Biomechanical Effects of Different Auxiliary–Aligner Designs on the Rotation of an Upper Canine: A Finite Element Analysis of a Specific Patient
Abstract
1. Introduction
2. Materials and Methods
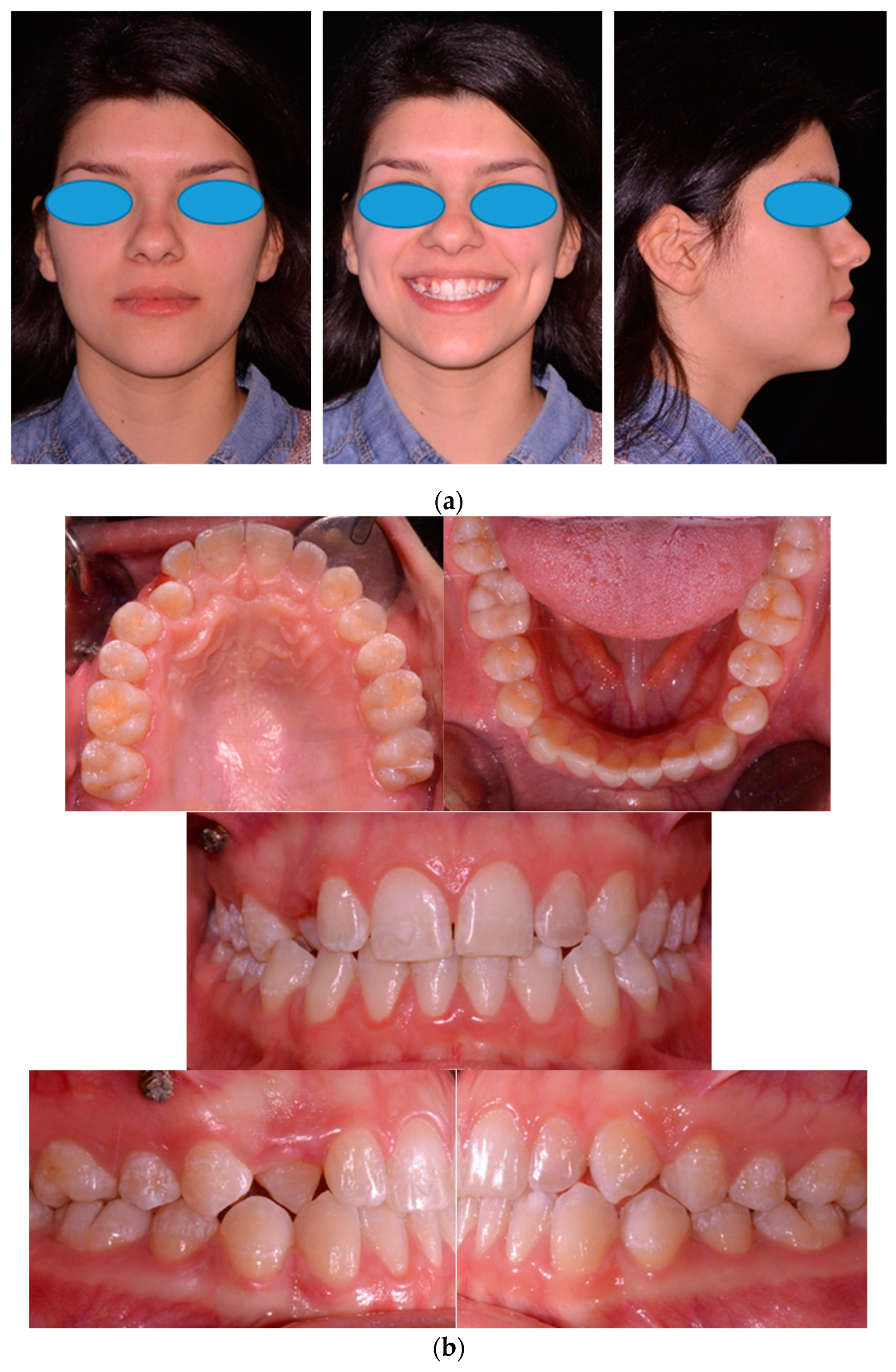
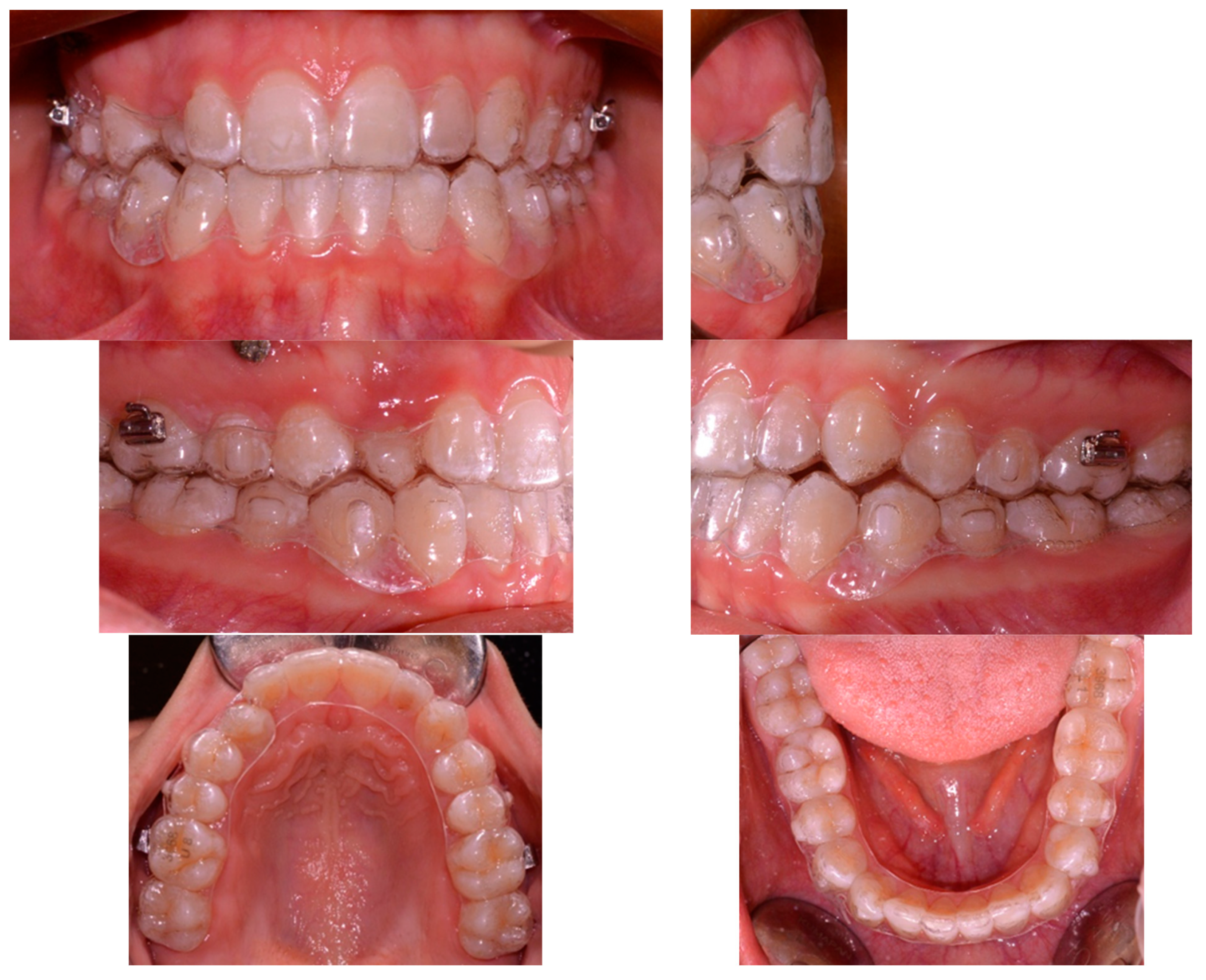
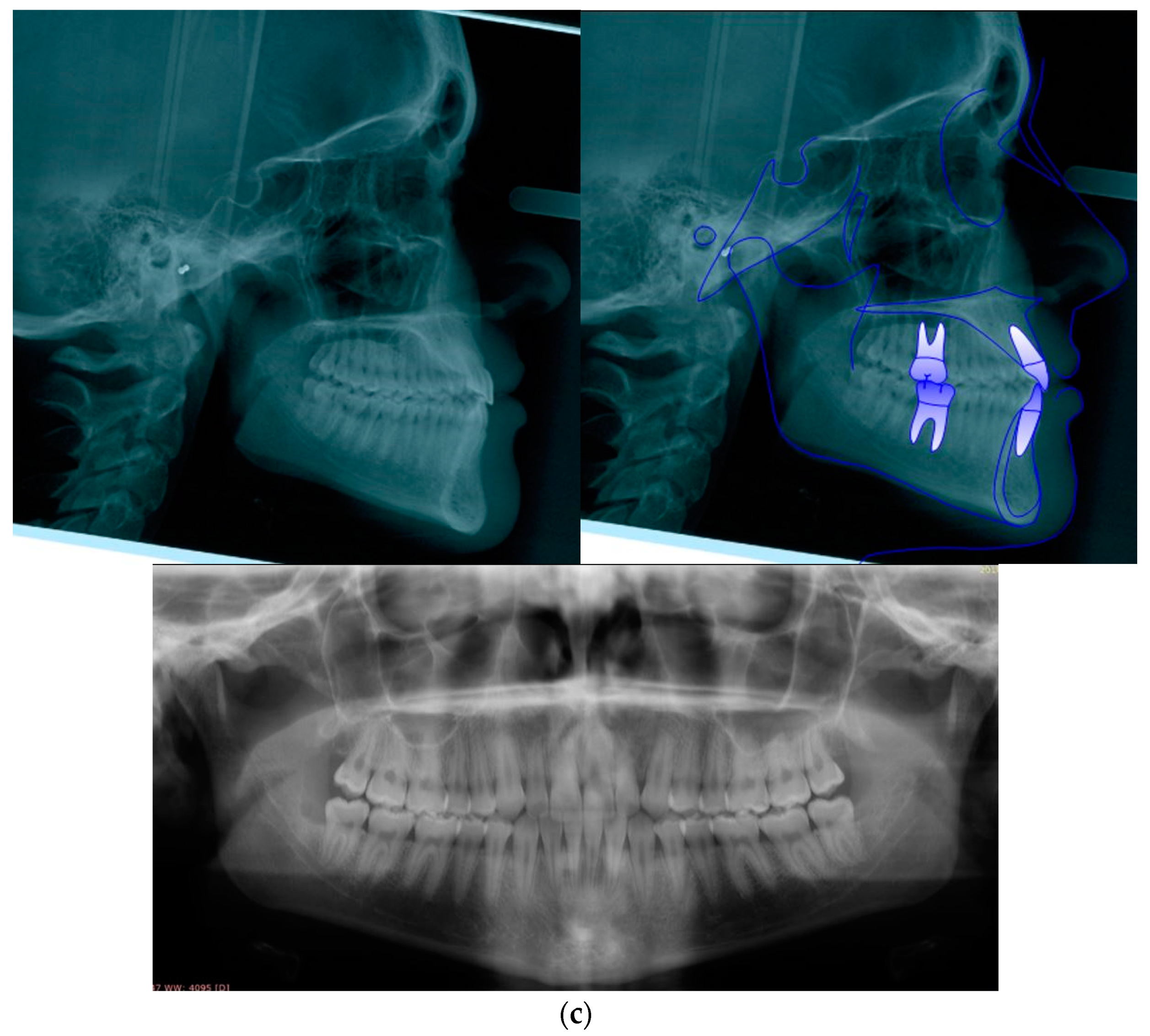
2.1. Clinical Case
2.2. Finite Element Analysis
2.2.1. Reconstruction of the Patient’s Anatomical Tissues
2.2.2. Definition of FEM Model
2.2.3. Mechanical Proprieties
2.2.4. Boundary Conditions
2.2.5. Analysis Settings
3. Results
4. Discussion
5. Conclusions
Author Contributions
Funding
Institutional Review Board Statement
Informed Consent Statement
Data Availability Statement
Conflicts of Interest
References
- Cicek, O.; Gurel, T.; Demir Cicek, B. Investigation of the Relationship of Impacted Maxillary Canines with Orthodontic Malocclusion: A Retrospective Study. Children 2023, 10, 950. [Google Scholar] [CrossRef] [PubMed]
- Bucci, R.; Rongo, R.; Levatè, C.; Michelotti, A.; Barone, S.; Razionale, A.V.; D’Antò, V. Thickness of Orthodontic Clear Aligners after Thermoforming and after 10 Days of Intraoral Exposure: A Prospective Clinical Study. Prog. Orthod. 2019, 20, 1–8. [Google Scholar] [CrossRef] [PubMed]
- Rongo, R.; Dianišková, S.; Spiezia, A.; Bucci, R.; Michelotti, A.; D’Antò, V. Class II Malocclusion in Adult Patients: What Are the Effects of the Intermaxillary Elastics with Clear Aligners? A Retrospective Single Center One-Group Longitudinal Study. J. Clin. Med. 2022, 11, 7333. [Google Scholar] [CrossRef] [PubMed]
- Dianiskova, S.; Rongo, R.; Buono, R.; Franchi, L.; Michelotti, A.; D’Antò, V. Treatment of Mild Class II Malocclusion in Growing Patients with Clear Aligners versus Fixed Multibracket Therapy: A Retrospective Study. Orthod. Craniofac. Res. 2022, 25, 96–102. [Google Scholar] [CrossRef] [PubMed]
- Staderini, E.; Patini, R.; Meuli, S.; Camodeca, A.; Guglielmi, F.; Gallenzi, P. Indication of Clear Aligners in the Early Treatment of Anterior Crossbite: A Case Series. Dent. Press J. Orthod. 2020, 25, 33–43. [Google Scholar] [CrossRef] [PubMed]
- Martina, S.; Rongo, R.; Bucci, R.; Razionale, A.V.; Valletta, R.; D’Antò, V. In Vitro Cytotoxicity of Different Thermoplastic Materials for Clear Aligners. Angle Orthod. 2019, 89, 942–945. [Google Scholar] [CrossRef] [PubMed]
- Tamburrino, F.; D’Antò, V.; Bucci, R.; Alessandri-Bonetti, G.; Barone, S.; Razionale, A.V. Mechanical Properties of Thermoplastic Polymers for Aligner Manufacturing: In Vitro Study. Dent. J. 2020, 8, 47. [Google Scholar] [CrossRef] [PubMed]
- D’Antò, V.; Bucci, R.; De Simone, V.; Ghislanzoni, L.H.; Michelotti, A.; Rongo, R. Evaluation of Tooth Movement Accuracy with Aligners: A Prospective Study. Materials 2022, 15, 2646. [Google Scholar] [CrossRef]
- Beers, A.C.; Choi, W.; Pavlovskaia, E. Computer-Assisted Treatment Planning and Analysis. Orthod. Craniofac. Res. 2003, 6, 117–125. [Google Scholar] [CrossRef]
- Wong, B.H.; Scholz, R.P.; Turpin, D.L. Invisalign A to Z. Am. J. Orthod. Dentofac. Orthop. 2002, 121, 540–541. [Google Scholar] [CrossRef]
- Kravitz, N.D.; Kusnoto, B.; Agran, B.; Viana, G. Influence of Attachments and Interproximal Reduction on the Accuracy of Canine Rotation with Invisalign. Angle Orthod. 2008, 78, 682–687. [Google Scholar] [CrossRef]
- Kravitz, N.D.; Kusnoto, B.; BeGole, E.; Obrez, A.; Agran, B. How Well Does Invisalign Work? A Prospective Clinical Study Evaluating the Efficacy of Tooth Movement with Invisalign. Am. J. Orthod. Dentofac. Orthop. 2009, 135, 27–35. [Google Scholar] [CrossRef] [PubMed]
- Cicek, O.; Yilmaz, H.; Demir Cicek, B. Comparison of the Mesiodistal Angulations of Canine and Molar Teeth in Different Types of Orthodontic Malocclusions: A Retrospective Study. Diagnostics 2023, 13, 1351. [Google Scholar] [CrossRef] [PubMed]
- Singh, J.R.; Kambalyal, P.; Jain, M.; Khandelwal, P. Revolution in Orthodontics: Finite Element Analysis. J. Int. Soc. Prev. Community Dent. 2016, 6, 110–114. [Google Scholar] [CrossRef] [PubMed]
- Lee, H.; Nguyen, A.; Hong, C.; Hoang, P.; Pham, J.; Ting, K. Biomechanical Effects of Maxillary Expansion on a Patient with Cleft Palate: A Finite Element Analysis. Am. J. Orthod. Dentofac. Orthop. 2016, 150, 313–323. [Google Scholar] [CrossRef] [PubMed]
- Gomez, J.P.; Peña, F.M.; Martínez, V.; Giraldo, D.C.; Cardona, C.I. Initial Force Systems during Bodily Tooth Movement with Plastic Aligners and Composite Attachments: A Three-Dimensional Finite Element Analysis. Angle Orthod. 2015, 85, 454–460. [Google Scholar] [CrossRef] [PubMed]
- Cai, Y.; Yang, X.; He, B.; Yao, J. Finite Element Method Analysis of the Periodontal Ligament in Mandibular Canine Movement with Transparent Tooth Correction Treatment. BMC Oral Health 2015, 15, 1–11. [Google Scholar] [CrossRef] [PubMed]
- Barone, S.; Paoli, A.; Razionale, A.V.; Savignano, R. Computational Design and Engineering of Polymeric Orthodontic Aligners. Int. J. Numer. Method. Biomed. Eng. 2017, 33, e2839. [Google Scholar] [CrossRef]
- Yokoi, Y.; Arai, A.; Kawamura, J.; Uozumi, T.; Usui, Y.; Okafuji, N. Effects of Attachment of Plastic Aligner in Closing of Diastema of Maxillary Dentition by Finite Element Method. J. Healthc. Eng. 2019, 2019, 1075097. [Google Scholar] [CrossRef]
- Kawamura, J.; Ojima, K.; Nanda, R. Effect of attachment type on distal bodily movement of the maxillary canine in aligner orthodontics: A finite element study. Angle Orthod. 2023, 93, 566–571. [Google Scholar] [CrossRef]
- Savignano, R.; Valentino, R.; Razionale, A.V.; Michelotti, A.; Barone, S.; D’Antò, V. Biomechanical Effects of Different Auxiliary-Aligner Designs for the Extrusion of an Upper Central Incisor: A Finite Element Analysis. J. Healthc. Eng. 2019, 2019, 9687127. [Google Scholar] [CrossRef]
- Nucera, R.; Dolci, C.; Bellocchio, A.M.; Costa, S.; Barbera, S.; Rustico, L.; Farronato, M.; Militi, A.; Portelli, M. Effects of Composite Attachments on Orthodontic Clear Aligners Therapy: A Systematic Review. Materials 2022, 15, 533. [Google Scholar] [CrossRef] [PubMed]
- Barone, S.; Paoli, A.; Razionale, A.V.; Savignano, R. Computer Aided Modelling to Simulate the Biomechanical Behaviour of Customised Orthodontic Removable Appliances. Int. J. Interact. Des. Manuf. 2016, 10, 387–400. [Google Scholar] [CrossRef]
- Migliorati, M.; Drago, S.; Bocchino, T.; Michelotti, A.; D’Antò, V. Treatment of Palatally Displaced Canines Using Miniscrews for Direct or Indirect Anchorage: A Three-Dimensional Prospective Cohort Study on Tooth Movement Speed. Appl. Sci. 2022, 12, 10935. [Google Scholar] [CrossRef]
- Bocchino, T.; Perrotta, S.; Martina, S.; D’Antò, V.; Valletta, R. “Canine First Technique”, An Innovative Approach in Maxillary Impacted Canines: A Case Report. Open Dent. J. 2022, 16, e187421062209140. [Google Scholar] [CrossRef]
- Chapman, J.A.; Roberts, W.E.; Eckert, G.J.; Kula, K.S.; González-Cabezas, C. Risk Factors for Incidence and Severity of White Spot Lesions during Treatment with Fixed Orthodontic Appliances. Am. J. Orthod. Dentofac. Orthop. 2010, 138, 188–194. [Google Scholar] [CrossRef] [PubMed]
- Raghavan, S.; Abu Alhaija, E.S.; Duggal, M.S.; Narasimhan, S.; Al-Maweri, S.A. White Spot Lesions, Plaque Accumulation and Salivary Caries-Associated Bacteria in Clear Aligners Compared to Fixed Orthodontic Treatment. A Systematic Review and Meta- Analysis. BMC Oral Health 2023, 23, 599. [Google Scholar] [CrossRef]
- Dorow, C.; Schneider, J.; Sander, F.G. Finite Element Simulation of In Vivo Tooth Mobility in Comparison with Experimental Results. J. Mech. Med. Biol. 2003, 3, 79–94. [Google Scholar] [CrossRef]
- Liu, Y.; Ru, N.; Chen, J.; Liu, S.S.Y.; Peng, W. Finite Element Modeling for Orthodontic Biomechanical Simulation Based on Reverse Engineering: A Case Study. Res. J. Appl. Sci. Eng. Technol. 2013, 6, 3267–3276. [Google Scholar] [CrossRef]
- Ryokawa, H.; Miyazaki, Y.; Fujishima, A.; Miyazaki, T.; Maki, K. The Mechanical Properties of Dental Thermoplastic Materials in a Simulated Intraoral Environment. Orthod. Waves 2006, 65, 64–72. [Google Scholar] [CrossRef]
- Penedo, N.D.; Elias, C.N.; Pacheco, M.C.T.; de Gouvêa, J.P. 3D Simulation of Orthodontic Tooth Movement. Dent. Press. J. Orthod. 2010, 15, 98–108. [Google Scholar] [CrossRef]
- Nakajima, A.; Murata, M.; Tanaka, E.; Arai, Y.; Fukase, Y.; Nishi, Y.; Sameshima, G.; Shimizu, N. Development of Three-Dimensional FE Modeling System from the Limited Cone Beam CT Images for Orthodontic Tipping Tooth Movement. Dent. Mater. J. 2007, 26, 882–891. [Google Scholar] [CrossRef] [PubMed]
- Natali, A.N.; Pavan, P.G.; Scarpa, C. Numerical Analysis of Tooth Mobility: Formulation of a Non-Linear Constitutive Law for the Periodontal Ligament. Dent. Mater. 2004, 20, 623–629. [Google Scholar] [CrossRef] [PubMed]
- Fill, T.S.; Carey, J.P.; Toogood, R.W.; Major, P.W. Experimentally Determined Mechanical Properties of, and Models for, the Periodontal Ligament: Critical Review of Current Literature. J. Dent. Biomech. 2011, 2, 312980. [Google Scholar] [CrossRef]
- Savignano, R.; Viecilli, R.F.; Paoli, A.; Razionale, A.V.; Barone, S. Nonlinear Dependency of Tooth Movement on Force System Directions. Am. J. Orthod. Dentofac. Orthop. 2016, 149, 838–846. [Google Scholar] [CrossRef] [PubMed]
- AirNivol. Available online: https://www.airnivol.com/ (accessed on 6 March 2024).
- Paduano, S.; Rongo, R.; Bucci, R.; Aiello, D.; Carvelli, G.; Ingenito, A.; Cantile, T.; Ferrazzano, G.F. Is There an Association between Various Aspects of Oral Health in Southern Italy Children? An Epidemiological Study Assessing Dental Decays, Periodontal Status, Malocclusions and Temporomandibular Joint Function. Eur. J. Paediatr. Dent. 2018, 19, 176–180. [Google Scholar] [CrossRef] [PubMed]
- Paduano, S.; Bucci, R.; Rongo, R.; Silva, R.; Michelotti, A. Prevalence of Temporomandibular Disorders and Oral Parafunctions in Adolescents from Public Schools in Southern Italy. Cranio—J. Craniomandib. Pract. 2020, 38, 370–375. [Google Scholar] [CrossRef] [PubMed]
- Tasios, T.; Papageorgiou, S.N.; Papadopoulos, M.A.; Tsapas, A.; Haidich, A.B. Prevention of Orthodontic Enamel Demineralization: A Systematic Review with Meta-Analyses. Orthod. Craniofac. Res. 2019, 22, 225–235. [Google Scholar] [CrossRef]
- Hong, K.; Kim, W.; Eghan-Acquah, E.; Lee, J.; Lee, B.; Kim, B. Efficient Design of a Clear Aligner Attachment to Induce Bodily Tooth Movement in Orthodontic Treatment Using Finite Element Analysis. Materials 2021, 14, 4926. [Google Scholar] [CrossRef]
- Kim, W.H.; Hong, K.; Lim, D.; Lee, J.H.; Jung, Y.J.; Kim, B. Optimal Position of Attachment for Removable Thermoplastic Aligner on the Lower Canine Using Finite Element Analysis. Materials 2020, 13, 3369. [Google Scholar] [CrossRef]
- Jiang, T.; Wu, R.Y.; Wang, J.K.; Wang, H.H.; Tang, G.H. Clear Aligners for Maxillary Anterior En Masse Retraction: A 3D Finite Element Study. Sci. Rep. 2020, 10, 10156. [Google Scholar] [CrossRef]
- Liu, X.; Cheng, Y.; Qin, W.; Fang, S.; Wang, W.; Ma, Y.; Jin, Z. Effects of Upper-Molar Distalization Using Clear Aligners in Combination with Class II Elastics: A Three-Dimensional Finite Element Analysis. BMC Oral Health 2022, 22, 600. [Google Scholar] [CrossRef]
- Meng, W.-Y.; Ma, Y.-Q.; Shi, B.; Liu, R.-K.; Wang, X.-M. The Comparison of Biomechanical Effects of the Conventional and Bone-Borne Palatal Expanders on Late Adolescence with Unilateral Cleft Palate: A 3-Dimensional Finite Element Analysis. BMC Oral Health 2022, 22, 600. [Google Scholar] [CrossRef] [PubMed]
- Sameshima, G.T.; Iglesias-Linares, A. Orthodontic Root Resorption. J. World Fed. Orthod. 2021, 10, 135–143. [Google Scholar] [CrossRef] [PubMed]
- Cattaneo, P.M.; Cornelis, M.A. Orthodontic Tooth Movement Studied by Finite Element Analysis: An Update. What Can We Learn from These Simulations? Curr. Osteoporos. Rep. 2021, 19, 175–181. [Google Scholar] [CrossRef] [PubMed]













| Sagittal Jaw Relationship | ||
|---|---|---|
| Patient Value | Normal Value | |
| Maxillary position SNA (°) | 81.4 | 82 ± 3.5 |
| Mandibular position SNB (°) | 81.8 | 80 ± 2.5 |
| Sagittal jaw relation ANPg (°) | −0.4 | 2 ± 2.5 |
| Vertical jaw relationship | ||
| Maxillary inclination SN^ANS-PNS (°) | 5.7 | 8 ± 3 |
| Mandibular inclination SN^GoGn (°) | 28.4 | 33 ± 2.5 |
| Vertical jaw relation ANS/PNS^GoGn (°) | 25.5 | 25 ± 6 |
| Dento-basal relationship | ||
| Maxillary incisor inclination U1^ANS-PNS (°) | 111.9 | 110 ± 6 |
| Mandibular incisor inclination L1^GoGn (°) | 81.8 | 94 ± 7 |
| Mandibular incisor compensation (L1-Apo) (mm) | 1.5 | 2 ± 2 |
| Dental relationship | ||
| Overjet (mm) | 2.9 | 3.5 ± 2.5 |
| Overbite (mm) | 2.1 | 2.5 ± 2.5 |
| Interincisal angle (°) | 143.5 | 132 ± 6 |
| Standard Aligner | Double Attachment | Attachment and Activation Point | |
|---|---|---|---|
| Maximum displacement (mm) | 0.075 | 0.058 | 0.085 |
| Fx (N) | −0.36 | −0.26 | −0.64 |
| Fy (N) | −0.93 | −1.53 | −3.62 |
| Fz (N) | −1.5 | −1.09 | −3.75 |
| Mx (Nmm) | 4.23 | 0.79 | −4.3 |
| My (Nmm) | 1.1 | −1.23 | 11.5 |
| Mz (Nmm) | 7.6 | 5.77 | 12.3 |
| Mz/Fx (mm) | −19.5 | −22.2 | −19.21 |
| Mz/Fy (mm) | −8.2 | −3.8 | −3.4 |
| My/Fx (mm) | 6.7 | 4.73 | −17.8 |
| My/Fz (mm) | 5 | 1.13 | −3.1 |
| Mx/Fy (mm) | −11.7 | −0.51 | 1.2 |
| Mx/Fz (mm) | −3.7 | −0.72 | 1.2 |
| Sagittal Jaw Relationship | ||
|---|---|---|
| Patient Value | Normal Value | |
| Maxillary position SNA (°) | 80.7 | 82 ± 3.5 |
| Mandibular position SNB (°) | 81.0 | 80 ± 2.5 |
| Sagittal jaw relation ANPg (°) | −0.3 | 2 ± 2.5 |
| Vertical jaw relationship | ||
| Maxillary inclination SN^ANS-PNS (°) | 8.3 | 8 ± 3 |
| Mandibular inclination SN^GoGn (°) | 30.1 | 33 ± 2.5 |
| Vertical jaw relation ANS/PNS^GoGn (°) | 21.8 | 25 ± 6 |
| Dento-basal relationship | ||
| Maxillary incisor inclination U1^ANS-PNS (°) | 114.2 | 110 ± 6 |
| Mandibular incisor inclination L1^GoGn (°) | 85.7 | 94 ± 7 |
| Mandibular incisor compensation (L1-Apo) (mm) | 2.1 | 2 ± 2 |
| Dental relationship | ||
| Overjet (mm) | 2.8 | 3.5 ± 2.5 |
| Overbite (mm) | 2.0 | 2.5 ± 2.5 |
| Interincisal angle (°) | 138.2 | 132 ± 6 |
Disclaimer/Publisher’s Note: The statements, opinions and data contained in all publications are solely those of the individual author(s) and contributor(s) and not of MDPI and/or the editor(s). MDPI and/or the editor(s) disclaim responsibility for any injury to people or property resulting from any ideas, methods, instructions or products referred to in the content. |
© 2024 by the authors. Licensee MDPI, Basel, Switzerland. This article is an open access article distributed under the terms and conditions of the Creative Commons Attribution (CC BY) license (https://creativecommons.org/licenses/by/4.0/).
Share and Cite
D’Antò, V.; Bocchino, T.; Levatè, C.; Buono, R.; Razionale, A.; Barone, S.; Savignano, R. Biomechanical Effects of Different Auxiliary–Aligner Designs on the Rotation of an Upper Canine: A Finite Element Analysis of a Specific Patient. Appl. Sci. 2024, 14, 2308. https://doi.org/10.3390/app14062308
D’Antò V, Bocchino T, Levatè C, Buono R, Razionale A, Barone S, Savignano R. Biomechanical Effects of Different Auxiliary–Aligner Designs on the Rotation of an Upper Canine: A Finite Element Analysis of a Specific Patient. Applied Sciences. 2024; 14(6):2308. https://doi.org/10.3390/app14062308
Chicago/Turabian StyleD’Antò, Vincenzo, Tecla Bocchino, Carmine Levatè, Raffaele Buono, Armando Razionale, Sandro Barone, and Roberto Savignano. 2024. "Biomechanical Effects of Different Auxiliary–Aligner Designs on the Rotation of an Upper Canine: A Finite Element Analysis of a Specific Patient" Applied Sciences 14, no. 6: 2308. https://doi.org/10.3390/app14062308
APA StyleD’Antò, V., Bocchino, T., Levatè, C., Buono, R., Razionale, A., Barone, S., & Savignano, R. (2024). Biomechanical Effects of Different Auxiliary–Aligner Designs on the Rotation of an Upper Canine: A Finite Element Analysis of a Specific Patient. Applied Sciences, 14(6), 2308. https://doi.org/10.3390/app14062308

