Evaluation of Intervention Effectiveness of Sensory Compensatory Training with Tactile Discrimination Feedback on Sensorimotor Dysfunction of the Hand after Stroke
Abstract
1. Introduction
2. Materials and Methods
2.1. Case Introduction
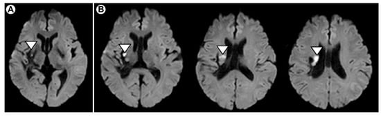
2.2. Initial Physical Therapy Assessment
2.3. Intervention and Evaluation
3. Results
4. Discussion
5. Conclusions
Author Contributions
Funding
Institutional Review Board Statement
Informed Consent Statement
Data Availability Statement
Acknowledgments
Conflicts of Interest
References
- Ingemanson, M.L.; Rowe, J.R.; Chan, V.; Riley, J.; Wolbrecht, E.T.; Reinkensmeyer, D.J.; Cramer, S.C. Neural Correlates of Passive Position Finger Sense After Stroke. Neurorehabil. Neural Repair. 2019, 33, 740–750. [Google Scholar] [CrossRef] [PubMed]
- Kwakkel, G.; Kollen, B.J.; Grond, J.V.D.; Prevo, A.J.H. Probability of regaining dexterity in the flaccid upper limb: Impact of severity of paresis and time since onset in acute stroke. Stroke 2003, 9, 2181–2186. [Google Scholar]
- Dobkin, B.H. Rehabilitation After Stroke. N. Engl. J. Med. 2005, 352, 1677–1684. [Google Scholar] [CrossRef] [PubMed]
- Bonifer, N.; Anderson, K.M. Application of Constraint-Induced Movement Therapy for an Individual with Severe Chronic Upper-Extremity Hemiplegia. Phys. Ther. 2003, 83, 384–398. [Google Scholar] [CrossRef]
- Winges, S.A. Somatosensory Feedback Refines the Perception of Hand Shape with Respect to External Constraints. Neuroscience 2015, 293, 1–11. [Google Scholar] [CrossRef] [PubMed][Green Version]
- Li, Z.M. Inter-Digit Co-Ordination and Object-Digit Interaction When Holding an Object with Five Digits. Ergonomics 2002, 45, 425–440. [Google Scholar] [CrossRef]
- Nowak, D.A.; Hermsdörfer, J. Selective Deficits of Grip Force Control Dur Ing Object Manipulation in Patients with Reduced Sensibility of the Grasping Digits. Neurosci. Res. 2003, 47, 65–72. [Google Scholar] [CrossRef]
- Liao, C.C.; Reed, J.L.; Qi, H.X.; Sawyer, E.K.; Kaas, J.H. Second-Order Spinal Cord Pathway Contributes to Cortical Responses After Long Recoveries from Dorsal Column Injury in Squirrel Monkeys. Proc. Natl. Acad. Sci. USA 2018, 115, 4258–4263. [Google Scholar] [CrossRef]
- Charles, J.; Gordon, A.M. A Critical Review of Constraint-Induced Movement Therapy and Forced Use in Children with Hemiplegia. Neural Plast. 2005, 12, 245–261, discussion 263. [Google Scholar] [CrossRef]
- Dohle, C.; Kleiser, R.; Seitz, R.J.; Freund, H.J. Body Scheme Gates Visual Processing. J. Neurophysiol. 2004, 91, 2376–2379. [Google Scholar] [CrossRef]
- Gygax, M.J.; Schneider, P.; Newman, C.J. Mirror Therapy in Children with Hemiplegia: A Pilot Study. Dev. Med. Child Neurol. 2011, 53, 473–476. [Google Scholar] [CrossRef]
- Ramachandran, V.S.; Altschuler, E.L. The Use of Visual Feedback, in Particular Mirror Visual Feedback, in Restoring Brain Function. Brain 2009, 132, 1693–1710. [Google Scholar] [CrossRef]
- Hu, X.L.; Tong, R.K.; Ho, N.S.; Xue, J.J.; Rong, W.; Li, L.S. Wrist Rehabilitation Assisted by an Electromyography-Driven Neuromuscular Electrical Stimulation Robot After Stroke. Neurorehabil. Neural Repair. 2015, 29, 767–776. [Google Scholar] [CrossRef] [PubMed]
- Biasiucci, A.; Leeb, R.; Iturrate, I.; Perdikis, S.; Al-Khodairy, A.; Corbet, T.; Schnider, A.; Schmidlin, T.; Zhang, H.; Bassolino, M.; et al. Brain-Actuated Functional Electrical Stimulation Elicits Lasting Arm Motor Recovery After Stroke. Nat. Commun. 2018, 9, 2421. [Google Scholar] [CrossRef] [PubMed]
- Rosati, G.; Rodà, A.; Avanzini, F.; Masiero, S. On the Role of Auditory Feedback in Robot-Assisted Movement Training After Stroke: Review of the Literature. Comput. Intell. Neurosci. 2013, 2013, 586138. [Google Scholar] [CrossRef]
- David, N.; Newen, A.; Vogeley, K. The “Sense of Agency” and Its Underlying Cognitive and Neural Mechanisms. Conscious. Cogn. 2008, 17, 523–534. [Google Scholar] [CrossRef]
- Gallagher, I. Philosophical Conceptions of the Self: Implications for Cognitive Science. Trends Cogn. Sci. 2000, 4, 14–21. [Google Scholar] [CrossRef]
- Sharma, N.; Cohen, L.G. Recovery of Motor Function After Stroke. Dev. Psychobiol. 2012, 54, 254–262. [Google Scholar] [CrossRef]
- Bu-Omer, H.M.; Gofuku, A.; Sato, K.; Miyakoshi, M. Parieto-Occipital Alpha and Low-Beta EEG Power Reflect Sense of Agency. Brain Sci. 2021, 11, 743. [Google Scholar] [CrossRef] [PubMed]
- Sarlegna, F.R.; Sainburg, R.L. The Roles of Vision and Proprioception in the Planning of Reaching Movements. Adv. Exp. Med. Biol. 2009, 629, 317–335. [Google Scholar]
- Ingemanson, M.L.; Rowe, J.R.; Chan, V.; Wolbrecht, E.T.; Reinkensmeyer, D.J.; Cramer, S.C. Somatosensory System Integrity Explains Differences in Treatment Response After Stroke. Neurology 2019, 92, e1098–e1108. [Google Scholar] [CrossRef]
- Suda, M.; Kawakami, M.; Okuyama, K.; Ishii, R.; Oshima, O.; Hijikata, N.; Nakamura, T.; Oka, A.; Kondo, K.; Liu, M. Validity and Reliability of the Semmes-Weinstein Monofilament Test and the Thumb Localizing Test in Patients with Stroke. Front. Neurol. 2021, 27, 625917. [Google Scholar] [CrossRef] [PubMed]
- Sullivan, M.J.L.; Bishop, S.R.; Pivik, J. The Pain Catastrophizing Scale: Development and Validation. Psychol. Assess. 1995, 7, 524–532. [Google Scholar] [CrossRef]
- Boonstra, A.M.; Stewart, R.E.; Köke, A.J.A. Cut-Off Points for Mild, Moderate, and SeVere Pain on the Numeric Rating Scale for Pain in Patients with Chronic Musculoskeletal Pain: Variability and Influence of Sex and Catastrophizing. Front. Psychol. 2016, 7, 1–9. [Google Scholar] [CrossRef] [PubMed]
- Hoonhorst, M.H.; Nijland, R.H.; van den Berg, J.S.; Emmelot, C.H.; Kollen, B.J.; Kwakkel, G. How Do Fugl-Meyer Arm Motor Scores Relate to Dexterity According to the Action Research Arm Test at 6 Months Poststroke? Arch. Phys. Med. Rehabil. 2015, 96, 1845–1849. [Google Scholar] [CrossRef]
- Hernández, E.D.; Galeano, C.P.; Barbosa, N.E.; Forero, S.M.; Nordin, Å.; Sunnerhagen, K.S.; Alt Murphy, M. Intra- and Inter-Rater Reliability of Fugl-Meyer Assessment of Upper Extremity in Stroke. J. Rehabil. Med. 2019, 51, 652–659. [Google Scholar] [CrossRef] [PubMed]
- Kaneko, T.; Muraki, T. Development and Standardization of Hand Function Test. Bull. Allied Med. Sci. Kobe 1990, 6, 49–54. [Google Scholar]
- Irie, K.; Iseki, H.; Okamoto, K.; Nishimura, S.; Kagechika, K. Introduction of the Purdue Pegboard Test for Fine Assessment of Severity of Cervical Myelopathy Before and After Surgery. J. Phys. Ther. Sci. 2020, 32, 210–214. [Google Scholar] [CrossRef]
- Kodama, T.; Katayama, O.; Nakano, H.; Ueda, T.; Murata, S. Treatment of Medial Medullary Infarction Using a Novel iNems Training: A Case Report and Literature Review. Clin. EEG Neurosci. 2019, 50, 429–435. [Google Scholar] [CrossRef]
- Van de Winckel, A.V.; Gauthier, L. A Revised Motor Activity Log Following Rasch Validation (Rasch-Based MAL-18) and Consensus Methods in Chronic Stroke and Multiple Sclerosis. Neurorehabil. Neural Repair. 2019, 33, 787–791. [Google Scholar] [CrossRef]
- Santisteban, L.; Térémetz, M.; Bleton, J.P.; Baron, J.C.; Maier, M.A.; Lindberg, P.G. Upper Limb Outcome Measures Used in Stroke Rehabilitation Studies: A Systematic Literature Review. PLoS ONE 2016, 11, e0154792. [Google Scholar] [CrossRef]
- Tanaka, Y.; Ueda, Y.; Sano, A. Roughness Evaluation by Wearable Tactile Sensor Utilize Ing Human Active Sensing. Mech. Eng. J. 2016, 3, 1–12. [Google Scholar] [CrossRef]
- Kaas, A.L.; van Mier, H.V.; Visser, M.; Goebel, R. The Neural Substrate for Working Memory of Tactile Surface Texture. Hum. Brain Mapp. 2013, 34, 1148–1162. [Google Scholar] [CrossRef] [PubMed]
- Silva, E.S.M.; Santos, G.L.; Catai, A.M.; Borstad, A.; Furtado, N.P.D.; Aniceto, I.A.V.; Russo, T.L. Effect of Aerobic Exercise Prior to Modified Constraint-Induced Movement Therapy Outcomes in Individuals with Chronic Hemiparesis: A Study Protocol for a Randomized Clinical Trial. BMC Neurol. 2019, 19, 1–12. [Google Scholar]
- Faiman, I.; Pizzamiglio, S.; Turner, D.L. Resting state functional connectivity predicts the ability to adapt arm reaching in a robot-mediated forcefield. NeuroImage 2018, 14, 494–503. [Google Scholar] [CrossRef]
- Nakano, H.; Kodama, T.; Ueda, T.; Mori, I.; Tani, T.; Murata, S. Effect of Hand and Foot Massage Therapy on Psychological Factors and EEG Activity in Elderly People Requiring Long-Term Care: A Randomized Cross-Over Study. Brain Sci. 2019, 9, 54. [Google Scholar] [CrossRef] [PubMed]
- Lancaster, J.L.; Rainey, L.H.; Summerlin, J.L.; Freitas, C.S.; Fox, P.T.; Evans, A.C.; Toga, A.W.; Mazziotta, J.C. Automated Labeling of the Human Brain: A Preliminary Report on the Development and Evaluation of a Forward-Transform Method. Hum. Brain Mapp. 1997, 5, 238–242. [Google Scholar] [CrossRef]
- Pascual-Marqui, R.D. Instantaneous and Lagged Measurements of Linear and Nonlin Ear Dependence Between Groups of Multivariate Time Series: Frequency Decomposition. Arxiv 2007, arXiv:0711.1455. [Google Scholar]
- Izawa, J.; Shadmehr, R. Learning from Sensory and Reward Prediction Errors During Motor Adaptation. PLoS Comput. Biol. 2011, 7, e1002012. [Google Scholar] [CrossRef]
- Yamashita, T.; Pala, A.; Pedrido, L.; Kremer, Y.; Welker, E.; Petersen, C.C. Membrane Potential Dynamics of Neocortical Projection Neurons Driving Target-Specific Signals. Neuron 2013, 80, 1477–1490. [Google Scholar] [CrossRef]
- Katayama, O.; Osumi, M.; Kodama, T.; Morioka, S. Dysesthesia Symptoms Produced by Sen Sensorimotor Incongruence in Healthy Volunteers: An Electroencephalogram Study. J. Pain Res. 2016, 8, 1197–1204. [Google Scholar] [CrossRef] [PubMed][Green Version]
- Kodama, T.; Nakano, H.; Katayama, O.; Murata, S. The Association Between Brain Activity and Motor Imagery During Motor Illusion Induction by Vibratory Stimulation. Restor. Neurol. Neurosci. 2017, 35, 683–692. [Google Scholar] [CrossRef] [PubMed]
- Taub, E.; Uswatte, G.; Mark, V.W.; Morris, D.M. The Learned Nonuse Phenome non: Implications for Rehabilitation. Eura. Med. 2006, 42, 241–256. [Google Scholar]
- Ostry, D.J.; Darainy, M.; Mattar, A.A.G.; Wong, J.; Gribble, P.L. Somatosensory Plasticity and Motor Learning. J. Neurosci. 2010, 30, 5384–5393. [Google Scholar] [CrossRef] [PubMed]
- Selvanayagam, J.; Johnston, K.D.; Schaeffer, D.J.; Hayrynen, L.K.; Everling, S. Functional Localization of the Frontal Eye Fields in the Common Marmoset Using Microstimulation. J. Neurosci. 2019, 39, 9197–9206. [Google Scholar] [CrossRef]
- Shenhav, A.; Botvinick, M.M.; Cohen, J.D. The Expected Value of Control: An Integrative Theory of Anterior Cingulate Cortex Function. Neuron 2013, 79, 217–240. [Google Scholar] [CrossRef]
- Rabinovici, G.D.; Stephens, M.L.; Possin, K.L. Executive Dysfunction. Continuum 2015, 21, 646–659. [Google Scholar] [CrossRef]
- Shah, K.B.; Hayman, L.A.; Chavali, L.S.; Hamilton, J.D.; Prabhu, S.S.; Wangaryattawanich, P.; Kumar, V.A.; Kumar, A.J. Glial Tumors in Brodmann Area 6: Spread Pattern and Relationships to Motor Areas. RadioGraphics 2015, 35, 793–803. [Google Scholar] [CrossRef]
- Takeuchi, N.; Izumi, S. Maladaptive Plasticity for Motor Recovery After Stroke: Mechanisms and Approaches. Neural Plast. 2012, 2012, 359728. [Google Scholar] [CrossRef]
- Parhizi, B.; Daliri, M.R.; Behroozi, M. Decoding the Different States of Visual Attention Using Functional and Effective Connectivity Features in fMRI Data. Cogn. Neurodyn. 2018, 12, 157–170. [Google Scholar] [CrossRef]
- Wasaka, T.; Kida, T.; Kakigi, R. Facilitation of Information Processing in the Primary Somatosensory Area in the Ball Rotation Task. Sci. Rep. 2017, 7, 15507. [Google Scholar] [CrossRef] [PubMed]
- Impieri, D.; Zilles, K.; Niu, M.; Rapan, L.; Schubert, N.; Galletti, C.; Palomero-Gallagher, N. Receptor Density Pattern Confirms and Enhances the Anatomic-Functional Features of the Macaque Superior Parietal Lobule Areas. Brain Struct. Funct. 2019, 224, 2733–2756. [Google Scholar] [CrossRef] [PubMed]
- Kaneko, F.; Shibata, E.; Okawada, M.; Nagamine, T. Region-Dependent Bidirectional Plasticity in M1 Following Quadripulse Transcranial Magnetic Stimulation in the Inferior Parietal Cortex. Brain Stimul. 2020, 13, 310–317. [Google Scholar] [CrossRef] [PubMed]
- Ismail, M.A.F.B.; Shimada, S. Activity of the Inferior Parietal Cortex Is Modulated by Visual Feedback Delay in the Robot Hand Illusion. Sci Rep. 2019, 9, 10030. [Google Scholar] [CrossRef] [PubMed]





| Assessment Description | Initial Evaluation | Final Evaluation |
|---|---|---|
| Position sense (times) | 5/5 | 5/5 |
| Motor perception (times) | 2/5 | 5/5 |
| Numbness (NRS) | 10/10 | 6/10 |
| PCS (Point) | Total: 43/52 Rumination: 19/20 Helplessness: 15/20 Magnification: 9/12 | Total: 36/52 Rumination: 15/20 Helplessness: 15/20 Magnification: 6/20 |
| FMA (Point) | Total: 25/66 Shoulder/elbow/forearm: 11/36 Wrist: 2/10 Fingers: 10/14 Coordination/speed: 0/6 | Total: 36/66 Shoulder/elbow/forearm: 23/36 Wrist: 3/10 Fingers: 10/14 Coordination/speed: 0/6 |
| STEF (Point) | Right: 97/100 Left: 5/100 | Right: 96/100 Left: 25/100 |
| MAL | ||
| AOU (Point) | 3/56 | 14/56 |
| QOM (Point) | 4/56 | 14/56 |
| Sense of agency (NRS) | 4/140 | 20/140 |
| Task Conditions | Brodmann Area | Neural Activity Values | |||||
|---|---|---|---|---|---|---|---|
| x | y | z | Brain lobe | (μA/mm2) | |||
| Peg manipulation practice (left hand) | |||||||
| Without Yubi-Recorder (red) vs. With Yubi-Recorder (blue) | |||||||
| Red | −25 | 40 | 45 | Left anterior cephalic lobe | Anterior cephalic eye field | 8 | 0.13 |
| Blue | −30 | −85 | 40 | Left posterior cephalic lobe | Visual field | 19 | 6.75 |
| Pre-intervention (red) < Post-intervention (blue) | |||||||
| blue | −40 | −55 | 60 | Left parietal lobe | supramarginal gyrus | 40 | 6.76 |
Publisher’s Note: MDPI stays neutral with regard to jurisdictional claims in published maps and institutional affiliations. |
© 2021 by the authors. Licensee MDPI, Basel, Switzerland. This article is an open access article distributed under the terms and conditions of the Creative Commons Attribution (CC BY) license (https://creativecommons.org/licenses/by/4.0/).
Share and Cite
Kitai, K.; Odagiri, M.; Yamauchi, R.; Kodama, T. Evaluation of Intervention Effectiveness of Sensory Compensatory Training with Tactile Discrimination Feedback on Sensorimotor Dysfunction of the Hand after Stroke. Brain Sci. 2021, 11, 1314. https://doi.org/10.3390/brainsci11101314
Kitai K, Odagiri M, Yamauchi R, Kodama T. Evaluation of Intervention Effectiveness of Sensory Compensatory Training with Tactile Discrimination Feedback on Sensorimotor Dysfunction of the Hand after Stroke. Brain Sciences. 2021; 11(10):1314. https://doi.org/10.3390/brainsci11101314
Chicago/Turabian StyleKitai, Ken, Masashi Odagiri, Ryosuke Yamauchi, and Takayuki Kodama. 2021. "Evaluation of Intervention Effectiveness of Sensory Compensatory Training with Tactile Discrimination Feedback on Sensorimotor Dysfunction of the Hand after Stroke" Brain Sciences 11, no. 10: 1314. https://doi.org/10.3390/brainsci11101314
APA StyleKitai, K., Odagiri, M., Yamauchi, R., & Kodama, T. (2021). Evaluation of Intervention Effectiveness of Sensory Compensatory Training with Tactile Discrimination Feedback on Sensorimotor Dysfunction of the Hand after Stroke. Brain Sciences, 11(10), 1314. https://doi.org/10.3390/brainsci11101314

