Histiocytic Sarcoma Involving Cervical Vertebra: A Case Report and Review of the Literature
Abstract
1. Introduction
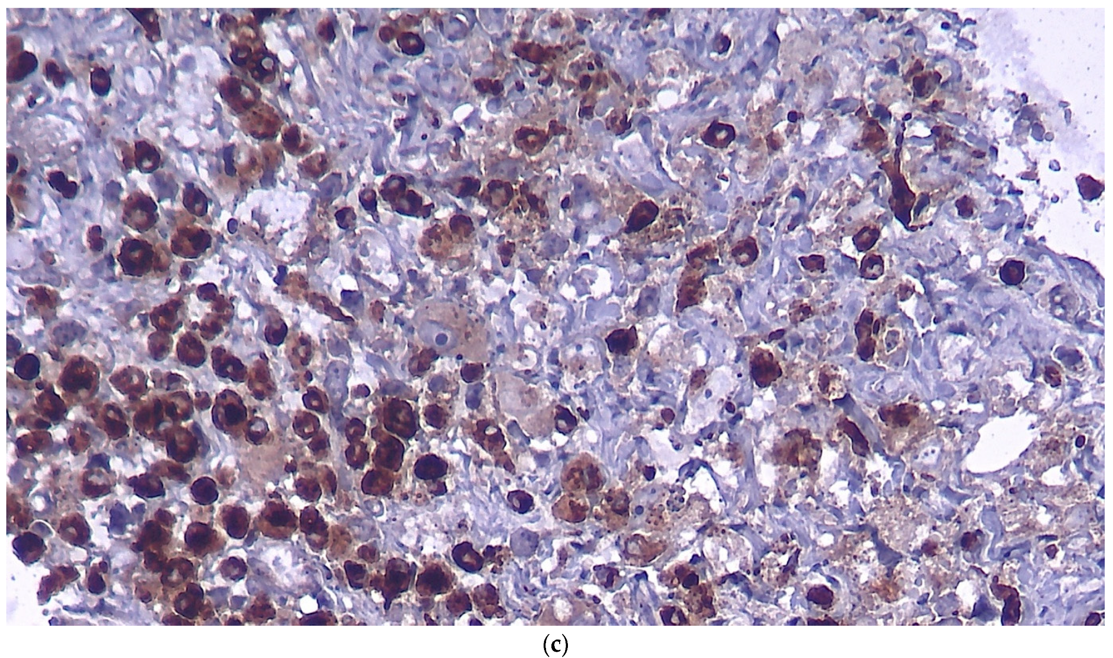
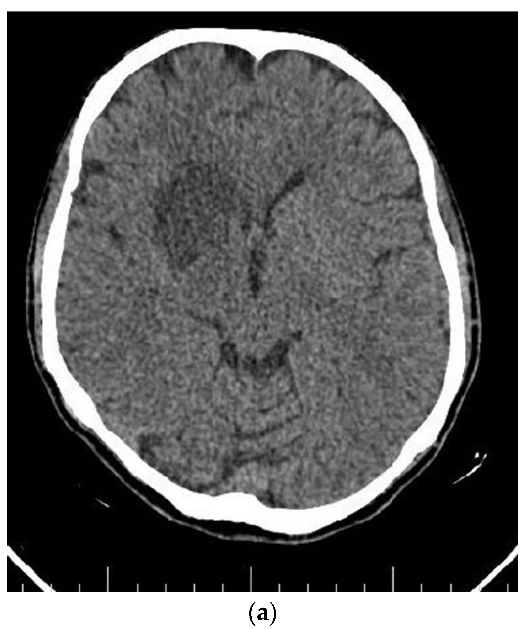
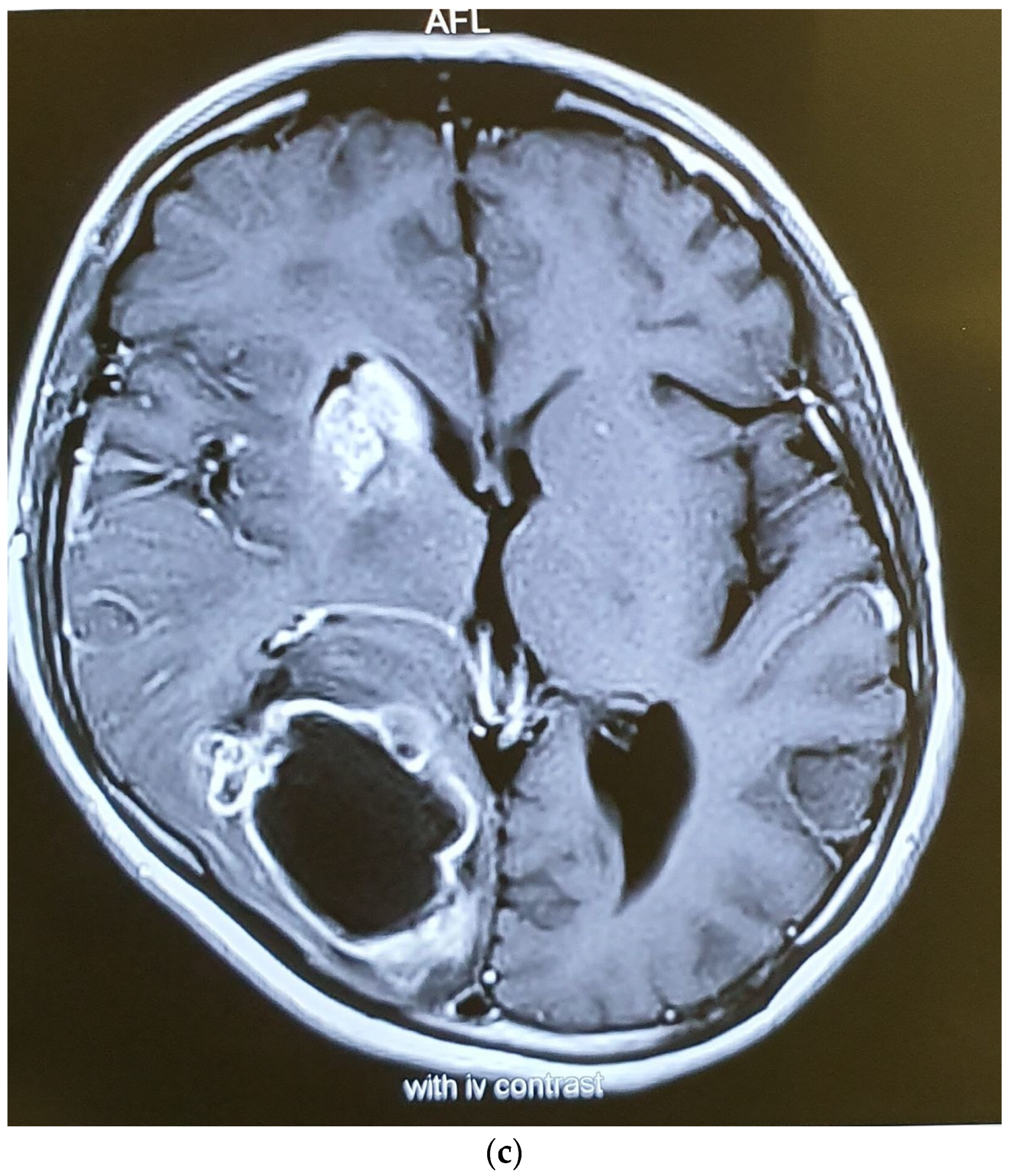
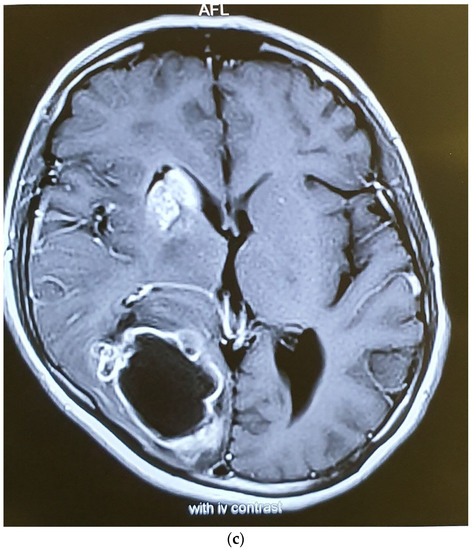
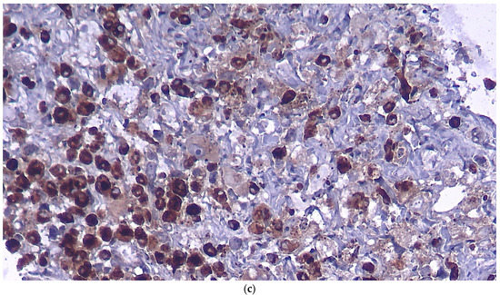
2. Case Presentation
3. Discussion
4. Conclusions
Author Contributions
Funding
Institutional Review Board Statement
Informed Consent Statement
Data Availability Statement
Conflicts of Interest
Abbreviations
| CNS | Central nervous system |
| CT | Computed tomography |
| MR | Magnetic resonance |
| HS | Histiocytic sarcoma |
| DLBCL | Diffuse large B-cell lymphoma |
| ALCL | Anaplastic large cell lymphoma |
| IHC | Immunohistochemical |
| PET | Positron emission tomography |
References
- Hornick, J.L.; Jaffe, E.S.; Fletcher, C.D. Extranodal histiocytic sarcoma: Clinicopathologic analysis of 14 cases of a rare epithelioid malignancy. Am. J. Surg. Pathol. 2004, 28, 1133–1144. [Google Scholar] [CrossRef] [PubMed]
- Patnaik, A.; Mishra, S.S.; Senapati, S.B. A rare case of primary extranodal, extradural histiocytic sarcoma of the thoracic spine and review of literature. Surg. Neurol. Int. 2012, 3, 96. [Google Scholar] [CrossRef] [PubMed][Green Version]
- Wang, E.; Hutchinson, C.B.; Huang, Q.; Sebastian, S.; Rehder, C.; Kanaly, A.; Moore, J.; Datto, M. Histiocytic sarcoma arising in indolent small B-cell lymphoma: Report of two cases with molecular/genetic evidence suggestive of a ‘transdifferentiation’ during the clonal evolution. Leuk. Lymphoma 2010, 51, 802–812. [Google Scholar] [CrossRef] [PubMed]
- Shinoda, H.; Yoshida, A.; Teruya-Feldstein, J. Malignant histiocytoses/disseminated histiocytic sarcoma with hemophagocytic syndrome in a patient with mediastinal germ cell tumor. Appl. Immunohistochem. Mol. Morphol. 2009, 17, 338–344. [Google Scholar] [CrossRef] [PubMed]
- Buonocore, S.; Valente, A.L.; Nightingale, D.; Bogart, J.; Souid, A.K. Histiocytic sarcoma in a 3-year-old male: A case report. Pediatrics 2005, 116, e322–e325. [Google Scholar] [CrossRef] [PubMed]
- Kaushal, R.; Jambhekar, N.A.; Rao, S.; Raju, S.; Suryawanshi, P.; Shet, T.; Puri, A. Primary extranodal histiocytic sarcoma of lumbar spine. Skelet. Radiol. 2012, 41, 231–235. [Google Scholar] [CrossRef] [PubMed]
- Lin, B.; Chen, Z.W.; Wang, N.; Guo, Z.M.; Liu, H.; Zeng, M. Total en bloc spondylectomy of L3 vertebra for histiocytic sarcoma. Orthopedics 2012, 35, e610–e614. [Google Scholar] [CrossRef] [PubMed]
- Pileri, S.A.; Grogan, T.M.; Harris, N.L.; Banks, P.; Campo, E.; Chan, J.K.; Favera, R.D.; Delsol, G.; De Wolf-Peeters, C.; Falini, B.; et al. Tumours of histiocytes and accessory dendritic cells: An immunohistochemical approach to classification from the International Lymphoma Study Group based on 61 cases. Histopathology 2002, 41, 1–29. [Google Scholar] [CrossRef] [PubMed]
- Sohn, B.S.; Kim, T.; Kim, J.E.; Bae, E.; Park, C.J.; Huh, J.; Lee, S.O. A case of histiocytic sarcoma presenting with primary bone marrow involvement. J. Korean Med. Sci. 2010, 25, 313–316. [Google Scholar] [CrossRef] [PubMed][Green Version]
- Skala, S.L.; Lucas, D.R.; Dewar, R. Histiocytic Sarcoma: Review, Discussion of Transformation From B-Cell Lymphoma, and Differential Diagnosis. Arch. Pathol. Lab. Med. 2018, 142, 1322–1329. [Google Scholar] [CrossRef] [PubMed]
- Ma, S.; Schild, M.; Tran, D.; Zhang, X.; Zhang, W.L.; Shen, S.; Xu, H.T.; Yang, L.H.; Wang, E. Primary central nervous system histiocytic sarcoma: A case report and review of literature. Medicine 2018, 97, e11271. [Google Scholar] [CrossRef] [PubMed]
- Sun, W.; Nordberg, M.L.; Fowler, M.R. Histiocytic sarcoma involving the central nervous system: Clinical, immunohistochemical, and molecular genetic studies of a case with review of the literature. Am. J. Surg. Pathol. 2003, 27, 258–265. [Google Scholar] [CrossRef] [PubMed]
- Go, H.; Jeon, Y.K.; Huh, J.; Choi, S.J.; Choi, Y.D.; Cha, H.J.; Kim, H.J.; Park, G.; Min, S.; Kim, J.E. Frequent detection of BRAF(V600E) mutations in histiocytic and dendritic cell neoplasms. Histopathology 2014, 65, 261–272. [Google Scholar] [CrossRef] [PubMed]
- Facchetti, F.; Pileri, S.A.; Lorenzi, L.; Tabanelli, V.; Rimsza, L.; Pittaluga, S.; Dirnhofer, S.; Copie-Bergman, C.; de Leval, L.; Rosenwald, A.; et al. Histiocytic and dendritic cell neoplasms: What have we learnt by studying 67 cases. Virchows Arch. 2017, 471, 467–489. [Google Scholar] [CrossRef] [PubMed]
- Pericart, S.; Waysse, C.; Siegfried, A.; Struski, S.; Delabesse, E.; Laurent, C.; Evrard, S. Subsequent development of histiocytic sarcoma and follicular lymphoma: Cytogenetics and next-generation sequencing analyses provide evidence for transdifferentiation of early common lymphoid precursor-a case report and review of literature. Virchows Arch. 2020, 476, 609–614. [Google Scholar] [CrossRef] [PubMed]
- Kommalapati, A.; Tella, S.H.; Go, R.S.; Goyal, G. Predictors of survival, treatment patterns, and outcomes in histiocytic sarcoma. Leuk. Lymphoma 2019, 60, 553–555. [Google Scholar] [CrossRef] [PubMed]
- Hu, B.; Patel, J.L.; Tao, R.; Cannon, R.B.; Monroe, M.; Goyal, G. Near Complete Response to Trametinib Treatment in Histiocytic Sarcoma Harboring a Somatic KRAS Mutation. J. Natl. Compr. Canc. Netw. 2022, 20, 618–621. [Google Scholar] [CrossRef] [PubMed]










| Author/Year | Age/Sex | Location | IHC | Treatment | Follow-Up |
|---|---|---|---|---|---|
| Pileri et al. (2002) [8] | 26, male | T4, T5 | CD 68, lysozyme, S100, CD45 | Radiotherapy and autologous bone marrow transplantation at the time of relapse | After 3 years, alive in complete remisssion |
| Kaushal et al. (2012) [6] | 17, male | L3 | LCA, vimentin, CD68, CD163, Ki67 20% | Surgery + radiotherapy | Disease-free 3.5 years after surgery |
| Lin et al. (2012) [7] | 27, female | L3 | Cd68, vimentin, S100 | Surgery (spondylectomy) without adjuvant treatment | No recurrence after 2 years |
| Patnaik et al. (2012) [2] | 22, male | T8, T9 | S100, CD38, Lysosyme | Partial excision without adjuvant treatment | Alive after 5 months |
| Buonocore et al. (2005) [5] | 3, male | L4, T6 | CD68, focal S100, CD15 | Surgery and radiotherapy just to L4 and chemotherapy, and thereafter, chemoradiotherapy to pulmonary metastases | Two pulmonary nodules developed no change in the T6 lesion |
| Sohn et al. (2010) [9] | 63, male | Multiple thoraco lumbar vertebra | CD68, S100 protein, CD31, CD99, vimentin weakly positive for: CD21, CD4, lysozyme | The patient refused all treatments | Died after 2 months |
| The current case | 29, female | C2 | CD45, CD43, CD68, S100 | Surgery and radiotherapy | Brain metastasis after 9 months |
Publisher’s Note: MDPI stays neutral with regard to jurisdictional claims in published maps and institutional affiliations. |
© 2022 by the authors. Licensee MDPI, Basel, Switzerland. This article is an open access article distributed under the terms and conditions of the Creative Commons Attribution (CC BY) license (https://creativecommons.org/licenses/by/4.0/).
Share and Cite
Bahrami, E.; Najafi, M.; Jahanbakhshi, A.; Hatam, J.; Molanaei, S.; Ciammella, P.; Cozzi, S. Histiocytic Sarcoma Involving Cervical Vertebra: A Case Report and Review of the Literature. Brain Sci. 2022, 12, 958. https://doi.org/10.3390/brainsci12070958
Bahrami E, Najafi M, Jahanbakhshi A, Hatam J, Molanaei S, Ciammella P, Cozzi S. Histiocytic Sarcoma Involving Cervical Vertebra: A Case Report and Review of the Literature. Brain Sciences. 2022; 12(7):958. https://doi.org/10.3390/brainsci12070958
Chicago/Turabian StyleBahrami, Eshagh, Masoumeh Najafi, Amin Jahanbakhshi, Jaber Hatam, Saadat Molanaei, Patrizia Ciammella, and Salvatore Cozzi. 2022. "Histiocytic Sarcoma Involving Cervical Vertebra: A Case Report and Review of the Literature" Brain Sciences 12, no. 7: 958. https://doi.org/10.3390/brainsci12070958
APA StyleBahrami, E., Najafi, M., Jahanbakhshi, A., Hatam, J., Molanaei, S., Ciammella, P., & Cozzi, S. (2022). Histiocytic Sarcoma Involving Cervical Vertebra: A Case Report and Review of the Literature. Brain Sciences, 12(7), 958. https://doi.org/10.3390/brainsci12070958

