| DTT | Dithiothreitol. |
| EGF | Epidermal Growth Factor. |
| ELISA | Enzyme-Linked Immunosorbent Assay. |
| ERK | Extracellular Signal-Regulated Kinase. |
| FBS | Fetal Bovine Serum. |
| FPKM | Fragments Per Kilobase of Exon Per Million Mapped Fragments. |
| GADPH | Glyceraldehyde 3-phosphate Dehydrogenase. |
| GD | Gestational Diabetes. |
| GO | Gene Ontology. |
| HDL | High-density Lipoprotein. |
| HMG-CoAR | 3-hydroxy-3-methyl-glutaril-CoA Reductase. |
| HT | Hydroxytyrosol. |
| HUVECs | Human Umbilical Vein Endothelial Cells. |
| KEGG | Kyoto Encyclopedia of Genes and Genomes. |
| LC-MS | Liquid Chromatography/Mass Spectometry. |
| MAP3K12 | Mitogen-activated Protein Kinase 12. |
| MMP | Matrix Metalloproteinase. |
| MT-RNR1 | Mitochondrially Encoded 12S RNA. |
| NMDA | N-methyl-D-Aspartate. |
| PIK3C2A | Phosphatidylinositol-4-Phosphate-3-kinase. |
| PPIs | Protein–protein interactions. |
| q-PCR | Quantitative PCR. |
| ROS | Reactive Oxygen Species. |
| SDS-PAGE | Sodium Dodecyl Sulfate-polyacrylamide Gel Electrophoresis. |
| TNF-α | Tumour Necrosis Factor-α. |
| VCAM-1 | Vascular Cell Adhesion Molecule-1. |
References
- Martínez-Sánchez, S.M.; Gabaldón-Hernández, J.A.; Montoro-García, S. Unravelling the molecular mechanisms associated with the role of food-derived bioactive peptides in promoting cardiovascular health. J. Funct. Foods 2019, 64, 103645. [Google Scholar] [CrossRef]
- Pipino, C.; Bernabe-García, A.; Cappellacci, I.; Stelling-Ferez, J.; Di Tomo, P.; Santalucía, M.; Navalón, C.; Pandolfi, A.; Nicolás, F.J. Effect of the Human Amniotic Membrane on the Umbilical Vein Endothelial Cells of Gestational Diabetic Mothers: New Insight on Inflammation and Angiogenesis. Front. Bioeng. Biotechnol. 2022, 10, 854845. [Google Scholar] [CrossRef]
- Flores, A.I.; Pipino, C.; Jerman, U.D.; Liarte, S.; Gindraux, F.; Kreft, M.E.; Nicolás, F.J.; Pandolfi, A.; Tratnjek, L.; Giebel, B.; et al. Perinatal derivatives: How to best characterize their multimodal functions in vitro. Part C: Inflammation, angiogenesis, and wound healing. Front. Bioeng. Biotechnol. 2022, 10, 965006. [Google Scholar] [CrossRef]
- Schiavone, V.; Romasco, T.; Di Pietrantonio, N.; Garzoli, S.; Palmerini, C.; Di Tomo, P.; Pipino, C.; Mandatori, D.; Fioravanti, R.; Butturini, E.; et al. Essential Oils from Mediterranean Plants Inhibit In Vitro Monocyte Adhesion to Endothelial Cells from Umbilical Cords of Females with Gestational Diabetes Mellitus. Int. J. Mol. Sci. 2023, 24, 7225. [Google Scholar] [CrossRef]
- Noguera-Navarro, C.; Montoro-García, S.; Orenes-Piñero, E. Hydroxytyrosol: Its role in the prevention of cardiovascular diseases. Heliyon 2023, 9, e12963. [Google Scholar] [CrossRef]
- Ellis, L.R.; Boesch, C.; Dye, L. Effects of Anthocyanins on Cognition and Vascular Function: A Systematic Review. Mol. Nutr. Food Res. 2024, 68, e2300502. [Google Scholar] [CrossRef]
- Teodoro, A.J. Bioactive Compounds of Food: Their Role in the Prevention and Treatment of Diseases. Oxid. Med. Cell Longev. 2019, 2019, 3765986. [Google Scholar] [CrossRef]
- Chakrabarti, S.; Guha, S.; Majumder, K. Food-Derived Bioactive Peptides in Human Health: Challenges and Opportunities. Nutrients 2018, 10, 1738. [Google Scholar] [CrossRef]
- Madhu, M.; Kumar, D.; Sirohi, R.; Tarafdar, A.; Dhewa, T.; Aluko, R.E.; Badgujar, P.C.; Awasthi, M.K. Bioactive peptides from meat: Current status on production, biological activity, safety, and regulatory framework. Chemosphere 2022, 307, 135650. [Google Scholar] [CrossRef]
- Hajfathalian, M.; Ghelichi, S.; García-Moreno, P.J.; Moltke Sorensen, A.D.; Jacobsen, C. Peptides: Production, bioactivity, functionality, and applications. Crit. Rev. Food Sci. Nutr. 2018, 58, 3097–3129. [Google Scholar] [CrossRef]
- Fan, H.; Shang, N.; Davidge, S.T.; Wu, J. Chicken Muscle-Derived ACE2-Upregulating Peptide VVHPKESF Reduces Blood Pressure Associated with the ACE2/Ang (1-7)/MasR Axis in Spontaneously Hypertensive Rats. Mol. Nutr. Food Res. 2024, 68, e2300524. [Google Scholar] [CrossRef]
- Smith, C. Sleep states and learning: A review of the animal literature. Neurosci. Biobehav. Rev. 1985, 9, 157–168. [Google Scholar] [CrossRef] [PubMed]
- Li, Y.; Feng, Z.; Wu, T.; You, H.; Wang, W.; Liu, X.; Ding, L. Quinoa Peptides Alleviate Obesity in Mice Induced by a High-Fat Diet via Regulating of the PPAR-alpha/gamma Signaling Pathway and Gut Microbiota. Mol. Nutr. Food Res. 2023, 67, e2300258. [Google Scholar] [CrossRef] [PubMed]
- Du, J.; Xiao, M.; Sudo, N.; Liu, Q. Bioactive peptides of marine organisms: Roles in the reduction and control of cardiovascular diseases. Food Sci. Nutr. 2024, 12, 5271–5284. [Google Scholar] [CrossRef] [PubMed]
- Ichim, N.; Marín, F.; Orenes-Piñero, E. Potential Impact of Bioactive Peptides from Foods in the Treatment of Hypertension. Mol. Nutr. Food Res. 2024, 68, e2400084. [Google Scholar] [CrossRef]
- Mora, L.; Escudero, E.; Arihara, K.; Toldrá, F. Antihypertensive effect of peptides naturally generated during Iberian dry-cured ham processing. Food Res. Int. 2015, 78, 71–78. [Google Scholar] [CrossRef]
- Gallego, M.; Mora, L.; Hayes, M.; Reig, M.; Toldrá, F. Peptides with Potential Cardioprotective Effects Derived from Dry-Cured Ham Byproducts. J. Agric. Food Chem. 2019, 67, 1115–1126. [Google Scholar] [CrossRef]
- Heres, A.; Mora, L.; Toldrá, F. Bioactive and Sensory Di- and Tripeptides Generated during Dry-Curing of Pork Meat. Int. J. Mol. Sci. 2023, 24, 1574. [Google Scholar] [CrossRef]
- Montoro-García, S.; Velasco-Soria, A.; Mora, L.; Carazo-Díaz, C.; Prieto-Merino, D.; Avellaneda, A.; Miranzo, D.; Casas-Pina, T.; Toldrá, F.; Abellán-Alemán, J. Beneficial Impact of Pork Dry-Cured Ham Consumption on Blood Pressure and Cardiometabolic Markers in Individuals with Cardiovascular Risk. Nutrients 2022, 14, 298. [Google Scholar] [CrossRef]
- Montoro-García, S.; Zafrilla-Rentero, M.P.; Celdrán-de Haro, F.M.; Piñero de Armas, J.J.; Toldrá, F.; Tejada-Portero, L. Effects of dry-cured ham rich in bioactive peptides on cardiovascular health: A randomized controlled trial. J. Funct. Foods 2017, 38, 160–167. [Google Scholar] [CrossRef]
- Marusic, N.; Aristoy, M.C.; Toldrá, F. Nutritional pork meat compounds as affected by ham dry-curing. Meat Sci. 2013, 93, 53–60. [Google Scholar] [CrossRef]
- Martínez-Sánchez, S.M.; Pérez-Sánchez, H.; Gabaldón, J.A.; Abellán-Alemán, J.; Montoro-García, S. Multifunctional Peptides from Spanish Dry-Cured Pork Ham: Endothelial Responses and Molecular Modeling Studies. Int. J. Mol. Sci. 2019, 20, 4204. [Google Scholar] [CrossRef]
- Martínez-Sánchez, S.M.; Minguela, A.; Prieto-Merino, D.; Zafrilla-Rentero, M.P.; Abellán-Alemán, J.; Montoro-García, S. The Effect of Regular Intake of Dry-Cured Ham Rich in Bioactive Peptides on Inflammation, Platelet and Monocyte Activation Markers in Humans. Nutrients 2017, 9, 321. [Google Scholar] [CrossRef]
- Di Tomo, P.; Alessio, N.; Falone, S.; Pietrangelo, L.; Lanuti, P.; Cordone, V.; Santini, S.J.; Di Pietrantonio, N.; Marchisio, M.; Protasi, F.; et al. Endothelial cells from umbilical cord of women affected by gestational diabetes: A suitable in vitro model to study mechanisms of early vascular senescence in diabetes. FASEB J. 2021, 35, e21662. [Google Scholar] [CrossRef]
- Di Fulvio, P.; Pandolfi, A.; Formoso, G.; Di Silvestre, S.; Di Tomo, P.; Giardinelli, A.; De Marco, A.; Di Pietro, N.; Taraborrelli, M.; Sancilio, S.; et al. Features of endothelial dysfunction in umbilical cord vessels of women with gestational diabetes. Nutr. Metab. Cardiovasc. Dis. 2014, 24, 1337–1345. [Google Scholar] [CrossRef]
- Szklarczyk, D.; Gable, A.L.; Nastou, K.C.; Lyon, D.; Kirsch, R.; Pyysalo, S.; Doncheva, N.T.; Legeay, M.; Fang, T.; Bork, P.; et al. The STRING database in 2021: Customizable protein-protein networks, and functional characterization of user-uploaded gene/measurement sets. Nucleic Acids Res. 2021, 49, 10800. [Google Scholar] [CrossRef]
- Fonseka, P.; Pathan, M.; Chitti, S.V.; Kang, T.; Mathivanan, S. FunRich enables enrichment analysis of OMICs datasets. J. Mol. Biol. 2021, 433, 166747. [Google Scholar] [CrossRef]
- Merry, T.L.; Chan, A.; Woodhead, J.S.T.; Reynolds, J.C.; Kumagai, H.; Kim, S.J.; Lee, C. Mitochondrial-derived peptides in energy metabolism. Am. J. Physiol. Endocrinol. Metab. 2020, 319, E659–E666. [Google Scholar] [CrossRef]
- DeLeon-Pennell, K.Y.; Meschiari, C.A.; Jung, M.; Lindsey, M.L. Matrix Metalloproteinases in Myocardial Infarction and Heart Failure. Prog. Mol. Biol. Transl. Sci. 2017, 147, 75–100. [Google Scholar] [CrossRef]
- Wang, X.; Khalil, R.A. Matrix Metalloproteinases, Vascular Remodeling, and Vascular Disease. Adv. Pharmacol. 2018, 81, 241–330. [Google Scholar] [CrossRef]
- Cabral-Pacheco, G.A.; Garza-Veloz, I.; Castruita-De la Rosa, C.; Ramírez-Acuña, J.M.; Pérez-Romero, A.B.; Guerrero-Rodríguez, J.F.; Martínez-Ávila, N.; Martínez-Fierro, M.L. The Roles of Matrix Metalloproteinases and Their Inhibitors in Human Diseases. Int. J. Mol. Sci. 2020, 21, 9739. [Google Scholar] [CrossRef]
- Schwanekamp, J.A.; Lorts, A.; Sargent, M.A.; York, A.J.; Grimes, K.M.; Fischesser, D.M.; Gokey, J.J.; Whitsett, J.A.; Conway, S.J.; Molkentin, J.D. TGFBI functions similar to periostin but is uniquely dispensable during cardiac injury. PLoS ONE 2017, 12, e0181945. [Google Scholar] [CrossRef]
- Fornai, F.; Carrizzo, A.; Forte, M.; Ambrosio, M.; Damato, A.; Ferrucci, M.; Biagioni, F.; Busceti, C.; Puca, A.A.; Vecchione, C. The inflammatory protein Pentraxin 3 in cardiovascular disease. Immun. Ageing 2016, 13, 25. [Google Scholar] [CrossRef]
- Gallo, S.; Vitacolonna, A.; Bonzano, A.; Comoglio, P.; Crepaldi, T. ERK: A Key Player in the Pathophysiology of Cardiac Hypertrophy. Int. J. Mol. Sci. 2019, 20, 2164. [Google Scholar] [CrossRef]
- Huang, F.M.; Chang, Y.C.; Lee, S.S.; Yang, M.L.; Kuan, Y.H. Expression of pro-inflammatory cytokines and mediators induced by Bisphenol A via ERK-NFkappaB and JAK1/2-STAT3 pathways in macrophages. Environ. Toxicol. 2019, 34, 486–494. [Google Scholar] [CrossRef]
- Sun, P.; Tang, L.N.; Li, G.Z.; Xu, Z.L.; Xu, Q.H.; Wang, H.; Li, L. Effects of MiR-21 on the proliferation and migration of vascular smooth muscle cells in rats with atherosclerosis via the Akt/ERK signaling pathway. Eur. Rev. Med. Pharmacol. Sci. 2019, 23, 2216–2222. [Google Scholar] [CrossRef]
- Abeyrathna, P.; Su, Y. The critical role of Akt in cardiovascular function. Vascul. Pharmacol. 2015, 74, 38–48. [Google Scholar] [CrossRef]
- Zeng, Y.; Du, W.W.; Wu, Y.; Yang, Z.; Awan, F.M.; Li, X.; Yang, W.; Zhang, C.; Yang, Q.; Yee, A.; et al. Circular RNA Binds To and Activates AKT Phosphorylation and Nuclear Localization Reducing Apoptosis and Enhancing Cardiac Repair. Theranostics 2017, 7, 3842–3855. [Google Scholar] [CrossRef]
- Ley, K. The role of selectins in inflammation and disease. Trends Mol. Med. 2003, 9, 263–268. [Google Scholar] [CrossRef]
- Panes, J.; Perry, M.; Granger, D.N. Leukocyte-endothelial cell adhesion: Avenues for therapeutic intervention. Br. J. Pharmacol. 1999, 12, 537–550. [Google Scholar] [CrossRef]
- Qu, T.; He, S.; Wu, Y.; Wang, Y.; Ni, C.; Wen, S.; Cui, B.; Cheng, Y.; Wen, L. Transcriptome Analysis Reveals the Immunoregulatory Activity of Rice Seed-Derived Peptide PEP1 on Dendritic Cells. Molecules 2023, 28, 5224. [Google Scholar] [CrossRef]
- Shi, Z.; Dun, B.; Wei, Z.; Liu, C.; Tian, J.; Ren, G.; Yao, Y. Peptides Released from Extruded Adzuki Bean Protein through Simulated Gastrointestinal Digestion Exhibit Anti-inflammatory Activity. J. Agric. Food Chem. 2021, 69, 7028–7036. [Google Scholar] [CrossRef]
- Carluccio, M.A.; Martinelli, R.; Massaro, M.; Calabriso, N.; Scoditti, E.; Maffia, M.; Verri, T.; Gatta, V.; De Caterina, R. Nutrigenomic Effect of Hydroxytyrosol in Vascular Endothelial Cells: A Transcriptomic Profile Analysis. Nutrients 2021, 13, 3990. [Google Scholar] [CrossRef]
- Valls, R.M.; Farràs, M.; Suárez, M.; Fernández-Castillejo, S.; Fitó, M.; Konstantinidou, V.; Fuentes, F.; López-Miranda, J.; Giralt, M.; Covas, M.I. Effects of functional olive oil enriched with its own phenolic compounds on endothelial function in hypertensive patients. A randomised controlled trial. Food Chem. 2015, 167, 30–35. [Google Scholar] [CrossRef]
- Sadeghi Shaker, M.; Rokni, M.; Mahmoudi, M.; Farhadi, E. Ras family signaling pathway in immunopathogenesis of inflammatory rheumatic diseases. Front. Immunol. 2023, 14, 1151246. [Google Scholar] [CrossRef]
- Zhang, Y.; Ding, J.; Wang, Y.; Feng, X.; Du, M.; Liu, P. Guanxinkang Decoction Attenuates the Inflammation in Atherosclerosis by Regulating Efferocytosis and MAPKs Signaling Pathway in LDLR(-/-) Mice and RAW264.7 Cells. Front. Pharmacol. 2021, 12, 731769. [Google Scholar] [CrossRef]
- Kim, E.K.; Choi, E.J. Pathological roles of MAPK signaling pathways in human diseases. Biochim. Biophys. Acta 2010, 1802, 396–405. [Google Scholar] [CrossRef]
- Remaley, A.T. Apolipoprotein A-II: Still second fiddle in high-density lipoprotein metabolism? Arterioscler. Thromb. Vasc. Biol. 2013, 33, 166–167. [Google Scholar] [CrossRef]
- Castro, A.P.P.; Hermsdorff, H.H.M.; Milagres, L.C.; Albuquerque, F.M.; Filgueiras, M.S.; Rocha, N.P.; Novaes, J.F. Increased ApoB/ApoA1 ratio is associated with excess weight, body adiposity, and altered lipid profile in children. J. Pediatr. 2019, 95, 238–246. [Google Scholar] [CrossRef]
- Wang, Y.; Niimi, M.; Nishijima, K.; Waqar, A.B.; Yu, Y.; Koike, T.; Kitajima, S.; Liu, E.; Inoue, T.; Kohashi, M.; et al. Human apolipoprotein A-II protects against diet-induced atherosclerosis in transgenic rabbits. Arterioscler Thromb. Vasc. Biol. 2013, 33, 224–231. [Google Scholar] [CrossRef]
- Muscella, A.; Stefàno, E.; Marsigliante, S. The effects of exercise training on lipid metabolism and coronary heart disease. Am. J. Physiol. Heart Circ. Physiol. 2020, 319, H76–H88. [Google Scholar] [CrossRef]
- Reynoso-Villalpando, G.L.; Sevillano-Collantes, C.; Valle, Y.; Moreno-Ruiz, I.; Padilla-Gutiérrez, J.R.; Del Cañizo-Gómez, F.J. ApoB/ApoA1 ratio and non-HDL-cholesterol/HDL-cholesterol ratio are associated to metabolic syndrome in patients with type 2 diabetes mellitus subjects and to ischemic cardiomyopathy in diabetic women. Endocrinol. Diabetes Nutr. (Engl. Ed) 2019, 66, 502–511. [Google Scholar] [CrossRef]
- Ye, S. Putative targeting of matrix metalloproteinase-8 in atherosclerosis. Pharmacol. Ther. 2015, 147, 111–122. [Google Scholar] [CrossRef]
- Kormi, I.; Nieminen, M.T.; Havulinna, A.S.; Zeller, T.; Blankenberg, S.; Tervahartiala, T.; Sorsa, T.; Salomaa, V.; Pussinen, P.J. Matrix metalloproteinase-8 and tissue inhibitor of matrix metalloproteinase-1 predict incident cardiovascular disease events and all-cause mortality in a population-based cohort. Eur. J. Prev. Cardiol. 2017, 24, 1136–1144. [Google Scholar] [CrossRef]
- Krobthong, S.; Yingchutrakul, Y.; Wongtrakoongate, P.; Chuntakaruk, H.; Rungrotmongkol, T.; Chaichana, C.; Mahatnirunkul, T.; Chomtong, T.; Choowongkomon, K.; Aonbangkhen, C. Proteomics and Molecular Docking Analyses Reveal the Bio-Chemical and Molecular Mechanism Underlying the Hypolipidemic Activity of Nano-Liposomal Bioactive Peptides in 3T3-L1 Adipocytes. Foods 2023, 12, 780. [Google Scholar] [CrossRef]
- Marrero, A.D.; Castilla, L.; Bernal, M.; Manrique, I.; Posligua-García, J.D.; Moya-Utrera, G.; Porras-Alcalá, C.; Espartero, J.L.; Sarabia, F.; Quesada, A.R.; et al. Inhibition of Endothelial Inflammatory Response by HT-C6, a Hydroxytyrosol Alkyl Ether Derivative. Antioxidants 2023, 12, 1513. [Google Scholar] [CrossRef]
- Wang, W.; Shang, C.; Zhang, W.; Jin, Z.; Yao, F.; He, Y.; Wang, B.; Li, Y.; Zhang, J.; Lin, R. Hydroxytyrosol NO regulates oxidative stress and NO production through SIRT1 in diabetic mice and vascular endothelial cells. Phytomedicine 2019, 52, 206–215. [Google Scholar] [CrossRef]
- Fedorov, I.I.; Lineva, V.I.; Tarasova, I.A.; Gorshkov, M.V. Mass Spectrometry-Based Chemical Proteomics for Drug Target Discoveries. Biochemistry 2022, 87, 983–994. [Google Scholar] [CrossRef]
- Olaniru, O.E.; Kadolsky, U.; Kannambath, S.; Vaikkinen, H.; Fung, K.; Dhami, P.; Persaud, S.J. Single-cell transcriptomic and spatial landscapes of the developing human pancreas. Cell Metab. 2023, 35, 184–199.e5. [Google Scholar] [CrossRef]
- Imran, M.A.S.; Carrera, M.; Pérez-Polo, S.; Pérez, J.; Barros, L.; Dios, S.; Gestal, C. Insights into Common Octopus (Octopus vulgaris) Ink Proteome and Bioactive Peptides Using Proteomic Approaches. Mar. Drugs 2023, 21, 206. [Google Scholar] [CrossRef]
- Kovacs, J.; van der Hoorn, R.A. Twelve ways to confirm targets of activity-based probes in plants. Bioorg. Med. Chem. 2016, 24, 3304–3311. [Google Scholar] [CrossRef] [PubMed]
- Babu, M.; Snyder, M. Multi-Omics Profiling for Health. Mol. Cell Proteomics 2023, 22, 100561. [Google Scholar] [CrossRef] [PubMed]




| C-HUVECs: Control vs. BP Treatment | ||||
|---|---|---|---|---|
| Gene Name | Gene ID | Function | 2log (BaseMeanB/ BaseMeanA) | Adjusted p-Value |
| MT-RNR2 | ENSG00000210082 | Protects endothelial cells from inflammation by suppressing oxidative stress | 2.71 | 4.70 × 10−75 |
| MT-RNR1 | ENSG00000211459 | Regulates insulin sensitivity and metabolic homeostasis | 2.595 | 1.93 × 10−25 |
| KRT17 | ENSG00000128422 | Expressed in nail bed, hair follicle, sebaceous glands, and other epidermal appendages | −3.767 | 4.01 × 10−12 |
| MX1 | ENSG00000157601 | Antiviral activity against a wide range of RNA viruses and some DNA viruses | −2.354 | 3.39 × 10−8 |
| MMP-1 | ENSG00000196611 | Breakdown of the extracellular matrix in normal physiological processes | 1.301 | 2.23 × 10−7 |
| SULF1 | ENSG00000137573 | The expression of this gene may be downregulated in several types of cancer. | −0.766 | 7.83 × 10−7 |
| TGFBI | ENSG00000120708 | Plays a role in cell adhesion | −1.453 | 1.08 × 10−6 |
| MIR205HG | ENSG00000230937 | RNA gene, affiliated with the IncRNA class | −3.914 | 1.08 × 10−6 |
| DSP | ENSG00000096696 | Form a component of functional desmosomes | −2.612 | 2.84 × 10−5 |
| KRT7 | ENSG00000135480 | Blocks interferon-dependent interphase and stimulates DNA synthesis in cells | −0.765 | 0.0001 |
| PTX3 | ENSG00000163661 | Plays a role in inflammatory reactions | −0.739 | 0.0005 |
| KRT14 | ENSG00000186847 | Type I keratin | −2.765 | 0.0007 |
| COL3A1 | ENSG00000168542 | Encodes pro-alpha1 chains of type III collagen | −0.721 | 0.0007 |
| SELE | ENSG00000007908 | Responsible for the accumulation of blood leukocytes at sites of inflammation | −1.261 | 0.0032 |
| CCDC190 | ENSG00000185860 | Related to cannabis and hallucinogen dependence | −4.039 | 0.0038 |
| PKP1 | ENSG00000081277 | Contributes to epidermal morphogenesis | −5.209 | 0.0113 |
| IFI44L | ENSG00000137959 | Facilitates inflammatory cytokine secretion | −1.927 | 0.0117 |
| PLXNA4 | ENSG00000221866 | Enables semaphorin receptor activity | −0.556 | 0.0180 |
| TGFB2 | ENSG00000092969 | Multifunctional protein that regulates various processes such as angiogenesis and heart development | −0.702 | 0.0197 |
| SULT1B1 | ENSG00000173597 | May play a role in gut microbiota–-host metabolic interaction | −0.608 | 0.0222 |
| ANXA8 | ENSG00000286129 | Acts as an anticoagulant that inhibits the thromboplastin-specific complex | -Inf | 0.0264 |
| SOX18 | ENSG00000203883 | Plays a role in hair, blood vessel, and lymphatic vessel development | 0.622 | 0.0482 |
| GD-HUVECs: Control vs. BP Treatment | ||||
| Gene Name | Gene ID | Function | 2log (BaseMeanB/ BaseMeanA) | Adjusted p-Value |
| MT-RNR1 | ENSG00000211459 | Regulates insulin sensitivity and metabolic homeostasis | 3.170 | 0.013 |
| H3C10 | ENSG00000278828 | Proteins responsible for the nucleosome structure of the chromosomal fibre in eukaryotes | −3.196 | 0.021 |
| Protein Name (Using Scaffold Software) | Gene Name | p-Value |
|---|---|---|
| Capping protein regulator and myosin 1 linker 2 | CARMIL2 | <0.0001 |
| Apolipoprotein AI | APOA1 | <0.0001 |
| Apolipoprotein AII | APOA2 | <0.0001 |
| Calcium-dependent secretion activator 2 | CADPS2 | <0.0001 |
| Dystonin | DST | 0.081 |
| Zinc finger SWIM domain-containing protein 8 | ZSWIM8 | 0.1 |
| Collagen type XIII alpha 1 chain | COL13A1 | 0.0088 |
| Nascent polypeptide-associated complex subunit alpha | NACA | 0.16 |
| Proline-rich 25 | PRR25 | 0.39 |
| Calcium/calmodulin-dependent protein kinase II gamma | CAMK2G | 0.15 |
| Glutamate ionotropic receptor NMDA type subunit 1 | GRIN1 | 0.15 |
| Cyclin K | CCNK | 0.25 |
| Nucleolar protein with MIF4G domain 1 | NOM1 | 0.023 |
| Calcium/calmodulin-dependent protein kinase II delta | CAMK2D | 0.39 |
| Filaggrin | FLG | 0.023 |
| Tetratricopeptide repeat domain 38 | TTC38 | 0.39 |
| ARHGAP23 (Fragment) | ARHGAP23 | 0.096 |
| Erythrocyte membrane protein band 4.1 like 1 | EPB41L1 | 0.39 |
| Minichromosome maintenance complex component 4 | MCM4 | 0.39 |
| Sideroflexin 5 | SFXN5 | 0.15 |
| Protein Name (Using Sequest Software) | Gene Name | |
| MYC binding proteins | MYCBP | |
| Polypeptide N-acetylgalactosaminyltransferase 2 | GALNT2 | |
| General transcription factor IIF subunit 1 | GTF2F1 | |
| VANGL planar cell polarity protein 1 | VANGL1 | |
| Fibronectin type III domain containing 3A | FNDC3A | |
| YjeF N-terminal domain containing 3 | YJEFN3 | |
| Prostaglandin F2 receptor inhibitor | PTGFRN | |
| Mitogen-activated protein kinase 12 | MAP3K12 | |
| Phosphatidylinositol-4-phosphate 3-kinase catalytic subunit type 2 alpha | PIK3C2A | |
| Epidermal growth factor | EGF | |
| Pleckstrin homology and RhoGEF domain containing G2 | PLEKHG2 | |
| Citron rho-interacting serine/threonine kinase | CIT | |
| LEM domain containing 3 | LEMD3 | |
| Parking RBR E3 ubiquitin protein ligase | PRKN | |
| Myosin heavy chain 16 pseudogene | MYH16 | |
| Ataxin 2 like | ATXN2L | |
| Actin filament-associated protein 1-like 2 | AFAP1L2 | |
| (n = 30) | Before BP Consumption | After BP Consumption | p-Value |
|---|---|---|---|
| APOA1 | 0.8248 | 0.8560 | 0.361 |
| (ng/mL) | [0.567–1.0884] | [0.6944–1.0899] | |
| APOA2 | 0.1623 | 0.1591 | 0.862 |
| (ng/mL) | [0.1434–0.1750] | [0.1513–0.1741] | |
| APOB | 0.4945 | 0.4534 | 0.936 |
| (ng/mL) | [0.3511–0.5983] | [0.3192–0.6799] | |
| MMP-8 | 0.4845 | 0.4521 | 0.028 * |
| (pg/mL) | [0.4196–0.5681] | [0.3806–0.5174] | |
| APOB/APOA1 | 0.5303 | 0.4792 | 0.018 * |
| [0.3879–0.7070] | [0.3582–0.6559] |
Disclaimer/Publisher’s Note: The statements, opinions and data contained in all publications are solely those of the individual author(s) and contributor(s) and not of MDPI and/or the editor(s). MDPI and/or the editor(s) disclaim responsibility for any injury to people or property resulting from any ideas, methods, instructions or products referred to in the content. |
© 2025 by the authors. Licensee MDPI, Basel, Switzerland. This article is an open access article distributed under the terms and conditions of the Creative Commons Attribution (CC BY) license (https://creativecommons.org/licenses/by/4.0/).
Share and Cite
Noguera-Navarro, C.; Stelling, J.; Orenes-Piñero, E.; Pipino, C.; Nicolás, F.J.; Montoro-García, S. Cardioprotective Peptides from Dry-Cured Ham in Primary Endothelial Cells and Human Plasma: An Omics Approach. Antioxidants 2025, 14, 772. https://doi.org/10.3390/antiox14070772
Noguera-Navarro C, Stelling J, Orenes-Piñero E, Pipino C, Nicolás FJ, Montoro-García S. Cardioprotective Peptides from Dry-Cured Ham in Primary Endothelial Cells and Human Plasma: An Omics Approach. Antioxidants. 2025; 14(7):772. https://doi.org/10.3390/antiox14070772
Chicago/Turabian StyleNoguera-Navarro, Clara, Javier Stelling, Esteban Orenes-Piñero, Caterina Pipino, Francisco José Nicolás, and Silvia Montoro-García. 2025. "Cardioprotective Peptides from Dry-Cured Ham in Primary Endothelial Cells and Human Plasma: An Omics Approach" Antioxidants 14, no. 7: 772. https://doi.org/10.3390/antiox14070772
APA StyleNoguera-Navarro, C., Stelling, J., Orenes-Piñero, E., Pipino, C., Nicolás, F. J., & Montoro-García, S. (2025). Cardioprotective Peptides from Dry-Cured Ham in Primary Endothelial Cells and Human Plasma: An Omics Approach. Antioxidants, 14(7), 772. https://doi.org/10.3390/antiox14070772

