Oxidative Stress in Long-Term Exposure to Multi-Walled Carbon Nanotubes in Male Rats
Abstract
:1. Introduction
2. Materials and Methods
2.1. Ethics Committee Approval
2.2. Animals and Experimental Treatments
2.3. Preparation of Blood and Tissue Samples
2.4. Determination of Oxidative Stress Markers and Biochemical Parameters
2.5. Histological Analyses
2.6. Statistical Analysis
3. Results
3.1. Body Weights, Clinical Signs, and Food Consumptions
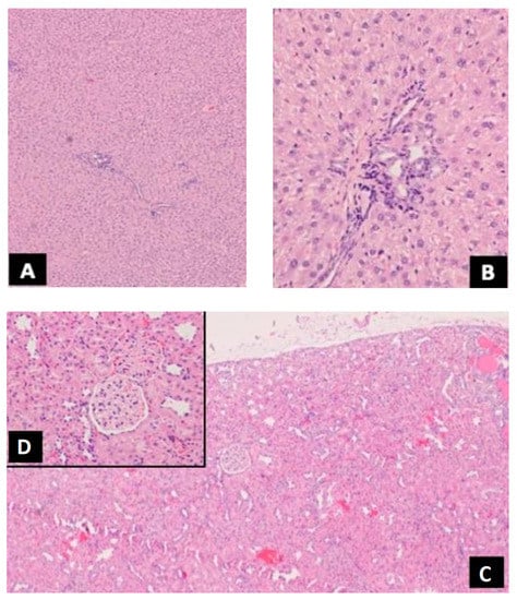
3.2. Histological Analyses
3.2.1. Kidneys
3.2.2. Liver
3.3. Concentrations of Oxidative Stress Markers and Biochemical Parameters
3.3.1. Total Protein (TP)
Serum
Liver
Kidneys
3.3.2. Reduced Glutathione (GSH)
Serum
Kidneys
3.3.3. Thiobarbituric Acid Reactive Substances (TBARS)
Kidneys
3.3.4. TEAC (Trolox Equivalent Antioxidant Capacity)
Serum
Liver
3.3.5. Nitric Oxide (NO)
Liver
Kidneys
3.3.6. Glutathione S-Transferase (GST)
Serum
Kidneys
3.3.7. Catalase (CAT)
4. Discussion
5. Conclusions
- Increased liver TP levels in rats given nanotubes suggest a proportional relationship between MWCNTs concentration and toxicity.
- Our study, after 12 months, showed a statistically significant reduction of 62.19% in serum GSH levels in rats exposed to nanotubes at higher concentrations compared to lower concentrations.
- The 18-month exposure resulted in a statistically significant increase in GST activity—by 53.93% in the group of rats exposed to nanotubes at higher concentrations compared to animals receiving MWCNTs at lower concentrations and by 58.99% compared to the control group. However, after the next 6 months of the observation, GST levels were lower. This may suggest the reduced efficiency of repair processes in the process of aging of the animals exposed to higher concentrations of carbon nanotubes, leading to GST depletion.
- Moreover, a 35.79% decrease was observed in rats receiving nanotubes at higher concentrations compared to the group receiving lower concentrations of MWCNTs. Lower TEAC may indicate reduced antioxidant protection in the liver of rats exposed to higher concentrations of MWCNTs.
- Longer exposure time to the carbon nanotube solution results in higher NO levels in the rats’ kidneys.
6. Summary
Author Contributions
Funding
Institutional Review Board Statement
Informed Consent Statement
Data Availability Statement
Acknowledgments
Conflicts of Interest
References
- Murray, A.R.; Kisin, E.; Leonard, S.S.; Young, S.H.; Kommineni, C.; Kagan, V.E.; Castranova, V.; Shvedova, A.A. Oxidative Stress and Inflammatory Response in Dermal Toxicity of Single-Walled Carbon Nanotubes. Toxicology 2009, 257, 161–171. [Google Scholar] [CrossRef]
- Mauricio, M.D.; Guerra-Ojeda, S.; Marchio, P.; Valles, S.L.; Aldasoro, M.; Escribano-Lopez, I.; Herance, J.R.; Rocha, M.; Vila, J.M.; Victor, V.M.; et al. Nanoparticles in Medicine: A Focus on Vascular Oxidative Stress. Oxid. Med. Cell Longev. 2018, 2018, 6231482. [Google Scholar] [CrossRef]
- Witkowska, M.; Florek, E.; Mrówczyński, R. Assessment of Pristine Carbon Nanotubes Toxicity in Rodent Models. Int. J. Mol. Sci. 2022, 23, 15343. [Google Scholar] [CrossRef]
- Powers, K.W.; Palazuelos, M.; Moudgil, B.M.; Roberts, S.M. Characterization of the Size, Shape, and State of Dispersion of Nanoparticles for Toxicological Studies. Nanotoxicology 2007, 1, 42–51. [Google Scholar] [CrossRef]
- Caballero-Díaz, E.; Pfeiffer, C.; Kastl, L.; Rivera-Gil, P.; Simonet, B.; Valcárcel, M.; Jiménez-Lamana, J.; Laborda, F.; Parak, W.J. The Toxicity of Silver Nanoparticles Depends on Their Uptake by Cells and Thus on Their Surface Chemistry. Part. Part. Syst. Charact. 2013, 30, 1079–1085. [Google Scholar] [CrossRef]
- Talkar, S.; Dhoble, S.; Majumdar, A.; Patravale, V. Transmucosal Nanoparticles: Toxicological Overview. Adv. Exp. Med. Biol. 2018, 1048, 37–57. [Google Scholar] [CrossRef]
- Woźniak, A.; Walawender, M.; Tempka, D.; Coy, E.; Załęski, K.; Grześkowiak, B.F.; Mrówczyński, R. In Vitro Genotoxicity and Cytotoxicity of Polydopamine-Coated Magnetic Nanostructures. Toxicol. In Vitro 2017, 44, 256–265. [Google Scholar] [CrossRef]
- Semba, J.A.; Mieloch, A.A.; Rybka, J.D. Introduction to the State-of-the-Art 3D Bioprinting Methods, Design, and Applications in Orthopedics. Bioprinting 2020, 18, e00070. [Google Scholar] [CrossRef]
- Szymański, T.; Mieloch, A.A.; Richter, M.; Trzeciak, T.; Florek, E.; Rybka, J.D.; Giersig, M. Utilization of Carbon Nanotubes in Manufacturing of 3D Cartilage and Bone Scaffolds. Materials 2020, 13, 4039. [Google Scholar] [CrossRef]
- Mieloch, A.A.; Semba, J.A.; Rybka, J.D. CNT-Type Dependent Cellular Adhesion on 3D-Printed Nanocomposite for Tissue Engineering. Int. J. Bioprint. 2022, 8, 548. [Google Scholar] [CrossRef]
- Semba, J.A.; Mieloch, A.A.; Tomaszewska, E.; Cywoniuk, P.; Rybka, J.D. Formulation and Evaluation of a Bioink Composed of Alginate, Gelatin, and Nanocellulose for Meniscal Tissue Engineering. Int. J. Bioprint. 2022, 9, 621. [Google Scholar] [CrossRef]
- Trzeciak, T.; Rybka, J.D.; Richter, M.; Kaczmarczyk, J.; Ramalingam, M.; Giersig, M. Cells and Nanomaterial-Based Tissue Engineering Techniques in the Treatment of Bone and Cartilage Injuries. J. Nanosci. Nanotechnol. 2016, 16, 8948–8952. [Google Scholar] [CrossRef]
- Trzeciak, T.; Rybka, J.D.; Akinoglu, E.M.; Richter, M.; Kaczmarczyk, J.; Giersig, M. Evaluation of Carbon Nanotube-Based Scaffolds for Cartilage Tissue Engineering. J. Nanosci. Nanotechnol. 2016, 16, 9022–9025. [Google Scholar] [CrossRef]
- Lacerda, L.; BiancoI, A.; Prato, M.; Kostarelos, K. Carbon Nanotubes as Nanomedicines: From Toxicology to Pharmacology. Adv. Drug Deliv. Rev. 2006, 58, 1460–1470. [Google Scholar] [CrossRef]
- Guzmán-Mendoza, J.J.; Montes-Fonseca, S.L.; Ramos-Martínez, E.; González-Horta, C.; del Hernández-Rodríguez, P.C.; Orrantia-Borunda, E.; Chávez-Flores, D.; Sánchez-Ramírez, B. Safe Administration of Carbon Nanotubes by Intravenous Pathway in BALB/c Mice. Nanomaterials 2020, 10, 400. [Google Scholar] [CrossRef]
- Tang, S.; Tang, Y.; Zhong, L.; Murat, K.; Asan, G.; Yu, J.; Jian, R.; Wang, C.; Zhou, P. Short- and Long-Term Toxicities of Multi-Walled Carbon Nanotubes in Vivo and in Vitro. J. Appl. Toxicol. 2012, 32, 900–912. [Google Scholar] [CrossRef]
- Jain, S.; Thakare, V.S.; Das, M.; Godugu, C.; Jain, A.K.; Mathur, R.; Chuttani, K.; Mishra, A.K. Toxicity of Multiwalled Carbon Nanotubes with End Defects Critically Depends on Their Functionalization Density. Chem. Res. Toxicol. 2011, 24, 2028–2039. [Google Scholar] [CrossRef]
- Seidel, C.; Zhernovkov, V.; Cassidy, H.; Kholodenko, B.; Matallanas, D.; Cosnier, F.; Gaté, L. Inhaled Multi-Walled Carbon Nanotubes Differently Modulate Global Gene and Protein Expression in Rat Lungs. Nanotoxicology 2021, 15, 238–256. [Google Scholar] [CrossRef]
- Kim, J.K.; Jo, M.S.; Kim, Y.; Kim, T.G.; Shin, J.H.; Kim, B.W.; Kim, H.P.; Lee, H.K.; Kim, H.S.; Ahn, K.; et al. 28-Day Inhalation Toxicity Study with Evaluation of Lung Deposition and Retention of Tangled Multi-Walled Carbon Nanotubes. Nanotoxicology 2020, 14, 250–262. [Google Scholar] [CrossRef]
- Kasai, T.; Umeda, Y.; Ohnishi, M.; Mine, T.; Kondo, H.; Takeuchi, T.; Matsumoto, M.; Fukushima, S. Lung Carcinogenicity of Inhaled Multi-Walled Carbon Nanotube in Rats. Part. Fibre Toxicol. 2015, 13, 53. [Google Scholar] [CrossRef]
- Raphey, V.R.; Henna, T.K.; Nivitha, K.P.; Mufeedha, P.; Sabu, C.; Pramod, K. Advanced Biomedical Applications of Carbon Nanotube. Mater. Sci. Eng. C 2019, 100, 616–630. [Google Scholar] [CrossRef] [PubMed]
- Alshehri, R.; Ilyas, A.M.; Hasan, A.; Arnaout, A.; Ahmed, F.; Memic, A. Carbon Nanotubes in Biomedical Applications: Factors, Mechanisms, and Remedies of Toxicity. J. Med. Chem. 2016, 59, 8149–8167. [Google Scholar] [CrossRef] [PubMed]
- Chetyrkina, M.R.; Fedorov, F.S.; Nasibulin, A.G. In Vitro Toxicity of Carbon Nanotubes: A Systematic Review. RSC Adv. 2022, 12, 16235–16256. [Google Scholar] [CrossRef] [PubMed]
- Fraser, K.; Hubbs, A.; Yanamala, N.; Mercer, R.R.; Stueckle, T.A.; Jensen, J.; Eye, T.; Battelli, L.; Clingerman, S.; Fluharty, K.; et al. Histopathology of the Broad Class of Carbon Nanotubes and Nanofibers Used or Produced in U.S. Facilities in a Murine Model. Part. Fibre Toxicol. 2021, 18, 47. [Google Scholar] [CrossRef]
- Lindberg, H.K.; Falck, G.C.-M.; Suhonen, S.; Vippola, M.; Vanhala, E.; Catalán, J.; Savolainen, K.; Norppa, H. Genotoxicity of Nanomaterials: DNA Damage and Micronuclei Induced by Carbon Nanotubes and Graphite Nanofibres in Human Bronchial Epithelial Cells in Vitro. Toxicol. Lett. 2009, 186, 166–173. [Google Scholar] [CrossRef]
- Hindumathi, R.; Jagannatham, M.; Haridoss, P.; Sharma, C.P. Novel Nano-Cocoon like Structures of Polyethylene Glycol–Multiwalled Carbon Nanotubes for Biomedical Applications. Nano-Struct. Nano-Objects 2018, 13, 30–35. [Google Scholar] [CrossRef]
- Francis, A.P.; Devasena, T. Toxicity of Carbon Nanotubes: A Review. Toxicol. Ind. Health 2018, 34, 200–210. [Google Scholar] [CrossRef]
- Staroń, A.; Długosz, O.; Pulit-Prociak, J.; Banach, M. Analysis of the Exposure of Organisms to the Action of Nanomaterials. Materials 2020, 13, 349. [Google Scholar] [CrossRef]
- Czarny, B.; Georgin, D.; Berthon, F.; Plastow, G.; Pinault, M.; Patriarche, G.; Thuleau, A.; L’Hermite, M.M.; Taran, F.; Dive, V.; et al. Carbon Nanotube Translocation to Distant Organs after Pulmonary Exposure: Insights from in Situ 14 C-Radiolabeling and Tissue Radioimaging. ACS Nano 2014, 8, 5715–5724. [Google Scholar] [CrossRef]
- Szymański, T.; Kempa, M.; Giersig, M.; Dalibor Rybka, J. Carbon Nanotubes Interference with Luminescence-Based Assays. Materials 2020, 13, 4270. [Google Scholar] [CrossRef]
- Yang, Y.; Qin, Z.; Zeng, W.; Yang, T.; Cao, Y.; Mei, C.; Kuang, Y. Toxicity Assessment of Nanoparticles in Various Systems and Organs. Nanotechnol. Rev. 2017, 6, 279–289. [Google Scholar] [CrossRef]
- Kubes, P.; Jenne, C. Immune Responses in the Liver. Annu. Rev. Immunol. 2018, 36, 247–277. [Google Scholar] [CrossRef]
- Shvedova, A.A.; Pietroiusti, A.; Fadeel, B.; Kagan, V.E. Mechanisms of Carbon Nanotube-Induced Toxicity: Focus on Oxidative Stress. Toxicol. Appl. Pharmacol. 2012, 261, 121–133. [Google Scholar] [CrossRef]
- Ahmadi, H.; Ramezani, M.; Yazdian-Robati, R.; Behnam, B.; Razavi Azarkhiavi, K.; Hashem Nia, A.; Mokhtarzadeh, A.; Matbou Riahi, M.; Razavi, B.M.; Abnous, K.; et al. Acute Toxicity of Functionalized Single Wall Carbon Nanotubes: A Biochemical, Histopathologic and Proteomics Approach. Chem. Biol. Interact. 2017, 275, 196–209. [Google Scholar] [CrossRef]
- Adedara, I.A.; Anao, O.O.; Forcados, G.E.; Awogbindin, I.O.; Agbowo, A.; Ola-Davies, O.E.; Patlolla, A.K.; Tchounwou, P.B.; Farombi, E.O. Low Doses of Multi-Walled Carbon Nanotubes Elicit Hepatotoxicity in Rats with Markers of Oxidative Stress and Induction of pro-Inflammatory Cytokines. Biochem. Biophys. Res. Commun. 2018, 503, 3167–3173. [Google Scholar] [CrossRef]
- Patlolla, A.K.; Rondalph, J.; Tchounwou, P.B. Biochemical and Histopathological Evaluation of Graphene Oxide in Sprague-Dawley Rats. Austin J. Environ. Toxicol. 2017, 3, 1021. [Google Scholar]
- Awasthi, K.K.; John, P.J.; Awasthi, A.; Awasthi, K. Multi Walled Carbon Nano Tubes Induced Hepatotoxicity in Swiss Albino Mice. Micron 2013, 44, 359–364. [Google Scholar] [CrossRef] [PubMed]
- Cui, D.; Tian, F.; Ozkan, C.S.; Wang, M.; Gao, H. Effect of Single Wall Carbon Nanotubes on Human HEK293 Cells. Toxicol. Lett. 2005, 155, 73–85. [Google Scholar] [CrossRef]
- Reddy, A.R.N.; Reddy, Y.N.; Krishna, D.R.; Himabindu, V. Multi Wall Carbon Nanotubes Induce Oxidative Stress and Cytotoxicity in Human Embryonic Kidney (HEK293) Cells. Toxicology 2010, 272, 11–16. [Google Scholar] [CrossRef]
- Lacerda, L.; Ali-Boucetta, H.; Herrero, M.A.; Pastorin, G.; Bianco, A.; Prato, M.; Kostarelos, K. Tissue Histology and Physiology Following Intravenous Administration of Different Types of Functionalized Multiwalled Carbon Nanotubes. Nanomedicine 2008, 3, 149–161. [Google Scholar] [CrossRef] [PubMed]
- Sies, H. Glutathione and Its Role in Cellular Functions. Free Radic. Biol. Med. 1999, 27, 916–921. [Google Scholar] [CrossRef]
- Sies, H.; Berndt, C.; Jones, D.P. Oxidative Stress. Annu. Rev. Biochem. 2017, 86, 715–748. [Google Scholar] [CrossRef]
- De Gracia Lux, C.; Joshi-Barr, S.; Nguyen, T.; Mahmoud, E.; Schopf, E.; Fomina, N.; Almutairi, A. Biocompatible Polymeric Nanoparticles Degrade and Release Cargo in Response to Biologically Relevant Levels of Hydrogen Peroxide. J. Am. Chem. Soc. 2012, 134, 15758–15764. [Google Scholar] [CrossRef]
- Kumar, H.; Bhardwaj, K.; Nepovimova, E.; Kuča, K.; Singh Dhanjal, D.; Bhardwaj, S.; Bhatia, S.K.; Verma, R.; Kumar, D. Antioxidant Functionalized Nanoparticles: A Combat against Oxidative Stress. Nanomaterials 2020, 10, 1334. [Google Scholar] [CrossRef]
- Horie, M.; Tabei, Y. Role of Oxidative Stress in Nanoparticles Toxicity. Free Radic. Res. 2021, 55, 331–342. [Google Scholar] [CrossRef]
- Marchi, S.; Giorgi, C.; Suski, J.M.; Agnoletto, C.; Bononi, A.; Bonora, M.; de Marchi, E.; Missiroli, S.; Patergnani, S.; Poletti, F.; et al. Mitochondria-Ros Crosstalk in the Control of Cell Death and Aging. J. Signal Transduct. 2012, 2012, 329635. [Google Scholar] [CrossRef]
- Song, W.; Zhang, J.; Guo, J.; Zhang, J.; Ding, F.; Li, L.; Sun, Z. Role of the Dissolved Zinc Ion and Reactive Oxygen Species in Cytotoxicity of ZnO Nanoparticles. Toxicol. Lett. 2010, 199, 389–397. [Google Scholar] [CrossRef]
- Goodman, M.; Bostick, R.M.; Kucuk, O.; Jones, D.P. Clinical Trials of Antioxidants as Cancer Prevention Agents: Past, Present, and Future. Free Radic. Biol. Med. 2011, 51, 1068–1084. [Google Scholar] [CrossRef]
- Karimi, M.; Solati, N.; Ghasemi, A.; Estiar, M.A.; Hashemkhani, M.; Kiani, P.; Mohamed, E.; Saeidi, A.; Taheri, M.; Avci, P.; et al. Carbon Nanotubes Part II: A Remarkable Carrier for Drug and Gene Delivery. Expert Opin. Drug Deliv. 2015, 12, 1089–1105. [Google Scholar] [CrossRef]
- Wani, M.Y.; Hashim, M.A.; Nabi, F.; Malik, M.A. Nanotoxicity: Dimensional and Morphological Concerns. Adv. Phys. Chem. 2011, 2011, 450912. [Google Scholar] [CrossRef]
- Di Giorgio, M.L.; di Bucchianico, S.; Ragnelli, A.M.; Aimola, P.; Santucci, S.; Poma, A. Effects of Single and Multi Walled Carbon Nanotubes on Macrophages: Cyto and Genotoxicity and Electron Microscopy. Mutat. Res. Genet. Toxicol. Environ. Mutagen. 2011, 722, 20–31. [Google Scholar] [CrossRef] [PubMed]
- Wang, L.; Zhang, Z.; Shi, J.; Zhang, H.; Li, P.J. Synergistic Enhancement of Cancer Therapy Using a Combination of Docetaxel and Photothermal Ablation Induced by Single-Walled Carbon Nanotubes. Int. J. Nanomed. 2011, 6, 2641. [Google Scholar] [CrossRef]
- Boyles, M.S.P.; Young, L.; Brown, D.M.; MacCalman, L.; Cowie, H.; Moisala, A.; Smail, F.; Smith, P.J.W.; Proudfoot, L.; Windle, A.H.; et al. Multi-Walled Carbon Nanotube Induced Frustrated Phagocytosis, Cytotoxicity and pro-Inflammatory Conditions in Macrophages Are Length Dependent and Greater than That of Asbestos. Toxicol. In Vitro 2015, 29, 1513–1528. [Google Scholar] [CrossRef]
- Murphy, F.A.; Schinwald, A.; Poland, C.A.; Donaldson, K. The Mechanism of Pleural Inflammation by Long Carbon Nanotubes: Interaction of Long Fibres with Macrophages Stimulates Them to Amplify pro-Inflammatory Responses in Mesothelial Cells. Part. Fibre Toxicol. 2012, 9, 8. [Google Scholar] [CrossRef]
- Ghosh, M.; Murugadoss, S.; Janssen, L.; Cokic, S.; Mathyssen, C.; van Landuyt, K.; Janssens, W.; Carpentier, S.; Godderis, L.; Hoet, P. Distinct Autophagy-Apoptosis Related Pathways Activated by Multi-Walled (NM 400) and Single-Walled Carbon Nanotubes (NIST-SRM2483) in Human Bronchial Epithelial (16HBE14o-) Cells. J. Hazard. Mater. 2020, 387, 121691. [Google Scholar] [CrossRef]
- Zhu, X.; Zhu, L.; Chen, Y.; Tian, S. Acute Toxicities of Six Manufactured Nanomaterial Suspensions to Daphnia Magna. J. Nanopart. Res. 2009, 11, 67–75. [Google Scholar] [CrossRef]
- Lowry, O.H.; Rosebrough, N.J.; Farr, A.L.; Randall, R.J. Protein Measurement with The Folin Phenol Reagent. J. Biol. Chem. 1951, 193, 265–275. [Google Scholar] [CrossRef]
- Konan, K.V.; Le Tien, C.; Mateescu, M.A. Electrolysis-Induced Fast Activation of the ABTS Reagent for an Antioxidant Capacity Assay. Anal. Methods 2016, 8, 5638–5644. [Google Scholar] [CrossRef]
- Bryan, N.S.; Grisham, M.B. Methods to Detect Nitric Oxide and Its Metabolites in Biological Samples. Free Radic. Biol. Med. 2007, 43, 645–657. [Google Scholar] [CrossRef]
- Rael, L.T.; Thomas, G.W.; Craun, M.L.; Curtis, C.G.; Bar-Or, R.; Bar-Or, D. Lipid Peroxidation and the Thiobarbituric Acid Assay: Standardization of the Assay When Using Saturated and Unsaturated Fatty Acids. BMB Rep. 2004, 37, 749–752. [Google Scholar] [CrossRef]
- Ellman, G.L. Tissue Sulfhydryl Groups. Arch. Biochem. Biophys. 1959, 82, 70–77. [Google Scholar] [CrossRef] [PubMed]
- Bartosz, G. Second Face of Oxygen, 2nd ed.; Wydaw Naukowe PWN: Warshaw, Poland, 2013. [Google Scholar]
- Sharifi, S.; Behzadi, S.; Laurent, S.; Laird Forrest, M.; Stroeve, P.; Mahmoudi, M. Toxicity of Nanomaterials. Chem. Soc. Rev. 2012, 41, 2323–2343. [Google Scholar] [CrossRef]
- Nel, A.; Xia, T.; Mädler, L.; Li, N. Toxic Potential of Materials at the Nanolevel. Science 2006, 311, 622–627. [Google Scholar] [CrossRef]
- Hirano, S.; Kanno, S.; Furuyama, A. Multi-Walled Carbon Nanotubes Injure the Plasma Membrane of Macrophages. Toxicol. Appl. Pharmacol. 2008, 232, 244–251. [Google Scholar] [CrossRef]
- Clichici, S.; Biris, A.R.; Tabaran, F.; Filip, A. Transient Oxidative Stress and Inflammation after Intraperitoneal Administration of Multiwalled Carbon Nanotubes Functionalized with Single Strand DNA in Rats. Toxicol. Appl. Pharmacol. 2012, 259, 281–292. [Google Scholar] [CrossRef] [PubMed]
- Perepelytsina, O.M.; Ugnivenko, A.P.; Dobrydnev, A.V.; Bakalinska, O.N.; Marynin, A.I.; Sydorenko, M.V. Influence of Carbon Nanotubes and Its Derivatives on Tumor Cells In Vitro and Biochemical Parameters, Cellular Blood Composition In Vivo. Nanoscale Res. Lett. 2018, 13, 286. [Google Scholar] [CrossRef]
- Forman, H.J.; Zhang, H.; Rinna, A. Glutathione: Overview of Its Protective Roles, Measurement, and Biosynthesis. Mol. Asp. Med. 2009, 30, 1–12. [Google Scholar] [CrossRef]
- Reddy, A.R.N.; Rao, M.V.; Krishna, D.R.; Himabindu, V.; Reddy, Y.N. Evaluation of Oxidative Stress and Anti-Oxidant Status in Rat Serum Following Exposure of Carbon Nanotubes. Regul. Toxicol. Pharmacol. 2011, 59, 251–257. [Google Scholar] [CrossRef]
- Awogbindin, I.O.; Maduako, I.C.; Adedara, I.A.; Owumi, S.E.; Ajeleti, A.O.; Owoeye, O.; Patlolla, A.K.; Tchounwou, P.B.; Farombi, E.O. Kolaviron Ameliorates Hepatic and Renal Dysfunction Associated with Multiwalled Carbon Nanotubes in Rats. Environ. Toxicol. 2021, 36, 67–76. [Google Scholar] [CrossRef] [PubMed]
- Fang, H.; Cui, Y.; Wang, Z.; Wang, S. Toxicological Assessment of Multi-Walled Carbon Nanotubes Combined with Nonylphenol in Male Mice. PLoS ONE 2018, 13, e0200238. [Google Scholar] [CrossRef]
- Yang, S.-T.; Wang, X.; Jia, G.; Gu, Y.; Wang, T.; Nie, H.; Ge, C.; Wang, H.; Liu, Y. Long-Term Accumulation and Low Toxicity of Single-Walled Carbon Nanotubes in Intravenously Exposed Mice. Toxicol. Lett. 2008, 181, 182–189. [Google Scholar] [CrossRef] [PubMed]
- Dong, S.-C.; Sha, H.-H.; Xu, X.-Y.; Hu, T.-M.; Lou, R.; Li, H.; Wu, J.-Z.; Dan, C.; Feng, J. Glutathione S-Transferase π: A Potential Role in Antitumor Therapy. Drug Des. Dev. Ther. 2018, 12, 3535–3547. [Google Scholar] [CrossRef] [PubMed]
- Strange, R.C.; Spiteri, M.A.; Ramachandran, S.; Fryer, A.A. Glutathione-S-Transferase Family of Enzymes. Mutat. Res. Fundam. Mol. Mech. Mutagen. 2001, 482, 21–26. [Google Scholar] [CrossRef]
- Sheehan, D.; Meade, G.; Foley, V.M.; Dowd, C.A. Structure, Function and Evolution of Glutathione Transferases: Implications for Classification of Non-Mammalian Members of an Ancient Enzyme Superfamily. Biochem. J. 2001, 360, 1–16. [Google Scholar] [CrossRef] [PubMed]
- Landi, S. Mammalian Class Theta GST and Differential Susceptibility to Carcinogens: A Review. Mutat. Res. Rev. Mutat. Res. 2000, 463, 247–283. [Google Scholar] [CrossRef]
- Listowsky, I.; Abramovitz, M.; Homma, H.; Niitsu, Y. Intracellular Binding and Transport of Hormones and Xenobiotics by Glutathiones-Transferases. Drug Metab. Rev. 1988, 19, 305–318. [Google Scholar] [CrossRef]
- HelmyAbdou, K.A.; Ahmed, R.R.; Ibrahim, M.A.; Abdel-Gawad, D.R.I. The Anti-Inflammatory Influence of Cinnamomum Burmannii against Multi-Walled Carbon Nanotube-Induced Liver Injury in Rats. Environ. Sci. Pollut. Res. 2019, 26, 36063–36072. [Google Scholar] [CrossRef] [PubMed]
- Lim, J.-H.; Kim, S.-H.; Lee, I.-C.; Moon, C.; Kim, S.-H.; Shin, D.-H.; Kim, H.-C.; Kim, J.-C. Evaluation of Maternal Toxicity in Rats Exposed to Multi-Wall Carbon Nanotubes during Pregnancy. Environ. Health Toxicol. 2011, 26, e2011006. [Google Scholar] [CrossRef]
- Kim, S.; Park, Y.; Byoun, K. Comparison of the Total Antioxidant Status and Usual Dietary Intake in Normal and Overweight Males. Korean J. Community Nutr. 2000, 5, 633–641. [Google Scholar]
- Lykkesfeldt, J. Malondialdehyde as Biomarker of Oxidative Damage to Lipids Caused by Smoking. Clin. Chim. Acta 2007, 380, 50–58. [Google Scholar] [CrossRef]
- Goyal, M.M.; Basak, A. Human Catalase: Looking for Complete Identity. Protein Cell 2010, 1, 888–897. [Google Scholar] [CrossRef] [PubMed]
- Gaetani, G.F.; Ferraris, A.M.; Sanna, P.; Kirkman, H.N. A Novel NADPH:(Bound) NADP+ Reductase and NADH:(Bound) NADP+ Transhydrogenase Function in Bovine Liver Catalase. Biochem. J. 2005, 385, 763–768. [Google Scholar] [CrossRef]
- Ho, Y.-S.; Xiong, Y.; Ma, W.; Spector, A.; Ho, D.S. Mice Lacking Catalase Develop Normally but Show Differential Sensitivity to Oxidant Tissue Injury. J. Biol. Chem. 2004, 279, 32804–32812. [Google Scholar] [CrossRef] [PubMed]
- Wang, F.-D.; Cao, L.-L.; Jin, C.; Liang, H.; Ma, C.-W. Effects of Carbon Nanotubes on Rat Liver and Brain. Nano 2014, 9, 1450083. [Google Scholar] [CrossRef]
- He, Z.; Sun, X.; Mei, G.; Yu, S.; Li, N. Nonclassical Secretion of Human Catalase on the Surface of CHO Cells Is More Efficient than Classical Secretion. Cell Biol. Int. 2008, 32, 367–373. [Google Scholar] [CrossRef]
- Lubos, E. Role of Oxidative Stress and Nitric Oxide in Atherothrombosis. Front. Biosci. 2008, 13, 5323–5344. [Google Scholar] [CrossRef] [PubMed]
- Gu, Z.; Nakamura, T.; Lipton, S.A. Redox Reactions Induced by Nitrosative Stress Mediate Protein Misfolding and Mitochondrial Dysfunction in Neurodegenerative Diseases. Mol. Neurobiol. 2010, 41, 55–72. [Google Scholar] [CrossRef]
- Diesen, D.L.; Kuo, P.C. Nitric Oxide and Redox Regulation in the Liver: Part I. General Considerations and Redox Biology in Hepatitis. J. Surg. Res. 2010, 162, 95–109. [Google Scholar] [CrossRef]
- Clemens, M.G. Nitric Oxide in Liver Injury. Hepatology 1999, 30, 1–5. [Google Scholar] [CrossRef]










| Concentration of Multi-Walled Carbon Nanotubes [mg/mL] | Parameter | Control after 12 Months | After 12 Months Exposure | Control after 18 Months | After 18 Months Exposure |
|---|---|---|---|---|---|
| 0.03 | TP [mg/mL] | 70.50 ± 17.38 | 86.59 ± 12.51 | 88.32 ± 28.33 | 94.16 ± 19.92 |
| GSH [nmol/mg protein] | 9.54 ± 3.91 | 4.58 ± 1.52 | 4.39 ± 2.13 a | 6.31 ± 6.50 | |
| GST [nmol/min/mg protein] | 3.70 ± 1.12 | 4.63 ± 2.26 | 3.08 ± 2.03 | 3.46 ± 1.39 | |
| TEAC [nmol/mg protein] | 49.25 ± 23.16 | 39.82 ± 7.41 | 42.25 ± 16.73 | 50.74 ± 23.93 | |
| TBARS [nmol MDA/mg protein] | 0.66 ± 0.14 | 0.54 ± 0.06 | 0.45 ± 0.21 | 0.53 ± 0.23 | |
| NO [nmol/mg protein] | 0.49 ± 0.26 | 0.38 ± 0.18 | 0.47 ± 0.17 | 0.52 ± 0.30 | |
| 0.25 | TP [mg/mL] | 70.50 ± 17.38 | 86.68 ± 26.45 | 88.32 ± 28.33 | 49,32 ± 18.57 b,c,d |
| GSH [nmol/mg protein] | 9.54 ± 3.91 | 11.61 ± 5.47 e | 4.39 ± 2.13 f | 10.60 ± 3.90 | |
| GST [nmol/min/mg protein] | 3.70 ± 1.12 | 3.27 ± 2.26 | 3.08 ± 2.03 | 7.51 ± 3.35 g,h,i | |
| TEAC [nmol/mg protein] | 49.25 ± 23.16 | 40.83 ± 13.66 | 42.25 ± 16.73 | 71.36 ± 25.14 j | |
| TBARS [nmol MDA/mg protein] | 0.66 ± 0.14 | 0.69 ± 0.35 | 0.45 ± 0.21 | 0.71 ± 0.36 | |
| NO [nmol/mg protein] | 0.49 ± 0.26 | 0.45 ± 0.17 | 0.47 ± 0.17 | 0.65 ± 0.40 | |
| 0.5 | TP [mg/mL] | 70.50 ± 17.38 | 94.36 ± 9.55 k | 88.32 ± 28.33 | 90.87 ± 18.44 l |
| GSH [nmol/mg protein] | 9.54 ± 3.91 | 4.39 ± 2.74 m | 4.39 ± 2.13 n | 13.49 ± 8.59 o | |
| GST [nmol/min/mg protein] | 3.70 ± 1.12 | 2.29 ± 1.45 | 3.08 ± 2.03 | 3.90 ± 2.05 | |
| TEAC [nmol/mg protein] | 49.25 ± 23.16 | 35.07 ± 3.57 | 42.25 ± 16.73 | 37.23 ± 6.46 | |
| TBARS [nmol MDA/mg protein] | 0.66 ± 0.14 | 0.58 ± 0.08 | 0.45 ± 0.21 | 0.51 ± 0.15 | |
| NO [nmol/mg protein] | 0.49 ± 0.26 | 0.37 ± 0.11 | 0.47 ± 0.17 | 0.48 ± 0.10 |
Disclaimer/Publisher’s Note: The statements, opinions and data contained in all publications are solely those of the individual author(s) and contributor(s) and not of MDPI and/or the editor(s). MDPI and/or the editor(s) disclaim responsibility for any injury to people or property resulting from any ideas, methods, instructions or products referred to in the content. |
© 2023 by the authors. Licensee MDPI, Basel, Switzerland. This article is an open access article distributed under the terms and conditions of the Creative Commons Attribution (CC BY) license (https://creativecommons.org/licenses/by/4.0/).
Share and Cite
Florek, E.; Witkowska, M.; Szukalska, M.; Richter, M.; Trzeciak, T.; Miechowicz, I.; Marszałek, A.; Piekoszewski, W.; Wyrwa, Z.; Giersig, M. Oxidative Stress in Long-Term Exposure to Multi-Walled Carbon Nanotubes in Male Rats. Antioxidants 2023, 12, 464. https://doi.org/10.3390/antiox12020464
Florek E, Witkowska M, Szukalska M, Richter M, Trzeciak T, Miechowicz I, Marszałek A, Piekoszewski W, Wyrwa Z, Giersig M. Oxidative Stress in Long-Term Exposure to Multi-Walled Carbon Nanotubes in Male Rats. Antioxidants. 2023; 12(2):464. https://doi.org/10.3390/antiox12020464
Chicago/Turabian StyleFlorek, Ewa, Marta Witkowska, Marta Szukalska, Magdalena Richter, Tomasz Trzeciak, Izabela Miechowicz, Andrzej Marszałek, Wojciech Piekoszewski, Zuzanna Wyrwa, and Michael Giersig. 2023. "Oxidative Stress in Long-Term Exposure to Multi-Walled Carbon Nanotubes in Male Rats" Antioxidants 12, no. 2: 464. https://doi.org/10.3390/antiox12020464
APA StyleFlorek, E., Witkowska, M., Szukalska, M., Richter, M., Trzeciak, T., Miechowicz, I., Marszałek, A., Piekoszewski, W., Wyrwa, Z., & Giersig, M. (2023). Oxidative Stress in Long-Term Exposure to Multi-Walled Carbon Nanotubes in Male Rats. Antioxidants, 12(2), 464. https://doi.org/10.3390/antiox12020464

