Blood Flow and Continuous EEG Changes during Symptomatic Plateau Waves
Abstract
:1. Introduction
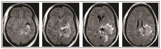
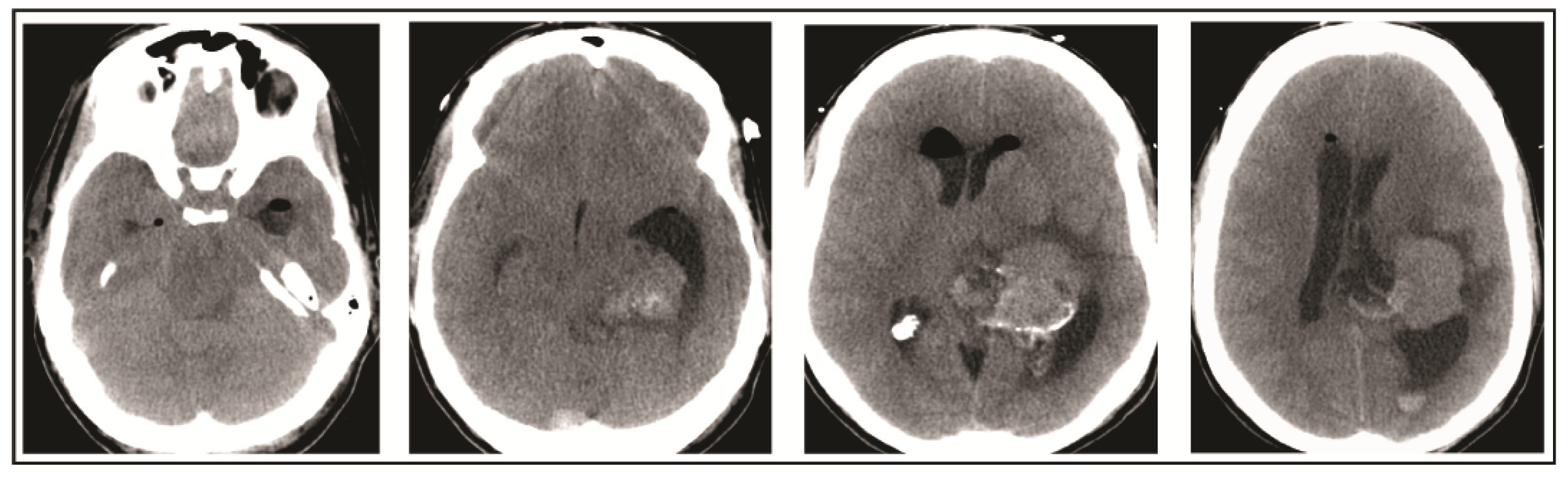
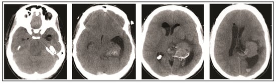
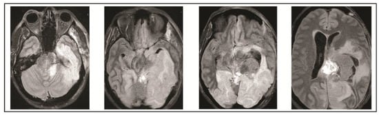
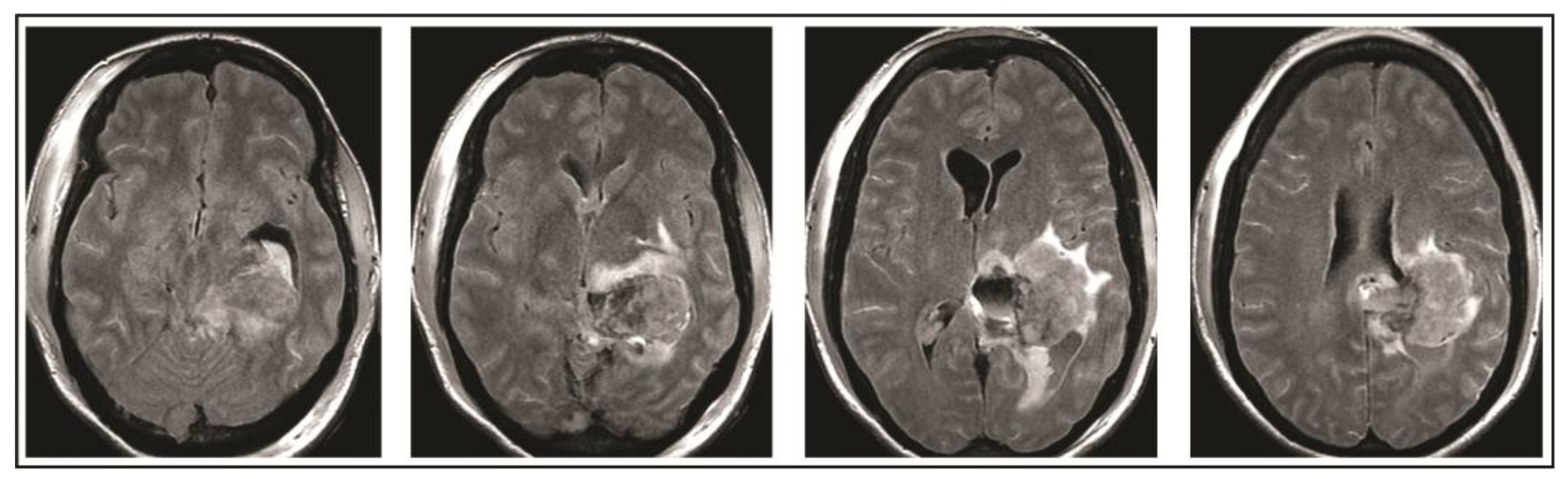
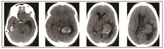
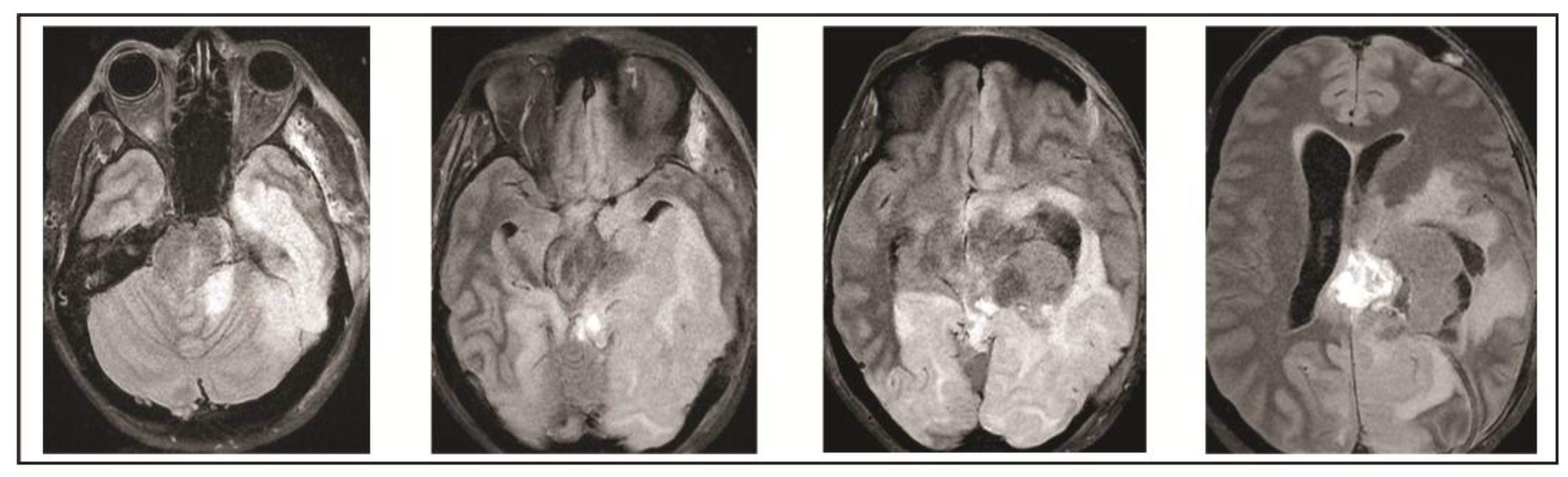
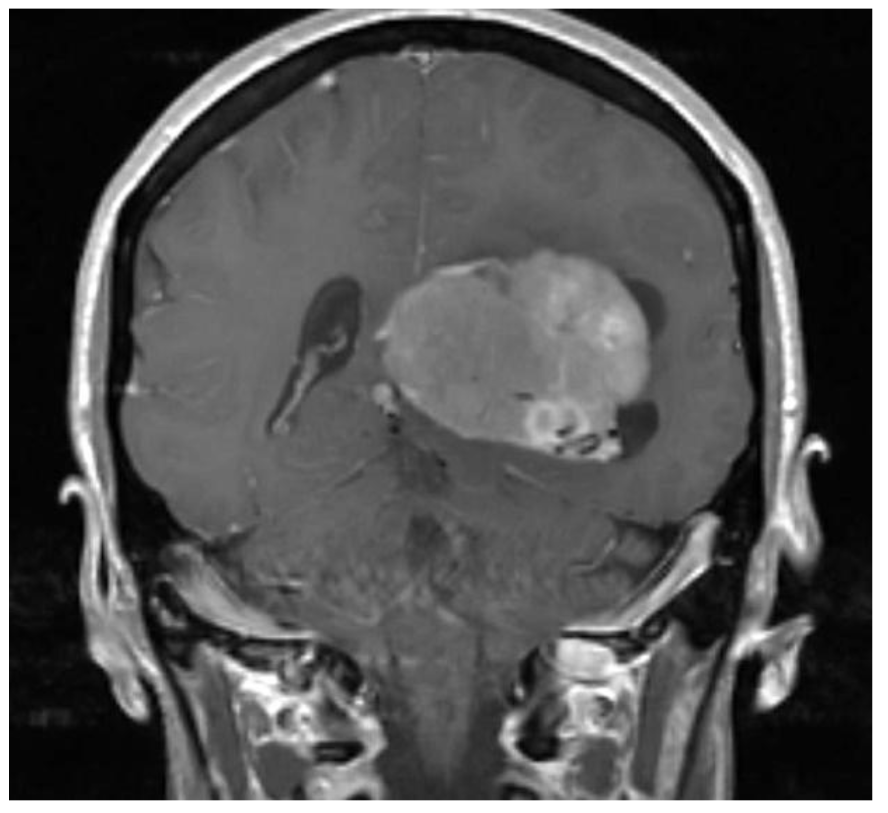
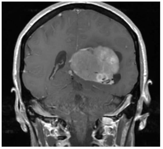
2. Case Presentation
3. Discussion
4. Conclusions
Acknowledgments
Author Contributions
Conflicts of Interest
References
- Del Maestro, R.F.; Megyesi, J.F.; Farrell, C.L. Mechanisms of tumor-associated edema: A review. Can. J. Neurol. Sci. 1990, 17, 177–183. [Google Scholar] [CrossRef] [PubMed]
- Gelabert-Gonzalez, M.; Fernandez-Villa, J.M.; Iglesias-Pais, M. Atypical and malignant intracranial meningiomas. Rev. Neurol. 2004, 38, 304–310. [Google Scholar] [PubMed]
- Sanai, N.; Sughrue, M.E.; Shangari, G.; Chung, K.; Berger, M.S.; McDermott, M.W. Risk profile associated with convexity meningioma resection in the modern neurosurgical era. J. Neurosurg. 2010, 112, 913–919. [Google Scholar] [CrossRef] [PubMed]
- Asgari, S.; Bassiouni, H.; Hunold, A.; Klassen, D.; Stolke, D.; Sandalcioglu, I.E. Extensive brain swelling with neurological deterioration after intracranial meningioma surgery—Venous complication or ‘unspecific’ increase in tissue permeability. Zentralbl. Neurochir. 2008, 69, 22–29. [Google Scholar] [CrossRef] [PubMed]
- Lundberg, N. Continuous Recording and Control of Ventricular Fluid Pressure Neurosurgical Practice. Acta Psychiatr. Neurol. Scand. Suppl. 1960, 36, 1–193. [Google Scholar] [CrossRef]
- Daley, M.; Leffler, C.; Czosnyka, M.; Pickard, J. Intracranial pressure monitoring: Modeling cerebrovascular pressure transmission. In Brain Edema XIII; Springer: New York, NY, USA, 2006; pp. 103–107. [Google Scholar]
- Dias, C.; Maia, I.; Cerejo, A.; Varsos, G.; Smielewski, P.; Paiva, J.A.; Czosnyka, M. Pressures, flow, and brain oxygenation during plateau waves of intracranial pressure. Neurocrit. Care 2014, 21, 124–132. [Google Scholar] [CrossRef] [PubMed]
- Murkin, J.M.; Kamar, M.; Silman, Z.; Balberg, M.; Adams, S.J. Intraoperative cerebral autoregulation assessment using ultrasound-tagged near-infrared-based cerebral blood flow in comparison to transcranial Doppler cerebral flow velocity: A pilot study. J. Cardiothorac. Vasc. Anesth. 2015, 29, 1187–1193. [Google Scholar] [CrossRef] [PubMed]
- Schwarz, M.; Rivera, G.; Hammond, M.; Silman, Z.; Jackson, K.; Kofke, W.A. Acousto-Optic Cerebral Blood Flow Monitoring During Induction of Anesthesia in Humans. Neurocrit. Care 2016, 24, 436–441. [Google Scholar] [CrossRef] [PubMed]
- Hori, D.; Hogue, C.W., Jr.; Shah, A.; Brown, C.; Neufeld, K.J.; Conte, J.V.; Price, J.; Sciortino, C.; Max, L.; Laflam, A.; et al. Cerebral Autoregulation Monitoring with Ultrasound-Tagged Near-Infrared Spectroscopy in Cardiac Surgery Patients. Anesth. Analg. 2015, 121, 1187–1193. [Google Scholar] [CrossRef] [PubMed]
- Schytz, H.W.; Guo, S.; Jensen, L.T.; Kamar, M.; Nini, A.; Gress, D.R.; Ashina, M. A new technology for detecting cerebral blood flow: A comparative study of ultrasound tagged NIRS and 133Xe-SPECT. Neurocrit. Care 2012, 17, 139–145. [Google Scholar] [CrossRef] [PubMed]
- Foreman, B.; Claassen, J. Quantitative EEG for the detection of brain ischemia. Crit. Care 2012, 16, 216. [Google Scholar] [CrossRef] [PubMed]
- Sharbrough, F.W.; Messick, J.M.; Sundt, T.M. Correlation of continuous electroencephalograms with cerebral blood flow measurements during carotid endarterectomy. Stroke 1973, 4, 674–683. [Google Scholar] [CrossRef] [PubMed]
- Rots, M.; Van Putten, M.; Hoedemaekers, C.; Horn, J. Continuous EEG monitoring for early detection of delayed cerebral ischemia in subarachnoid hemorrhage: A pilot study. Neurocrit. Care 2016, 24, 207–216. [Google Scholar] [CrossRef] [PubMed]
- Zülch, K. Histological Typing of Tumours of the Central Nervous System (in Collaboration with Pathologists of 14 Countries); WHO International Histological Classification of Tumours, N. 21.; World Health Organization: Geneva, Switzerland, 1979. [Google Scholar]
- Diedler, J.; Sykora, M.; Bast, T.; Poli, S.; Veltkamp, R.; Mellado, P.; Steiner, T.; Rupp, A. Quantitative EEG correlates of low cerebral perfusion in severe stroke. Neurocrit. Care 2009, 11, 210–216. [Google Scholar] [CrossRef] [PubMed]
- Ono, K.; Hatada, J.; Minamimura, K.; Ohara, I.; Wada, K. Delayed enlargement of brain edema after resection of intracranial meningioma: Two case reports. Neurol. Med. Chir. 2009, 49, 478–481. [Google Scholar] [CrossRef]
- Silva, C.; Peron, C.; Nesi, A.; Nunes, C.; Santos, S.; Silveira, L. Importance of the temporal venous drainage to the petrosal approaches of the skull base. J. Bras. Neurocir. 2009, 20, 27–32. [Google Scholar]
- Conti, A.; Pontoriero, A.; Siddi, F.; Giuseppe, L.; Salvatore, C.; Filippo, F.A.; Granata, F.; Pergolizzi, S.; Germanò, A.; Tomasello, F. Post-Treatment Edema after Meningioma Radiosurgery is a Predictable Complication. Cureus 2016, 8, e605. [Google Scholar] [CrossRef] [PubMed]
- Newey, C.R.; Sarwal, A.; Hantus, S. Continuous electroencephalography (cEEG) changes precede clinical changes in a case of progressive cerebral edema. Neurocrit. Care 2013, 18, 261–265. [Google Scholar] [CrossRef] [PubMed]
- Fantaneanu, T.; Alvarez, V.; Lee, J.W. Teaching NeuroImages: Acute generalized suppression on continuous EEG heralds clinical and radiologic deterioration. Neurology 2015, 84, e119–e120. [Google Scholar] [CrossRef] [PubMed]
- Alkhachroum, A.M.; Fernandez-Baca Vaca, G.; Sundararajan, S.; DeGeorgia, M. Post-Subdural Hematoma Transient Ischemic Attacks: Hypoperfusion Mechanism Supported by Quantitative Electroencephalography and Transcranial Doppler Sonography. Stroke 2017, 48, e87–e90. [Google Scholar] [CrossRef] [PubMed]
- Hayashi, M.; Handa, Y.; Kobayashi, H.; Kawano, H.; Ishii, H.; Hirose, S. Plateau-wave phenomenon (I). Correlation between the appearance of plateau waves and CSF circulation in patients with intracranial hypertension. Brain J. Neurol. 1991, 114, 2681–2691. [Google Scholar] [CrossRef]
- Dias, C.; Maia, I.; Cerejo, A.; Smielewski, P.; Paiva, J.A.; Czosnyka, M. Plateau Waves of Intracranial Pressure and Multimodal Brain Monitoring. Acta Neurochir. Suppl. 2016, 122, 143–146. [Google Scholar] [PubMed]






© 2018 by the authors. Licensee MDPI, Basel, Switzerland. This article is an open access article distributed under the terms and conditions of the Creative Commons Attribution (CC BY) license (http://creativecommons.org/licenses/by/4.0/).
Share and Cite
Kreitzer, N.; Huynh, M.; Foreman, B. Blood Flow and Continuous EEG Changes during Symptomatic Plateau Waves. Brain Sci. 2018, 8, 14. https://doi.org/10.3390/brainsci8010014
Kreitzer N, Huynh M, Foreman B. Blood Flow and Continuous EEG Changes during Symptomatic Plateau Waves. Brain Sciences. 2018; 8(1):14. https://doi.org/10.3390/brainsci8010014
Chicago/Turabian StyleKreitzer, Natalie, Maggie Huynh, and Brandon Foreman. 2018. "Blood Flow and Continuous EEG Changes during Symptomatic Plateau Waves" Brain Sciences 8, no. 1: 14. https://doi.org/10.3390/brainsci8010014
APA StyleKreitzer, N., Huynh, M., & Foreman, B. (2018). Blood Flow and Continuous EEG Changes during Symptomatic Plateau Waves. Brain Sciences, 8(1), 14. https://doi.org/10.3390/brainsci8010014

