Preoperative Anatomical Variables Affecting the Outcome of Surgical Correction in Class III Face Asymmetry
Abstract
1. Introduction
2. Materials and Methods
2.1. Patients
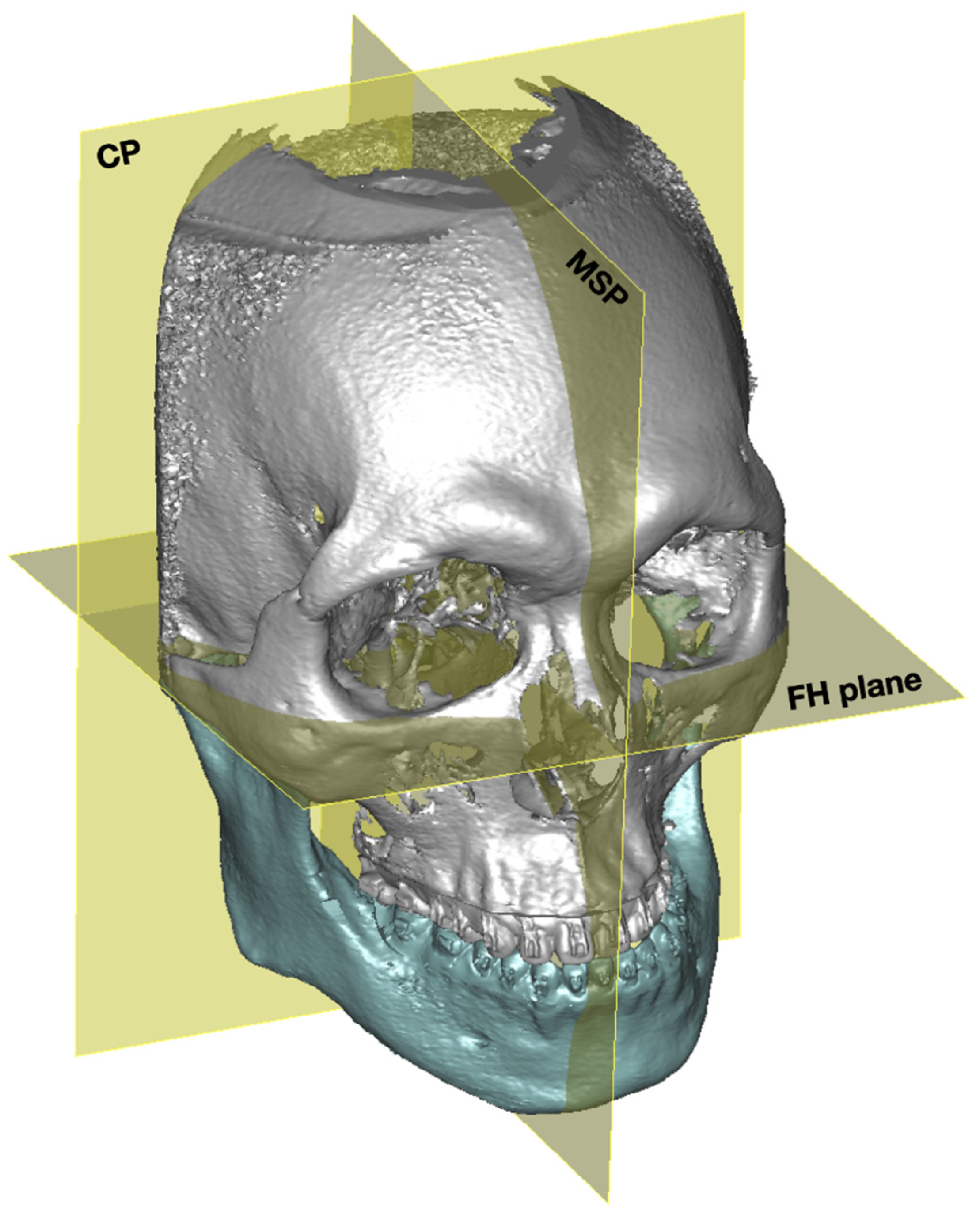
2.2. Data Collection
2.3. Presurgical 3D Surgical Simulation
2.4. Surgical Technique
2.5. 3D Dentoskeletal Measurements
2.6. Classification of Patients after Treatment Completion (T1)
2.7. Statistical Analyses
3. Results
3.1. Error Study
3.2. Comparison of Preoperative 3D Measurements between Groups S and A
3.3. Correlation of the Asymmetry Index with Presurgical Variables
4. Discussion
5. Conclusions
- Patients with severe skeletal Class III asymmetry, preoperative anatomical variables of the maxillary occlusal plane cant, bilateral gonion discrepancy to the FHP, bilateral mandibular axis discrepancy to the FHP, and sagittal and transverse of condyle position, were related to an achievement of favorable outcomes in asymmetry correction.
- In sagittal mandible dimension, a significant between-group difference was noted in in the distances from the condyle, medial and lateral condylar poles, glenoid fossa, and gonion of the deviated side, to the coronal plane.
- In the transverse dimension, a significant between-group difference was noted in the distances from the medial and lateral condylar poles of the opposite side, to the MSP. In surgical correction of face asymmetry, “roll” and “yaw” discrepancies and anatomical limitations are critical factors affecting treatment outcomes.
Author Contributions
Funding
Institutional Review Board Statement
Informed Consent Statement
Data Availability Statement
Acknowledgments
Conflicts of Interest
References
- Peck, S.; Peck, L.; Kataja, M. Skeletal asymmetry in esthetically pleasing faces. Angle Orthod. 1991, 61, 43–48. [Google Scholar] [CrossRef] [PubMed]
- Severt, T.R.; Proffit, W.R. The prevalence of facial asymmetry in the dentofacial deformities population at the University of North Carolina. Int. J. Adult Orthodon. Orthognath. Surg. 1997, 12, 171–176. [Google Scholar]
- Haraguchi, S.; Takada, K.; Yasuda, Y. Facial asymmetry in subjects with skeletal Class III deformity. Angle Orthod. 2002, 72, 28–35. [Google Scholar] [CrossRef]
- Chew, M.T. Spectrum and management of dentofacial deformities in a multiethnic Asian population. Angle Orthod. 2006, 76, 806–809. [Google Scholar] [CrossRef] [PubMed]
- Bell, W.H.; Creekmore, T.D. Surgical-orthodontic correction of mandibular prognathism. Am. J. Orthod. 1973, 63, 256–270. [Google Scholar] [CrossRef] [PubMed]
- Ko, E.W.-C.; Huang, C.S.; Chen, Y.R. Characteristics and Corrective Outcome of Face Asymmetry by Orthognathic Surgery. J. Oral Maxillofac. Surg. 2009, 67, 2201–2209. [Google Scholar] [CrossRef] [PubMed]
- Cheong, Y.W.; Lo, L.J. Facial asymmetry: Etiology, evaluation, and management. Chang. Gung Med. J. 2011, 34, 341–351. [Google Scholar]
- Wang, Y.-C.; Wallace, C.G.; Pai, B.C.-J.; Chen, H.-L.; Lee, Y.-T.; Hsiao, Y.-C.; Chang, C.-S.; Liao, Y.-F.; Chen, P.K.-T.; Chen, Y.-R. Orthognathic Surgery with Simultaneous Autologous Fat Transfer for Correction of Facial Asymmetry. Plast. Reconstr. Surg. 2017, 139, 693–700. [Google Scholar] [CrossRef]
- Xia, J.J.; Gateno, J.; Teichgraeber, J.F. New Clinical Protocol to Evaluate Craniomaxillofacial Deformity and Plan Surgical Correction. J. Oral Maxillofac. Surg. 2009, 67, 2093–2106. [Google Scholar] [CrossRef]
- Udomlarptham, N.; Lin, C.-H.; Wang, Y.-C.; Ko, E.-C. Does two-dimensional vs. three-dimensional surgical simulation produce better surgical outcomes among patients with class III facial asymmetry? Int. J. Oral Maxillofac. Surg. 2018, 47, 1022–1031. [Google Scholar] [CrossRef]
- Ko, E.W.-C.; Lin, C.-H.; Chen, Y.-A.; Chen, Y.-R. Enhanced Surgical Outcomes in Patients With Skeletal Class III Facial Asymmetry by 3-Dimensional Surgical Simulation. J. Oral Maxillofac. Surg. 2018, 76, 1073–1083. [Google Scholar] [CrossRef] [PubMed]
- Suzuki-Okamura, E.; Higashihori, N.; Kawamoto, T.; Moriyama, K. Three-dimensional analysis of hard and soft tissue changes in patients with facial asymmetry undergoing 2-jaw surgery. Oral Surg. Oral Med. Oral Pathol. Oral Radiol. 2015, 120, 299–306. [Google Scholar] [CrossRef] [PubMed]
- Lin, H.; Zhu, P.; Lin, Q.; Huang, X.; Xu, Y.; Yang, X. Comprehensive Analysis of Mandibular Residual Asymmetry after Bilateral Sagittal Split Ramus Osteotomy Correction of Menton Point Deviation. PLoS ONE 2016, 11, e0161601. [Google Scholar] [CrossRef] [PubMed]
- Lin, C.-W.; Wang, Y.-C.; Chen, Y.-H.; Ko, E.-C. Dentoskeletal parameters related to visual perception of facial asymmetry in patients with skeletal class III malocclusion after orthognathic surgery. Int. J. Oral Maxillofac. Surg. 2018, 47, 48–56. [Google Scholar] [CrossRef]
- Chen, Y.-J.; Yao, C.-C.; Chang, Z.-C.; Lai, H.-H.; Lu, S.-C.; Kok, S.-H. A new classification of mandibular asymmetry and evaluation of surgical-orthodontic treatment outcomes in Class III malocclusion. J. Cranio-Maxillofacial Surg. 2016, 44, 676–683. [Google Scholar] [CrossRef]
- Chen, Y.J.; Yao, C.C.; Chang, Z.C.; Lai, H.H.; Yeh, K.J.; Kok, S.H. Characterization of facial asymmetry in skeletal Class III malocclusion and its implications for treatment. Int. J. Oral Maxillofac. Surg. 2019, 48, 1533–1541. [Google Scholar] [CrossRef]
- Faul, F.; Erdfelder, E.; Lang, A.-G.; Buchner, A. G*Power 3: A flexible statistical power analysis program for the social, behavioral, and biomedical sciences. Behav. Res. Methods 2007, 39, 175–191. [Google Scholar] [CrossRef]
- Hunsuck, E.E. A modified intraoral sagittal splitting technic for correction of mandibular prognathism. J. Oral Surg. 1968, 26, 49–52. [Google Scholar]
- Chu, Y.-M.; Bergeron, L.; Chen, Y.-R. Bimaxillary protrusion: An overview of the surgical-orthodontic treatment. In Seminars in Plastic Surgery, 32; Thieme Medical Publishers: New York, NY, USA, 2009. [Google Scholar] [CrossRef]
- Morris, D.E.; Moaveni, Z.; Lo, L.-J. Aesthetic Facial Skeletal Contouring in the Asian Patient. Clin. Plast. Surg. 2007, 34, 547–556. [Google Scholar] [CrossRef]
- Honda, T.; Lin, C.-H.; Yu, C.-C.; Heller, F.; Chen, Y.-R. The Medial Surface of the Mandible as an Alternative Source of Bone Grafts in Orthognathic Surgery. J. Craniofacial Surg. 2005, 16, 123–128. [Google Scholar] [CrossRef]
- Koo, T.K.; Li, M.Y. A Guideline of Selecting and Reporting Intraclass Correlation Coefficients for Reliability Research. J. Chiropr. Med. 2016, 15, 155–163. [Google Scholar] [CrossRef] [PubMed]
- Dahlberg, G. Statistical methods for medical and biological students. Br. Med. J. 1940, 14, 358–359. [Google Scholar]
- Kwon, T.-G.; Park, H.-S.; Ryoo, H.-M.; Lee, S.-H. A comparison of craniofacial morphology in patients with and without facial asymmetry—A three-dimensional analysis with computed tomography. Int. J. Oral Maxillofac. Surg. 2006, 35, 43–48. [Google Scholar] [CrossRef]
- Van Keulen, C.; Martens, G.; Dermaut, L. Unilateral posterior crossbite and chin deviation: Is there a correlation? Eur. J. Orthod. 2004, 26, 283–288. [Google Scholar] [CrossRef] [PubMed]
- Thiesen, G.; Gribel, B.F.; Freitas, M.P.M.; Oliver, D.R.; Kim, K.B. Mandibular asymmetries and associated factors in orthodontic and orthognathic surgery patients. Angle Orthod. 2018, 88, 545–551. [Google Scholar] [CrossRef]
- Thiesen, G.; Gribel, B.F.; Freitas, M.P. Facial asymmetry: A current review. Dent. Press J. Orthod. 2015, 20, 110–125. [Google Scholar] [CrossRef]
- Walter, J.M., Jr.; Gregg, J.M. Analysis of postsurgical neurologic alteration in the trigeminal nerve. Oral Surg. 1979, 37, 410–414. [Google Scholar]
- Westermark, A.; Bystedt, H.; Konow, L.V. Patients’ evaluation of the final result of sagittal split osteotomy: Is it influenced by impaired sensitivity of the lower lip and chin? Orthodon. Orthognath. Surg. 1999, 14, 135–139. [Google Scholar]
- Ghali, G.; Sikes, J. Intraoral vertical ramus osteotomy as the preferred treatment for mandibular prognathism. J. Oral Maxillofac. Surg. 2000, 58, 313–315. [Google Scholar] [CrossRef]
- Wolford, L.M. The sagittal split ramus osteotomy as the preferred treatment for mandibular prognathism. J. Oral Maxillofac. Surg. 2000, 58, 310–312. [Google Scholar] [CrossRef]
- Pan, J.-H.; Lee, J.-J.; Lin, H.-Y.; Chen, Y.-J.; Yao, C.-C.J.; Kok, S.-H. Transverse and sagittal angulations of proximal segment after sagittal split and vertical ramus osteotomies and their influence on the stability of distal segment. J. Formos. Med. Assoc. 2013, 112, 244–252. [Google Scholar] [CrossRef] [PubMed]
- Lee, J.-H.; Park, T.-J.; Jeon, J.-H. Unilateral intraoral vertical ramus osteotomy and sagittal split ramus osteotomy for the treatment of asymmetric mandibles. J. Korean Assoc. Oral Maxillofac. Surg. 2015, 41, 102–108. [Google Scholar] [CrossRef] [PubMed]









| Landmark | Definition |
| Orbitale (Or) | The inferior point on the infraorbital rim |
| Porion (Po) | The superior point of the external auditory canal |
| Nasion (Na) | The junction of the nasal and frontal bones at the most medium point |
| Basion (Ba) | The anterior margin of the foramen magnum |
| ANS | The most anterior midpoint of the anterior nasal spline of the maxilla |
| A point | The most posterior point in the concavity of maxillary apical base in lateral view |
| B point | The most posterior point in the concavity of the mandibular apical base in lateral view |
| Pogonion (Pg) | The anterior point on the MSP of the mandible |
| Gnathion (Gn) | The most anterior and inferior point on the MSP of the mandible |
| Menton (Me) | The most inferior point on the MSP of the mandible |
| Medial condylar pole (CoM) | The most medial point of the condylion |
| Lateral condylar pole (CoL) | The most lateral point of the condylion |
| Condylion (Co) | The midpoint between the medial and lateral mandibular condylar poles at the most posterior superior surface edge |
| Glenoid fossa (GF) | The superior point of the glenoid fossa |
| Gonion (Go) | The most inferior, posterior and lateral point on the mandibular angle region |
| Upper contour point | Point in the middle of the lateral pole of condylion and gonion along the ramus |
| Lower contour point | Point in the middle of the lateral pole of gonion and menton along the mandibular body |
| U1 | The midpoint of two upper central incisor edges |
| U3 | The cusp tip of the upper canine |
| U6 | The mesiobuccal cusp tip of the upper first molar |
| L1 | The midpoint of the two lower central incisor edges |
| L4 | The buccal cusp tip of the lower first premolar |
| L6 | The mesiobuccal cusp tip of the lower first molar |
| Linear and angular variable | Definition |
| Ramus height (mm) | The distance between Co and Go |
| Mandibular body length (mm) | The distance between Go and Gn |
| Gonial angle | Angle between the tangent line of mandibular border and the Go–Me line |
| Condylar axis | The line connecting the CoM and CoL landmarks |
| Ramus axis | The line connecting the Co and Go landmarks |
| Mandibular axis | The line connecting the Go and Gn landmarks |
| Planar variable | Definition |
| Frankfort horizontal plane (FHP) | The plane formed by the bilateral orbitale (Or) and midpoint of bilateral porion (Po) |
| Midsagittal plane (MSP) | The plane perpendicular to the FHP and passing through the nasion (Na) and basion (Ba) landmark |
| Coronal plane (CP) | The plane perpendicular to the FHP and MSP and passing through basion (Ba) |
| Group | Number | Sex | Age, Years | |||
|---|---|---|---|---|---|---|
| Female | Male | Minimum | Maximum | Mean | ||
| Symmetry | 18 | 13 | 5 | 18 | 31 | 23.3 |
| Asymmetry | 18 | 8 | 10 | 18 | 33 | 24.2 |
| Total | 37 | 21 | 16 | 18 | 33 | 23.6 |
| PreOP Midline Variables (mm) | Symmetry | Asymmetry | p | |||
|---|---|---|---|---|---|---|
| Mean | SD | Mean | SD | |||
| Maxilla | ANS to MSP | 1.11 | 0.78 | 1.18 | 1.03 | 0.987 |
| A to MSP | 1.07 | 0.72 | 1.21 | 0.99 | 0.800 | |
| U1 to MSP | 1.66 | 1.40 | 2.15 | 1.64 | 0.289 | |
| Mandible | L1 to MSP | 3.97 | 3.29 | 4.32 | 2.11 | 0.887 |
| B to MSP | 5.01 | 4.11 | 5.77 | 2.93 | 0.268 | |
| Pog to MSP | 6.36 | 5.07 | 8.03 | 3.94 | 0.117 | |
| Gn to MSP | 6.62 | 5.31 | 8.27 | 4.14 | 0.174 | |
| Me to MSP | 6.52 | 5.36 | 8.15 | 4.19 | 0.217 | |
| Bilateral Variables | Symmetry | Asymmetry | p | |||
|---|---|---|---|---|---|---|
| ΔS | ΔA | |||||
| Mean | SD | Mean | SD | |||
| Maxilla | ||||||
| U3 to FHP | mm | 1.07 | 0.93 | 1.83 | 1.22 | 0.004 *** |
| U6 to FHP | mm | 1.90 | 1.91 | 2.95 | 1.81 | 0.040 * |
| Mandible | ||||||
| Ramus height | mm | 3.90 | 4.16 | 5.98 | 5.23 | 0.235 |
| Body length | mm | 3.64 | 3.11 | 2.22 | 1.54 | 0.195 |
| Gonial angle | ° | 8.53 | 18.09 | 2.54 | 1.67 | 0.062 |
| Go to MSP | mm | 4.34 | 4.14 | 6.25 | 4.71 | 0.217 |
| Go to CP | mm | 4.66 | 3.23 | 5.07 | 3.35 | 0.681 |
| Go to FHP | mm | 1.88 | 1.77 | 5.25 | 4.51 | 0.015 * |
| GF to MSP | mm | 1.52 | 1.01 | 2.08 | 1.64 | 0.517 |
| GF to CP | mm | 1.46 | 1.07 | 2.52 | 2.52 | 0.569 |
| GF to FH | mm | 1.19 | 0.99 | 1.04 | 0.66 | 0.899 |
| Co to MSP | mm | 1.89 | 0.96 | 2.62 | 1.88 | 0.255 |
| Co to CP | mm | 1.89 | 1.27 | 2.72 | 2.26 | 0.527 |
| Co to FHP | mm | 1.38 | 1.07 | 1.51 | 1.22 | 0.899 |
| CoL to MSP | mm | 1.75 | 1.02 | 2.48 | 2.12 | 0.486 |
| CoL to CP | mm | 2.06 | 1.54 | 3.65 | 2.65 | 0.064 |
| CoL to FHP | mm | 1.56 | 1.41 | 2.64 | 1.66 | 0.056 |
| CoM to MSP | mm | 1.43 | 0.85 | 2.36 | 1.46 | 0.058 |
| CoM to CP | mm | 1.86 | 1.22 | 2.64 | 1.86 | 0.223 |
| CoM to FHP | mm | 2.03 | 2.06 | 1.83 | 1.62 | 0.728 |
| Con axis to MSP | ° | 6.78 | 4.31 | 7.40 | 6.99 | 0.704 |
| Con axis to CP | ° | 4.73 | 3.84 | 5.84 | 6.90 | 0.658 |
| Con axis to FH | ° | 6.02 | 3.27 | 8.30 | 7.31 | 0.681 |
| Ramus axis to MSP | ° | 4.44 | 2.66 | 5.93 | 4.26 | 0.327 |
| Ramus axis to CP | ° | 4.11 | 2.93 | 3.80 | 1.90 | 0.704 |
| Ramus axis to FH | ° | 11.61 | 20.80 | 4.75 | 3.28 | 0.635 |
| Md axis to MSP | ° | 6.77 | 5.21 | 8.33 | 5.27 | 0.359 |
| Md axis to CP | ° | 6.17 | 4.55 | 5.89 | 3.82 | 0.924 |
| Md axis to FH | ° | 1.58 | 1.42 | 3.73 | 3.23 | 0.050 * |
| Deviated Side | Symmetry | Asymmetry | p | |||
|---|---|---|---|---|---|---|
| Mean | SD | Mean | SD | |||
| Maxilla | ||||||
| U3 to FHP | mm | 51.26 | 4.29 | 52.77 | 4.54 | 0.282 |
| U6 to FHP | mm | 47.56 | 4.30 | 48.47 | 4.07 | 0.506 |
| Mandible | ||||||
| Ramus height | mm | 64.85 | 9.45 | 61.70 | 7.28 | 0.591 |
| Body length | mm | 85.31 | 5.37 | 87.64 | 4.15 | 0.164 |
| Gonial angle | ° | 121.64 | 6.29 | 122.50 | 5.45 | 0.8 |
| Go to MSP | mm | 49.34 | 3.93 | 52.13 | 5.21 | 0.129 |
| Go to CP | mm | 24.01 | 4.53 | 19.83 | 4.49 | 0.019 * |
| Go to FHP | mm | 62.57 | 7.61 | 60.40 | 7.27 | 0.384 |
| GF to MSP | mm | 49.84 | 3.69 | 51.15 | 2.91 | 0.174 |
| GF to CP | mm | 13.73 | 2.85 | 10.31 | 3.24 | 0.005 * |
| GF to FH | mm | 2.66 | 1.67 | 3.18 | 1.57 | 0.393 |
| Co to MSP | mm | 53.20 | 3.69 | 54.30 | 4.25 | 0.613 |
| Co to CP | mm | 11.12 | 2.70 | 7.70 | 3.59 | 0.005 * |
| Co to FHP | mm | 1.71 | 1.33 | 1.78 | 1.06 | 0.658 |
| CoL to MSP | mm | 61.07 | 3.22 | 62.19 | 4.15 | 0.488 |
| CoL to CP | mm | 17.01 | 2.78 | 14.18 | 4.39 | 0.034 * |
| CoL to FHP | mm | 7.66 | 3.16 | 5.80 | 2.77 | 0.164 |
| CoM to MSP | mm | 42.13 | 3.10 | 43.54 | 3.29 | 0.242 |
| CoM to CP | mm | 13.53 | 3.02 | 9.75 | 2.86 | 0.001 *** |
| CoM to FHP | mm | 4.25 | 3.74 | 4.08 | 2.52 | 0.776 |
| Con axis to MSP | ° | 73.28 | 7.98 | 73.48 | 7.64 | 0.95 |
| Con axis to CP | ° | 10.15 | 5.59 | 13.05 | 7.42 | 0.268 |
| Con axis to FH | ° | 11.80 | 8.05 | 8.31 | 5.76 | 0.206 |
| Ramus axis to MSP | ° | 11.58 | 21.53 | 3.09 | 2.73 | 0.069 |
| Ramus axis to CP | ° | 10.57 | 4.64 | 11.37 | 5.30 | 0.776 |
| Ramus axis to FH | ° | 74.23 | 15.24 | 77.88 | 5.25 | 0.613 |
| Md axis to MSP | ° | 29.95 | 3.68 | 30.15 | 3.62 | 0.849 |
| Md axis to CP | ° | 52.64 | 5.71 | 50.60 | 5.50 | 0.296 |
| Md axis to FH | ° | 19.73 | 5.00 | 22.49 | 4.57 | 0.255 |
| Opposite Side | Symmetry | Asymmetry | p | |||
|---|---|---|---|---|---|---|
| Mean | SD | Mean | SD | |||
| Maxilla | ||||||
| U3 to FHP | mm | 51.89 | 3.99 | 54.30 | 4.60 | 0.141 |
| U6 to FHP | mm | 49.06 | 4.33 | 51.07 | 4.32 | 0.195 |
| Mandible | ||||||
| Ramus height | mm | 67.36 | 10.15 | 67.04 | 7.55 | 0.548 |
| Body length | mm | 88.38 | 5.18 | 89.05 | 4.48 | 0.825 |
| Gonial angle | ° | 123.82 | 5.25 | 124.04 | 5.71 | 0.937 |
| Go to MSP | mm | 45.48 | 3.36 | 46.99 | 3.66 | 0.217 |
| Go to CP | mm | 26.43 | 7.10 | 24.37 | 5.27 | 0.174 |
| Go to FHP | mm | 63.24 | 7.52 | 64.91 | 7.59 | 0.448 |
| GF to MSP | mm | 50.30 | 2.60 | 52.17 | 3.22 | 0.066 |
| GF to CP | mm | 13.03 | 3.56 | 11.72 | 2.57 | 0.229 |
| GF to FH | mm | 3.41 | 2.05 | 3.05 | 1.47 | 0.635 |
| Co to MSP | mm | 53.73 | 3.28 | 56.05 | 3.82 | 0.107 |
| Co to CP | mm | 10.64 | 3.08 | 8.89 | 2.41 | 0.076 |
| Co to FHP | mm | 1.79 | 1.08 | 2.07 | 1.52 | 0.937 |
| CoL to MSP | mm | 60.99 | 2.69 | 63.61 | 3.70 | 0.012 * |
| CoL to CP | mm | 17.18 | 3.09 | 16.23 | 2.85 | 0.393 |
| CoL to FHP | mm | 7.53 | 2.91 | 6.93 | 3.36 | 0.658 |
| CoM to MSP | mm | 42.45 | 2.71 | 44.56 | 3.14 | 0.043 * |
| CoM to CP | mm | 12.69 | 3.01 | 11.36 | 2.93 | 0.235 |
| CoM to FHP | mm | 3.81 | 3.10 | 3.37 | 2.64 | 0.635 |
| Con axis to MSP | ° | 69.43 | 6.64 | 70.10 | 9.96 | 0.359 |
| Con axis to CP | ° | 12.96 | 4.94 | 13.88 | 5.92 | 0.527 |
| Con axis to FH | ° | 14.10 | 8.34 | 11.65 | 10.79 | 0.184 |
| Ramus axis to MSP | ° | 14.31 | 20.49 | 7.73 | 4.39 | 0.548 |
| Ramus axis to CP | ° | 13.16 | 6.29 | 13.45 | 5.01 | 0.95 |
| Ramus axis to FH | ° | 70.49 | 14.28 | 73.50 | 3.67 | 0.899 |
| Md axis to MSP | ° | 36.09 | 3.85 | 38.37 | 3.34 | 0.076 |
| Md axis to CP | ° | 47.54 | 3.38 | 45.09 | 3.50 | 0.054 |
| Md axis to FH | ° | 18.60 | 5.07 | 19.06 | 4.91 | 0.837 |
Disclaimer/Publisher’s Note: The statements, opinions and data contained in all publications are solely those of the individual author(s) and contributor(s) and not of MDPI and/or the editor(s). MDPI and/or the editor(s) disclaim responsibility for any injury to people or property resulting from any ideas, methods, instructions or products referred to in the content. |
© 2023 by the authors. Licensee MDPI, Basel, Switzerland. This article is an open access article distributed under the terms and conditions of the Creative Commons Attribution (CC BY) license (https://creativecommons.org/licenses/by/4.0/).
Share and Cite
Li, Y.-T.; Chen, Y.-A.; Lin, C.-H.; Ko, E.W.-C. Preoperative Anatomical Variables Affecting the Outcome of Surgical Correction in Class III Face Asymmetry. Appl. Sci. 2023, 13, 4502. https://doi.org/10.3390/app13074502
Li Y-T, Chen Y-A, Lin C-H, Ko EW-C. Preoperative Anatomical Variables Affecting the Outcome of Surgical Correction in Class III Face Asymmetry. Applied Sciences. 2023; 13(7):4502. https://doi.org/10.3390/app13074502
Chicago/Turabian StyleLi, Yi-Ting, Ying-An Chen, Cheng-Hui Lin, and Ellen Wen-Ching Ko. 2023. "Preoperative Anatomical Variables Affecting the Outcome of Surgical Correction in Class III Face Asymmetry" Applied Sciences 13, no. 7: 4502. https://doi.org/10.3390/app13074502
APA StyleLi, Y.-T., Chen, Y.-A., Lin, C.-H., & Ko, E. W.-C. (2023). Preoperative Anatomical Variables Affecting the Outcome of Surgical Correction in Class III Face Asymmetry. Applied Sciences, 13(7), 4502. https://doi.org/10.3390/app13074502

