More Than an Antioxidant: Role of Dietary Astaxanthin on Lipid and Glucose Metabolism in the Liver of Rainbow Trout (Oncorhynchus mykiss)
Abstract
1. Introduction
2. Materials and Methods
2.1. Experimental Conditions
2.2. Sample Collection
2.3. Morphological Analysis
2.4. Total Lipid Content and Fatty Acid Analysis
2.5. Lipid Class Composition
2.6. Gene Expression
2.7. Statistical Analysis
3. Results
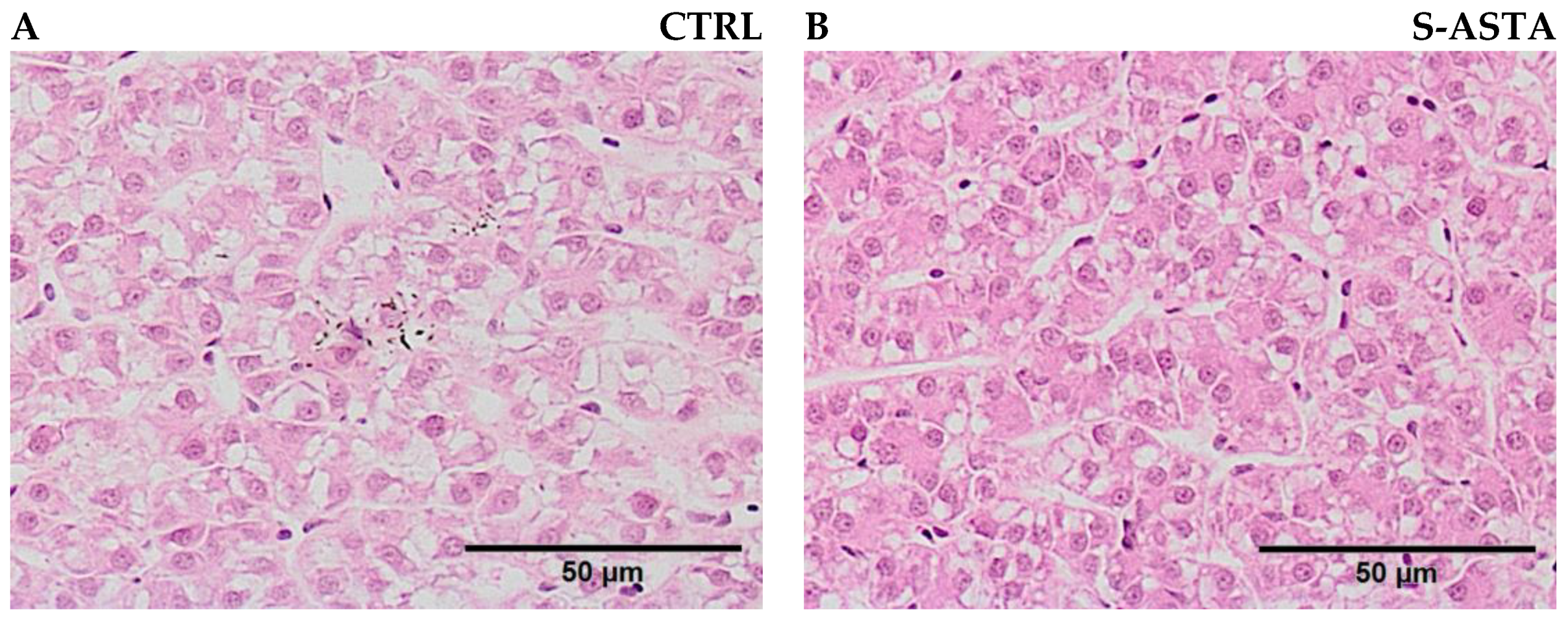
3.1. Liver Weight and Histology
3.2. Liver Lipid Content and Fatty Acid Profile
3.3. Hepatic Lipid Class Composition
3.4. Hepatic Neutral and Polar Lipid Fatty Acid Profile
3.5. Expression of Lipid and Glucose Metabolism Genes in Rainbow Trout Liver
3.5.1. Glucose Metabolism
3.5.2. Lipogenesis
3.5.3. Lipolysis and β-Oxidation
4. Discussion
5. Conclusions
Author Contributions
Funding
Institutional Review Board Statement
Informed Consent Statement
Data Availability Statement
Acknowledgments
Conflicts of Interest
References
- Ytrestøyl, T.; Afanasyev, S.; Ruyter, B.; Hatlen, B.; Østbye, T.-K.; Krasnov, A. Transcriptome and functional responses to absence of astaxanthin in Atlantic salmon fed low marine diets. Comp. Biochem. Physiol. D 2021, 39, 100841. [Google Scholar] [CrossRef] [PubMed]
- Li, M.; Wu, W.; Zhou, P.; Xie, F.; Zhou, Q.; Mai, K. Comparison effect of dietary astaxanthin and Haematococcus pluvialis on growth performance, antioxidant status and immune response of large yellow croaker Pseudosciaena Crocea. Aquaculture 2014, 434, 227–232. [Google Scholar] [CrossRef]
- Hansen, Ø.J.; Puvanendran, V.; Bangera, R. Broodstock diet with water and astaxanthin improve condition and egg output of brood fish and larval survival in Atlantic cod, Gadus morhua L. Aquac. Res. 2016, 47, 819–829. [Google Scholar] [CrossRef]
- Lim, K.C.; Yusoff, F.M.; Shariff, M.; Kamarudin, M.S. Dietary astaxanthin augments disease resistance of Asian seabass, Lates calcarifer (Bloch, 1790), against Vibrio alginolyticus infection. Fish Shellfish Immunol. 2021, 114, 90–101. [Google Scholar] [CrossRef]
- Xie, J.; Fang, H.; He, X.; Liao, S.; Liu, Y.; Tian, L.; Niu, J. Study on mechanism of synthetic astaxanthin and Haematococcus pluvialis improving the growth performance and antioxidant capacity under acute hypoxia stress of golden pompano (Trachinotus ovatus) and enhancing anti-inflammatory by activating Nrf2-ARE pathway to antagonize the NF-κB pathway. Aquaculture 2020, 518, 734657. [Google Scholar] [CrossRef]
- Elia, A.C.; Prearo, M.; Dörr, A.J.M.; Pacini, N.; Magara, G.; Brizio, P.; Gasco, L.; Abete, M.C. Effects of astaxanthin and canthaxanthin on oxidative stress biomarkers in rainbow trout. J. Toxicol. Environ. Health Pt A 2019, 82, 760–768. [Google Scholar] [CrossRef]
- Kalinowski, C.T.; Larroquet, L.; Véron, V.; Robaina, L.; Izquierdo, M.S.; Panserat, S.; Kaushik, S.; Fontagné-Dicharry, S. Influence of dietary astaxanthin on the hepatic oxidative stress response caused by episodic hyperoxia in rainbow trout. Antioxidants 2019, 8, 626. [Google Scholar] [CrossRef]
- Schmeisser, J.; Verlhac-Trichet, V.; Madaro, A.; Lall, S.P.; Torrissen, O.; Olsen, R.E. Molecular mechanism involved in carotenoid metabolism in post-smolt Atlantic salmon: Astaxanthin metabolism during flesh pigmentation and its antioxidant properties. Mar. Biotechnol. 2021, 23, 653–670. [Google Scholar] [CrossRef]
- Hussein, G.; Nakagawa, T.; Goto, H.; Shimada, Y.; Matsumoto, K.; Sankawa, U.; Watanabe, H. Astaxanthin ameliorates features of metabolic syndrome in SHR/NDmcr-cp. Life Sci. 2007, 80, 522–529. [Google Scholar] [CrossRef]
- Ikeuchi, M.; Koyama, T.; Takahashi, J.; Yazawa, K. Effects of astaxanthin in obese mice fed a high-fat diet. Biosci. Biotechnol. Biochem. 2007, 71, 893–899. [Google Scholar] [CrossRef]
- Yang, Y.; Seo, J.M.; Nguyen, A.; Pham, T.X.; Park, H.J.; Park, Y.; Kim, B.; Bruno, R.S.; Lee, J. Astaxanthin-rich extract from the green alga Haematococcus pluvialis lowers plasma lipid concentrations and enhances antioxidant defense in apolipoprotein E knockout mice. J. Nutr. 2011, 141, 1611–1617. [Google Scholar] [CrossRef] [PubMed]
- Jia, Y.; Kim, J.-Y.; Jun, H.-J.; Kim, S.-J.; Lee, J.-H.; Hoang, M.H.; Hwang, K.-Y.; Um, S.-J.; Chang, H.I.; Lee, S.-J. The natural carotenoid astaxanthin, a PPAR-α agonist and PPAR-γ antagonist, reduces hepatic lipid accumulation by rewiring the transcriptome in lipid-loaded hepatocytes. Mol. Nutr. Food Res. 2012, 56, 878–888. [Google Scholar] [CrossRef] [PubMed]
- Ni, Y.; Nagashimada, M.; Zhuge, F.; Zhan, L.; Nagata, N.; Tsutsui, A.; Nakanuma, Y.; Kaneko, S.; Ota, T. Astaxanthin prevents and reverses diet-induced insulin resistance and steatohepatitis in mice: A comparison with vitamin E. Sci. Rep. 2015, 5, 17192. [Google Scholar] [CrossRef] [PubMed]
- Xu, J.; Rong, S.; Gao, H.; Chen, C.; Yang, W.; Deng, Q.; Huang, Q.; Xiao, L.; Huang, F. A combination of flaxseed oil and astaxanthin improves hepatic lipid accumulation and reduces oxidative stress in high fat-diet fed rats. Nutrients 2017, 9, 271. [Google Scholar] [CrossRef] [PubMed]
- Mimoun-Benarroch, M.; Lallement, J.; Rhazi, L.; Boroch, C.; Hugot, C.; Niamba, C.-N.; Younes, H.; Depeint, F. Free form astaxanthin from yeast Phaffia rhodozyma fermentation reduces plasmatic triglycerides in a pre-obesity diet-induced dyslipidaemia mouse model. J. Food Compos. Anal. 2018, 65, 11–15. [Google Scholar] [CrossRef]
- Tolba, S.A.; Magnuson, A.D.; Sun, T.; Lei, X.G. Dietary supplemental microalgal astaxanthin modulates molecular profiles of stress, inflammation, and lipid metabolism in broiler chickens and laying hens under high ambient temperatures. Poult. Sci. 2020, 99, 4853–4860. [Google Scholar] [CrossRef]
- Kim, Y.J.; Kim, Y.A.; Yokozawa, T. Protection against oxidative stress, inflammation, and apoptosis of high-glucose-exposed proximal tubular epithelial cells by astaxanthin. J. Agric. Food Chem. 2009, 57, 8793–8797. [Google Scholar] [CrossRef]
- Ishiki, M.; Nishida, Y.; Ishibashi, H.; Wada, T.; Fujisaka, S.; Takikawa, A.; Urakaze, M.; Sasaoka, T.; Usui, I.; Tobe, K. Impact of divergent effects of astaxanthin on insulin signaling in L6 cells. Endocrinology 2013, 154, 2600–2612. [Google Scholar] [CrossRef]
- Ursoniu, S.; Sahebkar, A.; Serban, M.-C.; Banach, M. Lipid profile and glucose changes after supplementation with astaxanthin: A systematic review and meta-analysis of randomized controlled trials. Arch. Med. Sci. 2015, 11, 253–266. [Google Scholar] [CrossRef]
- Liao, Z.; Xu, H.; Wei, Y.; Zhang, Q.; Liang, M. Dietary astaxanthin differentially affected the lipid accumulation in the liver and muscle of the marine teleost, tiger puffer Takifugu rubripes. Aquac. Res. 2018, 49, 3421–3433. [Google Scholar] [CrossRef]
- Cherkas, A.; Holota, S.; Mdzinarashvili, T.; Gabbianelli, R.; Zarkovic, N. Glucose as a major antioxidant: When, what for and why it fails? Antioxidants 2020, 9, 140. [Google Scholar] [CrossRef] [PubMed]
- Cappellini, M.D.; Fiorelli, G. Glucose-6-phosphate dehydrogenase deficiency. Lancet 2008, 371, 64–74. [Google Scholar] [CrossRef] [PubMed]
- Stanton, R.C. Glucose-6-phosphate dehydrogenase, NADPH, and cell survival. IUBMB Life 2012, 64, 362–369. [Google Scholar] [CrossRef]
- Park, J.; Rho Ho, K.; Kim Kang, H.; Choe Sung, S.; Lee Yun, S.; Kim Jae, B. Overexpression of glucose-6-phosphate dehydrogenase is associated with lipid dysregulation and insulin resistance in obesity. Mol. Cell. Biol. 2005, 25, 5146–5157. [Google Scholar] [CrossRef]
- Riganti, C.; Gazzano, E.; Polimeni, M.; Aldieri, E.; Ghigo, D. The pentose phosphate pathway: An antioxidant defense and a crossroad in tumor cell fate. Free Radic. Biol. Med. 2012, 53, 421–436. [Google Scholar] [CrossRef] [PubMed]
- Ge, T.; Yang, J.; Zhou, S.; Wang, Y.; Li, Y.; Tong, X. The role of the pentose phosphate pathway in diabetes and cancer. Front. Endocrinol. 2020, 11, 365. [Google Scholar] [CrossRef] [PubMed]
- Martoja, R.; Martoja-Pierson, M. Técnicas de Histología Animal; Toray-Masson, S.A.: Barcelona, Spain, 1970; 350p. [Google Scholar]
- Folch, J.; Lees, M.; Sloane Stanley, G.H. A simple method for the isolation and purification of total lipids from animal tissues. J. Biol. Chem. 1957, 226, 497–509. [Google Scholar] [CrossRef]
- Shantha, N.C.; Ackman, R.G. Nervonic acid versus tricosanoic acid as internal standards in quantitative gas chromatographic analyses of fish oil longer-chain n-3 polyunsaturated fatty acid methyl esters. J. Chromatogr. 1990, 533, 1–10. [Google Scholar] [CrossRef]
- Ackman, R.G. Fish Lipids. In Advances in Fish Science and Technology; Connell, J.J., Ed.; Fishing News Books Ltd.: Farnham, UK, 1980; pp. 83–103. [Google Scholar]
- Tocher, D.R.; Harvie, D.G. Fatty acid compositions of the major phosphoglycerides from fish neural tissues; (n − 3) and (n − 6) polyunsaturated fatty acids in rainbow trout (Salmo gairdneri) and cod (Gadus morhua) brains and retinas. Fish Physiol. Biochem. 1988, 5, 229–239. [Google Scholar] [CrossRef]
- Henderson, R.J.; Tocher, D.R. Thin Layer Chromatography. In Lipid Analysis: A Practical Approach; Hamilton, R.J., Hamilton, S., Eds.; IRL Press: Oxford, UK, 1992; pp. 65–111. [Google Scholar]
- Fontagné-Dicharry, S.; Larroquet, L.; Dias, K.; Cluzeaud, M.; Heraud, C.; Corlay, D. Effects of dietary oxidized fish oil supplementation on oxidative stress and antioxidant defense system in juvenile rainbow trout (Oncorhynchus mykiss). Fish Shellfish Immunol. 2018, 74, 43–51. [Google Scholar] [CrossRef]
- Pfaffl, M.W. A new mathematical model for relative quantification in real-time RT-PCR. Nucl. Acids Res. 2001, 29, e45. [Google Scholar] [CrossRef] [PubMed]
- Jiang, P.; Du, W.; Wang, X.; Mancuso, A.; Gao, X.; Wu, M.; Yang, X. p53 regulates biosynthesis through direct inactivation of glucose-6-phosphate dehydrogenase. Nat. Cell Biol. 2011, 13, 310–316. [Google Scholar] [CrossRef] [PubMed]
- Jiang, P.; Du, W.; Yang, X. A critical role of glucose-6-phosphate dehydrogenase in TAp73-mediated cell proliferation. Cell Cycle 2013, 12, 3720–3726. [Google Scholar] [CrossRef]
- Mullarky, E.; Cantley, L.C. Diverting Glycolysis to Combat Oxidative Stress. In Proceedings of the Innovative Medicine; Nakao, K., Minato, N., Uemoto, S., Eds.; Springer: Tokyo, Japan, 2015; pp. 3–23. [Google Scholar]
- Rui, L. Energy Metabolism in the Liver. In Comprehensive Physiology; Pollock, D.M., Ed.; American Physiological Society: Rockville, MD, USA, 2014; pp. 177–197. [Google Scholar] [CrossRef]
- Horton, J.D.; Goldstein, J.L.; Brown, M.S. SREBPs: Activators of the complete program of cholesterol and fatty acid synthesis in the liver. J. Clin. Investig. 2002, 109, 1125–1131. [Google Scholar] [CrossRef] [PubMed]
- Shimomura, I.; Bashmakov, Y.; Horton, J.D. Increased levels of nuclear SREBP-1c associated with fatty livers in two mouse models of diabetes mellitus. J. Biol. Chem. 1999, 274, 30028–30032. [Google Scholar] [CrossRef]
- Ferré, P.; Foufelle, F. SREBP-1c transcription factor and lipid homeostasis: Clinical perspective. Horm. Res. Paediatr. 2007, 68, 72–82. [Google Scholar] [CrossRef]
- Korczynska, J.; Stelmanska, E.; Nogalska, A.; Szolkiewicz, M.; Goyke, E.; Swierczynski, J.; Rutkowski, B. Upregulation of lipogenic enzymes genes expression in white adipose tissue of rats with chronic renal failure is associated with higher level of sterol regulatory element binding protein-1. Metabolism 2004, 53, 1060–1065. [Google Scholar] [CrossRef]
- Tsukui, T.; Baba, N.; Hosokawa, M.; Sashima, T.; Miyashita, K. Enhancement of hepatic docosahexaenoic acid and arachidonic acid contents in C57BL/6J mice by dietary fucoxanthin. Fish. Sci. 2009, 75, 261–263. [Google Scholar] [CrossRef]
- Sargent, J.; Henderson, R.J.; Tocher, D.R. The Lipids. In Fish Nutrition, 2nd ed.; Halver, J.E., Ed.; Academic Press: San Diego, CA, USA, 1989; pp. 153–218. [Google Scholar]
- Tsouko, E.; Khan, A.S.; White, M.A.; Han, J.J.; Shi, Y.; Merchant, F.A.; Sharpe, M.A.; Xin, L.; Frigo, D.E. Regulation of the pentose phosphate pathway by an androgen receptor–mTOR-mediated mechanism and its role in prostate cancer cell growth. Oncogenesis 2014, 3, e103. [Google Scholar] [CrossRef]
- Kjær, M.A.; Vegusdal, A.; Gjøen, T.; Rustan, A.C.; Todorčević, M.; Ruyter, B. Effect of rapeseed oil and dietary n-3 fatty acids on triacylglycerol synthesis and secretion in Atlantic salmon hepatocytes. Biochim. Biophys. Acta Mol. Cell Biol. Lipids 2008, 1781, 112–122. [Google Scholar] [CrossRef]
- Carrasco, S.; Mérida, I. Diacylglycerol, when simplicity becomes complex. Trends Biochem.Sci. 2007, 32, 27–36. [Google Scholar] [CrossRef] [PubMed]
- Liu, Z.; Zhang, C.; Lee, S.; Kim, W.; Klevstig, M.; Harzandi, A.M.; Sikanic, N.; Arif, M.; Ståhlman, M.; Nielsen, J.; et al. Pyruvate kinase L/R is a regulator of lipid metabolism and mitochondrial function. Metab. Eng. 2019, 52, 263–272. [Google Scholar] [CrossRef] [PubMed]
- Rajakumari, S.; Rajasekharan, R.; Daum, G. Triacylglycerol lipolysis is linked to sphingolipid and phospholipid metabolism of the yeast Saccharomyces cerevisiae. Biochim. Biophys. Acta Mol. Cell Biol. Lipids 2010, 1801, 1314–1322. [Google Scholar] [CrossRef] [PubMed]
- Leaver, M.J.; Bautista, J.M.; Bjornsson, B.T.; Jonsson, E.; Krey, G.; Tocher, D.R.; Torstensen, B.E. Towards fish lipid nutrigenomics: Current state and prospects for fin-fish aquaculture. Rev. Fish Sci. 2008, 16, 73–94. [Google Scholar] [CrossRef]
- Kortner, T.M.; Björkhem, I.; Krasnov, A.; Timmerhaus, G.; Krogdahl, Å. Dietary cholesterol supplementation to a plant-based diet suppresses the complete pathway of cholesterol synthesis and induces bile acid production in Atlantic salmon (Salmo salar L.). Br. J. Nutr. 2014, 111, 2089–2103. [Google Scholar] [CrossRef] [PubMed]
- Caballero-Solares, A.; Xue, X.; Parrish, C.C.; Foroutani, M.B.; Taylor, R.G.; Rise, M.L. Changes in the liver transcriptome of farmed Atlantic salmon (Salmo salar) fed experimental diets based on terrestrial alternatives to fish meal and fish oil. BMC Genom. 2018, 19, 796. [Google Scholar] [CrossRef]
- Aoi, W.; Naito, Y.; Sakuma, K.; Kuchide, M.; Tokuda, H.; Maoka, T.; Toyokuni, S.; Oka, S.; Yasuhara, M.; Yoshikawa, T. Astaxanthin limits exercise-induced skeletal and cardiac muscle damage in mice. Antioxid. Redox Signal. 2003, 5, 139–144. [Google Scholar] [CrossRef]
- Ikeuchi, M.; Koyama, T.; Takahashi, J.; Yazawa, K. Effects of astaxanthin supplementation on exercise-induced fatigue in mice. Biol. Pharm. Bull. 2006, 29, 2106–2110. [Google Scholar] [CrossRef]
- Reid, B.N.; Ables, G.P.; Otlivanchik, O.A.; Schoiswohl, G.; Zechner, R.; Blaner, W.S.; Goldberg, I.J.; Schwabe, R.F.; Chua, S.C.; Huang, L.-S. Hepatic overexpression of hormone-sensitive lipase and adipose triglyceride lipase promotes fatty acid oxidation, stimulates direct release of free fatty acids, and ameliorates steatosis. J. Biol. Chem. 2008, 283, 13087–13099. [Google Scholar] [CrossRef]
- Schreiber, R.; Xie, H.; Schweiger, M. Of mice and men: The physiological role of adipose triglyceride lipase (ATGL). Biochim. Biophys. Acta Mol. Cell Biol. Lipids 2019, 1864, 880–899. [Google Scholar] [CrossRef]
- Tocher, D.R. Metabolism and functions of lipids and fatty acids in teleost fish. Rev. Fish Sci. 2003, 11, 107–184. [Google Scholar] [CrossRef]
- Rakhshandehroo, M.; Knoch, B.; Müller, M.; Kersten, S. Peroxisome proliferator-activated receptor alpha target genes. PPAR Res. 2010, 2010, 612089. [Google Scholar] [CrossRef] [PubMed]
- Yang, Y.; Pham, T.X.; Wegner, C.J.; Kim, B.; Ku, C.S.; Park, Y.-K.; Lee, J.-Y. Astaxanthin lowers plasma TAG concentrations and increases hepatic antioxidant gene expression in diet-induced obesity mice. Br. J. Nutr. 2014, 112, 1797–1804. [Google Scholar] [CrossRef] [PubMed]
- Segner, H.; Arend, P.; Von Poeppinghausen, K.; Schmidt, H. The effect of feeding astaxanthin to Oreochromis niloticus and Colisa labiosa on the histology of the liver. Aquaculture 1989, 79, 381–390. [Google Scholar] [CrossRef]
- Blanchard, G. Influence de Facteurs Nutritionnels et d’elevage sur Le Statut Hepatique et La Composition Lipidique de Tissus Cible Chez La Perche Perca fluviatis (Linne, 1758). Ph.D. Thesis, University of Namur, Namur, Belgium, 2008. [Google Scholar]




| Ingredients (%) | CTRL | S-ASTA |
|---|---|---|
| Fishmeal | 23 | 23 |
| Plant meals 1 | 51.8 | 51.8 |
| Fish oil | 19 | 19 |
| Soybean lecithin | 2 | 2 |
| Vitamin premix 2 | 1 | 1 |
| Mineral premix 3 | 3 | 3 |
| Cellulose | 0.2 | 0.1 |
| Carophyll Pink 10% DSM | - | 0.1 |
| Gene | Forward Primer Sequence | Reverse Primer Sequence | Amplicon Size | Accession Number |
|---|---|---|---|---|
| ef1α | tcctctggtcgtttcgctg | acccgagggacatcctgtg | 159 | AF498320.1 |
| pfkla | gatccctgccaccatcagta | gtaaccacagtagcctccca | 166 | XM_036959537.1 |
| pfklb | agtgctcgctgtaaggtctt | gtgatccggcctttctgaac | 182 | XM_036959534.1 |
| pkl | ccatcgtcgcggtaacaaga | gcccctggcctttcctatgt | 158 | XM_036968223.1 |
| 6pgdh | atgccagggggacacaaaga | caaaagcctgtgccatcacg | 238 | XM_021616114.2 |
| srebp1c | catgcgcaggttgtttctt | gatgtgttcgtgtgggactg | 74 | XM_021624594.1 |
| srebp2 | taggccccaaagggataag | tcagacacgacgagcacaa | 179 | XM_021558051.2 |
| pparα | ctggagctggatgacagtga | ggcaagtttttgcagcagat | 192 | AY494835.1 |
| pparβ | ctggagctggatgacagtga | gtcagccatcttgttgagca | 195 | AY356399.1 |
| pparγ | cccacggaaactcaccgttt | ggatctggatacggcggaag | 168 | CA345564.1 |
| gpat | tgccacacggtacctattga | ccacaggggtgagtttgagt | 168 | XM_021565307.2 1 |
| chpt | ggccaagatcaccaacaaat | aaagacaggatcagcgcaat | 162 | CA355941.1 |
| dgat2 | ggaacacccccaaacaaggt | agatcccatgggggtggtag | 156 | LOC110533663 |
| abhd2 | ccacctttgacctcttcgag | gcttctcactgtggttacca | 96 | XM_021565941.2 2 |
| abdh6 | tccctatcctggccttcttt | ccggtagcctctgttctcag | 125 | XM_036984302.1 3 |
| hsl1 | gtcctagggtcatggtcatcgt | tctctggtgggccttgttgt | 65 | HQ225622.1 |
| hsl2 | catcgtcaagaacccgtttg | gcggtagtcctctcagtaggtcat | 60 | HQ225623.1 |
| atgl | cgtgtccgagttcaagtc | ggagagatgctgatggtg | 174 | BX318925 |
| cpt1α1b | cgcttcaagaatggggtgat | caaccacctgctgtttctca | 187 | AJ619768.1 |
| cpt1α2 | ccgttcctaacagaggtgct | acactccgtagccatcgtct | 154 | AJ620356.1 |
| cpt1β2 | gccgcaaactagagagagga | cccgtagtacagccacacct | 199 | AF327058.3 |
| Dietary Groups | CTRL | S-ASTA |
|---|---|---|
| Hepatocyte area | 1878 ± 24 | 1705 ± 20 * |
| Minimum length | 38.9 ± 0.3 | 39.0 ± 0.3 |
| Maximum length | 53.8 ± 0.4 | 51.5 ± 0.4 * |
| Difference length | 14.9 ± 0.4 | 12.5 ± 0.4 * |
| Dietary Groups | CTRL | S-ASTA |
|---|---|---|
| Liver lipid content (%) | 5.9 ± 0.5 | 5.1 ± 0.4 |
| Liver fatty acids (% of total fatty acids) | ||
| 14:0 | 1.5 ± 0.2 | 1.4 ± 0.2 |
| 16:0 | 13.7 ± 0.9 | 14.3 ± 0.3 |
| 18:0 | 5.2 ± 1.8 | 6.3 ± 1.2 |
| SFA 1 | 21.1 ± 0.8 | 22.9 ± 1.2 |
| 16:1 | 4.8 ± 1.1 | 3.6 ± 1.1 |
| 18:1 | 21.2 ± 1.8 | 17.7 ± 1.8 |
| 20:1 | 3.6 ± 0.2 | 3.1 ± 0.3 * |
| MUFA 2 | 30.2 ± 2.7 | 24.9 ± 3.3 |
| MUFA/SFA ratio | 1.4 ± 0.2 | 1.0 ± 0.2 |
| 18:2 n − 6 | 3.9 ± 0.1 | 3.6 ± 0.2 * |
| 20:2 n − 6 | 1.5 ± 0.1 | 1.4 ± 0.1 |
| 20:4 n − 6 | 4.0 ± 0.3 | 4.6 ± 0.6 |
| 22:5 n − 6 | 0.9 ± 0.1 | 1.0 ± 0.0 * |
| n − 6 PUFA 3 | 11.4 ± 0.4 | 11.6 ± 0.7 |
| 18:3 n − 3 | 0.5 ± 0.0 | 0.5 ± 0.1 |
| 20:4 n − 3 | 0.4 ± 0.0 | 0.4 ± 0.0 |
| 20:5 n − 3 | 4.3 ± 1.0 | 4.8 ± 0.7 |
| 22:5 n − 3 | 2.4 ± 0.5 | 2.3 ± 0.1 |
| 22:6 n − 3 | 26.6 ± 1.2 | 29.5 ± 1.3 * |
| EPA + DHA | 30.9 ± 1.7 | 34.3 ± 1.9 |
| n−3 PUFA 4 | 34.9 ± 1.9 | 38.0 ± 1.9 |
| PUFA 5 | 47.5 ± 2.2 | 51.0 ± 2.4 |
| N − 3/n − 6 ratio | 3.0 ± 0.1 | 3.3 ± 0.1 * |
| Dietary Groups | CTRL | S-ASTA |
|---|---|---|
| Phosphatidylcholine | 19.0 ± 0.3 | 25.0 ± 3.2 * |
| Phosphatidylethanolamine | 8.8 ± 1.5 | 11.6 ± 1.5 * |
| Phosphatidylinositol | 4.1 ± 0.5 | 5.2 ± 1.0 |
| Phosphatidylserine | 1.7 ± 0.5 | 2.1 ± 0.2 |
| Phosphatidic acid and cardiolipin | 2.8 ± 0.2 | 3.4 ± 0.5 |
| Sphingomyelin | 1.1 ± 0.1 | 1.3 ± 0.2 |
| Lysophosphatidylcholine | 0.0 ± 0.0 | 0.0 ± 0.0 |
| Unknown polar lipids | 1.0 ± 0.2 | 1.2 ± 0.5 |
| Total polar lipids | 38.9 ± 1.2 | 51.0 ± 7.2 * |
| Triacylglycerols | 33.4 ± 4.5 | 24.9 ± 6.2 |
| Cholesterol and sterols | 14.0 ± 0.5 | 15.3 ± 1.4 |
| Wax and sterol esters | 9.2 ± 3.6 | 6.0 ± 3.2 |
| Diacylglycerols | 3.5 ± 0.3 | 2.6 ± 0.8 |
| Free fatty acids | 1.1 ± 1.3 | 0.2 ± 0.3 |
| Total neutral lipids | 61.1 ± 1.2 | 49.0 ± 7.2 * |
| Triacylglycerol/cholesterol ratio | 2.4 ± 0.2 | 1.7 ± 0.5 |
| Neutral Lipids | Polar Lipids | |||
|---|---|---|---|---|
| Dietary Groups | CTRL | S-ASTA | CTRL | S-ASTA |
| 14:0 | 2.3 ± 0.1 | 2.2 ± 0.3 | 1.0 ± 0.2 | 0.9 ± 0.1 |
| 16:0 | 13.1 ± 0.6 | 12.7 ± 0.6 | 15.5 ± 1.4 | 15.8 ± 0.6 |
| 18:0 | 2.2 ± 0.8 | 2.4 ± 0.6 | 8.5 ± 2.5 | 9.2 ± 1.4 |
| SFA 1 | 18.4 ± 0.1 | 18.3 ± 0.3 | 26.0 ± 1.0 | 26.9 ± 1.6 |
| 16:1 n − 7 | 8.7 ± 1.7 | 7.0 ± 1.4 | 1.7 ± 0.3 | 1.6 ± 0.3 |
| 18:1 n − 9 | 28.5 ± 1.7 | 27.2 ± 1.2 | 9.7 ± 1.3 | 9.6 ± 1.1 |
| 18:1 n − 7 | 5.7 ± 1.0 | 5.2 ± 0.5 | 3.8 ± 0.7 | 3.2 ± 0.6 |
| 20:1 n − 9 | 3.5 ± 0.2 | 3.5 ± 0.2 | 3.3 ± 0.3 | 2.6 ± 0.4 |
| MUFA 2 | 48.8 ± 1.3 | 45.4 ± 1.5 * | 20.0 ± 1.8 | 18.5 ± 1.8 |
| MUFA/SFA ratio | 2.7 ± 0.1 | 2.4 ± 0.1 | 0.8 ± 0.1 | 0.7 ± 0.1 |
| 18:2 n − 6 | 5.9 ± 0.2 | 6.1 ± 0.1 | 2.8 ± 0.1 | 2.8 ± 0.2 |
| 20:2 n − 6 | 1.2 ± 0.1 | 1.3 ± 0.1 | 1.8 ± 0.1 | 1.5 ± 0.2 |
| 20:4 n − 6 | 1.3 ± 0.1 | 1.5 ± 0.2 | 6.3 ± 0.2 | 6.2 ± 0.2 |
| 22:5 n − 6 | 0.6 ± 0.0 | 0.7 ± 0.0 * | 1.2 ± 0.0 | 1.2 ± 0.1 |
| n − 6 PUFA 3 | 9.8 ± 0.4 | 10.4 ± 1.4 | 12.7 ± 0.1 | 12.4 ± 0.4 |
| 18:3 n − 3 | 0.9 ± 0.1 | 1.0 ± 0.3 | 0.3 ± 0.0 | 0.3 ± 0.1 |
| 20:4 n − 3 | 0.5 ± 0.1 | 0.7 ± 0.2 | 0.3 ± 0.0 | 0.3 ± 0.0 |
| 20:5 n − 3 | 2.8 ± 0.6 | 3.2 ± 0.4 | 5.5 ± 1.1 | 5.5 ± 0.5 |
| 22:5 n − 3 | 3.2 ± 0.7 | 3.7 ± 0.4 | 1.6 ± 0.3 | 1.7 ± 0.1 |
| 22:6 n − 3 | 14.7 ± 0.6 | 16.4 ± 1.1 | 33.3 ± 0.9 | 34.1 ± 0.3 |
| EPA + DHA | 17.5 ± 0.3 | 19.5 ± 0.7 ** | 38.8 ± 0.4 | 39.6 ± 0.7 |
| n − 3 PUFA 4 | 22.9 ± 0.9 | 26.0 ± 0.3 ** | 41.3 ± 0.7 | 42.2 ± 0.8 |
| PUFA 5 | 32.8 ± 1.2 | 36.2 ± 1.5 * | 54.0 ± 0.8 | 54.6 ± 0.9 |
| n − 3/n − 6 ratio | 2.3 ± 0.0 | 2.5 ± 0.3 | 3.2 ± 0.0 | 3.4 ± 0.1 |
Disclaimer/Publisher’s Note: The statements, opinions and data contained in all publications are solely those of the individual author(s) and contributor(s) and not of MDPI and/or the editor(s). MDPI and/or the editor(s) disclaim responsibility for any injury to people or property resulting from any ideas, methods, instructions or products referred to in the content. |
© 2023 by the authors. Licensee MDPI, Basel, Switzerland. This article is an open access article distributed under the terms and conditions of the Creative Commons Attribution (CC BY) license (https://creativecommons.org/licenses/by/4.0/).
Share and Cite
Kalinowski, C.T.; Betancor, M.B.; Torrecillas, S.; Sprague, M.; Larroquet, L.; Véron, V.; Panserat, S.; Izquierdo, M.S.; Kaushik, S.J.; Fontagné-Dicharry, S. More Than an Antioxidant: Role of Dietary Astaxanthin on Lipid and Glucose Metabolism in the Liver of Rainbow Trout (Oncorhynchus mykiss). Antioxidants 2023, 12, 136. https://doi.org/10.3390/antiox12010136
Kalinowski CT, Betancor MB, Torrecillas S, Sprague M, Larroquet L, Véron V, Panserat S, Izquierdo MS, Kaushik SJ, Fontagné-Dicharry S. More Than an Antioxidant: Role of Dietary Astaxanthin on Lipid and Glucose Metabolism in the Liver of Rainbow Trout (Oncorhynchus mykiss). Antioxidants. 2023; 12(1):136. https://doi.org/10.3390/antiox12010136
Chicago/Turabian StyleKalinowski, Carmen Tatiana, Monica B. Betancor, Silvia Torrecillas, Matthew Sprague, Laurence Larroquet, Vincent Véron, Stéphane Panserat, María Soledad Izquierdo, Sadasivam J. Kaushik, and Stéphanie Fontagné-Dicharry. 2023. "More Than an Antioxidant: Role of Dietary Astaxanthin on Lipid and Glucose Metabolism in the Liver of Rainbow Trout (Oncorhynchus mykiss)" Antioxidants 12, no. 1: 136. https://doi.org/10.3390/antiox12010136
APA StyleKalinowski, C. T., Betancor, M. B., Torrecillas, S., Sprague, M., Larroquet, L., Véron, V., Panserat, S., Izquierdo, M. S., Kaushik, S. J., & Fontagné-Dicharry, S. (2023). More Than an Antioxidant: Role of Dietary Astaxanthin on Lipid and Glucose Metabolism in the Liver of Rainbow Trout (Oncorhynchus mykiss). Antioxidants, 12(1), 136. https://doi.org/10.3390/antiox12010136

