Exploring Oxidative Stress and Metabolic Dysregulation in Lung Tissues of Offspring Rats Exposed to Prenatal Polystyrene Microplastics: Effects of Melatonin Treatment
Abstract
1. Introduction
2. Materials and Methods
2.1. Animals and Experimental Design
2.2. Histopathological Analysis
2.3. Immunohistochemistry
2.4. Sample Preparation and Non-Targeted LC-MS Metabolomics
2.5. Glutathione Determination
2.6. Western Blot
2.7. Lung Function Test
2.8. Statistical Analysis
3. Results
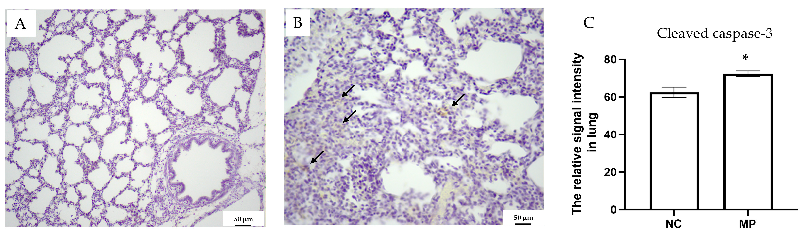
3.1. The Consumtion of PS-MPs Pregnant Dams Can Impact the Lung Development of Their Offspring
3.2. The Impact of Prenatal PS-MPs Exposure on the Metabolic Profile of Offspring Lung Tissue
3.2.1. The Effects of Prenatal PS-MPs Exposure on the Lipid Metabolome of Offspring Lung Tissue
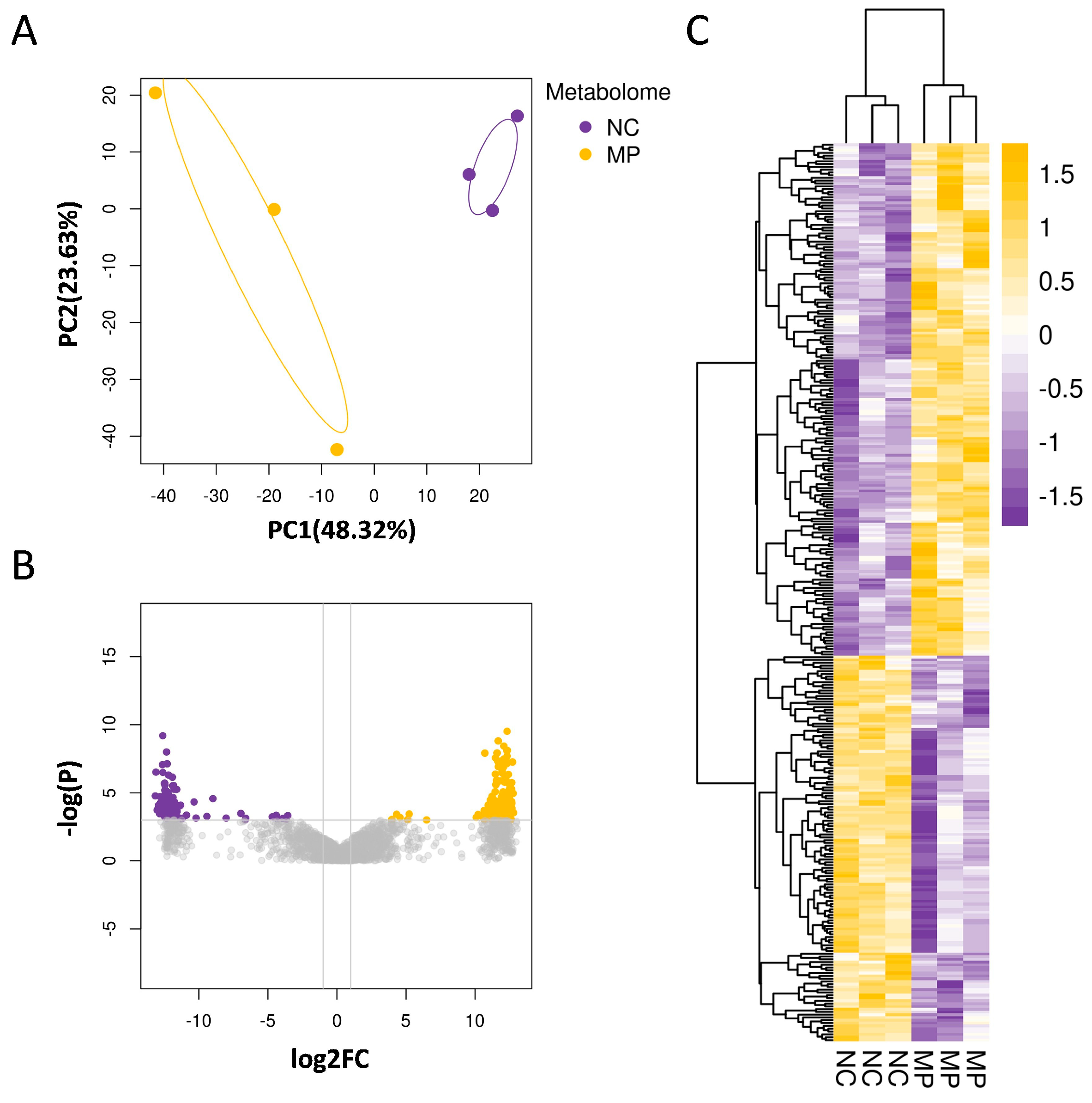
3.2.2. Prenatal PS-MPs Exposure Alter Aqueous Metabolites of Offspring Lung Tissue
3.2.3. Melatonin Treatment Partially Ameliorates Pulmonary Dysplasia and Lung Function in Adult Offspring Caused by Prenatal Plus Postnatal Exposure to PS-MPs
4. Discussion
5. Conclusions
Supplementary Materials
Author Contributions
Funding
Institutional Review Board Statement
Informed Consent Statement
Data Availability Statement
Acknowledgments
Conflicts of Interest
References
- Cowger, W.; Willis, K.A.; Bullock, S.; Conlon, K.; Emmanuel, J.; Erdle, L.M.; Eriksen, M.; Farrelly, T.A.; Hardesty, B.D.; Kerge, K.; et al. Global producer responsibility for plastic pollution. Sci. Adv. 2024, 10, eadj8275. [Google Scholar] [CrossRef] [PubMed]
- Wan, J.K.; Chu, W.L.; Kok, Y.Y.; Lee, C.S. Distribution of Microplastics and Nanoplastics in Aquatic Ecosystems and Their Impacts on Aquatic Organisms, with Emphasis on Microalgae. In Reviews of Environmental Contamination and Toxicology; Springer: Cham, Switzerland, 2018. [Google Scholar] [CrossRef]
- Ma, H.; Pu, S.; Liu, S.; Bai, Y.; Mandal, S.; Xing, B. Microplastics in aquatic environments: Toxicity to trigger ecological consequences. Environ. Pollut. 2020, 261, 114089. [Google Scholar] [CrossRef] [PubMed]
- Zhao, B.; Rehati, P.; Yang, Z.; Cai, Z.; Guo, C.; Li, Y. The potential toxicity of microplastics on human health. Sci. Total Environ. 2024, 912, 168946. [Google Scholar] [CrossRef] [PubMed]
- Lim, D.; Jeong, J.; Song, K.S.; Sung, J.H.; Oh, S.M.; Choi, J. Inhalation toxicity of polystyrene micro(nano)plastics using modified OECD TG 412. Chemosphere 2021, 262, 128330. [Google Scholar] [CrossRef] [PubMed]
- Lu, K.; Lai, K.P.; Stoeger, T.; Ji, S.; Lin, Z.; Lin, X.; Chan, T.F.; Fang, J.K.; Lo, M.; Gao, L.; et al. Detrimental effects of microplastic exposure on normal and asthmatic pulmonary physiology. J. Hazard. Mater. 2021, 416, 126069. [Google Scholar] [CrossRef]
- Danso, I.K.; Woo, J.H.; Lee, K. Pulmonary Toxicity of Polystyrene, Polypropylene, and Polyvinyl Chloride Microplastics in Mice. Molecules 2022, 27, 7926. [Google Scholar] [CrossRef]
- Woo, J.H.; Seo, H.J.; Lee, J.Y.; Lee, I.; Jeon, K.; Kim, B.; Lee, K. Polypropylene nanoplastic exposure leads to lung inflammation through p38-mediated NF-kappaB pathway due to mitochondrial damage. Part. Fibre Toxicol. 2023, 20, 2. [Google Scholar] [CrossRef]
- Cao, J.; Xu, R.; Geng, Y.; Xu, S.; Guo, M. Exposure to polystyrene microplastics triggers lung injury via targeting toll-like receptor 2 and activation of the NF-kappaB signal in mice. Environ. Pollut. 2023, 320, 121068. [Google Scholar] [CrossRef]
- Li, Y.; Shi, T.; Li, X.; Sun, H.; Xia, X.; Ji, X.; Zhang, J.; Liu, M.; Lin, Y.; Zhang, R.; et al. Inhaled tire-wear microplastic particles induced pulmonary fibrotic injury via epithelial cytoskeleton rearrangement. Environ. Int. 2022, 164, 107257. [Google Scholar] [CrossRef]
- Li, X.; Zhang, T.; Lv, W.; Wang, H.; Chen, H.; Xu, Q.; Cai, H.; Dai, J. Intratracheal administration of polystyrene microplastics induces pulmonary fibrosis by activating oxidative stress and Wnt/beta-catenin signaling pathway in mice. Ecotoxicol. Environ. Saf. 2022, 232, 113238. [Google Scholar] [CrossRef]
- Zhang, J.; Du, J.; Liu, D.; Zhuo, J.; Chu, L.; Li, Y.; Gao, L.; Xu, M.; Chen, W.; Huang, W.; et al. Polystyrene microplastics induce pulmonary fibrosis by promoting alveolar epithelial cell ferroptosis through cGAS/STING signaling. Ecotoxicol. Environ. Saf. 2024, 277, 116357. [Google Scholar] [CrossRef] [PubMed]
- Tan, D.X.; Zheng, X.; Kong, J.; Manchester, L.C.; Hardeland, R.; Kim, S.J.; Xu, X.; Reiter, R.J. Fundamental issues related to the origin of melatonin and melatonin isomers during evolution: Relation to their biological functions. Int. J. Mol. Sci. 2014, 15, 15858–15890. [Google Scholar] [CrossRef]
- Bantounou, M.; Plascevic, J.; Galley, H.F. Melatonin and Related Compounds: Antioxidant and Anti-Inflammatory Actions. Antioxidants 2022, 11, 532. [Google Scholar] [CrossRef] [PubMed]
- Monteiro, K.; Shiroma, M.E.; Damous, L.L.; Simoes, M.J.; Simoes, R.D.S.; Cipolla-Neto, J.; Baracat, E.C.; Soares-Jr, J.M. Antioxidant Actions of Melatonin: A Systematic Review of Animal Studies. Antioxidants 2024, 13, 439. [Google Scholar] [CrossRef] [PubMed]
- Claustrat, B.; Leston, J. Melatonin: Physiological effects in humans. Neurochirurgie 2015, 61, 77–84. [Google Scholar] [CrossRef] [PubMed]
- Cardinali, D.P.; Hardeland, R. Inflammaging, Metabolic Syndrome and Melatonin: A Call for Treatment Studies. Neuroendocrinology 2017, 104, 382–397. [Google Scholar] [CrossRef] [PubMed]
- Mohammadpour Fard, R.; Rashno, M.; Bahreiny, S.S. Effects of melatonin supplementation on markers of inflammation and oxidative stress in patients with diabetes: A systematic review and meta-analysis of randomized controlled trials. Clin. Nutr. ESPEN 2024, 63, 530–539. [Google Scholar] [CrossRef]
- Tiao, M.M.; Sheen, J.M.; Lin, I.C.; Khwepeya, M.; Yu, H.R. Prenatal High-Fat Diet Combined with Microplastic Exposure Induces Liver Injury via Oxidative Stress in Male Pups. Int. J. Mol. Sci. 2023, 24, 13457. [Google Scholar] [CrossRef]
- Tiao, M.M.; Huang, L.T.; Chen, C.J.; Sheen, J.M.; Tain, Y.L.; Chen, C.C.; Kuo, H.C.; Huang, Y.H.; Tang, K.S.; Chu, E.W.; et al. Melatonin in the regulation of liver steatosis following prenatal glucocorticoid exposure. BioMed Res. Int. 2014, 2014, 942172. [Google Scholar] [CrossRef]
- Huang, C.F.; Tiao, M.M.; Lin, I.C.; Huang, L.T.; Sheen, J.M.; Tain, Y.L.; Hsu, C.N.; Tsai, C.C.; Lin, Y.J.; Yu, H.R. Maternal Metformin Treatment Reprograms Maternal High-Fat Diet-Induced Hepatic Steatosis in Offspring Associated with Placental Glucose Transporter Modifications. Int. J. Mol. Sci. 2022, 23, 14239. [Google Scholar] [CrossRef]
- Morita, S.Y.; Ikeda, Y. Regulation of membrane phospholipid biosynthesis in mammalian cells. Biochem. Pharmacol. 2022, 206, 115296. [Google Scholar] [CrossRef] [PubMed]
- Liu, F.C.; Cheng, M.L.; Lo, C.J.; Hsu, W.C.; Lin, G.; Lin, H.T. Exploring the aging process of cognitively healthy adults by analyzing cerebrospinal fluid metabolomics using liquid chromatography-tandem mass spectrometry. BMC Geriatr. 2023, 23, 217. [Google Scholar] [CrossRef]
- Li, Z.; Vance, D.E. Phosphatidylcholine and choline homeostasis. J. Lipid Res. 2008, 49, 1187–1194. [Google Scholar] [CrossRef] [PubMed]
- Aragao, M.A.; Pires, L.; Santos-Buelga, C.; Barros, L.; Calhelha, R.C. Revitalising Riboflavin: Unveiling Its Timeless Significance in Human Physiology and Health. Foods 2024, 13, 2255. [Google Scholar] [CrossRef] [PubMed]
- Forman, H.J.; Zhang, H.; Rinna, A. Glutathione: Overview of its protective roles, measurement, and biosynthesis. Mol. Asp. Med. 2009, 30, 1–12. [Google Scholar] [CrossRef]
- Yu, H.-R.; Sheen, J.-M.; Tiao, M.-M. The Impact of Maternal Nanoplastic and Microplastic Particle Exposure on Mammal’s Offspring. Cells 2024, 13, 1380. [Google Scholar] [CrossRef] [PubMed]
- Savio, L.E.B.; Leite-Aguiar, R.; Alves, V.S.; Coutinho-Silva, R.; Wyse, A.T.S. Purinergic signaling in the modulation of redox biology. Redox Biol. 2021, 47, 102137. [Google Scholar] [CrossRef] [PubMed]
- Iijima, H.; Patrzyc, H.B.; Budzinski, E.E.; Freund, H.G.; Dawidzik, J.B.; Rodabaugh, K.J.; Box, H.C. A study of pyrimidine base damage in relation to oxidative stress and cancer. Br. J. Cancer 2009, 101, 452–456. [Google Scholar] [CrossRef]
- Duan, J.; Yin, J.; Ren, W.; Liu, T.; Cui, Z.; Huang, X.; Wu, L.; Kim, S.W.; Liu, G.; Wu, X.; et al. Dietary supplementation with L-glutamate and L-aspartate alleviates oxidative stress in weaned piglets challenged with hydrogen peroxide. Amino Acids 2016, 48, 53–64. [Google Scholar] [CrossRef]
- Jiang, Z.; Knudsen, N.H.; Wang, G.; Qiu, W.; Naing, Z.Z.C.; Bai, Y.; Ai, X.; Lee, C.H.; Zhou, X. Genetic Control of Fatty Acid beta-Oxidation in Chronic Obstructive Pulmonary Disease. Am. J. Respir. Cell Mol. Biol. 2017, 56, 738–748. [Google Scholar] [CrossRef]
- Kao, C.C.; Hsu, J.W.; Bandi, V.; Hanania, N.A.; Kheradmand, F.; Jahoor, F. Glucose and pyruvate metabolism in severe chronic obstructive pulmonary disease. J. Appl. Physiol. 2012, 112, 42–47. [Google Scholar] [CrossRef] [PubMed]
- Zhao, Y.D.; Yin, L.; Archer, S.; Lu, C.; Zhao, G.; Yao, Y.; Wu, L.; Hsin, M.; Waddell, T.K.; Keshavjee, S.; et al. Metabolic heterogeneity of idiopathic pulmonary fibrosis: A metabolomic study. BMJ Open Respir. Res. 2017, 4, e000183. [Google Scholar] [CrossRef] [PubMed]
- Minchin, S.; Lodge, J. Understanding biochemistry: Structure and function of nucleic acids. Essays Biochem. 2019, 63, 433–456. [Google Scholar] [CrossRef] [PubMed]
- Newsholme, P.; Lima, M.M.; Procopio, J.; Pithon-Curi, T.C.; Doi, S.Q.; Bazotte, R.B.; Curi, R. Glutamine and glutamate as vital metabolites. Braz. J. Med. Biol. Res. 2003, 36, 153–163. [Google Scholar] [CrossRef] [PubMed]
- van Hall, G.; van der Vusse, G.J.; Soderlund, K.; Wagenmakers, A.J. Deamination of amino acids as a source for ammonia production in human skeletal muscle during prolonged exercise. J. Physiol. 1995, 489 Pt 1, 251–261. [Google Scholar] [CrossRef]
- Gleeson, M.; Bishop, N.C. Special feature for the Olympics: Effects of exercise on the immune system: Modification of immune responses to exercise by carbohydrate, glutamine and anti-oxidant supplements. Immunol. Cell Biol. 2000, 78, 554–561. [Google Scholar] [CrossRef]
- Labow, B.I.; Abcouwer, S.F.; Lin, C.M.; Souba, W.W. Glutamine synthetase expression in rat lung is regulated by protein stability. Am. J. Physiol. 1998, 275, L877–L886. [Google Scholar] [CrossRef]
- Pan, M.; Wasa, M.; Ryan, U.; Souba, W. Inhibition of pulmonary microvascular endothelial glutamine transport by glucocorticoids and endotoxin. J. Parenter. Enter. Nutr. 1995, 19, 477–481. [Google Scholar] [CrossRef]
- de Oliveira, G.P.; Kitoko, J.Z.; de Souza Lima-Gomes, P.; Rochael, N.C.; de Araujo, C.C.; Lugon, P.N.; Dos Santos, H.L.; Martins, E.G.L.; Ornellas, F.M.; de Oliveira, H.D.; et al. Glutamine Therapy Reduces Inflammation and Extracellular Trap Release in Experimental Acute Respiratory Distress Syndrome of Pulmonary Origin. Nutrients 2019, 11, 831. [Google Scholar] [CrossRef]
- Lv, H.; Zhen, C.; Liu, J.; Yang, P.; Hu, L.; Shang, P. Unraveling the Potential Role of Glutathione in Multiple Forms of Cell Death in Cancer Therapy. Oxidative Med. Cell. Longev. 2019, 2019, 3150145. [Google Scholar] [CrossRef] [PubMed]
- Fruhwirth, G.O.; Loidl, A.; Hermetter, A. Oxidized phospholipids: From molecular properties to disease. Biochim. Biophys. Acta 2007, 1772, 718–736. [Google Scholar] [CrossRef]
- Hardeland, R. Melatonin and inflammation-Story of a double-edged blade. J. Pineal Res. 2018, 65, e12525. [Google Scholar] [CrossRef]
- Lopez, K.E.; Bouchier-Hayes, L. Lethal and Non-Lethal Functions of Caspases in the DNA Damage Response. Cells 2022, 11, 1887. [Google Scholar] [CrossRef]
- Ustundag, H.; Demir, O.; Cicek, B.; Huyut, M.T.; Yuce, N.; Tavaci, T. Protective effect of melatonin and ascorbic acid combination on sepsis-induced lung injury: An Experimental study. Clin. Exp. Pharmacol. Physiol. 2023, 50, 634–646. [Google Scholar] [CrossRef]
- Senathirajah, K.; Attwood, S.; Bhagwat, G.; Carbery, M.; Wilson, S.; Palanisami, T. Estimation of the mass of microplastics ingested—A pivotal first step towards human health risk assessment. J. Hazard. Mater. 2021, 404, 124004. [Google Scholar] [CrossRef]
- Su, Q.L.; Wu, J.; Tan, S.W.; Guo, X.Y.; Zou, D.Z.; Kang, K. The impact of microplastics polystyrene on the microscopic structure of mouse intestine, tight junction genes and gut microbiota. PLoS ONE 2024, 19, e0304686. [Google Scholar] [CrossRef] [PubMed]
- Cardinali, D.P. Are melatonin doses employed clinically adequate for melatonin-induced cytoprotection? Melatonin Res. 2019, 2, 106–132. [Google Scholar] [CrossRef]







| Metabolites | VIP Score * | Fold Change † | p |
|---|---|---|---|
| PC 35:4 | 1.19 | 1.37 × 10−5 | 0.021 |
| PE 8:0_28:4 | 0.91 | 1.71 × 10−5 | 0.028 |
| LPC 30:1 | 0.74 | 46,919 | 0.030 |
| SM 32:3;O3 | 1.42 | 1.23 × 10−5 | 0.032 |
| Cer 24:0;O2/14:1 | 2.09 | 9.04 × 10−6 | 0.041 |
| PC 17:4_21:4 | 1.77 | 1.33 × 10−5 | 0.041 |
| PC 10:0_26:6 | 1.25 | 1.07 × 10−5 | 0.041 |
| TG 36:2_16:4_16:4 | 2.48 | 1.02 × 10−5 | 0.041 |
| PC 42:11 | 1.70 | 1.44 × 10−5 | 0.041 |
| PC O-16:1_24:6 | 1.11 | 8.22 × 10−6 | 0.041 |
| SL 15:2;O/18:5 | 1.38 | 1.16 × 10−5 | 0.042 |
| PC O-20:0_28:2 | 3.40 | 7.93 × 10−6 | 0.046 |
| NAGlySer 24:6;O(FA 19:5) | 1.40 | 1.15 × 10−5 | 0.048 |
| TG 18:5_21:5_18:0;O4 | 1.62 | 1.00 × 10−5 | 0.048 |
| Aqueous Metabolites | |||
|---|---|---|---|
| Metabolites | VIP Score * | Fold Change | p |
| Cytosine | 1.76 | 5220.8 | <0.001 |
| 2′,3′-Dideoxyinosine | 1.92 | 0.000177 | 0.003 |
| N-Methylisoleucine | 1.35 | 4062.9 | 0.008 |
| Hypoxanthine | 1.23 | 3840.1 | 0.013 |
| Adenosine 5′-monophosphate | 2.23 | 0.000141 | 0.015 |
| Raffinose | 1.35 | 3543 | 0.016 |
| Succinic acid | 1.08 | 3228.9 | 0.016 |
| Creatinine | 1.41 | 4866.1 | 0.017 |
| 2′-Deoxycytidine | 1.05 | 3884.5 | 0.026 |
| 3-Methylcytidine | 1.5 | 0.000238 | 0.026 |
| alpha-Galactosamine-1-phosphate | 0.78 | 1881.3 | 0.027 |
| Hydromorphone | 1.12 | 3913.5 | 0.027 |
| Pyroglutamic acid (5-oxoproline) | 2.00 | 5696.8 | 0.027 |
| Methohexital | 0.74 | 2085.8 | 0.031 |
| Guanine | 1.64 | 4765.5 | 0.032 |
| Phenylacetylglutamine | 1.05 | 2939.6 | 0.032 |
| Betaine | 1.02 | 3131.1 | 0.034 |
| Riboflavin | 1.47 | 4449.9 | 0.035 |
| Glutamine | 1.91 | 5635.2 | 0.038 |
| N8-Acetylspermidine | 1.39 | 3217.7 | 0.041 |
| Pathway Name | Metabolites | Total | Hits | p | Function |
|---|---|---|---|---|---|
| Purine metabolism | Glutamine, AMP, Hypoxanthine, Guanine | 70 | 4 | 0.001 | Nucleotide metabolism |
| Alanine, aspartate, and glutamate metabolism | Glutamine, Succinate | 38 | 2 | 0.012 | Amino acid metabolism |
| Pyrimidine metabolism | Glutamine, Deoxycytidine | 39 | 2 | 0.023 | Nucleotide metabolism |
| Riboflavin metabolism | Riboflavin | 4 | 1 | 0.025 | Metabolism of cofactors and vitamins |
| Nitrogen metabolism | Glutamine | 6 | 1 | 0.037 | Amino acid metabolism |
| MV (mL) | p (msec) | F (bpm) | EIP (msec) | EEP (msec) | dT (msec) | SRaw (cm H2O.s) | SGaw (1/cm H2O.s) | EF50 (mL/s) | |
| NC | 595.33 ± 155.32 | 273.04 ± 33.22 | 227.46 ± 31.79 | 13.43 ± 1.25 | 12.71 ± 1.77 | 1.07 ± 0.76 | 1.03 ± 0.74 | 0.42 ± 0.19 | 25.94 ± 7.61 |
| MP | 480.81 ± 103.51 * | 358.45 ± 31.82 ** | 173.73 ± 14.80 ** | 17.84 ± 1.78 ** | 18.56 ± 2.70 ** | 2.24 ± 0.32 ** | 2.18 ± 0.31 ** | 0.51 ± 0.07 | 19.52 ± 5.28 |
| MPs + M | 706.12 ± 229.52 | 302.95 ± 13.40 † | 202.21 ± 8.66 † | 13.23 ± 0.75 †† | 14.42 ± 0.82 †† | 2.00 ± 1.32 | 1.94 ± 1.29 | 0.47 ± 0.11 | 28.18 ± 10.81 † |
| Ti (msec) | Te (msec) | PIF (mL/s) | PEF (mL/s) | TV (mL) | EV (mL) | NTV (mL) | NEV (mL) | RT (msec) | |
| NC | 153.32 ± 22.58 | 128.73 ± 20.50 | 24.05 ± 6.32 | 29.10 ± 7.55 | 2.69 ± 0.85 | 2.72 ± 0.90 | 1.91 ± 0.32 | 1.91 ± 0.32 | 83.29 ± 12.19 |
| MP | 172.97 ± 11.58 * | 186.15 ± 25.21 ** | 21.09 ± 3.36 | 21.95 ± 5.88 | 2.79 ± 0.56 | 2.82 ± 0.56 | 1.49 ± 0.30 | 1.49 ± 0.30 | 119.08 ± 16.53 ** |
| MPs + M | 155.87 ± 3.04 † | 147.99 ± 11.36 † | 28.76 ± 8.35 † | 34.09 ± 9.76 †† | 3.51 ± 1.07 | 3.56 ± 1.07 | 1.88 ± 0.60 | 1.88 ± 0.60 | 94.59 ± 6.65 †† |
Disclaimer/Publisher’s Note: The statements, opinions and data contained in all publications are solely those of the individual author(s) and contributor(s) and not of MDPI and/or the editor(s). MDPI and/or the editor(s) disclaim responsibility for any injury to people or property resulting from any ideas, methods, instructions or products referred to in the content. |
© 2024 by the authors. Licensee MDPI, Basel, Switzerland. This article is an open access article distributed under the terms and conditions of the Creative Commons Attribution (CC BY) license (https://creativecommons.org/licenses/by/4.0/).
Share and Cite
Yu, H.-R.; Tsai, C.-Y.; Chen, W.-L.; Liu, P.-Y.; Tain, Y.-L.; Sheen, J.-M.; Huang, Y.-S.; Tiao, M.-M.; Chiu, C.-Y. Exploring Oxidative Stress and Metabolic Dysregulation in Lung Tissues of Offspring Rats Exposed to Prenatal Polystyrene Microplastics: Effects of Melatonin Treatment. Antioxidants 2024, 13, 1459. https://doi.org/10.3390/antiox13121459
Yu H-R, Tsai C-Y, Chen W-L, Liu P-Y, Tain Y-L, Sheen J-M, Huang Y-S, Tiao M-M, Chiu C-Y. Exploring Oxidative Stress and Metabolic Dysregulation in Lung Tissues of Offspring Rats Exposed to Prenatal Polystyrene Microplastics: Effects of Melatonin Treatment. Antioxidants. 2024; 13(12):1459. https://doi.org/10.3390/antiox13121459
Chicago/Turabian StyleYu, Hong-Ren, Ching-Yi Tsai, Wei-Ling Chen, Po-Yu Liu, You-Lin Tain, Jiunn-Ming Sheen, Yi-Siang Huang, Mao-Meng Tiao, and Chih-Yung Chiu. 2024. "Exploring Oxidative Stress and Metabolic Dysregulation in Lung Tissues of Offspring Rats Exposed to Prenatal Polystyrene Microplastics: Effects of Melatonin Treatment" Antioxidants 13, no. 12: 1459. https://doi.org/10.3390/antiox13121459
APA StyleYu, H.-R., Tsai, C.-Y., Chen, W.-L., Liu, P.-Y., Tain, Y.-L., Sheen, J.-M., Huang, Y.-S., Tiao, M.-M., & Chiu, C.-Y. (2024). Exploring Oxidative Stress and Metabolic Dysregulation in Lung Tissues of Offspring Rats Exposed to Prenatal Polystyrene Microplastics: Effects of Melatonin Treatment. Antioxidants, 13(12), 1459. https://doi.org/10.3390/antiox13121459

