Ocimum basilicum and Lagenaria siceraria Loaded Lignin Nanoparticles as Versatile Antioxidant, Immune Modulatory, Anti-Efflux, and Antimicrobial Agents for Combating Multidrug-Resistant Bacteria and Fungi
Abstract
1. Introduction
2. Materials and Methods
2.1. Bacterial and Fungal Strains
2.2. Antimicrobial Susceptibility of Tested Strains
2.3. Preparation of Ocimum basilicum Ethanolic Extract and Lagenaria siceraria Sedd Oil
2.4. Synthesis and Characterization of LS-LNPs and OB-LNPs
2.5. Testing Antimicrobial Activity of LS-LNPs and OB-LNPs
2.5.1. Agar Well Diffusion Test
2.5.2. Broth Microdilution Test
2.6. Testing of the Antiefflux Activity of LS-LNPs and OB-LNPs on Salmonella enterica Species
2.7. Quantification of the Transcription Levels of Efflux Pump Genes
2.8. In Vivo Testing of Antibacterial Activities of LS-LNPs and OB-LNPs
2.8.1. Measurement of Bacterial Load in Organs
2.8.2. Blood Biochemical and Immunological Parameters
2.8.3. Histopathological Examination of Internal Organs
2.9. In Vivo Testing of the Anti-Dermatophyte Activity of LS-LNPs and OB-LNPs
2.10. Data Analysis
3. Results
3.1. Physicochemical Properties and Transmission Electron Microscopy of LS-LNPs and OB-LNPs
3.2. The Antimicrobial Activity of LS-LNPs and OB-LNPs
3.3. ramA and acrB Efflux Pump Genes Expression in Ciprofloxacin-Resistant Salmonella enterica Strains
3.4. Biochemical, Haematological, Antioxidant, and Immunological Effects of CIP+LS-LNPs and CIP+OB-LNPs on Blood and Serum Constituents of S. Typhimurium Challenged Rats
3.5. Bacterial Load Counting
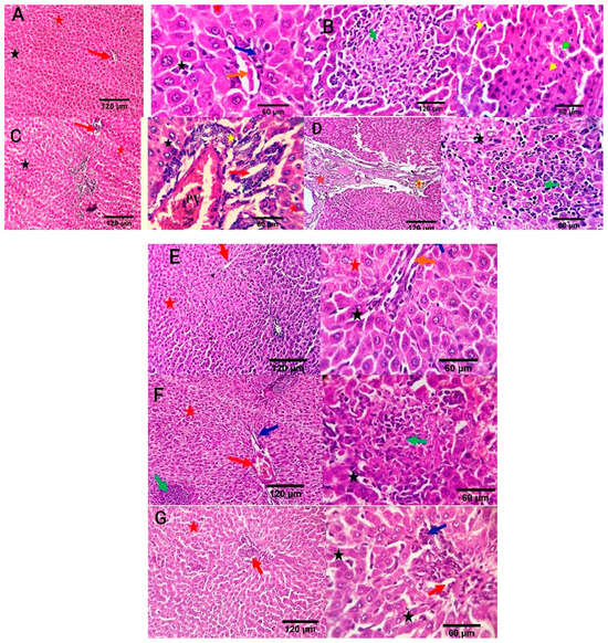
3.6. Histopathological Features of Intestinal and Hepatic Tissues Post S. Typhimurium Infection
3.7. In Vivo Antifungal Activity of LC-LNPs and OB-LNPs against T. rubrum
4. Discussion
5. Conclusions
Supplementary Materials
Author Contributions
Funding
Institutional Review Board Statement
Informed Consent Statement
Data Availability Statement
Conflicts of Interest
References
- Patra, J.K.; Das, G.; Fraceto, L.F.; Campos, E.V.R.; Rodriguez-Torres, M.D.P.; Acosta-Torres, L.S.; Diaz-Torres, L.A.; Grillo, R.; Swamy, M.K.; Sharma, S.; et al. Nano based drug delivery systems: Recent developments and future prospects. J. Nanobiotechnol. 2018, 16, 71. [Google Scholar] [CrossRef] [PubMed]
- Rudramurthy, G.R.; Swamy, M.K.; Sinniah, U.R.; Ghasemzadeh, A. Nanoparticles: Alternatives against drug-resistant pathogenic microbes. Molecules 2016, 21, 836. [Google Scholar] [CrossRef] [PubMed]
- Lam, P.L.; Wong, W.Y.; Bian, Z.; Chui, C.H.; Gambari, R. Recent advances in green nanoparticles systems for drug delivery: Efficient delivery and safety concern. Nanomedicine 2017, 12, 357–385. [Google Scholar] [CrossRef]
- Li, Y.; Zhou, M.; Pang, Y.; Qiu, X. Lignin-based microsphere: Preparation and performance on encapsulating the pesticide avermectin. ACS Sustain. Chem. Eng. 2017, 5, 3321–3328. [Google Scholar] [CrossRef]
- Verdini, F.; Gaudino, E.C.; Canova, E.; Tabasso, S.; Behbahani, P.J.; Cravotto, G. Lignin as a Natural carrier for the efficient delivery of bioactive compounds: From waste to health. Molecules 2022, 27, 3598. [Google Scholar] [CrossRef] [PubMed]
- Tian, D.; Hu, J.; Chandra, R.P.; Saddler, J.N.; Lu, C. Valorizing recalcitrant cellulolytic enzyme lignin via lignin nanoparticles fabrication in an integrated bio refinery. ACS Sustain. Chem. Eng. 2017, 5, 2702–2710. [Google Scholar] [CrossRef]
- Buono, P.; Duval, A.; Verge, P.; Averous, L.; Habibi, Y. New insights on the chemical modifications of lignin: Acetylation versus Silylation. ACS Sustain. Chem. Eng. 2016, 4, 5212–5222. [Google Scholar] [CrossRef]
- Alqahtani, M.S.; Alqahtani, A.; Al-Thabit, A.; Roni, M.; Syed, R. Novel lignin nanoparticles for oral drug delivery. J. Mater. Chem. B 2019, 7, 4461. [Google Scholar] [CrossRef]
- Chen, L.; Shi, Y.; Gao, B.; Zhao, Y.; Jiang, Y.; Zha, Z.; Xue, W.; Gong, L. Lignin nanoparticles: Green synthesis in a ᵞ-valerolactone/water binary solvent and application to enhance antimicrobial activity of essential oils. ACS Sustain. Chem. Eng. 2020, 8, 714–722. [Google Scholar] [CrossRef]
- Freitas, F.M.C.; Cerqueira, M.A.; Goncalves, C.; Azinheiro, S.; Garrido-Maestu, A.; Vicente, A.A.; Pastrana, L.M.; Teixeira, J.A.; Michelin, M. Green synthesis of lignin nano and micro-particles: Physicochemical characterization, bioactive properties and cytotoxicity assessment. Int. J. Biol. Macromol. 2020, 163, 1798–1809. [Google Scholar] [CrossRef]
- Hegazy, E.M.; El Kinawy, O.S. Characteristics of pumpkin and bottle gourd in Egypt and potentially their contamination by mycotoxins and mycotoxigenic fungi. J. Am. Sci. 2011, 7, 615–622. [Google Scholar]
- Abd El-Rahman, A.A.; Mahmoud, A.Z.; Sayed, A.A.; Abd El latif, M.A. Physiochemical properties and Phytochemical Characteristics of bottle gourd (Lagenaria siceraria) seed oil. Egypt. J. Chem. 2022, 65, 269–277. [Google Scholar] [CrossRef]
- Essien, E.E.; Antia, B.S.; Peter, N. Lagenaria siceraria (Molina) standley. Total polyphenols and antioxidant activity of seed oils of bottle gourd cultivars. World J. Pharm. Res. 2015, 4, 274–285. [Google Scholar]
- Essien, E.E.; Antia, B.S.; Udoh, B.I. Phytochemical screening and antimicrobial activity of Lagenaria siceraria seeds extracts. Int. J. Pharmacogn. Phytochem. Res. 2015, 7, 554–558. [Google Scholar]
- Qamar, F.; Sana, A.; Naveed, S.; Faizi, S. Phytochemical characterization, antioxidant activity and antihypertensive evaluation of Ocimum basilicum L. in L-Name induced hypertensive rats and its correlation analysis. Heliyon 2023, 9, e14644. [Google Scholar] [CrossRef] [PubMed]
- Keita, S.M.; Vincent, C.; Schmit, J.P.; Belanger, A. Essential oil composition of Ocimum basilicum L., O. gratissium L. and O. suave L. in the republic of Guinea. Flavour Fragr. J. 2000, 15, 339–341. [Google Scholar] [CrossRef]
- Ramesh, B.; Satakopan, V.N. Antioxidant activities of hydroalcoholic extract of Ocimum sanctum against cadmium induced toxicity in rats. Indian J. Clin. Biochem. 2010, 25, 307–310. [Google Scholar] [CrossRef]
- Hadush, G.; Aman, D.; Bachheti, R.K. Characterization of some compounds isolated from sweet basil (Ocimum basilicum L.) leaf extract. Int. J. Sci. Rep. 2016, 2, 159–164. [Google Scholar]
- Wannissorn, B.; Jarikasem, S.; Siriwangchai, T.; Thubthimthed, S. Antibacterial properties of essential oils from Thai medicinal plants. Fitoterapia 2005, 76, 233–236. [Google Scholar] [CrossRef]
- Abd El-Aziz, N.K.; Tartor, Y.H.; Gharieb, R.M.A.; Erfan, A.M.; Khalifa, E.; Said, M.A.; Ammar, A.M.; Samir, M. Extensive drug-resistant Salmonella enterica isolated from poultry and humans: Prevalence and molecular determinants behind the co-resistance to ciprofloxacin and tigecycline. Front. Microbiol. 2021, 12, 738784. [Google Scholar] [CrossRef]
- Scallan, E.; Hoekstra, R.M.; Angulo, F.J.; Tauxe, R.V.; Widdowson, M.A.; Roy, S.L.; Jones, J.L.; Griffin, P.M. Foodborne illness acquired in the United States-Major pathogen. Emerg. Infect. Dis. 2011, 17, 7. [Google Scholar] [CrossRef] [PubMed]
- Anbazhagan, P.V.; Thavitiki, P.R.; Varra, M.; Annamalai, L.; Putturu, R.; Lakkineni, V.R.; Pesingi, P.K. Evaluation of efflux pump activity of multidrug-resistant Salmonella Typhimurium isolated from poultry wet markets in India. Infect. Drug Resist. 2019, 12, 1081–1088. [Google Scholar] [CrossRef] [PubMed]
- Chopra, I.; Roberts, M. Tetracycline antibiotics: Mode of action, applications, molecular biology and epidemiology of bacterial resistance. Microbiol. Mol. Biol. Rev. 2001, 65, 232–260. [Google Scholar] [CrossRef] [PubMed]
- Zhang, H.L.; Tan, M.; Qiu, A.M.; Tao, Z.; Wang, C.H. Antibiotics for treatment of acute exacerbation of chronic obstructive pulmonary disease: A network meta-analysis. BMC Pulm. Med. 2017, 17, 196. [Google Scholar] [CrossRef] [PubMed]
- Agidigbi, T.S.; Lawal, T.O.; Ajala, T.O.; Odeku, O.A.; Adeniyi, B.A. Antifungal activities of an extract and cream formulation of cola millenii K. Schum in dermatophyte-infected Wistar rats. Eur. J. Pharm. Med. Res. 2019, 6, 61–69. [Google Scholar]
- Song, X.; Wei, Y.; Lai, K.; He, Z.; Zhang, H. In Vivo antifungal activity of dipyrithione against trichophyton rubrum on guinea pig dermatophytosis models. Biomed. Pharmacother. 2018, 108, 558–564. [Google Scholar] [CrossRef]
- Schmidt, M. Boric acid inhibition of Trichophyton rubrum growth and conidia formation. Biol. Trace Elem. Res. 2017, 180, 349–354. [Google Scholar] [CrossRef]
- Blutfield, M.S.; Lohre, J.M.; Pawich, D.A.; Vlahovic, T.C. The immunologic response to Trichophyton rubrum in lower extremity fungal infections. J. Fungi 2015, 1, 130–137. [Google Scholar] [CrossRef]
- Baldo, A.; Monod, M.; Mathy, A.; Cambier, L.; Bagut, E.T.; Defaweux, V.; Symoens, F.; Antoine, N.; Mignon, B. Mechanisms of skin adherence and invasion by dermatophytes. Mycoses 2012, 55, 218–223. [Google Scholar] [CrossRef]
- Crawford, F. Athlete’s foot. BMJ Clin. Evid. 2009, 2009, 1712. [Google Scholar]
- Tartor, Y.H.; El-Damaty, H.M.; Mahmod, Y.S. Diagnostic performance of molecular and conventional methods for identification of dermatophyte species from clinically infected Arabian horses in Egypt. Vet. Dermatol. 2016, 27, 401. [Google Scholar] [CrossRef] [PubMed]
- Ishii, M.; Matsumoto, Y.; Yamada, T.; Abe, S.; Sekimizu, K. An invertebrate infection model for evaluating antifungal agents against dermatophytosis. Sci. Rep. 2017, 7, 12289. [Google Scholar] [CrossRef]
- Yamada, T.; Maeda, M.; Alshahni, M.M.; Tanaka, R.; Yaguchi, T.; Bontems, O.; Salamin, K.; Fratti, M.; Monod, M. Terbinafine resistance of trichophyton clinical isolates caused by specific point mutations in the squalene epoxidase gene. Antimicrob. Agents chemother. 2017, 61, e00115-17. [Google Scholar] [CrossRef] [PubMed]
- Clinical and Laboratory Standards Institute (CLSI). Performance Standards for Antimicrobial Susceptibility Testing; CLSI Supplement M100-Ed32; CLSI: Wayne, PA, USA, 2022. [Google Scholar]
- Clinical and Laboratory Standards Institute (CLSI). Reference Method for Broth Dilution Antifungal Susceptibility Testing of Filamentous Fungi, 3rd ed.; CLSI standard: Wayne, PA, USA, 2017. [Google Scholar]
- Ibrahim, O.M.S.; Sarhan, S.R. In Vitro and in vivo antibacterial activity of ethanolic extract of sweet basil (Ocimum basilicum L.) leaves against Escherichia coli in experimentally infected rats. Adv. Anim. Vet. Sci. 2015, 3, 308–320. [Google Scholar] [CrossRef]
- Maldonado-Carmona, N.; Marchand, G.; Villandier, N.; Oak, T.; Pereira, M.M.; Calvete, M.J.F.; Calliste, C.A.; Zak, A.; Piksa, M.; Pawlik, K.J.; et al. Porphyrin-loaded lignin nanoparticles against bacteria: A Photodynamic Antimicrobial Chemotherapy Application. Front. Microbiol. 2020, 11, 606185. [Google Scholar] [CrossRef]
- Taleb, F.; Ammar, M.; Mosbah, M.; ben Salem, R.; ben Moussaoui, Y. Chemical Modification of Lignin Derived from Spent Coffee Grounds for Methylene Blue Adsorption. Sci. Rep. 2020, 10, 11048. [Google Scholar] [CrossRef]
- Selim, M.S.; Hamouda, H.; Hao, Z.; Shabana, S.; Chen, X. Design of γ- A1OOH, and α-Mn2O3 nanorods as advanced antibacterial active agents. Dalton Trans. 2020, 49, 8601–8613. [Google Scholar] [CrossRef]
- Parvekar, P.; Palaskar, J.; Metgud, S.; Maria, R.; Dutta, S. The minimum inhibitory concentration (MIC) and minimum bactericidal concentration (MBC) of silver nanoparticles against Staphylococcus aureus. Biomater. Investig. Dent. 2020, 7, 105–109. [Google Scholar] [CrossRef]
- Shanmugam, J.; Dhayalan, M.; Savaas Umar, M.R.; Gopal, M.; Ali Khan, M.; Simal-Gandara, J.; Cid-Samamed, A. Green synthesis of silver nanoparticles using Allium cepa var. Aggregatum natural extract: Antibacterial and cytotoxic properties. Nanomaterials 2022, 12, 1725. [Google Scholar]
- Martins, M.; Viveiros, M.; Couto, I.; Costa, S.S.; Pacheco, T.; Fanning, S.; Pages, J.; Amaral, L. Identification of efflux pump-mediated multidrug-resistant bacteria by the ethidium bromide-agar cartwheel method. In Vivo 2011, 25, 171–178. [Google Scholar]
- Rushdy, A.A.; Mabrouk, M.I.; Abu-Sef, F.A.; Kheiralla, Z.H.; Mohamed, A.S.; Saleh, N.M. Contribution of different mechanisms to the resistance to fluoroquinolones in clinical isolates of Salmonella enterica. Braz. J. Infect. Dis. 2013, 17, 431–437. [Google Scholar] [CrossRef] [PubMed]
- Deng, M.; Zhu, M.H.; Li, J.J.; Bi, S.; Sheng, Z.K.; Hu, F.S.; Zhang, J.J.; Chen, W.; Xue, X.W.; Sheng, J.; et al. Molecular epidemiology and mechanisms of tigecycline resistance in clinical isolates of Acinetobacter baumannii from a Chinese university hospital. Antimicrob. Agents. Chemother. 2014, 58, 297–303. [Google Scholar] [CrossRef] [PubMed]
- Fabrega, A.; Balleste-Delpiere, C.; Vila, J. Differential impact of ramRA mutations on both ramA transcription and decreased antimicrobial susceptibility in Salmonella Typhemurium. J. Antimicrob. Chemother. 2016, 71, 617–624. [Google Scholar] [CrossRef] [PubMed]
- Livak, K.J.; Schmittgen, T.D. Analysis of relative gene expression data using real-time quantitative PCR and the 2−∆∆CT method. Methods 2001, 25, 402–408. [Google Scholar] [CrossRef] [PubMed]
- Thygesen, P.; Martinsen, C.; Hougen, H.P.; Hattori, R.; Stenvang, J.P.; Rygaard, J. Histologic, cytologic, and bacteriologic examinations of experimentally induced Salmonella Typhimurium infection in Lewis rats. Comp Med. 2000, 50, 124–132. [Google Scholar] [PubMed]
- Havelaar, A.H.; Garssen, J.; Takumi, K.; Koedam, M.A.; Dufrenne, J.B.; Van Leusden, F.M.; De La Fonteyne, L.; Bousema, J.T.; Vos, J.G. A rat model for dose-response relationships of Salmonella Enteritidis infection. J. Appl. Microbiol. 2001, 91, 442–452. [Google Scholar] [CrossRef] [PubMed]
- Saunte, D.M.; Hasselby, J.P.; Brillowska-Dabrowska, A.; Frimodt-Moller, N.; Svejgaards, E.L.; Linnemann, D.; Nielsen, S.S.; Haedersdals, M.; Arendrup, M.C. Experimental guinea pig model of dermatophytosis: A simple and useful tool for the evaluation of new diagnostics and antifungals. Med. Mycol. 2008, 46, 303–313. [Google Scholar] [CrossRef] [PubMed]
- Balikci, E. Antidermatophyte and antioxidant activities of nigella sativa alone and in combination with enilconazole in treatment of dermatophytosis in cattle. Vet. Med. 2016, 61, 539–545. [Google Scholar] [CrossRef]
- Razali, N.M.; Wah, Y.B. Power comparisons of shapiro-wilk, Kolmogorov-smirnov, Lilliefors and Anderson-darling tests. J. Stat. Model. Anal. 2011, 2, 21–33. [Google Scholar]
- SAS Institute Inc. SAS/STAT Statistics user’s guide. In Statistical Analytical System, 5th ed.; SAS Institute Inc.: Cary, NC, USA, 2012. [Google Scholar]
- Escarcega-Gonzalez, C.E.; Garza-cervantes, J.A.; Vazquez-Rodriguez, A.; Montelongo-Peralta, L.Z.; Trevino-Gonzalez, M.T.; Castro, E.D.B.; Saucedo-Salazar, E.M.; Morales, R.M.C.; Soto, D.I.R.; Gonzalez, F.M.T.; et al. In Vivo antimicrobial activity of silver nanoparticles produced via a green chemistry synthesis using Acacia rigidula as a reducing and capping agent. Int. J. Nanomed. 2018, 13, 2349–2363. [Google Scholar] [CrossRef]
- Pogurschi, E.N.; Petcu, C.D.; Mizeranschi, A.E.; Zugravu, C.A.; Cîrnațu, D.; Pet, I.; Ghimpeteanu, O.M. Knowledge, Attitudes and Practices Regarding Antibiotic Use and Antibiotic Resistance: A Latent Class Analysis of a Romanian Population. Int.J. Environ. Res. Public Health 2022, 19, 7263. [Google Scholar] [CrossRef] [PubMed]
- Abdelsattar, A.S.; Hakim, T.A.; Rezk, N.; Farouk, W.M.; Hassan, Y.Y.; Gouda, S.M.; El-Shibiny, A. Green synthesis of silver nanoparticles using Ocimum basilicum L. and Hibiscus sabdariffa L. extracts and their antibacterial activity in combination with phage ZCSE6 and sensing properties. J. Inorg. Organomet. Polym. Mater. 2022, 32, 1951–1965. [Google Scholar] [CrossRef]
- Khosravani, M.; Soltan Dallal, M.M.; Norouzi, M. Phytochemical composition and anti-efflux pump activity of hydroalcoholic, aqueous and hexane extracts of Artemesia tournefortiana in ciprofloxacin-resistant strains of Salmonella enterica serotype Enteritidis. Iran J. Public Health. 2020, 49, 134–144. [Google Scholar] [PubMed]
- Mehta, J.; Jandaik, S. Evaluation of phytochemical and synergistic interaction between plant extract and antibiotic for efflux pump inhibitory activity against Salmonella enterica serovar Typhimurium strains. Int. J. Pharm. Pharm. Sci. 2016, 8, 217–223. [Google Scholar] [CrossRef]
- Mahmood, H.Y.; Jamshidi, S.; Sutton, J.M.; Rahman, K.M. Current Advances in developing inhibitors of bacterial multidrug efflux pumps. Curr. Med. Chem. 2016, 23, 1062–1081. [Google Scholar] [CrossRef] [PubMed]
- Zhang, L.; Tian, X.; Sun, L.; Mi, K.; Wang, R.; Gong, F.; Huang, L. Bacterial efflux pump inhibitors reduce antibiotic resistance. Pharmaceutics 2024, 16, 170. [Google Scholar] [CrossRef]
- Ahmed, D.; Naseer, Y.; Hina, S.; Bukhari, A. Hepatoprotective, anti-hemolytic and antiradical properties of cold-pressed, non-solvent extract of bottle gourd fruit. Int. J. Veg. Sci. 2018, 10, 1931–5279. [Google Scholar]
- Sulaiman, F.A.; Adeyemi, O.S.; Akanji, M.A.; Oloyede, H.O.B.; Suliman, A.A.; Olatunde, A.; Hoseni, A.A.; Olowolafe, Y.V.; Nlebedim, R.N.; Muritala, H.; et al. Biochemical and morphological alterations caused by silver nanoparticles in wistar rats. J. Acute Med. 2015, 5, 96–102. [Google Scholar] [CrossRef]
- Ramadan, A.G.; Yassein, A.A.M.; Eissa, E.A.; Mahmoud, M.S.; Hassan, G.M. Biochemical and histopathological alterations induced by sub chronic exposure to zinc oxide nanoparticle in male rats and assessment of its genotoxicity. J. Umm Al-Qura Univ. Appl. Sci. 2022, 8, 41–49. [Google Scholar] [CrossRef]
- Zhang, H.; Jacob, J.A.; Jiang, Z.; Xu, S.; Sun, K.; Zhong, Z.; Varadharaju, N.; Shanmugam, A. Hepatoprotective effect of silver nanoparticles synthesized using aqueous leaf extract of Rhizophora apiculata. Int J. Nanomed. 2020, 14, 3517–3524. [Google Scholar] [CrossRef]
- Singh, M.K.; Mohd, F.; Ayaz, A.; Ankur, S.; Jyoti, Y. Protective effect of lagenaria siceraria against doxorubicin induced cardiotoxicity in wister rats. Int. J. Drug Dev. Res. 2012, 4, 298–305. [Google Scholar]
- Fard, M.H.; Bodhankar, S.; Dikshit, M. Cardioprotective activity of fruit of lagenaria siceraria (Molina) Standly on Doxorubicin induced cardiotoxicity in rats. Int. J. Pharmacol. 2008, 4, 466–471. [Google Scholar]
- Attar, U.A.; Ghane, S.G. In Vitro antioxidant, antidiabetic, antiacetylcholine esterase, anticancer activities and RP-HPLC analysis of phenolics from the wild bottle gourd (Lagenaria siceraria (Molina) Standl.). S. Afr. J. Bot. 2019, 125, 360–370. [Google Scholar] [CrossRef]
- Karakas, I.; Hacioglu Dogru, N. Some biological potential of silver nanoparticles synthesized from Ocimum basilicum. GSC Biol. Pharm. Sci. 2023, 22, 107–113. [Google Scholar] [CrossRef]
- Aminian, A.R.; Mohebbati, R.; Boskabady, M.H. The effect of Ocimum basilicum L. and Its main ingredients on respiratory disorders: An experimental, preclinical, and clinical review. Front. Pharmacol. 2022, 12, 805391. [Google Scholar] [CrossRef]
- Attar, U.A.; Ghane, S.G. Phytochemicals, antioxidant activity and phenolic profiling of Diplocyclos palmatus (L.) C. Jeffery. Int. J. Pharm. Pharm. Sci. 2017, 9, 101–106. [Google Scholar] [CrossRef]
- Attar, U.A.; Ghane, S.G. Proximate composition of cucumissativus forma hardwickii (Royle) WJ De Wilde & Duyfjes. Int. J. Phytomed. 2017, 9, 101–112. [Google Scholar]
- Ghane, S.G.; Attar, U.A.; Yadav, P.R.; Lekhak, M.M. Antioxidant, Anti-diabetic, Acetylcholinesterase inhibitory potential and Estimation of Alkaloids (Lycorine and Galanthamine) from Crinum species: An important source of anticancer and anti-alzheimer drug. Indus. Crops Prod. 2018, 125, 168–177. [Google Scholar] [CrossRef]
- Patel, S.B.; Attar, U.A.; Ghane, S.G. Antioxidant potential of wild Lagenaria siceraria (Molina) Standl. Thai J. Pharm. Sci. 2018, 42, 90–96. [Google Scholar] [CrossRef]
- Zaatout, H.; AlShaikh, N.; Sallam, S.; Hammoda, H. Phytochemical and biological activities of Lagenaria siceraria: An overview. Egypt. J. Chem. 2023, 66, 479–495. [Google Scholar] [CrossRef]
- Kaiser, P.; Hardt, W.D. Salmonella Typhemurium diarrhea: Switching the mucosal epithelium from homeostasis to defencer. Curr. Opin. Immunol. 2011, 23, 456–463. [Google Scholar] [CrossRef] [PubMed]
- Santhoshkumar, J.; Sowmya, B.; Kumar, S.V.; Rajeshkumar, S. Toxicology evaluation and antidermatophytic activity of silver nanoparticles synthesized using leaf extract of Passiflora caerulea. S. Afr. J. Chem. Eng. 2019, 29, 17–23. [Google Scholar] [CrossRef]
- Baltazer, L.M.; Krausz, A.E.; Souza, A.C.O.; Adler, B.L.; Landriscina, A.; Musaev, T.; Nosanchuk, J.D.; Friedman, A.J. Trichophyton rubrum is inhibited by free and nanoparticle encapsulated curcumin by induction of Nitrosative stress after photodynamic activation. PLoS ONE 2015, 10, 0120179. [Google Scholar] [CrossRef] [PubMed]
- Espinoza-acosta, J.L.; Torres-Chavez, P.I.; Ramirez-Wong, B. Antioxidant, Antimicrobial and antimutagenic properties of technical lignins and their applications. Bio. Resour. 2016, 11, 5452–5481. [Google Scholar]
- Nasr, A.M.; Badawi, N.M.; Tartor, Y.H.; Sobhy, N.M.; Swidan, S.A. Development, Optimization, and invitro/in vivo evaluation of Azelaic acid transepithelial gel for antidermatophyte activity. Antibiotics 2023, 12, 707. [Google Scholar] [CrossRef] [PubMed]
- Maeki, M.; Kimura, N.; Sato, Y.; Harashima, H.; Tokeshi, M. Advances in microfluidics for lipid nanoparticles and extracellular vesicles and applications in drug delivery systems. Adv. Drug. Deliv. Rev. 2018, 128, 84–100. [Google Scholar] [CrossRef] [PubMed]
- Ganesan, P.; Narayanasamy, D. Lipid nanoparticles: Different preparation techniques, characterization, hurdles and strategies for the production of solid lipid nanoparticles and nanostructured lipid carriers for oral drug delivery. Sustain. Chem. Pham. 2017, 6, 37–56. [Google Scholar] [CrossRef]
- Soleimanian, Y.; Goli, S.A.H.; Varshosaz, J.; Sahafi, S.M. Formulation and characterization of novel nanostructured lipid carriers made from beewax, propolis wax and pomegranate seed oil. Food Chem. 2018, 244, 83–92. [Google Scholar] [CrossRef] [PubMed]
- Liu, D.; Lawrence, M.L.; Austin, F.W. Evaluation of PCR primers from putative transcriptional regulator genes for identification of Staphylococcus aureus. Lett. Appl. Microbiol. 2005, 40, 69–73. [Google Scholar] [CrossRef]
- Dutka-Malen, S.; Evers, S.; Courvalin, P. Detection of glycopeptide resistance genotypes and identification to the species level of clinically relevant enterococci by PCR. J. Clin. Microbiol. 1995, 33, 24–27. [Google Scholar] [CrossRef]
- Amit-Romach, E.; Sklan, D.; Uni, Z. Microflora Ecology of the Chicken Intestine Using 16S Ribosomal DNA Primers. Poultry Sci. 2004, 83, 1093–1098. [Google Scholar] [CrossRef] [PubMed]
- Liu, Y.; Liu, C.; Zheng, W.; Zhang, X.; Yu, J.; Gao, Q. Huo; Y.; Huang, X. PCR Detection of Klebsiella pneumoniae in Infant Formula Based on 16S-23S Internal Transcribed Spacer. Int. J. Food Microbiol. 2008, 125, 230–235. [Google Scholar] [CrossRef] [PubMed]
- De Clercq, D.; Ceustermans, A.; Heyndrickx, M.J.; Coosemans, J.; Ryckeboer, A. A rapid monitoring assay for the detection of Salmonella spp. and Salmonella Senftenberg strain W775 in composts. J. Appl. Microbiol. 2007, 103, 1364–5072. [Google Scholar] [CrossRef] [PubMed]
- White, T.J.; Bruns, T.D.; Lee, S.B.; Taylor, J.W. Amplification and direct sequencing of fungal ribosomal RNA genes for phylogenetics. In PCR Protocols: A Guide to Methods and Applications; Innis, M.A., Celfand, D.H., Sninsky, J.J., White, T.J., Eds.; Academic Press: San Diego, CA, USA, 1990; pp. 315–322. [Google Scholar]









| Species (No. of Strains) | LS-LNPs MIC Range (µg/mL) | OB-LNPs MIC Range (µg/mL) |
|---|---|---|
| Salmonella enterica (10) | 0.5–4 | 0.5–2 |
| S. aureus (10) | 8–16 | 2–16 |
| K. pneumoniae (10) | 4–16 | 2–16 |
| E. faecalis (10) | 4–16 | 2–16 |
| E. coli (10) | 4–16 | 4–16 |
| T. rubrum (3) | 0.125–1 | 0.25–2 |
| T. mentagrophytes (4) | 2–8 | 4–16 |
| M. canis (3) | 4–8 | 8–16 |
| Items | At 7 Days Post Infection | At 14 Days Post Infection | ||||||||||||||||
|---|---|---|---|---|---|---|---|---|---|---|---|---|---|---|---|---|---|---|
| NC | PC | CIP | CIP + OB-LNPs | CIP + LS-LNPs | OB-LNPs | LS-LNPs | ±SE | p-Value | NC | PC | CIP | CIP + OB-LNPs | CIP + LS-LNPs | OB-LNPs | LS-LNPs | ±SE | p-Value | |
| ALT | 36.40 d | 71.80 a | 54.80 b | 52.20 b,c | 48.40 c | 50.60 b,c | 49.20 b,c | 3.98 | <0.0001 | 21.13 d | 48.53 a | 41.17 b | 37.89 b,c | 34.79 c | 37.45 b,c | 41.94 b | 3.20 | <0.0001 |
| AST | 89.60 b | 113.32 a | 89.60 b | 89.16 b | 75.32 c | 89.12 b | 89.22 b | 4.25 | <0.0001 | 67.74 bc | 91.20 a | 71.72 b,c | 65.24 c | 67.94 b,c | 70.56 b,c | 74.84 b | 3.29 | <0.0001 |
| Creatinine | 0.37 d | 0.74 a | 0.54 b,c | 0.51 c | 0.55 b,c | 0.55 b,c | 0.61 c | 0.04 | <0.0001 | 0.46 e | 0.69 a | 0.60 b | 0.58 b | 0.55 b,c | 0.52 c,d | 0.47 d,e | 0.03 | <0.0001 |
| Urea | 37.45 d,e | 55.38 a | 42.86 c,d | 41.38 c,d,e | 34.35 e | 44.82 b,c | 50.10 a,b | 2.72 | <0.0001 | 29.40 b | 34.30 a | 30.56 b | 24.12 c | 24.22 c | 29.70 b | 29.46 b | 1.36 | <0.0001 |
| LDH | 413.60 d | 548.80 a | 511.80 a,b | 523.40 a,b | 454.80 c | 498.00 b | 482.00 b,c | 15.08 | <0.0001 | 468.60 b | 553.20 a | 520.20 a,b | 510.00 a,b | 394.20 c | 545.80 a | 503.60 a,b | 13.4 | <0.0001 |
| TP | 6.90 a | 5.98 c | 6.67 ab | 6.42 b | 6.68 a,b | 6.40 b | 6.51 a,b | 0.11 | 0.0030 | 7.05 a,b | 6.29 e | 6.72 b,c,d | 6.63 c,d,e | 7.10 a | 6.47 d,e | 6.89 a,b,c | 0.11 | 0.0002 |
| Alb | 3.50 a,b | 3.19 c | 3.51 ab | 3.49 ab | 3.57 a | 3.35 b | 3.45 a,b | 0.05 | 0.0008 | 3.72 a | 3.41 b | 3.58 a,b | 3.60 a,b | 3.64 a | 3.60 a,b | 3.53 a,b | 0.04 | 0.0405 |
| MDA | 133.40 c,d | 199.00 a | 159.60 b | 170.40 b | 134.60 c,d | 150.40 b,c | 125.00 d | 9.73 | <0.0001 | 119.36 b | 139.26 a | 133.76 a | 120.40 b | 118.94 b | 136.62 a | 143.10 a | 3.91 | <0.0001 |
| TAC | 235.20 a | 161.00 c | 190.80 b | 191.20 b | 191.60 b | 190.40 b | 179.80 b,c | 8.42 | 0.0001 | 179.60 a | 142.40 c | 155.60 b,c | 167.80 a,b | 180.80 a | 172.80 a,b | 168.60 a,b | 5.17 | 0.0005 |
| Hb | 11.38 a | 9.78 c | 10.62 b | 10.68 b | 10.67 b | 10.56 b | 10.78 b | 0.18 | <0.0001 | 12.37 a,b | 10.32 c | 11.40 b,c | 12.12 a,b | 12.53 a,b | 11.96 a,b | 12.73 a | 0.31 | 0.0044 |
| WBCs | 1.94 c | 3.08 a | 2.41 bc | 2.41 bc | 2.12 b,c | 2.52 b | 2.51 b | 0.14 | 0.0007 | 2.38 c | 2.98 a | 2.70 a,b,c | 2.78 a,b | 2.62 b,c | 2.70 a,b,c | 2.64 a,b,c | 0.07 | 0.0349 |
| Neutrophil | 21.80 c | 40.80 a | 34.20 b | 34.60 b | 33.60 b | 35.80 b | 32.60 b | 2.17 | <0.0001 | 19.80 c | 30.40 a | 28.40 ab | 26.40 b | 25.00 b | 28.20 a,b | 27.60 a,b | 1.29 | <0.0001 |
| Lymphocytes | 78.20 a | 57.60 c | 66.20 b | 66.00 b | 66.40 b | 63.40 b | 66.00 b | 2.32 | <0.0001 | 79.80 a | 67.80 c | 69.40 bc | 71.20 b,c | 72.0 b | 68.80 b,c | 70.00 b,c | 1.52 | <0.0001 |
| Phagocytosis | 31.60 a | 19.00 e | 22.00 c,d,e | 24.60 bc | 26.60 b | 21.40 d,e | 22.80 c,d | 1.56 | <0.0001 | 36.60 a | 26.60 d | 30.00 c | 32.60 b | 34.00 b | 26.80 d | 27.80 c,d | 1.47 | <0.0001 |
| PI | 1.34 a | 1.05 b | 1.11 b | 1.12 b | 1.13 b | 1.10 b | 1.10 b | 0.04 | 0.0041 | 1.23 a | 1.11 c | 1.15 bc | 1.14 b,c | 1.17 b | 1.13 b,c | 1.14 b,c | 0.01 | 0.0002 |
| INF-γ | 35.68 e | 52.42 a | 41.64 cd | 40.50 cd | 38.56 d,e | 46.30 b | 44.44 b,c | 2.09 | <0.0001 | 32.70 c | 49.94 a | 39.18 b | 35.72 b,c | 38.44 b,c | 41.74 b | 40.54 b | 2.05 | 0.0001 |
| TNF-α | 26.46 e | 48.64 a | 40.54 c | 42.86 bc | 47.30 a,b | 32.94 d | 35.52 d | 3.03 | <0.0001 | 28.06 d | 53.32 a | 44.90 a | 49.22 a | 51.56 a | 40.42 c | 44.56 b,c | 3.23 | <0.0001 |
| 3rd Day PT | 7th Day PT | 10th Day PT | 14th Day PT | 28th Day PT | |||||||||||||||||||||||||||||||
|---|---|---|---|---|---|---|---|---|---|---|---|---|---|---|---|---|---|---|---|---|---|---|---|---|---|---|---|---|---|---|---|---|---|---|---|
| G1 | G2 | G3 | G4 | G5 | G6 | G7 | G1 | G2 | G3 | G4 | G5 | G6 | G7 | G1 | G2 | G3 | G4 | G5 | G6 | G7 | G1 | G2 | G3 | G4 | G5 | G6 | G7 | G1 | G2 | G3 | G4 | G5 | G6 | G7 | |
| M | 0 | 4 | 3 | 2 | 3 | 3 | 3 | 0 | 5 | 3 | 3 | 3 | 4 | 4 | 0 | 4 | 3 | 2 | 3 | 2 | 2 | 0 | 3 | 2 | 1 | 1 | 2 | 2 | 0 | 0 | 0 | 0 | 0 | 0 | 0 |
| C | 0 | 4 | 2 | 2 | 2 | 2 | 5 | 0 | 3 | 2 | 1 | 1 | 2 | 2 | 0 | 3 | 2 | 0 * | 0 * | 1 | 1 | 0 | 3 | 0 * | 0 * | 0 * | 0 * | 0 * | 0 | 0 | 0 | 0 | 0 | 0 | 0 |
| M&C | 0 | 3 | 2 | 2 | 2 | 2 | 3 | 0 | 3 | 2 | 1 | 1 | 2 | 2 | 0 | 3 | 2 | 0 * | 0 * | 1 | 1 | 0 | 3 | 0 * | 0 * | 0 * | 0 * | 0 * | 0 | 0 | 0 | 0 | 0 | 0 | 0 |
Disclaimer/Publisher’s Note: The statements, opinions and data contained in all publications are solely those of the individual author(s) and contributor(s) and not of MDPI and/or the editor(s). MDPI and/or the editor(s) disclaim responsibility for any injury to people or property resulting from any ideas, methods, instructions or products referred to in the content. |
© 2024 by the authors. Licensee MDPI, Basel, Switzerland. This article is an open access article distributed under the terms and conditions of the Creative Commons Attribution (CC BY) license (https://creativecommons.org/licenses/by/4.0/).
Share and Cite
El-Samahy, L.A.; Tartor, Y.H.; Abdelkhalek, A.; Pet, I.; Ahmadi, M.; El-Nabtity, S.M. Ocimum basilicum and Lagenaria siceraria Loaded Lignin Nanoparticles as Versatile Antioxidant, Immune Modulatory, Anti-Efflux, and Antimicrobial Agents for Combating Multidrug-Resistant Bacteria and Fungi. Antioxidants 2024, 13, 865. https://doi.org/10.3390/antiox13070865
El-Samahy LA, Tartor YH, Abdelkhalek A, Pet I, Ahmadi M, El-Nabtity SM. Ocimum basilicum and Lagenaria siceraria Loaded Lignin Nanoparticles as Versatile Antioxidant, Immune Modulatory, Anti-Efflux, and Antimicrobial Agents for Combating Multidrug-Resistant Bacteria and Fungi. Antioxidants. 2024; 13(7):865. https://doi.org/10.3390/antiox13070865
Chicago/Turabian StyleEl-Samahy, Lamiaa A., Yasmine H. Tartor, Adel Abdelkhalek, Ioan Pet, Mirela Ahmadi, and Sameh M. El-Nabtity. 2024. "Ocimum basilicum and Lagenaria siceraria Loaded Lignin Nanoparticles as Versatile Antioxidant, Immune Modulatory, Anti-Efflux, and Antimicrobial Agents for Combating Multidrug-Resistant Bacteria and Fungi" Antioxidants 13, no. 7: 865. https://doi.org/10.3390/antiox13070865
APA StyleEl-Samahy, L. A., Tartor, Y. H., Abdelkhalek, A., Pet, I., Ahmadi, M., & El-Nabtity, S. M. (2024). Ocimum basilicum and Lagenaria siceraria Loaded Lignin Nanoparticles as Versatile Antioxidant, Immune Modulatory, Anti-Efflux, and Antimicrobial Agents for Combating Multidrug-Resistant Bacteria and Fungi. Antioxidants, 13(7), 865. https://doi.org/10.3390/antiox13070865

