Transcriptomic Redox Dysregulation in a Rat Model of Metabolic Syndrome-Associated Kidney Injury
Abstract
1. Introduction
2. Materials and Methods
2.1. Animal Model and Experimental Design
2.2. Oral Glucose Tolerance Test (OGTT)
2.3. Blood and Urine Sample Collection
2.4. Plasma Biochemistry Analysis
2.5. Hemodynamic Parameters Assessment
2.6. Oxidative Stress Assessment
2.7. Renal Oxidative Gene Expression Profiling
2.8. Renal Immunohistochemistry
2.9. Renal CCL5 mRNA Quantification
2.10. Statistical Analysis
3. Results
3.1. Induction of MetS in Rats
3.1.1. Weight Gain, Glucose Intolerance, and Insulin Resistance in MetS
3.1.2. Serum Lipid Profile
3.1.3. Changes in Hemodynamic and Body Parameters
3.2. OxS-Related Renal Alterations in MetS Rats
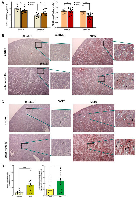
3.2.1. Systemic and Intrarenal OxS Is Elevated in MetS Rats
3.2.2. Downregulation of Redox-Related Genes in MetS Kidneys
3.2.3. Multi-Level Validation of CCL5 Suppression in Kidney and Circulation
4. Discussion
5. Conclusions
Supplementary Materials
Author Contributions
Funding
Institutional Review Board Statement
Informed Consent Statement
Data Availability Statement
Conflicts of Interest
Abbreviations
| 3-NT | 3-Nitrotyrosine |
| 4-HNE | 4-Hydroxynonenal |
| CAT | Catalase |
| CCR | CC chemokine receptor |
| CCL5 | C-C motif chemokine ligand 5 |
| CKD | Chronic kidney disease |
| CrCl | Creatinine clearance |
| CycA | Cyclophilin A |
| DEG | Differentially expressed gene |
| ELISA | Enzyme-linked immunosorbent assay |
| FBG | Fasting blood glucose |
| FBS | Fetal bovine serum |
| FOXO | Forkhead box O |
| FORT | Free oxygen radicals test |
| FORD | Free oxygen radicals defense |
| GSTP1 | Glutathione S-transferase pi 1 |
| GAPDH | Glyceraldehyde-3-phosphate dehydrogenase |
| Gpx6 | Glutathione peroxidase 6 |
| Gclc | Glutamate-cysteine ligase catalytic subunit |
| HDL | High-density lipoprotein |
| HFD | High-fat diet |
| HMOX1 | Heme oxygenase 1 |
| iNOS | Inducible nitric oxide synthase |
| LDH | Lactate dehydrogenase |
| LDL | Low-density lipoprotein |
| LPO | Lactoperoxidase |
| MetS | Metabolic syndrome |
| MPO | Myeloperoxidase |
| NOX | NADPH oxidases |
| NQO1 | NAD(P)H: quinone oxidoreductase 1 |
| OGTT | Oral glucose tolerance test |
| OxS | Oxidative stress |
| PBS | Phosphate-buffered saline |
| PGC-1α | Peroxisome proliferator-activated receptor gamma coactivator 1-alpha |
| qPCR | Quantitative PCR |
| Rag2 | Recombination activating gene 2 |
| RANTES | Regulated on activation, normal T cell expressed and secreted (alias of CCL5) |
| RNS | Reactive nitrogen species |
| ROS | Reactive oxygen species |
| RT-PCR | Reverse transcription PCR |
| ROI | Region of interest |
| SEPP1 | Selenoprotein P-1 |
| SEM | Standard error of the mean |
| SOD2 | Superoxide dismutase 2 |
| STZ | Streptozotocin |
| TC | Total cholesterol |
| TG | Triglyceride |
| TGF-β1 | Transforming growth factor-β1 |
| VLDL | Very-low-density lipoprotein |
References
- James, P.T.; Rigby, N.; Leach, R. The obesity epidemic, metabolic syndrome and future prevention strategies. Eur. J. Cardiovasc. Prev. Rehabil. 2004, 11, 3–8. [Google Scholar] [CrossRef] [PubMed]
- Locatelli, F.; Pozzoni, P.; Del Vecchio, L. Renal manifestations in the metabolic syndrome. J. Am. Soc. Nephrol. 2006, 17, S81–S85. [Google Scholar] [CrossRef]
- Spahis, S.; Borys, J.-M.; Levy, E. Metabolic Syndrome as a Multifaceted Risk Factor for Oxidative Stress. Antioxid. Redox Signal. 2017, 26, 445–461. [Google Scholar] [CrossRef]
- Yang, L.; Chang, B.; Guo, Y.; Wu, X.; Liu, L. The role of oxidative stress-mediated apoptosis in the pathogenesis of uric acid nephropathy. Ren. Fail. 2019, 41, 616–622. [Google Scholar] [CrossRef]
- Chen, J.; Zhang, H.; Yi, X.; Dou, Q.; Yang, X.; He, Y.; Chen, J.; Chen, K. Cellular senescence of renal tubular epithelial cells in acute kidney injury. Cell Death Discov. 2024, 10, 62. [Google Scholar] [CrossRef] [PubMed]
- Fakhruddin, S.; Alanazi, W.; Jackson, K.E. Diabetes-Induced Reactive Oxygen Species: Mechanism of Their Generation and Role in Renal Injury. J. Diabetes Res. 2017, 2017, 8379327. [Google Scholar] [CrossRef]
- Irazabal, M.V.; Torres, V.E. Reactive Oxygen Species and Redox Signaling in Chronic Kidney Disease. Cells 2020, 9, 1342. [Google Scholar] [CrossRef]
- Rapa, S.F.; Di Iorio, B.R.; Campiglia, P.; Heidland, A.; Marzocco, S. Inflammation and Oxidative Stress in Chronic Kidney Disease-Potential Therapeutic Role of Minerals, Vitamins and Plant-Derived Metabolites. Int. J. Mol. Sci. 2019, 21, 263. [Google Scholar] [CrossRef] [PubMed]
- Zhang, X.; Lerman, L.O. The metabolic syndrome and chronic kidney disease. Transl. Res. 2017, 183, 14–25. [Google Scholar] [CrossRef]
- Prasad, G.V. Metabolic syndrome and chronic kidney disease: Current status and future directions. World. J. Nephrol. 2014, 3, 210–219. [Google Scholar] [CrossRef]
- Tesauro, M.; Canale, M.P.; Rodia, G.; Di Daniele, N.; Lauro, D.; Scuteri, A.; Cardillo, C. Metabolic syndrome, chronic kidney, and cardiovascular diseases: Role of adipokines. Cardiol. Res. Pract. 2011, 2011, 653182. [Google Scholar] [CrossRef] [PubMed]
- Zhang, H.; Forman, H.J. Glutathione synthesis and its role in redox signaling. Semin. Cell Dev. Biol. 2012, 23, 722–728. [Google Scholar] [CrossRef]
- Pei, J.; Pan, X.; Wei, G.; Hua, Y. Research progress of glutathione peroxidase family (GPX) in redoxidation. Front. Pharmacol. 2023, 14, 1147414. [Google Scholar] [CrossRef]
- Rashid, M.H.; Babu, D.; Siraki, A.G. Interactions of the antioxidant enzymes NAD(P)H: Quinone oxidoreductase 1 (NQO1) and NRH: Quinone oxidoreductase 2 (NQO2) with pharmacological agents, endogenous biochemicals and environmental contaminants. Chem. Biol. Interact. 2021, 345, 109574. [Google Scholar] [CrossRef] [PubMed]
- Steinbrenner, H.; Sies, H. Protection against reactive oxygen species by selenoproteins. Biochim. Biophys. Acta. 2009, 1790, 1478–1485. [Google Scholar] [CrossRef]
- He, L.; He, T.; Farrar, S.; Ji, L.; Liu, T.; Ma, X. Antioxidants Maintain Cellular Redox Homeostasis by Elimination of Reactive Oxygen Species. Cell. Physiol. Biochem. 2017, 44, 532–553. [Google Scholar] [CrossRef] [PubMed]
- Shang, Y.; Siow, Y.L.; Isaak, C.K.; O, K. Downregulation of Glutathione Biosynthesis Contributes to Oxidative Stress and Liver Dysfunction in Acute Kidney Injury. Oxidative Med. Cell. Longev. 2016, 2016, 9707292. [Google Scholar] [CrossRef]
- Nadkarni, G.D.; Sawant, B.U. Role of antioxidant defence in renal pathophysiology: Primacy of glutathione peroxidase. Indian J. Exp. Biol. 1998, 36, 615–617. [Google Scholar]
- Gang, G.T.; Kim, Y.H.; Noh, J.R.; Kim, K.S.; Jung, J.Y.; Shong, M.; Hwang, J.H.; Lee, C.H. Protective role of NAD(P)H:quinone oxidoreductase 1 (NQO1) in cisplatin-induced nephrotoxicity. Toxicol. Lett. 2013, 221, 165–175. [Google Scholar] [CrossRef]
- Li, S.; Zhao, Q.; Zhang, K.; Sun, W.; Jia, X.; Yang, Y.; Yin, J.; Tang, C.; Zhang, J. Se deficiency induces renal pathological changes by regulating selenoprotein expression, disrupting redox balance, and activating inflammation. Metallomics 2020, 12, 1576–1584. [Google Scholar] [CrossRef]
- Mir, M.M.; Alfaifi, J.; Sohail, S.K.; Rizvi, S.F.; Akhtar, M.T.; Alghamdi, M.A.A.; Mir, R.; Wani, J.I.; Sabah, Z.U.; Alhumaydhi, F.A.; et al. The Role of Pro-Inflammatory Chemokines CCL-1, 2, 4, and 5 in the Etiopathogenesis of Type 2 Diabetes Mellitus in Subjects from the Asir Region of Saudi Arabia: Correlation with Different Degrees of Obesity. J. Pers. Med. 2024, 14, 743. [Google Scholar] [CrossRef] [PubMed]
- Zhou, H.; Liao, X.; Zeng, Q.; Zhang, H.; Song, J.; Hu, W.; Sun, X.; Ding, Y.; Wang, D.; Xiao, Y.; et al. Metabolic effects of CCL5 deficiency in lean and obese mice. Front. Immunol. 2022, 13, 1059687. [Google Scholar] [CrossRef] [PubMed]
- Liu, X.; Shah, A.; Gangwani, M.R.; Silverstein, P.S.; Fu, M.; Kumar, A. HIV-1 Nef induces CCL5 production in astrocytes through p38-MAPK and PI3K/Akt pathway and utilizes NF-kB, CEBP and AP-1 transcription factors. Sci. Rep. 2014, 4, 4450. [Google Scholar] [CrossRef] [PubMed]
- Ho, M.H.; Yen, C.H.; Hsieh, T.H.; Kao, T.J.; Chiu, J.Y.; Chiang, Y.H.; Hoffer, B.J.; Chang, W.C.; Chou, S.Y. CCL5 via GPX1 activation protects hippocampal memory function after mild traumatic brain injury. Redox Biol. 2021, 46, 102067. [Google Scholar] [CrossRef]
- Rudemiller, N.P.; Patel, M.B.; Zhang, J.D.; Jeffs, A.D.; Karlovich, N.S.; Griffiths, R.; Kan, M.J.; Buckley, A.F.; Gunn, M.D.; Crowley, S.D. C-C Motif Chemokine 5 Attenuates Angiotensin II-Dependent Kidney Injury by Limiting Renal Macrophage Infiltration. Am. J. Pathol. 2016, 186, 2846–2856. [Google Scholar] [CrossRef]
- Marques, R.E.; Guabiraba, R.; Russo, R.C.; Teixeira, M.M. Targeting CCL5 in inflammation. Expert. Opin. Ther. Targets. 2013, 17, 1439–1460. [Google Scholar] [CrossRef]
- Grayson, M.H.; Holtzman, M.J. Chemokine complexity: The case for CCL5. Am. J. Respir. Cell Mol. Biol. 2006, 35, 143–146. [Google Scholar] [CrossRef]
- Pavlatou, M.G.; Papastamataki, M.; Apostolakou, F.; Papassotiriou, I.; Tentolouris, N. FORT and FORD: Two simple and rapid assays in the evaluation of oxidative stress in patients with type 2 diabetes mellitus. Metabolism 2009, 58, 1657–1662. [Google Scholar] [CrossRef]
- Wu, J.; Yan, L.J. Streptozotocin-induced type 1 diabetes in rodents as a model for studying mitochondrial mechanisms of diabetic β cell glucotoxicity. Diabetes Metab. Syndr. Obes. 2015, 8, 181–188. [Google Scholar] [CrossRef]
- Rosholt, M.N.; King, P.A.; Horton, E.S. High-fat diet reduces glucose transporter responses to both insulin and exercise. Am. J. Physiol. 1994, 266, R95–R101. [Google Scholar] [CrossRef]
- Hancock, C.R.; Han, D.H.; Chen, M.; Terada, S.; Yasuda, T.; Wright, D.C.; Holloszy, J.O. High-fat diets cause insulin resistance despite an increase in muscle mitochondria. Proc. Natl. Acad. Sci. USA 2008, 105, 7815–7820. [Google Scholar] [CrossRef] [PubMed]
- Heath, R.B.; Karpe, F.; Milne, R.W.; Burdge, G.C.; Wootton, S.A.; Frayn, K.N. Dietary fatty acids make a rapid and substantial contribution to VLDL-triacylglycerol in the fed state. Am. J. Physiol. Endocrinol. Metab. 2007, 292, E732–E739. [Google Scholar] [CrossRef] [PubMed]
- Miranda, J.; Eseberri, I.; Lasa, A.; Portillo, M.P. Lipid metabolism in adipose tissue and liver from diet-induced obese rats: A comparison between Wistar and Sprague-Dawley strains. J. Physiol. Biochem. 2018, 74, 655–666. [Google Scholar] [CrossRef]
- Johnson, R.J.; Lanaspa, M.A.; Gabriela Sánchez-Lozada, L.; Rodriguez-Iturbe, B. The discovery of hypertension: Evolving views on the role of the kidneys, and current hot topics. Am. J. Physiol. Renal. Physiol. 2015, 308, F167–F178. [Google Scholar] [CrossRef]
- Susic, D.; Frohlich, E.D. Hypertensive Cardiovascular and Renal Disease and Target Organ Damage: Lessons from Animal Models. Cardiorenal. Med. 2011, 1, 139–146. [Google Scholar] [CrossRef]
- Coffman, T.M. The inextricable role of the kidney in hypertension. J. Clin. Investig. 2014, 124, 2341–2347. [Google Scholar] [CrossRef] [PubMed]
- Cuspidi, C.; Sala, C.; Zanchetti, A. Metabolic syndrome and target organ damage: Role of blood pressure. Expert. Rev. Cardiovasc. Ther. 2008, 6, 731–743. [Google Scholar] [CrossRef]
- Mulè, G.; Cerasola, G. The metabolic syndrome and its relationship to hypertensive target organ damage. J. Clin. Hypertens. 2006, 8, 195–201. [Google Scholar] [CrossRef]
- Dawood, T.; Schlaich, M.P. Mediators of target organ damage in hypertension: Focus on obesity associated factors and inflammation. Minerva. Cardioangiol. 2009, 57, 687–704. [Google Scholar]
- Lorgis, L.; Zeller, M.; Dentan, G.; Sicard, P.; Richard, C.; Buffet, P.; L’Huillier, I.; Beer, J.C.; Cottin, Y.; Rochette, L.; et al. The free oxygen radicals test (FORT) to assess circulating oxidative stress in patients with acute myocardial infarction. Atherosclerosis 2010, 213, 616–621. [Google Scholar] [CrossRef]
- Găman, M.A.; Epîngeac, M.E.; Diaconu, C.C.; Găman, A.M. Evaluation of oxidative stress levels in obesity and diabetes by the free oxygen radical test and free oxygen radical defence assays and correlations with anthropometric and laboratory parameters. World J. Diabetes 2020, 11, 193–201. [Google Scholar] [CrossRef] [PubMed]
- Gizi, A.; Papassotiriou, I.; Apostolakou, F.; Lazaropoulou, C.; Papastamataki, M.; Kanavaki, I.; Kalotychou, V.; Goussetis, E.; Kattamis, A.; Rombos, I.; et al. Assessment of oxidative stress in patients with sickle cell disease: The glutathione system and the oxidant-antioxidant status. Blood Cells. Mol. Dis. 2011, 46, 220–225. [Google Scholar] [CrossRef] [PubMed]
- Aguilar Diaz De Leon, J.; Borges, C.R. Evaluation of Oxidative Stress in Biological Samples Using the Thiobarbituric Acid Reactive Substances Assay. J. Vis. Exp. 2020, 159, e61122. [Google Scholar] [CrossRef]
- Cao, G.; Prior, R.L. Comparison of different analytical methods for assessing total antioxidant capacity of human serum. Clin. Chem. 1998, 44, 1309–1315. [Google Scholar] [CrossRef]
- Schlesier, K.; Harwat, M.; Böhm, V.; Bitsch, R. Assessment of antioxidant activity by using different in vitro methods. Free Radic. Res. 2002, 36, 177–187. [Google Scholar] [CrossRef]
- Moon, J.K.; Shibamoto, T. Antioxidant assays for plant and food components. J. Agric. Food. Chem. 2009, 57, 1655–1666. [Google Scholar] [CrossRef]
- Peng, T.I.; Jou, M.J. Oxidative stress caused by mitochondrial calcium overload. Ann. N. Y. Acad. Sci. 2010, 1201, 183–188. [Google Scholar] [CrossRef]
- Monteiro, R.; Azevedo, I. Chronic inflammation in obesity and the metabolic syndrome. Mediators. Inflamm. 2010, 2010, 289645. [Google Scholar] [CrossRef] [PubMed]
- Yan, L.J. Pathogenesis of chronic hyperglycemia: From reductive stress to oxidative stress. J. Diabetes Res. 2014, 2014, 137919. [Google Scholar] [CrossRef]
- Vekic, J.; Stromsnes, K.; Mazzalai, S.; Zeljkovic, A.; Rizzo, M.; Gambini, J. Oxidative Stress, Atherogenic Dyslipidemia, and Cardiovascular Risk. Biomedicines 2023, 11, 2897. [Google Scholar] [CrossRef]
- Vasavada, N.; Agarwal, R. Role of oxidative stress in diabetic nephropathy. Adv. Chronic. Kidney Dis. 2005, 12, 146–154. [Google Scholar] [CrossRef]
- Ratliff, B.B.; Abdulmahdi, W.; Pawar, R.; Wolin, M.S. Oxidant Mechanisms in Renal Injury and Disease. Antioxid. Redox Signal. 2016, 25, 119–146. [Google Scholar] [CrossRef] [PubMed]
- Di Majo, D.; Sardo, P.; Giglia, G.; Di Liberto, V.; Zummo, F.P.; Zizzo, M.G.; Caldara, G.F.; Rappa, F.; Intili, G.; van Dijk, R.M.; et al. Correlation of Metabolic Syndrome with Redox Homeostasis Biomarkers: Evidence from High-Fat Diet Model in Wistar Rats. Antioxidants 2022, 12, 89. [Google Scholar] [CrossRef]
- Maciejczyk, M.; Żebrowska, E.; Zalewska, A.; Chabowski, A. Redox Balance, Antioxidant Defense, and Oxidative Damage in the Hypothalamus and Cerebral Cortex of Rats with High Fat Diet-Induced Insulin Resistance. Oxidative Med. Cell. Longev. 2018, 2018, 6940515. [Google Scholar] [CrossRef] [PubMed]
- Chang, K.S.; Chen, S.T.; Hsu, S.Y.; Sung, H.C.; Lin, W.Y.; Tsui, K.H.; Lin, Y.H.; Hou, C.P.; Juang, H.H. The C-X-C Motif Chemokine Ligand 5, Which Exerts an Antioxidant Role by Inducing HO-1 Expression, Is C-X-C Motif Chemokine Receptor 2-Dependent in Human Prostate Stroma and Cancer Cells. Antioxidants 2024, 13, 1489. [Google Scholar] [CrossRef]
- Lu, S.C. Glutathione synthesis. Biochim. Biophys. Acta 2013, 1830, 3143–3153. [Google Scholar] [CrossRef] [PubMed]
- Langston, W.; Circu, M.L.; Aw, T.Y. Insulin stimulation of gamma-glutamylcysteine ligase catalytic subunit expression increases endothelial GSH during oxidative stress: Influence of low glucose. Free Radic. Biol. Med. 2008, 45, 1591–1599. [Google Scholar] [CrossRef]
- Begleiter, A.; Fourie, J. Induction of NQO1 in cancer cells. Methods Enzymol. 2004, 382, 320–351. [Google Scholar] [CrossRef]
- Lee, W.S.; Ham, W.; Kim, J. Roles of NAD(P)H:quinone Oxidoreductase 1 in Diverse Diseases. Life 2021, 11, 1301. [Google Scholar] [CrossRef]
- Qiu, D.; Song, S.; Wang, Y.; Bian, Y.; Wu, M.; Wu, H.; Shi, Y.; Duan, H. NAD(P)H: Quinone oxidoreductase 1 attenuates oxidative stress and apoptosis by regulating Sirt1 in diabetic nephropathy. J. Transl. Med. 2022, 20, 44. [Google Scholar] [CrossRef]
- Yin, F.F.; Bailey, S.; Innis, C.A.; Ciubotaru, M.; Kamtekar, S.; Steitz, T.A.; Schatz, D.G. Structure of the RAG1 nonamer binding domain with DNA reveals a dimer that mediates DNA synapsis. Nat. Struct. Mol. Biol. 2009, 16, 499–508. [Google Scholar] [CrossRef]
- Steinbrenner, H.; Speckmann, B.; Klotz, L.O. Selenoproteins: Antioxidant selenoenzymes and beyond. Arch. Biochem. Biophys. 2016, 595, 113–119. [Google Scholar] [CrossRef] [PubMed]
- Barrett, C.W.; Short, S.P.; Williams, C.S. Selenoproteins and oxidative stress-induced inflammatory tumorigenesis in the gut. Cell. Mol. Life Sci. 2017, 74, 607–616. [Google Scholar] [CrossRef] [PubMed]
- Katsounas, A.; Schlaak, J.F.; Lempicki, R.A. CCL5: A double-edged sword in host defense against the hepatitis C virus. Int. Rev. Immunol. 2011, 30, 366–378. [Google Scholar] [CrossRef]
- Aldinucci, D.; Borghese, C.; Casagrande, N. The CCL5/CCR5 axis in cancer progression. Cancers 2020, 12, 1765. [Google Scholar] [CrossRef] [PubMed]
- Zeng, Z.; Lan, T.; Wei, Y.; Wei, X. CCL5/CCR5 axis in human diseases and related treatments. Genes Dis. 2022, 9, 12–27. [Google Scholar] [CrossRef]
- Ishida, Y.; Kimura, A.; Kuninaka, Y.; Inui, M.; Matsushima, K.; Mukaida, N.; Kondo, T. Pivotal role of the CCL5/CCR5 interaction for recruitment of endothelial progenitor cells in mouse wound healing. J. Clin. Investig. 2012, 122, 711–721. [Google Scholar] [CrossRef]
- Ho, M.H.; Tsai, Y.J.; Chen, C.Y.; Yang, A.; Burnouf, T.; Wang, Y.; Chiang, Y.H.; Hoffer, B.J.; Chou, S.Y. CCL5 is essential for axonogenesis and neuronal restoration after brain injury. J. Biomed. Sci. 2024, 31, 91. [Google Scholar] [CrossRef]
- Rudemiller, N.P.; Crowley, S.D. The role of chemokines in hypertension and consequent target organ damage. Pharmacol. Res. 2017, 119, 404–411. [Google Scholar] [CrossRef]
- Zhang, Z.; Wang, Q.; Yao, J.; Zhou, X.; Zhao, J.; Zhang, X.; Dong, J.; Liao, L. Chemokine Receptor 5, a Double-Edged Sword in Metabolic Syndrome and Cardiovascular Disease. Front. Pharmacol. 2020, 11, 146. [Google Scholar] [CrossRef]
- Kitade, H.; Sawamoto, K.; Nagashimada, M.; Inoue, H.; Yamamoto, Y.; Sai, Y.; Takamura, T.; Yamamoto, H.; Miyamoto, K.; Ginsberg, H.N.; et al. CCR5 plays a critical role in obesity-induced adipose tissue inflammation and insulin resistance by regulating both macrophage recruitment and M1/M2 status. Diabetes 2012, 61, 1680–1690. [Google Scholar] [CrossRef] [PubMed]
- Kester, M.I.; van der Flier, W.M.; Visser, A.; Blankenstein, M.A.; Scheltens, P.; Oudejans, C.B. Decreased mRNA expression of CCL5 [RANTES] in Alzheimer’s disease blood samples. Clin. Chem. Lab. Med. 2011, 50, 61–65. [Google Scholar] [CrossRef] [PubMed]
- Bouabout, G.; Ayme-Dietrich, E.; Jacob, H.; Champy, M.F.; Birling, M.C.; Pavlovic, G.; Madeira, L.; Fertak, L.E.; Petit-Demoulière, B.; Sorg, T.; et al. Nox4 genetic inhibition in experimental hypertension and metabolic syndrome. Arch. Cardiovasc. Dis. 2018, 111, 41–52. [Google Scholar] [CrossRef] [PubMed]
- Nunes-Souza, V.; César-Gomes, C.J.; Da Fonseca, L.J.; Guedes Gda, S.; Smaniotto, S.; Rabelo, L.A. Aging Increases Susceptibility to High Fat Diet-Induced Metabolic Syndrome in C57BL/6 Mice: Improvement in Glycemic and Lipid Profile after Antioxidant Therapy. Oxidative Med. Cell. Longev. 2016, 2016, 1987960. [Google Scholar] [CrossRef]
- Alquoqa, R.S.; Kasabri, V.; Naffa, R.; Akour, A.; Bustanji, Y. Cross-sectional correlates of myeloperoxidase and alpha-1-acid glycoprotein with adiposity, atherogenic and hematological indices in metabolic syndrome patients with or without diabetes. Ther. Adv. Endocrinol. Metab. 2018, 9, 283–291. [Google Scholar] [CrossRef]








| Encoded Molecules in Subcellular Location | Gene | Fold Regulation | p-Value |
|---|---|---|---|
| Cytoplasm (for 57 genes) | Amyotrophic lateral sclerosis 2 (juvenile) homolog (Als2) % | −1.12 | 0.4056 |
| Aldehyde oxidase 1 (Aox1) | −1.47 | 0.7197 | |
| Adenomatous polyposis coli (Apc) # | −1.29 | 0.0076 ** | |
| Catalase (Cat) | −1.14 | 0.8825 | |
| Copper chaperone for superoxide dismutase (Ccs) | −1.54 | 0.0107 * | |
| Cathepsin B (Ctsb) #$& | −1.08 | 0.8053 | |
| Cytoglobin (Cygb) % | 1.00 | 0.8149 | |
| 24-dehydrocholesterol reductase (Dhcr24) | −1.53 | 0.0335 * | |
| Dynamin 2 (Dnm2) # | −1.15 | 0.2431 | |
| EH-domain containing 2 (Edh2) # | −1.28 | 0.2593 | |
| Fanconi anemia, complementation group C (Fancc) % | −1.29 | 0.1559 | |
| Flavin containing monooxygenase 2 (Fmo2) | −1.56 | 0.0439 * | |
| Ferritin, heavy polypeptide 1 (Fth1) | −1.17 | 0.1693 | |
| Glutamate-cysteine ligase, catalytic subunit (Gclc) @ | −2.02 | 0.0304 * | |
| Glutamate cysteine ligase, modifier subunit (Gclm) | −1.58 | 0.0731 | |
| Glutathione peroxidase 1 (Gpx1) @ | −1.33 | 0.1227 | |
| Glutathione peroxidase 2 (Gpx2) | 1.48 | 0.5107 | |
| Glutathione peroxidase 4 (Gpx4) %@ | −1.59 | 0.0024 ** | |
| Glutathione peroxidase 7 (Gpx7) | −1.28 | 0.3334 | |
| Glutathione reductase (Gsr) @ | −1.30 | 0.0034 ** | |
| Glutathione S-transferase pi 1 (Gstp1) %@ | −3.19 | 0.1159 | |
| Heme oxygenase (decycling) 1 (Hmox1; HO-1) | 2.68 | 0.1832 | |
| Heat shock 70kD protein 1A (Hspa1a) %$ | −1.07 | 0.8719 | |
| Isocitrate dehydrogenase 1 (NADP+), soluble (Idh1) | −1.08 | 0.8409 | |
| Keratin 1 (Krt1) # | −1.67 | 0.3836 | |
| Myoglobin (Mb) | −1.55 | 0.5192 | |
| Neutrophil cytosolic factor 1 (Ncf1) # | 1.11 | 0.6298 | |
| Neutrophil cytosolic factor 2 (Ncf2) | 1.39 | 0.1001 | |
| Neuroglobin (Ngb) @ | −1.54 | 0.1022 | |
| Nitric oxide synthase 2, inducible (Nos2) | −1.14 | 0.9919 | |
| NADPH oxidase 4 (NOX4) # | −1.30 | 0.6739 | |
| NADPH oxidase activator 1 (Noxa1) # | −1.47 | 0.5365 | |
| NADPH oxidase organizer 1 (Noxo1) | −1.21 | 0.7064 | |
| NAD(P)H dehydrogenase, quinone 1 (NQO1) | −2.60 | 0.0279 * | |
| Nudix (nucleoside diphosphate linked moiety X)-type motif 1 (Nudt1) | −1.55 | 0.0116 * | |
| Parkinson’s disease (autosomal recessive, early onset) 7 (Park7) @# | −1.36 | 0.0218 * | |
| Peroxiredoxin 1 (Prdx1) | 1.43 | 0.4819 | |
| Peroxiredoxin 2 (Prdx2) | −1.26 | 0.0043 ** | |
| Peroxiredoxin 3 (Prdx3) @ | −1.17 | 0.2556 | |
| Peroxiredoxin 4 (Prdx4) $ | −1.17 | 0.0955 | |
| Peroxiredoxin 5 (Prdx5) @ | −1.60 | 0.0066 ** | |
| Peroxiredoxin 6 (Prdx6) | −1.62 | 0.0008 *** | |
| Prion protein (Prnp) | −1.39 | 0.0053 ** | |
| Proteasome (prosome, macropain) subunit, beta type 5 (Psmb5) % | −1.63 | 0.0002 *** | |
| Prostaglandin-endoperoxide synthase 1 (Ptgs1) | 1.25 | 0.9918 | |
| Prostaglandin-endoperoxide synthase 2 (Ptgs2) % | 1.06 | 0.5522 | |
| Stearoyl-CoA desaturase (Scd) # | −1.64 | 0.1776 | |
| Selenoprotein S (Selenos) | −1.62 | 0.0008 *** | |
| Serine (or cysteine) peptidase inhibitor, clade B, member 1b (Serpinb1b) | 1.14 | 0.3653 | |
| Superoxide dismutase 1, soluble (SOD1) % | −1.38 | 0.0449 * | |
| Superoxide dismutase 3, extracellular (SOD3) $ | −1.17 | 0.2335 | |
| Sequestosome 1 (Sqstm1) % | 1.39 | 0.0530 | |
| Sulfiredoxin 1 homolog (S. cerevisiae) (Srxn1) | 1.68 | 0.1758 | |
| Thioredoxin 1 (Txn1) %$ | −1.37 | 0.0069 ** | |
| Thioredoxin interacting protein (Txnipp) | −1.27 | 0.0717 | |
| Thioredoxin reductase 1 (Txnrd1) | −1.20 | 0.1823 | |
| Vimentin (Vim) % | 1.53 | 0.6269 | |
| Nucleus (for 5 genes) | Excision repair cross-complementing rodent repair deficiency, complementation group 2 (Ercc2) | −1.24 | 0.1454 |
| Excision repair cross-complementing rodent repair deficiency, complementation group 6 (Ercc6) | −1.11 | 0.5644 | |
| Intraflagellar transport 172 homolog (Chlamydomonas) (Ift172) | −1.72 | 0.0081 ** | |
| Similar to Serine/threonine-protein kinase ATR (Ataxia telangiectasia and Rad3-related protein) (LOC367198) | −1.84 | 0.1119 | |
| Recombination activating gene 2 (Rag2) | −2.57 | 0.0474 * | |
| Membrane-associated (for 6 genes) | Dual oxidase 1 (Duox1) | 1.65 | 0.7964 |
| Dual oxidase 2 (Duox2) | −1.05 | 0.8609 | |
| Glutathione S-transferase kappa 1 (Gstk1) | −1.69 | 0.0004 *** | |
| Solute carrier family 38, member 1 (Slc38a1) | −1.06 | 0.9819 | |
| Solute carrier family 38, member 5 (Slc38a5) | −1.07 | 0.8834 | |
| Thyroid peroxidase (Tpo) | −1.98 | 0.0707 | |
| Mitochondria (for 5 genes) | Cytochrome b-245, alpha polypeptide (Cyba) | −1.35 | 0.1932 |
| Uncoupling protein 2 (mitochondrial, proton carrier) (Ucp2) | 1.27 | 0.1585 | |
| Uncoupling protein 3 (mitochondrial, proton carrier) (Ucp3) | −1.11 | 0.1453 | |
| Superoxide dismutase 2, mitochondrial (SOD2) | −1.30 | 0.0015 ** | |
| Thioredoxin reductase 2 (Txnrd2) | −1.11 | 0.6944 | |
| Secreted (for 9 genes) | Albumin (Alb) | 1.20 | 0.7347 |
| Apolipoprotein E (Apoe) & | −1.18 | 0.3419 | |
| Chemokine (C-C motif) ligand 5 (CCl5) | −2.43 | 0.0043 ** | |
| Glutathione peroxidase 3 (Gpx3) | −1.64 | 0.0438 * | |
| Glutathione peroxidase 5 (Gpx5) | −1.46 | 0.1551 | |
| Glutathione peroxidase 6 (Gpx6) | −3.50 | 0.0148 * | |
| Lactoperoxidase (LPO) | −2.21 | 0.2226 | |
| Myeloperoxidase (MPO) & | −3.77 | 0.1487 | |
| Selenoprotein P-1 (SEPP1) | −2.22 | 0.0002 *** | |
| Extracellular space (for 2 genes) | Eosinophil peroxidase (Epx) | −1.13 | 0.8530 |
| Hemoglobin alpha, adult chain 1 (Hba-a1) | 1.96 | 0.6148 |
Disclaimer/Publisher’s Note: The statements, opinions and data contained in all publications are solely those of the individual author(s) and contributor(s) and not of MDPI and/or the editor(s). MDPI and/or the editor(s) disclaim responsibility for any injury to people or property resulting from any ideas, methods, instructions or products referred to in the content. |
© 2025 by the authors. Licensee MDPI, Basel, Switzerland. This article is an open access article distributed under the terms and conditions of the Creative Commons Attribution (CC BY) license (https://creativecommons.org/licenses/by/4.0/).
Share and Cite
Lu, C.-L.; Wang, Y.-Y.; Tsai, Y.-J.; Chen, H.-T.; Ma, M.-C.; Wu, W.-B. Transcriptomic Redox Dysregulation in a Rat Model of Metabolic Syndrome-Associated Kidney Injury. Antioxidants 2025, 14, 746. https://doi.org/10.3390/antiox14060746
Lu C-L, Wang Y-Y, Tsai Y-J, Chen H-T, Ma M-C, Wu W-B. Transcriptomic Redox Dysregulation in a Rat Model of Metabolic Syndrome-Associated Kidney Injury. Antioxidants. 2025; 14(6):746. https://doi.org/10.3390/antiox14060746
Chicago/Turabian StyleLu, Chien-Lin, Yi-Yun Wang, Yih-Jeng Tsai, Hsuan-Ting Chen, Ming-Chieh Ma, and Wen-Bin Wu. 2025. "Transcriptomic Redox Dysregulation in a Rat Model of Metabolic Syndrome-Associated Kidney Injury" Antioxidants 14, no. 6: 746. https://doi.org/10.3390/antiox14060746
APA StyleLu, C.-L., Wang, Y.-Y., Tsai, Y.-J., Chen, H.-T., Ma, M.-C., & Wu, W.-B. (2025). Transcriptomic Redox Dysregulation in a Rat Model of Metabolic Syndrome-Associated Kidney Injury. Antioxidants, 14(6), 746. https://doi.org/10.3390/antiox14060746

