Neurosyphilis Presenting as Syndrome of Limbic Encephalitis Mimicking Herpes Simplex Virus Neuro-Infection Diagnosed Using CXCL13 Point-of-Care Assay—Case Report
Abstract
1. Introduction
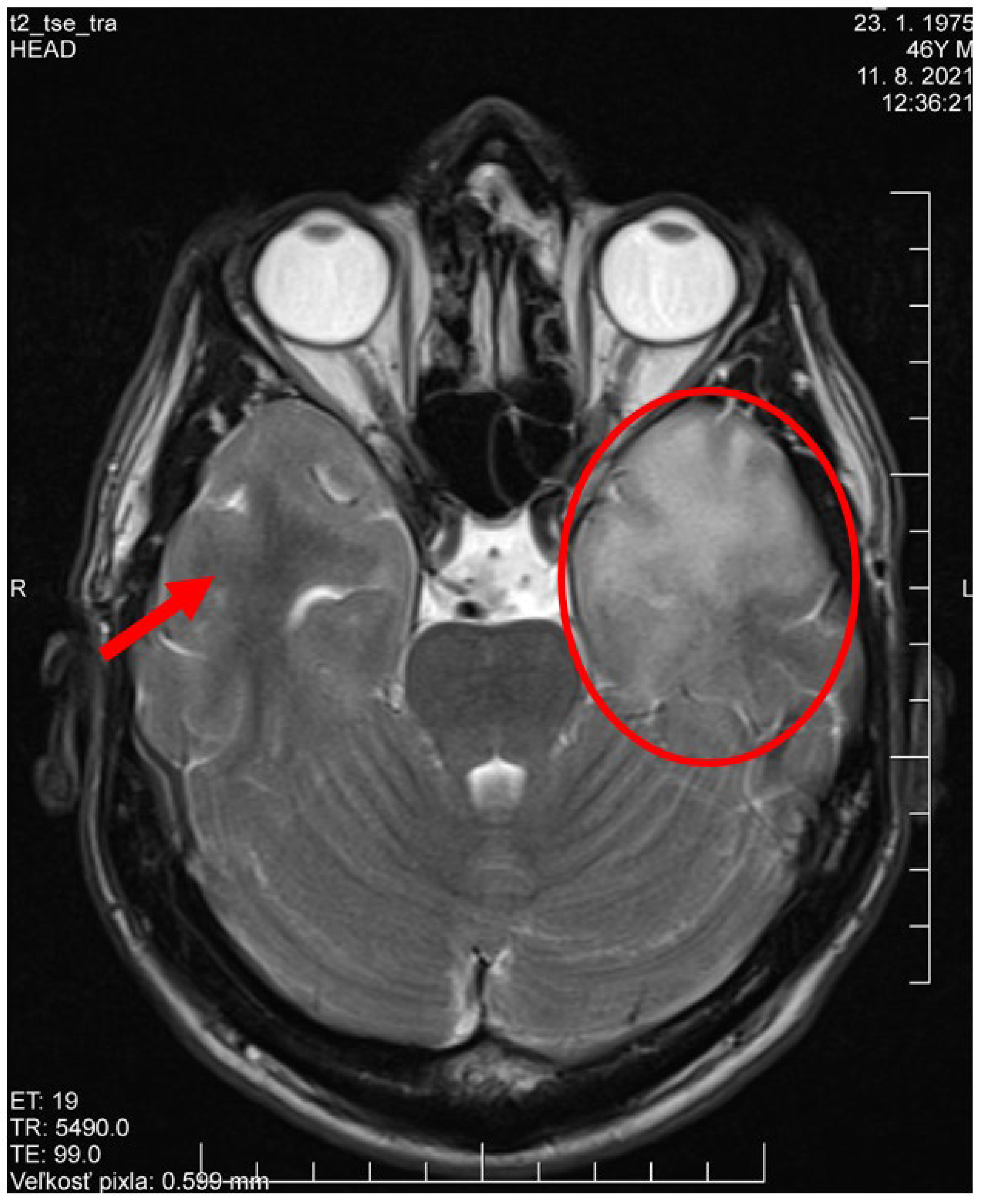
2. Case Presentation
3. Discussion
4. Conclusions
Author Contributions
Funding
Institutional Review Board Statement
Informed Consent Statement
Data Availability Statement
Conflicts of Interest
References
- O’Byrne, P.; MacPherson, P. Syphilis. BMJ 2019, 365, l4159. [Google Scholar] [CrossRef]
- Brown, D.L.; Frank, J.E. Diagnosis and management of syphilis. Am. Fam. Physician 2003, 68, 283–290. [Google Scholar] [PubMed]
- Spiteri, G.; Unemo, M.; Mårdh, O.; Amato-Gauci, A.J. The resurgence of syphilis in high-income countries in the 2000s: A focus on Europe. Epidemiol. Infect. 2019, 147, e143. [Google Scholar] [CrossRef] [PubMed]
- Kojima, N.; Klausner, J.D. An Update on the Global Epidemiology of Syphilis. Curr. Epidemiol. Rep. 2018, 5, 24–38. [Google Scholar] [CrossRef] [PubMed]
- Tsuboi, M.; Evans, J.; Davies, E.P.; Rowley, J.; Korenromp, E.L.; Clayton, T.; Taylor, M.M.; Mabey, D.; Chico, R.M. Prevalence of syphilis among men who have sex with men: A global systematic review and meta-analysis from 2000–20. Lancet Glob. Health 2021, 9, e1110–e1118. [Google Scholar] [CrossRef]
- Ghanem, K.G. REVIEW: Neurosyphilis: A historical perspective and review. CNS Neurosci Ther. 2010, 16, e157–e168. [Google Scholar] [CrossRef]
- Gonzalez, H.; Koralnik, I.J.; Marra, C.M. Neurosyphilis. Semin. Neurol. 2019, 39, 448–455. [Google Scholar] [CrossRef] [PubMed]
- Balagula, Y.; Mattei, P.L.; Wisco, O.J.; Erdag, G.; Chien, A.L. The great imitator revisited: The spectrum of atypical cutaneous manifestations of secondary syphilis. Int. J. Dermatol. 2014, 53, 1434–1441. [Google Scholar] [CrossRef]
- Barthel, L.; Hetze, S.; Teuber-Hanselmann, S.; Chapot, V.; Sure, U. Syphilitic Gummata in the Central Nervous System: A Narrative Review and Case Report about a Noteworthy Clinical Manifestation. Microorganisms 2021, 9, 906. [Google Scholar] [CrossRef]
- Li, C.; Wang, S.J.; Tang, G.C.; Liu, L.T.; Chen, G.X. Neuroimaging findings of cerebral syphilitic gumma. Exp. Ther. Med. 2019, 18, 4185–4192. [Google Scholar] [CrossRef]
- Balodis, A.; Grabovska, D.; Valante, R.; Novasa, A.; Raits, U. Neurosyphilis Mimicking Herpes Simplex Encephalitis on Magnetic Resonance Imaging: A Case Report. Am. J. Case Rep. 2022, 23, e936127. [Google Scholar] [CrossRef]
- Vedes, E.; Geraldo, A.F.; Rodrigues, R.; Reimão, S.; Ribeiro, A.; Antunes, F. Neurosyphilis versus Herpes Encephalitis in a Patient with Confusion, Memory Loss, and T2-Weighted Mesiotemporal Hyperintensity. Case Rep. Infect. Dis. 2012, 2012, 154863. [Google Scholar] [CrossRef]
- Jum’ah, A.; Aboul Nour, H.; Alkhoujah, M.; Zoghoul, S.; Eltous, L.; Miller, D. Neurosyphilis in disguise. Neuroradiology 2022, 64, 433–441. [Google Scholar] [CrossRef] [PubMed]
- Derouich, I.; Messouak, O.; Belahsen, M.F. Syphilitic limbic encephalitis revealed by status epilepticus. BMJ Case Rep. 2013, 2013, bcr2012008073. [Google Scholar] [CrossRef]
- Mizoguchi, T.; Hara, M.; Nakajima, H. Neurosyphilis presenting as autoimmune limbic encephalitis: A case report and literature review. Medicine 2022, 101, e30062. [Google Scholar] [CrossRef]
- Budhram, A.; Silverman, M.; Burneo, J.G. Neurosyphilis mimicking autoimmune encephalitis in a 52-year-old man. Can. Med Assoc. J. 2017, 189, E962–E965. [Google Scholar] [CrossRef]
- Bechman, K.; Dalrymple, A.; Southey-Bassols, C.; Cope, A.P.; Galloway, J.B. A systematic review of CXCL13 as a biomarker of disease and treatment response in rheumatoid arthritis. BMC Rheumatol. 2020, 4, 70. [Google Scholar] [CrossRef]
- Rupprecht, T.; Manz, K.; Fingerle, V.; Lechner, C.; Klein, M.; Pfirrmann, M.; Koedel, U. Diagnostic value of cerebrospinal fluid CXCL13 for acute Lyme neuroborreliosis. A systematic review and meta-analysis. Clin. Microbiol. Infect. 2018, 24, 1234–1240. [Google Scholar] [CrossRef]
- Haglund, S.; Lager, M.; Gyllemark, P.; Andersson, G.; Ekelund, O.; Sundqvist, M.; Henningsson, A.J. CXCL13 in laboratory diagnosis of Lyme neuroborreliosis-the performance of the recomBead and ReaScan CXCL13 assays in human cerebrospinal fluid samples. Eur. J. Clin. Microbiol. Infect. Dis. 2022, 41, 175–179. [Google Scholar] [CrossRef]
- Lantos, P.M.; Rumbaugh, J.; Bockenstedt, L.K.; Falck-Ytter, Y.T.; Aguero-Rosenfeld, M.E.; Auwaerter, P.G.; Baldwin, K.; Bannuru, R.R.; Belani, K.K.; Bowie, W.R.; et al. Clinical Practice Guidelines by the Infectious Diseases Society of America (IDSA), American Academy of Neurology (AAN), and American College of Rheumatology (ACR): 2020 Guidelines for the Prevention, Diagnosis, and Treatment of Lyme Disease. Arthritis Care Res. 2021, 73, 1–9. [Google Scholar] [CrossRef] [PubMed]
- Auer, M.; Hegen, H.; Zeileis, A.; Deisenhammer, F. Quantitation of intrathecal immunoglobulin synthesis—A new empirical formula. Eur. J. Neurol. 2016, 23, 713–721. [Google Scholar] [CrossRef] [PubMed]
- Marques, A.R.; Strle, F.; Wormser, G.P. Comparison of Lyme Disease in the United States and Europe. Emerg. Infect. Dis. 2021, 27, 2017–2024. [Google Scholar] [CrossRef] [PubMed]
- Marra, C.M.; Tantalo, L.C.; Sahi, S.K.; Maxwell, C.L.; Lukehart, S.A. CXCL13 as a cerebrospinal fluid marker for neurosyphilis in HIV-infected patients with syphilis. Sex Transm. Dis. 2010, 37, 283–287. [Google Scholar] [CrossRef]
- Wang, C.; Wu, K.; Yu, Q.; Zhang, S.; Gao, Z.; Liu, Y.; Ni, L.; Cheng, Y.; Guan, Z.; Shi, M.; et al. CXCL13, CXCL10 and CXCL8 as Potential Biomarkers for the Diagnosis of Neurosyphilis Patients. Sci. Rep. 2016, 6, 33569. [Google Scholar] [CrossRef]
- Janier, M.; Unemo, M.; Dupin, N.; Tiplica, G.S.; Potočnik, M.; Patel, R. 2020 European guideline on the management of syphilis. J. Eur. Acad. Dermatol. Venereol. 2021, 35, 574–588. [Google Scholar] [CrossRef]
- Jagtap, S.A.; Das, G.K.; Kambale, H.J.; Radhakrishnan, A.; Nair, M.D. Limbic encephalitis: Clinical spectrum and long-term outcome from a developing country perspective. Ann. Indian Acad. Neurol. 2014, 17, 161–165. [Google Scholar] [CrossRef]

Disclaimer/Publisher’s Note: The statements, opinions and data contained in all publications are solely those of the individual author(s) and contributor(s) and not of MDPI and/or the editor(s). MDPI and/or the editor(s) disclaim responsibility for any injury to people or property resulting from any ideas, methods, instructions or products referred to in the content. |
© 2023 by the authors. Licensee MDPI, Basel, Switzerland. This article is an open access article distributed under the terms and conditions of the Creative Commons Attribution (CC BY) license (https://creativecommons.org/licenses/by/4.0/).
Share and Cite
Marešová, E.; Šutovský, S.; Štefucová, H.; Koščálová, A.; Sabaka, P. Neurosyphilis Presenting as Syndrome of Limbic Encephalitis Mimicking Herpes Simplex Virus Neuro-Infection Diagnosed Using CXCL13 Point-of-Care Assay—Case Report. Brain Sci. 2023, 13, 503. https://doi.org/10.3390/brainsci13030503
Marešová E, Šutovský S, Štefucová H, Koščálová A, Sabaka P. Neurosyphilis Presenting as Syndrome of Limbic Encephalitis Mimicking Herpes Simplex Virus Neuro-Infection Diagnosed Using CXCL13 Point-of-Care Assay—Case Report. Brain Sciences. 2023; 13(3):503. https://doi.org/10.3390/brainsci13030503
Chicago/Turabian StyleMarešová, Eliška, Stanislav Šutovský, Hana Štefucová, Alena Koščálová, and Peter Sabaka. 2023. "Neurosyphilis Presenting as Syndrome of Limbic Encephalitis Mimicking Herpes Simplex Virus Neuro-Infection Diagnosed Using CXCL13 Point-of-Care Assay—Case Report" Brain Sciences 13, no. 3: 503. https://doi.org/10.3390/brainsci13030503
APA StyleMarešová, E., Šutovský, S., Štefucová, H., Koščálová, A., & Sabaka, P. (2023). Neurosyphilis Presenting as Syndrome of Limbic Encephalitis Mimicking Herpes Simplex Virus Neuro-Infection Diagnosed Using CXCL13 Point-of-Care Assay—Case Report. Brain Sciences, 13(3), 503. https://doi.org/10.3390/brainsci13030503

