Cortical Thickness of the Orbitofrontal Cortex in Patients with Alcohol Use Disorder
Abstract
1. Introduction
2. Methods
2.1. Subjects
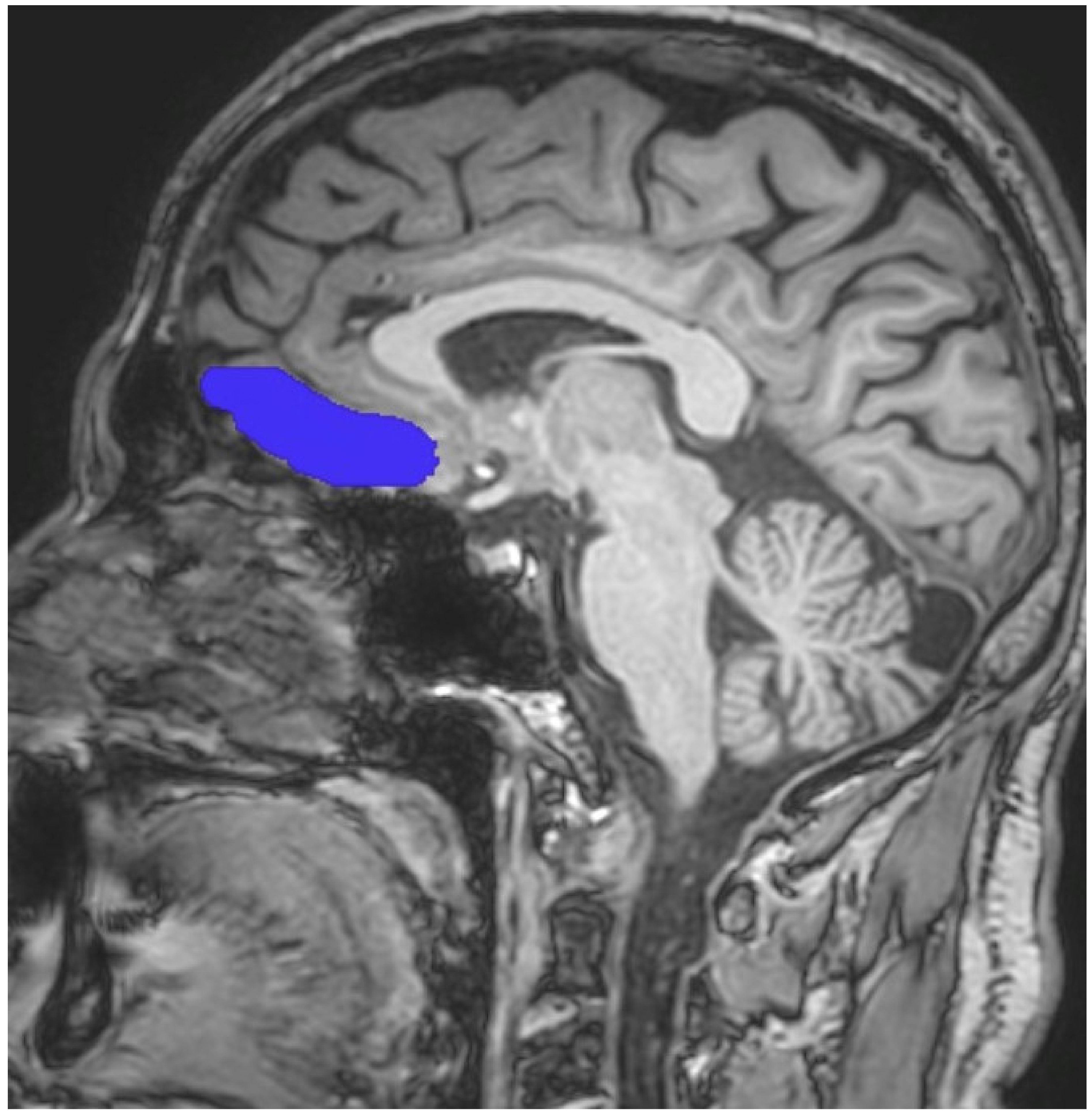
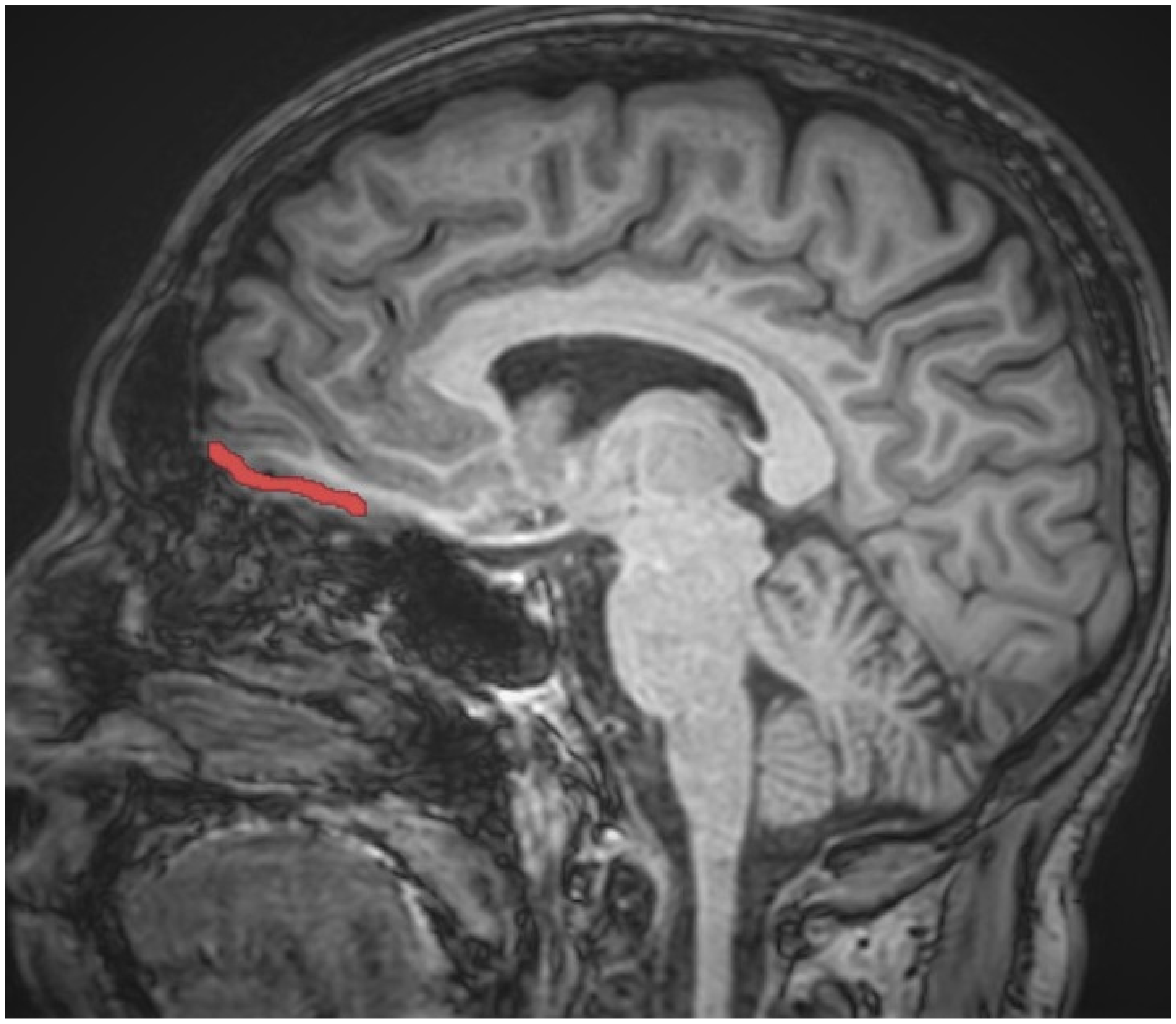
2.2. Magnetic Resonance Imaging (MRI) Procedure
2.3. Statistical Analysis
3. Results
4. Discussion
Author Contributions
Funding
Institutional Review Board Statement
Informed Consent Statement
Data Availability Statement
Acknowledgments
Conflicts of Interest
References
- APA. Diagnostic and Statistical Manual of Mental Disorders: DSM-5, 5th ed.; American Psychiatric Publishing: Washington, DC, USA, 2013. [Google Scholar]
- Rehm, J.; Anderson, P.; Barry, J.; Dimitrov, P.; Elekes, Z.; Feijão, F.; Frick, U.; Gual, A.; Gmel, G., Jr.; Kraus, L. Prevalence of and Potential Influencing Factors for Alcohol Dependence in Europe. Eur. Addict. Res. 2015, 21, 6–18. [Google Scholar] [CrossRef]
- Grant, B.F.; Goldstein, R.B.; Saha, T.D.; Chou, S.P.; Jung, J.; Zhang, H.; Pickering, R.P.; Ruan, W.J.; Smith, S.M.; Huang, B. Epidemiology of DSM-5 Alcohol Use Disorder: Results from the National Epidemiologic Survey on Alcohol and Related Conditions III. JAMA Psychiatry 2015, 72, 757–766. [Google Scholar] [CrossRef] [PubMed]
- Connor, J.P.; Haber, P.S.; Hall, W.D. Alcohol Use Disorders. Lancet 2016, 387, 988–998. [Google Scholar] [CrossRef] [PubMed]
- Zahr, N.M. Structural and Microstructral Imaging of the Brain in Alcohol Use Disorders. Handb. Clin. Neurol. 2014, 125, 275–290. [Google Scholar] [CrossRef] [PubMed]
- Chanraud, S.; Martelli, C.; Delain, F.; Kostogianni, N.; Douaud, G.; Aubin, H.-J.; Reynaud, M.; Martinot, J.-L. Brain Morphometry and Cognitive Performance in Detoxified Alcohol-Dependents with Preserved Psychosocial Functioning. Neuropsychopharmacology 2007, 32, 429–438. [Google Scholar] [CrossRef]
- De Bellis, M.D.; Narasimhan, A.; Thatcher, D.L.; Keshavan, M.S.; Soloff, P.; Clark, D.B. Prefrontal Cortex, Thalamus, and Cerebellar Volumes in Adolescents and Young Adults with Adolescent-onset Alcohol Use Disorders and Comorbid Mental Disorders. Alcohol Clin. Exp. Res. 2005, 29, 1590–1600. [Google Scholar] [CrossRef]
- Pitel, A.L.; Chételat, G.; Le Berre, A.P.; Desgranges, B.; Eustache, F.; Beaunieux, H. Macrostructural Abnormalities in Korsakoff Syndrome Compared with Uncomplicated Alcoholism. Neurology 2012, 78, 1330–1333. [Google Scholar] [CrossRef]
- Sullivan, E.V.; Marsh, L.; Pfefferbaum, A. Preservation of Hippocampal Volume throughout Adulthood in Healthy Men and Women. Neurobiol. Aging 2005, 26, 1093–1098. [Google Scholar] [CrossRef]
- van Holst, R.J.; de Ruiter, M.B.; van den Brink, W.; Veltman, D.J.; Goudriaan, A.E. A Voxel-Based Morphometry Study Comparing Problem Gamblers, Alcohol Abusers, and Healthy Controls. Drug Alcohol Depend. 2012, 124, 142–148. [Google Scholar] [CrossRef]
- Sullivan, E.V.; Marsh, L.; Mathalon, D.H.; Lim, K.O.; Pfefferbaum, A. Anterior Hippocampal Volume Deficits in Nonamnesic, Aging Chronic Alcoholics. Alcohol Clin. Exp. Res. 1995, 19, 110–122. [Google Scholar] [CrossRef]
- Raz, N.; Ghisletta, P.; Rodrigue, K.M.; Kennedy, K.M.; Lindenberger, U. Trajectories of Brain Aging in Middle-Aged and Older Adults: Regional and Individual Differences. Neuroimage 2010, 51, 501–511. [Google Scholar] [CrossRef]
- Pfefferbaum, A.; Rohlfing, T.; Rosenbloom, M.J.; Chu, W.; Colrain, I.M.; Sullivan, E.V. Variation in Longitudinal Trajectories of Regional Brain Volumes of Healthy Men and Women (Ages 10 to 85 Years) Measured with Atlas-Based Parcellation of MRI. Neuroimage 2013, 65, 176–193. [Google Scholar] [CrossRef]
- Sullivan, E.V.; Rosenbloom, M.J.; Lim, K.O.; Pfefferbaum, A. Longitudinal Changes in Cognition, Gait, and Balance in Abstinent and Relapsed Alcoholic Men: Relationships to Changes in Brain Structure. Neuropsychology 2000, 14, 178. [Google Scholar] [CrossRef]
- Pfefferbaum, A.; Rosenbloom, M.; Deshmukh, A.; Sullivan, E.V. Sex Differences in the Effects of Alcohol on Brain Structure. Am. J. Psychiatry 2001, 158, 188–197. [Google Scholar] [CrossRef]
- Sullivan, E.V.; Deshmukh, A.; De Rosa, E.; Rosenbloom, M.J.; Pfefferbaum, A. Striatal and Forebrain Nuclei Volumes: Contribution to Motor Function and Working Memory Deficits in Alcoholism. Biol. Psychiatry 2005, 57, 768–776. [Google Scholar] [CrossRef]
- Fein, G.; Landman, B.; Tran, H.; McGillivray, S.; Finn, P.; Barakos, J.; Moon, K. Brain Atrophy in Long-Term Abstinent Alcoholics Who Demonstrate Impairment on a Simulated Gambling Task. Neuroimage 2006, 32, 1465–1471. [Google Scholar] [CrossRef]
- Cardenas, V.A.; Studholme, C.; Gazdzinski, S.; Durazzo, T.C.; Meyerhoff, D.J. Deformation-Based Morphometry of Brain Changes in Alcohol Dependence and Abstinence. Neuroimage 2007, 34, 879–887. [Google Scholar] [CrossRef]
- Liu, R.S.N.; Lemieux, L.; Shorvon, S.D.; Sisodiya, S.M.; Duncan, J.S. Association between Brain Size and Abstinence from Alcohol. Lancet 2000, 355, 1969–1970. [Google Scholar] [CrossRef]
- Pfefferbaum, A.; Rosenbloom, M.J.; Serventi, K.L.; Sullivan, E.V. Brain Volumes, RBC Status, and Hepatic Function in Alcoholics after 1 and 4 Weeks of Sobriety: Predictors of Outcome. Am. J. Psychiatry 2004, 161, 1190–1196. [Google Scholar] [CrossRef]
- Wrase, J.; Makris, N.; Braus, D.F.; Mann, K.; Smolka, M.N.; Kennedy, D.N.; Caviness, V.S.; Hodge, S.M.; Tang, L.; Albaugh, M.; et al. Amygdala Volume Associated With Alcohol Abuse Relapse and Craving. Am. J. Psychiatry 2008, 165, 1179–1184. [Google Scholar] [CrossRef]
- Beck, A.; Wüstenberg, T.; Genauck, A.; Wrase, J.; Schlagenhauf, F.; Smolka, M.N.; Mann, K.; Heinz, A. Effect of Brain Structure, Brain Function, and Brain Connectivity on Relapse in Alcohol-Dependent Patients. Arch. Gen. Psychiatry 2012, 69, 842–852. [Google Scholar] [CrossRef] [PubMed]
- Cardenas, V.A.; Durazzo, T.C.; Gazdzinski, S.; Mon, A.; Studholme, C.; Meyerhoff, D.J. Brain Morphology at Entry into Treatment for Alcohol Dependence Is Related to Relapse Propensity. Biol. Psychiatry 2011, 70, 561–567. [Google Scholar] [CrossRef] [PubMed]
- Durazzo, T.C.; Tosun, D.; Buckley, S.; Gazdzinski, S.; Mon, A.; Fryer, S.L.; Meyerhoff, D.J. Cortical Thickness, Surface Area, and Volume of the Brain Reward System in Alcohol Dependence: Relationships to Relapse and Extended Abstinence. Alcohol Clin. Exp. Res. 2011, 35, 1187–1200. [Google Scholar] [CrossRef] [PubMed]
- Kühn, S.; Kaufmann, C.; Simon, D.; Endrass, T.; Gallinat, J.; Kathmann, N. Reduced Thickness of Anterior Cingulate Cortex in Obsessive-Compulsive Disorder. Cortex 2013, 49, 2178–2185. [Google Scholar] [CrossRef]
- Bae, S.; Kang, I.; Lee, B.C.; Jeon, Y.; Cho, H.B.; Yoon, S.; Cho, B.; Yoon, S.; Lim, S.M.; Kim, J.; et al. Prefrontal Cortical Thickness Deficit in Detoxified Alcohol-dependent Patients. Exp. Neurobiol. 2016, 25, 333–341. [Google Scholar] [CrossRef]
- Dai, X.; Yu, J.; Gao, L.; Zhang, J.; Li, Y.; Du, B.; Huang, X.; Zhang, H. Cortical thickness and intrinsic activity changes in middle-aged men with alcohol use disorder. Alcohol 2023, 106, 15–21. [Google Scholar] [CrossRef]
- Momenan, R.; Steckler, L.E.; Saad, Z.S.; van Rafelghem, S.; Kerich, M.J.; Hommer, D.W. Effects of alcohol dependence on cortical thickness as determined by magnetic resonance imaging. Psychiatry Res. 2012, 204, 101–111. [Google Scholar] [CrossRef]
- Venkatasubramanian, G.; Zutshi, A.; Jindal, S.; Srikanth, S.G.; Kovoor, J.M.E.; Kumar, J.K.; Reddy, Y.C.J. Comprehensive Evaluation of Cortical Structure Abnormalities in Drug-Naive, Adult Patients with Obsessive-Compulsive Disorder: A Surface-Based Morphometry Study. J. Psychiatr. Res. 2012, 46, 1161–1168. [Google Scholar] [CrossRef]
- Hoexter, M.Q.; Miguel, E.C.; Diniz, J.B.; Shavitt, R.G.; Busatto, G.F.; Sato, J.R. Predicting Obsessive–Compulsive Disorder Severity Combining Neuroimaging and Machine Learning Methods. J. Affect. Disord. 2013, 150, 1213–1216. [Google Scholar] [CrossRef]
- Henderson, K.E.; Vaidya, J.G.; Kramer, J.R.; Kuperman, S.; Langbehn, D.R.; O’Leary, D.S. Cortical Thickness in Adolescents with a Family History of Alcohol Use Disorder. Alcohol. Clin. Exp. Res. 2018, 42, 89–99. [Google Scholar] [CrossRef]
- Hill, S.Y.; Wang, S.; Kostelnik, B.; Carter, H.; Holmes, B.; McDermott, M.; Zezza, N.; Stiffler, S.; Keshavan, M.S. Disruption of Orbitofrontal Cortex Laterality in Offspring from Multiplex Alcohol Dependence Families. Biol. Psychiatry 2009, 65, 129–136. [Google Scholar] [CrossRef]
- Harper, J.; Wilson, S.; Malone, S.M.; Hunt, R.H.; Thomas, K.M.; Iacono, W.G. Orbitofrontal Cortex Thickness and Substance Use Disorders in Emerging Adulthood: Causal Inferences from a Co-Twin Control/Discordant Twin Study. Addiction 2021, 116, 2548–2558. [Google Scholar] [CrossRef]
- APA. Diagnostic and Statistical Manual of Mental Disorders: DSM-IV-TR; American Psychiatric Association: Washington, DC, USA, 2000. [Google Scholar]
- Çorapçıoğlu, A.; Aydemir, Ö.; Yıldız, M.; Esen, A.; Köroğlu, E. Structured Clinical Interview for DSM-IV Axis I Disorders–Clinical Version (SCID-CV) in Turkish Version: Study of Reliability. İlaç Tedavi. Dergisi. 1999, 12, 233–236. (In Turkish) [Google Scholar]
- Selzer, M.L. The Michigan Alcoholism Screening Test: The Quest for a New Diagnostic Instrument. Am. J. Psychiatry 1971, 127, 1653–1658. [Google Scholar] [CrossRef]
- Stockwell, T.; Murphy, D.; Hodgson, R. The Severity of Alcohol Dependence Questionnaire: Its Use, Reliability and Validity. Br. J. Addict. 1983, 78, 145–155. [Google Scholar] [CrossRef]
- Saunders, J.B.; Aasland, O.G.; Babor, T.F.; De La Fuente, J.R.; Grant, M. Development of the Alcohol Use Disorders Identification Test (AUDIT): WHO Collaborative Project on Early Detection of Persons with Harmful Alcohol Consumption-II. Addiction 1993, 88, 791–804. [Google Scholar] [CrossRef]
- Epstein, D.J.; Legarreta, M.; Bueler, E.; King, J.; McGlade, E.; Yurgelun-Todd, D. Orbitofrontal Cortical Thinning and Aggression in Mild Traumatic Brain Injury Patients. Brain Behav. 2016, 6, e00581. [Google Scholar] [CrossRef]
- Desikan, R.S.; Ségonne, F.; Fischl, B.; Quinn, B.T.; Dickerson, B.C.; Blacker, D.; Buckner, R.L.; Dale, A.M.; Maguire, R.P.; Hyman, B.T. An Automated Labeling System for Subdividing the Human Cerebral Cortex on MRI Scans into Gyral Based Regions of Interest. Neuroimage 2006, 31, 968–980. [Google Scholar] [CrossRef]
- Yuh, W.T.C.; Afifi, A.K.; Tali, E.T. MRI of Head & Neck Anatomy; Churchill Livingstone: London, UK, 1994; ISBN 0443088926. [Google Scholar]
- Jackson, G.D.; Duncan, J.S. MRI Neuroanatomy: A New Angle on the Brain; WB Saunders Company: New York, NY, USA; Churchill Livingstone: London, UK, 1996; ISBN 0443045437. [Google Scholar]
- Patel, V.H.; Friedman, L. MRI of the Brainnormal Anatomy and Normal Variants; W.B. Saunders Co., Ltd.: Philadelphia, PA, USA, 1997; ISBN 072166945X. [Google Scholar]
- Portas, C.M.; Goldstein, J.M.; Shenton, M.E.; Hokama, H.H.; Wible, C.G.; Fischer, I.; Kikinis, R.; Donnino, R.; Jolesz, F.A.; McCarley, R.W. Volumetric Evaluation of the Thalamus in Schizophrenic Male Patients Using Magnetic Resonance Imaging. Biol. Psychiatry 1998, 43, 649–659. [Google Scholar] [CrossRef]
- Riffkin, J.; Yücel, M.; Maruff, P.; Wood, S.J.; Soulsby, B.; Olver, J.; Kyrios, M.; Velakoulis, D.; Pantelis, C. A Manual and Automated MRI Study of Anterior Cingulate and Orbito-Frontal Cortices, and Caudate Nucleus in Obsessive-Compulsive Disorder: Comparison with Healthy Controls and Patients with Schizophrenia. Psychiatry Res. Neuroimaging 2005, 138, 99–113. [Google Scholar] [CrossRef]
- Atmaca, M.; Yildirim, H.; Ozdemir, H.; Aydin, A.; Tezcan, E.; Ozler, S. Volumetric MRI Assessment of Brain Regions in Patients with Refractory Obsessive–Compulsive Disorder. Prog. Neuropsychopharmacol. Biol. Psychiatry 2006, 30, 1051–1057. [Google Scholar] [CrossRef] [PubMed]
- Atmaca, M.; Yildirim, H.; Ozdemir, H.; Tezcan, E.; Poyraz, A.K. Volumetric MRI Study of Key Brain Regions Implicated in Obsessive–Compulsive Disorder. Prog. Neuropsychopharmacol. Biol. Psychiatry 2007, 31, 46–52. [Google Scholar] [CrossRef] [PubMed]
- Moorman, D.E. The role of the orbitofrontal cortex in alcohol use, abuse, and dependence. Prog. Neuropsychopharmacol. Biol. Psychiatry 2018, 87, 85–107. [Google Scholar] [CrossRef] [PubMed]




| Healthy Control Group (n = 17) | Patient Group (n = 15) | p | |
|---|---|---|---|
| Age (years) | 36.86 ± 11.03 | 32.52 ± 5.90 | 0.169 |
| Handedness (right) | 17 | 15 | >0.05 |
| Gender (female/male) | 2/15 | 1/14 | 0.548 |
| Length of illness (years) | - | 16.60 ± 10.78 | |
| HDRS scores | 7.1 ± 1.9 | 11.7 ± 3.0 | <0.001 |
| MAST | - | 28.40 ± 12.51 | |
| SADQ-C | - | 26.86 ± 14.83 | |
| AUDIT | - | 23.93 ± 7.46 | |
| Grey matter volume | 694.11 ± 44.13 | 668.00 ± 66.78 | 0.21 |
| White matter volume | 616.17 ± 29.44 | 619.00 ± 45.98 | 0.83 |
| Orbitofrontal cortex volumes (cm3) | |||
| Left | 14.38 ± 1.13 | 12.53 ± 1.12 | <0.001 |
| Right | 14.07 ± 1.09 | 12.07 ± 0.87 | <0.001 |
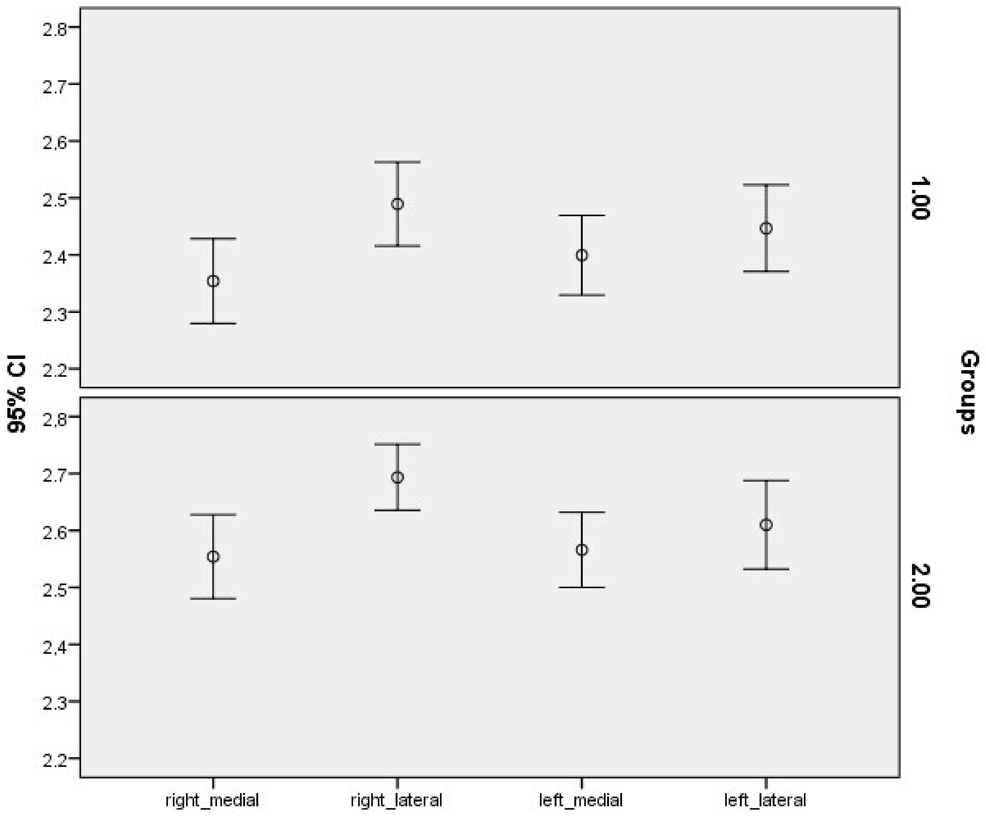
| Orbitofrontal cortex thickness (mm) | |||
| Left medial | 2.40 ± 0.13 | 2.57 ± 0.12 | <0.01 |
| Left lateral | 1.46 ± 0.25 | 1.21 ± 0.16 | <0.01 |
| Right medial | 2.35 ± 0.13 | 2.55 ± 0.13 | <0.001 |
| Right lateral | 2.45 ± 0.14 | 2.61 ± 0.14 | <0.001 |
Disclaimer/Publisher’s Note: The statements, opinions and data contained in all publications are solely those of the individual author(s) and contributor(s) and not of MDPI and/or the editor(s). MDPI and/or the editor(s) disclaim responsibility for any injury to people or property resulting from any ideas, methods, instructions or products referred to in the content. |
© 2023 by the authors. Licensee MDPI, Basel, Switzerland. This article is an open access article distributed under the terms and conditions of the Creative Commons Attribution (CC BY) license (https://creativecommons.org/licenses/by/4.0/).
Share and Cite
Atmaca, M.; Tabara, M.F.; Koc, M.; Gurok, M.G.; Baykara, S.; Korkmaz, S.; Mermi, O. Cortical Thickness of the Orbitofrontal Cortex in Patients with Alcohol Use Disorder. Brain Sci. 2023, 13, 552. https://doi.org/10.3390/brainsci13040552
Atmaca M, Tabara MF, Koc M, Gurok MG, Baykara S, Korkmaz S, Mermi O. Cortical Thickness of the Orbitofrontal Cortex in Patients with Alcohol Use Disorder. Brain Sciences. 2023; 13(4):552. https://doi.org/10.3390/brainsci13040552
Chicago/Turabian StyleAtmaca, Murad, Muhammed Fatih Tabara, Mustafa Koc, Mehmet Gurkan Gurok, Sema Baykara, Sevda Korkmaz, and Osman Mermi. 2023. "Cortical Thickness of the Orbitofrontal Cortex in Patients with Alcohol Use Disorder" Brain Sciences 13, no. 4: 552. https://doi.org/10.3390/brainsci13040552
APA StyleAtmaca, M., Tabara, M. F., Koc, M., Gurok, M. G., Baykara, S., Korkmaz, S., & Mermi, O. (2023). Cortical Thickness of the Orbitofrontal Cortex in Patients with Alcohol Use Disorder. Brain Sciences, 13(4), 552. https://doi.org/10.3390/brainsci13040552

