An Efficient One-Dimensional Texture Representation Approach for Lung Disease Diagnosis
Abstract
1. Introduction
2. Related Works
2.1. Lung Abnormalities Detection Methods
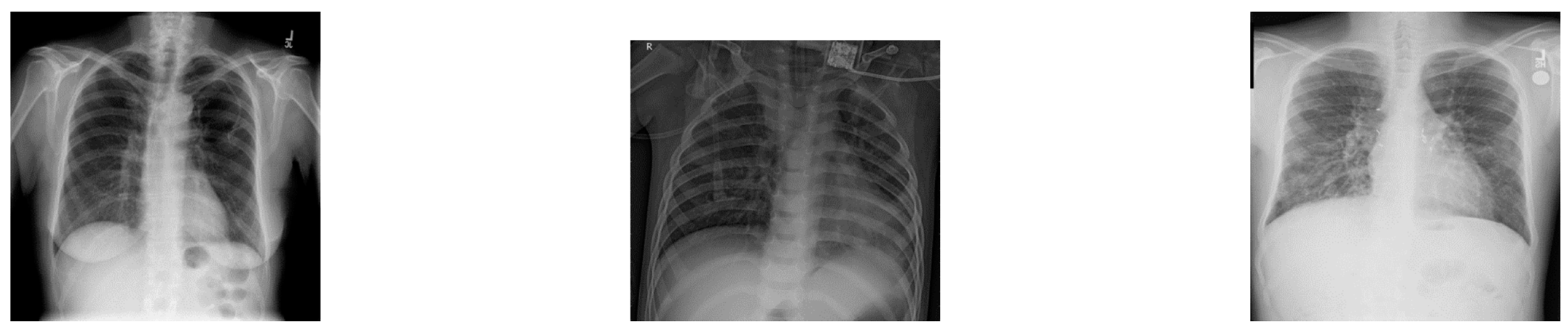
2.2. Chest X-Ray Datasets
3. Methods
3.1. Statistical Feature Extraction
3.2. Local Binary Pattern Features
3.3. Interpolation
3.4. Feedforward Neural Network
4. Datasets
Dataset Visualization
- The two points and are two points in high-dimensional space.
- The is the conditional probability.
- The is the squared Euclidean distance between the two points.
- The is the variance of the Gaussian centered at and , to the value of using the perplexity parameter that controls the effective number of neighbors.
5. Results
6. Discussion
7. Conclusions
Author Contributions
Funding
Institutional Review Board Statement
Informed Consent Statement
Data Availability Statement
Conflicts of Interest
References
- Ahmad, W.S.H.M.W.; Zaki, W.M.D.W.; Fauzi, M.F.A.; Tan, W.H. Classification of infection and fluid regions in chest X-ray images. In Proceedings of the 2016 International Conference on Digital Image Computing: Techniques and Applications (DICTA), Gold Coast, Australia, 30 November–2 December 2016; IEEE: New York, NY, USA, 2016; pp. 1–5. [Google Scholar] [CrossRef]
- Brown, S.-A.W.; Padilla, M.; Mhango, G.; Powell, C.; Salvatore, M.; Henschke, C.; Yankelevitz, D.; Sigel, K.; De-Torres, J.P.; Wisnivesky, J. Interstitial lung abnormalities and lung cancer risk in the national lung screening trial. Chest 2019, 156, 1195–1203. [Google Scholar] [CrossRef] [PubMed]
- Cha, M.J.; Chung, M.J.; Lee, J.H.; Lee, K.S. Performance of deep learning model in detecting operable lung cancer with chest radiographs. J. Thorac. Imaging 2019, 34, 86–91. [Google Scholar] [CrossRef]
- Marciniuk, D.; Schraufnagel, D.; Society, E.R. The Global Impact of Respiratory Disease; European Respiratory Society: Lausanne, Switzerland, 2017; Available online: https://static.physoc.org/app/uploads/2019/04/22192917/The_Global_Impact_of_Respiratory_Disease.pdf (accessed on 1 July 2024).
- World Health Organization. Pneumonia in Children. 2022. Available online: https://www.who.int/news-room/fact-sheets/detail/pneumonia (accessed on 1 July 2024).
- Khoiriyah, S.A.; Basofi, A.; Fariza, A. Convolutional neural network for automatic pneumonia detection in chest radiography. In Proceedings of the 2020 International Electronics Symposium (IES), Surabaya, Indonesia, 29–30 September 2020; IEEE: New York, NY, USA, 2020; pp. 476–480. [Google Scholar] [CrossRef]
- World Health Organization. Tuberculosis. Available online: https://www.who.int/news-room/fact-sheets/detail/tuberculosis (accessed on 1 July 2024).
- Raoof, S.; Feigin, D.; Sung, A.; Raoof, S.; Irugulpati, L.; Rosenow, E.C. Interpretation of plain chest roentgenogram. Chest 2012, 141, 545–558. [Google Scholar] [CrossRef] [PubMed]
- Herman, P.G.; Gerson, D.E.; Hessel, S.J.; Mayer, B.S.; Watnick, M.; Blesser, B.; Ozonoff, D. Disagreements in chest roentgen interpretation. Chest 1975, 68, 278–282. [Google Scholar] [CrossRef] [PubMed]
- Chandrasekar, K.S. Exploring the deep-learning techniques in detecting the presence of coronavirus in the chest X-ray images: A comprehensive review. Arch. Comput. Methods Eng. 2022, 29, 5381–5395. [Google Scholar] [CrossRef] [PubMed]
- Kieu, S.T.H.; Bade, A.; Hijazi, M.H.A.; Kolivand, H. A survey of deep learning for lung disease detection on medical images: State-of-the-art, taxonomy, issues and future directions. J. Imaging 2020, 6, 131. [Google Scholar] [CrossRef]
- Priyadarsini, M.J.P.; Kotecha, K.; Rajini, G.K.; Hariharan, K.; Raj, K.U.; Ram, K.B.; Indragandhi, V.; Subramaniyaswamy, V.; Pandya, S. Lung diseases detection using various deep learning algorithms. J. Health Eng. 2023, 2023, 3563696. [Google Scholar] [CrossRef]
- Ahmed, S.T.; Kadhem, S.M. Using machine learning via deep learning algorithms to diagnose the lung disease based on chest imaging: A survey. Int. J. Interact. Mob. Technol. (iJIM) 2021, 15, 95–112. [Google Scholar] [CrossRef]
- Sun, J.; Liao, X.; Yan, Y.; Zhang, X.; Sun, J.; Tan, W.; Liu, B.; Wu, J.; Guo, Q.; Gao, S.; et al. Correction to: Detection and staging of chronic obstructive pulmonary disease using a computed tomography–based weakly supervised deep learning approach. Eur. Radiol. 2022, 32, 5785. [Google Scholar] [CrossRef]
- Bharati, S.; Podder, P.; Mondal, M.R.H. Hybrid deep learning for detecting lung diseases from X-ray images. Inform. Med. Unlocked 2020, 20, 100391. [Google Scholar] [CrossRef]
- Feng, Y.; Wang, Y.; Zeng, C.; Mao, H. Artificial intelligence and machine learning in chronic airway diseases: Focus on asthma and chronic obstructive pulmonary disease. Int. J. Med Sci. 2021, 18, 2871–2889. [Google Scholar] [CrossRef] [PubMed]
- Kumar, S.; Bhagat, V.; Sahu, P.; Chaube, M.K.; Behera, A.K.; Guizani, M.; Gravina, R.; Di Dio, M.; Fortino, G.; Curry, E.; et al. A novel multimodal framework for early diagnosis and classification of COPD based on CT scan images and multivariate pulmonary respiratory diseases. Comput. Methods Programs Biomed. 2023, 243, 107911. [Google Scholar] [CrossRef]
- Saygılı, A. Analysis and segmentation of X-ray images of covid-19 patients using the k-means algorithm. Veri Bilim. 2021, 4, 1–6. [Google Scholar]
- Park, B.; Park, H.; Lee, S.M.; Seo, J.B.; Kim, N. Lung segmentation on HRCT and volumetric CT for diffuse interstitial lung disease using deep convolutional neural networks. J. Digit. Imaging 2019, 32, 1019–1026. [Google Scholar] [CrossRef] [PubMed]
- Toğaçar, M.; Ergen, B.; Cömert, Z. Detection of lung cancer on chest CT images using minimum redundancy maximum relevance feature selection method with convolutional neural networks. Biocybern. Biomed. Eng. 2020, 40, 23–39. [Google Scholar] [CrossRef]
- Golan, R.; Jacob, C.; Denzinger, J. Lung nodule detection in ct images using deep convolutional neural networks. In Proceedings of the 2016 International Joint Conference on Neural Networks (IJCNN), Vancouver, BC, Canada, 24–29 July 2016; IEEE: New York, NY, USA, 2016; pp. 243–250. [Google Scholar] [CrossRef]
- Japanese Society of Radiological Technology. Digital Image Database-jsrt Database. 2004. Available online: http://db.jsrt.or.jp/eng.php (accessed on 1 July 2024).
- Shiraishi, J.; Katsuragawa, S.; Ikezoe, J.; Matsumoto, T.; Kobayashi, T.; Komatsu, K.-I.; Matsui, M.; Fujita, H.; Kodera, Y.; Doi, K. Development of a digital image database for chest radiographs with and without a lung nodule. Am. J. Roentgenol. 2000, 174, 71–74. [Google Scholar] [CrossRef]
- Jaeger, S.; Candemir, S.; Antani, S.; Wáng, Y.-X.J.; Lu, P.-X.; Thoma, G. Two public chest X-Ray datasets for computer-aided screening of pulmonary diseases. Quant. Imaging Med. Surg. 2014, 4, 475–477. [Google Scholar] [CrossRef]
- Sherekar, P. Chest X-Ray Images (pneumonia). Kaggle, v2. 2021. Available online: https://www.kaggle.com/datasets/prashant268/chest-xray-covid19-pneumonia (accessed on 5 August 2024).
- Kermany, D. Labeled Optical Coherence Tomography (oct) and Chest X-ray Images for Classification. Mendeley Data, v3. 2018. Available online: https://data.mendeley.com/datasets/rscbjbr9sj/2 (accessed on 5 August 2024).
- Asraf, A. COVID-19, Pneumonia and Normal Chest X-Ray pa Dataset. Mendeley Data, v1. 2021. Available online: https://data.mendeley.com/datasets/jctsfj2sfn/1 (accessed on 5 August 2024).
- Jangam, E.; Annavarapu, C.S.R.; Elloumi, M. Deep Learning for Lung Disease Detection from Chest X-Rays Images; Springer: Berlin/Heidelberg, Germany, 2021; pp. 239–254. [Google Scholar] [CrossRef]
- Imran, A.A.Z.; Terzopoulos, D. Semi-supervised multi-task learning with chest X-ray images. In Proceedings of the Machine Learning in Medical Imaging: 10th International Workshop, MLMI, Held in Conjunction with MICCAI 2019, Shenzhen, China, 13 October 2019; Springer: Berlin/Heidelberg, Germany, 2019; pp. 151–159. [Google Scholar]
- Nasser, A.A.; Akhloufi, M.A. A review of recent advances in deep learning models for chest disease detection using radiography. Diagnostics 2023, 13, 159. [Google Scholar] [CrossRef]
- Guo, K.; Cheng, J.; Li, K.; Wang, L.; Lv, Y.; Cao, D. Diagnosis and detection of pneumonia using weak-label based on X-ray images: A multi-center study. BMC Med Imaging 2023, 23, 209. [Google Scholar] [CrossRef]
- Kundu, R.; Das, R.; Geem, Z.W.; Han, G.-T.; Sarkar, R. Pneumonia detection in chest X-ray images using an ensemble of deep learning models. PLoS ONE 2021, 16, e0256630. [Google Scholar] [CrossRef]
- Trivedi, A.; Robinson, C.; Blazes, M.; Ortiz, A.; Desbiens, J.; Gupta, S.; Dodhia, R.; Bhatraju, P.K.; Liles, W.C.; Kalpathy-Cramer, J.; et al. Deep learning models for COVID-19 chest X-ray classification: Preventing shortcut learning using feature disentanglement. PLoS ONE 2022, 17, e0274098. [Google Scholar] [CrossRef] [PubMed]
- Wang, X.; Peng, Y.; Lu, L.; Lu, Z.; Bagheri, M.; Summers, R.M. ChestX-Ray8: Hospital-Scale Chest X-Ray Database and Benchmarks on Weakly-Supervised Classification and Localization of Common Thorax Diseases; IEEE: New York, NY, USA, 2017; pp. 2097–2106. [Google Scholar]
- He, K.; Zhang, X.; Ren, S.; Sun, J. Deep Residual Learning for Image Recognition; IEEE: New York, NY, USA, 2016; pp. 770–778. [Google Scholar]
- Drozdzal, M.; Vorontsov, E.; Chartrand, G.; Kadoury, S.; Pal, C. The Importance of Skip Connections in Biomedical Image Segmentation; Springer: Berlin/Heidelberg, Germany, 2016; pp. 179–187. [Google Scholar] [CrossRef]
- Ullah, A.; Anwar, S.M.; Bilal, M.; Mehmood, R.M. Classification of arrhythmia by using deep learning with 2-D ECG spectral image representation. Remote Sens. 2020, 12, 1685. [Google Scholar] [CrossRef]
- Long, J.; Shelhamer, E.; Darrell, T. Fully Convolutional Networks for Semantic Segmentation; IEEE: New York, NY, USA, 2015; pp. 3431–3440. [Google Scholar]
- Lin, C.-H.; Zhang, F.-Z.; Wu, J.-X.; Pai, N.-S.; Chen, P.-Y.; Pai, C.-C.; Kan, C.-D. Posteroanterior chest X-ray image classification with a multilayer 1D convolutional neural network-based classifier for cardiomegaly level screening. Electronics 2022, 11, 1364. [Google Scholar] [CrossRef]
- Dey, N.; Zhang, Y.-D.; Rajinikanth, V.; Pugalenthi, R.; Raja, N.S.M. Customized VGG19 Architecture for pneumonia detection in chest X-rays. Pattern Recognit. Lett. 2021, 143, 67–74. [Google Scholar] [CrossRef]
- Sahlol, A.T.; Elaziz, M.A.; Jamal, A.T.; Damaševičius, R.; Hassan, O.F. A novel method for detection of tuberculosis in chest radiographs using artificial ecosystem-based optimisation of deep neural network features. Symmetry 2020, 12, 1146. [Google Scholar] [CrossRef]
- Souid, A.; Sakli, N.; Sakli, H. Classification and predictions of lung diseases from chest X-rays using mobilenet V2. Appl. Sci. 2021, 11, 2751. [Google Scholar] [CrossRef]
- Alabdulwahab, A.; Lee, S.W. Comparative analysis of swin transformer and residual neural network for pneumonia classification. J. Korea Inst. Next Gener. Comput. 2023, 19, 7–17. [Google Scholar]
- Unnisa, S. Svnet for detecting pneumonia from chest X-ray images. Indian J. Nat. Sci. 2023, 13, 52978–52982. [Google Scholar]
- National Institutes of Health. Nih Clinical Center Provides One of the Largest Publicly Available Chest X-Ray Datasets to the Scientific Community. National Institutes of Health (NIH). 2021. Available online: https://www.nih.gov/news-events/news-releases/nih-clinical-center-provides-one-largest-publicly-available-chest-x-ray-datasets-scientific-community (accessed on 1 July 2024).
- Hasan, M.R.; Ullah, S.M.A.; Hasan, M. Deep learning in radiology: A transfer-learning based approach for the identification and classification of covid-19 and pneumonia in chest X-ray images. In Proceedings of the 2023 Fourth International Conference on Smart Technologies in Computing, Electrical and Electronics (ICSTCEE), Bengaluru, India, 8–9 December 2023; IEEE: New York, NY, USA, 2023; pp. 1–6. [Google Scholar] [CrossRef]
- Varshni, D.; Thakral, K.; Agarwal, L.; Nijhawan, R.; Mittal, A. Pneumonia detection using cnn based feature extraction. In Proceedings of the 2019 IEEE International Conference on Electrical, Computer and Communication Technologies (ICECCT), Coimbatore, India, 20–22 February 2019; IEEE: New York, NY, USA, 2019; pp. 1–7. [Google Scholar] [CrossRef]
- Liang, G.; Zheng, L. A transfer learning method with deep residual network for pediatric pneumonia diagnosis. Comput. Methods Programs Biomed. 2020, 187, 104964. [Google Scholar] [CrossRef]
- Ahamed, K.U.; Islam, M.; Uddin, A.; Akhter, A.; Paul, B.K.; Abu Yousuf, M.; Uddin, S.; Quinn, J.M.; Moni, M.A. A deep learning approach using effective preprocessing techniques to detect COVID-19 from chest CT-scan and X-ray images. Comput. Biol. Med. 2021, 139, 105014. [Google Scholar] [CrossRef]
- Kaur, P.; Harnal, S.; Tiwari, R.; Alharithi, F.S.; Almulihi, A.H.; Noya, I.D.; Goyal, N. A hybrid convolutional neural network model for diagnosis of COVID-19 using chest X-ray images. Int. J. Environ. Res. Public Health 2021, 18, 12191. [Google Scholar] [CrossRef] [PubMed]
- Maharjan, J.; Calvert, J.; Pellegrini, E.; Green-Saxena, A.; Hoffman, J.; McCoy, A.; Mao, Q.; Das, R. Application of deep learning to identify COVID-19 infection in posteroanterior chest X-rays. Clin. Imaging 2021, 80, 268–273. [Google Scholar] [CrossRef] [PubMed]
- Ozturk, T.; Talo, M.; Yildirim, E.A.; Baloglu, U.B.; Yildirim, O.; Acharya, U.R. Automated detection of COVID-19 cases using deep neural networks with X-ray images. Comput. Biol. Med. 2020, 121, 103792. [Google Scholar] [CrossRef] [PubMed]
- Hussain, E.; Hasan, M.; Rahman, A.; Lee, I.; Tamanna, T.; Parvez, M.Z. CoroDet: A deep learning based classification for COVID-19 detection using chest X-ray images. Chaos Solitons Fractals 2021, 142, 110495. [Google Scholar] [CrossRef] [PubMed]
- Tan, M.; Tan, M. Efficientnet: Rethinking Model Scaling for Convolutional Neural Networks. In Proceedings of the 36th International Conference on Machine Learning, Long Beach, CA, USA, 9–15 June 2019; pp. 6105–6114. [Google Scholar]
- Duzgun, S.A.; Durhan, G.; Demirkazik, F.B.; Akpinar, M.G.; Ariyurek, O.M. COVID-19 pneumonia: The great radiological mimicker. Insights Imaging 2020, 11, 118. [Google Scholar] [CrossRef]
- der Maaten, L.V.; Hinton, G. Visualizing data using t-sne. J. Mach. Learn. Res. 2008, 9, 2579–2605. [Google Scholar]
- Tan, M.; Le, Q. EfficientNetV2: Smaller Models and Faster Training. In Proceedings of the International Conference on Machine Learning, Online, 18–24 July 2021; pp. 10096–10106. [Google Scholar]
- Howard, A.; Sandler, M.; Chu, G.; Chen, L.-C.; Chen, B.; Tan, M.; Wang, W.; Zhu, Y.; Pang, R.; Vasudevan, V.; et al. Searching for MobileNetV3. In Proceedings of the IEEE/CVF International Conference on Computer Vision, Seoul, Republic of Korea, 27 October–2 November 2019; pp. 1314–1324. [Google Scholar]
- Gong, Z.; Song, T.; Hu, M.; Che, Q.; Guo, J.; Zhang, H.; Li, H.; Wang, Y.; Liu, B.; Shi, N. Natural and socio-environmental factors in the transmission of covid-19: A comprehensive analysis of epidemiology and mechanisms. BMC Public Health 2024, 24, 2196. [Google Scholar] [CrossRef]
- Jung, J.; Kim, J.Y.; Park, H.; Park, S.; Lim, J.S.; Lim, S.Y.; Bae, S.; Lim, Y.-J.; Kim, E.O.; Kim, J.; et al. Transmission and infectious sars-cov-2 shedding kinetics in vaccinated and unvaccinated individuals. JAMA Netw. Open 2022, 5, e2213606. [Google Scholar] [CrossRef]








| Method | Global Accuracy | F1 | Precision | Recall |
|---|---|---|---|---|
| 1DTR (PA dataset) | 96% | 0.96 | 0.96 | 0.96 |
| EfficientNet-B0 (PA dataset) | 91% | 0.91 | 0.92 | 0.91 |
| EfficientNetV2 (PA dataset) | 93% | 0.93 | 0.93 | 0.93 |
| MobileNetV3 (PA dataset) | 91% | 0.91 | 0.91 | 0.91 |
| 1DTR (Guangzhou dataset) | 99% | 0.99 | 0.99 | 0.99 |
| EfficientNet-B0 (Guangzhou dataset) | 81% | 0.80 | 0.82 | 0.80 |
| EfficientNetV2 (Guangzhou dataset) | 76% | 0.75 | 0.77 | 0.75 |
| MobileNetV3 (Guangzhou dataset) | 77% | 0.76 | 0.79 | 0.76 |
| Normal | COVID | Pneumonia | ||||||||||
|---|---|---|---|---|---|---|---|---|---|---|---|---|
| Acc. | F1 | Pre. | Rec. | Acc. | F1 | Pre. | Rec. | Acc. | F1 | Pre. | Rec. | |
| 1DTR | 0.96% | 0.96 | 0.93 | 0.98 | 0.96% | 0.97 | 0.99 | 0.95 | 0.96% | 0.95 | 0.96 | 0.95 |
| EfficientNet-B0 | 0.95% | 0.89 | 0.83 | 0.96 | 0.87% | 0.93 | 0.99 | 0.88 | 0.89% | 0.92 | 0.95 | 0.89 |
| EfficientNet-V2 | 0.96% | 0.91 | 0.87 | 0.96 | 0.93% | 0.95 | 0.97 | 0.96 | 0.89% | 0.93 | 0.96 | 0.90 |
| MobileNet-V3 | 0.86% | 0.90 | 0.87 | 0.93 | 0.93% | 0.95 | 0.96 | 0.94 | 0.93% | 0.89 | 0.85 | 0.94 |
| Normal | Virus | Bacteria | ||||||||||
|---|---|---|---|---|---|---|---|---|---|---|---|---|
| Acc. | F1 | Pre. | Rec. | Acc. | F1 | Pre. | Rec. | Acc. | F1 | Pre. | Rec. | |
| 1DTR | 0.99% | 0.99 | 0.99 | 1.00 | 0.99% | 0.97 | 0.99 | 0.95 | 0.99% | 0.99 | 0.98 | 1.00 |
| EfficientNet-B0 | 0.68% | 0.81 | 0.98 | 0.69 | 0.76% | 0.72 | 0.68 | 0.76 | 0.96% | 0.87 | 0.80 | 0.96 |
| EfficientNet-V2 | 0.63% | 0.75 | 0.93 | 0.63 | 0.69% | 0.68 | 0.66 | 0.70 | 0.92% | 0.82 | 0.73 | 0.93 |
| MobileNet-V3 | 0.59% | 0.60 | 0.95 | 0.73 | 0.72% | 0.69 | 0.66 | 0.72 | 0.96% | 0.84 | 0.74 | 0.97 |
| Training Time | Testing Time | |
|---|---|---|
| 1DTR (PA dataset) | 38.14 s | 0.17 s |
| EfficientNet-B0 (PA dataset) | 7776.78 s | 8.56 s |
| EfficientNet-V2 (PA dataset) | 7128.57 s | 7.55 s |
| MobileNet-V3 (PA dataset) | 6425.22 s | 7.24 s |
| 1DTR (Guangzhou dataset) | 10.85 s | 0.19 s |
| EfficientNet-B0 (Guangzhou dataset) | 6251.16 s | 7.02 s |
| EfficientNet-V2 (Guangzhou dataset) | 5393.67 s | 6.20 s |
| MobileNet-V3 (Guangzhou dataset) | 4920.32 s | 5.79 s |
Disclaimer/Publisher’s Note: The statements, opinions and data contained in all publications are solely those of the individual author(s) and contributor(s) and not of MDPI and/or the editor(s). MDPI and/or the editor(s) disclaim responsibility for any injury to people or property resulting from any ideas, methods, instructions or products referred to in the content. |
© 2024 by the authors. Licensee MDPI, Basel, Switzerland. This article is an open access article distributed under the terms and conditions of the Creative Commons Attribution (CC BY) license (https://creativecommons.org/licenses/by/4.0/).
Share and Cite
Alabdulwahab, A.; Park, H.-C.; Jeong, H.; Lee, S.-W. An Efficient One-Dimensional Texture Representation Approach for Lung Disease Diagnosis. Appl. Sci. 2024, 14, 10661. https://doi.org/10.3390/app142210661
Alabdulwahab A, Park H-C, Jeong H, Lee S-W. An Efficient One-Dimensional Texture Representation Approach for Lung Disease Diagnosis. Applied Sciences. 2024; 14(22):10661. https://doi.org/10.3390/app142210661
Chicago/Turabian StyleAlabdulwahab, Abrar, Hyun-Cheol Park, Heon Jeong, and Sang-Woong Lee. 2024. "An Efficient One-Dimensional Texture Representation Approach for Lung Disease Diagnosis" Applied Sciences 14, no. 22: 10661. https://doi.org/10.3390/app142210661
APA StyleAlabdulwahab, A., Park, H.-C., Jeong, H., & Lee, S.-W. (2024). An Efficient One-Dimensional Texture Representation Approach for Lung Disease Diagnosis. Applied Sciences, 14(22), 10661. https://doi.org/10.3390/app142210661

