Adult-Onset Diffuse Midline Glioma, H3K27-Altered: A Genomics-Guided, Individualized, Multimodal Treatment Approach
Abstract
1. Introduction
2. Case Presentation
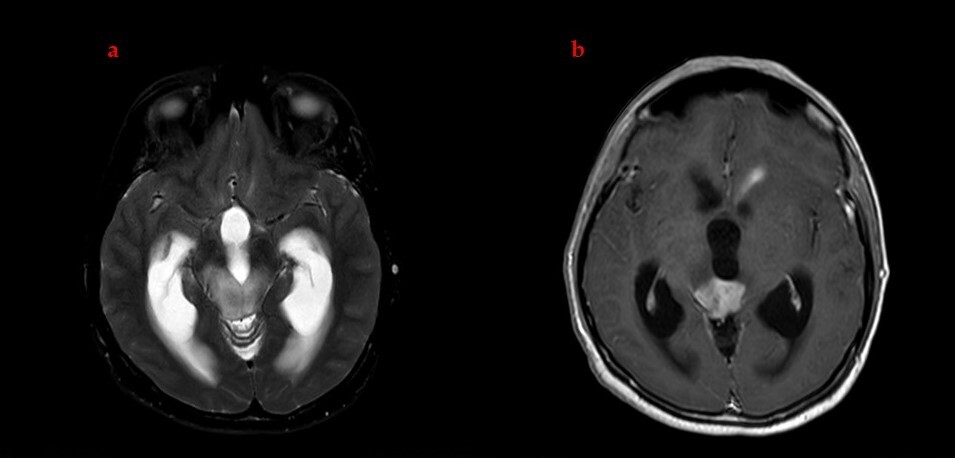
2.1. Clinical Presentation and Diagnosis
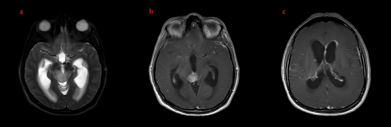
2.2. Definitive Chemoradiotherapy
2.3. Post-Treatment Complications
2.4. Individualized Multimodal Treatment Strategy
- Dordaviprone (ONC201): 625 mg orally once weekly (FDA-approved for H3K27M-mutant DMG).
- 2-Deoxy-D-glucose (2-DDG): 500 mg orally on alternating days as a metabolic inhibitor.
- Dual pathway inhibition on alternating days:
- -
- Trametinib 2 mg orally (MEK inhibitor targeting the RAS/MAPK pathway).
- -
- Everolimus 5 mg orally (mTOR inhibitor targeting the PI3K/AKT/mTOR pathway).
- 4.
- Electro Capacitive Cancer Therapy (ECCT): Non-invasive electric field-based therapy delivered via capacitively coupled electrodes, worn 18–20 h daily according to a standardized protocol.
2.5. Adverse Events and Management
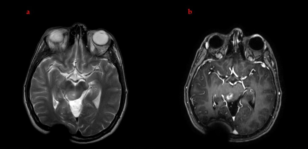
2.6. Treatment Response and Clinical Outcome
3. Discussion
3.1. Molecular Pathogenesis and Therapeutic Implications
3.2. Reconsidering Conventional Treatment Paradigms
3.3. Electric Field-Based Therapy
3.4. Dordaviprone and Metabolic Targeting
3.5. Precision Medicine and Molecularly Guided Pathway Targeting
3.6. Emerging Paradigms: Functional Precision Medicine
3.7. Real-World Evidence
3.8. Multimodal Combination Strategies
3.9. Clinical Response and Implications
3.10. Limitations and Future Directions
4. Conclusions
Supplementary Materials
Author Contributions
Funding
Institutional Review Board Statement
Informed Consent Statement
Data Availability Statement
Acknowledgments
Conflicts of Interest
Abbreviations
| 2-DDG | 2-Deoxy-D-glucose |
| ACMG | American College of Medical Genetics and Genomics |
| AMP | Association for Molecular Pathology |
| ATP | Adenosine triphosphate |
| ATRX | Alpha-thalassemia X-linked intellectual disability syndrome |
| CBC | Complete blood count |
| CNS | Central nervous system |
| CIViC | Clinical Interpretation of Variants in Cancer |
| CTCAE | Common Terminology Criteria for Adverse Events |
| DIPG | Diffuse Intrinsic Pontine Glioma |
| DMG | Diffuse Midline Glioma |
| DST | Drug Sensitivity Testing |
| ECC | Electro-Capacitive Cancer Therapy |
| EMA | Epithelial Membrane Antigen |
| ETV | Endoscopic Third Ventriculostomy |
| FDA | Food and Drug Administration (United States) |
| FPM | Functional Precision Medicine |
| GFAP | Glial Fibrillary Acidic Protein |
| Gy | Gray (unit of radiation dose) |
| H3F3A | H3 Histone Family Member 3A |
| H3K27M | Histone H3 Lysine 27 to Methionine |
| H3K27me3 | Histone H3 Lysine 27 Trimethylation |
| IDH | Isocitrate Dehydrogenase |
| IHC | Immunohistochemistry |
| KPS | Karnofsky Performance Score |
| MEK | Mitogen-Activated Protein Kinase Kinase |
| MGMT | O6-Methylguanine-DNA Methyltransferase |
| MRI | Magnetic Resonance Imaging |
| mTOR | Mammalian Target of Rapamycin |
| NeuN | Neuronal Nuclei |
| NF1 | Neurofibromin 1 |
| NGS | Next-Generation Sequencing |
| OncoKB | Oncology Knowledge Base |
| OLIG-2 | Oligodendrocyte transcription factor 2 |
| ONC201 | Dordaviprone (imipridone-201) |
| PHH3 | Phospho-Histone H3 |
| PI3K/AKT/mTOR | Phosphoinositide 3-Kinase/Protein Kinase B/Mammalian Target of Rapamycin |
| p-mTOR | Phosphorylated Mammalian Target of Rapamycin |
| RAS/MAPK | Rat Sarcoma/Mitogen-Activated Protein Kinase |
| TRAIL | TNF-Related Apoptosis-Inducing Ligand |
| TTFields | Tumor Treating Fields |
| VAF | Variant Allele Frequency |
| WHO | World Health Organization |
References
- Louis, D.N.; Perry, A.; Wesseling, P.; Brat, D.J.; Cree, I.A.; Figarella-Branger, D.; Hawkins, C.; Ng, H.K.; Pfister, S.M.; Reifenberger, G.; et al. The 2021 WHO classification of tumors of the central nervous system: A summary. Neuro-Oncology 2021, 23, 1231–1251. [Google Scholar] [PubMed]
- Broggi, G.; Salzano, S.; Failla, M.; Barbagallo, G.M.V.; Certo, F.; Zanelli, M.; Palicelli, A.; Zizzo, M.; Koufopoulos, N.; Magro, G.; et al. Clinico–Pathological Features of Diffuse Midline Glioma, H3 K27-Altered in Adults: A Comprehensive Review of the Literature with an Additional Single-Institution Case Series. Diagnostics 2024, 14, 2617. [Google Scholar] [CrossRef] [PubMed]
- Bin-Alamer, O.; Jimenez, A.E.; Azad, T.D.; Bettegowda, C.; Mukherjee, D. H3K27M-altered diffuse midline gliomas among adult patients: A systematic review of clinical features and survival analysis. World Neurosurg. 2022, 165, e251–e264. [Google Scholar] [CrossRef]
- Schwartzentruber, J.; Korshunov, A.; Liu, X.-Y.; Jones, D.T.W.; Pfaff, E.; Jacob, K.; Sturm, D.; Fontebasso, A.M.; Khuong-Quang, D.-A.; Tönjes, M.; et al. Driver mutations in histone H3.3 and chromatin remodelling genes in paediatric glioblastoma. Nature 2012, 482, 226–231. [Google Scholar] [CrossRef]
- Stegat, L.; Eckhardt, A.; Gocke, A.; Neyazi, S.; Pohl, L.; Schmid, S.; Dottermusch, M.; Frank, S.; Pinnschmidt, H.; Herms, J.; et al. Integrated analyses reveal two molecularly and clinically distinct subtypes of H3 K27M-mutant diffuse midline gliomas with prognostic significance. Acta Neuropathol. 2024, 148, 40. [Google Scholar] [CrossRef] [PubMed]
- Mao, M.; Wu, Y.; He, Q. Recent advances in targeted drug delivery for the treatment of glioblastoma. Nanoscale 2024, 16, 8689–8707. [Google Scholar] [CrossRef]
- Oberoi, R.K.; Parrish, K.E.; Sio, T.T.; Mittapalli, R.K.; Elmquist, W.F.; Sarkaria, J.N. Strategies to improve delivery of anticancer drugs across the blood–brain barrier to treat glioblastoma. Neuro-Oncology 2015, 18, 27–36. [Google Scholar] [CrossRef]
- Ryba, A.; Özdemir, Z.; Nissimov, N.; Hönikl, L.; Neidert, N.; Jakobs, M.; Kalasauskas, D.; Krigers, A.; Thomé, C.; Freyschlag, C.F.; et al. Insights from a multicenter study on adult H3 K27M-mutated glioma: Surgical resection’s limited influence on overall survival, ATRX as molecular prognosticator. Neuro-Oncology 2024, 26, 1479–1493. [Google Scholar] [CrossRef]
- Akdemir, E.Y.; Odia, Y.; Hall, M.D.; Mehta, M.P.; Kotecha, R. An update on H3K27M-altered diffuse midline glioma: Diagnostic and therapeutic challenges in clinical practice. Pract. Radiat. Oncol. 2024, 14, 443–451. [Google Scholar] [CrossRef]
- Pratiwi, R.; Antara, N.Y.; Fadliansyah, L.G.; Ardiansyah, S.A.; Nurhidayat, L.; Sholikhah, E.N.; Sunarti, S.; Widyarini, S.; Fadhlurrahman, A.G.; Fatmasari, H.; et al. CCL2 and IL18 expressions may associate with the anti-proliferative effect of noncontact electro capacitive cancer therapy in vivo. F1000Research 2020, 8, 1770. [Google Scholar] [CrossRef]
- Sun, M.; Zheng, J.; Gong, L.; Li, Z.; Wang, L. Personalized combination therapy for diffuse midline glioma: A case report. Oncol. Lett. 2025, 29, 234. [Google Scholar] [CrossRef]
- Blair, H.A. Dordaviprone: First Approval. Drugs 2026, 86, 101–109. [Google Scholar] [CrossRef]
- Venneti, S.; Kawakibi, A.R.; Ji, S.; Waszak, S.M.; Sweha, S.R.; Mota, M.; Pun, M.; Deogharkar, A.; Chung, C.; Tarapore, R.S.; et al. Clinical efficacy of ONC201 in H3K27M-mutant diffuse midline gliomas is driven by disruption of integrated metabolic and epigenetic pathways. Cancer Discov. 2023, 13, 2370–2393. [Google Scholar] [CrossRef] [PubMed]
- Kline, C.L.B.; Heuvel, A.P.J.V.D.; Allen, J.E.; Prabhu, V.V.; Dicker, D.T.; El-Deiry, W.S. ONC201 kills solid tumor cells by triggering an integrated stress response dependent on ATF4 activation by specific eIF2α kinases. Sci. Signal. 2016, 9, ra18. [Google Scholar] [CrossRef]
- Nonnenbroich, L.F.; Bouchal, S.M.; Millesi, E.; Rechberger, J.S.; Khatua, S.; Daniels, D.J. H3K27-Altered Diffuse Midline Glioma of the Brainstem: From Molecular Mechanisms to Targeted Interventions. Cells 2024, 13, 1122. [Google Scholar] [CrossRef]
- Ralser, M.; Wamelink, M.M.; Struys, E.A.; Joppich, C.; Krobitsch, S.; Jakobs, C.; Lehrach, H. A catabolic block does not sufficiently explain how 2-deoxy-D-glucose inhibits cell growth. Proc. Natl. Acad. Sci. USA 2008, 105, 17807–17811. [Google Scholar] [CrossRef]
- Cheng, G.; Zielonka, J.; Dranka, B.P.; McAllister, D.; Mackinnon, A.C., Jr.; Joseph, J.; Kalyanaraman, B. Mitochondria-targeted drugs synergize with 2-deoxyglucose to trigger breast cancer cell death. Cancer Res. 2012, 72, 2634–2644. [Google Scholar] [CrossRef] [PubMed]
- Kurtoglu, M.; Gao, N.; Shang, J.; Maher, J.C.; Lehrman, M.A.; Wangpaichitr, M.; Savaraj, N.; Lane, A.N.; Lampidis, T.J. Under normoxia, 2-deoxy-D-glucose elicits cell death in select tumor types not by inhibition of glycolysis but by interfering with N-linked glycosylation. Mol. Cancer Ther. 2007, 6, 3049–3058. [Google Scholar] [CrossRef] [PubMed]
- Defenouillère, Q.; Verraes, A.; Laussel, C.; Friedrich, A.; Schacherer, J.; Léon, S. The induction of HAD-like phosphatases by multiple signaling pathways confers resistance to the metabolic inhibitor 2-deoxyglucose. Sci. Signal. 2019, 12, eaaw8000. [Google Scholar] [CrossRef]
- Pathak, S.O.; Manohar, S.M. ONC201 (Dordaviprone) Induces Integrated Stress Response and Death in Cervical Cancer Cells. Biomolecules 2025, 15, 463. [Google Scholar] [CrossRef]
- Ullrich, N.J.; Prabhu, S.P.; Reddy, A.T.; Fisher, M.J.; Packer, R.; Goldman, S.; Robison, N.J.; Gutmann, D.H.; Viskochil, D.H.; Allen, J.C.; et al. A phase II study of continuous oral mTOR inhibitor everolimus for recurrent, radiographic-progressive neurofibromatosis type 1–associated pediatric low-grade glioma: A Neurofibromatosis Clinical Trials Consortium study. Neuro-Oncology 2020, 22, 1527–1535. [Google Scholar] [CrossRef] [PubMed]
- Hanzlik, E.; Archambault, B.; El-Dairi, M.; Schroeder, K.; Patel, M.P.; Lipp, E.S.; Peters, K.B.; Ashley, D.M.; Landi, D. Use of trametinib in children and young adults with progressive low-grade glioma and glioneuronal tumors. J. Pediatr. Hematol./Oncol. 2023, 45, e464–e470. [Google Scholar] [CrossRef]
- Li, S.; Wang, C.; Chen, J.; Lan, Y.; Zhang, W.; Kang, Z.; Zheng, Y.; Zhang, R.; Yu, J.; Li, W. Signaling pathways in brain tumors and therapeutic interventions. Signal Transduct. Target. Ther. 2023, 8, 8. [Google Scholar] [CrossRef]
- Di Nunno, V.; Lombardi, G.; Simonelli, M.; Minniti, G.; Mastronuzzi, A.; Di Ruscio, V.; Corrà, M.; Padovan, M.; Maccari, M.; Caccese, M.; et al. The role of adjuvant chemotherapy in patients with H3K27 altered diffuse midline gliomas: A multicentric retrospective study. J. Neuro-Oncol. 2024, 167, 145–154. [Google Scholar] [CrossRef]
- Sheikh, S.R.; Recinos, V.M.R.; Thompson, E.M.; Mangum, R.; Wright-Nadkarni, M.; Gampel, B.; Patel, N.J. The role of brainstem biopsy and targeted therapies in pediatric diffuse midline glioma/diffuse intrinsic pontine glioma. Front. Oncol. 2024, 14, 1504440. [Google Scholar] [CrossRef]
- Tan, P.K.; Martins, T.J.; Becker, P.S.; Wechsler-Reya, R.J.; Crawford, J.R. Case Report: Application of ex-vivo drug sensitivity testing to identify personalized treatment options for an adolescent with diffuse midline glioma. Front. Oncol. 2025, 15, 1606575. [Google Scholar] [CrossRef] [PubMed]
- Pfaff, E.; Kessler, T.; Balasubramanian, G.P.; Berberich, A.; Schrimpf, D.; Wick, A.; Debus, J.; Unterberg, A.; Bendszus, M.; Herold-Mende, C.; et al. Feasibility of real-time molecular profiling for patients with newly diagnosed glioblastoma without MGMT promoter hypermethylation—The NCT Neuro Master Match (N2M2) pilot study. Neuro-Oncology 2017, 20, 826–837. [Google Scholar] [CrossRef]
- Bentayebi, K.; Suwan, K.; Ibrahimi, A.; Sara, L.; Ouadghiri, M.; Aanniz, T.; Amzazi, S.; Belyamani, L.; Hajitou, A.; Eljaoudi, R. Preclinical evaluation of panobinostat and ONC201 for the treatment of diffuse intrinsic pontine glioma (DIPG). Brain Disord. 2024, 13, 100113. [Google Scholar] [CrossRef]
- Greco, M.C.L.; Marano, G.; La Rocca, M.; Acquaviva, G.; Milazzotto, R.; Liardo, R.L.E.; Basile, A.; Foti, P.V.; Palmucci, S.; David, E.; et al. Latest advancements in the management of H3K27M-mutant diffuse intrinsic pontine glioma: A narrative review. Cancers 2025, 17, 420. [Google Scholar] [CrossRef]





Disclaimer/Publisher’s Note: The statements, opinions and data contained in all publications are solely those of the individual author(s) and contributor(s) and not of MDPI and/or the editor(s). MDPI and/or the editor(s) disclaim responsibility for any injury to people or property resulting from any ideas, methods, instructions or products referred to in the content. |
© 2026 by the authors. Licensee MDPI, Basel, Switzerland. This article is an open access article distributed under the terms and conditions of the Creative Commons Attribution (CC BY) license.
Share and Cite
Çelebi, A.; Yıldırım, B.; Yıldırım, E.; Işık, S.; Çoban, E.; Bıyıklı, E.; Köstek, O.; Bayoğlu, İ.V.; Sarı, M. Adult-Onset Diffuse Midline Glioma, H3K27-Altered: A Genomics-Guided, Individualized, Multimodal Treatment Approach. Brain Sci. 2026, 16, 97. https://doi.org/10.3390/brainsci16010097
Çelebi A, Yıldırım B, Yıldırım E, Işık S, Çoban E, Bıyıklı E, Köstek O, Bayoğlu İV, Sarı M. Adult-Onset Diffuse Midline Glioma, H3K27-Altered: A Genomics-Guided, Individualized, Multimodal Treatment Approach. Brain Sciences. 2026; 16(1):97. https://doi.org/10.3390/brainsci16010097
Chicago/Turabian StyleÇelebi, Abdussamet, Bilal Yıldırım, Emine Yıldırım, Selver Işık, Ezgi Çoban, Erhan Bıyıklı, Osman Köstek, İbrahim Vedat Bayoğlu, and Murat Sarı. 2026. "Adult-Onset Diffuse Midline Glioma, H3K27-Altered: A Genomics-Guided, Individualized, Multimodal Treatment Approach" Brain Sciences 16, no. 1: 97. https://doi.org/10.3390/brainsci16010097
APA StyleÇelebi, A., Yıldırım, B., Yıldırım, E., Işık, S., Çoban, E., Bıyıklı, E., Köstek, O., Bayoğlu, İ. V., & Sarı, M. (2026). Adult-Onset Diffuse Midline Glioma, H3K27-Altered: A Genomics-Guided, Individualized, Multimodal Treatment Approach. Brain Sciences, 16(1), 97. https://doi.org/10.3390/brainsci16010097

