Post-Stroke Asymmetric Prurigo Nodularis Responding to Dupilumab Treatment: A Case Report
Abstract
1. Introduction
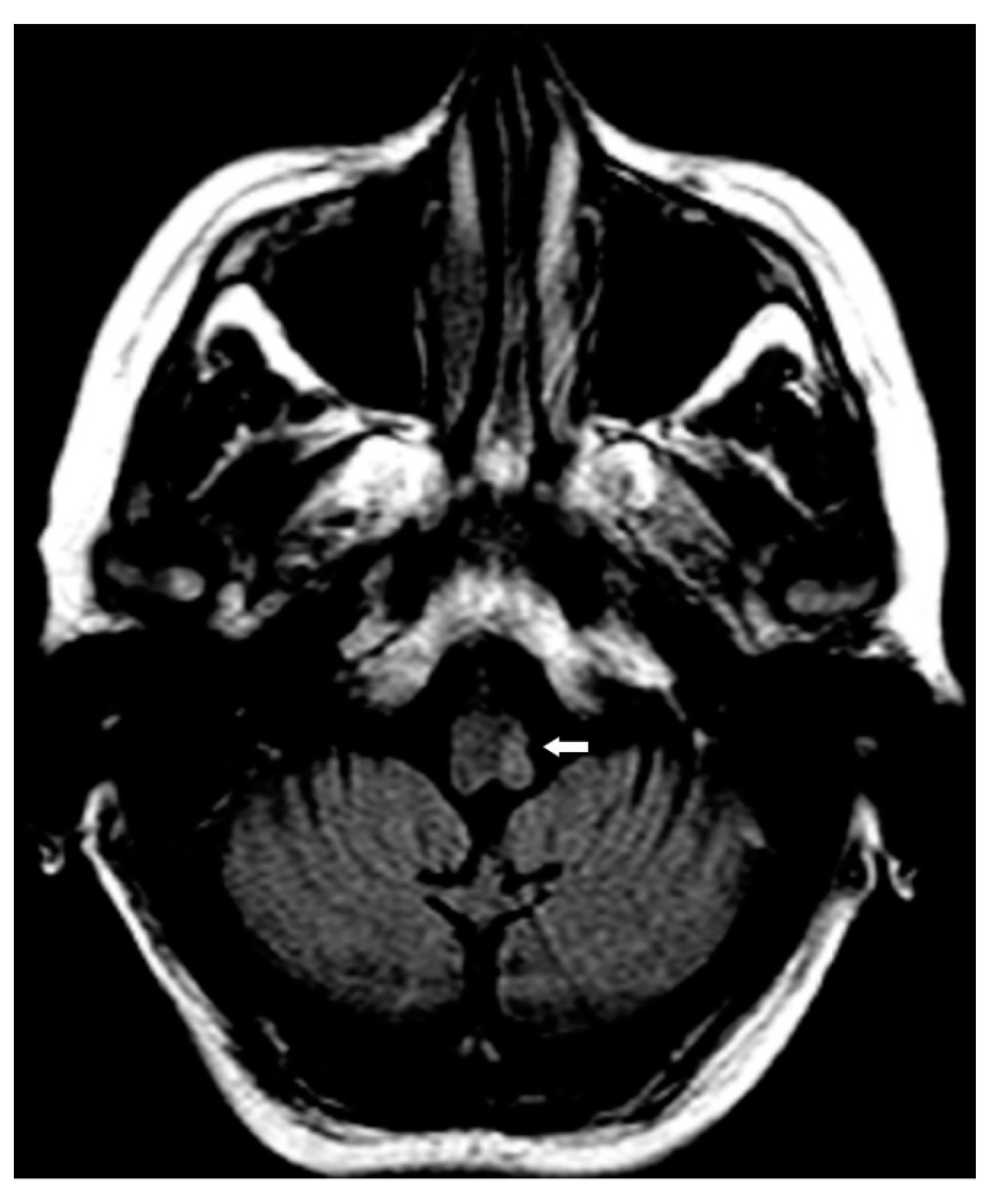
2. Case Presentation
3. Discussion
Author Contributions
Funding
Institutional Review Board Statement
Informed Consent Statement
Data Availability Statement
Conflicts of Interest
References
- Steinhoff, M.; Schmelz, M.; Szabó, I.L.; Oaklander, A.L. Clinical presentation, management, and pathophysiology of neuropathic itch. Lancet Neurol. 2018, 17, 709–720. [Google Scholar] [CrossRef]
- Dhand, A.; Aminoff, M.J. The neurology of itch. Brain 2014, 137, 313–322. [Google Scholar] [CrossRef] [PubMed]
- Zeidler, C.; Yosipovitch, G.; Ständer, S. Prurigo Nodularis and Its Management. Dermatol. Clin. 2018, 36, 189–197. [Google Scholar] [CrossRef] [PubMed]
- Nettis, E.; Ortoncelli, M.; Pellacani, G.; Foti, C.; Di Leo, E.; Patruno, C.; Rongioletti, F.; Argenziano, G.; Ferrucci, S.M.; Macchia, L.; et al. A Multicenter Study on the Prevalence of Clinical Patterns and Clinical Phenotypes in Adult Atopic Dermatitis. J. Investig. Allergy Clin. Immunol. 2020, 30, 448–450. [Google Scholar] [CrossRef]
- Bhatia, K.; Kataria, R.; Parekh, N.; Kothari, J.; Kumar, R. Unilateral prurigo nodularis: A rare presentation. Int. J. Res. Med. Sci. 2014, 2, 1165. [Google Scholar] [CrossRef][Green Version]
- Tsianakas, A.; Zeidler, C.; Ständer, S. Prurigo Nodularis Management. Curr. Probl. Dermatol. 2016, 50, 94–101. [Google Scholar] [CrossRef]
- Dastoli, S.; Nisticò, S.P.; Morrone, P.; Patruno, C.; Leo, A.; Citraro, R.; Gallelli, L.; Russo, E.; De Sarro, G.; Bennardo, L. Colchicine in Managing Skin Conditions: A Systematic Review. Pharmaceutics 2022, 14, 294. [Google Scholar] [CrossRef]
- Pereira, M.P.; Ständer, S. Assessment of severity and burden of pruritus. Allergol. Int. 2017, 66, 3–7. [Google Scholar] [CrossRef]
- Zhang, S.-Q.; Liu, M.-Y.; Wan, B.; Zheng, H.-M. Contralateral Body Half Hypalgesia in a Patient with Lateral Medullary Infarction: Atypical Wallenberg Syndrome. Eur. Neurol. 2008, 59, 211–215. [Google Scholar] [CrossRef]
- PaRathan, K.K.; Kannan, R.; Chitrambalam, P.; Aiyappan, S.K.; Deepthi, N. A Rare Variant of Wallenberg’s Syndrome: Opalski syndrome. J. Clin. Diagn. Res. 2014, 8, MD05. [Google Scholar] [CrossRef]
- Ganguly, S.; Krishna, C.; Parmar, N.V.; Kuruvila, S.; Phansalkar, D. Unilateral pruritus following stroke. Indian J. Dermatol. Venereol. Leprol. 2015, 81, 186–188. [Google Scholar] [CrossRef]
- Kim, J.S. Pure lateral medullary infarction: Clinical-radiological correlation of 130 acute, consecutive patients. Brain 2003, 126 Pt 8, 1864–1872. [Google Scholar] [CrossRef] [PubMed]
- Seo, W.K.; Kwon, D.Y.; Seo, S.H.; Park, K.W.; Park, M.H. Neuropathic pruritus following Wallenberg syndrome. Neurology 2009, 72, 676. [Google Scholar] [CrossRef] [PubMed]
- Williams, K.A.; Huang, A.H.; Belzberg, M.; Kwatra, S.G. Prurigo nodularis: Pathogenesis and management. J. Am. Acad. Dermatol. 2020, 83, 1567–1575. [Google Scholar] [CrossRef] [PubMed]
- Morelli, P.; Gaspari, M.; Gabriele, C.; Dastoli, S.; Bennardo, L.; Pavel, A.B.; Patruno, C.; Del Duca, E.; Nisticò, S.P. Proteomic analysis from skin swabs reveals a new set of proteins identifying skin impairment in atopic dermatitis. Exp. Dermatol. 2021, 30, 811–819. [Google Scholar] [CrossRef] [PubMed]
- Dattola, A.; Bennardo, L.; Silvestri, M.; Nisticò, S.P. What’s new in the treatment of atopic dermatitis? Dermatol. Ther. 2019, 32, e12787. [Google Scholar] [CrossRef]
- Holm, J.G.; Agner, T.; Sand, C.; Thomsen, S.F. Dupilumab for prurigo nodularis: Case series and review of the literature. Dermatol. Ther. 2020, 33, e13222. [Google Scholar] [CrossRef] [PubMed]
- Hendricks, A.J.; Yosipovitch, G.; Shi, V.Y. Dupilumab use in dermatologic conditions beyond atopic dermatitis—A systematic review. J. Dermatol. Treat. 2021, 32, 19–28. [Google Scholar] [CrossRef]
- Potestio, L.; Napolitano, M.; Bennardo, L.; Fabbrocini, G.; Patruno, C. Atopic dermatitis exacerbation after COVID-19 vaccination in Dupilumab-treated patients. J. Eur. Acad. Dermatol. Venereol. 2022. [Google Scholar] [CrossRef]
- Nettis, E.; Ferrucci, S.M.; Pellacani, G.; Di Leo, E.; Argenziano, G.; Foti, C.; Rongioletti, F.; Patruno, C.; Ortoncelli, M.; Macchia, L.; et al. Dupilumab in atopic dermatitis: Predictors of treatment outcome and time to response. J. Eur. Acad. Dermatol. Venereol. 2021, 35, e896–e898. [Google Scholar] [CrossRef]
- Chu, J.; Genece, J.; Amir, Y.; Lebwohl, M. Asymmetric Prurigo Nodularis after Paralysis: A Case Report. Ski. J. Cutan. Med. 2020, 4, 94–96. [Google Scholar] [CrossRef]
- Kwatra, S.G. Breaking the Itch–Scratch Cycle in Prurigo Nodularis. N. Engl. J. Med. 2020, 382, 757–758. [Google Scholar] [CrossRef] [PubMed]
- Müller, S.; Bieber, T.; Ständer, S. Therapeutic potential of biologics in prurigo nodularis. Expert Opin. Biol. Ther. 2022, 22, 47–58. [Google Scholar] [CrossRef] [PubMed]



Publisher’s Note: MDPI stays neutral with regard to jurisdictional claims in published maps and institutional affiliations. |
© 2022 by the authors. Licensee MDPI, Basel, Switzerland. This article is an open access article distributed under the terms and conditions of the Creative Commons Attribution (CC BY) license (https://creativecommons.org/licenses/by/4.0/).
Share and Cite
Sammarra, I.; Bennardo, L.; Provenzano, E.; Patruno, C.; Nisticò, S.P. Post-Stroke Asymmetric Prurigo Nodularis Responding to Dupilumab Treatment: A Case Report. Brain Sci. 2022, 12, 605. https://doi.org/10.3390/brainsci12050605
Sammarra I, Bennardo L, Provenzano E, Patruno C, Nisticò SP. Post-Stroke Asymmetric Prurigo Nodularis Responding to Dupilumab Treatment: A Case Report. Brain Sciences. 2022; 12(5):605. https://doi.org/10.3390/brainsci12050605
Chicago/Turabian StyleSammarra, Ilaria, Luigi Bennardo, Eugenio Provenzano, Cataldo Patruno, and Steven Paul Nisticò. 2022. "Post-Stroke Asymmetric Prurigo Nodularis Responding to Dupilumab Treatment: A Case Report" Brain Sciences 12, no. 5: 605. https://doi.org/10.3390/brainsci12050605
APA StyleSammarra, I., Bennardo, L., Provenzano, E., Patruno, C., & Nisticò, S. P. (2022). Post-Stroke Asymmetric Prurigo Nodularis Responding to Dupilumab Treatment: A Case Report. Brain Sciences, 12(5), 605. https://doi.org/10.3390/brainsci12050605

