Effects of Alkalinity Exposure on Antioxidant Status, Metabolic Function, and Immune Response in the Hepatopancreas of Macrobrachium nipponense
Abstract
1. Introduction
2. Materials and Methods
2.1. Sample Collection
2.2. Hematoxylin and Eosin (HE) Staining of Hepatopancreas
2.3. Measurement of the Activities of Antioxidant Enzymes
2.4. Metabolic Profiling Analysis
2.5. Transcriptome-Profiling Analysis
2.6. qPCR Analysis
2.7. Statistical Analysis
3. Results
3.1. Survival Rate under Different Alkaline Concentrations
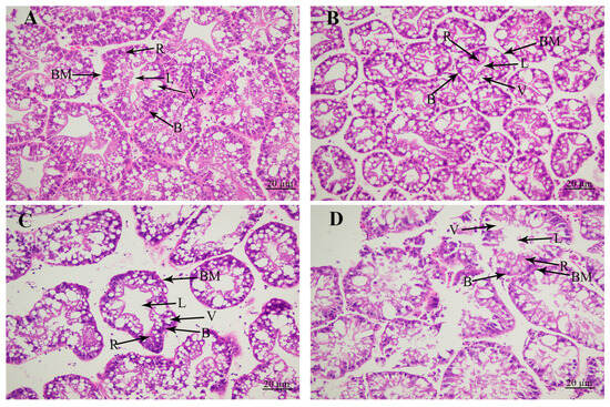
3.2. Histological Observations
3.3. Measurement of the Activities of Antioxidant Enzymes
3.4. Metabolome-Profiling Analysis
3.5. Transcriptome-Profiling Analysis
3.6. qPCR Analysis
4. Discussion
5. Conclusions
Author Contributions
Funding
Institutional Review Board Statement
Informed Consent Statement
Data Availability Statement
Acknowledgments
Conflicts of Interest
References
- Fu, H.T.; Jiang, S.F.; Xiong, Y.W. Current Status and Prospects of Farming the Giant River Prawn (Macrobrachium Rosenbergii) and the oriental River Prawn (Macrobrachium Nipponense) in china. Aquac. Res. 2012, 43, 993–998. [Google Scholar]
- Zhang, X.L.; Cui, L.F.; Li, S.M.; Liu, X.Z.; Han, X.; Jiang, K.Y. Bureau of Fisheries, Ministry of Agriculture, P.R.C. Fisheries Economic Statistics. In China Fishery Yearbook; Beijing China Agricultural Press: Beijing, China, 2020; p. 24. [Google Scholar]
- Chi, B.J.; Liang, L.Q.; Liu, C.L.; Chang, Y.M.; Wang, S.; Han, Q.X.; Gao, G.Q. Adaptability of Tribolodon brandti (Dybowski)to NaCI concentration and alkalinity. J. Fish. China 2011, 18, 689–694. [Google Scholar]
- Lei, Y.Z.; Dong, S.L.; Shen, C.G. Study on the toxicity of carbonate-alkaline to fishes. J. Fish. Sci. 1985, 9, 171–183. [Google Scholar]
- Wang, Z.; Yao, Z.L.; Lin, T.T.; Shi, J.Q.; Zhou, K.; Wang, H.; Qi, H.F.; Lai, Q.F. Effects of carbonate alkalinity stress on SOD, ACP, and AKP activities in the liver and kidney of juvenile Gymnocypris przewalskii. J. Fish. China 2013, 20, 1212–1218. [Google Scholar] [CrossRef]
- Fang, W.H.; Wang, H.; Lai, Q.F. Toxicity of carbonate-alkalinity and pH to larval Penaeus chinensis. J. Fish. China 2000, 4, 78–81. [Google Scholar]
- Yang, Y.F.; Li, X.J.; Yang, X.Q.; Sun, L.M. Adapt ability of Litopenaeus vannamei to carbonate saline–alkaline waters in north east China. Mar. Sci. 2008, 1, 41–44. [Google Scholar]
- Liu, F. Effects of Carbonate Alkalinity Stress on the Survival, Growth, Reproduction, and Immune Enzyme Activities of Exopalaemon carinicauda. Master’s Thesis, Shanghai Ocean University, Shanghai, China, 2016. [Google Scholar]
- Ren, S.S.; Sun, B.; Luo, L.; Zhang, L.M.; Chang, Y.M.; Liang, L.Q. Tolerance of Freshwater Shrimp (Macrobrachium nipponense) to Alkalinity and Low Temperature in Northeast China. Chin. J. Fish. 2020, 33, 24–28. [Google Scholar]
- Xu, J.; Li, Q.; Xu, L.M.; Wang, S.L.; Jiang, Y.L.; Zhao, Z.X.; Zhang, Y.; Li, J.T.; Dong, C.J.; Xu, P.; et al. Gene expression changes leading extreme alkaline tolerance in Amur ide (Leuciscus waleckii) inhabiting soda lake. BMC Genom. 2013, 14, 628. [Google Scholar] [CrossRef]
- Wang, L.B.; Pan, M.J.; Wang, M.Y.; Wang, R.Z.; Li, L.; Dong, S.L.; Li, W.D.; Tian, X.L. Kidney Transcriptomic Response of Lateolabrax maculatus to Long-Term Alkalinity Stressing. Period. Ocean Univ. China 2023, 2, 32–43. [Google Scholar]
- Shang, X.C.; Geng, L.W.; Yang, J.; Zhang, Y.T.; Xu, W. Transcriptome analysis reveals the mechanism of alkalinity exposure on spleen oxidative stress, inflammation and immune function of Luciobarbus capito. Ecotox. Environ. Saf. 2021, 225, 112748. [Google Scholar] [CrossRef]
- Chang, Y.M.; Tang, R.; Dou, X.J.; Tao, R.; Sun, X.W.; Liang, L.Q. Transcriptome and expression profiling analysis of Leuciscus waleckii: An exploration of the alkali-adapted mechanisms of a freshwater teleost. Mol. Biosyst. 2014, 10, 491–504. [Google Scholar] [CrossRef] [PubMed]
- SC/T 9406-2012; Water quality for aquaculture in saline-alkali land, Ministry of Agriculture. China Agricultural Press: Beijing, China, 2012.
- Ma, X.K.; Liu, X.Z.; Wen, H.S.; Xu, Y. Histological observation on gonadal sex differentiation in Cynoglossus semilaevis Günther. Mar. Fish. Res. 2006, 27, 55–61. [Google Scholar]
- ShangGuan, B.M.; Liu, Z.Z.; Li, S.Q. Histological studies on ovarian development in Scylla serrata. J. Fish. China 1991, 15, 96–103. [Google Scholar]
- Ortiz-Villanueva, E.; Navarro-Martín, L.; Jaumot, J.; Benavente, F.; Sanz-Nebot, V. Metabolic disruption of zebrafish (Danio rerio) embryos by bisphenol A. An integrated metabolomic and transcriptomic approach. Environ. Pollut. 2017, 231 Pt 1, 22–36. [Google Scholar] [CrossRef] [PubMed]
- Jin, S.B.; Hu, Y.N.; Fu, H.T.; Sun, S.M.; Jiang, S.F.; Xiong, Y.W.; Qiao, H.; Zhang, W.Y.; Gong, Y.S.; Wu, Y. Analysis of testis metabolome and transcriptome from the oriental river prawn (Macrobrachium nipponense) in response to different temperatures and illumination times. Comp. Biochem. Physiol. Part D 2020, 34, 100662. [Google Scholar] [CrossRef] [PubMed]
- Jin, S.B.; Fu, H.T.; Zhou, Q.; Sun, S.M.; Jiang, S.F.; Xiong, Y.W.; Gong, Y.S.; Qiao, H.; Zhang, W.Y. Transcriptome analysis of androgenic gland for discovery of novel genes from the oriental river prawn, Macrobrachium nipponense, using Illumina Hiseq 2000. PLoS ONE 2013, 8, e76840. [Google Scholar] [CrossRef]
- Jin, S.B.; Fu, Y.; Hu, Y.N.; Fu, H.T.; Jiang, S.F.; Xiong, Y.W.; Qiao, H.; Zhang, W.Y.; Gong, Y.S.; Wu, Y. Identification of candidate genes from androgenic gland in Macrobrachium nipponense regulated by eyestalk ablation. Sci. Rep. 2021, 11, 1985. [Google Scholar] [CrossRef]
- Chen, S.; Zhou, Y.; Chen, Y.; Gu, J. fastp: An ultra-fast all-in-one FASTQ preprocessor. Bioinformatics 2018, 34, i884–i890. [Google Scholar] [CrossRef]
- Kim, D.; Paggi, J.M.; Park, C.; Bennett, C.; Salzberg, S.L. Graph-based genome alignment and genotyping with HISAT2 and HISAT-genotype. Nat. Biotechnol. 2019, 37, 907–915. [Google Scholar] [CrossRef]
- Ashburner, M.; Ball, C.A.; Blake, J.A.; Botstein, D.; Butler, H.; Cherry, J.M.; Davis, A.P.; Dolinski, K.; Dwight, S.S.; Eppig, J.T.; et al. Gene ontology: Tool for the unification of biology. Nat. Genet. 2000, 25, 25–29. [Google Scholar] [CrossRef]
- Tatusov, R.L.; Fedorova, N.D.; Jackson, J.D.; Jacobs, A.R.; Kiryutin, B.; Koonin, E.V.; Krylov, D.M.; Mazumder, R.; Mekhedov, S.L.; Nikolskaya, A.N.; et al. The COG database: An updated version includes eukaryotes. BMC Bioinformat. 2003, 4, 41. [Google Scholar] [CrossRef] [PubMed]
- Kanehisa, M.; Araki, M.; Goto, S.; Hattori, M.; Itoh, M. KEGG for linking genomes to life and the environment. Nucleic Acids Res. 2008, 36, 480–484. [Google Scholar] [CrossRef] [PubMed]
- Anders, S.; Pyl, P.T.; Huber, W. HTSeq-A Python framework to work with high-throughput sequencing data. Bioinformatics 2015, 31, 166–169. [Google Scholar] [CrossRef] [PubMed]
- Love, M.I.; Huber, W.; Anders, S. Moderated estimation of fold change and dispersion for RNA-seq data with DESeq2. Genome Biol. 2014, 15, 550. [Google Scholar] [CrossRef] [PubMed]
- Ferreira, J.A.; Zwinderman, A.H. On the benjamini–hochberg method. Ann. Statist. 2006, 34, 1827–1849. [Google Scholar] [CrossRef]
- Jin, S.B.; Hu, Y.N.; Fu, H.T.; Jiang, S.F.; Xiong, Y.W.; Qiao, H.; Zhang, W.Y.; Gong, Y.S.; Wu, Y. Potential functions of Gem-associated protein 2-like isoform X1 in the oriental river prawn Macrobrachium nipponense: Cloning, qPCR, in situ hybridization, and RNAi analysis. Int. J. Mol. Sci. 2019, 20, 3995. [Google Scholar] [CrossRef]
- Jin, S.B.; Hu, Y.N.; Fu, H.T.; Jiang, S.F.; Xiong, Y.W.; Qiao, H.; Zhang, W.Y.; Gong, Y.S.; Wu, Y. Identification and characterization of the succinate dehydrogenase complex iron sulfur subunit B gene in the oriental river prawn Macrobrachium nipponense. Front. Genet. 2021, 12, 698318. [Google Scholar] [CrossRef]
- Hu, Y.N.; Fu, H.T.; Qiao, H.; Sun, S.M.; Zhang, W.Y.; Jin, S.B.; Jiang, S.F.; Gong, Y.S.; Xiong, Y.W.; Wu, Y. Validation and evaluation of reference genes for Quantitative real-time PCR in Macrobrachium nipponense. Int. J. Mol. Sci. 2018, 19, 2258. [Google Scholar] [CrossRef]
- Livak, K.J.; Schmittgen, T.D. Analysis of relative gene expression data using real-time quantitative PCR and the 2−∆∆CT method. Methods 2001, 25, 402–408. [Google Scholar] [CrossRef]
- Gao, S.; Chang, Y.M.; Zhao, X.F.; Sun, B.; Zhang, L.M.; Liang, L.Q.; Dong, Z.G. The effect of different bicarbonate alkalinity of the gill structure of Amur ide (Leuciscus waleckii). Acta Hydrobiol. Sin. 2020, 44, 736–743. [Google Scholar]
- Matey, V.; Richards, J.; Wang, Y.; Wood, C.M.; Rogers, J.; Davies, R.; Murray, B.W.; Chen, X.Q.; Du, J.; Brauner, C.J. The effect of hypoxia on gill morphology and ionoregulatory status in the Lake Qinghai scaleless carp, Gymnocypris przewalskii. J. Exp. Biol. 2008, 211, 1063–1074. [Google Scholar] [CrossRef] [PubMed]
- Qin, G.X.; Wei, Q.; Yu, J.Q. Histological characterization muscular and gill of Gymnocypris przewalskii. J. Qinghai Univ. 2010, 28, 4–7. [Google Scholar]
- Zhang, R.Y.; Li, G.G.; Zhang, C.F.; Tang, Y.T.; Zhao, K. Morphological differentiations of the gills of two Gymnocypris przewalskii subspecies in different habitats and their functional adaptations. Zool. Res. 2013, 34, 387–391. [Google Scholar]
- Zhang, J.B.; Cui, G.T.; Cai, C.F.; Ren, S.J.; Ni, Q.; Wang, C.R.; Li, W.J.; Ge, Y.Y.; Ding, H.M.; Zhang, C. Effects of short-term extreme pH stress on physiology and growth performance of Eriocheir sinensis. Freshw. Fish. 2020, 50, 99–106. [Google Scholar]
- Cagol, L.; Baldisserotto, B.; Becker, A.G.; Souza, C.D.F.; Ballester, E.L.C. Essential oil of Lippia alba in the diet of Macrobrachium rosenbergii: Effects on antioxidant enzymes and growth parameters. Aquac. Res. 2020, 51, 2243–2251. [Google Scholar] [CrossRef]
- Kong, Y.Q.; Ding, Z.L.; Zhang, Y.X.; Ye, J.Y.; Du, Z.Y. Dietary selenium requirement of juvenile oriental river prawn Macrobrachium nipponense. Aquaculture 2017, 476, 72–78. [Google Scholar] [CrossRef]
- Li, Y.; Liu, B.; Peng, Y.; Liu, C.; Li, C. Exogenous GABA alleviates alkaline stress in Malus hupehensis by regulating the accumulation of organic acids. Sci. Hortic. 2020, 261, 108982. [Google Scholar] [CrossRef]
- Sriramachandrasekharan, M.V.; Gokula, P.N.; Manivannan, R. Ameliorative Role of Silicon on Osmoprotectants, Antioxidant Enzymes and Growth of Maize Grown Under Alkaline Stress. Silicon 2022, 14, 6577–6585. [Google Scholar] [CrossRef]
- Sun, Y.L.; Hong, S.K. Exogenous proline mitigates the detrimental effects of saline and alkaline stresses in Leymus chinensis (Trin.). J. Plant Biotechnol. 2010, 37, 529–538. [Google Scholar] [CrossRef]
- Han, C.Y.; Zheng, Q.M.; Sun, Z.T. Gene Expression and Activities of Antioxidant Enzymes in Liver of Hybrid Tilapia, Oreochromis niloticus × Oreochromis aureus, Under Acute pH Stress. J. World Aquacult. Soc. 2016, 47, 260–267. [Google Scholar] [CrossRef]
- Wu, P.F. Study on Saline-Alkali Adaptability of Loach in the Dali Lake Plateau. Master’s Thesis, Dalian Ocean University, Dalian, China, 2017. [Google Scholar]
- Wang, Z.; Cai, C.; Cao, X.; Zhu, J.; Jie, H.; Ping, W.; Ye, Y. Supplementation of dietary astaxanthin alleviated oxidative damage induced by chronic high pH stress, and enhanced carapace astaxanthin concentration of Chinese mitten crab Eriocheir sinensis. Aquaculture 2018, 483, 230–237. [Google Scholar] [CrossRef]
- Basanta, K.D.; Chakraborty, H.J.; Rout, A.K.; Behera, B.K. De novo whole transcriptome profiling of Edwardsiella tarda isolated from infected fish (Labeo catla). Gene 2019, 701, 152–160. [Google Scholar]
- Fu, J.F.; Zhang, J.; Zhang, Y.J.; Yang, C.; Cao, G.X.; Zong, G.L. Analysis of genome sequence and natamycin biosynthetic gene cluster on high producing strain Streptomyces gilvosporeus F607. Microbiol. China 2019, 46, 2312–2325. [Google Scholar]
- Yin, M.H.; Deng, H.G.; Jiang, Y.; Wan, L.; Wu, L.X.; Ling, F.; Wang, J.H. GC/MS Metabonomics Analysis of Dioscorea bulbifera L. Microtubers Conserved in vitro at Low Temperature. Bull. Bot. Res. 2018, 38, 238–246. [Google Scholar]
- Zhao, W.S.; Guo, Q.G.; Dong, L.H.; Wang, P.P.; Su, Z.H.; Zhang, X.Y.; Lu, X.Y.; Li, S.Z.; Ma, P. Transcriptome and Proteome Analysis of Bacillus subtilis NCD-2 Response to L-proline from Cotton Root Exudates. Sci. Agric. Sin. 2021, 21, 4585–4600. [Google Scholar]
- Asadollahei, M.V.; Yousefifard, M.; Tabatabaeian, J.; Nekonam, M.S.; Mahdavi, S.M.E. Effect of elicitors on secondary metabolites biosynthesis in Zataria multiflora Boiss. Ind. Crop. Prod. 2022, 181, 114789. [Google Scholar] [CrossRef]
- Gantait, S.; Das, A.; Mitra, M.; Chen, J.T. Secondary metabolites in orchids: Biosynthesis, medicinal uses, and biotechnology. S. Afr. J. Bot. 2021, 139, 338–351. [Google Scholar] [CrossRef]
- Rezaei, R.; Wang, W.; Wu, Z.; Dai, Z.; Wang, J.; Wu, G. Biochemical and physiological bases for utilization of dietary amino acids by young pigs. J. Anim. Sci. Biotechnol. 2013, 4, 7. [Google Scholar] [CrossRef]
- Doherty, G.J.; McMahon, H.T. Mechanisms of endocytosis. Annu. Rev. Biochem. 2009, 78, 857–902. [Google Scholar] [CrossRef]
- Hull, C.; Mclean, G.; Wong, F.; Duriez, P.J.; Karsan, A. Lipopolysaccharide Signals an Endothelial Apoptosis Pathway Through TNF Receptor-Associated Factor 6-Mediated Activation of c-Jun NH2-Terminal Kinase. J. Immunol. 2002, 169, 2611–2618. [Google Scholar] [CrossRef]
- Zhang, P.; Yue, S.; Jiang, Y.; Zhang, X.; Liu, Y. TNF receptor-associated factor 6 regulates proliferation, apoptosis, and invasion of glioma cells. Mol. Cell. Biochem. 2013, 377, 87–96. [Google Scholar]
- Kornfeld, S.; Mellman, I. The Biogenesis of Lysosomes. Annu. Rev. Cell Biol. 1989, 5, 483–525. [Google Scholar] [CrossRef] [PubMed]
- Woo, S.M.; Kwon, T.K. The Functional Role of Lysosomes as Drug Resistance in Cancer. J. Life Sci. 2021, 31, 527–535. [Google Scholar]
- Sharom, F.J. Lipid transporters and binding proteins; MsbA and NPC1. FASEB J. 2010, 24, 408.401. [Google Scholar] [CrossRef]
- O’Neill, K. Triple Negative Breast Cancer is Dependent on the Lysosomal Cholesterol Transporter NPC1. J. Endocr. Soc. 2021, 5, A1034. [Google Scholar] [CrossRef]
- Moran-Crusio, K.; Reavie, L.B.; Aifantis, I. Regulation of hematopoietic stem cell fate by the ubiquitin proteasome system. Trends Immunol. 2012, 33, 357–363. [Google Scholar] [CrossRef] [PubMed][Green Version]
- Strikoudis, A.; Guillamot, M.; Aifantis, I. Regulation of stem cell function by protein ubiquitylation. EMBO Rep. 2014, 15, 365–382. [Google Scholar] [CrossRef]
- Metzger, M.B.; Hristova, V.A.; Weissman, A.M. HECT and RING finger families of E3 ubiquitin ligases at a glance. J. Cell Sci. 2012, 125, 531–537. [Google Scholar] [CrossRef]
- Mohammed, Z.; Timothy, A.H.; Mark, T.D.; Donald, L.C. A Francisella tularensis DNA clone complements Escherichia coli defective for the production of Era, an essential Ras-like GTP-binding protein. Gene 1997, 189, 31–34. [Google Scholar]
- Lawson, W.E.; Crossno, P.F.; Polosukhin, V.V.; Roldan, J.; Cheng, D.S.; Lane, K.B.; Blackwell, T.R.; Xu, C.; Markin, C.; Ware, L.B. Endoplasmic reticulum stress in alveolar epithelial cells is prominent in IPF: Association with altered surfactant protein processing and herpesvirus infection. Am. J. Physiol. Lung Cell Mol. Physiol. 2008, 294, L1119–L1126. [Google Scholar] [CrossRef]
- Wood, P.; Elliott, T. Glycan-regulated Antigen Processing of a Protein in the Endoplasmic Reticulum Can Uncover Cryptic Cytotoxic T Cell Epitopes. J. Exp. Med. 1998, 188, 773–778. [Google Scholar] [CrossRef] [PubMed]
- Ding, H.R.; Qian, J.; Tong, J.; Tang, J.N.; Lin, H.; Chu, J.P.; Zhu, G.Q.; Chen, F.; Liu, X.B. HSP90 pathway in intermediate mononuclear cells causes plaque erosion via induction of neutrophil hyper-responsiveness. Eur. Heart J. 2021, 42, ehab724.1301. [Google Scholar] [CrossRef]
- Ghosh, A.; Garee, G.; Sweeny, E.A.; Nakamura, Y.; Stuehr, D.J. Hsp90 chaperones hemoglobin maturation in erythroid and nonerythroid cells. Proc. Natl. Acad. Sci. USA 2018, 22, E1117–E1126. [Google Scholar] [CrossRef]
- Miyasaka, H.; Endo, S.; Shimizu, H. Eukaryotic translation initiation factor 1 (eIF1), the inspector of good AUG context for translation initiation, has an extremely bad AUG context. J. Biosci. Bioeng. 2010, 109, 635–637. [Google Scholar] [CrossRef] [PubMed]
- Sun, Y.L.; Gong, H.S.; Jin, C.W.; Hong, S.K. Molecular cloning and identification of eukaryotic translation initiation factor 1 family genes (eIF1, eIF1A and eIF1B) in Leymus chinensis (Trin.). Biotechnol. Biotec. Eq. 2015, 29, 609–616. [Google Scholar] [CrossRef]
- Stan, A.; Mayer, C. Tethered Ribosomes: Toward the Synthesis of Nonproteinogenic Polymers in Bacteria. Chembiochem Eur. J. Chem. Boil. 2023, 24, e202200578. [Google Scholar] [CrossRef]
- Wang, A.; Hassan, A.H.; Freitas, F.C.; Singh, V.; Amunts, A.; Whitford, P. Understanding the energetics of translation in bacterial and eukaryotic ribosomes. Biophys. J. 2023, 122, 317a. [Google Scholar] [CrossRef]
- Homann, H.E.; Nierhaus, K.H. Ribosomal Proteins. Eur. J. Biochem. 1971, 20, 249–257. [Google Scholar] [CrossRef]
- Dimroth, P.; Kaim, G.; Matthey, U. Crucial role of the membrane potential for ATP synthesis by F(1) F(o) ATP synthases. J. Exp. Biol. 2000, 203, 51–59. [Google Scholar] [CrossRef]
- Althoff, T.; Mills, D.J.; Popot, J.L.; Kuhlbrandt, W. Arrangement of electron transport chain components in bovine mitochondrial supercomplex I1III2IV1. EMBO J. 2011, 30, 4652–4664. [Google Scholar] [CrossRef]
- Dudkina, N.V.; Kudryashev, M.; Stahlberg, H.; Boekema, E.J. Interaction of complexes I, III, and IV within the bovine respirasome by single particle cryoelectron tomography. Proc. Natl. Acad. Sci. USA 2011, 108, 15196–15200. [Google Scholar] [CrossRef] [PubMed]
- Schagger, H.; Pfeiffer, K. Supercomplexes in the respiratory chains of yeast and mammalian mitochondria. EMBO J. 2000, 19, 1777–1783. [Google Scholar] [CrossRef]
- Yang, W.C.; Li, H.; Wang, F.; Zhu, X.L.; Yang, G.F. Rieske Iron–Sulfur Protein of the Cytochrome bc1 Complex: A Potential Target for Fungicide Discovery. ChemBioChem 2012, 13, 1542–1551. [Google Scholar] [CrossRef] [PubMed]
- Yi, F.; Zhu, Y. Ectopic ATP Synthase in Endothelial Cells: A Novel Cardiovascular Therapeutic Target. South China J. Cardiovasc. Dis. 2011, S1, 35–36. [Google Scholar]
- Yang, W.; Yan, L.; Xu, Y.; Xu, L.; Wei, Z.; Wu, Y.; Long, L.; Shen, P. Estrogen Represses Hepatocellular Carcinoma (HCC) Growthvia Inhibiting Alternative Activation of Tumor-associated Macrophages (TAMs). J. Biol. Chem. 2012, 287, 40140–40149. [Google Scholar] [CrossRef] [PubMed]
- Kaziro, Y.; Itoh, H.; Kozasa, T.; Nakafuku, M.; Satoh, T. Structure and function of signal-transducing GTP-binding proteins. Annu. Rev. Biochem. 1991, 60, 349–400. [Google Scholar] [CrossRef] [PubMed]
- Hoshino, M.; Nakamura, S. The Ras-like small GTP-binding protein Rin is activated by growth factor stimulation. Biochem. Biophys. Res. Commun. 2002, 295, 651–656. [Google Scholar] [CrossRef]
- Morreale, F.E.; Walden, H. Types of ubiquitin ligases. Cell 2016, 165, 248. [Google Scholar] [CrossRef]
- Yoshimoto, S.; Ikeda, N.; Izutsu, Y.; Shiba, T.; Takamatsu, N.; Ito, M. Opposite roles of DMRT1 and its W-linked paralogue, DM-W, in sexual dimorphism of Xenopus laevis: Implications of a ZZ/ZW-type sex-determining system. Development 2010, 137, 2519–2526. [Google Scholar] [CrossRef]
- Yoshimoto, S.; Okada, E.; Oishi, T.; Numagami, R.; Umemoto, H.; Tamura, K.; Kanda, H.; Shiba, T.; Takamatsu, N.; Ito, M. Expression and promoter analysis of Xenopus DMRT1 and functional characterization of the transactivation property of its protein. Dev. Growth Differ. 2006, 48, 597–603. [Google Scholar] [CrossRef]





| Species | LC50 Value at 24 h (mmol/L) | Safe Alkali Value (mmol/L) |
|---|---|---|
| Ctenopharyngodon idellus | 82.2 | |
| Hypophthalmichthys molitrix | 95 | |
| Aristichthys nobolis | 65.7 | |
| Tribolodon brandti | 89.31 | 18.79 |
| Gymnocypris przewalskii | 64 | |
| Penaeus chinensis | 3.28 | |
| Penaeus vannamei | 12.40 | |
| Palaemon przewalskii | 3.5 | |
| Macrobrachium nipponense | 14.42 | 4.71 |
| Gene | Forward Primer | Reverse Primer | Efficiency (%) | Product Size (bp) |
|---|---|---|---|---|
| HP-JAY84 | CGCTCTAGATCCGTGAGCAG | ACGAGGCCAGAAACTCTTGG | 95.4 | 232 |
| RaG | GTCCTCAAGATCGTGGCTGT | TGCATCTGTCGAAACCCTCC | 97.1 | 196 |
| Dmrt1- a | GTTGGCTTCGTCCCAGAAGA | TGATCACACTCCACGCTGAC | 94.8 | 185 |
| TARF6 | TGCTCCATAGTCCGGCATTT | GCAGATCTGGCTTGCTTACC | 101.5 | 240 |
| CHMP7 | ATTCCGCAGTGGTGTAGAGG | GAGCTCACTCCCGAAGCAAG | 99.2 | 144 |
| ADRH-WM6 | GGTCCAGGAGAGATTCGACG | CCACACAAAATGCAGCCACA | 97.9 | 117 |
| NXF1 | TAGGACACCACTTGCTGCTG | TGCATTCGCTTGTCTGAGGT | 102.5 | 153 |
| Nup107 | AGGAGGAAACTGGCTCTCCA | TCCAGCGATCAAGTTCACCC | 97.5 | 150 |
| Hsp90 | ATGCCCGAGGAACCAATGAC | AGAGCTCCTTGCCAGATTCG | 98.2 | 208 |
| eIF2 | TGGAAAGACCGAACCAGTCG | AAAAGCTCCCCTACGTGTCG | 103.6 | 162 |
| Ap4m1 | TGGAATGGGCACAGTATCACC | CCTCCAGAGTCTACAAGCCG | 96.8 | 201 |
| NPC2 | CTCTGCTACAGCCTTCCAGG | TTCGACTCCCTTGCAAGCAT | 97.1 | 232 |
| CDC23 | AGGCTCAGAAATTGCGACCA | GGCACGTTCACCTTCACCTA | 97.4 | 189 |
| E3-FANCL | GTGGCAATGAAGAATGGGGC | GTCTGCTATTCGGAAGCCCA | 98.6 | 150 |
| 39S-RPL32 | TGAGCATGAAGTCTTTCCCGT | CAGTCTGCGAGAAAACCACTG | 101.5 | 121 |
| 39S-RPL33 | GGCCAACGTTTTTCGATCTGG | AAAGACGCACACCTGACGGA | 97.8 | 199 |
| 60S-RPL19 | CAATGCTCGTGCCAAGATGT | TCTGCCTTCCTTTGGGCAAC | 95.3 | 105 |
| RP-L21 | GAGACGCCACAACTCAAGGA | TTCCGTCTACCCCTTCCACT | 104.8 | 122 |
| InR | TCCTCGGTGCCTCAAGAAAC | CCACTGCAGACCTCGAATGT | 101.9 | 173 |
| GATOR-WDR59 | CACATCCATCCACCCCTGTG | ACAGCCTGTTGGGCATTCAT | 97.6 | 263 |
| Cbc-10 | CCTCTGGAGTGCAATGGGAG | TTGCTGCTGAACCCAGTCTC | 99.7 | 131 |
| Cbc-7 | AGGAGGAAAGTCGAAAGCCG | AGATGACGAGAAGCACTGGC | 99.6 | 141 |
| HP-798 | GACGTTCTTCGCACACTTCA | TCATGCGTTCCGTTTCCAGA | 102.4 | 113 |
| ATP-CF6 | CAAGGTTGCTCGCCAGTATG | TTTTGCAAACAGTTCAGGTGGT | 95.6 | 120 |
| EIF | CATGGATGTACCTGTGGTGAAAC | CTGTCAGCAGAAGGTCCTCATTA | 98.5 | 157 |
| Metabolic Pathways (0 vs. 4) | DEMs | Metabolic Pathways (0 vs. 8) | DEMs | Metabolic Pathways (0 vs. 12) | DEMs |
|---|---|---|---|---|---|
| Metabolic pathways | 44 | Metabolic pathways | 38 | Metabolic pathways | 59 |
| Biosynthesis of secondary metabolites | 21 | Biosynthesis of secondary metabolites | 13 | Biosynthesis of secondary metabolites | 31 |
| Biosynthesis of plant secondary metabolites | 14 | Microbial metabolism in diverse environments | 12 | Biosynthesis of amino acids | 18 |
| Biosynthesis of amino acids | 12 | Biosynthesis of plant secondary metabolites | 11 | Microbial metabolism in diverse environments | 16 |
| Microbial metabolism in diverse environments | 11 | Biosynthesis of cofactors | 7 | Biosynthesis of plant secondary metabolites | 18 |
| Protein digestion and absorption | 11 | Nucleotide metabolism | 7 | Central carbon metabolism in cancer | 13 |
| Aminoacyl-tRNA biosynthesis | 9 | Biosynthesis of amino acids | 6 | Biosynthesis of cofactors | 12 |
| Central carbon metabolism in cancer | 9 | Carbon metabolism | 6 | Protein digestion and absorption | 12 |
| Mineral absorption | 8 | Cysteine and methionine metabolism | 6 | ABC transporters | 10 |
| ABC transporters | 8 | Biosynthesis of plant hormones | 6 | Carbon metabolism | 10 |
| 2-Oxocarboxylic acid metabolism | 7 | Biosynthesis of alkaloids derived from histidine and purine | 6 | Aminoacyl-tRNA biosynthesis | 10 |
| Glucosinolate biosynthesis | 7 | Purine metabolism | 6 | 2-Oxocarboxylic acid metabolism | 10 |
| Biosynthesis of various plant secondary metabolites | 7 | D-Amino acid metabolism | 5 | Glycine, serine, and threonine metabolism | 9 |
| D-Amino acid metabolism | 6 | Taste transduction | 5 | D-Amino acid metabolism | 9 |
| Biosynthesis of plant hormones | 6 | Glyoxylate and dicarboxylate metabolism | 5 | Mineral absorption | 8 |
| 0 mmol/L vs. 4 mmol/L | 0 mmol/L vs. 8 mmol/L | 0 mmol/L vs. 12 mmol/L |
|---|---|---|
| Binding | Cell | Cell |
| Catalytic activity | Cell part | Cell part |
| Cellular process | Binding | Cellular process |
| Cell | Cellular process | Binding |
| Cell part | Catalytic activity | Metabolic process |
| Metabolic process | Metabolic process | Organelle |
| Organelle | Membrane | Catalytic activity |
| Membrane | Organelle | Biological regulation |
| Membrane part | Membrane part | Organelle part |
| Extracellular region | Biological regulation | Developmental process |
| Multicellular organismal process | Response to stimulus | Multicellular organismal process |
| Developmental process | Organelle part | Membrane |
| Response to stimulus | Developmental process | Cellular component organization or biogenesis |
| Biological regulation | Multicellular organismal process | Response to stimulus |
| Localization | Localization | Protein-containing complex |
| Metabolic Pathways (0 vs. 4) | DEGs | Metabolic Pathways (0 vs. 8) | DEGs | Metabolic Pathways (0 vs. 12) | DEGs |
|---|---|---|---|---|---|
| Peroxisome | 5 | Retinol metabolism | 4 | Endocytosis | 59 |
| Arginine and proline metabolism | 4 | Pentose and glucuronate interconversions | 4 | RNA transport | 53 |
| Fatty acid degradation | 3 | Metabolism of xenobiotics by cytochrome P450 | 4 | Protein processing in endoplasmic reticulum | 48 |
| Drug metabolism—other enzymes | 3 | Glycerophospholipid metabolism | 3 | Lysosome | 44 |
| Ascorbate and aldarate metabolism | 3 | Drug metabolism—cytochrome P450 | 3 | Ubiquitin mediated proteolysis | 43 |
| Metabolism of xenobiotics by cytochrome P450 | 2 | Glutathione metabolism | 3 | Ribosome | 43 |
| Tryptophan metabolism | 2 | Fructose and mannose metabolism | 3 | mTOR signaling pathway | 42 |
| Pentose and glucuronate interconversions | 2 | Phagosome | 3 | Oxidative phosphorylation | 40 |
| Drug metabolism—cytochrome P450 | 2 | Pyruvate metabolism | 3 | Ribosome biogenesis in eukaryotes | 39 |
| Pyruvate metabolism | 2 | Citrate cycle (TCA cycle) | 2 | Amino sugar and nucleotide sugar metabolism | 37 |
| Gene | Accession Number | Species | Fold Change | ||
|---|---|---|---|---|---|
| 0 vs. 4 | 4 vs. 8 | 8 vs. 12 | |||
| Hypothetical protein (HP-JAY84) | JAY84_18770 | Candidatus Thiodiazotropha | 0.004 | 292.04 | 0.009 |
| Ras-like GTP-binding protein (RaG) | XP_053656102.1 | Cherax quadricarinatus | 2.35 | 6.96 | 12.91 |
| Doublesex and mab-3 related transcription factor 1a (Dmrt1-a) | QDE10512.1 | Macrobrachium rosenbergii | 91.77 | 0.10 | 14.32 |
| Gene | Accession number | Species | Metabolic pathway | Fold change | |
| 0 vs. 12 | |||||
| TNF receptor associated factor 6 (TARF6) | ASM46956.1 | Macrobrachium nipponense | Endocytosis | 3.58 | |
| Charged multivesicular body protein 7 (CHMP7) | XP_027209977.1 | Penaeus vannamei | Endocytosis | 6.92 | |
| ATP-dependent RNA helicase WM6 (ADRH-WM6) | RXG50776.1 | Armadillidium vulgare | RNA transport | 6.15 | |
| Ribonuclease P protein subunit p29 | XP_027220920.1 | Penaeus vannamei | RNA transport | 12.21 | |
| Nuclear RNA export factor 1 (NXF1) | XP_045623594.1 | Procambarus clarkii | RNA transport | 4.32 | |
| Nuclear pore protein Nup107 (Nup107) | XP_027211930.1 | Penaeus vannamei | RNA transport | 4.76 | |
| Hsp90 protein | ROT76137.1 | Penaeus vannamei | Protein processing in endoplasmic reticulum | 3.97 | |
| Eukaryotic translation initiation factor 2 (eIF2) | XP_053634587.1 | Cherax quadricarinatus | Protein processing in endoplasmic reticulum | 3.68 | |
| AP-4 complex subunit mu-1-like isoform X2 (Ap4m1) | XP_027222938.1 | Penaeus vannamei | Lysosome | 7.11 | |
| NPC intracellular cholesterol transporter 2 (NPC2) | XP_047502679.1 | Penaeus chinensis | Lysosome | 6.96 | |
| Cell division cycle protein 23 (CDC23) | XP_027236079.1 | Penaeus vannamei | Ubiquitin-mediated proteolysis | 4.53 | |
| E3 ubiquitin-protein ligase FANCL (E3-FANCL) | XP_027214794.1 | Penaeus vannamei | Ubiquitin-mediated proteolysis | 48.84 | |
| 39S ribosomal protein L32 (39S-RPL32) | XP_027217747.1 | Penaeus vannamei | Ribosome | 14.32 | |
| 39S ribosomal protein L33 (39S-RPL33) | XP_047997684.1 | Leguminivora glycinivorella | Ribosome | 8.11 | |
| 60S ribosomal protein L19 (60S-RPL19) | XP_027212740.1 | Penaeus vannamei | Ribosome | 10.41 | |
| Ribosomal prokaryotic L21 protein (RP-L21) | XP_042878336.1 | Penaeus japonicus | Ribosome | 8.51 | |
| Insulin-like receptor (InR) | XP_027218065.1 | Penaeus vannamei | mTOR signaling pathway | 15.35 | |
| GATOR complex protein WDR59 (GATOR-WDR59) | XP_027223649.1 | Penaeus vannamei | mTOR signaling pathway | 4.56 | |
| Cytochrome b-c1 complex subunit 10 (Cbc-10) | KZC10939.1 | Dufourea novaeangliae | Oxidative phosphorylation | 4.53 | |
| Cytochrome b-c1 complex subunit 7 (Cbc-7) | XP_027231282.1 | Penaeus vannamei | Oxidative phosphorylation | 7.84 | |
| Hypothetical protein L798_02749 (HP-798) | KDR07695.1 | Zootermopsis nevadensis | Oxidative phosphorylation | 5.21 | |
| ATP synthase-coupling factor 6 (ATP-CF6) | XP_042857694.1 | Penaeus japonicus | Oxidative phosphorylation | 4.66 | |
Disclaimer/Publisher’s Note: The statements, opinions and data contained in all publications are solely those of the individual author(s) and contributor(s) and not of MDPI and/or the editor(s). MDPI and/or the editor(s) disclaim responsibility for any injury to people or property resulting from any ideas, methods, instructions or products referred to in the content. |
© 2024 by the authors. Licensee MDPI, Basel, Switzerland. This article is an open access article distributed under the terms and conditions of the Creative Commons Attribution (CC BY) license (https://creativecommons.org/licenses/by/4.0/).
Share and Cite
Jin, S.; Xu, M.; Gao, X.; Jiang, S.; Xiong, Y.; Zhang, W.; Qiao, H.; Wu, Y.; Fu, H. Effects of Alkalinity Exposure on Antioxidant Status, Metabolic Function, and Immune Response in the Hepatopancreas of Macrobrachium nipponense. Antioxidants 2024, 13, 129. https://doi.org/10.3390/antiox13010129
Jin S, Xu M, Gao X, Jiang S, Xiong Y, Zhang W, Qiao H, Wu Y, Fu H. Effects of Alkalinity Exposure on Antioxidant Status, Metabolic Function, and Immune Response in the Hepatopancreas of Macrobrachium nipponense. Antioxidants. 2024; 13(1):129. https://doi.org/10.3390/antiox13010129
Chicago/Turabian StyleJin, Shubo, Mingjia Xu, Xuanbin Gao, Sufei Jiang, Yiwei Xiong, Wenyi Zhang, Hui Qiao, Yan Wu, and Hongtuo Fu. 2024. "Effects of Alkalinity Exposure on Antioxidant Status, Metabolic Function, and Immune Response in the Hepatopancreas of Macrobrachium nipponense" Antioxidants 13, no. 1: 129. https://doi.org/10.3390/antiox13010129
APA StyleJin, S., Xu, M., Gao, X., Jiang, S., Xiong, Y., Zhang, W., Qiao, H., Wu, Y., & Fu, H. (2024). Effects of Alkalinity Exposure on Antioxidant Status, Metabolic Function, and Immune Response in the Hepatopancreas of Macrobrachium nipponense. Antioxidants, 13(1), 129. https://doi.org/10.3390/antiox13010129

