Next Article in Journal
Dynamic Analysis of Cortisol Hormone, Alpha-Amylase Enzyme, and Blood Lactate Levels during a Rowing Ergometer 6 km Race
Previous Article in Journal
Preparation and Performance Characterization of Low-Density 3D-Printed Expanded Perlite–Foam Concrete
 
 
Font Type:
Arial Georgia Verdana
Font Size:
Aa Aa Aa
Line Spacing:
Column Width:
Background:
Article

A Modified Bio-Inspired Optimizer with Capsule Network for Diagnosis of Alzheimer Disease

1
Department of Electronics and Communication Engineering, St. Peter’s Institute of Higher Education and Research, Chennai 600077, India
2
Department of Electronics and Communication Engineering, Dayananda Sagar University, Bengaluru 560068, India
3
Department of Computer Science and Engineering, Gayatri Vidya Parishad College of Engineering (A), Visakhapatnam 530048, India
*
Authors to whom correspondence should be addressed.
Appl. Sci. 2024, 14(15), 6798; https://doi.org/10.3390/app14156798
Submission received: 8 June 2024 / Revised: 27 July 2024 / Accepted: 1 August 2024 / Published: 4 August 2024

Abstract

Recently, Alzheimer’s disease (AD) is one of the common neurodegenerative disorders, which primarily occurs in old age. Structural magnetic resonance imaging (sMRI) is an effective imaging technique used in clinical practice for determining the period of AD patients. An efficient deep learning framework is proposed in this paper for AD detection, which is inspired from clinical practice. The proposed deep learning framework significantly enhances the performance of AD classification by requiring less processing time. Initially, in the proposed framework, the sMRI images are acquired from a real-time dataset and two online datasets including Australian Imaging, Biomarker and Lifestyle flagship work of ageing (AIBL), and Alzheimer’s Disease Neuroimaging Initiative (ADNI). Next, a fuzzy-based superpixel-clustering algorithm is introduced to segment the region of interest (RoI) in sMRI images. Then, the informative deep features are extracted in segmented RoI images by integrating the probabilistic local ternary pattern (PLTP), ResNet-50, and Visual Geometry Group (VGG)-16. Furthermore, the dimensionality reduction is accomplished by through the modified gorilla troops optimizer (MGTO). This process not only enhances the classification performance but also diminishes the processing time of the capsule network (CapsNet), which is employed to classify the classes of AD. In the MGTO algorithm, a quasi-reflection-based learning (QRBL) process is introduced for generating silverback’s quasi-refraction position for further improving the optimal position’s quality. The proposed fuzzy based superpixel-clustering algorithm and MGTO-CapsNet model obtained a pixel accuracy of 0.96, 0.94, and 0.98 and a classification accuracy of 99.88%, 96.38%, and 99.94% on the ADNI, real-time, and AIBL datasets, respectively.

1. Introduction

The brain is an integral and important part of the human body, controlling the entire central nervous system [1]. It performs tasks such as emotional response, memory and learning, creative visualization, coordination, movement, and thinking [2]. Several stimuli affect the human brain and result in neurological and psychiatric disorders such as depression, AD, epilepsy, etc. [3,4]. AD is a common brain disorder, and it leads to problems such as abnormal behaviour, memory, and thinking. Loss of neuron connection, abnormal clumps, and tangled fibre bundles are the major features of AD [5]. It is necessary to create an automatic detection system for better prognosis of AD. Different imaging techniques such as electroencephalography, computed tomography, positron emission tomography, genotyping, histopathology, MRI, etc. are used for the early detection of AD/dementia [6,7]. Among the available imaging techniques, structural MRI is efficient because it clearly shows cerebral and cortical atrophy in patients with AD [8,9,10].
In recent times, several machine-learning-based computer vision models have been developed by researchers for classifying the classes of AD, namely naive Bayes, decision tree, AdaBoost, random forest, etc. [11,12,13]. These conventional machine-learning models are efficient in image classification but have issues such as overfitting and outliers [14,15]. Therefore, the deep-learning-based models have gained more attention among researchers and brought several advancements and improvements in applications such as image processing, computer vision, pattern recognition, and medical imaging [16]. However, it is challenged in distinguishing the dissimilar stages of AD, and this procedure is also expensive and tedious [17,18]. The primary aim of this study was to diagnose AD with the help of deep learning models and transfer learning. The automatic AD detection reduces the cost and involvement of radiologists. The important contributions of this work are described below:
  • Implementation of a fuzzy-based superpixel-clustering algorithm for RoI segmentation on a real-time dataset and two online datasets (AIBL and ADNI). The fuzzy-based superpixel-clustering algorithm effectively groups image pixels with similar properties that helps in preserving structural information and spatial coherence of brain regions. In this context, the fuzzy-based superpixel-clustering algorithm is vital for precisely analysing and finding the structural changes related to AD.
  • We performed hybrid feature extraction by the integrating PLTP, ResNet-50, and VGG-16 models. A broader range of feature information is captured by incorporating diverse features, and it leads to increased discriminative power and results in better classification of different classes.
  • We propose a MGTO algorithm to select informative features from total extracted features. In this MGTO algorithm, a QRBL process is introduced to further improve the optimal position’s quality. In the context of image classification, the feature selection not only improves the classification performance but also decreases the processing time.
  • We implemented a CapsNet model for classifying the types of AD. In comparison to the traditional CNN models, the CapsNet model delivers more interpretable representations for image classification. Eight different evaluation measures are utilized for validating the performance of the fuzzy-based superpixel-clustering algorithm and the MGTO-CapsNet model.
The remainder of this paper is structured as follows. A review of the existing literature is provided in Section 2. The details about the methods undertaken, results obtained, conclusion, and future scope are stated in Section 3, Section 4 and Section 5.

2. Literature Review

The existing studies on the topic of AD detection are reviewed in this section. Orouskhani et al. [19] designed an efficient learning model named Deep Triplet Network (DTN) for AD detection. The DTN model utilizes a conditional loss function for improving the model’s accuracy and overcoming problems related to lack of limited samples. The DTN model was inspired from the concept of a pre-trained model named VGG-16. The empirical evaluation conducted on an online dataset demonstrated the success of this DTN model in AD detection over the conventional models. Marwa et al. [20] presented a shallow convolutional neural network (CNN) model for the accurate and fast diagnosis of AD. This regularized model efficiently learns features from both larger and smaller datasets and outperformed other comparative models in diagnosing AD. Generally, AD detection needs a higher level of discriminative power for differentiating subtle changes in brain structure. However, the DTN and shallow CNN models are not adaptable to various modalities related to other complex deep learning models.
Deepa and Chokkalingam [21] combined the arithmetic optimization algorithm (AOA) with the VGG-16 model for classifying the types of AD. In the pre-processing phase, a cat12 toolkit was initially utilized for processing the format of t1-weighted MRI images, and further, a linear contrast stretching was employed for enhancing the contrast level of MRI images. Next, an adaptive RoI model was applied for segmenting the brain nodules. Finally, an optimized VGG-16 model was introduced for classifying the AD classes, such as late dementia, mild dementia, and normal. In this study, an AOA was integrated with the VGG-16 model for optimizing the batch size and dropout rate and overcame problems such as computational time and data imbalance.
Al-Adhaileh [22] used two pre-trained models named ResNet-50 and AlexNet for classifying the classes of AD. The experimental outcomes indicated that the AlexNet model obtained significant detection accuracy in comparison to the ResNet-50 model. Shahwar et al. [23] presented a hybrid classical quantum model (combination of ResNet-34 and classical neural networks) for classifying non-demented and demented MRI images for the early diagnosis of AD. However, the pre-trained models such as AlexNet, ResNet-34, and VGG-16 models were relatively deeper; therefore, there was increased risk of overfitting.
Shanmugam et al. [24] employed three pre-trained models including ResNet-18, AlexNet, and GoogleNet for classifying four types of AD classes. As illustrated by their results, the ResNet-18 model obtained a maximum detection accuracy in comparison to other pre-trained models (AlexNet and GoogleNet). Furthermore, AlSaeed and Omar [25] utilized the ResNet-18 model for extracting deep features from MRI datasets, which were further transferred to the random forest, support vector machine (SVM), and softmax classifier for medical image classification. The use of individual pre-trained models such as the ResNet-18 model has limited feature extraction ability that leads to performance degradation in larger MRI datasets.
Houria et al. [26] developed an efficient framework for the early recognition of AD. In this framework, the modified AlexNet, bag of features, and speeded up robust features (SURF) were integrated for extracting deep and local features from MRIs. These extracted features were passed into the SVM for classifying AD classes. However, the use of conventional machine learning classifiers such as SVM are prone to overfitting and outlier problems.
Lahmiri et al. [27] presented an automated framework for AD detection by integrating CNN, the Bayesian optimization (BO) algorithm, and K-Nearest neighbour (KNN). Firstly, deep features were extracted from MRIs by implementing a CNN model, and further, these features were fed into the KNN for classifying AD and healthy subjects. In this context, the BO algorithm was employed for selecting optimal hyper-parameters of KNN, and this process significantly reduced the training time of the framework.
Lanjewar et al. [28] designed a new framework for the early diagnosis of AD using MRIs. After the collection of 6400 MRIs, the informative features were extracted utilizing the CNN model. The extracted informative deep features were passed into the KNN to classify four types of AD classes. Four different evaluation measures were used for assessing the efficacy of the presented CNN-KNN framework. However, conventional classification models such as KNN have high computational cost, particularly when the size of the MRI dataset is larger.
Shojaei et al. [29] designed an efficient three-dimensional CNN model for AD detection. This presented CNN model integrated backpropagation-based explainability approaches including occlusion map and genetic algorithm for reducing time cost and improving the convergence rate by optimizing the search space. Ghosh et al. [30] developed a lower-cost transfer-learning model named Mobile-Net for effective detection of AD. The developed Mobile-Net model’s effectiveness was tested on different test cases and online datasets. Yao et al. [31] designed a fuzzy-based VGG model to predict the stages of AD utilizing MRI images. In this context, the conventional three-dimensional CNN model and pre-trained CNN models (Mobile-Net and VGG) were not robust to differences in resolution and variations in imaging conditions.
Balaji et al. [32] developed a hybrid deep learning model for precise recognition of AD. The developed hybrid model incorporated long short-term memory (LSTM) with the CNN, and this model effectively updated its batch size, Adam optimization, and learning weights for improving the classification accuracy. However, the combination of LSTM with the CNN introduced more parameters that increased the risk of overfitting. Yue et al. [33] initially performed automated anatomical labelling (AAL) for segmenting interested regions in collected sMRI images. Next, the informative features were extracted and passed into the CNN model for classifying AD classes. Finally, an online ADNI dataset was used for validating the efficiency of the presented model.
Furthermore, Alhassan et al. [34] developed a novel framework for AD detection. This framework incorporated Otsu thresholding technique, the fuzzy-based elephant-herding optimization algorithm, and a dual-attention-based multi-instance deep learning (DA-MIDL) model for the early diagnosis of AD. The developed framework obtained improved detection performance in comparison to the conventional models on the AIBL dataset. In this context, the CNN and DA-MIDL models consumed a larger amount of computational resources, which led to curse of dimensionality problems on high-dimensional image data such as those in the ADNI and AIBL datasets.
As can be surmised from an overall review of the literature, MRI has been used to study the structure of the brain and to define diseased areas as well as to assess a wide range of neurological diseases. It is essential to identifying AD patients early on in order to set preventative measures in practice. Deep learning has made significant advances in medical image processing in recent years. With segmented MRI images, brain diseases can be classified more precisely because of detailed tissue-architecture analysis. Several complicated segmentation techniques that have been proposed for the diagnosis of AD have problems such as curse of dimensionality and overfitting. Deep learning techniques have drawn interest for application in the segmentation of the brain’s structure and classification of AD because they can produce useful findings across an extensive data collection. In order to highlight the stated problems, a novel fuzzy-based superpixel-clustering algorithm and MGTO-CapsNet model were developed for accurate AD detection, particularly in the high-dimensional sMRI datasets.

3. Methodology

In the context of AD detection, the proposed deep learning framework comprises the following steps. Initially, the sMRIs are acquired from two benchmark datasets (ADNI and AIBL) and a real-time dataset and further, the interested regions are segmented by the proposed fuzzy-based superpixel-clustering algorithm. Next, hybrid feature extraction is carried out by integrating the ResNet-50, VGG-16, and PLTP models, and then, the dimensions of the extracted features are decreased by introducing the MGTO algorithm. Finally, the obtained informative features are fed as input into the CapsNet model for classifying the types of AD classes. The processes that are involved in the proposed deep learning framework are pictorially specified in Figure 1.

3.1. Description of Datasets

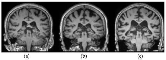
The proposed fuzzy-based superpixel-clustering algorithm and the MGTO-CapsNet model performance was tested on the ADNI, real time, and AIBL datasets. The ADNI dataset comprises 1662 sMRI images; here, the individuals are categorized into three types, including normal control (NC), AD, and mild cognitive impairment (MCI) [35]. The goal of ADNI is to create biochemical, genetic, imaging, and clinical biomarkers for the early identification and monitoring of AD. The historic public–private cooperation, which was established more than ten years ago, has significantly advanced AD research by facilitating the exchange of data amongst researchers worldwide (https://adni.loni.usc.edu/data-samples/) accessed on 14 November 2023. Furthermore, the AIBL dataset (https://aibl.csiro.au) accessed on 21 November 2023 consists of 496 sMRI images, and the individuals are categorized into three types, including 17 progressive MCI (pMCI), 93 stable MCI (sMCI), and 307 NC [36] subjects. Additionally, the real-time dataset was acquired from Rajiv Gandhi Government General Hospital (Chennai), and it comprises 200 sMRI images belonging to three classes (NC, AD, and MCI). The acquired sample sMRI images from the ADNI dataset (a), including the real-time dataset (b), and AIBL dataset (c) are visually presented in Figure 2.

3.2. RoI Segmentation

Next, the fuzzy-based superpixel-clustering algorithm is proposed for RoI segmentation. This algorithm segments similar pixels in sMRI images, which is known as superpixels. In the proposed fuzzy-based superpixel-clustering algorithm, an objective function of fuzzy C means method adds histogram information, and this process reduces the number of colour levels in the superpixels. Here, every superpixel is denoted by the average value of colour pixels in the corresponding superpixel region. The computational speed of the superpixel-clustering algorithm is improved by incorporating the objective function of the fuzzy C means method [37,38]. In this fuzzy-based superpixel-clustering algorithm, the acquired sMRI images are passed into the CIE-LAB, which comprises two vectors (colour value c v of the pixels and position of the pixels   P ). The colour value and the position of the pixels is mathematically expressed in Equations (1) and (2).
c v = ( g , a , b )
P = ( x , y )
where g , a ,   a n d   b represent red green blue (RGB) colour values, and x   a n d   y denote sMRI image coordinates. Next, the similarity between the vectors are computed, and further, the superpixels are clustered utilizing the fuzzy C means method. In this clustering method, the superpixel are clustered by categorizing the separated pixels S p to the total pixels   n . Here, the size of the superpixel S S p is computed utilizing Equation (3).
S S p = n S p
During the clustering mechanism, the seed points present in the sMRI images need to be moved towards the centred image region   3 × 3 ; otherwise, it results in interference. The similarity between the pixels are computed utilizing the own and adjacent seed points. The space distance D i s x y and color difference D i f l a b between the pixels are computed utilizing Equations (4) and (5).
D i s x y = ( x S p x i ) 2 + ( y S p y i ) 2
D i f l a b = ( g S p g i ) 2 + ( a S p a i ) 2 + ( b S p b i ) 2
In this context, i is represented as the sMRI pixels, and the similarity with the pixels in D i is computed utilizing Equation (6).
D i = D i f l a b + m S D i s x y
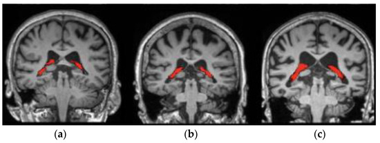
where S = c v 1 c v 2 255 , and   m = ( S p t 1 S p t 2 ) ^ 2 . The parameters S and m represent the colour similarity and distance between the seed points   S p t 1   a n d   S p t 2 , respectively. When the computed value of D i is maximum, the two pixels are very similar. As an outcome, a greater number of super pixels are segmented from the sMRI images, and the resultant image is presented in Figure 3. The hippocampus portions are marked in red colour in the respective sMRIs.

3.3. Feature Extraction

In the segmented sMRI images, features are captured by integrating the ResNet-50 model [39], VGG-16 model [40], and PLTP descriptor [41]. ResNet-50 and VGG-16 are robust to changes in MRI scan procedures and settings, whereas PLTP is robust to noise and artifacts in MRI scans. Furthermore, high-level features that are affected in Alzheimer’s disease, such as objects and forms, can be extracted using ResNet-50, and VGG-16. PLTP, ResNet-50, and VGG-16 are used together to monitor the development of the disease and identify small variations over time. Utilizing the hybrid PLTP, ResNet-50, and VGG-16 guarantees a thorough and reliable method of feature extraction for Alzheimer’s disease diagnosis and monitoring. A clear description of these extraction models is provided below.
The ResNet-50 is a 50-layer CNN model, which incorporates one average pooling layer, one max-pooling layer, and 48 convolutional layers. This residual neural network is an efficient artificial neural network, which creates networks by stacking numerous residual blocks. On the other hand, the VGG-16 model comprises convolutional layers, which are followed by fully connected and dense layers. In the context of image classification, pre-trained models such as ResNet-50 and VGG-16 serve as powerful feature extractions. The initial layers of the pre-trained models extract general features such as shapes, textures, and edges. Then, the deeper layers extract more complex and abstract features. These pre-trained models (ResNet-50 and VGG-16) are beneficial, particularly when the undertaken sMRI dataset is large.
Furthermore, the LTP is a texture descriptor, which is robust to noise and achieves valuable relationships between the centre pixels and their neighbours. Three RoIs are defined in the ADNI and real-time datasets (NC, AD, and MCI) and the AIBL dataset (NC, sMCI, and pMCI). The LTP descriptor has three codes (1, 0, −1) to capture tumour patterns to segment three RoIs. In this study, the LTP descriptor is updated on the basis of the probability density value (PDV), especially as it relates to the histogram bins. In the PLTP descriptor, upper and lower patterns are utilized for comparing the PDV of every bin with the neighbours. In this phase, this hybrid feature extraction (ResNet-50, VGG-16, and PLTP descriptor) extracts 12,650, 11,980, and 14,548 features from the ADNI, real time, and AIBL datasets, respectively. These obtained features are further passed into the MGTO algorithm for selecting informative features to enhance classification performance and reduce overall processing time.

3.4. Feature Optimization

The GTO is one of the efficient swarm intelligence-based optimization algorithms, which mimics the behaviour of gorillas. The gorilla group comprises numerous adult female gorillas, an adult male gorilla, and its offspring. The adult male gorilla is a leader, and it directs other gorillas in defending their territory and identifying areas of food abundance [42]. The conventional GTO algorithm comprises two phases, namely the exploitation phase and the exploration phase. The conventional GTO algorithm uses five distinct operators for simulating the optimization process by mimicking the behaviours of gorillas [43]. The exploitation phase uses two operators (competing with adult females and the tracking of silverbacks) for improving the search performance. On the other hand, the exploration phase uses three operators (moving towards a known position, other gorillas’ position, and an undiscovered position) for identifying optimal solutions.
As indicated by [42,43], the selection of an optimal candidate solution is a fitness function, and it can be analysed using five different evaluation measures, namely specificity, phi coefficient, accuracy, fall-out, and sensitivity, and this optimization algorithm terminates after reaching the maximum number of iterations. In the modified version of the GTO algorithm, a new QRBL process is performed based on the concepts of quasi-opposition-based learning and opposition-based learning to further improve the quality of the optimal position. The quasi-reflection number z q r of the solution z is achieved using Equation (7).
z q r = r a n d l b + u b 2 , z
where l b is the lower bound, u b is the upper bound, and r a n d is a random number and is uniformly distributed between z and   l b + u b 2 . In a D-dimensional space, the quasi-reflection value is extended and mathematically expressed in Equation (8).
z i q r = r a n d l b i + u b i 2 ,   z i
The parameters that are considered in the MGTO algorithm are a lower bound of 0.2, an upper bound of 0.8, a total iteration of 100, and a population size of 200. This MGTO algorithm selects 8682, 8120, and 9690 features from the ADNI, real-time, and AIBL datasets, which are given into the CapsNet model for image classification. The pseudocode of the MGTO algorithm is depicted in Algorithm 1.
Algorithm 1. Pseudocode of the MGTO algorithm
Input: Population size, total iteration, and other parameters
Output: Optimal features
Initialize the population
Compute the fitness-value
While stopping criteria is not met do
Revise the silverback’s new position New_position
For (j ≤ variables_no) do
Revise the silverback’s new position New_position1
End for
Compute fitness-value for New_position and New_position1
When New_position1 is superior to the New_position, substitute it
When New_position is superior to the prior position, substitute it
#Exploration-stage
For every gorilla do
  Update the gorilla’s position
End for
Compute fitness-value of every gorilla
When the candidate position of the gorilla is superior to the current position, substitute it
#Exploitation-stage
For every gorilla do
  Update the gorilla’s position
End for
#Establishing-group
Compute fitness-value of every gorilla
When the candidate position of the gorilla is superior to the current position, substitute it
Update the silverback’s position
Compute the silverback’s fitness-value
When ‘present new solution’ is superior to the ‘prior solution’, substitute it
End while
Return: Silverback’s with best solution (optimal informative features)

3.5. Classification

The informative features selected by the MGTO algorithm are passed into the CapsNet model for AD classification. The CapsNet is an efficient neural network model, which has recently evolved in the field of medical image classification [44,45]. Here, the term capsule represents a vector, which contains a group of neurons, and further, the parameters denote several characteristics of an sMRI, such as orientation, size, and position. In the CapsNet model, the lower-level capsule’s output u i is considered for predicting the higher-level capsules   j . This statement is mathematically represented in Equation (9), where, W i j denotes the weighting matrix, and it is learned by back-propagation. In this neural network, every capsule l predicts the higher-level capsule’s output. The coupling coefficient C i j among the capsules is increased when the prediction yields the actual output. The coupling coefficient C i j is computed utilizing the softmax function on the basis of the degree of conformation, and it is mathematically stated in Equation (10).
u ^ j | i = W i j u i
C i j = exp ( b i j ) l e x p ( b i l )
where the log probability is represented as   b i j ; here, it is fixed to zero. In this context, the lower-level capsules i are coupled with the higher level capsules   j . Furthermore, the input vectors of the higher-level capsules j are computed utilizing Equation (11).
s j = i C i j u ^ j | i
In this neural network, a non-linear squash (NLS) activation function is utilized to ensure that the short vectors are reduced to 0 and the long vectors are closer to 1. This NLS activation function ensures that the capsules’ output vectors are not beyond the limit of one, and it is mathematically illustrated in Equation (12).
v j = s j 2 1 + s j 2 s j s j
where the input vectors are represented as   s j , and the output vectors are represented as v j . The agreement a g i j to update the coupling coefficients C i j and the log probabilities b i j are determined in Equation (13).
a g i j = u ^ j | i v j
The parameters of the CapsNet model are a size of kernel of 3, a learning rate of 0.0001, a total iteration of 200, a capsule dimension of 8, a batch size of 140, a number of total nodes in hidden layers of 128, and a number of total nodes in the primary caps layers of 64. The empirical analysis of the fuzzy-based superpixel-clustering algorithm and MGTO-CapsNet model is described in Section 4.

4. Results

In the context of AD detection, both the segmentation algorithm (fuzzy-based superpixel clustering) and classification model (MGTO-CapsNet) were implemented utilizing the MATLAB (2022a) tool, especially with the help of medical image analysis and medical imaging toolboxes. This framework was executed on a computer with the Windows 11 (64-bit) operating system, AMD’s RX 6900 XT graphics card, a 4TB hard-drive, and 128GB memory. Eight evaluation measures, namely accuracy, Jaccard similarity coefficient (JSC), sensitivity, fall-out, phi coefficient, pixel accuracy (PA), specificity, and Dice similarity coefficient (DSC) were utilized to analyse the superiority of both the fuzzy-based superpixel-clustering algorithm and MGTO-CapsNet model on the ADNI, real-time, and AIBL datasets.
The common evaluation measures utilized for investigating image segmentation algorithms are PA, JSC, and DSC. The PA is a simpler evaluation measure used to estimate the pixel-wise accuracy, whereas, both JSC and DSC are concentrated on spatial accuracy and region overlap. The formulas used to calculate PA, JSC, and DSC are specified in Equations (14)–(16).
P A = i = 0 K p i x e l i i i = 0 K j = 0 K p i x e l i j
J S C ( P S , G S ) = P S G S P S G S
D S C ( P S , G S ) = 2 × P S G S P S + G S
where, class is represented as   K , total pixels in a class is indicated as   p i x e l i j , misclassified pixels in a class is denoted as   p i x e l i i , pixels present in the ground-truth region are indicated as G S , and the pixels present in the segmented region are denoted as P S . On the other hand, the evaluation measures, namely specificity, phi coefficient, accuracy, fall-out, and sensitivity were utilized to analyse different aspects of the MGTO-CapsNet model’s performance. The general formulas of these evaluation measures are presented in Equations (17)–(21).
S p e c i f i c i t y = T N T N + F P × 100
A c c u r a c y = T P + T N T P + T N + F P + F N × 100
S e n s i t i v i t y = T P T P + F N × 100
F a l l   o u t = F P F P + T N × 100
M C C = T P × T N F P × F N T N + F N ( T N + F P ) ( T P + F N ) ( T P + F P ) × 100
where, F P indicates that the MGTO-CapsNet model incorrectly detects subjects without AD, F N indicates that the proposed model incorrectly detects subjects with AD, T P indicates that the MGTO-CapsNet model correctly detects subjects with AD, and T N indicates that the proposed model correctly detects subjects without AD.

4.1. Performance Assessment Related to Segmentation

For this segmentation phase, the performance assessment of the proposed algorithm (fuzzy-based superpixel clustering) and traditional state-of-the-art algorithms (watershed, region growing, adaptive thresholding, superpixel clustering, and Otsu thresholding) are detailed in Table 1. The performance of the state-of-the-art algorithms was assessed in three different datasets using evaluation measures such as PA, JSC, and DSC. As seen in Table 1, the fuzzy-based superpixel-clustering algorithm achieved impressive segmentation results as compare to the other algorithms, with a PA of 0.96, 0.94 and 0.98, a JSC of 0.97, 0.95, and 0.96, and a DSC of 0.98, 0.95, and 0.97 on the ADNI, real-time and AIBL datasets, respectively. These segmentation results were significantly higher in comparison to those of existing algorithms such as watershed, region growing, adaptive thresholding, superpixel clustering, and Otsu thresholding.
The proposed fuzzy-based superpixel-clustering algorithm provides realistic and flexible boundary representations between dissimilar brain regions and structures in sMRIs. It results in more meaningful and accurate segmentation of brain structures in the context of AD detection. The output of this segmentation algorithm serves as an informative input feature for the classification model. The fuzzy-based superpixel-clustering algorithm enhances the classification model’s performance by achieving more compact and meaningful representations of the brain regions and the structures related to AD. The graphical representation of the state-of-the-art algorithms is provided in Figure 4.

4.2. Performance Assessment Related to Classification

For the classification phase, the proposed MGTO-CapsNet model’s performance was compared with that of six different classification models (CNN, GoogleNet, VGG-16, AlexNet, ResNet-50, and Deep Belief Network (DBN)) with the MGTO algorithm on the ADNI, real-time, and AIBL datasets. Specifically, as seen in Table 2, the CapsNet model with the MGTO algorithm obtained efficient classification results with 99.94% for specificity, 99.96% for the phi coefficient, 99.88% for accuracy, 99.90% for fall-out, and 99.80% for sensitivity on the ADNI dataset. These evaluation measures were significantly higher than those of the other conventional deep learning models such as CNN, GoogleNet, VGG-16, AlexNet, ResNet-50, and DBN.
These conventional deep learning models were executed in a similar environment under the following parameters: the optimizer was Adam, the activation function was ReLU, the learning rate was 0.001, the batch size was 64, the loss function was cross-entropy, the dropout rate was 0.05, and the total epochs was 100. A pictorial comparison of the MGTO-CapsNet model and the conventional models on the ADNI dataset is presented in Figure 5. In the classification phase, the MGTO-CapsNet model and the conventional models were confirmed to have dissimilar K-fold techniques. The MGTO-CapsNet model and the conventional models obtained maximum classification results in the fivefold cross validation (20%:80% testing and training). The obtained results are depicted in Table 2, Table 3 and Table 4.
Correspondingly, as seen in Table 3 and Table 4, the combination of CapsNet with the MGTO algorithm had better results on the both the real-time and AIBL datasets. On the real-time dataset, the MGTO-CapsNet model obtained a 98.13% specificity, a 97.80% phi coefficient, a 96.38% accuracy, a 97.88% fall-out, and a 97.90% sensitivity. Similarly, on the AIBL dataset, the MGTO-CapsNet model achieved a 99.91% specificity, a 99.92% phi coefficient, a 99.94% accuracy, a 99.95% fall-out, and a 99.88% sensitivity. The pictorial comparison of the MGTO-CapsNet model and the conventional models on the real-time and AIBL datasets is represented in Figure 6 and Figure 7. In this context, in comparison to other conventional deep learning models, the CapsNet model has better generalization ability, particularly while handling medical images with different lighting conditions, noises, and other external factors. The CapsNet model efficiently classifies images, even when the image appears with different orientations and contexts.

4.3. Comparative Assessment

The superiority of the MGTO-CapsNet model was analysed by comparing its results with those of the two existing models introduced by Yue et al. [33] and Alhassan et al [34]. Yue et al. [33] employed the AAL algorithm to segment RoI from sMRI images, which were collected from the ADNI dataset. Next, a voxel based hierarchical feature extraction approach was utilized to extract feature vectors, which were finally passed as input into the CNN model to classify the types of AD classes. In addition, Alhassan, et al. [34] integrated the Otsu thresholding technique, fuzzy-based elephant-herding optimization algorithm, and DA-MIDL model for accurate detection of AD. This framework obtained a 93% sensitivity, an 86.50% accuracy, and a 93% specificity on the AIBL dataset, whereas the proposed MGTO-CapsNet model obtained an impressive classification performance, with a 99.88% sensitivity, a 99.94% accuracy, and a 99.91% on the same dataset. The comparative results between the MGTO-CapsNet model and the existing models (CNN [33] and DA-MIDL [34]) are specified in Table 5 and Table 6. MGT-CapsNet produces better solutions and faster convergence than CNN because the use of a customized optimizer adjusts to the issue. Also, CapsNet captures the complicated connection between data by extracting features in a more robust and equivariant manner. Due to the effective modified optimizer in MGT-CpasNet, it trains more quickly than do standard CNNs. As CapsNet represents data in a hierarchical fashion, results can be more easily analysed and interpreted. MGT-CapsNet provides more interpretable data since the features are represented hierarchically, allowing clinicians to comprehend the underlying disease causes. This makes it possible to interpret how the model is describing the data in a more understandable way, particularly in crucial applications such as healthcare.

4.4. Discussion

In this study, the proposed deep learning framework primarily comprises three important steps, including RoI segmentation, selection of most important features, and classification of AD classes. The fuzzy-based superpixel-clustering algorithm effectively adapts to variations in the contrast and intensity of sMRIs. This adaptability is vital in capturing subtle transitions between diseased and healthy regions, which have overlapping properties. After the segmentation of RoI regions, hybrid feature extraction (combination of PLTP, ResNet-50, and VGG-16 models) is accomplished to capture features from segmented RoI images. Furthermore, the dimensions of the extracted features are decreased by introducing the MGTO algorithm.
As denoted in Table 7, the selection of most informative features by the MGTO algorithm decreased the processing time of this framework on all three datasets (ADNI, real time, and AIBL). In comparison to the conventional deep learning models, the proposed MGTO-CapsNet model required a minimal processing time of 42.16, 60.33, and 32.55 s on the ADNI, real-time, and AIBL datasets. The selected informative features are finally passed as input into the CapsNet model for classifying the types of AD classes. The superiority of the fuzzy-based superpixel-clustering algorithm and MGTO-CapsNet model is demonstrated in Table 1, Table 2, Table 3 and Table 4.

5. Conclusions

The accurate detection of AD assists clinicians in early diagnosis via the selection of efficient treatment options. A novel deep learning framework is introduced in this paper for accurate AD detection; this framework comprises two important steps: segmentation and classification. After acquiring sMRI images from AIBL, real time and ADNI datasets, a fuzzy-based superpixel-clustering algorithm segments the RoIs. Next, hybrid feature extraction (combination of PLTP, ResNet-50, and VGG-16 models) is carried out to extract informative deep features from segmented RoI images. These extracted deep features are dimensionally decreased via the selection of the most informative features by utilizing the MGTO algorithm. The obtained features are finally passed as input into the CapsNet model for categorizing the classes of AD. Eight different evaluation measures, namely accuracy, JSC, sensitivity, fallout, phi coefficient, PA, specificity, and DSC were used for investigating the performance of both the fuzzy-based superpixel-clustering algorithm and MGTO-CapsNet model. The fuzzy-based superpixel-clustering algorithm obtained a PA of 0.96, 0.94, and 0.98, and the MGTO-CapsNet model obtained a classification accuracy of 99.88%, 96.38%, and 99.94% on the ADNI, real-time, and AIBL datasets, respectively.
However, the computational complexity of the proposed deep learning framework is higher due to it performing several steps; therefore, a significant unsupervised learning model will be proposed in future work. Furthermore, we will analyse the feasibility of the MGTO-CapsNet model in the diagnosis of other brain diseases. Additionally, we will collaborate with healthcare organizations or research institutions to integrate this proposed framework into their projects focused on AD. This will contribute to the ongoing efforts in better understanding and treating AD.

Author Contributions

Investigation, resources, data curation, visualization, and writing—original draft preparation, review, and editing, P.G.; study conceptualization and software, G.P.R. and Y.A.; validation and formal analysis, methodology, supervision, project administration, and funding acquisition, C.P. All authors have read and agreed to the published version of the manuscript.

Funding

This research received no external funding.

Institutional Review Board Statement

Not applicable.

Informed Consent Statement

Not applicable.

Data Availability Statement

The datasets generated during and/or analysed during the current study are available from the corresponding author on reasonable request.

Conflicts of Interest

The authors declare no conflicts of interest.

References

  1. Odusami, M.; Maskeliūnas, R.; Damaševičius, R.; Krilavičius, T. Analysis of features of Alzheimer’s disease: Detection of early stage from functional brain changes in magnetic resonance images using a finetuned ResNet18 network. Diagnostics 2021, 11, 1071. [Google Scholar] [CrossRef] [PubMed]
  2. Pan, D.; Zeng, A.; Jia, L.; Huang, Y.; Frizzell, T.; Song, X. Early detection of Alzheimer’s disease using magnetic resonance imaging: A novel approach combining convolutional neural networks and ensemble learning. Front. Neurosci. 2020, 14, 259. [Google Scholar] [CrossRef] [PubMed]
  3. Padole, H.; Joshi, S.D.; Gandhi, T.K. Graph wavelet-based multilevel graph coarsening and its application in graph-CNN for alzheimer’s disease detection. IEEE Access 2020, 8, 60906–60917. [Google Scholar] [CrossRef]
  4. Maqsood, M.; Nazir, F.; Khan, U.; Aadil, F.; Jamal, H.; Mehmood, I.; Song, O.Y. Transfer learning assisted classification and detection of Alzheimer’s disease stages using 3D MRI scans. Sensors 2019, 19, 2645. [Google Scholar] [CrossRef] [PubMed]
  5. Janghel, R.R.; Rathore, Y.K. Deep convolution neural network based system for early diagnosis of Alzheimer’s disease. IRBM 2021, 42, 258–267. [Google Scholar] [CrossRef]
  6. Chui, K.T.; Gupta, B.B.; Alhalabi, W.; Alzahrani, F.S. An MRI scans-based Alzheimer’s disease detection via convolutional neural network and transfer learning. Diagnostics 2022, 12, 1531. [Google Scholar] [CrossRef] [PubMed]
  7. El-Sappagh, S.; Saleh, H.; Ali, F.; Amer, E.; Abuhmed, T. Two-stage deep learning model for Alzheimer’s disease detection and prediction of the mild cognitive impairment time. Neural Comput. Appl. 2022, 34, 14487–14509. [Google Scholar] [CrossRef]
  8. Garg, N.; Choudhry, M.S.; Bodade, R.M. A review on Alzheimer’s disease classification from normal controls and mild cognitive impairment using structural MR images. J. Neurosci. Methods 2023, 384, 109745. [Google Scholar] [CrossRef] [PubMed]
  9. El-Sappagh, S.; Ali, F.; Abuhmed, T.; Singh, J.; Alonso, J.M. Automatic detection of Alzheimer’s disease progression: An efficient information fusion approach with heterogeneous ensemble classifiers. Neurocomputing 2022, 512, 203–224. [Google Scholar] [CrossRef]
  10. Goenka, N.; Tiwari, S. AlzVNet: A volumetric convolutional neural network for multiclass classification of Alzheimer’s disease through multiple neuroimaging computational approaches. Biomed. Signal Process. Control 2022, 74, 103500. [Google Scholar] [CrossRef]
  11. Abbas, S.Q.; Chi, L.; Chen, Y.P.P. Transformed domain convolutional neural network for alzheimer’s disease diagnosis using structural MRI. Pattern Recognit. 2023, 133, 109031. [Google Scholar] [CrossRef]
  12. Thangavel, P.; Natarajan, Y.; Preethaa, K.S. EAD-DNN: Early Alzheimer’s disease prediction using deep neural networks. Biomed. Signal Process. Control 2023, 86, 105215. [Google Scholar] [CrossRef]
  13. Khalid, A.; Senan, E.M.; Al-Wagih, K.; Ali Al-Azzam, M.M.; Alkhraisha, Z.M. Automatic Analysis of MRI Images for Early Prediction of Alzheimer’s Disease Stages Based on Hybrid Features of CNN and Handcrafted Features. Diagnostics 2023, 13, 1654. [Google Scholar] [CrossRef] [PubMed]
  14. Ye, H.; Zhu, Q.; Yao, Y.; Jin, Y.; Zhang, D. Pairwise feature-based generative adversarial network for incomplete multi-modal alzheimer’s disease diagnosis. Vis. Comput. 2023, 39, 2235–2244. [Google Scholar] [CrossRef]
  15. Mohi ud din dar, G.; Bhagat, A.; Ansarullah, S.I.; Othman, M.T.B.; Hamid, Y.; Alkahtani, H.K.; Ullah, I.; Hamam, H. A novel framework for classification of different Alzheimer’s disease stages using CNN model. Electronics 2023, 12, 469. [Google Scholar] [CrossRef]
  16. Odusami, M.; Maskeliūnas, R.; Damaševičius, R. Pixel-Level Fusion Approach with Vision Transformer for Early Detection of Alzheimer’s Disease. Electronics 2023, 12, 1218. [Google Scholar] [CrossRef]
  17. Zhou, Z.; Yu, L.; Tian, S.; Xiao, G. Diagnosis of Alzheimer’s disease using 2D dynamic magnetic resonance imaging. J. Ambient Intell. Hum. Comput. 2023, 14, 10153–10163. [Google Scholar] [CrossRef]
  18. Hu, Z.; Wang, Z.; Jin, Y.; Hou, W. VGG-TSwinformer: Transformer-based deep learning model for early Alzheimer’s disease prediction. Comput. Methods Programs Biomed. 2023, 229, 107291. [Google Scholar] [CrossRef] [PubMed]
  19. Orouskhani, M.; Zhu, C.; Rostamian, S.; Zadeh, F.S.; Shafiei, M.; Orouskhani, Y. Alzheimer’s disease detection from structural MRI using conditional deep triplet network. Neurosci. Inf. 2022, 2, 100066. [Google Scholar] [CrossRef]
  20. Marwa, E.G.; Moustafa, H.E.D.; Khalifa, F.; Khater, H.; AbdElhalim, E. An MRI-based deep learning approach for accurate detection of Alzheimer’s disease. Alex. Eng. J. 2023, 63, 211–221. [Google Scholar]
  21. Deepa, N.; Chokkalingam, S.P. Optimization of VGG16 utilizing the Arithmetic Optimization Algorithm for early detection of Alzheimer’s disease. Biomed. Signal Process. Control 2022, 74, 103455. [Google Scholar] [CrossRef]
  22. Al-Adhaileh, M.H. Diagnosis and classification of Alzheimer’s disease by using a convolution neural network algorithm. Soft Comput. 2022, 26, 7751–7762. [Google Scholar] [CrossRef]
  23. Shahwar, T.; Zafar, J.; Almogren, A.; Zafar, H.; Rehman, A.U.; Shafiq, M.; Hamam, H. Automated detection of Alzheimer’s via hybrid classical quantum neural networks. Electronics 2022, 11, 721. [Google Scholar] [CrossRef]
  24. Shanmugam, J.V.; Duraisamy, B.; Simon, B.C.; Bhaskaran, P. Alzheimer’s disease classification using pre-trained deep networks. Biomed. Signal Process. Control 2022, 71, 103217. [Google Scholar] [CrossRef]
  25. AlSaeed, D.; Omar, S.F. Brain MRI analysis for Alzheimer’s disease diagnosis using CNN-based feature extraction and machine learning. Sensors 2022, 22, 2911. [Google Scholar] [CrossRef] [PubMed]
  26. Houria, L.; Belkhamsa, N.; Cherfa, A.; Cherfa, Y. Multimodal magnetic resonance imaging for Alzheimer’s disease diagnosis using hybrid features extraction and ensemble support vector machines. Int. J. Imaging Syst. Technol. 2023, 33, 610–621. [Google Scholar] [CrossRef]
  27. Lahmiri, S. Integrating convolutional neural networks, kNN, and Bayesian optimization for efficient diagnosis of Alzheimer’s disease in magnetic resonance images. Biomed. Signal Process. Control 2023, 80, 104375. [Google Scholar] [CrossRef]
  28. Lanjewar, M.G.; Parab, J.S.; Shaikh, A.Y. Development of framework by combining CNN with KNN to detect Alzheimer’s disease using MRI images. Multimed. Tools Appl. 2023, 82, 12699–12717. [Google Scholar] [CrossRef]
  29. Shojaei, S.; Abadeh, M.S.; Momeni, Z. An evolutionary explainable deep learning approach for Alzheimer’s MRI classification. Expert Syst. Appl. 2023, 220, 119709. [Google Scholar] [CrossRef]
  30. Ghosh, T.; Palash, M.I.A.; Yousuf, M.A.; Hamid, M.A.; Monowar, M.M.; Alassafi, M.O. A Robust Distributed Deep Learning Approach to Detect Alzheimer’s Disease from MRI Images. Mathematics 2023, 11, 2633. [Google Scholar] [CrossRef]
  31. Yao, Z.; Mao, W.; Yuan, Y.; Shi, Z.; Zhu, G.; Zhang, W.; Wang, Z.; Zhang, G. Fuzzy-VGG: A fast deep learning method for predicting the staging of Alzheimer’s disease based on brain MRI. Inf. Sci. 2023, 642, 119129. [Google Scholar] [CrossRef]
  32. Balaji, P.; Chaurasia, M.A.; Bilfaqih, S.M.; Muniasamy, A.; Alsid, L.E.G. Hybridized deep learning approach for detecting Alzheimer’s disease. Biomedicines 2023, 11, 149. [Google Scholar] [CrossRef] [PubMed]
  33. Yue, L.; Gong, X.; Li, J.; Ji, H.; Li, M.; Nandi, A.K. Hierarchical feature extraction for early Alzheimer’s disease diagnosis. IEEE Access 2019, 7, 93752–93760. [Google Scholar] [CrossRef]
  34. Alhassan, A.M. Alzheimer’s Disease Neuroimaging Initiative and Australian Imaging Biomarkers and Lifestyle Flagship Study of Ageing, Enhanced fuzzy elephant herding optimization-based OTSU segmentation and deep learning for Alzheimer’s disease diagnosis. Mathematics 2022, 10, 1259. [Google Scholar] [CrossRef]
  35. Petersen, R.C.; Aisen, P.S.; Beckett, L.A.; Donohue, M.C.; Gamst, A.C.; Harvey, D.J.; Jack, C.R.; Jagust, W.J.; Shaw, L.M.; Toga, A.W.; et al. Alzheimer’s disease neuroimaging initiative (ADNI): Clinical characterization. Neurology 2010, 74, 201–209. [Google Scholar] [CrossRef] [PubMed]
  36. Rowe, C.C.; Bourgeat, P.; Ellis, K.A.; Brown, B.; Lim, Y.Y.; Mulligan, R.; Jones, G.; Maruff, P.; Woodward, M.; Price, R.; et al. Predicting Alzheimer disease with β-amyloid imaging: Results from the Australian imaging, biomarkers, and lifestyle study of ageing. Ann. Neurol. 2013, 74, 905–913. [Google Scholar] [CrossRef] [PubMed]
  37. Krishna Priya, R.; Chacko, S. Improved particle swarm optimized deep convolutional neural network with super-pixel clustering for multiple sclerosis lesion segmentation in brain MRI imaging. Int. J. Numer. Methods Biomed. Eng. 2021, 37, e3506. [Google Scholar] [CrossRef] [PubMed]
  38. Kumar, S.N.; Fred, A.L.; Varghese, P.S. Suspicious lesion segmentation on brain, mammograms and breast MR images using new optimized spatial feature based super-pixel fuzzy c-means clustering. J. Digit. Imaging 2019, 32, 322–335. [Google Scholar] [CrossRef] [PubMed]
  39. Ikechukwu, A.V.; Murali, S.; Deepu, R.; Shivamurthy, R.C. ResNet-50 vs VGG-19 vs training from scratch: A comparative analysis of the segmentation and classification of Pneumonia from chest X-ray images. Glob. Transit. Proc. 2021, 2, 375–381. [Google Scholar] [CrossRef]
  40. Sitaula, C.; Hossain, M.B. Attention-based VGG-16 model for COVID-19 chest X-ray image classification. Appl. Intell. 2021, 51, 2850–2863. [Google Scholar] [CrossRef] [PubMed]
  41. Sriramakrishnan, P.; Kalaiselvi, T.; Rajeswaran, R. Modified local ternary patterns technique for brain tumour segmentation and volume estimation from MRI multi-sequence scans with GPU CUDA machine. Biocybern. Biomed. Eng. 2019, 39, 470–487. [Google Scholar] [CrossRef]
  42. Abdollahzadeh, B.; Soleimanian Gharehchopogh, F.; Mirjalili, S. Artificial gorilla troops optimizer: A new nature-inspired metaheuristic algorithm for global optimization problems. Int. J. Intell. Syst. 2021, 36, 5887–5958. [Google Scholar] [CrossRef]
  43. Abd Elaziz, M.; Abualigah, L.; Issa, M.; Abd El-Latif, A.A. Optimal parameters extracting of fuel cell based on Gorilla Troops Optimizer. Fuel 2023, 332, 126162. [Google Scholar] [CrossRef]
  44. Afshar, P.; Heidarian, S.; Naderkhani, F.; Oikonomou, A.; Plataniotis, K.N.; Mohammadi, A. COVID-caps: A capsule network-based framework for identification of COVID-19 cases from X-ray images. Pattern Recognit. Lett. 2020, 138, 638–643. [Google Scholar] [CrossRef] [PubMed]
  45. Zhao, T.; Liu, Y.; Huo, G.; Zhu, X. A deep learning iris recognition method based on capsule network architecture. IEEE Access 2019, 7, 49691–49701. [Google Scholar] [CrossRef]
Figure 1. Processes involved in the proposed deep learning framework.
Figure 1. Processes involved in the proposed deep learning framework.
Applsci 14 06798 g001
Figure 2. Acquired sample sMRI images: (a) ADNI dataset, (b) real-time dataset, and (c) AIBL dataset.
Figure 2. Acquired sample sMRI images: (a) ADNI dataset, (b) real-time dataset, and (c) AIBL dataset.
Applsci 14 06798 g002
Figure 3. Segmented hippocampus portion from the sMRIs: (a) ADNI dataset, (b) real-time dataset, and (c) AIBL dataset.
Figure 3. Segmented hippocampus portion from the sMRIs: (a) ADNI dataset, (b) real-time dataset, and (c) AIBL dataset.
Applsci 14 06798 g003
Figure 4. Pictorial comparison of the state-of-the-art algorithms.
Figure 4. Pictorial comparison of the state-of-the-art algorithms.
Applsci 14 06798 g004
Figure 5. Pictorial comparison of the MGTO-CapsNet model and the conventional models on the ADNI dataset.
Figure 5. Pictorial comparison of the MGTO-CapsNet model and the conventional models on the ADNI dataset.
Applsci 14 06798 g005
Figure 6. Pictorial comparison of the MGTO-CapsNet model and the conventional models on the real-time dataset.
Figure 6. Pictorial comparison of the MGTO-CapsNet model and the conventional models on the real-time dataset.
Applsci 14 06798 g006
Figure 7. Pictorial comparison of the MGTO-CapsNet model and the conventional models on the AIBL dataset.
Figure 7. Pictorial comparison of the MGTO-CapsNet model and the conventional models on the AIBL dataset.
Applsci 14 06798 g007
Table 1. Performance assessment of the state-of-the-art segmentation algorithms.
Table 1. Performance assessment of the state-of-the-art segmentation algorithms.
AlgorithmADNI DatasetReal-Time DatasetAIBL Dataset
PAJSCDSCPAJSCDSCPAJSCDSC
Watershed 0.760.840.860.680.700.760.800.760.84
Region growing0.780.850.900.770.750.820.860.790.88
Adaptive thresholding0.800.880.910.850.780.880.890.820.89
Superpixel clustering0.830.900.920.870.860.890.900.850.90
Otsu thresholding0.900.930.940.920.910.920.930.890.91
Fuzzy-based superpixel clustering0.960.970.980.940.950.950.980.960.97
Table 2. Performance assessment of the MGTO-CapsNet model on the ADNI dataset.
Table 2. Performance assessment of the MGTO-CapsNet model on the ADNI dataset.
ADNI Dataset
ModelSpecificity (%)Phi Coefficient (%)Accuracy (%)Fall-Out (%)Sensitivity (%)
MGTO-CNN96.12 ± 0.0897.44 ± 0.0596.50 ± 0.0296.53 ± 0.0397.35 ± 0.04
MGTO-GoogleNet97.24 ± 0.0498.14 ± 0.0497.62 ± 0.0697.50 ± 0.0698.10 ± 0.05
MGTO-VGG 1698.80 ± 0.0798.56 ± 0.0698.55 ± 0.0598.15 ± 0.0498.66 ± 0.03
MGTO-AlexNet98.93 ± 0.0698.96 ± 0.0498.78 ± 0.0598.77 ± 0.0498.80 ± 0.02
MGTO-ResNet 5099.25 ± 0.0599.04 ± 0.0599.12 ± 0.0699.06 ± 0.0299.04 ± 0.06
MGTO-DBN99.88 ± 0.0299.78 ± 0.0499.80 ± 0.0499.74 ± 0.0399.72 ± 0.04
MGTO-CapsNet99.94 ± 0.0299.96 ± 0.0299.88 ± 0.0399.90 ± 0.0299.80 ± 0.03
Table 3. Performance assessment of the MGTO-CapsNet model on the real-time dataset.
Table 3. Performance assessment of the MGTO-CapsNet model on the real-time dataset.
Real-Time Dataset
ModelSpecificity (%)Phi Coefficient (%)Accuracy (%)Fall-Out (%)Sensitivity (%)
MGTO-CNN94.1093.4092.8793.7892.30
MGTO-GoogleNet95.2894.6593.6694.3593.88
MGTO-VGG 1695.7695.5093.9095.6494.70
MGTO-AlexNet96.0695.9894.5595.8095.76
MGTO-ResNet 5096.8496.6095.8096.9695.90
MGTO-DBN97.8896.7695.9897.2096.64
MGTO-CapsNet98.1397.8096.3897.8897.90
Table 4. Performance assessment of the MGTO-CapsNet model on the AIBL dataset.
Table 4. Performance assessment of the MGTO-CapsNet model on the AIBL dataset.
AIBL Dataset
ModelSpecificity (%)Phi Coefficient (%)Accuracy (%)Fall-Out (%)Sensitivity (%)
MGTO-CNN97.9097.9498.2297.4498.42
MGTO-GoogleNet98.2298.5598.6897.8098.60
MGTO-VGG 1698.7798.979998.4698.86
MGTO-AlexNet98.9099.3499.0498.9899.30
MGTO-ResNet 5099.1499.4699.6699.4499.48
MGTO-DBN99.8299.7899.9299.7099.78
MGTO-CapsNet99.9199.9299.9499.9599.88
Table 5. Comparative assessment between the CNN model and the MGTO-CapsNet model.
Table 5. Comparative assessment between the CNN model and the MGTO-CapsNet model.
Accuracy (%)
ADNI datasetAD vs. NCMCI vs. ADNC vs. MCI
CNN [33]99.7097.8098.90
MGTO-CapsNet99.7699.8899.92
Table 6. Comparative assessment between the DA-MIDL model and the MGTO-CapsNet model.
Table 6. Comparative assessment between the DA-MIDL model and the MGTO-CapsNet model.
AIBL DatasetSensitivity (%)Accuracy (%)Specificity (%)
DA-MIDL [34]9386.5093
MGTO-CapsNet99.8899.9499.91
Table 7. Processing time of the conventional models and the proposed MGTO-CapsNet model.
Table 7. Processing time of the conventional models and the proposed MGTO-CapsNet model.
Processing Time (s)
ModelADNI DatasetReal-Time DatasetAIBL Dataset
MGTO-CNN76.5496.4480.28
MGTO-GoogleNet68.2288.5270.35
MGTO-VGG 1660.5680.4948.30
MGTO-AlexNet55.1077.5044.54
MGTO-ResNet 5050.4470.2542.30
MGTO-DBN48.5865.4636.38
MGTO-CapsNet42.1660.3332.55
Disclaimer/Publisher’s Note: The statements, opinions and data contained in all publications are solely those of the individual author(s) and contributor(s) and not of MDPI and/or the editor(s). MDPI and/or the editor(s) disclaim responsibility for any injury to people or property resulting from any ideas, methods, instructions or products referred to in the content.

Share and Cite

MDPI and ACS Style

Ganesan, P.; Ramesh, G.P.; Puttamdappa, C.; Anuradha, Y. A Modified Bio-Inspired Optimizer with Capsule Network for Diagnosis of Alzheimer Disease. Appl. Sci. 2024, 14, 6798. https://doi.org/10.3390/app14156798

AMA Style

Ganesan P, Ramesh GP, Puttamdappa C, Anuradha Y. A Modified Bio-Inspired Optimizer with Capsule Network for Diagnosis of Alzheimer Disease. Applied Sciences. 2024; 14(15):6798. https://doi.org/10.3390/app14156798

Chicago/Turabian Style

Ganesan, Praveena, G. P. Ramesh, C. Puttamdappa, and Yarlagadda Anuradha. 2024. "A Modified Bio-Inspired Optimizer with Capsule Network for Diagnosis of Alzheimer Disease" Applied Sciences 14, no. 15: 6798. https://doi.org/10.3390/app14156798

APA Style

Ganesan, P., Ramesh, G. P., Puttamdappa, C., & Anuradha, Y. (2024). A Modified Bio-Inspired Optimizer with Capsule Network for Diagnosis of Alzheimer Disease. Applied Sciences, 14(15), 6798. https://doi.org/10.3390/app14156798

Note that from the first issue of 2016, this journal uses article numbers instead of page numbers. See further details here.

Article Metrics

Back to TopTop