Considering Hemispheric Specialization in Emotional Face Processing: An Eye Tracking Study in Left- and Right-Lateralised Semantic Dementia
Abstract
:1. Introduction
2. Materials and Methods
2.1. Participants
2.2. Cognitive Assessment
2.3. Facial Expression Processing Tasks
2.4. Eye-Tracking Paradigm
2.5. Statistical Analyses
2.6. Voxel-Based Morphometry (VBM) Procedure
3. Results
3.1. Demographics and Neuropsychological Performance
3.2. Facial Expression Recognition Performance
3.3. Eye-Tracking Analyses
3.3.1. Number of Fixations
3.3.2. Relationship between Fixations and Facial Expression Recognition
3.4. Neuroimaging Acquisition and Analysis
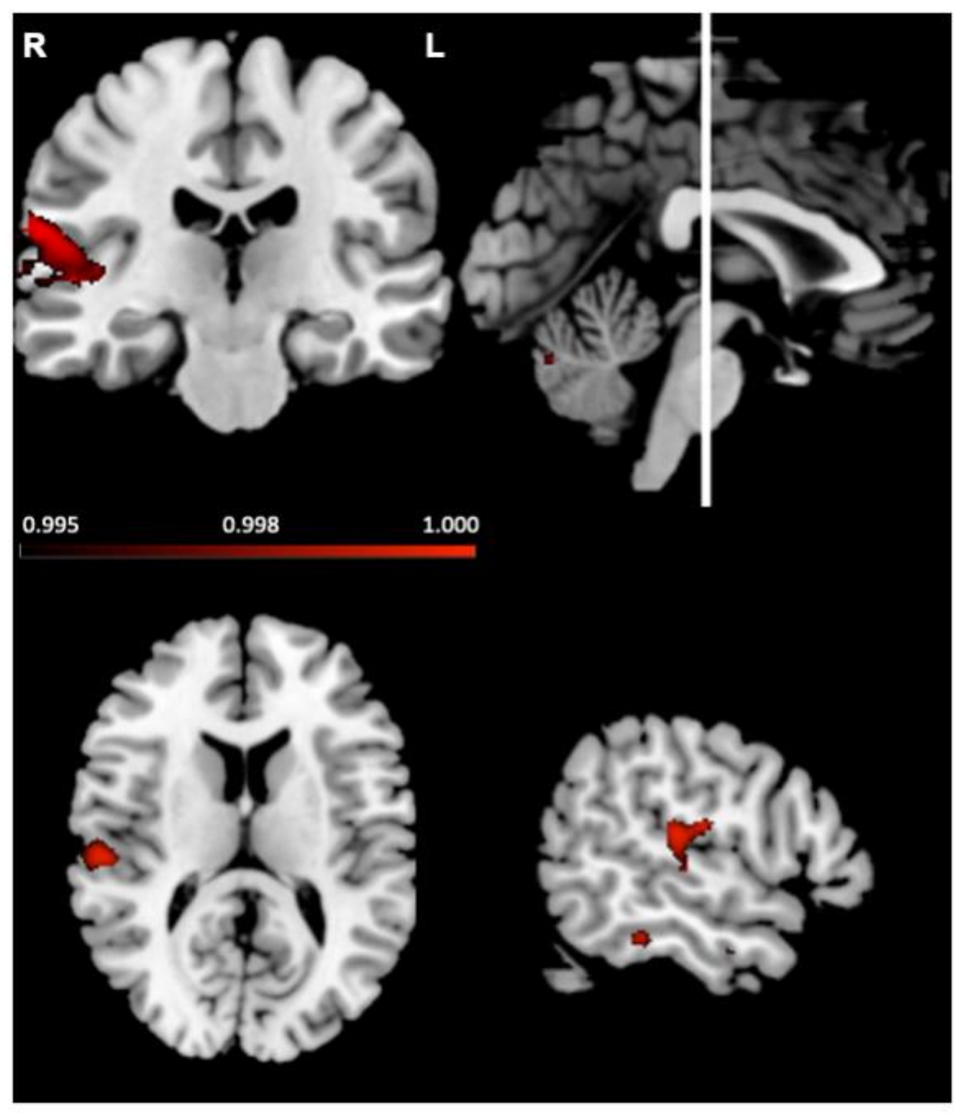
3.4.1. Atrophy Analysis
3.4.2. Covariate Analysis: Fixations to the Eyes
4. Discussion
5. Conclusions
Supplementary Materials
Author Contributions
Funding
Institutional Review Board Statement
Informed Consent Statement
Data Availability Statement
Acknowledgments
Conflicts of Interest
References
- Haxby, J.V.; Hoffman, E.A.; Gobbini, M.I. The distributed human neural system for face perception. Trends Cogn. Neurosci. 2000, 4, 223–233. [Google Scholar] [CrossRef]
- Rossion, B.; Hanseeuw, B.; Dricot, L. Defining face perception areas in the human brain: A large-scale factorial fMRI face localizer analysis. Brain Cogn. 2012, 79, 138–157. [Google Scholar] [CrossRef]
- Sergent, J.; Ohta, S.; Macdonald, B. Functional neuroanatomy of face and object processing. Brain 1992, 115, 15–36. [Google Scholar] [CrossRef]
- Jonas, J.; Rossion, B. Intracerebral electrical stimulation to understand the neural basis of human face identity recognition. Eur. J. Neurosci. 2021, 54, 4197–4211. [Google Scholar] [CrossRef]
- Mayer, E.; Rossion, B. Prosopagnosia. In The behavioural and cognitive neurology of stroke; Godefroy, O., Bogousslavsky, J., Eds.; Cambridge University Press: Cambridge, UK, 2007; pp. 315–334. [Google Scholar]
- Ekman, P. An argument for basic emotions. Cogn. Emot. 1992, 6, 169–200. [Google Scholar] [CrossRef]
- Whalen, P.J.; Kagan, J.; Cook, R.G.; Davis, F.C.; Kim, H.; Polis, S.; McLaren, D.G.; Somerville, L.H.; McLean, A.A.; Maxwell, J.S. Human amygdala responsivity to masked fearful eye whites. Science 2004, 306, 2061. [Google Scholar] [CrossRef] [PubMed]
- Smith, M.L.; Cottrell, G.W.; Gosselin, F.; Schyns, P.G. Transmitting and decoding facial expressions. Psychol. Sci. 2005, 16, 184–189. [Google Scholar] [CrossRef] [Green Version]
- Adolphs, R.; Gosselin, F.; Buchanan, T.W.; Tranel, D.; Schyns, P.; Damasio, A.R. A mechanism for impaired fear recognition after amygdala damage. Nature 2005, 433, 68–72. [Google Scholar] [CrossRef] [PubMed]
- Spezio, M.L.; Adolphs, R.; Hurley, R.S.; Piven, J. Abnormal use of facial information in high-functioning autism. J. Autism Dev. Disord. 2007, 37, 929–939. [Google Scholar] [CrossRef]
- Janik, S.W.; Wellens, A.R.; Goldberg, M.L.; Dell’Osso, L.F. Eyes as the center of focus in the visual examination of human faces. Percept. Mot. Ski. 1978, 47, 857–858. [Google Scholar] [CrossRef] [PubMed] [Green Version]
- Adolphs, R. What does the amygdala contribute to social cognition? Ann. N. Y. Acad. Sci. 2010, 1191, 42–61. [Google Scholar] [CrossRef] [Green Version]
- Adolphs, R. Neural systems for recognizing emotion. Curr. Opin. Neurobiol. 2002, 12, 169–177. [Google Scholar] [CrossRef]
- Boucsein, K.; Weniger, G.; Mursch, K.; Steinhoff, B.J.; Irle, E. Amygdala lesion in temporal lobe epilepsy subjects impairs associative learning of emotional facial expressions. Neuropsychologia 2001, 39, 231–236. [Google Scholar] [CrossRef]
- Pegna, A.J.; Khateb, A.; Lazeyras, F.; Seghier, M.L. Discriminating emotional faces without primary visual cortices involves the right amygdala. Nat. Neurosci. 2005, 8, 24–25. [Google Scholar] [CrossRef]
- Hoffman, E.A.; Haxby, J.V. Distinct representations of eye gaze and identity in the distributed human neural system for face perception. Nat. Neurosci. 2000, 3, 80–84. [Google Scholar] [CrossRef] [PubMed]
- Puce, A.; Allison, T.; Bentin, S.; Gore, J.C.; McCarthy, G. Temporal cortex activation in humans viewing eye and mouth movements. J. Neurosci. 1998, 18, 2188–2199. [Google Scholar] [CrossRef] [PubMed] [Green Version]
- Vuilleumier, P.; Armony, J.L.; Driver, J.; Dolan, R.J. Effects of attention and emotion on face processing in the human brain: An event-related fMRI study. Neuron 2001, 30, 829–841. [Google Scholar] [CrossRef] [Green Version]
- Engell, A.D.; Haxby, J.V. Facial expression and gaze-direction in human superior temporal sulcus. Neuropsychologia 2007, 45, 3234–3241. [Google Scholar] [CrossRef]
- Hodges, J.R.; Patterson, K. Semantic dementia: A unique clinicopathological syndrome. Lancet Neurol. 2007, 6, 1004–1014. [Google Scholar] [CrossRef]
- Gorno-Tempini, M.; Hillis, A.; Weintraub, S.; Kertesz, A.; Mendez, M.; Cappa, S.; Ogar, J.; Rohrer, J.; Black, S.; Boeve, B. Classification of primary progressive aphasia and its variants. Neurology 2011, 76, 1006–1014. [Google Scholar] [CrossRef] [PubMed] [Green Version]
- Galton, C.J.; Patterson, K.; Graham, K.; Lambon-Ralph, M.; Williams, G.; Antoun, N.; Sahakian, B.; Hodges, J. Differing patterns of temporal atrophy in Alzheimer’s disease and semantic dementia. Neurology 2001, 57, 216–225. [Google Scholar] [CrossRef] [Green Version]
- Chan, D.; Anderson, V.; Pijnenburg, Y.; Whitwell, J.; Barnes, J.; Scahill, R.; Stevens, J.M.; Barkhof, F.; Scheltens, P.; Rossor, M.N. The clinical profile of right temporal lobe atrophy. Brain 2009, 132, 1287–1298. [Google Scholar] [CrossRef]
- Kumfor, F.; Landin-Romero, R.; Devenney, E.; Hutchings, R.; Grasso, R.; Hodges, J.R.; Piguet, O. On the right side? A longitudinal study of left- versus right-lateralized semantic dementia. Brain 2016, 139, 986–998. [Google Scholar] [CrossRef] [Green Version]
- Hodges, J.R.; Mitchell, J.; Dawson, K.; Spillantini, M.G.; Xuereb, J.H.; McMonagle, P.; Nestor, P.J.; Patterson, K. Semantic dementia: Demography, familial factors and survival in a consecutive series of 100 cases. Brain 2010, 133, 300–306. [Google Scholar] [CrossRef] [Green Version]
- Kamminga, J.; Kumfor, F.; Burrell, J.R.; Piguet, O.; Hodges, J.R.; Irish, M. Differentiating between right-lateralised semantic dementia and behavioural-variant frontotemporal dementia: An examination of clinical characteristics and emotion processing. J. Neurol. Neurosurg. Psychiatry 2014, 86, 1082–1088. [Google Scholar] [CrossRef]
- Irish, M.; Kumfor, F.; Hodges, J.R.; Piguet, O. A tale of two hemispheres: Contrasting socioemotional dysfunction in right-versus left-lateralised semantic dementia; Um conto sobre dois hemisférios: Contrastando a disfunção socioemocional na demência semântica com atrofia lateralizada à direita versus esquerda. Dement. Neuropsychol. 2013, 7, 88–95. [Google Scholar]
- Evans, J.J.; Heggs, A.; Antoun, N.; Hodges, J.R. Progressive prosopagnosia associated with selective right temporal lobe atrophy. Brain 1995, 118, 1–13. [Google Scholar] [CrossRef]
- Thompson, S.A.; Patterson, K.; Hodges, J.R. Left/right asymmetry of atrophy in semantic dementia Behavioral–cognitive implications. Neurology 2003, 61, 1196–1203. [Google Scholar] [CrossRef] [PubMed]
- Hutchings, R.; Palermo, R.; Piguet, O.; Kumfor, F. Disrupted face processing in frontotemporal dementia: A review of the clinical and neuroanatomical evidence. Neuropsychol. Rev. 2017, 27, 18–30. [Google Scholar] [CrossRef] [PubMed]
- Kumfor, F.; Miller, L.; Lah, S.; Hsieh, S.; Savage, S.; Hodges, J.R.; Piguet, O. Are you really angry? The effect of intensity on facial emotion recognition in frontotemporal dementia. Soc. Neurosci. 2011, 6, 502–514. [Google Scholar] [CrossRef] [PubMed]
- Hsieh, S.; Schubert, S.; Hoon, C.; Mioshi, E.; Hodges, J.R. Validation of the Addenbrooke’s Cognitive Examination III in Frontotemporal Dementia and Alzheimer’s Disease. Dement. Geriatr. Cogn. Disord. 2013, 36, 242–250. [Google Scholar] [CrossRef]
- Miller, L.A.; Hsieh, S.; Lah, S.; Savage, S.; Hodges, J.R.; Piguet, O. One size does not fit all: Face emotion processing impairments in semantic dementia, behavioural-variant frontotemporal dementia and alzheimer’s disease are mediated by distinct cognitive deficits. Behav. Neurol. 2012, 25, 53–60. [Google Scholar] [CrossRef] [PubMed]
- Kumfor, F.; Irish, M.; Hodges, J.R.; Piguet, O. Discrete neural correlates for the recognition of negative emotions: Insights from frontotemporal dementia. PLoS ONE 2013, 8, e67457. [Google Scholar] [CrossRef] [PubMed] [Green Version]
- Hutchings, R.; Hodges, J.R.; Piguet, O.; Kumfor, F. Why should I care? Dimensions of socio-emotional cognition in younger-onset dementia. J. Alzheimer’s Dis. 2015, 48, 135–147. [Google Scholar] [CrossRef] [PubMed]
- Rosen, H.J.; Pace-Savitsky, K.; Perry, R.J.; Kramer, J.H.; Miller, B.L.; Levenson, R.W. Recognition of emotion in the frontal and temporal variants of frontotemporal dementia. Dement. Geriatr. Cogn. Disord. 2004, 17, 277–281. [Google Scholar] [CrossRef]
- Lindquist, K.A.; Gendron, M.; Barrett, L.F.; Dickerson, B.C. Emotion perception, but not affect perception, is impaired with semantic memory loss. Emotion 2014, 14, 375. [Google Scholar] [CrossRef] [Green Version]
- Perry, R.; Rosen, H.; Kramer, J.; Beer, J.; Levenson, R.; Miller, B. Hemispheric dominance for emotions, empathy and social behaviour: Evidence from right and left handers with frontotemporal dementia. Neurocase 2001, 7, 145–160. [Google Scholar] [CrossRef] [PubMed]
- Binney, R.J.; Henry, M.L.; Babiak, M.; Pressman, P.S.; Santos-Santos, M.A.; Narvid, J.; Mandelli, M.L.; Strain, P.J.; Miller, B.L.; Rankin, K.P. Reading words and other people: A comparison of exception word, familiar face and affect processing in the left and right temporal variants of primary progressive aphasia. Cortex 2016, 82, 147–163. [Google Scholar] [CrossRef] [PubMed] [Green Version]
- Marshall, C.R.; Hardy, C.J.; Allen, M.; Russell, L.L.; Clark, C.N.; Bond, R.L.; Dick, K.M.; Brotherhood, E.V.; Rohrer, J.D.; Kilner, J.M. Cardiac responses to viewing facial emotion differentiate frontotemporal dementias. Ann. Clin. Transl. Neurol. 2018, 5, 687–696. [Google Scholar] [CrossRef] [PubMed]
- Gefen, T.; Wieneke, C.; Martersteck, A.; Whitney, K.; Weintraub, S.; Mesulam, M.-M.; Rogalski, E. Naming vs knowing faces in primary progressive aphasia A tale of 2 hemispheres. Neurology 2013, 81, 658–664. [Google Scholar] [CrossRef] [Green Version]
- Snowden, J.; Thompson, J.; Neary, D. Knowledge of famous faces and names in semantic dementia. Brain 2004, 127, 860–872. [Google Scholar] [CrossRef]
- Adolphs, R. The neurobiology of social cognition. Curr. Opin. Neurobiol. 2001, 11, 231–239. [Google Scholar] [CrossRef]
- Josephs, K.A.; Whitwell, J.L.; Knopman, D.S.; Boeve, B.F.; Vemuri, P.; Senjem, M.; Parisi, J.E.; Ivnik, R.J.; Dickson, D.W.; Petersen, R.C. Two distinct subtypes of right temporal variant frontotemporal dementia. Neurology 2009, 73, 1443–1450. [Google Scholar] [CrossRef] [PubMed] [Green Version]
- Mioshi, E.; Dawson, K.; Mitchell, J.; Arnold, R.; Hodges, J.R. The Addenbrooke’s Cognitive Examination Revised (ACE-R): A brief cognitive test battery for dementia screening. Int. J. Geriatr. Psychiatry 2006, 21, 1078–1085. [Google Scholar] [CrossRef]
- So, M.; Foxe, D.; Kumfor, F.; Murray, C.; Hsieh, S.; Savage, G.; Ahmed, R.M.; Burrell, J.R.; Hodges, J.R.; Irish, M. Addenbrooke’s cognitive examination III: Psychometric characteristics and relations to functional ability in dementia. J. Int. Neuropsychol. Soc. 2018, 24, 854–863. [Google Scholar] [CrossRef]
- Savage, S.; Hsieh, S.; Leslie, F.; Foxe, D.; Piguet, O.; Hodges, J.R. Distinguishing subtypes in primary progressive aphasia: Application of the Sydney language battery. Dement. Geriatr. Cogn. Disord. 2013, 35, 208–218. [Google Scholar] [CrossRef] [PubMed]
- Rey, A. L’examen psychologique dans les cas d’encéphalopathie traumatique.(Les problems.). Arch. De Psychol. 1941, 28, 215–285. [Google Scholar]
- Kumfor, F.; Irish, M.; Leyton, C.; Miller, L.; Lah, S.; Devenney, E.; Hodges, J.R.; Piguet, O. Tracking the progression of social cognition in neurodegenerative disorders. J. Neurol. Neurosurg. Psychiatry 2014, 85, 1076–1083. [Google Scholar] [CrossRef] [Green Version]
- Hutchings, R.; Palermo, R.; Bruggemann, J.; Hodges, J.R.; Piguet, O.; Kumfor, F. Looking but not seeing: Increased eye fixations in behavioural-variant frontotemporal dementia. Cortex 2018, 103, 71–81. [Google Scholar] [CrossRef] [PubMed]
- Ekman, P.; Friesen, W.V.; Press, C.P. Pictures of Facial Affect; Consulting Psychologists Press: Palo Alto, CA, USA, 1976. [Google Scholar]
- Zhang, Y.; Brady, M.; Smith, S. Segmentation of brain MR images through a hidden Markov random field model and the expectation-maximization algorithm. IEEE Trans. Med. Imaging 2001, 20, 45–57. [Google Scholar] [CrossRef]
- Andersson, J.L.; Jenkinson, M.; Smith, S. Non-linear registration, aka Spatial normalisation FMRIB technical report TR07JA2. FMRIB Anal. Group Univ. Oxf. 2007, 2, e21. [Google Scholar]
- Rueckert, D.; Sonoda, L.I.; Hayes, C.; Hill, D.L.; Leach, M.O.; Hawkes, D.J. Nonrigid registration using free-form deformations: Application to breast MR images. IEEE Trans. Med Imaging 1999, 18, 712–721. [Google Scholar] [CrossRef] [PubMed]
- Irish, M.; Addis, D.R.; Hodges, J.R.; Piguet, O. Considering the role of semantic memory in episodic future thinking: Evidence from semantic dementia. Brain 2012, 135, 2178–2191. [Google Scholar] [CrossRef] [PubMed] [Green Version]
- Sollberger, M.; Stanley, C.M.; Wilson, S.M.; Gyurak, A.; Beckman, V.; Growden, M.E.; Jang, J.; Weiner, M.W.; Miller, B.L.; Rankin, K. Neural basis of interpersonal traits in neurodegenerative diseases. Neuropsychologia 2009, 47, 2817–2827. [Google Scholar] [CrossRef] [PubMed] [Green Version]
- Lieberman, M.D.; Cunningham, W.A. Type I and Type II error concerns in fMRI research: Re-balancing the scale. Soc. Cogn. Affect. Neurosci. 2009, 4, 423–428. [Google Scholar] [CrossRef] [PubMed] [Green Version]
- Noble, S.; Scheinost, D.; Constable, R.T. Cluster failure or power failure? Evaluating sensitivity in cluster-level inference. Neuroimage 2020, 209, 116468. [Google Scholar] [CrossRef] [PubMed]
- Narumoto, J.; Okada, T.; Sadato, N.; Fukui, K.; Yonekura, Y. Attention to emotion modulates fMRI activity in human right superior temporal sulcus. Cogn. Brain Res. 2001, 12, 225–231. [Google Scholar] [CrossRef]
- Pelphrey, K.A.; Morris, J.P.; Michelich, C.R.; Allison, T.; McCarthy, G. Functional anatomy of biological motion perception in posterior temporal cortex: An fMRI study of eye, mouth and hand movements. Cereb. Cortex 2005, 15, 1866–1876. [Google Scholar] [CrossRef] [Green Version]
- De Winter, F.-L.; Zhu, Q.; Van den Stock, J.; Nelissen, K.; Peeters, R.; de Gelder, B.; Vanduffel, W.; Vandenbulcke, M. Lateralization for dynamic facial expressions in human superior temporal sulcus. Neuroimage 2015, 106, 340–352. [Google Scholar] [CrossRef]
- Pitcher, D.; Japee, S.; Rauth, L.; Ungerleider, L.G. The superior temporal sulcus is causally connected to the amygdala: A combined TBS-fMRI study. J. Neurosci. 2016, 37, 1156–1161. [Google Scholar] [CrossRef] [Green Version]
- Allison, T.; Puce, A.; McCarthy, G. Social perception from visual cues: Role of the STS region. Trends Cogn. Sci. 2007, 4, 267–278. [Google Scholar] [CrossRef]
- Hsiao, J.H.-w.; Cottrell, G. Two fixations suffice in face recognition. Psychol. Sci. 2008, 19, 998–1006. [Google Scholar] [CrossRef] [PubMed]
- Hutchings, R.; Palermo, R.; Bruggemann, J.; Hodges, J.; Piguet, O.; Kumfor, F. Looking but not seeing: Understanding emotional face perception in behavioural-variant frontotemporal dementia. Cortex 2018, 138, 71–81. [Google Scholar] [CrossRef]
- Borghesani, V.; Battistella, G.; Mandelli, M.L.; Welch, A.; Weis, E.; Younes, K.; Neuhaus, J.; Grinberg, L.T.; Seeley, W.M.; Spina, S.; et al. Regional and hemispheric susceptibility of the temporal lobe to FTLD-TDP type C pathology. NeuroImage Clin. 2020, 28, 102369. [Google Scholar] [CrossRef]
- Oliva, M.; Anikin, A. Pupil dilation reflects the time course of emotion recognition in human vocalizations. Sci. Rep. 2018, 8, 4871. [Google Scholar] [CrossRef] [Green Version]
- Kumfor, F.; Hazelton, J.L.; Rushby, J.A.; Hodges, J.R.; Piguet, O. Facial expressiveness and physiological arousal in frontotemporal dementia: Phenotypic clinical profiles and neural correlates. Cogn. Affect. Behav. Neurosci. 2019, 19, 197–210. [Google Scholar] [CrossRef] [PubMed] [Green Version]
- Fong, S.S.; Navarrete, C.D.; Perfecto, S.E.; Carr, A.R.; Jimenez, E.E.; Mendez, M.F. Behavioral and autonomic reactivity to moral dilemmas in frontotemporal dementia versus Alzheimer’s disease. Soc. Neurosci. 2017, 12, 409–418. [Google Scholar] [CrossRef] [PubMed]
- Sturm, V.E.; Sible, I.J.; Datta, S.; Hua, A.Y.; Perry, D.C.; Kramer, J.H.; Miller, B.L.; Seeley, W.W.; Rosen, H.J. Resting parasympathetic dysfunction predicts prosocial helping deficits in behavioral variant frontotemporal dementia. Cortex 2018, 109, 141–155. [Google Scholar] [CrossRef] [PubMed]
- Eisenbarth, H.; Alpers, G.W. Happy mouth and sad eyes: Scanning emotional facial expressions. Emotion 2011, 11, 860. [Google Scholar] [CrossRef] [Green Version]
- Adolphs, R. Perception and emotion: How we recognize facial expressions. Curr. Dir. Psychol. Sci. 2006, 15, 222–226. [Google Scholar] [CrossRef]






| Controls (n = 22) | Left-SD (n = 10) | Right-SD (n = 6) | F Value | p Value | Post Hoc | |
|---|---|---|---|---|---|---|
| Age (years) | 65.0 ± 7.1 | 65.6 ± 5.1 | 62.6 ± 10.3 | 0.4 | ns | - |
| Education (years) | 14.0 ± 2.5 | 12.9 ± 3.4 | 13.5 ± 3.8 | 0.5 | ns | - |
| Sex (m/f) | 11/11 | 6/4 | 4/2 | 0.7 ^ | ns | - |
| Disease Duration (months) | n/a | 75.3 ± 30.7 | 81.9 ± 35.6 | 0.7 | ns | - |
| FRS a (Rasch Score) | n/a | 0.04 ± 1.7 | 0.4 ± 0.9 | 0.2 | ns | - |
| SYDBAT—Naming b (/30) | 27.5 ± 1.5 | 9.6 ± 5.1 | 13.0 ± 10.1 | 54.5 | ** | left-SD, right-SD < controls |
| SYDBAT—Comprehension b (/30) | 29.5 ± 0.9 | 20.0 ± 7.6 | 18.0 ± 10.1 | 16.9 | ** | left-SD, right-SD < controls |
| RCF—Copy (/36) | 33.1 ± 2.1 | 31.4 ± 3.1 | 29.1 ± 2.8 | 6.8 | * | right-SD < controls |
| ACE (/100) | 95.8 ± 2.4 | 59.8 ± 22.2 | 71.7 ± 22.1 | 24.5 | ** | left-SD, right-SD < controls |
| ACE subdomains (%) | ||||||
| Fluency | 88.3 ± 9.0 | 37.9 ± 25.7 | 50.0 ± 32.6 | 27.2 | ** | left-SD, right-SD < controls |
| Orientation/Attention | 96.2 ± 6.3 | 80.6 ± 25.7 | 89.8 ± 15.1 | 3.8 | * | left-SD < controls |
| Memory | 94.8 ± 5.9 | 51.5 ± 30.0 | 69.2 ± 27.1 | 21.7 | ** | left-SD, right-SD < controls |
| Language | 99.0 ± 2.1 | 48.8 ± 21.3 | 63.5 ± 26.2 | 44.3 | ** | left-SD, right-SD < controls |
| Visuospatial | 98.6 ± 2.7 | 86.9 ± 27.9 | 87.5 ± 19.8 | 2.3 | ns | - |
| Controls (n = 22) | Left-SD (n = 10) | Right-SD (n = 6) | F Value | p Value | Post Hoc | |
|---|---|---|---|---|---|---|
| Facial affect discrimination (%) | 87.2 ± 3.1 | 79.9 ± 8.6 | 76.2 ± 9.2 | 10.4 | ** | left-SD, right-SD < controls |
| Facial affect selection (%) | 92.4 ± 5.8 | 78.0 ± 8.8 | 63.1 ± 20.0 | 23.1 | ** | right-SD < left-SD < controls |
| Facial affect selection task by emotion | ||||||
| Fear (%) | 88.6 ± 13.0 | 64.8 ± 28.2 | 41.7 ± 36.1 | 12.5 | ** | right-SD, left-SD < controls |
| Happy (%) | 98.5 ± 4.9 | 98.1± 5.6 | 88.9 ± 17.2 | 3.0 | * | right-SD < controls |
| Neutral (%) | 100.0 ± 0.0 | 98.1 ± 5.6 | 72.2 ± 25.1 | 24.1 | ** | right-SD < left-SD, controls |
| Regions | Hemisphere | MNI Coordinates | Number of Voxels | ||
|---|---|---|---|---|---|
| x | y | z | |||
| Planum temporale; supramarginal gyrus; precentral gyrus; superior temporal gyrus; Heschl’s gyrus (H1 and H2) | right | 62 | −22 | 18 | 463 |
Publisher’s Note: MDPI stays neutral with regard to jurisdictional claims in published maps and institutional affiliations. |
© 2021 by the authors. Licensee MDPI, Basel, Switzerland. This article is an open access article distributed under the terms and conditions of the Creative Commons Attribution (CC BY) license (https://creativecommons.org/licenses/by/4.0/).
Share and Cite
Hutchings, R.; Palermo, R.; Hazelton, J.L.; Piguet, O.; Kumfor, F. Considering Hemispheric Specialization in Emotional Face Processing: An Eye Tracking Study in Left- and Right-Lateralised Semantic Dementia. Brain Sci. 2021, 11, 1195. https://doi.org/10.3390/brainsci11091195
Hutchings R, Palermo R, Hazelton JL, Piguet O, Kumfor F. Considering Hemispheric Specialization in Emotional Face Processing: An Eye Tracking Study in Left- and Right-Lateralised Semantic Dementia. Brain Sciences. 2021; 11(9):1195. https://doi.org/10.3390/brainsci11091195
Chicago/Turabian StyleHutchings, Rosalind, Romina Palermo, Jessica L. Hazelton, Olivier Piguet, and Fiona Kumfor. 2021. "Considering Hemispheric Specialization in Emotional Face Processing: An Eye Tracking Study in Left- and Right-Lateralised Semantic Dementia" Brain Sciences 11, no. 9: 1195. https://doi.org/10.3390/brainsci11091195
APA StyleHutchings, R., Palermo, R., Hazelton, J. L., Piguet, O., & Kumfor, F. (2021). Considering Hemispheric Specialization in Emotional Face Processing: An Eye Tracking Study in Left- and Right-Lateralised Semantic Dementia. Brain Sciences, 11(9), 1195. https://doi.org/10.3390/brainsci11091195

