Frontal Lobe and Subregional Volumetric Alterations Across Alzheimer’s Disease, Amnestic Mild Cognitive Impairment, and Vascular Dementia: An MRI Volumetry Study
Abstract
1. Introduction
2. Materials and Methods
2.1. Participants
- The Alzheimer’s disease (AD) group consisted of 30 participants (8 males, 22 females; mean age 73.3 ± 6.0 years) diagnosed with probable AD according to the National Institute on Aging–Alzheimer’s Association (NIA-AA) criteria [19].
- The vascular dementia (VaD) group consisted of 30 participants (12 males, 18 females; mean age 67.9 ± 7.0 years) diagnosed with probable subcortical VaD according to the National Institute of Neurological Disorders and Stroke—Association Internationale pour la Recherche et l’Ensignement en Neurosciences (NINDS-AIREN) criteria, supported by clinical assessment and MRI findings [20].
- The amnestic mild cognitive impairment (aMCI) group consisted of 30 participants (7 males, 23 females; mean age 69.3 ± 7.0 years) diagnosed with aMCI according to the NIA-AA criteria [19].
- The control group consisted of 30 cognitively healthy individuals (9 males, 21 females; mean age 69.7 ± 4.8 years) with no history or clinical evidence of neurodegenerative, vascular, inflammatory, infectious, or metabolic brain disease, as well as no history of significant head trauma. The absence of pathology was additionally confirmed by neuropsychological assessment and brain MRI.
2.2. Neuropsychological Assessment
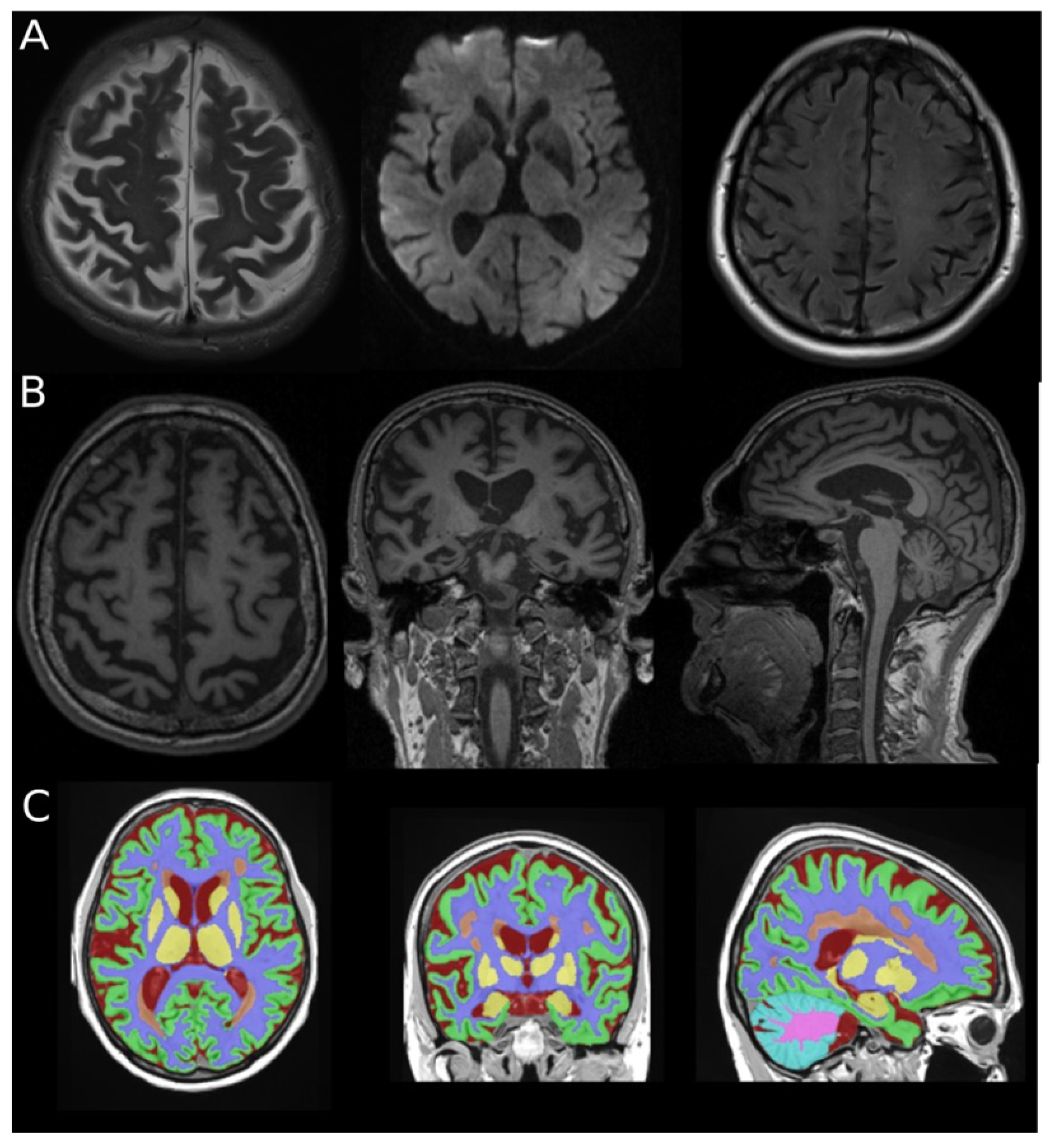
2.3. MRI Acquisition and Volumetric Analysis
2.4. Statistical Analysis
3. Results
3.1. Participant Characteristics
3.2. Frontal Lobe Volumetry
3.3. Discriminator Performance of Total Frontal Lobe Volume
4. Discussion
4.1. Clinical Implications
4.2. Methodological Strengths
4.3. Limitations
4.4. Future Directions
5. Conclusions
Supplementary Materials
Author Contributions
Funding
Institutional Review Board Statement
Informed Consent Statement
Data Availability Statement
Acknowledgments
Conflicts of Interest
Abbreviations
| 3D | three-dimensional |
| ACE-R | Addenbrooke’s Cognitive Examination Revised |
| AD | Alzheimer’s disease |
| aMCI | amnestic mild cognitive impairment |
| ANCOVA | analysis of covariance |
| ANOVA | analysis of variance |
| BDI | Beck Depression Inventory |
| BNT | Boston Naming Test |
| DICOM | Digital Imaging and Communications in Medicine |
| DWI | diffusion-weighted imaging |
| EXIT | Executive Interview |
| FLAIR | fluid-attenuated inversion recovery |
| HVOT | Hooper Visual Organization Test |
| MNI | Montreal Neurological Institute |
| MPRAGE | magnetization-prepared rapid gradient-echo |
| MRI | magnetic resonance imaging |
| NIfTI | Neuroimaging Informatics Technology Initiative |
| NIA-AA | National Institute on Aging–Alzheimer’s Association |
| NINDS-AIREN | National Institute of Neurological Disorders and Stroke–Association Internationale pour la Recherche et l’Enseignement en Neurosciences |
| NPI | Neuropsychiatric Inventory |
| RAVLT | Rey Auditory Verbal Learning Test |
| ROCFT | Rey–Osterrieth Complex Figure Test |
| SD | standard deviation |
| TE | echo time |
| TIV | total intracranial volume |
| TMT-A/TMT-B | Trail Making Test parts A and B |
| TR | repetition time |
| VaD | vascular dementia |
| WCST | Wisconsin Card Sorting Test |
| WMS-R | Wechsler Memory Scale–Revised |
References
- GBD 2019 Dementia Forecasting Collaborators. Estimation of the global prevalence of dementia in 2019 and forecasted prevalence in 2050: An analysis for the Global Burden of Disease Study 2019. Lancet Public Health 2022, 7, e105–e125. [Google Scholar] [CrossRef]
- Kalaria, R.; Maestre, G.; Mahinrad, S.; Acosta, D.M.; Akinyemi, R.O.; Alladi, S.; Allegri, R.F.; Arshad, F.; Babalola, D.O.; Baiyewu, O.; et al. The 2022 symposium on dementia and brain aging in low- and middle-income countries: Highlights on research, diagnosis, care, and impact. Alzheimer’s Dement. 2024, 20, 4290–4314. [Google Scholar] [CrossRef]
- Stephan, B.C.M.; Cochrane, L.; Kafadar, A.H.; Brain, J.; Burton, E.; Myers, B.; Brayne, C.; Naheed, A.; Anstey, K.J.; Ashor, A.W.; et al. Population attributable fractions of modifiable risk factors for dementia: A systematic review and meta-analysis. Lancet Healthy Longev. 2024, 5, e406–e421. [Google Scholar] [CrossRef]
- Schmidt, M.F.; Storrs, J.M.; Freeman, K.B.; Jack, C.R., Jr.; Turner, S.T.; Griswold, M.E.; Mosley, T.H., Jr. A comparison of manual tracing and FreeSurfer for estimating hippocampal volume over the adult lifespan. Hum. Brain Mapp. 2018, 39, 2500–2513. [Google Scholar] [CrossRef] [PubMed]
- Giorgio, A.; De Stefano, N. Clinical use of brain volumetry. J. Magn. Reson. Imaging 2013, 37, 1–14. [Google Scholar] [CrossRef]
- Schoemaker, D.; Buss, C.; Head, K.; Sandman, C.A.; Davis, E.P.; Chakravarty, M.M.; Gauthier, S.; Pruessner, J.C. Hippocampus and amygdala volumes from magnetic resonance images in children: Assessing accuracy of FreeSurfer and FSL against manual segmentation. NeuroImage 2016, 129, 1–14. [Google Scholar] [CrossRef] [PubMed]
- Goto, M.; Abe, O.; Hagiwara, A.; Fujita, S.; Kamagata, K.; Hori, M.; Aoki, S.; Osada, T.; Konishi, S.; Masutani, Y.; et al. Advantages of using both voxel- and surface-based morphometry in cortical morphology analysis: A review of various applications. Magn. Reson. Med. Sci. 2022, 21, 41–57. [Google Scholar] [CrossRef]
- Chayer, C.; Freedman, M. Frontal lobe functions. Curr. Neurol. Neurosci. Rep. 2001, 1, 547–552. [Google Scholar] [CrossRef]
- Paroni, G.; Bisceglia, P.; Seripa, D. Understanding the amyloid hypothesis in Alzheimer’s disease. J. Alzheimer’s Dis. 2019, 68, 493–510. [Google Scholar] [CrossRef] [PubMed]
- Litak, J.; Mazurek, M.; Kulesza, B.; Szmygin, P.; Kamieniak, P.; Grochowski, C. Cerebral small vessel disease. Int. J. Mol. Sci. 2020, 21, 9729. [Google Scholar] [CrossRef]
- Alzheimer’s Association. 2025 Alzheimer’s disease facts and figures. Alzheimer’s Dement. 2025, 21, e70235. [Google Scholar] [CrossRef]
- Kalaria, R.N. The pathology and pathophysiology of vascular dementia. Neuropharmacology 2018, 134, 226–239. [Google Scholar] [CrossRef] [PubMed]
- Quek, Y.E.; Fung, Y.L.; Cheung, M.W.; Vogrin, S.J.; Collins, S.J.; Bowden, S.C. Agreement between automated and manual MRI volumetry in Alzheimer’s disease: A systematic review and meta-analysis. J. Magn. Reson. Imaging 2022, 56, 490–507. [Google Scholar] [CrossRef]
- Jack, C.R., Jr.; Vemuri, P.; Wiste, H.J.; Weigand, S.D.; Aisen, P.S.; Trojanowski, J.Q.; Shaw, L.M.; Bernstein, M.A.; Petersen, R.C.; Weiner, M.W.; et al. Evidence for ordering of Alzheimer disease biomarkers. Arch. Neurol. 2011, 68, 1526–1535. [Google Scholar] [CrossRef]
- Abrigo, J.; Shi, L.; Luo, Y.; Chen, Q.; Chu, W.C.W.; Mok, V.C.T.; Alzheimer’s Disease Neuroimaging Initiative. Standardization of hippocampus volumetry using automated brain structure volumetry tool for an initial Alzheimer’s disease imaging biomarker. Acta Radiol. 2019, 60, 769–776. [Google Scholar] [CrossRef] [PubMed]
- Koikkalainen, J.R.; Rhodius-Meester, H.F.M.; Frederiksen, K.S.; Bruun, M.; Hasselbalch, S.G.; Baroni, M.; Mecocci, P.; Vanninen, R.; Remes, A.; Soininen, H.; et al. Automatically computed rating scales from MRI for patients with cognitive disorders. Eur. Radiol. 2019, 29, 4937–4947. [Google Scholar] [CrossRef]
- Mårtensson, G.; Ferreira, D.; Cavallin, L.; Muehlboeck, J.S.; Wahlund, L.O.; Wang, C.; Westman, E.; Alzheimer’s Disease Neuroimaging Initiative. AVRA: Automatic visual ratings of atrophy from MRI images using recurrent convolutional neural networks. NeuroImage Clin. 2019, 23, 101872. [Google Scholar] [CrossRef] [PubMed]
- Shi, C.; Deng, H.; Deng, X.; Rao, D.; Yue, W. The structural changes of frontal subregions and their correlations with cognitive impairment in patients with Alzheimer’s disease. J. Integr. Neurosci. 2023, 22, 99. [Google Scholar] [CrossRef]
- Jack, C.R., Jr.; Bennett, D.A.; Blennow, K.; Carrillo, M.C.; Dunn, B.; Haeberlein, S.B.; Holtzman, D.M.; Jagust, W.; Jessen, F.; Karlawish, J.; et al. NIA-AA Research Framework: Toward a biological definition of Alzheimer’s disease. Alzheimer’s Dement. 2018, 14, 535–562. [Google Scholar] [CrossRef] [PubMed]
- Román, G.C.; Tatemichi, T.K.; Erkinjuntti, T.; Cummings, J.L.; Masdeu, J.C.; Garcia, J.H.; Amaducci, L.; Orgogozo, J.M.; Brun, A.; Hofman, A. Vascular dementia: Diagnostic criteria for research studies: Report of the NINDS-AIREN International Workshop. Neurology 1993, 43, 250–260. [Google Scholar] [CrossRef] [PubMed]
- Folstein, M.F.; Folstein, S.E.; McHugh, P.R. “Mini-mental state”. A practical method for grading the cognitive state of patients for the clinician. J. Psychiatr. Res. 1975, 12, 189–198. [Google Scholar] [CrossRef]
- Mioshi, E.; Dawson, K.; Mitchell, J.; Arnold, R.; Hodges, J.R. The Addenbrooke’s Cognitive Examination Revised (ACE-R): A brief cognitive test battery for dementia screening. Int. J. Geriatr. Psychiatry 2006, 21, 1078–1085. [Google Scholar] [CrossRef]
- Kaplan, E.F.; Goodglass, H.; Weintraub, S. The Boston Naming Test, 2nd ed.; Lea & Febiger: Philadelphia, PA, USA, 1983. [Google Scholar]
- Boyd, J.L. A validity study of the Hooper Visual Organization Test. J. Consult. Clin. Psychol. 1981, 49, 15–19. [Google Scholar] [CrossRef]
- Rey, A. L’examen psychologique dans les cas d’encephalopathie traumatique (les problèmes). Arch. Psychol. 1941, 28, 215–340. [Google Scholar]
- Tombaugh, T.N. Trail Making Test A and B: Normative data stratified by age and education. Arch. Clin. Neuropsychol. 2004, 19, 203–214. [Google Scholar] [CrossRef] [PubMed]
- Monchi, O.; Petrides, M.; Petre, V.; Worsley, K.; Dagher, A. Wisconsin Card Sorting revisited: Distinct neural circuits participating in different stages of the task identified by event-related functional magnetic resonance imaging. J. Neurosci. 2001, 21, 7733–7741. [Google Scholar] [CrossRef]
- Stokholm, J.; Vogel, A.; Gade, A.; Waldemar, G. The executive interview as a screening test for executive dysfunction in patients with mild dementia. J. Am. Geriatr. Soc. 2005, 53, 1577–1581. [Google Scholar] [CrossRef] [PubMed]
- Bishop, J.; Knights, R.M.; Stoddart, C. Rey Auditory-Verbal Learning Test: Performance of English and French children aged 5 to 16. Clin. Neuropsychol. 1990, 4, 133–140. [Google Scholar] [CrossRef]
- Elwood, R.W. The Wechsler Memory Scale-Revised: Psychometric characteristics and clinical application. Neuropsychol. Rev. 1991, 2, 179–201. [Google Scholar] [CrossRef] [PubMed]
- Beck, A.T. Depression: Causes and Treatment; University of Pennsylvania Press: Philadelphia, PA, USA, 1972. [Google Scholar]
- Cummings, J.L.; Mega, M.; Gray, K.; Rosenberg-Thompson, S.; Carusi, D.A.; Gornbein, J. The Neuropsychiatric Inventory: Comprehensive assessment of psychopathology in dementia. Neurology 1994, 44, 2308–2314. [Google Scholar] [CrossRef]
- Manjón, J.V.; Coupé, P. volBrain: An online MRI brain volumetry system. Front. Neuroinform. 2016, 10, 30. [Google Scholar] [CrossRef]
- Manjón, J.V.; Romero, J.E.; Vivo-Hernando, R.; Rubio, G.; Aparici, F.; de la Iglesia-Vayá, M.; Coupé, P. vol2Brain: A new online pipeline for whole brain MRI analysis. Front. Neuroinform. 2022, 16, 862805. [Google Scholar] [CrossRef]
- Manjón, J.V.; Coupé, P.; Martí-Bonmatí, L.; Collins, D.L.; Robles, M. Adaptive non-local means denoising of MR images with spatially varying noise levels. J. Magn. Reson. Imaging 2010, 31, 192–203. [Google Scholar] [CrossRef]
- Tustison, N.J.; Avants, B.B.; Cook, P.A.; Zheng, Y.; Egan, A.; Yushkevich, P.A.; Gee, J.C. N4ITK: Improved N3 bias correction. IEEE Trans. Med. Imaging 2010, 29, 1310–1320. [Google Scholar] [CrossRef] [PubMed]
- Ashburner, J.; Friston, K.J. Unified segmentation. NeuroImage 2005, 26, 839–851. [Google Scholar] [CrossRef]
- Romero, J.E.; Manjón, J.V.; Tohka, J.; Coupé, P.; Robles, M. NABS: Non-local automatic brain hemisphere segmentation. Magn. Reson. Imaging 2015, 33, 474–484. [Google Scholar] [CrossRef]
- Lötjönen, J.M.; Wolz, R.; Koikkalainen, J.R.; Thurfjell, L.; Waldemar, G.; Soininen, H.; Rueckert, D.; Alzheimer’s Disease Neuroimaging Initiative. Fast and robust multi-atlas segmentation of brain magnetic resonance images. NeuroImage 2010, 49, 2352–2365. [Google Scholar] [CrossRef]
- Coupé, P.; Manjón, J.V.; Fonov, V.; Pruessner, J.; Robles, M.; Collins, D.L. Patch-based segmentation using expert priors: Application to hippocampus and ventricle segmentation. NeuroImage 2011, 54, 940–954. [Google Scholar] [CrossRef]
- Scheltens, P.; Blennow, K.; Breteler, M.M.; de Strooper, B.; Frisoni, G.B.; Salloway, S. Alzheimer’s disease. Lancet 2016, 388, 505–517. [Google Scholar] [CrossRef] [PubMed]
- Shiino, A.; Akiguchi, I.; Watanabe, T.; Shirakashi, Y.; Nozaki, K.; Tooyama, I. Morphometric characterization of Binswanger’s disease: Comparison with Alzheimer’s disease. Eur. J. Radiol. 2012, 81, 2375–2379. [Google Scholar] [CrossRef] [PubMed]
- Koenig, L.N.; LaMontagne, P.; Glasser, M.F.; Bateman, R.; Holtzman, D.; Yakushev, I.; Chhatwal, J.; Day, G.S.; Jack, C.; Mummery, C.; et al. Dominantly Inherited Alzheimer Network (DIAN). Regional age-related atrophy after screening for preclinical Alzheimer disease. Neurobiol. Aging 2022, 109, 43–51. [Google Scholar] [CrossRef]
- Hu, Y.; Zhu, T.; Zhang, W. The characteristics of brain atrophy prior to the onset of Alzheimer’s disease: A longitudinal study. Front. Aging Neurosci. 2024, 16, 1344920. [Google Scholar] [CrossRef]
- Chaudhary, S.; Zhornitsky, S.; Chao, H.H.; van Dyck, C.H.; Li, C.R. Cerebral volumetric correlates of apathy in Alzheimer’s disease and cognitively normal older adults: Meta-analysis, label-based review, and study of an independent cohort. J. Alzheimer’s Dis. 2022, 85, 1251–1265. [Google Scholar] [CrossRef]
- Rami, L.; Solé-Padullés, C.; Fortea, J.; Bosch, B.; Lladó, A.; Antonell, A.; Olives, J.; Castellví, M.; Bartres-Faz, D.; Sánchez-Valle, R.; et al. Applying the new research diagnostic criteria: MRI findings and neuropsychological correlations of prodromal Alzheimer’s disease. Int. J. Geriatr. Psychiatry 2012, 27, 127–134. [Google Scholar] [CrossRef]
- Möller, C.; Vrenken, H.; Jiskoot, L.; Versteeg, A.; Barkhof, F.; Scheltens, P.; van der Flier, W.M. Different patterns of gray matter atrophy in early- and late-onset Alzheimer’s disease. Neurobiol. Aging 2013, 34, 2014–2022. [Google Scholar] [CrossRef]
- Lv, L.; Guo, H.; Zhao, Z.; Zhao, X. Structural and microstructural changes in white and gray matter across the Alzheimer’s disease continuum. Front. Aging Neurosci. 2025, 17, 1693840. [Google Scholar] [CrossRef] [PubMed]
- Vasconcelos, L.G.; Jackowski, A.P.; Oliveira, M.O.; Flor, Y.M.; Bueno, O.F.; Brucki, S.M. Voxel-based morphometry findings in Alzheimer’s disease: Neuropsychiatric symptoms and disability correlations—Preliminary results. Clinics 2011, 66, 1045–1050. [Google Scholar] [CrossRef]
- Zhang, Y.; Dong, Z.; Phillips, P.; Wang, S.; Ji, G.; Yang, J.; Yuan, T.F. Detection of subjects and brain regions related to Alzheimer’s disease using 3D MRI scans based on eigenbrain and machine learning. Front. Comput. Neurosci. 2015, 9, 66. [Google Scholar] [CrossRef] [PubMed]
- Rami, L.; Gómez-Anson, B.; Monte, G.C.; Bosch, B.; Sánchez-Valle, R.; Molinuevo, J.L. Voxel-based morphometry features and follow-up of amnestic patients at high risk for Alzheimer’s disease conversion. Int. J. Geriatr. Psychiatry 2009, 24, 875–884. [Google Scholar] [CrossRef] [PubMed]
- Driscoll, I.; Davatzikos, C.; An, Y.; Wu, X.; Shen, D.; Kraut, M.; Resnick, S.M. Longitudinal pattern of regional brain volume change differentiates normal aging from mild cognitive impairment. Neurology 2009, 72, 1906–1913. [Google Scholar] [CrossRef]
- Kwon, C.; Kang, K.M.; Byun, M.S.; Yi, D.; Song, H.; Lee, J.Y.; Hwang, I.; Yoo, R.E.; Yun, T.J.; Choi, S.H.; et al. Assessment of mild cognitive impairment in elderly subjects using a fully automated brain segmentation software. Investig. Magn. Reson. Imaging 2021, 25, 164–172. [Google Scholar] [CrossRef]
- Li, Q.; Wang, J.; Liu, J.; Wang, Y.; Li, K. Magnetic resonance imaging measurement of entorhinal cortex in the diagnosis and differential diagnosis of mild cognitive impairment and Alzheimer’s disease. Brain Sci. 2021, 11, 1129. [Google Scholar] [CrossRef]
- Han, Y.; Lui, S.; Kuang, W.; Lang, Q.; Zou, L.; Jia, J. Anatomical and functional deficits in patients with amnestic mild cognitive impairment. PLoS ONE 2012, 7, e28664. [Google Scholar] [CrossRef]
- Zhao, H.; Li, X.; Wu, W.; Li, Z.; Qian, L.; Li, S.; Zhang, B.; Xu, Y. Atrophic patterns of the frontal-subcortical circuits in patients with mild cognitive impairment and Alzheimer’s disease. PLoS ONE 2015, 10, e0130017. [Google Scholar] [CrossRef] [PubMed]
- Caruso, P.; Signori, R.; Moretti, R. Small vessel disease to subcortical dementia: A dynamic model interfacing aging, cholinergic dysregulation, and the neurovascular unit. Vasc. Health Risk Manag. 2019, 15, 259–281. [Google Scholar] [CrossRef]
- Wardlaw, J.M.; Smith, E.E.; Biessels, G.J.; Cordonnier, C.; Fazekas, F.; Frayne, R.; Lindley, R.I.; O’Brien, J.T.; Barkhof, F.; Benavente, O.R.; et al. STRIVE v1. Neuroimaging standards for research into small vessel disease and its contribution to ageing and neurodegeneration. Lancet Neurol. 2013, 12, 822–838. [Google Scholar] [CrossRef] [PubMed]
- Seo, S.W.; Ahn, J.; Yoon, U.; Im, K.; Lee, J.M.; Kim, S.T.; Ahn, H.J.; Chin, J.; Jeong, Y.; Na, D.L. Cortical thinning in vascular mild cognitive impairment and vascular dementia of subcortical type. J. Neuroimaging 2010, 20, 37–45. [Google Scholar] [CrossRef] [PubMed]
- Kang, S.H.; Park, Y.H.; Kim, J.P.; Kim, J.S.; Kim, C.H.; Jang, H.; Kim, H.J.; Koh, S.B.; Na, D.L.; Chin, J.; et al. Cortical neuroanatomical changes related to specific neuropsychological deficits in subcortical vascular cognitive impairment. NeuroImage Clin. 2021, 30, 102685. [Google Scholar] [CrossRef]


| Group | AD | VaD | aMCI | Control | p-Value |
|---|---|---|---|---|---|
| Number of subjects | 30 | 30 | 30 | 30 | |
| Age (mean ± SD) | 73.31 ± 6.03 | 68.13 ± 6.96 | 69.30 ± 6.97 | 69.73 ± 4.83 | 0.017 |
| Sex (M/F) | 8/22 | 12/18 | 7/23 | 9/21 | 0.528 |
| STRUCTURE | Group | x | SD | Estimated x | SE | 95% CI | F(3,114) | p | η2 | |
|---|---|---|---|---|---|---|---|---|---|---|
| Lower | Upper | |||||||||
| Frontal lobe | AD | 11.22 | 0.92 | 11.287 | 0.132 | 11.026 | 11.548 | 5.387 | 0.002 | 0.124 |
| VaD | 11.76 | 0.61 | 11.730 | 0.130 | 11.472 | 11.988 | ||||
| aMCI | 11.92 | 0.73 | 11.900 | 0.128 | 11.646 | 12.154 | ||||
| Control | 11.97 | 0.50 | 11.962 | 0.128 | 11.709 | 12.215 | ||||
| Frontal pole | AD | 0.436 | 0.056 | 0.441 | 0.010 | 0.422 | 0.461 | 1.029 | 0.382 | 0.026 |
| VaD | 0.461 | 0.055 | 0.457 | 0.010 | 0.438 | 0.477 | ||||
| aMCI | 0.467 | 0.056 | 0.465 | 0.010 | 0.446 | 0.485 | ||||
| Control | 0.451 | 0.049 | 0.450 | 0.010 | 0.431 | 0.470 | ||||
| Gyrus rectus | AD | 0.237 | 0.026 | 0.240 | 0.005 | 0.230 | 0.250 | 2.418 | 0.070 | 0.060 |
| VaD | 0.249 | 0.028 | 0.248 | 0.005 | 0.237 | 0.258 | ||||
| aMCI | 0.260 | 0.030 | 0.260 | 0.005 | 0.249 | 0.270 | ||||
| Control | 0.250 | 0.028 | 0.250 | 0.005 | 0.240 | 0.260 | ||||
| Opercular part of the inferior frontal gyrus | AD | 0.397 | 0.078 | 0.401 | 0.012 | 0.377 | 0.425 | 3.668 | 0.014 | 0.088 |
| VaD | 0.392 | 0.051 | 0.389 | 0.012 | 0.365 | 0.413 | ||||
| aMCI | 0.441 | 0.065 | 0.441 | 0.012 | 0.418 | 0.465 | ||||
| Control | 0.420 | 0.063 | 0.420 | 0.012 | 0.396 | 0.443 | ||||
| Orbital part of the inferior frontal gyrus | AD | 0.167 | 0.038 | 0.167 | 0.008 | 0.151 | 0.183 | 0.636 | 0.593 | 0.016 |
| VaD | 0.177 | 0.045 | 0.177 | 0.008 | 0.161 | 0.193 | ||||
| aMCI | 0.183 | 0.035 | 0.182 | 0.008 | 0.167 | 0.198 | ||||
| Control | 0.176 | 0.049 | 0.176 | 0.008 | 0.161 | 0.192 | ||||
| Triangular part of the inferior frontal gyrus | AD | 0.418 | 0.063 | 0.422 | 0.009 | 0.403 | 0.440 | 0.454 | 0.715 | 0.012 |
| VaD | 0.418 | 0.042 | 0.416 | 0.009 | 0.397 | 0.434 | ||||
| aMCI | 0.422 | 0.052 | 0.420 | 0.009 | 0.402 | 0.438 | ||||
| Control | 0.432 | 0.044 | 0.431 | 0.009 | 0.412 | 0.449 | ||||
| Middle frontal gyrus | AD | 2.379 | 0.257 | 2.404 | 0.042 | 2.424 | 2.588 | 4.361 | 0.006 | 0.103 |
| VaD | 2.520 | 0.230 | 2.506 | 0.042 | 2.321 | 2.487 | ||||
| aMCI | 2.578 | 0.236 | 2.569 | 0.041 | 2.488 | 2.650 | ||||
| Control | 2.603 | 0.182 | 2.601 | 0.041 | 2.520 | 2.682 | ||||
| Superior frontal gyrus | AD | 1.837 | 0.216 | 1.838 | 0.033 | 1.772 | 1.904 | 2.960 | 0.035 | 0.072 |
| VaD | 1.951 | 0.135 | 1.953 | 0.033 | 1.888 | 2.018 | ||||
| aMCI | 1.968 | 0.173 | 1.965 | 0.032 | 1.901 | 2.029 | ||||
| Control | 1.925 | 0.166 | 1.925 | 0.032 | 1.862 | 1.989 | ||||
| Anterior orbital gyrus | AD | 0.250 | 0.038 | 0.251 | 0.006 | 0.253 | 0.279 | 3.409 | 0.020 | 0.082 |
| VaD | 0.267 | 0.029 | 0.266 | 0.006 | 0.238 | 0.264 | ||||
| aMCI | 0.279 | 0.039 | 0.279 | 0.006 | 0.266 | 0.291 | ||||
| Control | 0.273 | 0.031 | 0.273 | 0.006 | 0.261 | 0.286 | ||||
| Posterior orbital gyrus | AD | 0.367 | 0.052 | 0.368 | 0.009 | 0.350 | 0.387 | 3.931 | 0.010 | 0.094 |
| VaD | 0.392 | 0.048 | 0.391 | 0.009 | 0.372 | 0.409 | ||||
| aMCI | 0.391 | 0.040 | 0.391 | 0.009 | 0.373 | 0.410 | ||||
| Control | 0.414 | 0.057 | 0.414 | 0.009 | 0.395 | 0.432 | ||||
| Lateral orbital gyrus | AD | 0.264 | 0.057 | 0.268 | 0.009 | 0.250 | 0.287 | 1.954 | 0.125 | 0.049 |
| VaD | 0.252 | 0.054 | 0.250 | 0.009 | 0.232 | 0.268 | ||||
| aMCI | 0.276 | 0.037 | 0.275 | 0.009 | 0.257 | 0.293 | ||||
| Control | 0.278 | 0.046 | 0.278 | 0.009 | 0.260 | 0.296 | ||||
| Medial orbital gyrus | AD | 0.560 | 0.057 | 0.562 | 0.009 | 0.544 | 0.581 | 0.618 | 0.605 | 0.016 |
| VaD | 0.577 | 0.036 | 0.576 | 0.009 | 0.558 | 0.594 | ||||
| aMCI | 0.576 | 0.049 | 0.575 | 0.009 | 0.558 | 0.593 | ||||
| Control | 0.573 | 0.049 | 0.579 | 0.009 | 0.561 | 0.597 | ||||
| Precentral gyrus | AD | 1.685 | 0.180 | 1.688 | 0.028 | 1.631 | 1.745 | 3.061 | 0.031 | 0.075 |
| VaD | 1.766 | 0.149 | 1.767 | 0.029 | 1.711 | 1.823 | ||||
| aMCI | 1.753 | 0.138 | 1.750 | 0.028 | 1.695 | 1.805 | ||||
| Control | 1.808 | 0.135 | 1.808 | 0.028 | 1.753 | 1.753 | ||||
| Subcallosal area | AD | 0.189 | 0.029 | 0.188 | 0.005 | 0.178 | 0.198 | 1.447 | 0.233 | 0.037 |
| VaD | 0.201 | 0.019 | 0.201 | 0.005 | 0.191 | 0.211 | ||||
| aMCI | 0.199 | 0.031 | 0.200 | 0.005 | 0.191 | 0.210 | ||||
| Control | 0.193 | 0.027 | 0.193 | 0.005 | 0.184 | 0.203 | ||||
| Precentral gyrus medial segment | AD | 0.384 | 0.043 | 0.387 | 0.008 | 0.371 | 0.403 | 1.707 | 0.170 | 0.043 |
| VaD | 0.399 | 0.050 | 0.397 | 0.008 | 0.381 | 0.413 | ||||
| aMCI | 0.379 | 0.040 | 0.379 | 0.008 | 0.363 | 0.395 | ||||
| Control | 0.402 | 0.040 | 0.402 | 0.008 | 0.386 | 0.418 | ||||
| Superior frontal gyrus medial segment | AD | 0.782 | 0.099 | 0.787 | 0.017 | 0.753 | 0.820 | 2.447 | 0.067 | 0.060 |
| VaD | 0.819 | 0.099 | 0.816 | 0.017 | 0.783 | 0.850 | ||||
| aMCI | 0.842 | 0.083 | 0.840 | 0.017 | 0.807 | 0.873 | ||||
| Control | 0.844 | 0.077 | 0.844 | 0.016 | 0.811 | 0.876 | ||||
| Supplementary motor cortex | AD | 0.678 | 0.064 | 0.682 | 0.013 | 0.656 | 0.708 | 1.382 | 0.252 | 0.035 |
| VaD | 0.723 | 0.073 | 0.719 | 0.013 | 0.693 | 0.745 | ||||
| aMCI | 0.710 | 0.074 | 0.708 | 0.013 | 0.682 | 0.733 | ||||
| Control | 0.702 | 0.071 | 0.701 | 0.013 | 0.676 | 0.726 | ||||
| Comparison | AUC | 95% CI | p-Value |
|---|---|---|---|
| AD vs. control | 0.773 | 0.653–0.892 | <0.001 |
| AD vs. VaD | 0.677 | 0.539–0.814 | 0.019 |
Disclaimer/Publisher’s Note: The statements, opinions and data contained in all publications are solely those of the individual author(s) and contributor(s) and not of MDPI and/or the editor(s). MDPI and/or the editor(s) disclaim responsibility for any injury to people or property resulting from any ideas, methods, instructions or products referred to in the content. |
© 2026 by the authors. Licensee MDPI, Basel, Switzerland. This article is an open access article distributed under the terms and conditions of the Creative Commons Attribution (CC BY) license.
Share and Cite
Stojanoski, S.; Karher, K.; Kozić, D.; Babović, S.S.; Vuković, M.; Koprivšek, K. Frontal Lobe and Subregional Volumetric Alterations Across Alzheimer’s Disease, Amnestic Mild Cognitive Impairment, and Vascular Dementia: An MRI Volumetry Study. Brain Sci. 2026, 16, 317. https://doi.org/10.3390/brainsci16030317
Stojanoski S, Karher K, Kozić D, Babović SS, Vuković M, Koprivšek K. Frontal Lobe and Subregional Volumetric Alterations Across Alzheimer’s Disease, Amnestic Mild Cognitive Impairment, and Vascular Dementia: An MRI Volumetry Study. Brain Sciences. 2026; 16(3):317. https://doi.org/10.3390/brainsci16030317
Chicago/Turabian StyleStojanoski, Stefan, Katarina Karher, Duško Kozić, Siniša S. Babović, Miloš Vuković, and Katarina Koprivšek. 2026. "Frontal Lobe and Subregional Volumetric Alterations Across Alzheimer’s Disease, Amnestic Mild Cognitive Impairment, and Vascular Dementia: An MRI Volumetry Study" Brain Sciences 16, no. 3: 317. https://doi.org/10.3390/brainsci16030317
APA StyleStojanoski, S., Karher, K., Kozić, D., Babović, S. S., Vuković, M., & Koprivšek, K. (2026). Frontal Lobe and Subregional Volumetric Alterations Across Alzheimer’s Disease, Amnestic Mild Cognitive Impairment, and Vascular Dementia: An MRI Volumetry Study. Brain Sciences, 16(3), 317. https://doi.org/10.3390/brainsci16030317

