Effects of Malondialdehyde on Growth Performance, Gastrointestinal Health, and Muscle Quality of Striped Catfish (Pangasianodon hypophthalmus)
Abstract
1. Introduction
2. Materials and Methods
2.1. Preparation of MDA Solution
2.2. Experimental Diets
2.3. Feeding Management
2.4. Sample Collection
2.5. Gastrointestinal Tract Histological Examination
2.6. Intestinal Digestive Enzyme Activity
2.7. Biochemical Indicators in Serum and Intestinal Immune Factor Contents
2.8. Intestinal Microbial Composition
2.9. Quantitative PCR Measurement
2.10. Muscle Color and Texture Characteristics Analysis
2.11. Calculations and Statistical Analysis
3. Results
3.1. Growth Performance
3.2. Digestion and Absorption Function
3.3. Intestinal Mucosal Barrier
3.3.1. Intestinal Mucosal Permeability
3.3.2. Intestinal Biological Barrier
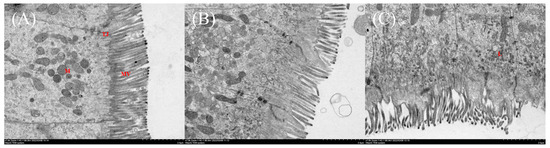
3.3.3. Intestinal Physical Barrier
3.3.4. Intestinal Immune Barrier
3.4. Muscle Color and Texture Characteristics
4. Discussion
5. Conclusions
Author Contributions
Funding
Institutional Review Board Statement
Informed Consent Statement
Data Availability Statement
Conflicts of Interest
References
- Hixson, S.M. Fish nutrition and current issues in aquaculture: The balance in providing safe and nutritious seafood, in an environmentally sustainable manner. J. Aquac. Res. Dev. 2014, 5, 1000234. [Google Scholar] [CrossRef]
- Abdel-Latif, H.M.; Chaklader, M.R.; Shukry, M.; Ahmed, H.A.; Khallaf, M.A. A multispecies probiotic modulates growth, digestive enzymes, immunity, hepatic antioxidant activity, and disease resistance of Pangasianodon hypophthalmus fingerlings. Aquaculture 2023, 563, 738948. [Google Scholar] [CrossRef]
- Yu, Y.B.; Lee, J.H.; Choi, J.H.; Choi, Y.J.; Jo, A.H.; Choi, C.Y.; Kang, J.C.; Kim, J.H. The application and future of biofloc technology (BFT) in aquaculture industry: A review. J. Environ. Manag. 2023, 342, 118237. [Google Scholar] [CrossRef]
- Wong, M.H.; Mo, W.Y.; Choi, W.M.; Cheng, Z.; Man, Y.B. Recycle food wastes into high quality fish feeds for safe and quality fish production. Environ. Pollut. 2016, 219, 631–638. [Google Scholar] [PubMed]
- Nagarajan, D.; Varjani, S.; Lee, D.J.; Chang, J.S. Sustainable aquaculture and animal feed from microalgae-nutritive value and techno-functional components. Renew. Sustain. Energy Rev. 2021, 150, 111549. [Google Scholar] [CrossRef]
- Zhu, T.; Shen, Y.; Li, X.; Pan, T.; Luo, J.; Lu, J.; Bao, Y.; Wu, Z.; Jiao, L.; Tocher, D.R.; et al. Effects of an alternating linseed oil-fish oil feeding strategy on growth, fatty acid restoration and expression of lipid related genes in black seabream (A. schlegelii). Aquaculture 2022, 547, 737456. [Google Scholar] [CrossRef]
- Long, S.; You, Y.; Dong, X.; Tan, B.; Zhang, S.; Chi, S.; Yang, Q.; Liu, H.; Xie, S.; Yang, Y.; et al. Effect of dietary oxidized fish oil on growth performance, physiological homeostasis and intestinal microbiome in hybrid grouper (♀Epinephelus fuscoguttatus × ♂E. lanceolatus). Aquac. Rep. 2022, 24, 101130. [Google Scholar] [CrossRef]
- Zhang, J.; Che, C.; Cai, M.; Hu, Y. Taurine improves health of juvenile rice field eel (Monopterus albus) fed with oxidized fish oil: Involvement of lipid metabolism, antioxidant capacity, inflammatory response. Aquac. Rep. 2022, 27, 101388. [Google Scholar] [CrossRef]
- Luo, J.; Li, G.; Chen, Y.; Yuan, Y.; Huang, Y.; Liu, H.; Jian, J.; Cai, S.; Yang, S. Sulforaphane alleviates oxidative stress induced by oxidized fish oil in Litopenaeus vannamei by involving antioxidant capacity, inflammation, autophagy, and apoptosis. Aquac. Rep. 2023, 33, 101851. [Google Scholar] [CrossRef]
- Yu, T.; Chen, Y.; Chen, X.; Abdallah, G.; Guo, Z.; Zhao, Y.; Wang, Q.; Zhang, D. The effect of oxidized fish oil on lipid metabolism in Rhynchocypris lagowski Dybowski. Aquac. Rep. 2022, 17, 100388. [Google Scholar] [CrossRef]
- Long, S.; Dong, X.; Liu, H.; Yan, X.; Tan, B.; Zhang, S.; Chi, S.; Yang, Q.; Liu, H.; Yang, Y.; et al. Effect of dietary oxidized fish oil on liver function in hybrid grouper (♀Epinephelus fuscoguttatus × ♂E. lanceolatus). Aquac. Rep. 2022, 22, 101000. [Google Scholar] [CrossRef]
- Long, S.; Dong, X.; Tan, B.; Zhang, S.; Chi, S.; Yang, Q.; Liu, H.; Xie, S.; Deng, J.; Yang, Y.; et al. The antioxidant ability, histology, proximate, amino acid and fatty acid compositions, and transcriptome analysis of muscle in juvenile hybrid grouper (♀Epinephelus fuscoguttatus × ♂E. lanceolatus) fed with oxidized fish oil. Aquaculture 2022, 547, 737510. [Google Scholar] [CrossRef]
- Lei, X.J.; Zhang, D.G.; Tan, X.Y.; Zhao, T.; Song, Y.F.; Song, C.C.; Lv, W.H.; Luo, Z. Interactive influences of dietary selenium and oxidized fish oil on growth, nutritional composition, muscle development, antioxidant responses and selenoprotein expression in the muscle of yellow catfish Pelteobagrus fulvidraco. Aquaculture 2023, 576, 739865. [Google Scholar] [CrossRef]
- Chen, J.; Jin, J.; Liu, Y.; Zhao, M.; Qi, Z.; Shi, W.; Li, Y.; Lu, S.; Dong, J.; Wang, Q. Assessing the structural and foaming property changes in egg yolk proteins due to malondialdehyde: Experimental and molecular docking studies. Food Chem. 2024, 452, 139529. [Google Scholar] [CrossRef]
- Paculová, V.; Prasad, A.; Sedlářová, M.; Pospíšil, P. Oxidative modification of collagen by malondialdehyde in porcine skin. Arch. Biochem. Biophys. 2024, 752, 109850. [Google Scholar] [CrossRef] [PubMed]
- Yates, S.A.; Dempster, N.M.; Murphy, M.F.; Moore, S.A. Quantitative analysis of malondialdehyde-guanine adducts in genomic DNA samples by liquid chromatography/tandem mass spectrometry. Rapid Commun. Mass Spectrom. 2017, 31, 762–770. [Google Scholar] [CrossRef] [PubMed]
- Li, F.; Wu, X.; Wu, W. Effects of oxidative modification by malondialdehyde on the in vitro digestion properties of rice bran protein. J. Cereal Sci. 2021, 97, 103158. [Google Scholar] [CrossRef]
- Vandemoortele, A.; Heynderickx, P.M.; Leloup, L.; De Meulenaer, B. Kinetic modeling of malondialdehyde reactivity in oil to simulate actual malondialdehyde formation upon lipid oxidation. Food Res. Int. 2021, 140, 110063. [Google Scholar] [CrossRef] [PubMed]
- Song, J.; Xie, T.; Liu, W.; Wang, P.; Wang, Y.; Chen, Y.; Zhou, Y. Effects of malonaldehyde on protein oxidation soybean meal and the mitigation effect of tea polyphenols. J. Nanjing Agric. Univ. 2023, 46, 324–332. [Google Scholar] [CrossRef]
- Ali, H.; Haque, M.M.; Belton, B. Striped catfish (Pangasianodon hypophthalmus, Sauvage, 1878) aquaculture in bangladesh: An overview. Aquac. Res. 2013, 44, 950–965. [Google Scholar] [CrossRef]
- Tram, C.H.T.; Ha, N.T.K.; Ishimatsu, A.; Phuong, N.T. Effects of carbon dioxide (CO2) at different temperatures on physiological parameters and growth in striped catfish (Pangasianodon hypophthalmus) juveniles. Aquaculture 2021, 534, 736279. [Google Scholar] [CrossRef]
- Nguyen, T.A.T.; Jolly, C.M. Global value chain and food safety and quality standards of vietnam pangasius exports. Aquac. Rep. 2020, 16, 100256. [Google Scholar] [CrossRef]
- Gao, Z.; You, X.; Zhang, X.; Chen, J.; Xu, T.; Huang, Y.; Lin, X.; Xu, J.; Bian, C.; Shi, Q. A chromosome-level genome assembly of the striped catfish (Pangasianodon hypophthalmus). Genomics 2021, 113, 3349–3356. [Google Scholar] [CrossRef] [PubMed]
- Manna, S.K.; Das, N.; Bera, A.K.; Baitha, R.; Maity, S.; Debnath, D.; Panikkar, P.; Nag, S.K.; Das Sarkar, S.; Das, B.K.; et al. Reference haematology and blood biochemistry profiles of striped catfish (Pangasianodon hypophthalmus) in summer and winter seasons. Aquac. Rep. 2021, 21, 100836. [Google Scholar] [CrossRef]
- FAO. The State of World Fisheries and Aquaculture (SOFIA)-Sustainability in Action; Food and Agriculture Organization of the United Nations: Rome, Italy, 2020. [Google Scholar]
- FAO. The State of World Fisheries and Aquaculture (SOFIA)-Towards Blue Trasformation; Food and Agriculture Organization of the United Nations: Rome, Italy, 2022. [Google Scholar]
- Jiang, L.S.; Ruan, Z.H.; Lu, Z.Q.; Li, Y.F.; Luo, Y.Y.; Zhang, X.Q.; Liu, W.S. Novel SNPs in the 3’UTR region of GHRb gene associated with growth traits in striped catfish (Pangasianodon hypophthalmus), a valuable aquaculture species. Fishes 2022, 7, 230. [Google Scholar] [CrossRef]
- FAO. The State of World Fisheries and Aquaculture (SOFIA)-Blue Transformation in Action; Food and Agriculture Organization of the United Nations: Rome, Italy, 2024. [Google Scholar]
- Luo, L.; Yang, J.; Nie, Y.; Sun, S.; Hao, Y.; Zhao, Y.; Hang, J.; Zhang, L. Pollution of polycyclic aromatic hydrocarbons in fish and its impact on human health. J. Aquac. 2022, 43, 1–5. [Google Scholar] [CrossRef]
- Islam, M.A.; Uddin, M.H.; Uddin, M.J.; Shahjahan, M. Temperature changes influenced the growth performance and physiological functions of thai pangas Pangasianodon hypophthalmus. Aquac. Rep. 2019, 13, 100179. [Google Scholar] [CrossRef]
- Tao, Q.Y. Free radical damage and yellow basa catfish (Pangasius bocourti). Curr. Fish. 2020, 45, 77–79. [Google Scholar] [CrossRef]
- Abduh, M.Y.; Asra Aswadi, N.I.; Husna, N.M.A.; Syazana, S.; Norazmi-Lokman, N.H. Effects of pH and temperature on striped catfish Pangasianodon hypophthalmus juvenile: Data on growth performance and survival rate. Data Brief 2024, 52, 109826. [Google Scholar] [CrossRef]
- Hoque, M.S.; Haque, M.M.; Nielsen, M.; Badiuzzaman; Rahman, M.T.; Hossain, M.I.; Mahmud, S.; Mandal, A.K.; Frederiksen, M.; Larsen, E.P. Prospects and challenges of yellow flesh pangasius in international markets: Secondary and primary evidence from bangladesh. Heliyon 2021, 7, e08060. [Google Scholar] [CrossRef] [PubMed]
- Yang, X.; Tang, Y.; Liu, C.; Jiang, Y.; Luo, S.; Ren, Q.; Wu, P. Changes in histamine and malondialdehyde content of grouper and basa matching feeds during storage. Guangdong Feed 2022, 31, 35–40. [Google Scholar] [CrossRef]
- Chodsana, S.; Phanat, K.; Umesh, P.; Soottawat, B.; Theeraphol, S.; Sitthipong, N. Development of yellow discoloration in sawai (Pangasianodon hypophthalmus) muscle due to lipid oxidation. Prev. Nutr. food Sci. 2023, 28, 483–491. [Google Scholar] [CrossRef]
- Cheng, J.; Wang, F.; Yu, D.; Wu, P.; Chen, J. The cytotoxic mechanism of malondialdehyde and protective effect of carnosine via protein cross-linking/mitochondrial dysfunction/reactive oxygen species/MAPK pathway in neurons. Eur. J. Pharmacol. 2010, 650, 184–194. [Google Scholar] [CrossRef] [PubMed]
- State Administration for Market Regulation. GB/T 22919.8–2024; National Standard of the People’s Republic of China: Aquatic Feed, Part 8 Formula Feed for Basa Catfish. Standardization Administration of the People’s Republic of China: Beijing, China, 2024.
- Zamora, R.; Alcon, E.; Hidalgo, F. Addition of olivetol to crackers decreases malondialdehyde content and produces malondialdehyde-olivetol adducts. Food Chem. 2024, 432, 137046. [Google Scholar] [CrossRef] [PubMed]
- GB/T 5009.181–2016; Determination of Malondialdehyde in Food. The National Standards of the People’s Republic of China: Beijing, China, 2016.
- Zhang, J.; Wang, Z.; Shi, Y.; Xia, L.; Hu, Y.; Zhong, L. Protective effects of chlorogenic acid on growth, intestinal inflammation, hepatic antioxidant capacity, muscle development and skin color in channel catfish Ictalurus punctatus fed an oxidized fish oil diet. Fish Shellfish Immunol. 2023, 134, 108511. [Google Scholar] [CrossRef] [PubMed]
- Liu, Y.; Fu, X.; Huang, H.; Fan, J.; Zhou, H.; Deng, J.; Tan, B. High dietary histamine induces digestive tract oxidative damage in juvenile striped catfish (Pangasianodon hypophthalmus). Antioxidants 2022, 11, 2276. [Google Scholar] [CrossRef] [PubMed]
- AOAC. Official Methods of Analysis of AOAC International, 17th ed.; Association of Official Analytical Chemists: Gaithersburg, MD, USA, 2000. [Google Scholar]
- Deng, J.; Zhang, X.; Sun, Y.; Mi, H.; Zhang, L. Effects of different types of non-starch polysaccharides on growth, digestive enzyme activity, intestinal barrier function and antioxidant activity of rainbow trout (Oncorhynchus mykiss). Aquac. Rep. 2021, 21, 100864. [Google Scholar] [CrossRef]
- Li, T.; Yan, X.; Dong, X.; Pan, S.; Tan, B.; Zhang, S.; Suo, X.; Li, Z.; Huang, W.; Yang, Y.; et al. Choline alleviates disorders of lipid metabolism in hybrid grouper (♀Epinephelus fuscoguttatus × ♂E. lanceolatus) caused by high-lipid diet. Aquac. Nutr. 2022, 2022, 1–11. [Google Scholar] [CrossRef]
- Li, F.; Wu, X.; Wu, W. Effects of malondialdehyde-induced protein oxidation on the structural characteristics of rice protein. Int. J. Food Sci. Technol. 2020, 55, 760–768. [Google Scholar] [CrossRef]
- Huang, B.; Zhang, S.; Dong, X.; Chi, S.; Yang, Q.; Liu, H.; Tan, B.; Xie, S. Effects of fishmeal replacement by black soldier fly on growth performance, digestive enzyme activity, intestine morphology, intestinal flora and immune response of pearl gentian grouper (♀Epinephelus fuscoguttatus × ♂E. lanceolatus). Fish Shellfish Immunol. 2022, 120, 497–506. [Google Scholar] [CrossRef]
- Livak, K.J.; Schmittgen, T.D. Analysis of relative gene expression data using real-time quantitative PCR and the 2(-Delta Delta C(T)) method. Methods 2001, 25, 402–408. [Google Scholar] [CrossRef]
- Hansen, A.C.; Rosenlund, G.; Karlsen, Ø.; Koppe, W.; Hemre, G.I. Total replacement of fish meal with plant proteins in diets for atlantic cod (Gadus morhua L.) I-effects on growth and protein retention. Aquaculture 2007, 272, 599–611. [Google Scholar] [CrossRef]
- Ghonimi, N.A.; Elsharkawi, K.A.; Khyal, D.S.; Abdelghani, A.A. Serum malondialdehyde as a lipid peroxidation marker in multiple sclerosis patients and its relation to disease characteristics. Mult. Scler. Relat. Disord. 2021, 51, 102941. [Google Scholar] [CrossRef] [PubMed]
- Yu, H.; Ren, Y.; Wei, H.; Xing, W.; Xu, G.; Li, T.; Xue, M.; Luo, L. Dietary oxidized fish oil negatively affected the feed utilization, health status and fillet quality of juvenile Amur sturgeon, A. schrenckii. Aquaculture 2022, 546, 737290. [Google Scholar] [CrossRef]
- Xie, S.; Yin, P.; Tian, L.; Liu, Y.; Niu, J. Lipid metabolism and plasma metabolomics of juvenile largemouth bass Micropterus salmoides were affected by dietary oxidized fish oil. Aquaculture 2020, 522, 735158. [Google Scholar] [CrossRef]
- Yu, L.; Wen, H.; Jiang, M.; Wu, F.; Tian, J.; Lu, X.; Xiao, J.; Liu, W. Effects of ferulic acid on intestinal enzyme activities, morphology, microbiome composition of genetically improved farmed tilapia (Oreochromis niloticus) fed oxidized fish oil. Aquaculture 2020, 528, 735543. [Google Scholar] [CrossRef]
- Chen, K.; Ye, Y.; Cai, C.; Wu, P.; Huang, Y.; Wu, T.; Lin, X.; Luo, Q.; Zhang, B.; Xiao, P.; et al. Effects of MDA on the growth performance, structure and function of hepatopancreas and intestinal of grass carp (Ctenopharyngodon idellus). Acta Hydrobiol. Slinica 2016, 40, 779–792. [Google Scholar] [CrossRef]
- Fan, J.; Zhang, Y.; Zhou, H.; Liu, Y.; Cao, Y.; Dou, X.; Fu, X.; Deng, J.; Tan, B. Dietary malondialdehyde damage to the growth performance and digestive function of hybrid grouper (♀Epinephelus fuscoguttatus ×♂ E. lanceolatus). Animals 2023, 13, 3145. [Google Scholar] [CrossRef]
- Pascon, G.; Daniso, E.; Cardinaletti, G.; Messina, M.; Campagnolo, F.; Zuccaccia, D.; Tulli, F. Postprandial kinetics of digestive function in rainbow trout (Oncorhynchus mykiss): Genes expression, enzymatic activity and blood biochemistry as a practical tool for nutritional studies. Comp. Biochem. Physiol. A Mol. Int. Physiol. 2024, 288, 111559. [Google Scholar] [CrossRef] [PubMed]
- Gao, Q.; Liu, B.; Shan, F.; Liu, B.; Gu, Z.; Song, C.; Sun, C.; Zhou, Q. Effects of oxidized fish oil on digestive enzyme activity and antioxidant system in Macrobrachium rosenbergii post-larvae. Aquac. Rep. 2022, 23, 101062. [Google Scholar] [CrossRef]
- Abdel-Latif, H.M.; Shukry, M.; Noreldin, A.E.; Ahmed, H.A.; El-Bahrawy, A.; Ghetas, H.A.; Khalifa, E. Milk thistle (Silybum marianum) extract improves growth, immunity, serum biochemical indices, antioxidant state, hepatic histoarchitecture, and intestinal histomorphometry of striped catfish, Pangasianodon hypophthalmus. Aquaculture 2023, 562, 738761. [Google Scholar] [CrossRef]
- Lee, Y.S.; Ku, K.L.; Chen, P.Y.; Chen, K.L. The fermented product of high-yield surfactin strain bacillus subtilis LYS1 improves the growth performance and intestinal villi morphology in broilers. Poult. Sci. 2023, 102, 102839. [Google Scholar] [CrossRef] [PubMed]
- Yao, Y.; Ye, Y.; Cai, C.; Zhang, B.; Xiao, P.; Liu, H.; Huang, Y. Damage of MDA on intestinal epithelial cells in vitro of grass carp (Ctenopharyngodon idellus). Acta Hydrobiol. Slinica 2015, 39, 133–141. [Google Scholar] [CrossRef]
- Wu, Q.; Yang, S.; Li, Q. Triel bond formed by malondialdehyde and its influence on the intramolecular H-bond and proton transfer. Molecules 2022, 27, 6091. [Google Scholar] [CrossRef] [PubMed]
- Li, L.; Zhu, R.; Yu, Z.; Liu, J.; Qu, Z.; Wu, L. Effects of β-Conglycinin on intestinal structure and intestinal permeability in Rhynchocypris lagowskii Dybowski. Aquac. Nutr. 2021, 27, 1946–1958. [Google Scholar] [CrossRef]
- Fukuda, T.; Tsukano, K.; Nakatsuji, H.; Suzuki, K. Plasma diamine oxidase activity decline with diarrhea severity in calves indicating systemic dysfunction related to intestinal mucosal damage. Res. Vet. Sci. 2019, 126, 127–130. [Google Scholar] [CrossRef] [PubMed]
- Sondhi, P.; Adeniji, T.; Lingden, D.; Stine, K.J. Advances in endotoxin analysis. Adv. Clin. Chem. 2024, 118, 1–34. [Google Scholar] [CrossRef] [PubMed]
- Dawood, M.A. Nutritional immunity of fish intestines: Important insights for sustainable aquaculture. Rev. Aquac. 2021, 13, 642–663. [Google Scholar] [CrossRef]
- Cheng, F.; Qiao, Z.; Liang, G.; Li, J.; Qiao, Y.; Yun, S.; Cao, J.; Cheng, Y.; Chang, M.; Feng, C. Polysaccharide from Sparassis latifolia alleviates intestinal barrier dysfunction in mice exposed to lead. Int. J. Biol. Macromol. 2023, 253, 127615. [Google Scholar] [CrossRef]
- Medina-Félix, D.; Garibay-Valdez, E.; Vargas-Albores, F.; Martínez-Porchas, M. Fish disease and intestinal microbiota: A close and indivisible relationship. Rev. Aquac. 2023, 15, 820–839. [Google Scholar] [CrossRef]
- Sun, L.; Wu, Q.; Mao, X. Effects of oxidation modification by malondialdehyde on the structure and functional properties of walnut protein. Foods 2022, 11, 2432. [Google Scholar] [CrossRef] [PubMed]
- Wang, Y.; Wu, P.; Jiang, W.D.; Liu, Y.; Ren, M.-H.; Feng, L.; Zhou, X.Q. Effect of dietary supplementation of the quenching enzyme AiiO-AIO6 on growth performance, digestion and absorption capacity, and intestinal barrier function of grass carp (Ctenopharyngodon idella). Aquaculture 2024, 579, 740243. [Google Scholar] [CrossRef]
- Jiang, J.; He, S.; Liu, K.; Yu, K.; Long, P.; Xiao, Y.; Liu, Y.; Yu, Y.; Wang, H.; Zhou, L.; et al. Multiple plasma metals, genetic risk and serum complement C3, C4: A gene-metal interaction study. Chemosphere 2022, 291, 132801. [Google Scholar] [CrossRef]
- Reis, E.S.; Mastellos, D.C.; Hajishengallis, G.; Lambris, J.D. New insights into the immune functions of complement. Nat. Rev. Immunol. 2019, 19, 503–516. [Google Scholar] [CrossRef] [PubMed]
- Cao, M.; Li, Q.; Liu, X.; Fu, Q.; Li, C. Molecular characterization and expression analysis of immunoglobulins (lgM and lgT) heavy chains in black rockfish (Sebastes schlegelii) that response to bacterial challenge. Fish Shellfish Immunol. 2023, 133, 108555. [Google Scholar] [CrossRef] [PubMed]
- Circu, M.L.; Aw, T.Y. ntestinal redox biology and oxidative stress. Semin. Cell Dev. Biol. 2012, 23, 729–737. [Google Scholar] [CrossRef]
- Chen, J.; Yu, B.; Chen, D.; Huang, Z.; Mao, X.; Zheng, P.; Yu, J.; Luo, J.; He, J. Chlorogenic acid improves intestinal barrier functions by suppressing mucosa inflammation and improving antioxidant capacity in weaned pigs. J. Nutr. Biochem. 2018, 59, 84–92. [Google Scholar] [CrossRef] [PubMed]
- Liu, J.; Liang, S.; Qin, K.; Jia, B.; Ren, Z.; Yang, X.J.; Yang, X. Acer truncatum leaves extract modulates gut microbiota, improves antioxidant capacity, and alleviates lipopolysaccharide-induced inflammation in broilers. Poult. Sci. 2023, 102, 102951. [Google Scholar] [CrossRef] [PubMed]
- Kumar, M.; Singh, S.; Jain, A.; Yadav, S.; Dubey, A.; Trivedi, S.P. A review on heavy metal-induced toxicity in fishes: Bioaccumulation, antioxidant defense system, histopathological manifestations, and transcriptional profiling of genes. J. Trace Elem. Med. Biol. 2024, 83, 127377. [Google Scholar] [CrossRef] [PubMed]
- Gagaoua, M.; Suman, S.P.; Purslow, P.P.; Lebret, B. The color of fresh pork: Consumers expectations, underlying farm-to-fork factors, myoglobin chemistry and contribution of proteomics to decipher the biochemical mechanisms. Meat Sci. 2023, 206, 109340. [Google Scholar] [CrossRef]
- Liu, X.; Ji, L.; Zhang, T.; Xue, Y.; Xue, C. Effects of pre-emulsification by three food-grade emulsifiers on the properties of emulsified surimi sausage. J. Food Eng. 2019, 247, 30–37. [Google Scholar] [CrossRef]
- Zhang, Y.; Zhou, H.; Liu, Y.; Zhu, L.; Fan, J.; Huang, H.; Jiang, W.; Deng, J.; Tan, B. Dietary histamine impairs the digestive physiology function and muscle quality of hybrid grouper (♀Epinephelus fuscoguttatus × ♂E. lanceolatus). Antioxidants 2023, 12, 502. [Google Scholar] [CrossRef] [PubMed]
- Zimmerman, M.C.; Clemens, D.L.; Duryee, M.J.; Sarmiento, C.; Chiou, A.; Hunter, C.D.; Tian, J.; Klassen, L.W.; O’Dell, J.R.; Thiele, G.M.; et al. Direct antioxidant properties of methotrexate: Inhibition of malondialdehyde-acetaldehyde-protein adduct formation and superoxide scavenging. Redox Biol. 2017, 13, 588–593. [Google Scholar] [CrossRef] [PubMed]
- Modzelewska-Kapituła, M.; Żmijewski, T. The influence of muscle type and the post-mortem ageing on the colour of fallow deer meat. Small Rumin. Res. 2022, 212, 106707. [Google Scholar] [CrossRef]
- Gagaoua, M.; Bonnet, M.; De Koning, L.; Picard, B. Reverse phase protein array for the quantification and validation of protein biomarkers of beef qualities: The case of meat color from Charolais breed. Meat Sci. 2018, 145, 308–319. [Google Scholar] [CrossRef]
- Chen, L.; Tang, S.; Li, S.; Li, J.; Zhao, J.; Li, Q. Effect of malondialdehyde oxidation on physicochemical properties and color stability of yak meat sarcoplasmic proteins. Food Sci. 2023, 44, 113–120. [Google Scholar]
- GB/T 35892–2018; Laboratory Animal–Guideline for Ethical Review of Animal Welfare. The National Standards of the People’s Republic of China: Beijing, China, 2018.









| Ingredients | % | Proximate Composition | Content |
|---|---|---|---|
| White fish meal | 15.00 | Dry matter (DM, %) | 89.53 |
| Rapeseed meal | 20.00 | Crude protein (% DM) | 33.80 |
| Soybean meal | 20.00 | Crude lipid (% DM) | 10.65 |
| Wheat flour | 15.00 | Ash (% DM) | 10.45 |
| Rice bran | 25.30 | Gross energy (MJ/kg) | 18.33 |
| Soybean oil | 2.00 | ||
| Ca(H2PO4)2 | 1.20 | ||
| Choline chloride (50%) | 0.40 | ||
| Vitamin C | 0.02 | ||
| Compound premix a | 1.00 | ||
| Cellulose microcrystalline | 0.08 |
| Target Gene | Primer Sequence | bp | Accession No. |
|---|---|---|---|
| ZO-2 | F: TGGGTGTGGTGAGCAGAGAGTC R: TGGTTGGTTGAAGTGTCCGTGTG | 128 | XM_034306344.1 |
| occludin | F: ATGGAAGGTGTCATCGTGGTGTTG R: TGCCGAGACCGTACCCAGAAC | 124 | XM_034306959.1 |
| claudin 7α | F: CGATGTTCTTGGCGGAGCTTTATTG R: CCTTGGTGCTGCTGGAAGTGC | 101 | XM_026935848.2 |
| Claudin 12 | F: CTCCAGCGGGTGTTACTACTTTGAC R: GCAGAGCCAAGCCAGAGAAGAAC | 116 | NM_001194860.2 |
| tnf-α | F: TGTCTCGCTGGTCTGACTCCTATG R: CAGTGGGTTTGTTGCTCTTCAAGTG | 97 | XM_026942329.2 |
| p65 | F: GAATGCTGGGTGGAAGAGGAAGTG R: ATGGTCAGAGTGGCGGAAGAGG | 115 | XM_034301361.1 |
| il-8 | F: GCTTAGGGAGGTGAGGGCTGAG R: TAGGTGTGGAGGTGGATGTGGTAAG | 112 | XM_027138229.2 |
| il-10 | F: TCTACTTGGAGACCGTGTTGCCTAG R: GATGGTGTCGATGGGAGTTCTGAAG | 80 | XM_026935649.2 |
| tgf-β1 | F: GCTACTGTGGCACCTTATCAACCTG R: GCACCTCTTCTCCCTTTCCTTCATC | 150 | XM_026938647.2 |
| Diets | Linear Regression Analysis | ||||||||||
|---|---|---|---|---|---|---|---|---|---|---|---|
| M0 | M5 | M10 | M20 | M40 | M80 | Pooled SEM | p-Value | Regression Equation | p-Value | R2 | |
| SGR (%/day) | 2.18 a | 2.02 b | 2.00 b | 2.02 b | 2.08 ab | 2.08 ab | 0.02 | 0.001 | ns | 0.003 | |
| IBW (g) | 31.45 | 31.40 | 31.29 | 31.39 | 31.41 | 31.34 | 0.02 | 0.447 | ns | 0.026 | |
| FBW (g) | 106.56 a | 98.63 b | 97.46 b | 97.19 b | 98.92 b | 98.79 b | 0.82 | <0.001 | ns | 0.089 | |
| WGR (%) | 238.74 a | 214.07 b | 211.53 b | 209.36 b | 214.50 b | 215.30 b | 2.52 | <0.001 | ns | 0.084 | |
| FCR | 1.27 b | 1.43 a | 1.44 a | 1.45 a | 1.38 ab | 1.38 ab | 0.02 | 0.002 | ns | 0.002 | |
| PER | 8.85 a | 7.79 b | 7.96 b | 7.60 b | 7.79 b | 7.75 b | 0.11 | <0.001 | ns | 0.172 | |
| HSI (%) | 1.63 b | 1.70 ab | 1.70 a | 1.71 a | 1.77 a | 1.90 a | 0.02 | 0.002 | y = 0.003x + 1.657 | <0.001 | 0.432 |
| VSI (%) | 11.19 | 11.66 | 11.35 | 11.58 | 10.66 | 11.20 | 0.22 | 0.843 | ns | 0.006 | |
| ILI (%) | 213.43 a | 182.78 ab | 171.91 b | 170.60 b | 164.66 b | 168.42 b | 4.11 | 0.003 | y = −0.315x + 1.685 | 0.018 | 0.103 |
| ISI (%) | 2.24 a | 1.80 b | 1.73 b | 1.75 b | 1.79 b | 1.66 b | 0.04 | <0.001 | y = −0.004x + 1.930 | 0.008 | 0.277 |
| CF (g/cm3) | 1.54 | 1.52 | 1.51 | 1.50 | 1.49 | 1.47 | 0.01 | 0.603 | ns | 0.083 | |
| Diets | Linear Regression Analysis | ||||||||||
|---|---|---|---|---|---|---|---|---|---|---|---|
| M0 | M5 | M10 | M20 | M40 | M80 | Pooled SEM | p-Value | Regression Equation | p-Value | R2 | |
| Stomach (μm) | |||||||||||
| Villi width | 116.42 a | 105.09 ab | 102.02 b | 101.25 b | 75.28 c | 73.97 c | 2.22 | <0.001 | y = −0.515x + 108.985 | <0.001 | 0.572 |
| Villi height | 187.94 a | 179.61 ab | 179.93 ab | 176.15 ab | 171.15 b | 170.59 b | 1.61 | 0.014 | y = −0.179x + 182.178 | 0.002 | 0.144 |
| Muscular layer thickness | 1005.17 a | 970.95 a | 966.05 a | 959.98 a | 862.83 b | 857.74 b | 10.18 | <0.001 | y = −1.860x + 985.159 | <0.001 | 0.211 |
| Intestine (μm) | |||||||||||
| Villi width | 82.31 a | 60.26 b | 59.01 b | 57.74 b | 57.24 b | 56.04 b | 1.19 | <0.001 | y = −0.178x + 66.709 | <0.001 | 0.118 |
| Villi height | 508.71 a | 477.90 ab | 477.55 ab | 474.11 ab | 454.05 b | 460.37 b | 4.95 | 0.028 | y = −0.455x + 487.195 | 0.011 | 0.046 |
| Muscular layer thickness | 65.09 a | 59.91 ab | 54.32 bc | 53.87 bc | 50.76 c | 50.51 c | 0.84 | <0.001 | y = −0.147x + 59.528 | <0.001 | 0.173 |
| Diets | Linear Regression Analysis | ||||||||||
|---|---|---|---|---|---|---|---|---|---|---|---|
| M0 | M5 | M10 | M20 | M40 | M80 | Pooled SEM | p-Value | Regression Equation | p-Value | R2 | |
| Pepsin (U/mg protein) | 27.15 | 26.18 | 26.82 | 24.91 | 23.89 | 23.40 | 0.70 | 0.576 | ns | 0.200 | |
| Trypsin (U/mg protein) | 501.58 a | 486.36 a | 435.33 ab | 380.95 b | 359.47 b | 362.81 b | 15.21 | <0.001 | y = −1.650x + 463.713 | 0.001 | 0.522 |
| Lipase (U/mg protein) | 123.28 a | 118.60 a | 105.34 ab | 98.26 ab | 77.11 b | 73.78 b | 5.16 | 0.001 | y = −0.621x + 115.441 | <0.001 | 0.643 |
| Amylase (U/mg protein) | 0.94 a | 0.89 ab | 0.89 ab | 0.61 abc | 0.56 bc | 0.67 c | 0.04 | 0.001 | y = −0.004x + 0.856 | 0.008 | 0.278 |
| Maltase (U/mg protein) | 233.22 a | 199.10 ab | 151.03 bc | 142.56 c | 117.12 c | 120.74 c | 10.96 | <0.001 | y = −1.149x + 190.321 | 0.001 | 0.488 |
| Diets | Linear Regression Analysis | ||||||||||
|---|---|---|---|---|---|---|---|---|---|---|---|
| M0 | M5 | M10 | M20 | M40 | M80 | Pooled SEM | p-Value | Regression Equation | p-Value | R2 | |
| DAO (mU/L) | 112.47 b | 128.59 b | 129.14 ab | 135.58 ab | 158.47 a | 158.51 a | 5.21 | 0.032 | y = 0.533x + 123.350 | 0.002 | 0.465 |
| LPS (ng/mL) | 2.85 b | 3.32 ab | 3.57 ab | 3.49 ab | 4.08 ab | 4.79 a | 0.19 | 0.018 | y = 0.022x + 3.126 | <0.001 | 0.599 |
| Diets | Linear Regression Analysis | ||||||||||
|---|---|---|---|---|---|---|---|---|---|---|---|
| M0 | M5 | M10 | M20 | M40 | M80 | Pooled SEM | p-Value | Regression Equation | p-Value | R2 | |
| Goods_coverage | 1.00 | 1.00 | 1.00 | 1.00 | 1.00 | 1.00 | 0.00 | 0.197 | ns | 0.343 | |
| Sob | 369.00 | 393.67 | 511.00 | 495.00 | 592.33 | 481.67 | 27.03 | 0.458 | ns | 0.314 | |
| Shannon | 4.64 | 3.27 | 4.30 | 4.39 | 5.00 | 4.85 | 0.17 | 0.259 | ns | 0.443 | |
| Chao1 | 409.05 | 439.41 | 557.73 | 542.61 | 649.03 | 534.80 | 28.24 | 0.568 | ns | 0.336 | |
| Simpson | 0.92 | 0.72 | 0.82 | 0.89 | 0.91 | 0.93 | 0.02 | 0.070 | ns | 0.390 | |
| Ace | 411.57 | 445.46 | 557.66 | 545.95 | 646.16 | 537.16 | 28.74 | 0.512 | ns | 0.324 | |
| Diets | Linear Regression Analysis | ||||||||||
|---|---|---|---|---|---|---|---|---|---|---|---|
| M0 | M5 | M10 | M20 | M40 | M80 | Pooled SEM | p-Value | Regression Equation | p-Value | R2 | |
| Plasma | |||||||||||
| LYZ (U/L) | 4.78 | 4.79 | 4.96 | 5.13 | 5.08 | 5.56 | 0.19 | 0.901 | ns | 0.102 | |
| C3 (μg/mL) | 192.58 | 215.96 | 201.09 | 174.59 | 181.96 | 169.03 | 6.29 | 0.265 | ns | 0.207 | |
| C4 (μg/mL) | 90.79 | 114.57 | 99.82 | 102.91 | 87.65 | 87.67 | 4.65 | 0.557 | ns | 0.085 | |
| IgM (mg/L) | 36.77 | 31.52 | 47.01 | 37.85 | 37.95 | 37.00 | 1.48 | 0.051 | ns | 0.001 | |
| Intestine | |||||||||||
| LYZ (U/g protein) | 2.20 | 2.24 | 1.65 | 1.46 | 1.46 | 1.41 | 0.11 | 0.124 | y = −0.008x + 1.915 | 0.034 | 0.253 |
| C3 (mg/g protein) | 41.59 | 36.53 | 36.40 | 29.88 | 24.07 | 21.65 | 2.46 | 0.106 | y = −0.237x + 37.814 | 0.004 | 0.411 |
| C4 (mg/g protein) | 80.49 a | 77.06 a | 64.26 ab | 64.78 ab | 35.06 b | 42.02 b | 4.62 | 0.001 | y = −0.510x + 73.794 | 0.001 | 0.541 |
| IgM (mg/g protein) | 17.02 a | 14.25 ab | 16.17 ab | 13.70 abc | 7.40 bc | 10.62 c | 0.92 | 0.002 | y = −0.087x + 15.436 | 0.005 | 0.394 |
| Diets | Linear Regression Analysis | ||||||||||
|---|---|---|---|---|---|---|---|---|---|---|---|
| M0 | M5 | M10 | M20 | M40 | M80 | Pooled SEM | p-Value | Regression Equation | p-Value | R2 | |
| T-AOC (U/mg protein) | 1.07 | 0.92 | 0.86 | 0.88 | 0.83 | 0.82 | 0.03 | 0.317 | ns | 0.166 | |
| POD (U/g protein) | 54.22 a | 48.24 ab | 42.01 ab | 45.12 ab | 41.14 ab | 36.85 b | 1.73 | 0.030 | y = −0.167x + 48.915 | 0.004 | 0.412 |
| CAT (U/g protein) | 16.96 a | 12.86 ab | 13.24 ab | 14.05 ab | 14.47 ab | 11.14 b | 0.56 | 0.038 | y = −0.042x + 14.867 | 0.036 | 0.247 |
| SOD (U/g protein) | 63.56 a | 56.73 a | 55.25 a | 54.95 a | 29.85 b | 27.62 b | 3.80 | 0.001 | y = −0.465x + 59.996 | <0.001 | 0.662 |
| GPx (U/g protein) | 29.17 a | 23.30 b | 21.73 b | 21.61 b | 21.31 b | 21.96 b | 0.76 | 0.002 | ns | 0.176 | |
| GR (U/g protein) | 24.79 a | 20.82 ab | 18.71 ab | 15.86 b | 15.16 b | 14.97 b | 0.99 | 0.007 | y = −0.097x + 20.879 | 0.005 | 0.312 |
| MDA (nmol/mg protein) | 14.03 b | 13.71 b | 14.96 ab | 15.38 ab | 15.00 ab | 16.45 a | 0.26 | 0.038 | y = 0.029x + 14.184 | 0.001 | 0.538 |
| Diets | Linear Regression Analysis | ||||||||||
|---|---|---|---|---|---|---|---|---|---|---|---|
| M0 | M5 | M10 | M20 | M40 | M80 | Pooled SEM | p-Value | Regression Equation | p-Value | R2 | |
| L* | 63.00 a | 57.88 b | 57.41 b | 57.96 b | 55.45 b | 56.37 b | 0.48 | <0.001 | y = −0.053x + 59.390 | 0.002 | 0.131 |
| a* | −1.08 | −1.44 | −1.40 | −2.26 | −2.02 | −2.21 | 0.16 | 0.187 | y = −0.012x − 1.421 | 0.041 | 0.101 |
| b* | 6.30 c | 6.97 bc | 7.20 bc | 8.23 bc | 9.29 b | 14.19 a | 0.49 | <0.001 | y = 0.095x + 6.236 | <0.001 | 0.800 |
| Resilience | 0.05 | 0.05 | 0.05 | 0.05 | 0.05 | 0.05 | 0.00 | 0.446 | ns | 0.387 | |
| Springiness (mm) | 0.21 | 0.24 | 0.24 | 0.24 | 0.27 | 0.32 | 0.02 | 0.291 | y = 0.001x + 0.219 | 0.009 | 0.358 |
| Cohesiveness | 0.12 | 0.12 | 0.11 | 0.11 | 0.11 | 0.10 | <0.01 | 0.790 | ns | 0.056 | |
| Chewiness (mJ) | 52.97 | 54.33 | 66.86 | 70.12 | 89.68 | 124.98 | 58.94 | 0.078 | y = 0.901x + 53.219 | 0.001 | 0.520 |
| Gumminess (g) | 208.33 | 233.13 | 252.85 | 235.25 | 273.53 | 263.28 | 10.81 | 0.579 | ns | 0.057 | |
| Hardness (kg) | 2.24 | 2.12 | 2.08 | 2.07 | 2.39 | 2.21 | 0.05 | 0.444 | ns | 0.027 | |
Disclaimer/Publisher’s Note: The statements, opinions and data contained in all publications are solely those of the individual author(s) and contributor(s) and not of MDPI and/or the editor(s). MDPI and/or the editor(s) disclaim responsibility for any injury to people or property resulting from any ideas, methods, instructions or products referred to in the content. |
© 2024 by the authors. Licensee MDPI, Basel, Switzerland. This article is an open access article distributed under the terms and conditions of the Creative Commons Attribution (CC BY) license (https://creativecommons.org/licenses/by/4.0/).
Share and Cite
Peng, C.; Fu, X.; Zhang, Y.; Zhang, H.; Ye, Y.; Deng, J.; Tan, B. Effects of Malondialdehyde on Growth Performance, Gastrointestinal Health, and Muscle Quality of Striped Catfish (Pangasianodon hypophthalmus). Antioxidants 2024, 13, 1524. https://doi.org/10.3390/antiox13121524
Peng C, Fu X, Zhang Y, Zhang H, Ye Y, Deng J, Tan B. Effects of Malondialdehyde on Growth Performance, Gastrointestinal Health, and Muscle Quality of Striped Catfish (Pangasianodon hypophthalmus). Antioxidants. 2024; 13(12):1524. https://doi.org/10.3390/antiox13121524
Chicago/Turabian StylePeng, Cong, Xinlangji Fu, Yumeng Zhang, Haitao Zhang, Yuantu Ye, Junming Deng, and Beiping Tan. 2024. "Effects of Malondialdehyde on Growth Performance, Gastrointestinal Health, and Muscle Quality of Striped Catfish (Pangasianodon hypophthalmus)" Antioxidants 13, no. 12: 1524. https://doi.org/10.3390/antiox13121524
APA StylePeng, C., Fu, X., Zhang, Y., Zhang, H., Ye, Y., Deng, J., & Tan, B. (2024). Effects of Malondialdehyde on Growth Performance, Gastrointestinal Health, and Muscle Quality of Striped Catfish (Pangasianodon hypophthalmus). Antioxidants, 13(12), 1524. https://doi.org/10.3390/antiox13121524
