Upregulation of Antioxidative Gene Expression by Lasia spinosa Organic Extract Improves the Predisposing Biomarkers and Tissue Architectures in Streptozotocin-Induced Diabetic Models of Long Evans Rats
Abstract
1. Introduction
2. Materials and Methods
2.1. Chemical and Reagents
2.2. Sample Collection and Identification
2.3. Preparation of the Extracts
2.4. Preliminary Screening for Phytochemical Groups
2.5. In Vivo Experimental Studies
2.5.1. Ethical Clearance for In Vivo Experiment
2.5.2. Care and Maintenance of Experimental Animals
2.5.3. Acute Toxicity Evaluation
2.5.4. Induction of Diabetes
2.5.5. Grouping and Dosing of Animals
2.5.6. Determination of Fasting Blood Glucose Level (FBGL) and Oral Glucose Tolerance (OGT)
2.5.7. Collection of Blood and Organs and Preparation of the Serum
2.5.8. Estimation of Biochemical Parameters
2.5.9. Histopathological Analyses of Selected Rat Organs
2.5.10. Assay of Antioxidant Enzyme Activities in Liver Tissue
Assay for Catalase (CAT) Activity
Superoxide Dismutase (SOD) Assay
Estimation of Lipid Peroxidase (LPO)
Reduced Glutathione (GSH) Assay
2.5.11. Determination of mRNA Expression Level of Liver Antioxidant Genes
Isolation of Total RNA
cDNA Synthesis
Universal qPCR Master Mix Protocol
2.6. Statistical Analysis
3. Results
3.1. Phytochemical Status
3.2. Effect of LSML on Acute Toxicity
3.3. Effect of LSML on Food and Fluid Intake, Oral Glucose Tolerance, and Body Weight
3.4. Effect of LSML on the Weight Changes of Liver, Kidney, Pancreas, and Spleen
3.5. Effect of LSML on Biochemical Parameters
3.5.1. Effect of LSML Extract on Serum Biomarkers of Liver Function
3.5.2. Effects of LSML on Serum Lipid Profile
3.5.3. Effects of LSML on Renal Biomarkers
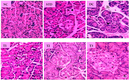
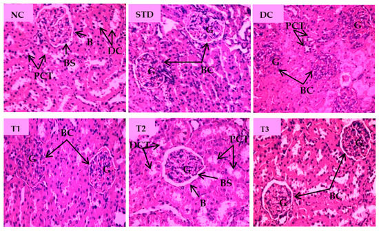
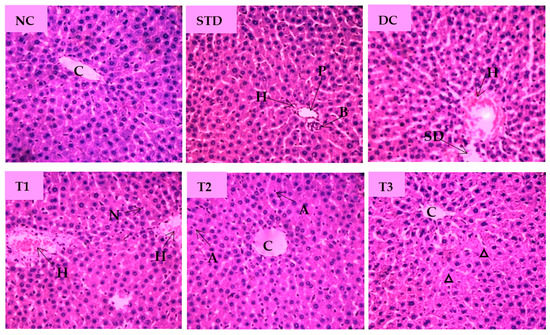
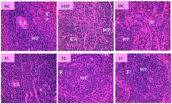
3.6. Histopathological Evaluation of Collected Organs
3.7. Effects of LSML on Antioxidant Enzymes in Liver Tissue
3.8. Effect of LSML on the mRNA Expression Level of Liver Antioxidant Genes
4. Discussion
5. Conclusions
Supplementary Materials
Author Contributions
Funding
Institutional Review Board Statement
Informed Consent Statement
Data Availability Statement
Acknowledgments
Conflicts of Interest
Abbreviations
References
- Aziz, S.M.A.; Ahmed, O.M.; El-Twab, S.M.A.; Al-Muzafar, H.M.; Amin, K.A.; Abdel-Gabbar, M. Antihyperglycemic effects and mode of actions of Musa paradisiaca leaf and fruit peel hydroethanolic extracts in nicotinamide/streptozotocin-induced diabetic rats. Evid. Based Complement. Altern. Med. 2020, 2020, 1–15. [Google Scholar] [CrossRef] [PubMed]
 - Bharti, S.K.; Krishnan, S.; Kumar, A.; Kumar, A. Antidiabetic phytoconstituents and their mode of action on metabolic pathways. Ther. Adv. Endocrinol. Metab. 2018, 9, 81–100. [Google Scholar] [CrossRef] [PubMed]
 - Kar, A.; Choudhary, B.; Bandyopadhyay, N. Comparative evaluation of hypoglycaemic activity of some Indian medicinal plants in alloxan diabetic rats. J. Ethnopharmacol. 2003, 84, 105–108. [Google Scholar] [CrossRef]
 - Hui, H.; Tang, G.; Go, V.L. Hypoglycemic herbs and their action mechanisms. Chin. Med. 2009, 4, 1–11. [Google Scholar] [CrossRef]
 - Ponnachan, P.T.; Paulose, C.S.; Panikkar, K.R. Effect of leaf extract of Aegle marmelose in diabetic rats. J. Pharmacol. Exp. Ther. 1993, 31, 345–347. [Google Scholar]
 - Al-Masri, I.M.; Mohammad, M.K.; Tahaa, M.O. Inhibition of dipeptidyl peptidase IV (DPP IV) is one of the mechanisms explaining the hypoglycemic effect of berberine. J. Enzym. Inhib. Med. Chem. 2009, 24, 1061–1066. [Google Scholar] [CrossRef]
 - Mawa, J.; Rahman, A.; Hashem, M.; Hosen, J. Leea macrophylla root extract upregulates the mRNA expression for antioxidative enzymes and repairs the necrosis of pancreatic β-cell and kidney tissues in fructose-fed Type 2 diabetic rats. Biomed. Pharmacother. 2019, 110, 74–84. [Google Scholar] [CrossRef]
 - Hsieh, C.-C.; Fang, H.-L.; Lina, W.-C. Inhibitory effect of Solanum nigrum on thioacetamide-induced liver fibrosis in mice. J. Ethnopharmacol. 2008, 119, 117–121. [Google Scholar] [CrossRef]
 - Yadav, A.K. Efficacy of Lasia spinosa leaf extract in treating mice infected with Trichinella spiralis. Parasitol. Res. 2012, 110, 493–498. [Google Scholar] [CrossRef]
 - Harborne, A. Phytochemical Methods a Guide to Modern Techniques of Plant Analysis, 2nd ed.; Springer Science & Business Media: London, UK, 1998. [Google Scholar]
 - Sofowora, A. Medicinal Plants and Traditional Medicine in Africa; Spectrum Books LTD: Ibadan, Nigeria, 1993; Volume 289. [Google Scholar]
 - Stallard, N.; Whitehead, A.; Ridgway, P. Statistical evaluation of the revised fixed-dose procedure. Hum. Exp. Toxicol. 2002, 21, 183–196. [Google Scholar] [CrossRef]
 - Rashid, M.; Rahman, A.; Islam, S.; Hossen, A.; Reza, A.S.M.A.; Abu Ahmed, A.M.; Alnajeebi, A.M.; Babteen, N.A.; Khan, M.; Aboelenin, S.M.; et al. Incredible affinity of Kattosh with PPAR-γ receptors attenuates STZ-induced pancreas and kidney lesions evidenced in chemicobiological interactions. J. Cell. Mol. Med. 2022, 26, 3343–3363. [Google Scholar] [CrossRef] [PubMed]
 - Mostafavinia, A.; Amini, A.; Ghorishi, S.K.; Pouriran, R.; Bayat, M. The effects of dosage and the routes of administrations of streptozotocin and alloxan on induction rate of typel diabetes mellitus and mortality rate in rats. Lab. Anim. Res. 2016, 32, 160–165. [Google Scholar] [CrossRef] [PubMed]
 - Birru, E.M.; Abdelwuhab, M.; Shewamene, Z. Effect of hydroalcoholic leaves extract of Indigofera spicata Forssk. on blood glucose level of normal, glucose loaded and diabetic rodents. BMC Complement. Altern. Med. 2015, 15, 1–8. [Google Scholar] [CrossRef] [PubMed]
 - Abu Ahmed, A.; Rahman, A.; Hossen, A.; Reza, A.A.; Islam, S.; Rashid, M.; Rafi, K.J.; Siddiqui, T.A.; Al-Noman, A.; Uddin, N. Epiphytic Acampe ochracea orchid relieves paracetamol-induced hepatotoxicity by inhibiting oxidative stress and upregulating antioxidant genes in in vivo and virtual screening. Biomed. Pharmacother. 2022, 143, 112215. [Google Scholar] [CrossRef]
 - Beers, R.F.; Sizer, I.W. A spectrophotometric method for measuring the breakdown of hydrogen peroxide by catalase. J. Biol. Chem. 1952, 195, 133–140. [Google Scholar] [CrossRef] [PubMed]
 - Kakkar, P.; Das, B.; Viswanathan, P.N. A modified spectrophotometric assay of superoxide dismutase. Indian J. Biochem. Biophys. 1984, 21, 130–132. [Google Scholar] [PubMed]
 - Shabbir, M.; Afsar, T.; Razak, S.; Almajwal, A.; Khan, M.R. Phytochemical analysis and evaluation of hepatoprotective effect of Maytenus royleanus leaves extract against anti-tuberculosis drug induced liver injury in mice. Lipids Health Dis. 2020, 19, 1–15. [Google Scholar] [CrossRef]
 - Högberg, J.; Larson, R.E.; Kristoferson, A.; Orrenius, S. NADPH-dependent reductase solubilized from microsomes by peroxidation and its activity. Biochem. Biophys. Res. Commun. 1974, 56, 836–842. [Google Scholar] [CrossRef]
 - Jollow, D.; Mitchell, J.; Zampaglione, N.; Gillette, J. Bromobenzene-induced liver necrosis. Protective role of glutathione and evidence for 3, 4-bromobenzene oxide as the hepatotoxic metabolite. Pharmacology 1974, 11, 151–169. [Google Scholar] [CrossRef]
 - Prabhakar, P.V.; Reddy, U.A.; Singh, S.P.; Balasubramanyam, A.; Rahman, M.F.; Indu Kumari, S.; Agawane, S.B.; Murty, U.S.N.; Grover, P.; Mahboob, M. Oxidative stress induced by aluminum oxide nanomaterials after acute oral treatment in Wistar rats. J. Appl. Toxicol. 2012, 32, 436–445. [Google Scholar] [CrossRef]
 - Cho, N.H.; Shaw, J.E.; Karuranga, S.; Huang, Y.; da Rocha Fernandes, J.D.; Ohlrogge, A.W.; Malanda, B. IDF diabetes atlas: Global estimates of diabetes prevalence for 2017 and projections for 2046. Diabetes Res. Clin. Pract. 2018, 138, 271–281. [Google Scholar] [CrossRef] [PubMed]
 - Derici, G.E.; Özdaş, S.; Canatar, I.; Koç, M. Antidiabetic activities of Bolanthus spergulifolius (Caryophyllaceae) extracts on insulin-resistant 3T3-L1 adipocytes. PLoS ONE 2021, 16, e0252707. [Google Scholar] [CrossRef]
 - Raveendran, A.V.; Chacko, E.C.; Pappachan, J.M. Non-pharmacological treatment options in the management of diabetes mellitus. Eur. Endocrinol. 2018, 14, 31. [Google Scholar] [CrossRef] [PubMed]
 - Saxena, A.; Vikram, N.K. Role of selected Indian plants in management of type 2 diabetes: A review. J. Altern. Complement. Med. 2004, 10, 369–378. [Google Scholar] [CrossRef] [PubMed]
 - Kalimuthu, K.; Prabakaran, R. Preliminary phytochemical screening and GC-MS analysis of methanol extract of Ceropegia pusilla. Int. J. Res. Appl. Nat. Soc. Sci. 2013, 1, 49–58. [Google Scholar]
 - Hemmalakshmi, S.; Priyanga, S.; Devaki, K. Fourier transform infra-red spectroscopy analysis of Erythrina variegata L. J. Pharm. Sci. Res. 2017, 9, 2062–2067. [Google Scholar]
 - Kumar, S.; Pandey, A.K. Chemistry and biological activities of flavonoids: An overview. Sci. World J. 2013, 2013, 162750. [Google Scholar] [CrossRef]
 - Tungmunnithum, D.; Thongboonyou, A.; Pholboon, A.; Yangsabai, A. Flavonoids and other phenolic compounds from medicinal plants for pharmaceutical and medical aspects: An overview. Medicines 2018, 5, 93. [Google Scholar] [CrossRef]
 - Farida, E.; Nuraida, L.; Giriwono, P.E.; Jenie, B.S.L. Lactobacillus rhamnosus reduces blood glucose level through downregulation of gluconeogenesis gene expression in streptozotocin-induced diabetic rats. Int. J. Food Sci. 2020, 2020, 1–12. [Google Scholar] [CrossRef]
 - Rodríguez, T.; Alvarez, B.; Busquets, S.; Carbó, N.; López-Soriano, F.J.; Argilés, J.M. The increased skeletal muscle protein turnover of the streptozotozin diabetic rat is associated with high concentrations of branched-chain amino acids. Biochem. Mol. Med. 1997, 61, 87–94. [Google Scholar] [CrossRef]
 - Chung, I.-M.; Kim, E.-H.; Yeo, M.-A.; Kim, S.-J.; Seo, M.; Moon, H.-I. Antidiabetic effects of three Korean sorghum phenolic extracts in normal and streptozotocin-induced diabetic rats. Food Res. Int. 2011, 44, 127–132. [Google Scholar] [CrossRef]
 - Ogunlana, O.O.; Adetuyi, B.O.; Rotimi, M.; Adeyemi, A.; Akinyele, J.; Ogunlana, O.E.; Adetuyi, O.A.; Adebisi, O.A.; Opata, E.K.; Baty, R.S.; et al. Hypoglycemic and antioxidative activities of ethanol seed extract of Hunteria umbellate (Hallier F.) on streptozotocin-induced diabetic rats. Clin. Phytoscience 2021, 7, 1–9. [Google Scholar] [CrossRef]
 - Merzouk, H.; Madani, S.; Chabane, S.D.; Prost, J.; Bouchenak, M.; Belleville, J. Time course of changes in serum glucose, insulin, lipids and tissue lipase activities in macrosomic offspring of rats with Streptozotocin induced diabetes. Clin. Sci. 2000, 98, 21–30. [Google Scholar] [CrossRef]
 - Flyvbjerg, A.; Landau, D.; Domene, H.; Hernandez, L.; Gronback, H.; Le Roith, D. The role of growth hormone, insulin-like growth factors (IGFs), and IGF binding proteins in experimental diabetic kidney disease. Metabolism 1997, 44, 67–71. [Google Scholar] [CrossRef] [PubMed]
 - Kim, J.D.; Kang, S.M.; Seo, B.I.; Choi, H.Y.; Choi, H.S.; Ku, S.K. Anti-diabetic activity of SMK001, a poly herbal formula in streptozotocin-induced diabetic rats: Therapeutic study. Biol. Pharm. Bull. 2006, 29, 477–482. [Google Scholar] [CrossRef] [PubMed]
 - Bouhlali, E.D.T.; Derouich, M.; Hmidani, A.; Bourkhis, B.; Khouya, T.; Filali-Zegzouti, Y.; Alem, C. Protective effect of Phoenix dactylifera L. seeds against paracetamol-induced hepatotoxicity in rats: A comparison with vitamin C. Sci. World J. 2021, 2021, 6618273. [Google Scholar] [CrossRef]
 - Sarkar, P.; Nath, K.; Banu, S. Modulatory effect of baicalein on gene expression and activity of antioxidant enzymes in streptozotocin-nicotinamide induced diabetic rats. Braz. J. Pharm. Sci. 2019, 55, e18201. [Google Scholar] [CrossRef]
 - Vozarova, B.; Stefan, N.; Lindsay, R.S.; Saremi, A.; Pratley, R.E.; Bogardus, C.; Tataranni, P.A. High alanine aminotransferase is associated with decreased hepatic insulin sensitivity and predicts the development of type 2 diabetes. Diabetes 2002, 51, 1889–1895. [Google Scholar] [CrossRef]
 - Karim, N.; Jeenduang, N.; Tangpong, J. Anti-glycemic and anti-hepatotoxic effects of mangosteen vinegar rind from Garcinia mangostana against HFD/STZ-induced type II diabetes in mice. Pol. J. Food Nutr. Sci. 2018, 68, 163–169. [Google Scholar] [CrossRef]
 - AlFaris, N.A.; Alshammari, G.M.; Alsayadi, M.M.; AlFaris, M.A.; Yahya, M.A. Antidiabetic and antihyperlipidemic effect of Duvalia corderoyi in rats with streptozotocin-induced diabetes. Saudi J. Biol. Sci. 2020, 27, 925–934. [Google Scholar] [CrossRef]
 - Moscatiello, S.; Manini, R.; Marchesini, G. Diabetes and liver disease: An ominous association. Nutr. Metab. Cardiovasc. Dis. 2007, 17, 63–70. [Google Scholar] [CrossRef] [PubMed]
 - Elberry, A.A.; Harraz, F.M.; Ghareib, S.A.; Gabr, S.A.; Nagy, A.A.; Abdel-Sattar, E. Methanolic extract of Marrubium vulgare ameliorates hyperglycemia and dyslipidemia in streptozotocin-induced diabetic rats. Int. J. Diabetes Mellit. 2015, 3, 37–44. [Google Scholar] [CrossRef]
 - Belce, A.; Uslu, E.; Kucur, M.; Umut, M.; Ipbüker, A.; Seymen, H.O. Evaluation of salivary sialic acid level and Cu-Zn superoxide dismutase activity in type 1 diabetes mellitus. Tohoku J. Exp. Med. 2000, 192, 219–225. [Google Scholar] [CrossRef] [PubMed][Green Version]
 - Seedevi, P.; Ramu Ganesan, A.; Moovendhan, M.; Mohan, K.; Sivasankar, P.; Loganathan, S.; Vairamani, S.; Shanmugam, A. Anti-diabetic activity of crude polysaccharide and rhamnose-enriched polysaccharide from G. lithophila on Streptozotocin (STZ)-induced in Wistar rats. Sci. Rep. 2020, 10, 1–12. [Google Scholar] [CrossRef] [PubMed]
 - Hou, S.-Z.; Liang, C.-Y.; Liu, H.-Z.; Zhu, D.-M.; Wu, Y.-Y.; Liang, J.; Zhao, Y.; Guo, J.-R.; Huang, S.; Lai, X.-P. Dendrobium officinale prevents early complications in streptozotocin-induced diabetic rats. Evid. Based Complement. Altern. Med. 2016, 2016, 1–10. [Google Scholar]
 - Abirami, R.; Kowsalya, S. Antidiabetic activity of Ulva fasciata and its impact on carbohydrate metabolism enzymes in alloxan induced diabetic rats. Int. J. Res. Phytochem. Pharmacol. 2013, 3, 136–141. [Google Scholar]
 - Prasad, K.; Prabhu, G.K. Image analysis tools for evaluation of microscopic views of immunohistochemically stained specimen in medical research—A review. J. Med. Syst. 2012, 36, 2621–2631. [Google Scholar] [CrossRef]
 - Al-Ani IM, D.; Al-Mishadani NM, S.; Muslih, R.K.; Hamoodi, S.R. Histological liver changes in streptozotocin induced diabetic mice. Int. Med. J. Malays. 2009, 8, 1–4. [Google Scholar]
 - Borgohain, M.; Chowdhury, L.; Ahmed, S.; Bolshette, N.; Devasani, K.; Das, T.; Mohapatra, A.; Lahkar, M. Renoprotective and antioxidative effects of methanolic Paederia foetida leaf extract on experimental diabetic nephropathy in rats. J. Ethnopharmacol. 2017, 198, 451–459. [Google Scholar] [CrossRef]
 - Islam, M.T.; Quispe, C.; Islam, A.; Ali, E.S.; Saha, S.; Asha, U.H.; Mondal, M.; Razis, A.F.A.; Sunusi, U.; Kamal, R.M.; et al. Effects of nerol on paracetamol-induced liver damage in Wistar albino rats. Biomed. Pharmacother. 2021, 140, 111732. [Google Scholar] [CrossRef]
 - Han, D.; Hanawa, N.; Saberi, B.; Kaplowitz, N. Mechanisms of liver injury. III. Role of glutathione redox status in liver injury. Am. J. Physiol. Gastrointest. Liver Physiol. 2006, 291, G1–G7. [Google Scholar] [CrossRef] [PubMed]
 




”—Necrotic cell, “
”—Hydropic degeneration (HD); IC—Islets of β cells, Aci—Acinar cell.
  
”—Necrotic cell, “
”—Hydropic degeneration (HD); IC—Islets of β cells, Aci—Acinar cell.





| Gene Symbol  | Gene Description  | Primer | Sequences (5′→3′) | Gene Bank Accession No.  | 
|---|---|---|---|---|
| β-ACTIN | β-actin protein | F | GGCATCCTGACCCTGAAGTA | NM_031144.3 | 
| R | GGGGTGTTGAAGGTCTCAAA | |||
| CAT | Catalase | F | ACGAGATGGCACACTTTGACAG | NM_012520.2 | 
| R | TGGGTTTCTCTTCTGGCTATGG | |||
| SOD2 | Superoxide dismutase-2 | F | AGCTGCACCACAGCAAGCAC | NM_017051.2 | 
| R | TCCACCACCCTTAGGGCTCA | |||
| GPX1 | Glutathione peroxidase-1 | F | AAGGTGCTGCTCATTGAGAATG | NM_030826.4 | 
| R | CGTCTGGACCTACCAGGAACT | |||
| GAPDH | Glyceraldehyde-3-phosphate dehydrogenase | F | GGTGAAGTTCGGAGTCAACGGA | NM_017008.4 | 
| R | GAGGGATCTCGCTCCTGGAAGA | |||
| PON-1 | Paraoxonase -1 | F | TGCTGGCTCACAAGATTCAC | XM_039108462.1 | 
| R | TCAAAGCTGAGGACCTTCAAT | |||
| PFK-1 | Phosphofructokinase-l | F | TTACCGATCACCCTCGTTCCT | XM_008772798.3 | 
| R | TTCCCCTTAGTGCTGGGATCT | 
| Groups | Pancreas Weight  (g)  | Relative  Pancreas Weight (g)  | Kidney Weight  (g)  | Relative  Kidney Weight (g)  | Liver  Weight (g)  | Relative Liver Weight  (g)  | Spleen Weight  (g)  | Relative Spleen Weight  (g)  | 
|---|---|---|---|---|---|---|---|---|
| Normal  Control  | 3.67 ± 0.29 | 0.80 ± 0.06 | 0.93 ± 0.07 | 0.18 ± 0.03 | 6.86 ± 1.06 | 1.49 ± 0.22 | 0.65 ± 0.06 | 0.14 ± 0.01 | 
| STZ +  Silymarin  | 3.44 ± 0.70 ns | 1.57 ± 0.35 a | 1.01 ± 0.12 ns | 0.55 ± 0.07 a | 7.15 ± 0.65 ns | 3.26 ± 0.38 b | 0.61 ± 0.08 ns | 0.27 ± 0.03 a | 
| STZ | 1.99 ± 0.13 a | 1.20 ± 0.04 c | 1.56 ± 0.06 a | 0.94 ± 0.06 a | 11.96 ± 1.91 a | 7.24 ± 1.15 a | 0.40 ± 0.07 b | 0.24 ±0.05 b | 
| STZ + LSML65 | 2.556 ± 0.26 c | 1.25 ± 0.14 b | 1.45 ± 0.25 a | 0.71 ± 0.12 a | 10.74 ± 2.13 c | 5.23 ± 1.03 a | 0.42 ± 0.12 c | 0.21 ± 0.05 ns | 
| STZ + LSML125 | 2.99 ± 0.31 ns | 0.92 ± 0.07 ns | 1.35 ± 0.09 c | 0.42 ± 0.04 a | 8.69 ± 1.47 ns | 2.67 ± 0.47 ns | 0.52 ± 0.12 ns | 0.16 ± 0.03 ns | 
| STZ + LSML250 | 3.22 ± 0.39 ns | 0.90 ± 0.12 ns | 1.18 ± 0.09 ns | 0.33 ± 0.03 ns | 8.11 ± 2.01 ns | 2.27 ± 0.56 ns | 0.58 ± 0.16 ns | 0.16 ± 0.05 ns | 
| Group | Degenerated Cell | Necrotic Cell | Diameter of Islet of Langerhans (μm) | Area Occupied by β-Cell/Islet of ± Langerhans (μm2) | 
|---|---|---|---|---|
| Normal control (NC) | - | - | 215 ± 17.32 | 4600 ± 7447 | 
| Standard (STD) | + | + | 170 ± 11.54 | 28,800 ± 3925 | 
| Diabetic control (DC) | ++ | ++ | Islets are extensively disrupted to count | |
| LSML 65 (T1) | + | + | 195 ± 28.86 | 37,400 ± 9750 | 
| LSML 125 (T2) | - | - | 285 ± 05.77 | 81,200 ± 3290 | 
| LSML 250 (T3) | + | + | 250 ± 34.64 | 61,600 ± 1732 | 
Publisher’s Note: MDPI stays neutral with regard to jurisdictional claims in published maps and institutional affiliations.  | 
© 2022 by the authors. Licensee MDPI, Basel, Switzerland. This article is an open access article distributed under the terms and conditions of the Creative Commons Attribution (CC BY) license (https://creativecommons.org/licenses/by/4.0/).
Share and Cite
Sharmen, F.; Rahman, M.A.; Ahmed, A.M.A.; Siddique, T.A.; Rafi, M.K.J.; Tangpong, J. Upregulation of Antioxidative Gene Expression by Lasia spinosa Organic Extract Improves the Predisposing Biomarkers and Tissue Architectures in Streptozotocin-Induced Diabetic Models of Long Evans Rats. Antioxidants 2022, 11, 2398. https://doi.org/10.3390/antiox11122398
Sharmen F, Rahman MA, Ahmed AMA, Siddique TA, Rafi MKJ, Tangpong J. Upregulation of Antioxidative Gene Expression by Lasia spinosa Organic Extract Improves the Predisposing Biomarkers and Tissue Architectures in Streptozotocin-Induced Diabetic Models of Long Evans Rats. Antioxidants. 2022; 11(12):2398. https://doi.org/10.3390/antiox11122398
Chicago/Turabian StyleSharmen, Farjana, Md. Atiar Rahman, A. M. Abu Ahmed, Tanvir Ahmed Siddique, Md. Khalid Juhani Rafi, and Jitbanjong Tangpong. 2022. "Upregulation of Antioxidative Gene Expression by Lasia spinosa Organic Extract Improves the Predisposing Biomarkers and Tissue Architectures in Streptozotocin-Induced Diabetic Models of Long Evans Rats" Antioxidants 11, no. 12: 2398. https://doi.org/10.3390/antiox11122398
APA StyleSharmen, F., Rahman, M. A., Ahmed, A. M. A., Siddique, T. A., Rafi, M. K. J., & Tangpong, J. (2022). Upregulation of Antioxidative Gene Expression by Lasia spinosa Organic Extract Improves the Predisposing Biomarkers and Tissue Architectures in Streptozotocin-Induced Diabetic Models of Long Evans Rats. Antioxidants, 11(12), 2398. https://doi.org/10.3390/antiox11122398
        
